Analysis of Histopathological Findings of Lung Carcinoma in Czech Black Coal Miners in Association with Coal Workers’ Pneumoconiosis
Abstract
:1. Introduction
2. Materials and Methods
Ethical Consideration
3. Results
3.1. Description of the Cohorts
3.2. Lung Cancer
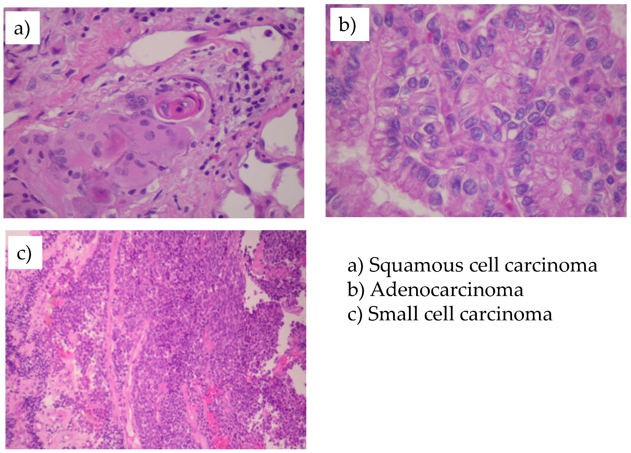
3.3. Histopathological Findings of Lung Cancer
3.4. Smoking and Lung Cancer
3.5. Histopathological Findings of Lung Cancer and Smoking Status
4. Discussion
Limitations
5. Conclusions
Author Contributions
Funding
Institutional Review Board Statement
Informed Consent Statement
Data Availability Statement
Conflicts of Interest
References
- Tomaskova, H.; Jirak, Z.; Splichalova, A.; Urban, P. Cancer Incidence in Czech Black Coal Miners in Association with Coalworkers’ Pneumoconiosis. Int. J. Occup. Med. Environ. Health 2012, 25, 137–144. [Google Scholar] [CrossRef]
- Tomášková, H.; Šplíchalová, A.; Šlachtová, H.; Urban, P.; Hajduková, Z.; Landecká, I.; Gromnica, R.; Brhel, P.; Pelclová, D.; Jirák, Z. Mortality in Miners with Coal-Workers’ Pneumoconiosis in the Czech Republic in the Period 1992–2013. Int. J. Environ. Res. Public Health 2017, 14, 269. [Google Scholar] [CrossRef] [Green Version]
- Horáček, J.; Jirák, Z.; Dobiáš, L.; Menzlová, M.; Lehocká, H.; Tomášková, H.; Škoda, V.; Holuša, R.; Kubačková, J. Final Report NR/6578-3 Carcinogenic Risk of Employees Exposed to Dust Containing Crystalline Silica; Grant Projects of the Ministry of Health of the Czech Republic; Ministry of Health of the Czech Republic: Prague, Czech Republic, 2004.
- Jirák, Z.; Šplíchalová, A.; Tomášková, H.; Lehocká, H.; Urban, P.; Horáček, J. Final Report: NR/8556-5 Longitudinal Prospective Study of the Risk of Cancer in Workers Exposed to Dust Containing the Crystalline Form of Silica in the Czech Republic; Grant Projects of the Ministry of Health of the Czech Republic; Ministry of Health of the Czech Republic: Prague, Czech Republic, 2010.
- Ministry of Health of the Czech Republic. Government Regulation No. 114/2011 Amending the Government Regulation No. 290/1995 Establishing a List of Occupational Diseases; Ministry of Health of the Czech Republic: Prague, Czech Republic, 2011.
- Khomenko, S.; Cirach, M.; Pereira-Barboza, E.; Mueller, N.; Barrera-Gómez, J.; Rojas-Rueda, D.; de Hoogh, K.; Hoek, G.; Nieuwenhuijsen, M. Premature Mortality Due to Air Pollution in European Cities: A Health Impact Assessment. Lancet Planet. Health 2021, 5, e121–e134. [Google Scholar] [CrossRef]
- Jiřík, V.; Dalecká, A.; Vašendová, V.; Janoutová, J.; Janout, V. How Serious Are Health Impacts in One of the Most Polluted Regions of Central Europe? Rev. Environ. Health 2017, 32, 177–183. [Google Scholar] [CrossRef] [PubMed]
- Healthy Aging in Industrial Environment—HAIE. Research of the Impact of Life in the Industrial Environment and Air Pollution on the Health and Aging of the Population. Available online: https://haie.osu.cz/en/main-page/ (accessed on 7 January 2021).
- MZ ČR. Czech National Oncological Register. Available online: http://www.uzis.cz/registry-nzis/nor (accessed on 7 January 2021).
- WHO. World Health Organization Interntational Agency for Research on Cancer. Monographs on the Evaluation of Carcinogenic Risks to Humans Volume 83 Tobacco Smoke and Involuntary Smoking. In Tobacco Smoke and Involuntary Smoking; IARC: Lyon, France, 2004; Volume 83. [Google Scholar]
- Wang, W.; Xie, M.; Dou, S.; Cui, L.; Zheng, C.; Xiao, W. The Link between Chronic Obstructive Pulmonary Disease Phenotypes and Histological Subtypes of Lung Cancer: A Case–Control Study. Int. J. COPD 2018, 13, 1167–1175. [Google Scholar] [CrossRef] [PubMed] [Green Version]
- Hamra, G.B.; Guha, N.; Cohen, A.; Laden, F.; Raaschou-Nielsen, O.; Samet, J.M.; Vineis, P.; Forastiere, F.; Saldiva, P.; Yorifuji, T.; et al. Outdoor Particulate Matter Exposure and Lung Cancer: A Systematic Review and Meta-Analysis. Environ. Health Perspect 2014, 122, 906–911. [Google Scholar] [CrossRef] [PubMed] [Green Version]
- Malhotra, J.; Malvezzi, M.; Negri, E.; La Vecchia, C.; Boffetta, P. Risk Factors for Lung Cancer Worldwide. Eur. Respir. J. 2016, 48, 889–902. [Google Scholar] [CrossRef] [PubMed] [Green Version]
- Papi, A.; Casoni, G.; Caramori, G.; Guzzinati, I.; Boschetto, P.; Ravenna, F.; Calia, N.; Petruzzelli, S.; Corbetta, L.; Cavallesco, G.; et al. COPD Increases the Risk of Squamous Histological Subtype in Smokers Who Develop Non-Small Cell Lung Carcinoma. Thorax 2004, 59, 679–681. [Google Scholar] [CrossRef] [Green Version]
- Muscat, J.E.; Wynder, E.L. Lung Cancer Pathology in Smokers, Ex-Smokers and Never Smokers. Cancer Lett. 1995, 88, 1–5. [Google Scholar] [CrossRef]
- WHO. The World Health Organization Histological Typing of Lung Tumours. Am. J. Clin. Pathol. 1982, 77, 123–136. [Google Scholar] [CrossRef] [Green Version]
- Kollarová, H.; Čížek, L.; Koutná, J.; Beška, F.; Lorenc, J.; Janout, V. Smoking and the risk of lung cancer according to histological types. Klin. Onkol. 2005, 18, 69–71. [Google Scholar]
- Yun, Y.D.; Back, J.H.; Ghang, H.; Jee, S.H.; Kim, Y.; Lee, S.M.; Samet, J.M.; Lee, K.S. Hazard Ratio of Smoking on Lung Cancer in Korea According to Histological Type and Gender. Lung 2016, 194, 281–289. [Google Scholar] [CrossRef]
- Khuder, S.A. Effect of Cigarette Smoking on Major Histological Types of Lung Cancer: A Meta-Analysis. Lung Cancer 2001, 31, 139–148. [Google Scholar] [CrossRef]
- World Health Organization. ICD-10: International Statistical Classification of Diseases and Related Health Problems: Tenth Revision, 2nd ed.; World Health Organization: Geneva, Switzerland, 2004.
- Travis, W.D.; Brambilla, E.; Burke, A.P.; Marx, A.; Nicholson, A.G. WHO Classification of Tumours of the Lung, Pleura, Thymus and Heart; IARC: Lyon, France, 2015. [Google Scholar]
- Stata Corporation. Stata Statistical Software: Release 14.0; Stata Corporation: College Station, TX, USA, 2015. [Google Scholar]
- Tomášková, H.; Šplíchalová, A.; Šlachtová, H.; Jirák, Z. Comparison of Lung Cancer Risk in Black-Coal Miners Based on Mortality and Incidence. Med. Pr. 2020, 71, 513–518. [Google Scholar] [CrossRef] [PubMed]
- ÚZIS. Cancer Incidence in the Czech Republic. 2018. Available online: https://www.uzis.cz/index.php?pg=aktuality&aid=8492 (accessed on 15 August 2021).
- Lortet-Tieulent, J.; Soerjomataram, I.; Ferlay, J.; Rutherford, M.; Weiderpass, E.; Bray, F. International Trends in Lung Cancer Incidence by Histological Subtype: Adenocarcinoma Stabilizing in Men but Still Increasing in Women. Lung Cancer 2014, 84, 13–22. [Google Scholar] [CrossRef] [PubMed]
- Houston, K.A.; Henley, S.J.; Li, J.; White, M.C.; Richards, T. Patterns in Lung Cancer Incidence Rates and Trends by Histologic Type in the United States, 2004–2009. Lung Cancer 2014, 86, 22–28. [Google Scholar] [CrossRef] [Green Version]
- Pesch, B.; Kendzia, B.; Gustavsson, P.; Jöckel, K.H.; Johnen, G.; Pohlabeln, H.; Olsson, A.; Ahrens, W.; Gross, I.M.; Brüske, I.; et al. Cigarette Smoking and Lung Cancer—Relative Risk Estimates for the Major Histological Types from a Pooled Analysis of Case—Control Studies. Int. J. Cancer 2012, 131, 1210–1219. [Google Scholar] [CrossRef]
- Janssen-Heijnen, M.L.; Coebergh, J. Trends in Incidence and Prognosis of the Histological Subtypes of Lung Cancer in North America, Australia, New Zealand and Europe. Lung Cancer 2001, 31, 123–137. [Google Scholar] [CrossRef] [Green Version]
- Burns, D.M.; Anderson, C.M.; Gray, N. Do Changes in Cigarette Design Influence the Rise in Adenocarcinoma of the Lung? Cancer Causes Control 2011, 22, 13–22. [Google Scholar] [CrossRef] [Green Version]
- Janssen-Heijnen, M.L.; Coebergh, J. The Changing Epidemiology of Lung Cancer in Europe. Lung Cancer 2003, 41, 245–258. [Google Scholar] [CrossRef]
- Kinoshita, F.L.; Ito, Y.; Nakayama, T. Trends in Lung Cancer Incidence Rates by Histological Type in 1975-2008: A Population-Based Study in Osaka, Japan. J. Epidemiol. 2016, 26, 579–586. [Google Scholar] [CrossRef] [Green Version]
- Zvolský, M.; Králíková, E.; Střítecký, J. Trends in Lung Tumor Morphology in NOR Data and Relationships with Cigarette Smoke Composition. Klin. Onkol. 2016, 29 (Suppl. 2), 2S41. [Google Scholar]
- Ettinger, D.S.; Aisner, J. Changing Face of Small-Cell Lung Cancer: Real and Artifact. J. Clin. Oncol. 2006, 24, 4526–4527. [Google Scholar] [CrossRef] [PubMed]
- Negewo, N.A.; Gibson, P.G.; McDonald, V.M. COPD and Its Comorbidities: Impact, Measurement and Mechanisms. Respirology 2015, 20, 1160–1171. [Google Scholar] [CrossRef] [PubMed]
- Petsonk, E.L.; Rose, C.; Cohen, R. Coal Mine Dust Lung Disease: New Lessons from an Old Exposure. Am. J. Respir. Crit. Care Med. 2013, 187, 1178–1185. [Google Scholar] [CrossRef] [PubMed]



| Characteristics of Cohorts | No-CWP (n = 6687) | CWP (n = 3476) | |
|---|---|---|---|
| Age at study entry (years) (mean ± SD) | 44.0 ± 6.3 | 49.6 ± 12.4 | |
| Exposure in a mine (years) (mean ± SD) | 22.9 ± 5.9 | 20.7 ± 7.8 | |
| Smoking habits * | smokers | 54% | 45% |
| ex-smokers | 13% | 22% | |
| non-smokers | 33% | 33% | |
| Chi-squared test | p < 0.001 | ||
| Cohort | No-CWP (CWP-0) (n = 6687) | CWP (CWP-1) (n = 3476) | |
|---|---|---|---|
| Lung cancer n (%) | 180 (2.7%) | 169 (4.9) | |
| Age at lung cancer diagnosis (mean ± SD) | 62.6 ± 7.6 | 66.6 ± 9.5 | |
| Length of survival * | <1 year | 131 (72.8%) | 110 (65.1%) |
| 1–5 years | 37 (20.5%) | 47 (27.8%) | |
| ≥5 years | 12 (6.7%) | 12 (7.1%) | |
| Chi-squared test | p = 0.262 | ||
| Person-years of observation * | 424,499 | 218,834 | |
| IR per 10,000 person-years (95% CI) | 4.24 (3.65–4.90) | 7.72 (6.62–8.96) | |
| IRR | 1.82 (1.48–2.25) | ||
| Smoking | Active smokers | 121 (67.2%) | 69 (49.6%) |
| Ex-smokers | 56 (31.1%) | 39 (39.6%) | |
| Non-smokers | 3 (1.7%) | 15 (10.8%) | |
| Total | 180 (100%) | 139 (100%) | |
| Chi-squared test | p < 0.001 | ||
| Cohort | Lung Cancer | Age at the Time of Diagnosis | Length of Survival * | Smoking Status | |||||||
|---|---|---|---|---|---|---|---|---|---|---|---|
| Histopathological Findings | N (%) | Median | Mean (±SD) | Min.–Max. | Median | Mean (±SD) | Min.–Max. | Active | Ex-Smokers | Non-Smokers | |
| No-CWP | Adenocarcinoma | 29 (16%) | 64.0 | 61.9 ± 7.67 | 37–72 | 0.4 | 0.9 ± 1.25 | 0–5.9 | 20 (21%) | 9 (20%) | 0 (0%) |
| Squamous cell carcinoma | 48 (27%) | 62.0 | 62.4 ± 7.49 | 46–76 | 0.6 | 1.5 ± 2.04 | 0–7.9 | 29 (31%) | 18 (40%) | 1 (33%) | |
| Small cell carcinoma | 36 (20%) | 62.5 | 61.8 ± 5.86 | 51–76 | 0.3 | 1.0 ± 2.04 | 0–11.4 | 24 (26%) | 11 (24%) | 1 (33%) | |
| Other subtypes | 29 (16%) | 63.0 | 61.0 ± 8.01 | 46–73 | 0.7 | 3.5 ± 6.64 | 0–21.5 | 21 (22%) | 7 (16%) | 1 (33%) | |
| Missing | 38 (21%) | 65.5 | 64.5 ± 8.69 | 43–79 | 0.2 | 0.6 ± 1.31 | 0–7.9 | - | - | - | |
| Total | 180 (100%) | 63.0 | 62.4 ± 7.59 | 37–79 | 0.4 | 1.4 ± 3.22 | 0–21.5 | 94 (100%) | 45 (100%) | 3 (100%) | |
| Kruskal-Wallis test/Fisher’s exact test | p = 0.3776 | p = 0.0024 | p = 0.882 | ||||||||
| CWP | Adenocarcinoma | 35 (21%) | 64.0 | 63.0 ± 8.54 | 44–78 | 0.3 | 1.5 ± 3.28 | 0–17.9 | 12 (20%) | 13 (28%) | 2 (22%) |
| Squamous cell carcinoma | 56 (33%) | 68.0 | 66.1 ± 9.27 | 46–87 | 0.9 | 1.4 ± 2.02 | 0–9.7 | 33 (55%) | 12 (26%) | 1 (11%) | |
| Small cell carcinoma | 18 (11%) | 68.5 | 66.3 ± 9.04 | 47–81 | 0.5 | 2.0 ± 4.41 | 0–17.5 | 7 (12%) | 7 (15%) | 1 (11%) | |
| Other subtypes | 31 (18%) | 69.0 | 69.7 ± 9.52 | 48–89 | 0.5 | 2.1 ± 4.49 | 0–19.5 | 8 (13%) | 15 (32%) | 5 (56%) | |
| Missing | 29 (17%) | 70.0 | 68.6 ± 10.41 | 48–91 | 0.2 | 1.0 ± 1.98 | 0–9.8 | - | - | - | |
| Total | 169 (100%) | 67.0 | 66.6 ± 9.52 | 44–91 | 0.5 | 1.5 ± 3.14 | 0–19.5 | 60 (100%) | 47 (100%) | 9 (100%) | |
| Kruskal-Wallis test/Fisher’s exact test | p = 0.111/p < 0.001 ** | p = 0.1817/p = 0.770 ** | p = 0.007 | ||||||||
Publisher’s Note: MDPI stays neutral with regard to jurisdictional claims in published maps and institutional affiliations. |
© 2022 by the authors. Licensee MDPI, Basel, Switzerland. This article is an open access article distributed under the terms and conditions of the Creative Commons Attribution (CC BY) license (https://creativecommons.org/licenses/by/4.0/).
Share and Cite
Tomášková, H.; Horáček, J.; Šlachtová, H.; Šplíchalová, A.; Riedlová, P.; Dalecká, A.; Jirák, Z.; Maďar, R. Analysis of Histopathological Findings of Lung Carcinoma in Czech Black Coal Miners in Association with Coal Workers’ Pneumoconiosis. Int. J. Environ. Res. Public Health 2022, 19, 710. https://doi.org/10.3390/ijerph19020710
Tomášková H, Horáček J, Šlachtová H, Šplíchalová A, Riedlová P, Dalecká A, Jirák Z, Maďar R. Analysis of Histopathological Findings of Lung Carcinoma in Czech Black Coal Miners in Association with Coal Workers’ Pneumoconiosis. International Journal of Environmental Research and Public Health. 2022; 19(2):710. https://doi.org/10.3390/ijerph19020710
Chicago/Turabian StyleTomášková, Hana, Jaroslav Horáček, Hana Šlachtová, Anna Šplíchalová, Petra Riedlová, Andrea Dalecká, Zdeněk Jirák, and Rastislav Maďar. 2022. "Analysis of Histopathological Findings of Lung Carcinoma in Czech Black Coal Miners in Association with Coal Workers’ Pneumoconiosis" International Journal of Environmental Research and Public Health 19, no. 2: 710. https://doi.org/10.3390/ijerph19020710
APA StyleTomášková, H., Horáček, J., Šlachtová, H., Šplíchalová, A., Riedlová, P., Dalecká, A., Jirák, Z., & Maďar, R. (2022). Analysis of Histopathological Findings of Lung Carcinoma in Czech Black Coal Miners in Association with Coal Workers’ Pneumoconiosis. International Journal of Environmental Research and Public Health, 19(2), 710. https://doi.org/10.3390/ijerph19020710

