Determination of Reference Values of the Masseter Muscle Stiffness in Healthy Adults Using Shear Wave Elastography
Abstract
:1. Introduction
2. Materials and Methods
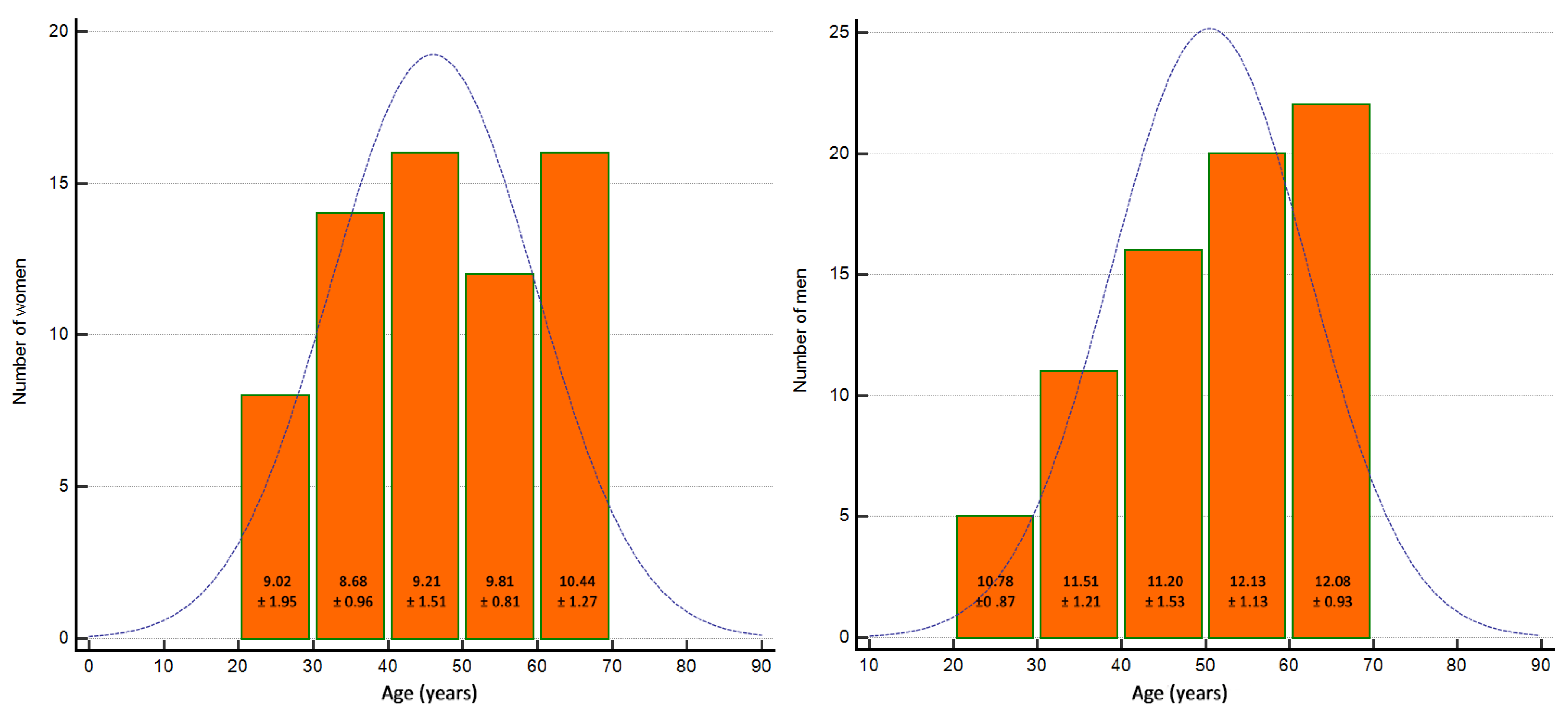
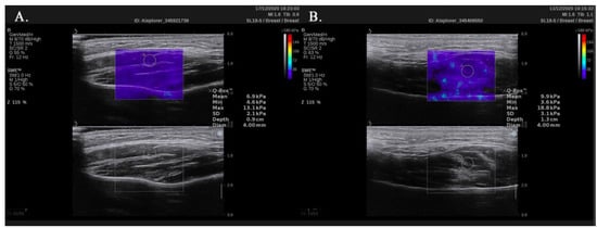
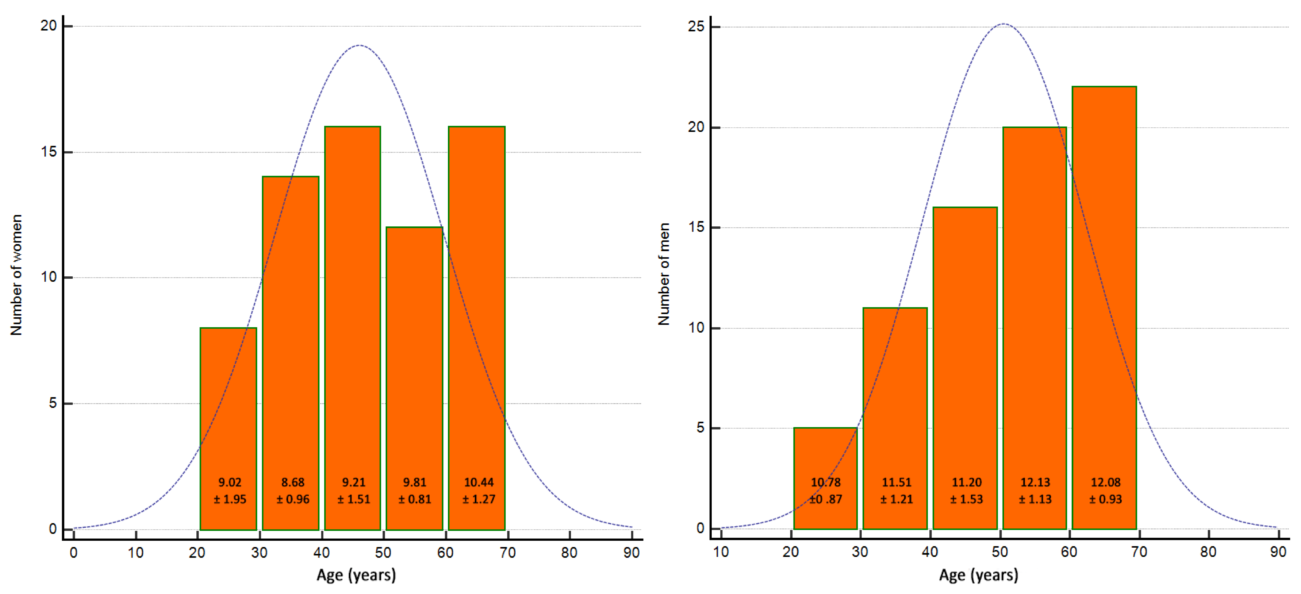
3. Results
4. Discussion
5. Conclusions
Author Contributions
Funding
Institutional Review Board Statement
Informed Consent Statement
Data Availability Statement
Conflicts of Interest
References
- Bercoff, J.; Tanter, M.; Fink, M. Supersonic shear imaging: A new technique for soft tissue elasticity mapping. IEEE Trans. Ultrason. Ferroelectr. Freq. Control 2004, 51, 396–409. [Google Scholar] [CrossRef] [PubMed]
- Arda, K.; Ciledag, N.; Aktas, E.; Aribas, B.K.; Köse, K. Quantitative assessment of normal soft-tissue elasticity using shear-wave ultrasound elastography. AJR Am. J. Roentgenol. 2011, 197, 532–536. [Google Scholar] [CrossRef] [PubMed]
- Ewertsen, C.; Carlsen, J.; Perveez, M.A.; Schytz, H. Reference Values for Shear Wave Elastography of Neck and Shoulder Muscles in Healthy Individuals. Ultrasound Int. Open 2018, 4, E23–E29. [Google Scholar] [CrossRef] [Green Version]
- Wang, L.; Xiang, X.; Zhu, B.-H.; Qiu, L. Determination of reference ranges for normal upper trapezius elasticity during different shoulder abduction using shear wave elastography: A preliminary study. Sci. Rep. 2020, 10, 17104. [Google Scholar] [CrossRef]
- Lallemant-Dudek, P.; Vergari, C.; Dubois, G.; Forin, V.; Vialle, R.; Skalli, W. Ultrasound shearwave elastography to characterize muscles of healthy and cerebral palsy children. Sci. Rep. 2021, 11, 3577. [Google Scholar] [CrossRef]
- Dong, Y.; Sirli, R.; Ferraioli, G.; Sporea, I.; Chiorean, L.; Cui, X.; Fan, M.; Wang, W.P.; Gilja, O.H.; Sidhu, P.S.; et al. Shear wave elastography of the liver—Review on normal values. Z. Für Gastroenterol. 2017, 55, 153–166. [Google Scholar] [CrossRef]
- Youk, J.H.; Gweon, H.M.; Son, E.J. Shear-wave elastography in breast ultrasonography: The state of the art. Ultrasonography 2017, 36, 300–309. [Google Scholar] [CrossRef] [Green Version]
- Forte, A.J.; Huayllani, M.T.; Boczar, D.; Cinotto, G.; Ciudad, P.; Manrique, O.J.; Lu, X.; McLaughlin, S.A. The basics of ultrasound elastography for diagnosis, assessment, and staging breast cancer-related lymphedema: A systematic review of the literature. Gland Surg. 2020, 9, 589–595. [Google Scholar] [CrossRef]
- Woźniak, K.; Lipski, M.; Lichota, D.; Szyszka-Sommerfeld, L. Muscle fatigue in the temporal and masseter muscles in patients with temporomandibular dysfunction. BioMed Res. Int. 2015, 2015, 269734. [Google Scholar] [CrossRef] [Green Version]
- Gauer, R.L.; Semidey, M.J. Diagnosis and treatment of temporomandibular disorders. Am. Fam. Physician 2015, 91, 378–386. [Google Scholar]
- Olchowy, C.; Więckiewicz, M.; Sconfienza, L.M.; Łasecki, M.; Seweryn, P.; Smardz, J.; Hnitecka, S.; Dominiak, M.; Olchowy, A. Potential of Using Shear Wave Elastography in the Clinical Evaluation and Monitoring of Changes in Masseter Muscle Stiffness. Pain Res. Manag. 2020, 2020, 4184268. [Google Scholar] [CrossRef] [PubMed]
- Olchowy, C.; Olchowy, A.; Hadzik, J.; Dąbrowski, P.; Mierzwa, D. Dentists can provide reliable shear wave elastography measurements of the stiffness of masseter muscles: A possible scenario for a faster diagnostic process. Adv. Clin. Exp. Med. 2021, 30, 575–580. [Google Scholar] [CrossRef]
- Wieckiewicz, M.; Grychowska, N.; Wojciechowski, K.; Pelc, A.; Augustyniak, M.; Sleboda, A.; Zietek, M. Prevalence and correlation between TMD based on RDC/TMD diagnoses, oral parafunctions and psychoemotional stress in Polish university students. BioMed Res. Int. 2014, 2014, 472346. [Google Scholar] [CrossRef] [PubMed]
- Schiffman, E.; Ohrbach, R. Executive summary of the Diagnostic Criteria for Temporomandibular Disorders for clinical and research applications. J. Am. Dent. Assoc. 2016, 147, 438–445. [Google Scholar] [CrossRef] [PubMed] [Green Version]
- Chang, P.-H.; Chen, Y.-J.; Chang, K.-V.; Wu, W.-T.; Özçakar, L. Ultrasound measurements of superficial and deep masticatory muscles in various postures: Reliability and influencers. Sci. Rep. 2020, 10, 14357. [Google Scholar] [CrossRef] [PubMed]
- Olchowy, A.; Wieckiewicz, M.; Winocur, E.; Dominiak, M.; Dekkers, I.; Łasecki, M.; Olchowy, C. Great potential of ultrasound elastography for the assessment of the masseter muscle in patients with temporomandibular disorders. A systematic review. Dentomaxillofac. Radiol. 2020, 49, 20200024. [Google Scholar] [CrossRef] [PubMed]
- Herman, J.; Sedlackova, Z.; Vachutka, J.; Furst, T.; Salzman, R.; Vomacka, J. Shear wave elastography parameters of normal soft tissues of the neck. Biomed. Pap. Med. Fac. Univ. Palacky Olomouc Czech. Repub. 2017, 161, 320–325. [Google Scholar] [CrossRef] [PubMed] [Green Version]
- Olchowy, C.; Grzech-Leśniak, K.; Hadzik, J.; Olchowy, A.; Łasecki, M. Monitoring of Changes in Masticatory Muscle Stiffness after Gum Chewing Using Shear Wave Elastography. J. Clin. Med. 2021, 10, 2480. [Google Scholar] [CrossRef]
- Eby, S.F.; Cloud, B.A.; Brandenburg, J.E.; Giambini, H.; Song, P.; Chen, S.; LeBrasseur, N.K.; An, K.N. Shear wave elastography of passive skeletal muscle stiffness: Influences of sex and age throughout adulthood. Clin. Biomech. 2015, 30, 22–27. [Google Scholar] [CrossRef] [Green Version]
- Ochala, J.; Frontera, W.R.; Dorer, D.J.; Van Hoecke, J.; Krivickas, L.S. Single skeletal muscle fiber elastic and contractile characteristics in young and older men. J. Gerontol. Ser. A Biol. Sci. Med. Sci. 2007, 62, 375–381. [Google Scholar] [CrossRef]
- Alfuraih, A.M.; Tan, A.L.; O’Connor, P.; Emery, P.; Wakefield, R.J. The effect of ageing on shear wave elastography muscle stiffness in adults. Aging Clin. Exp. Res. 2019, 31, 1755–1763. [Google Scholar] [CrossRef] [PubMed] [Green Version]
- Akagi, R.; Yamashita, Y.; Ueyasu, Y. Age-Related Differences in Muscle Shear Moduli in the Lower Extremity. Ultrasound Med. Biol. 2015, 41, 2906–2912. [Google Scholar] [CrossRef]
- Yoshida, K.; Itoigawa, Y.; Maruyama, Y.; Saita, Y.; Takazawa, Y.; Ikeda, H.; Kaneko, K.; Sakai, T.; Okuwaki, T. Application of shear wave elastography for the gastrocnemius medial head to tennis leg. Clin. Anat. 2017, 30, 114–119. [Google Scholar] [CrossRef] [PubMed]
- Alnaqeeb, M.A.; Al Zaid, N.S.; Goldspink, G. Connective tissue changes and physical properties of developing and ageing skeletal muscle. J. Anat. 1984, 139 Pt 4, 677–689. [Google Scholar]
- Hatta, T.; Giambini, H.; Uehara, K.; Okamoto, S.; Chen, S.; Sperling, J.W.; Itoi, E.; An, K.N. Quantitative assessment of rotator cuff muscle elasticity: Reliability and feasibility of shear wave elastography. J. Biomech. 2015, 48, 3853–3858. [Google Scholar] [CrossRef] [Green Version]
- Šarabon, N.; Kozinc, Ž.; Podrekar, N. Using shear-wave elastography in skeletal muscle: A repeatability and reproducibility study on biceps femoris muscle. PLoS ONE 2019, 14, e0222008. [Google Scholar] [CrossRef] [PubMed] [Green Version]
- Kozinc, Ž.; Šarabon, N. Shear-wave elastography for assessment of trapezius muscle stiffness: Reliability and association with low-level muscle activity. PLoS ONE 2020, 15, e0234359. [Google Scholar] [CrossRef] [PubMed]



| Mean ± SD, kPa | Difference, kPa (%) | p-Value | |
|---|---|---|---|
| Men (n = 148) | 11.73 ± 1.27 | 2.25 (9.15%) | <0.0001 |
| Women (n = 132) | 9.48 ± 1.47 | ||
| Left total (n = 140) | 10.66 ± 1.76 | 0.01 (0.09%) | 0.9706 |
| Right total (n = 140) | 10.67 ± 1.78 | ||
| Women aged < Me | 8.8 ± 1.4 | 1.36 (13.4%) | 0.0001 |
| Women aged > Me | 10.16 ± 1.25 | ||
| Men aged < Me | 11.43 ± 1.44 | 0.6 (4.9%) | 0.0661 |
| Men aged > Me | 12.03 ± 1.01 |
| Author | Quantity | Elasticity Values of the Masseter Muscle, kPa |
|---|---|---|
| Arda, 2011 [2] | 127 healthy adult volunteers | Total: 10.4 ± 3.7 (range, 2–23) Men: 10.8 ± 3.9 (range, 4–20) Women: 10.3 ± 3.6 (range, 2–23) |
| Herman, 2017 [17] | 176 healthy adult volunteers | 10.0 ± 4.3, median 9.85 |
| Olchowy, 2020 [11] | 20 healthy adult volunteers | 11.46 ± 1.55 |
| Olchowy, 2021 [12] | 51 healthy adult volunteers | Left: from 10.72 ± 2.32 to 10.67 ± 2.23 Right: from 10.88 ± 2.34 to 10.54 ± 2.38 |
| Olchowy, 2021 [18] | 40 healthy adult volunteers | Total: median 11.35 (interquartile range, 9.7–12.65) Left: 10.99 ± 2.04 Right: 11.01 ± 2.21 |
Publisher’s Note: MDPI stays neutral with regard to jurisdictional claims in published maps and institutional affiliations. |
© 2021 by the authors. Licensee MDPI, Basel, Switzerland. This article is an open access article distributed under the terms and conditions of the Creative Commons Attribution (CC BY) license (https://creativecommons.org/licenses/by/4.0/).
Share and Cite
Olchowy, A.; Więckiewicz, M.; Malysa, A.; Olchowy, C. Determination of Reference Values of the Masseter Muscle Stiffness in Healthy Adults Using Shear Wave Elastography. Int. J. Environ. Res. Public Health 2021, 18, 9371. https://doi.org/10.3390/ijerph18179371
Olchowy A, Więckiewicz M, Malysa A, Olchowy C. Determination of Reference Values of the Masseter Muscle Stiffness in Healthy Adults Using Shear Wave Elastography. International Journal of Environmental Research and Public Health. 2021; 18(17):9371. https://doi.org/10.3390/ijerph18179371
Chicago/Turabian StyleOlchowy, Anna, Mieszko Więckiewicz, Andrzej Malysa, and Cyprian Olchowy. 2021. "Determination of Reference Values of the Masseter Muscle Stiffness in Healthy Adults Using Shear Wave Elastography" International Journal of Environmental Research and Public Health 18, no. 17: 9371. https://doi.org/10.3390/ijerph18179371
APA StyleOlchowy, A., Więckiewicz, M., Malysa, A., & Olchowy, C. (2021). Determination of Reference Values of the Masseter Muscle Stiffness in Healthy Adults Using Shear Wave Elastography. International Journal of Environmental Research and Public Health, 18(17), 9371. https://doi.org/10.3390/ijerph18179371

