Identification of a Novel Anti-HIV-1 Protein from Momordica balsamina Leaf Extract
Abstract
1. Introduction
2. Materials and Methods
2.1. Processing of Plant Materials
2.2. Preparation of Stock Solution for Dose-Reponse and Toxicity Testing
2.3. Dose–Response Curve
2.4. Cytotoxic (MT.) Assay
2.5. Solvent Extractions
2.5.1. Direction Extractions (Water, Isopropyl Alcohol, Tetrahydrofuran, Acetonitrile, Ethanol, Acetone)
2.5.2. Phase Extractions (Ethyl Acetate, Chloroform, Hexane, Diethyl Ether)
2.6. Characterization Using Molecular Weight Cutoff
2.7. MAGI Infectivity Assays
2.7.1. Maintenance of Cells Prior to Infection/Treatment
2.7.2. Preparation of Treatment Solution for Infectivity Assays
- 1 mL extract (prepared in Section 2.3 and Section 2.5)
- 1 ng HIV-1NL4-3
- 2 µL of diethylaminoethyl-dextran (DEAE) (200 µg/mL stock solution)
- DMEM with 5% F.B.S. to a total volume of 2 mL
2.7.3. Addition of Treatment Solution to Cells
2.7.4. Fixing and Staining Cells
2.8. Protein Gel and Coomassie Brilliant Blue Stain
3. Results
3.1. Dose–Response Curve and Cytotoxic Assay
3.2. Viral Inhibition of Direct Solvent Extractions
3.3. Viral Inhibition of Phase Extractions
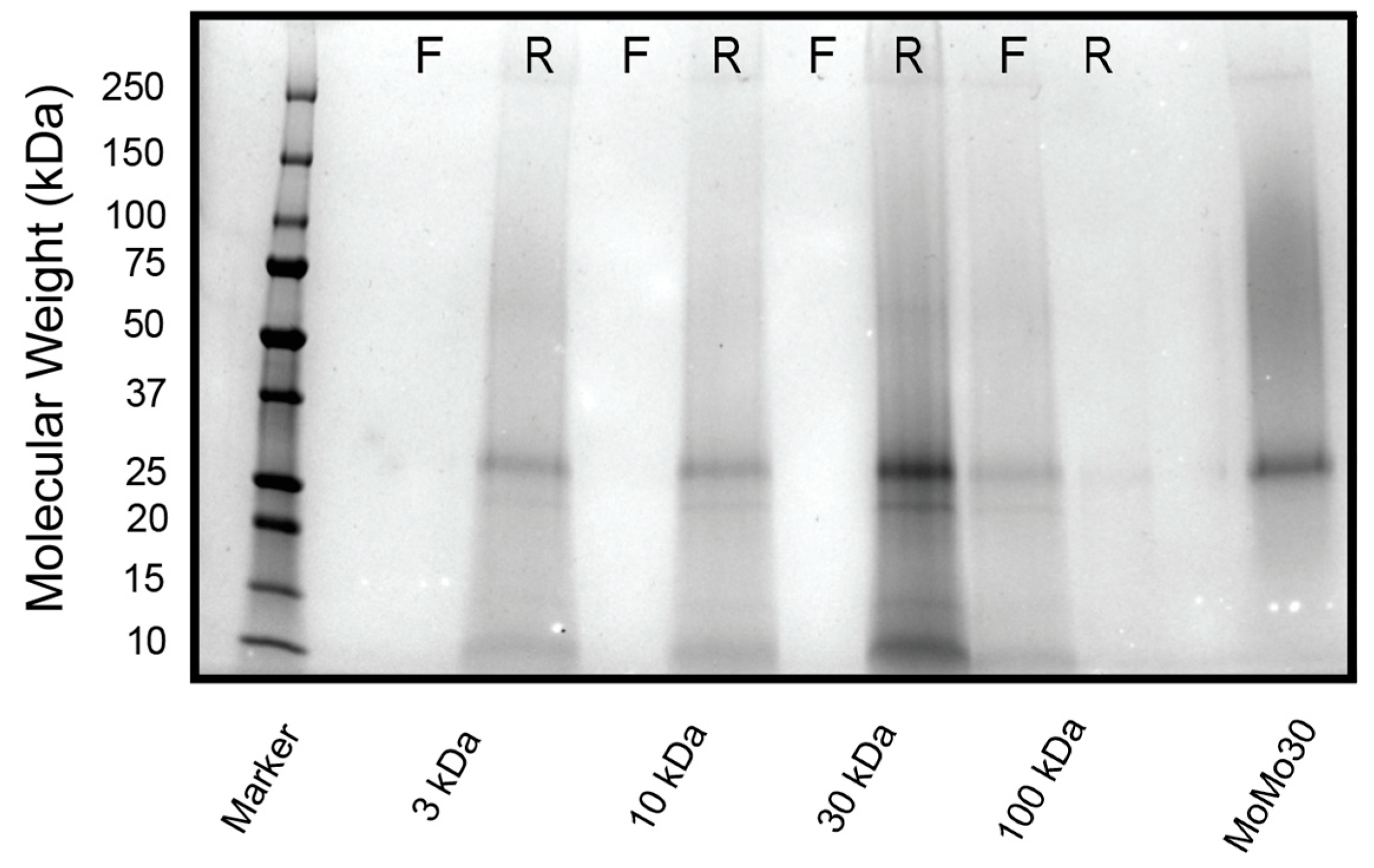
3.4. Size Approximation Using Molecular Weight Cutoff Filters
3.5. S.D.S.-PAGE Gel (4–20%) and Coomassie Brilliant Blue Stain
4. Discussion
5. Conclusions
Author Contributions
Funding
Institutional Review Board Statement
Informed Consent Statement
Data Availability Statement
Acknowledgments
Conflicts of Interest
References
- Patridge, E.; Gareiss, P.; Kinch, M.S.; Hoyer, D. An analysis of FDA-approved drugs: Natural products and their derivatives. Drug Discov. Today 2016, 21, 204–207. [Google Scholar] [CrossRef] [PubMed]
- Chan, D.C.; Kim, P.S. HIV entry and its inhibition. Cell 1998, 93, 681–684. [Google Scholar] [CrossRef]
- Chawla, A.; Wang, C.; Patton, C.; Murray, M.; Punekar, Y.; de Ruiter, A.; Steinhart, C. A review of long-term toxicity of antiretroviral treatment regimens and implications for an aging population. Infect. Dis. Ther. 2018, 7, 183–195. [Google Scholar] [CrossRef] [PubMed]
- Thakur, G.S.; Bag, M.; Sanodiya, B.S.; Bhadouriya, P.; Debnath, M.; Prasad, G.B.; Bisen, P.S. Momordica balsamina: A medicinal and neutraceutical plant for health care management. Curr. Pharm. Biotechnol. 2009, 10, 667–682. [Google Scholar] [CrossRef]
- Ramalhete, C.; Gonçalves, B.M.F.; Barbosa, F.; Duarte, N.; Ferreira, M.-J.U. Momordica balsamina: Phytochemistry and pharmacological potential of a gifted species. Phytochem. Rev. 2022, 21, 617–646. [Google Scholar] [CrossRef] [PubMed]
- de Virgilio, M.; Lombardi, A.; Caliandro, R.; Fabbrini, M.S. Ribosome-inactivating proteins: From plant defense to tumor attack. Toxins 2010, 2, 2699–2737. [Google Scholar] [CrossRef]
- Yao, X.; Li, J.; Deng, N.; Wang, S.; Meng, Y.; Shen, F. Immunoaffinity purification of α-momorcharin from bitter melon seeds (Momordica charantia). J. Sep. Sci. 2011, 34, 3092–3098. [Google Scholar] [CrossRef]
- Lee-Huang, S.; Huang, P.L.; Nara, P.L.; Chen, H.C.; Kung, H.F.; Huang, P.; Huang, H.I.; Huang, P.L. MAP 30: A new inhibitor of HIV-1 infection and replication. FEBS Lett. 1990, 272, 12–18. [Google Scholar] [CrossRef]
- Ramalhete, C.; Mulhovo, S.; Molnar, J.; Ferreira, M.U. Triterpenoids from Momordica balsamina: Reversal of ABCB1-mediated multidrug resistance. Bioorganic Med. Chem. 2016, 24, 5061–5067. [Google Scholar] [CrossRef]
- Malviya, N.; Malviya, D. Bioassay guided fractionation-an emerging technique influence the isolation, identification and characterization of lead phytomolecules. Int. J. Hosp. Pharm. 2017, 2. [Google Scholar] [CrossRef][Green Version]
- Khan, M.; Garcia-Barrio, M.; Powell, M.D. Restoration of wild-type infectivity to human immunodeficiency virus type 1 strains lacking nef by intravirion reverse transcription. J. Virol. 2001, 75, 12081–12087. [Google Scholar] [CrossRef] [PubMed]
- Raymond, A.D.; Campbell-Sims, T.C.; Khan, M.; Lang, M.; Huang, M.B.; Bond, V.C.; Powell, M.D. HIV Type 1 Nef is released from infected cells in CD45(+) microvesicles and is present in the plasma of HIV-infected individuals. AIDS Res. Hum. Retrovir. 2011, 27, 167–178. [Google Scholar] [CrossRef] [PubMed]
- Siboto, A.; Sibiya, N.; Khathi, A.; Ngubane, P. The Effects of Momordica balsamina methanolic extract on kidney function in STZ-induced diabetic rats: Effects on selected metabolic markers. J. Diabetes Res. 2018, 2018, 7341242. [Google Scholar] [CrossRef]
- Fang, E.F.; Zhang, C.Z.; Wong, J.H.; Shen, J.Y.; Li, C.H.; Ng, T.B. The MAP30 protein from bitter gourd (Momordica charantia) seeds promotes apoptosis in liver cancer cells in vitro and in vivo. Cancer Lett. 2012, 324, 66–74. [Google Scholar] [CrossRef] [PubMed]
- Kaur, I.; Yadav, S.K.; Hariprasad, G.; Gupta, R.C.; Srinivasan, A.; Batra, J.K.; Puri, M. Balsamin, a novel ribosome-inactivating protein from the seeds of Balsam apple Momordica balsamina. Amino Acids 2012, 43, 973–981. [Google Scholar] [CrossRef] [PubMed]
- Terwisscha van Scheltinga, A.C.; Kalk, K.H.; Beintema, J.J.; Dijkstra, B.W. Crystal structures of hevamine, a plant defence protein with chitinase and lysozyme activity, and its complex with an inhibitor. Structure 1994, 2, 1181–1189. [Google Scholar] [CrossRef]
- Le, B.; Yang, S.H. Microbial chitinases: Properties, current state and biotechnological applications. World J. Microbiol. Biotechnol. 2019, 35, 144. [Google Scholar] [CrossRef]
- Madan, K.; Madan, M.; Sharma, S.; Paliwal, S. Chitinases: Therapeutic scaffolds for allergy and inflammation. Recent Patents Inflamm. Allergy Drug Discov. 2020, 14, 46–57. [Google Scholar] [CrossRef]
- Padilla, C.S.; Damaj, M.B.; Yang, Z.-N.; Molina, J.; Berquist, B.R.; White, E.L.; Solís-Gracia, N.; Da Silva, J.; Mandadi, K.K. High-level production of recombinant snowdrop lectin in sugarcane and energy cane. Front. Bioeng. Biotechnol. 2020, 8, 977. [Google Scholar] [CrossRef]
- Chen, Q.; Davis, K.R. The potential of plants as a system for the development and production of human biologics. F1000Research 2016, 5, 912. [Google Scholar] [CrossRef]
- Percudani, R.; Montanini, B.; Ottonello, S. The anti-HIV cyanovirin-N domain is evolutionarily conserved and occurs as a protein module in eukaryotes. Proteins 2005, 60, 670–678. [Google Scholar] [CrossRef] [PubMed]
- Boyd, M.R.; Gustafson, K.R.; McMahon, J.B.; Shoemaker, R.H.; O’Keefe, B.R.; Mori, T.; Gulakowski, R.J.; Wu, L.; Rivera, M.I.; Laurencot, C.M.; et al. Discovery of cyanovirin-N, a novel human immunodeficiency virus-inactivating protein that binds viral surface envelope glycoprotein gp120: Potential applications to microbicide development. Antimicrob. Agents Chemother. 1997, 41, 1521–1530. [Google Scholar] [CrossRef]
- Bateman, A.; Bycroft, M. The structure of a LysM domain from E. coli membrane-bound lytic murein transglycosylase D (MltD). J. Mol. Biol. 2000, 299, 1113–1119. [Google Scholar] [CrossRef]
- Kaku, H.; Goldstein, I.J. [27] Snowdrop lectin. In Methods in Enzymology; Academic Press: Cambridge, MA, USA, 1989; Volume 179, pp. 327–331. [Google Scholar]
- Rao, K.V.; Rathore, K.S.; Hodges, T.K.; Fu, X.; Stoger, E.; Sudhakar, D.; Williams, S.; Christou, P.; Bharathi, M.; Bown, D.P.; et al. Expression of snowdrop lectin (GNA) in transgenic rice plants confers resistance to rice brown planthopper. Plant J. 1998, 15, 469–477. [Google Scholar] [CrossRef] [PubMed]
- Kesari, P.; Patil, D.N.; Kumar, P.; Tomar, S.; Sharma, A.K.; Kumar, P. Structural and functional evolution of chitinase-like proteins from plants. Proteomics 2015, 15, 1693–1705. [Google Scholar] [CrossRef] [PubMed]






| Concentration of Leaf Extract (mg/mL) | p-Value |
|---|---|
| 0 vs. 0.02 | 0.6643 |
| 0 vs. 0.05 | 0.9913 |
| 0 vs. 0.1 | 0.9973 |
| 0 vs. 0.2 | >0.9999 |
| 0 vs. 0.5 | 0.9972 |
| 0 vs. 1 | 0.0220 * |
| 0 vs. 1.5 | <0.0001 * |
| 0 vs. 2 | <0.0001 * |
| 0 vs. 5 | <0.0001 * |
| 0 vs. 10 | <0.0001 * |
| Volume of Water/Extract (µL) | β-gal Enzyme + Water | β-gal Enzyme + Extract (100 µg/µL stock) |
|---|---|---|
| 1 | 101 ± 0.8 | 102 ± 0.9 |
| 5 | 102 ± 0.9 | 102 ± 0.2 |
| 10 | 103 ± 0.1 | 102 ± 0.9 |
| 100 | 97 ± 0.9 | 98 ± 2.7 |
| Extraction Solvents | p-Value |
|---|---|
| Water vs. Isopropyl Alcohol | <0.0001 * |
| Water vs. Tetrahydrofuran | 0.0008 * |
| Water vs. Acetonitrile | 0.8992 |
| Water vs. Ethanol | 0.0001 * |
| Water vs. Acetone | 0.0010 * |
| Isopropyl Alcohol vs. Tetrahydrofuran | 0.3795 |
| Isopropyl Alcohol vs. Acetonitrile | 0.0002 * |
| Isopropyl Alcohol vs. Ethanol | 0.9748 |
| Isopropyl Alcohol vs. Acetone | 0.3183 |
| Tetrahydrofuran vs. Acetonitrile | 0.0043 * |
| Tetrahydrofuran vs. Ethanol | 0.7761 |
| Tetrahydrofuran vs. Acetone | >0.9999 |
| Acetonitrile vs. Ethanol | 0.0006 * |
| Acetonitrile vs. Acetone | 0.0054 * |
| Ethanol vs. Acetone | 0.7033 |
| Aqueous Phase vs. Organic Phase | p-Value |
|---|---|
| Ethyl Acetate | <0.0001 * |
| Chloroform | <0.0001 * |
| Hexane | 0.7774 |
| Diethyl Ether | <0.0001 * |
Publisher’s Note: MDPI stays neutral with regard to jurisdictional claims in published maps and institutional affiliations. |
© 2022 by the authors. Licensee MDPI, Basel, Switzerland. This article is an open access article distributed under the terms and conditions of the Creative Commons Attribution (CC BY) license (https://creativecommons.org/licenses/by/4.0/).
Share and Cite
Coleman, M.I.; Khan, M.; Gbodossou, E.; Diop, A.; DeBarros, K.; Duong, H.; Bond, V.C.; Floyd, V.; Kondwani, K.; Montgomery Rice, V.; et al. Identification of a Novel Anti-HIV-1 Protein from Momordica balsamina Leaf Extract. Int. J. Environ. Res. Public Health 2022, 19, 15227. https://doi.org/10.3390/ijerph192215227
Coleman MI, Khan M, Gbodossou E, Diop A, DeBarros K, Duong H, Bond VC, Floyd V, Kondwani K, Montgomery Rice V, et al. Identification of a Novel Anti-HIV-1 Protein from Momordica balsamina Leaf Extract. International Journal of Environmental Research and Public Health. 2022; 19(22):15227. https://doi.org/10.3390/ijerph192215227
Chicago/Turabian StyleColeman, Morgan I., Mahfuz Khan, Erick Gbodossou, Amad Diop, Kenya DeBarros, Hao Duong, Vincent C. Bond, Virginia Floyd, Kofi Kondwani, Valerie Montgomery Rice, and et al. 2022. "Identification of a Novel Anti-HIV-1 Protein from Momordica balsamina Leaf Extract" International Journal of Environmental Research and Public Health 19, no. 22: 15227. https://doi.org/10.3390/ijerph192215227
APA StyleColeman, M. I., Khan, M., Gbodossou, E., Diop, A., DeBarros, K., Duong, H., Bond, V. C., Floyd, V., Kondwani, K., Montgomery Rice, V., Villinger, F., & Powell, M. D. (2022). Identification of a Novel Anti-HIV-1 Protein from Momordica balsamina Leaf Extract. International Journal of Environmental Research and Public Health, 19(22), 15227. https://doi.org/10.3390/ijerph192215227

