Early-Onset Alcohol Dependence and Multiple Sclerosis: Diagnostic Challenges
Abstract
1. Introduction
2. Case Report
- (1)
- Two falls due to postural instability (difficulty in maintaining her balance).
- (2)
- A first hospitalization in a private clinic for “alcoholism” about six years ago. She did not follow the medical advice after discharge.
- (3)
- In 2016, optic neuritis characterized by an acute reduction of visual acuity (right eye), without pain. She refers to having received a diagnosis of “neuropathy secondary to alcohol abuse” (no documentation shown). She was administered a course of oral steroids (1 mg/kg) for 10 days, but recovery was poor: the deficit of visual acuity is still present.
- (4)
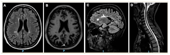
- In 2017, hospitalization for epileptic seizure. In this occasion, she underwent her first MRI that showed inflammatory-demyelinating lesions (reported above).
3. Discussion
4. Conclusions
Author Contributions
Funding
Institutional Review Board Statement
Informed Consent Statement
Data Availability Statement
Acknowledgments
Conflicts of Interest
Statement of Ethics
References
- Goldenberg, M.M. Multiple Sclerosis Review. Pharm. Ther. 2012, 37, 175–184. [Google Scholar]
- Oh, J.; Vidal-Jordana, A.; Montalban, X. Multiple sclerosis: Clinical aspects. Curr. Opin. Neurol. 2018, 31, 752–759. [Google Scholar] [CrossRef] [PubMed]
- Kennedy, P. Impact of delayed diagnosis and treatment in clinically isolated syndrome and multiple sclerosis. J. Neurosci. Nurs. 2013, 45, S3–S13. [Google Scholar] [CrossRef] [PubMed]
- Ömerhoca, S.; Akkaş, S.Y.; İçen, N.K. Multiple sclerosis: Diagnosis and differential diagnosis. Arch. Neuropsychiatry 2018, 55 (Suppl. 1), S1. [Google Scholar] [CrossRef] [PubMed]
- Tanaka, M.; Vécsei, L. Monitoring the Redox Status in Multiple Sclerosis. Biomedicines 2020, 8, 406. [Google Scholar] [CrossRef]
- Thormann, A.; Sørensen, P.S.; Koch-Henriksen, N.; Laursen, B.; Magyari, M. Comorbidity in multiple sclerosis is associated with diagnostic delays and increased mortality. Neurology 2017, 89, 1668–1675. [Google Scholar] [CrossRef]
- Hoang, H.; Laursen, B.; Stenager, E.N.; Stenager, E. Psychiatric co-morbidity in multiple sclerosis: The risk of depression and anxiety before and after MS diagnosis. Mult. Scler. J. 2016, 22, 347–353. [Google Scholar] [CrossRef]
- Marrie, R.A.; Horwitz, R.; Cutter, G.; Tyry, T.; Campagnolo, D.; Vollmer, T. Comorbidity delays diagnosis and increases disability at diagnosis in MS. Neurology 2009, 72, 117–124. [Google Scholar] [CrossRef]
- Pakpoor, J.; Goldacre, R.; Disanto, G.; Giovannoni, G.; Goldacre, M.J. Alcohol misuse disorders and multiple sclerosis risk. JAMA Neurol. 2014, 71, 1188–1189. [Google Scholar] [CrossRef]
- Zhu, T.; Ye, X.; Zhang, T.; Lin, Z.; Shi, W.; Wei, X.; Liu, Y.; He, J. Association between alcohol consumption and multiple sclerosis: A meta-analysis of observational studies. Neurol. Sci. 2015, 36, 1543–1550. [Google Scholar] [CrossRef]
- Arokszallasi, T.; Balogh, E.; Csiba, L.; Fekete, I.; Fekete, K.; Olah, L. Acute alcohol intoxication may cause delay in stroke Treatment—Case reports. BMC Neurol. 2019, 19, 1–5. [Google Scholar] [CrossRef] [PubMed]
- Young, D.; Alqadri, S.; Govindarajan, R. Clinicosocial factors that influence diagnostic delay in ALS. Neurology 2017, 88, 127. Available online: https://n.neurology.org/content/88/16_Supplement/P4.127 (accessed on 22 May 2021).
- Fragoso, Y.D.; Elso, F.G.; Carrá, A. Differential diagnosis of multiple sclerosis in Latin America. Mult. Scler. J. Exp. Transl. Clin. 2017, 3. [Google Scholar] [CrossRef] [PubMed]
- Thompson, A.J.; Banwell, B.L.; Barkhof, F.; Carroll, W.M.; Coetzee, T.; Comi, G.; Correale, J.; Fazekas, F.; Filippi, M.; Freedman, M.S.; et al. Diagnosis of multiple sclerosis: 2017 revisions of the McDonald criteria. Lancet Neurol. 2018, 17, 162–173. [Google Scholar] [CrossRef]
- Bascuñana, P.; Möhle, L.; Brackhan, M.; Pahnke, J. Fingolimod as a Treatment in Neurologic Disorders beyond Multiple Sclerosis. Drugs R&D 2020, 20, 197–207. [Google Scholar]
- Fernández, O.; Izquierdo, G.; Aguera, E.; Ramo, C.; Hernandez, M.; Silva, D.; Walker, R.; Butzkueven, H.; Wang, C.; Barnett, M.; et al. Comparison of first-line and second-line use of fingolimod in relapsing MS: The open-label EARLIMS study. Mult. Scler. J. Exp. Transl. Clin. 2020, 6. [Google Scholar] [CrossRef] [PubMed]
- Filippi, M.; Rocca, M.A.; Ciccarelli, O.; De Stefano, N.; Evangelou, N.; Kappos, L.; Rovira, A.; Sastre-Garriga, J.; Tintorè, M.; Frederiksen, J.L.; et al. MRI criteria for the diagnosis of multiple sclerosis: MAGNIMS consensus guidelines. Lancet Neurol. 2016, 15, 292–303. [Google Scholar] [CrossRef]
- Prosperini, L.; Castelli, L. Spotlight on postural control in patients with multiple sclerosis. Degener. Neurol. Neuromuscul. Dis. 2018, 8, 25–34. [Google Scholar] [CrossRef]
- Sullivan, E.V.; Rose, J.; Pfefferbaum, A. Mechanisms of postural control in alcoholic men and women: Biomechanical analysis of musculoskeletal coordination during quiet standing. Alcohol. Clin. Exp. Res. 2010, 34, 528–537. [Google Scholar] [CrossRef]
- Balcer, L.J. Optic Neuritis. N. Engl. J. Med. 2006, 354, 1273–1280. [Google Scholar] [CrossRef]
- Chisari, C.G.; Toro, M.D.; Cimino, V.; Rejdak, R.; Luca, M.; Rapisarda, L.; Avitabile, T.; Posarelli, C.; Rejdak, K.; Reibaldi, M.; et al. Retinal Nerve Fiber Layer Thickness and Higher Relapse Frequency May Predict Poor Recovery after Optic Neuritis in MS Patients. J. Clin. Med. 2019, 8, 2022. [Google Scholar] [CrossRef] [PubMed]
- Kesler, A.; Pianka, P. Toxic optic neuropathy. Curr. Neurol. Neurosci. Rep. 2003, 3, 410–414. [Google Scholar] [CrossRef] [PubMed]
- Sharma, P.; Sharma, R. Toxic optic neuropathy. Indian J. Ophthalmol. 2011, 59, 137. [Google Scholar] [CrossRef]



| Publisher’s Note: MDPI stays neutral with regard to jurisdictional claims in published maps and institutional affiliations. | 
© 2021 by the authors. Licensee MDPI, Basel, Switzerland. This article is an open access article distributed under the terms and conditions of the Creative Commons Attribution (CC BY) license (https://creativecommons.org/licenses/by/4.0/).
Share and Cite
Luca, M.; Chisari, C.G.; Zanghì, A.; Patti, F. Early-Onset Alcohol Dependence and Multiple Sclerosis: Diagnostic Challenges. Int. J. Environ. Res. Public Health 2021, 18, 5588. https://doi.org/10.3390/ijerph18115588
Luca M, Chisari CG, Zanghì A, Patti F. Early-Onset Alcohol Dependence and Multiple Sclerosis: Diagnostic Challenges. International Journal of Environmental Research and Public Health. 2021; 18(11):5588. https://doi.org/10.3390/ijerph18115588
Chicago/Turabian StyleLuca, Maria, Clara Grazia Chisari, Aurora Zanghì, and Francesco Patti. 2021. "Early-Onset Alcohol Dependence and Multiple Sclerosis: Diagnostic Challenges" International Journal of Environmental Research and Public Health 18, no. 11: 5588. https://doi.org/10.3390/ijerph18115588
APA StyleLuca, M., Chisari, C. G., Zanghì, A., & Patti, F. (2021). Early-Onset Alcohol Dependence and Multiple Sclerosis: Diagnostic Challenges. International Journal of Environmental Research and Public Health, 18(11), 5588. https://doi.org/10.3390/ijerph18115588
 
         
                                                

