Three-Dimensional CBCT Based Evaluation of the Maxillary Sinus by Facial Index
Abstract
1. Introduction
2. Materials and Methods
2.1. Study Participants
2.2. Methods
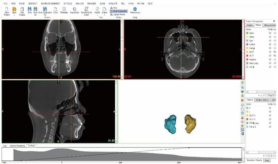
2.2.1. D Image Creation
2.2.2. Measurement Items
- N: starting point of the nose.
- Gn: lowest point of the lower chin border on the midline.
- Zy: most-lateral point of the zygomatic arch.
- FH (facial height): distance between N and Gn.
- FW (facial width): distance between the Zy points.
- The formula for FI was as follows (Table 1):
- IOF: distance between the infraorbital foramen from one side to the other.
- Right–left sinus distance: distance between the left and right maxillary sinuses.
- Width: corona-view width.
- Length: sagittal-view width
- Height: maxillary sinus height.
- Volume: maxillary sinus volume.
2.2.3. Statistics
3. Results
4. Discussion
5. Conclusions
Author Contributions
Funding
Institutional Review Board Statement
Informed Consent Statement
Data Availability Statement
Acknowledgments
Conflicts of Interest
References
- Williams, P.L.; Bannister, L.H.; Berry, M.M.; Collins, P.; Dyson, M.; Dussek, J.E.; Ferguson, M.W.J. Embryology and Development, the Nervous System. Gray’s Anatomy, 38th ed.; Churchill Livingstone: Edinburgh, UK; London, UK, 1995; pp. 1266–1274. [Google Scholar]
- Hong, J.W. Analysis of Maxillary Sinuses as the Aging Process Using 3Dimensional Computer Tomography in the Korean. Ph.D. Thesis, Yonsei University, Seoul, Korea, 2008. [Google Scholar]
- Anagnostopoulou, S.; Venieratos, D.; Spyropoulos, N. Classification of human maxillar sinuses according to their geometric features. Anat. Anz. 1991, 173, 121–130. [Google Scholar] [PubMed]
- Jun, B.C.; Song, S.W.; Park, C.S.; Lee, D.H.; Cho, K.J.; Cho, J.H. The analysis of maxillary sinus aeration according to aging process; volume assessment by 3-dimensional reconstruction by high-resolutional CT scanning. Otolaryngol. Head Neck Surg. 2005, 132, 429–434. [Google Scholar] [CrossRef] [PubMed]
- Takahashi, R.Y.O. The formation of the human paranasal sinuses. Acta Oto-Laryngol. 1984, 408, 1–28. [Google Scholar] [CrossRef] [PubMed]
- Kawakami, S.; Lang, N.P.; Iida, T.; Ferri, M.; Apaza Alccayhuaman, K.A.; Botticelli, D. Influence of the position of the antrostomy in sinus floor elevation assessed with cone-beam computed tomography: A randomized clinical trial. J. Investig. Clin. Dent. 2018, 9, e12362. [Google Scholar] [CrossRef]
- Kawakami, S.; Lang, N.P.; Ferri, M.; Alccayhuaman, K.A.A.; Botticelli, D. Influence of the Height of the Antrostomy in Sinus Floor Elevation Assessed by Cone Beam Computed Tomography: A Randomized Clinical Trial. Int. J. Max. Impl. 2019, 34, 223–232. [Google Scholar] [CrossRef]
- Park, Y.S.; Paik, K.S.; Chang, M.S.; Lee, S.P. The 7 years of Longitudinal Study on Pneumatization of Maxillary Sinuses using Lateral Cephalogram. Korean J. Anat. 2004, 37, 219–229. [Google Scholar]
- Trivedi, H.; Azam, A.; Tandon, R.; Chandra, P.; Kulshrestha, R.; Gupta, A. Correlation between morphological facial index and canine relationship in adults− An anthropometric study. J. Orofac. Sci. 2017, 9, 16. [Google Scholar] [CrossRef]
- Maalman, R.S.E.; Abaidoo, C.S.; Darko, N.D.; Tetteh, J. Facial types and morphology: A study among Sisaala and Dagaaba adult population in the Upper West Region, Ghana. Sci. Afr. 2019, 3, e00071. [Google Scholar] [CrossRef]
- Pelinsari Lana, J.; Moura Rodrigues Carneiro, P.; de Carvalho Machado, V.; Eduardo Alencar de Souza, P.; Ricardo Manzi, F.; Campolina Rebello Horta, M. Anatomic variations and lesions of the maxillary sinus detected in cone beam computed tomography for dental implants. Clin. Oral Implant. Res. 2012, 23, 1398–1403. [Google Scholar] [CrossRef]
- Lorkiewicz-Muszyńska, D.; Kociemba, W.; Rewekant, A.; Sroka, A.; Jończyk-Potoczna, K.; Patelska-Banaszewska, M.; Przystańska, A. Development of the maxillary sinus from birth to age 18. Postnatal growth pattern. Int. J. Pediatr. Otorhinolaryngol. 2015, 79, 1393–1400. [Google Scholar] [CrossRef]
- Möhlhenrich, S.C.; Heussen, N.; Peters, F.; Steiner, T.; Hölzle, F.; Modabber, A. Is the maxillary sinus really suitable in sex determination? A three-dimensional analysis of maxillary sinus volume and surface depending on sex and dentition. J. Craniofac. Surg. 2015, 26, e723–e726. [Google Scholar] [CrossRef] [PubMed]
- Maspero, C.; Farronato, M.; Bellincioni, F.; Annibale, A.; Machetti, J.; Abate, A.; Cavagnetto, D. Three-dimensional evaluation of maxillary sinus changes in growing subjects: A retrospective cross-sectional study. Materials 2020, 13, 1007. [Google Scholar] [CrossRef] [PubMed]
- Kim, H.J.; Yoon, H.R.; Kim, K.D.; Kang, M.K.; Kwak, H.H.; Park, H.D.; Han, S.H.; Park, C.S. Personal-computer-based three-dimensional reconstruction and simulation of maxillary sinus. Surg. Radiol. Anat. 2002, 24, 392–398. [Google Scholar] [CrossRef] [PubMed]
- Peter, F.; Jorgen, T.J. Anatomy in Diagnostic Imaging; Blackwell: Copenhagen, Denmark, 2001; pp. 22–24. [Google Scholar]
- Kolte, R.A.; Kolte, A.P.; Kharkar, V.V.; Bawankar, P. Influence of facial index, facial profile, lip size, and angulations of teeth on gingival characteristics of anterior teeth: A gender-based evaluation. J. Esthet. Restor. Dent. 2020, 32, 496–504. [Google Scholar] [CrossRef]
- Jeremić, D.; Kocić, S.; Vulović, M.; Sazdanović, M.; Sazdanović, P.; Jovanović, B.; Jovanović, J.; Milanović, Z.; Đonović, N.; Simović, A.; et al. Anthropometric study of the facial index in the population of central Serbia. Arch. Biol. Sci. 2013, 65, 1163–1168. [Google Scholar] [CrossRef][Green Version]
- Endo, T.; Abe, R.; Kuroki, H.; Kojima, K.; Oka, K.; Shimooka, S. Cephalometric evaluation of maxillary sinus sizes in different malocclusion classes. Odontology 2010, 98, 65–72. [Google Scholar] [CrossRef]
- Jahanshahi, M.; Golalipour, M.J.; Heidari, K. The effect of ethnicity on facial anthropometry in Northern Iran. Singap. Med. J. 2008, 49, 940–943. [Google Scholar]
- Kassab, N.H. The selection of maxillary anterior teeth width in relation to facial measurements at different types of face form. Al-Rafidain Den. J. 2004, 5, 15–23. [Google Scholar] [CrossRef]
- Sinavarat, P.; Anunmana, C.; Hossain, S. The relationship of maxillary canines to the facial anatomical landmarks in a group of Thai people. J. Adv. Prosthodon. 2013, 5, 369. [Google Scholar] [CrossRef]
- Malim Jaafar, K.A.; Zaini, F.; Wai, M.M.; Yesmin, T.; Thwin, S.S. A Study of Facial Indices among Young Malay Adults; GSTF Digital Library: Chiyoda City, Japan, 2014. [Google Scholar]
- Uchida, Y.; Goto, M.; Katsuki, T.; Akiyoshi, T. A cadaveric study of maxillary sinus size as an aid in bone grafting of the maxillary sinus floor. J. Oral Maxillofac. Surg. 1998, 56, 1158–1163. [Google Scholar] [CrossRef]
- Moore, R.N.; Moyer, B.A.; DuBois, L.M. Skeletal maturation and craniofacial growth. Am. J. Orthod. Dentofacial. Orthop. 1990, 98, 33–40. [Google Scholar] [CrossRef]





| Facial Type | Range of FI | N |
|---|---|---|
| Mesoprosopic | 84.0–87.9 | 4 |
| Leptoprosopic | 88.0–92.9 | 14 |
| Hyperleptoprosopic | ≥93.0 | 42 |
| Measurements | Mesoprosopic (N = 4) | Leptoprosopic (N = 14) | Hyperleptoprosopic (N = 42) | p-Value | |
|---|---|---|---|---|---|
| Right–left sinus distance (mm) | 94.79 (3.13) | 89.85 (6.66) | 88.96 (8.42) | >0.05 | |
| IOF (mm) | 50.24 (2.83) | 54.47 (5.42) | 51.17 (4.00) | <0.05 * | |
| (Left) | Width (mm) | 30.05 (1.28) | 27.34 (1.96) | 28.37 (1.87) | <0.05 * |
| Length (mm) | 40.94 (2.37) | 38.58 (3.51) | 40.13 (4.00) | >0.05 * | |
| Height (mm) | 44.74 (1.23) | 43.22 (2.88) | 49.17 (4.05) | <0.001 ** | |
| Volume (mm3) | 20,004 (2156.57) | 19,327 (3813.09) | 22,648 (4953.64) | <0.05 * | |
| (Right) | Width (mm) | 31.05 (1.91) | 29.93 (1.76) | 27.46 (4.47) | <0.05 * |
| Length (mm) | 41.29 (1.10) | 38.63 (3.33) | 39.94 (4.32) | >0.05 | |
| Height (mm) | 46.02 (1.36) | 44.43 (1.48) | 47.49 (2.66) | <0.001 * | |
| Volume (mm3) | 20,943 (1414.81) | 19,096 (1219.49) | 22,429 (4086.48) | <0.05 * | |
| Measurements (mm) | B | SE | β | t (p) | f (p) | R2 | |
|---|---|---|---|---|---|---|---|
| Constant | 3.208 | 1.600 | 2.005 * | 4.799 | 0.429 | ||
| Right-Left sinus distance | −0.015 | 0.016 | −0.112 | −0.934 | |||
| IOF | −0.016 | 0.019 | −0.206 | −0.836 | |||
| (Left) | Width | −0.059 | 0.056 | −0.189 | −1.054 | ||
| Length | 0.019 | 0.039 | 0.119 | 0.484 | |||
| Height | 0.088 | 0.025 | 0.645 | 3.506 ** | |||
| (Right) | Width | −0.015 | 0.029 | −0.100 | −0.522 | ||
| Length | −0.012 | 0.037 | −0.078 | −0.321 | |||
| Height | 0.007 | 0.035 | 0.029 | 0.185 | |||
Publisher’s Note: MDPI stays neutral with regard to jurisdictional claims in published maps and institutional affiliations. |
© 2022 by the authors. Licensee MDPI, Basel, Switzerland. This article is an open access article distributed under the terms and conditions of the Creative Commons Attribution (CC BY) license (https://creativecommons.org/licenses/by/4.0/).
Share and Cite
Lee, J.-H.; Park, J.-T. Three-Dimensional CBCT Based Evaluation of the Maxillary Sinus by Facial Index. Int. J. Environ. Res. Public Health 2022, 19, 5040. https://doi.org/10.3390/ijerph19095040
Lee J-H, Park J-T. Three-Dimensional CBCT Based Evaluation of the Maxillary Sinus by Facial Index. International Journal of Environmental Research and Public Health. 2022; 19(9):5040. https://doi.org/10.3390/ijerph19095040
Chicago/Turabian StyleLee, Jeong-Hyun, and Jong-Tae Park. 2022. "Three-Dimensional CBCT Based Evaluation of the Maxillary Sinus by Facial Index" International Journal of Environmental Research and Public Health 19, no. 9: 5040. https://doi.org/10.3390/ijerph19095040
APA StyleLee, J.-H., & Park, J.-T. (2022). Three-Dimensional CBCT Based Evaluation of the Maxillary Sinus by Facial Index. International Journal of Environmental Research and Public Health, 19(9), 5040. https://doi.org/10.3390/ijerph19095040

