Sign in to use this feature.

Years

Between: -

Subjects

remove_circle_outline
remove_circle_outline
remove_circle_outline
remove_circle_outline
remove_circle_outline
remove_circle_outline
remove_circle_outline
remove_circle_outline
remove_circle_outline

Journals

remove_circle_outline
remove_circle_outline
remove_circle_outline
remove_circle_outline
remove_circle_outline
remove_circle_outline
remove_circle_outline
remove_circle_outline
remove_circle_outline
remove_circle_outline
remove_circle_outline
remove_circle_outline
remove_circle_outline
remove_circle_outline
remove_circle_outline
remove_circle_outline
remove_circle_outline
remove_circle_outline
remove_circle_outline
remove_circle_outline
remove_circle_outline
remove_circle_outline
remove_circle_outline
remove_circle_outline
remove_circle_outline
remove_circle_outline
remove_circle_outline
remove_circle_outline
remove_circle_outline
remove_circle_outline
remove_circle_outline
remove_circle_outline
remove_circle_outline
remove_circle_outline
remove_circle_outline
remove_circle_outline
remove_circle_outline
remove_circle_outline

Article Types

Countries / Regions

remove_circle_outline
remove_circle_outline
remove_circle_outline
remove_circle_outline
remove_circle_outline
remove_circle_outline
remove_circle_outline
remove_circle_outline
remove_circle_outline
remove_circle_outline
remove_circle_outline

Search Results (1,825)

Search Parameters:
Keywords = diagnostic delay

Order results
Result details
Results per page
Select all
Export citation of selected articles as:
11 pages, 6440 KB  
Case Report
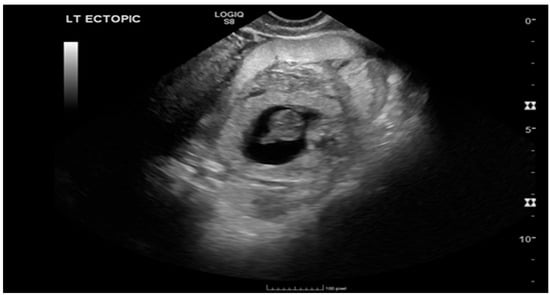
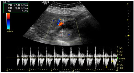
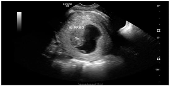
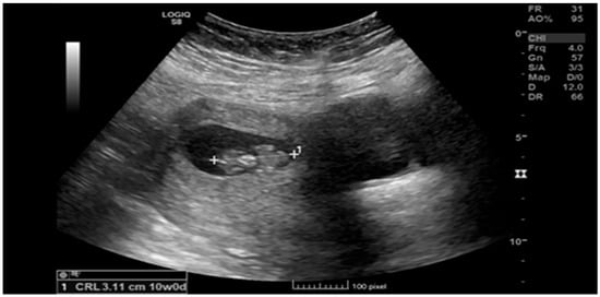
Ruptured Heterotopic Pregnancy: Laparoscopic Management, Preserving Intrauterine Viability
by Suhaib Khayat
Reprod. Med. 2026, 7(1), 14; https://doi.org/10.3390/reprodmed7010014 - 17 Mar 2026
Abstract
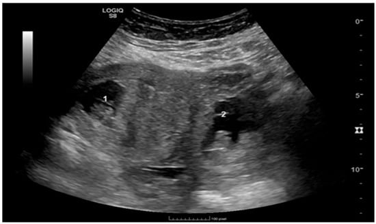
Pregnancy (HP), defined as the coexistence of intrauterine and ectopic gestations, is a rare condition, especially in spontaneous conception, but it is a life-threatening obstetric emergency when rupture occurs, with a reported maternal mortality rate of 0.03%. Diagnosis is often delayed because confirmation [...] Read more.
Pregnancy (HP), defined as the coexistence of intrauterine and ectopic gestations, is a rare condition, especially in spontaneous conception, but it is a life-threatening obstetric emergency when rupture occurs, with a reported maternal mortality rate of 0.03%. Diagnosis is often delayed because confirmation of an intrauterine pregnancy can mask clinical signs of a concurrent ectopic gestation. Early recognition and prompt surgical intervention are therefore critical to maternal safety and preservation of intrauterine viability. This case highlights the diagnostic challenges and successful management of a spontaneous ruptured heterotopic pregnancy. Case presentation: A 34-year-old Middle Eastern woman, gravida 4, with a spontaneous conception, presented with sudden severe lower abdominal pain and signs of acute hemoperitoneum (hypotension, tachycardia, and marked peritoneal signs). Transvaginal ultrasound demonstrated a viable intrauterine pregnancy at 9 weeks 4 days gestation, together with a ruptured left tubal ectopic pregnancy of similar gestational age. The patient underwent urgent laparoscopic left salpingectomy with evacuation of approximately 1200 mL of intraperitoneal blood and clots. Postoperatively, she developed significant anemia (hemoglobin drop from 11.2 g/dL on admission to 6.5 g/dL) requiring transfusion of four units of packed red blood cells. Serial ultrasonographic follow-up confirmed ongoing viability of the intrauterine pregnancy, which ultimately resulted in a live birth at term. Progressive resolution of the postoperative pelvic hematoma was also noted. Conclusions: Ruptured heterotopic pregnancy remains a diagnostic and therapeutic challenge. This case, along with a synthesis of the contemporary literature, demonstrates that a high clinical index of suspicion, timely ultrasound diagnosis, and immediate minimally invasive surgical management are paramount. Furthermore, rigorous postoperative monitoring and resuscitation, including targeted transfusion, are essential to achieve maternal stabilization while allowing continuation of a viable intrauterine pregnancy, with reported live birth rates exceeding 70% following timely intervention. Full article
Show Figures

Figure 1

11 pages, 635 KB  
Article
Assessment of Pancreatic Exocrine Insufficiency in Patients with Dyspepsia: Clinical Utility of the PEI-Test in Identifying and Monitoring Response to Enzyme Replacement Therapy
by Ahmet Said Dundar, Kadir Demir, Mehmet Bayram, Eda Nur Duran, Hafize Uzun and Omur Tabak
J. Clin. Med. 2026, 15(6), 2297; https://doi.org/10.3390/jcm15062297 - 17 Mar 2026
Abstract
Background and Objectives: Functional dyspepsia (FD) often overlaps with Pancreatic Exocrine Insufficiency (PEI), leading to diagnostic delays. We aimed to evaluate the prevalence of PEI in patients presenting dyspeptic symptoms using the survey-based PEI test and to assess the clinical response to Pancreatic [...] Read more.
Background and Objectives: Functional dyspepsia (FD) often overlaps with Pancreatic Exocrine Insufficiency (PEI), leading to diagnostic delays. We aimed to evaluate the prevalence of PEI in patients presenting dyspeptic symptoms using the survey-based PEI test and to assess the clinical response to Pancreatic Enzyme Replacement Therapy (PERT). Methods: This study included 91 patients with PEI and 58 control subjects. PEI was evaluated using the PEI Patient-Reported Outcome (PRO) instrument and classified as mild, moderate, or severe according to the 18-item PEI test. Objective fat malabsorption was assessed by the acid steatocrit method using a gravimetric assay. Patients diagnosed with PEI received PERT, and treatment response was evaluated at follow-up with a repeat PEI test. Results: When the case and control groups were compared in terms of PEI scores, a statistically significant difference was found (p < 0.001). Fecal steatocrit value was found to be statistically significant with the PEI score (p = 0.017). No statistically significant difference was found between amylase, lipase, vitamin D, vitamin B12, and folic acid and the PEI score (p = 0.789, p = 0.299, p = 0.865, p = 0.153, and p = 0.855, respectively). A statistically significant difference was found between the pre-treatment PEI score and the post-treatment PEI score (p < 0.001). The mean pre-treatment PEI score was 1.52 ± 0.50, while the post-treatment PEI score was 0.42 ± 0.48. Approximately 72% reduction in PEI score was observed with treatment. Conclusions: The PEI test may represent a useful, non-invasive tool for identifying suspected pancreatic dysfunction in patients initially diagnosed with functional dyspepsia. Early integration of this tool into clinical practice can improve symptom control and prevent the misclassification of PEI as a purely functional disorder. Full article
(This article belongs to the Section Gastroenterology & Hepatopancreatobiliary Medicine)
Show Figures

Figure 1

25 pages, 1492 KB  
Review
The Role of CEUS in the Diagnosis and Follow-Up of Pleuropulmonary Diseases and Interventional Procedures
by Andrea Boccatonda, Alice Brighenti, Daniel Piamonti, Giulia Bandini, Giulia Fiorini, Luigi Vetrugno, Giampietro Marchetti, Esterita Accogli, Carla Serra and Damiano D’Ardes
J. Clin. Med. 2026, 15(6), 2292; https://doi.org/10.3390/jcm15062292 - 17 Mar 2026
Abstract
Background: Contrast-enhanced ultrasound (CEUS) recently emerged as a valuable imaging modality for evaluating pleuropulmonary diseases. By combining morphological information from conventional B-mode ultrasound with real-time assessment of microvascular perfusion, CEUS can provide functional insights that improve diagnostic accuracy, guide interventions, and support patient [...] Read more.
Background: Contrast-enhanced ultrasound (CEUS) recently emerged as a valuable imaging modality for evaluating pleuropulmonary diseases. By combining morphological information from conventional B-mode ultrasound with real-time assessment of microvascular perfusion, CEUS can provide functional insights that improve diagnostic accuracy, guide interventions, and support patient surveillance. Methods: This review summarizes the current evidence on the use of CEUS in major pleuropulmonary disorders, including pneumonia, pleural effusion, pulmonary embolism, neoplasms, and COVID-19-related lung injury. The most relevant clinical studies and meta-analyses were analyzed, focusing on CEUS parameters, diagnostic performance, and integration with other imaging techniques. Results: CEUS enables the differentiation between inflammatory, ischemic, and malignant lesions through qualitative and quantitative analyses of enhancement patterns. Early and homogeneous enhancement is typical of inflammatory or infectious processes, whereas heterogeneous or delayed enhancement with early washout strongly suggests malignancy or ischemia. In pneumonia and pleural infections, CEUS identifies non-perfused or necrotic areas, guiding drainage and evaluating therapeutic responses. In pulmonary embolism, it reveals avascular consolidations corresponding to infarction, even when CT angiography is inconclusive. For peripheral lung tumors, CEUS assesses angiogenesis and vascular supply, correlating perfusion parameters with histopathology, and improving biopsy targeting. Furthermore, in COVID-19 pneumonia, CEUS can detect microvascular alterations related to thrombosis and fibrosis. Conclusions: CEUS is a safe, noninvasive, and radiation-free technique that provides unique real-time information on pulmonary perfusion. Its integration with conventional ultrasound enhances diagnostic precision, optimizes interventional guidance, and allows for dynamic monitoring of treatment response. Future developments in quantitative analysis, artificial intelligence, and targeted contrast agents are expected to further expand CEUS clinical applications in pleuropulmonary imaging. Full article
Show Figures

Figure 1

27 pages, 4755 KB  
Systematic Review
Diagnostic Accuracy and Clinical Utility of Salivary Biomarkers in Oral Squamous Cell Carcinoma: A Meta-Analysis
by Arbi Wijaya, Vera Julia, Nurtami Soedarsono, Lilies D. Sulistyani, Moh Adhitya Latief, Turmidzi Fath, Bayu Brahma, Alif Rizqy Soeratman, Denni Joko Purwanto, Yutaro Higashi and Tsuyoshi Sugiura
Cancers 2026, 18(6), 970; https://doi.org/10.3390/cancers18060970 - 17 Mar 2026
Abstract
Background: Oral squamous cell carcinoma (OSCC) remains a major global health burden due to delayed diagnosis. Although salivary biomarkers have been explored in previous meta-analyses, these studies were limited to specific biomarker types. Methods: This study followed PRISMA guidelines and was registered in [...] Read more.
Background: Oral squamous cell carcinoma (OSCC) remains a major global health burden due to delayed diagnosis. Although salivary biomarkers have been explored in previous meta-analyses, these studies were limited to specific biomarker types. Methods: This study followed PRISMA guidelines and was registered in PROSPERO (CRD 420261296936). PubMed, Scopus, MEDLINE, and CINAHL were searched for diagnostic accuracy studies of salivary biomarkers for OSCC. Studies providing sufficient data to construct 2 × 2 tables were included. Pooled sensitivity, specificity, DOR, and HSROC curves were estimated using a bivariate random-effects model, and study quality was assessed using QUADAS-2. Results: Eighteen studies comprising 1647 participants yielded 45 diagnostic datasets across multiple biomarker classes. The pooled sensitivity and specificity were 0.64 (95% CI: 0.59–0.69) and 0.71 (95% CI: 0.66–0.76), respectively. The pooled DOR was 4.53 (95% CI: 3.18–6.47), indicating moderate discriminatory ability, with an AUC of 0.75 (95% CI: 0.71–0.79). Fagan’s nomogram analysis demonstrated that these biomarkers are not suitable for screening the general population and should be reserved for enriched populations (pre-test probability > 10%). Conclusions: Salivary biomarkers demonstrate moderate but highly heterogeneous diagnostic accuracy. Clinical utility is context-dependent and limited to enriched populations with a baseline probability of OSCC >10%. In screening the general population (prevalence < 0.01%), these tests offer no significant clinical utility. They should be considered complementary triage tools rather than definitive diagnostic modalities. Full article
Show Figures

Figure 1

23 pages, 3009 KB  
Review
An Overview of Vascular Compression Syndromes and Associations with Autonomic Dysfunction: A Review
by Brandon M. Davis, Petra Rantanen, Grace Seo, Siya Thadani, Elizabeth B. Spencer, Edward Hepworth and Alexis Cutchins
Biomedicines 2026, 14(3), 689; https://doi.org/10.3390/biomedicines14030689 - 17 Mar 2026
Abstract
Background: Vascular compression syndromes are increasingly recognized as underdiagnosed contributors to morbidity in patients exhibiting dysautonomia. Underlying vascular compression syndromes affecting the head and neck, abdomen, pelvis, and lower extremities may influence venous return, neurohormonal signaling, and autonomic regulation. There is considerable [...] Read more.
Background: Vascular compression syndromes are increasingly recognized as underdiagnosed contributors to morbidity in patients exhibiting dysautonomia. Underlying vascular compression syndromes affecting the head and neck, abdomen, pelvis, and lower extremities may influence venous return, neurohormonal signaling, and autonomic regulation. There is considerable clinical overlap among these syndromes, as well as between hypermobility spectrum disorders (HSD) and dysautonomia, indicating possible shared or interacting pathophysiological mechanisms. Purpose/Aims: This hypothesis-generating narrative review synthesizes current evidence linking vascular compression syndromes with dysautonomia, highlights potential mechanistic pathways, identifies patterns of syndromic overlap, and emphasizes the importance of systematic evaluation in affected patient populations. Key Findings: Evidence from retrospective studies, case series, and clinical observations indicates that vascular compression syndromes may be prevalent among patients with dysautonomia, particularly postural orthostatic tachycardia syndrome (POTS) and HSD, yet are often unrecognized. Proposed mechanisms based on limited data include impaired venous capacitance and preload reserve, increased intracranial pressure, altered renin–aldosterone and cortisol signaling, underlying autoimmune and systemic diseases, and sympathetic ganglion irritation. Several compression syndromes show symptom overlap and frequent co-occurrence, especially in patients with connective tissue disorders. Emerging data suggest that targeted interventions, such as surgical decompression or venous stenting, may improve orthostatic intolerance and quality-of-life measures in selected patients, though high-quality prospective data remain limited. Conclusions: Vascular compression syndromes may be an important yet underappreciated contributor to dysautonomia. Increased clinical awareness and systematic screening may reduce diagnostic delays and morbidity in this underserved population. Prospective studies are needed to clarify prevalence, establish causal relationships, and determine the impact of targeted treatments on autonomic outcomes. Full article
(This article belongs to the Special Issue Autonomic Disorders: From Mechanisms to Therapeutic Approaches)
Show Figures

Graphical abstract

19 pages, 658 KB  
Article
Cohesion as Concentration: Exclusion-Driven Fragility in Financial Organizations
by Foong Soon Cheong
J. Risk Financial Manag. 2026, 19(3), 220; https://doi.org/10.3390/jrfm19030220 - 16 Mar 2026
Abstract
Financial crises repeatedly reveal organizations that appear internally aligned while failing to recognize accumulating tail risks. This paper argues that cohesion is observationally ambiguous. It can arise from information integration, in which heterogeneous inputs are debated and synthesized, or from exclusion, in which [...] Read more.
Financial crises repeatedly reveal organizations that appear internally aligned while failing to recognize accumulating tail risks. This paper argues that cohesion is observationally ambiguous. It can arise from information integration, in which heterogeneous inputs are debated and synthesized, or from exclusion, in which variance is removed through conformity pressure, gatekeeping, and intolerance of dissent. This distinction is formalized using a signal aggregation model in which an organization maintains an anchor belief and achieves agreement through two exclusion channels: report shrinkage toward the anchor and a tolerance rule that discards reports deviating beyond a threshold. Relative to a full inclusion benchmark, exclusion based cohesion jointly produces state contingent bias that is small in normal regimes but grows sharply under displacement, illusory precision in which observed disagreement falls as tail regime estimation error rises, effective concentration of decision inputs below the nominal participant count, and, when the anchor updates from filtered aggregates, dynamic lock in with delayed regime recognition and abrupt correction. External inputs that bypass internal filtering shorten recognition delays. The model yields testable governance diagnostics linking latent fragility to observable patterns in recorded dissent, anonymous to formal voting gaps, scenario set diversity, pipeline and method concentration, and anchor lag. The central implication is that governance systems should treat low internal conflict and unanimity as potentially diagnostic of variance depletion and should monitor whether heterogeneity is integrated or excluded before stress reveals the difference. Full article
(This article belongs to the Section Risk)
Show Figures

Figure 1

14 pages, 3531 KB  
Article
Full-Field Assessment of Damage Evolution in Compressed Masonry with Bed Joint Reinforcement Using Digital Image Correlation
by Artur Piekarczuk, Przemysław Więch and Jacek Głodkiewicz
Materials 2026, 19(6), 1145; https://doi.org/10.3390/ma19061145 - 15 Mar 2026
Abstract
This experimental study investigates the influence of selected bed joint reinforcement systems on the evolution of damage and crack development in masonry elements subjected to axial compression. Autoclaved aerated concrete masonry samples reinforced with steel truss reinforcement, unidirectional carbon fibre mesh and steel [...] Read more.
This experimental study investigates the influence of selected bed joint reinforcement systems on the evolution of damage and crack development in masonry elements subjected to axial compression. Autoclaved aerated concrete masonry samples reinforced with steel truss reinforcement, unidirectional carbon fibre mesh and steel cords embedded in a fibreglass matrix were tested and compared to an unreinforced reference specimen. Full-field deformation and strain localisation were monitored using digital image correlation (DIC). The results indicate that bed joint reinforcement does not lead to a measurable increase in compressive load-bearing capacity, as differences in ultimate load remain within experimental uncertainty. However, clear differences in the evolution and spatial distribution of damage were observed. Steel truss reinforcement promoted strain redistribution and delayed localisation of tensile strains, while the remaining reinforcement systems exhibited only limited influence on crack morphology. The findings confirm that bed joint reinforcement in compressed masonry should be classified as a nonstructural solution and demonstrate the diagnostic value of full-field deformation monitoring for assessing damage evolution and crack control in masonry structures. Full article
Show Figures

Graphical abstract

21 pages, 733 KB  
Systematic Review
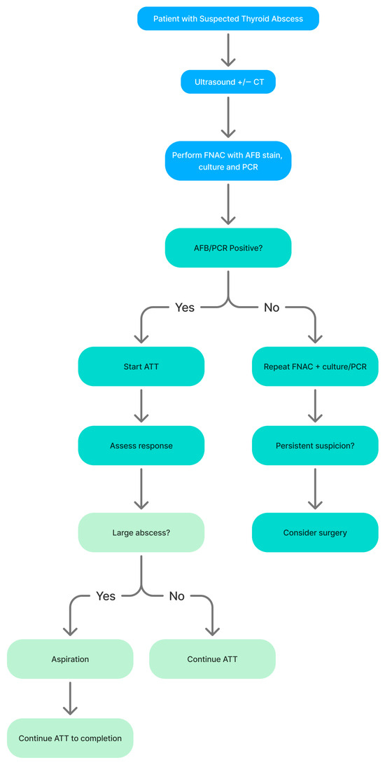
Thyroid Tuberculosis Abscess: A Systematic Review of Diagnostic Pathways and Management Strategies
by Pranav Shivashankar, Praween Senanayake, Thomas Stephen Ledger and Nicholas Ngui
Trop. Med. Infect. Dis. 2026, 11(3), 81; https://doi.org/10.3390/tropicalmed11030081 - 15 Mar 2026
Abstract
Background: Thyroid tuberculosis abscesses (TTA) are rare manifestations of extrapulmonary tuberculosis, with the available literature consisting almost exclusively of individual case reports and small observational series. This systematic review aimed to evaluate current management strategies and associated clinical outcomes for TTA. Methods: Reports [...] Read more.
Background: Thyroid tuberculosis abscesses (TTA) are rare manifestations of extrapulmonary tuberculosis, with the available literature consisting almost exclusively of individual case reports and small observational series. This systematic review aimed to evaluate current management strategies and associated clinical outcomes for TTA. Methods: Reports describing confirmed TTA, specified treatment regimens and clinical outcomes were systematically identified and synthesised from PubMed, Embase, Web of Science and Google Scholar from the period 1990 to 2025. Studies with suspected but unconfirmed cases were excluded. Risk of bias was assessed using the Joanna Briggs Institute tool. A total of 22 studies comprising 33 patients were included. Results: Significant diagnostic delays were seen. When diagnosis was established, standard four-drug anti-tubercular therapy (ATT) for at least 6 months emerged as the predominant first-line treatment. Surgical or percutaneous drainage procedures were typically reserved for large abscesses, treatment failure, acute suppurative presentations or suspected malignancy. Across published cases, lesion resolution and preservation of euthyroid function were reported in 92% of patients. However, the absence of comparative studies and the reliance on highly selected case material limit definitive conclusions and raise concerns about publication bias. Conclusions: TTA is a rare entity, with established treatment success with ATT, with surgery reserved for selected cases. Higher-quality comparative data are required to inform optimal management strategies. Full article
(This article belongs to the Section Infectious Diseases)
Show Figures

Figure 1

12 pages, 526 KB  
Article
Predictors of Prolonged Hospitalization in Pyogenic Tenosynovitis of the Hand: A Retrospective Cohort Study Focused on Length of Stay
by Cristian-Sorin Hariga, Florin-Vlad Hodea, Vladut-Alin Ratoiu, Eliza-Maria Bordeanu-Diaconescu, Madalina-Olivia Radu-Adamesteanu, Razvan Nicolae Teodoreanu, Cristian-Radu Jecan and Andreea Grosu-Bularda
Medicina 2026, 62(3), 534; https://doi.org/10.3390/medicina62030534 - 13 Mar 2026
Viewed by 90
Abstract
Background and Objectives: Septic tenosynovitis of the hand remains a surgical emergency associated with significant morbidity and healthcare resource utilization. While prior studies have focused primarily on diagnostic features, microbiology, and functional outcomes, factors influencing prolonged hospitalization remain insufficiently characterized. Length of stay [...] Read more.
Background and Objectives: Septic tenosynovitis of the hand remains a surgical emergency associated with significant morbidity and healthcare resource utilization. While prior studies have focused primarily on diagnostic features, microbiology, and functional outcomes, factors influencing prolonged hospitalization remain insufficiently characterized. Length of stay (LOS) represents a pragmatic, patient- and system-centered outcome that may reflect disease burden and treatment complexity. To identify clinical, demographic, and treatment-related factors associated with prolonged hospitalization in patients treated surgically for septic tenosynovitis of the hand, using LOS ≥ 6 days as a clinically meaningful threshold. Materials and methods: A retrospective cross-sectional study was conducted including 38 adult patients treated surgically for acute septic tenosynovitis of the hand at a tertiary referral center between 1 January 2020 and 31 December 2024. Demographic variables, comorbidities, immunosuppressive status, mechanism of injury, anatomical involvement, time to presentation, microbiological findings, number of surgical procedures, inpatient LOS, and outpatient follow-up visits were analyzed. Results: The mean age was 53.2 ± 15.8 years, and the mean LOS was 7.5 ± 3.7 days (range, 2–17 days). Twenty-seven patients (71.1%) experienced an LOS ≥ 6 days. The presence of comorbidities (p = 0.0026) and immunosuppressive status (p = 0.0378) were significantly associated with prolonged hospitalization. In contrast, age, sex, time to presentation, and microbiological culture positivity, were not significantly associated with prolonged LOS. The mean number of outpatient follow-up visits was 2.5 ± 1.9, highlighting an additional post-discharge care burden. Conclusions: Prolonged hospitalization in septic tenosynovitis appears to be driven predominantly by patient-related vulnerability, particularly comorbidities and immunosuppression, rather than by anatomical involvement, microbiological profile, or presentation delay alone. LOS may serve as a useful surrogate marker for treatment burden and resource utilization, supporting early identification of high-risk patients and optimization of inpatient care pathways. Full article
(This article belongs to the Section Surgery)
Show Figures

Figure 1

22 pages, 1101 KB  
Systematic Review
Radiomics for Detection and Differentiation of Intrahepatic Cholangiocarcinoma: A Systematic Review and Meta-Analysis
by Zayan Alidina, Illiyun Banani, Umm E. Abiha, Ujala Sultan and Timothy M. Pawlik
Cancers 2026, 18(6), 937; https://doi.org/10.3390/cancers18060937 - 13 Mar 2026
Viewed by 99
Abstract
Background: Intrahepatic cholangiocarcinoma (ICC) is an aggressive primary liver malignancy with limited survival, largely due to delayed diagnosis, recurrence and limited effective therapeutic options. Radiomics- and artificial intelligence (AI)-based imaging models have emerged as promising tools to improve noninvasive detection and differentiation of [...] Read more.
Background: Intrahepatic cholangiocarcinoma (ICC) is an aggressive primary liver malignancy with limited survival, largely due to delayed diagnosis, recurrence and limited effective therapeutic options. Radiomics- and artificial intelligence (AI)-based imaging models have emerged as promising tools to improve noninvasive detection and differentiation of ICC. We conducted a systematic review and meta-analysis to evaluate the diagnostic performance of radiomics-based AI models for ICC. Methods: A systematic search of PubMed, Embase, Scopus, and the Cochrane Library was performed from inception through 2025 in accordance with PRISMA guidelines. Studies assessing radiomics- or AI-based models derived from CT, MRI, PET, or ultrasound for differentiation of ICC from other hepatic lesions were included. Pooled sensitivity, specificity, positive likelihood ratio (PLR), and negative likelihood ratio (NLR) were estimated using a bivariate random-effects model. Study quality and risk of bias were assessed using the Radiomics Quality Score (RQS) and QUADAS-2 tools. Results: Twenty retrospective studies comprising 8746 participants were included. Across pooled validation and test datasets, radiomics-based AI models demonstrated a pooled sensitivity of 0.77 (95% CI, 0.69–0.84) and specificity of 0.88 (95% CI, 0.78–0.94) for differentiating ICC from non-ICC hepatic lesions. The pooled PLR was 6.81 (95% CI, 3.51–13.2), and the pooled NLR was 0.23 (95% CI, 0.09–0.61). CT-based models showed higher diagnostic performance compared with MRI and ultrasound. Subgroup and meta-regression analyses identified imaging modality, contrast phase, segmentation strategy, and validation approach as contributors to interstudy heterogeneity. The overall methodological quality demonstrated a mean Radiomics Quality Score (RQS) of 14.0 (range 11–24), corresponding to approximately 39% of the maximum achievable score. External validation cohorts were incorporated in 60% of the studies, although adherence to standardized feature reproducibility frameworks varied. Conclusions: Radiomics-based AI models demonstrate clinically meaningful diagnostic accuracy for noninvasive differentiation of ICC and may complement conventional imaging in preoperative evaluation. Prospective, multicenter studies with standardized imaging protocols and rigorous external validation are required before routine clinical adoption. Full article
(This article belongs to the Section Systematic Review or Meta-Analysis in Cancer Research)
Show Figures

Figure 1

12 pages, 2947 KB  
Case Report
MEWDS-like Presentation Unmasking Sequential Bilateral Multifocal Choroiditis: Insights from Longitudinal Multimodal Imaging
by Blerta Lang, Annekatrin Rickmann, Karl Thomas Boden, Stefanie Behnke and Peter Szurman
Biomedicines 2026, 14(3), 649; https://doi.org/10.3390/biomedicines14030649 - 13 Mar 2026
Viewed by 95
Abstract
Background: Multiple evanescent white dot syndrome (MEWDS) is usually acute and self-limited, whereas multifocal choroiditis (MFC)/punctate inner choroidopathy (PIC) is relapsing; overlap can obscure early diagnosis and requires longitudinal multimodal imaging. Methods: We report a 4-year follow-up of a 31-year-old woman with fundus [...] Read more.
Background: Multiple evanescent white dot syndrome (MEWDS) is usually acute and self-limited, whereas multifocal choroiditis (MFC)/punctate inner choroidopathy (PIC) is relapsing; overlap can obscure early diagnosis and requires longitudinal multimodal imaging. Methods: We report a 4-year follow-up of a 31-year-old woman with fundus autofluorescence (FAF), fluorescein angiography (FA), indocyanine green angiography (ICGA), and spectral-domain optical coherence tomography (SD-OCT), plus a systemic/neurologic/rheumatologic work-up. Treatment included intravenous methylprednisolone for presumed optic neuritis, followed by topical, periocular, intravitreal, and systemic corticosteroids, later escalated to adalimumab and an intravitreal dexamethasone implant. Because foveal granularity could not be documented, baseline was termed “MEWDS-like”. Diagnostic labelling was benchmarked against Standardization of Uveitis Nomenclature (SUN) criteria, and choroidal neovascularization (CNV) was assessed at each relapse by OCT and FA. Results: The right eye initially showed a MEWDS-like pattern with wreath-like FA lesions and disc leakage, hyperautofluorescent FAF lesions, focal ellipsoid zone disruption on SD-OCT, and multifocal ICGA hypofluorescent spots. A relapse at 6 months with peripapillary inflammatory foci and recurrent cystoid macular edema supported reclassification to a unilateral MFC/PIC-spectrum phenotype. At 2 years, the fellow eye developed mild vitritis, peripapillary hyperautofluorescence, peripapillary/arcade leakage on FA, delayed peripapillary filling on ICGA, and cystoid macular edema, establishing sequential bilateral MFC; no CNV developed and anti-vascular endothelial growth factor (anti-VEGF) therapy was not required. Complications included steroid-induced ocular hypertension and cataract surgery. Conclusions: The purpose of this report is to highlight longitudinal imaging “red flags” that supported reclassification from a MEWDS-like phenotype to a sequential bilateral MFC/PIC-spectrum disease. Full article
Show Figures

Figure 1

18 pages, 1000 KB  
Review
Delayed-Type Hypersensitivity to Mycobacterium tuberculosis Antigens: The Immunological Mechanism and Potential Therapeutic Strategies—A Systematic Review
by Wiktoria Andryszkiewicz, Maksym Bodziony, Milena Chmielewska, Martyna Kowalczyk, Gabriela Rzońca and Krzysztof Gomułka
Int. J. Mol. Sci. 2026, 27(6), 2620; https://doi.org/10.3390/ijms27062620 - 13 Mar 2026
Viewed by 108
Abstract
Delayed-type hypersensitivity (DTH) to Mycobacterium tuberculosis (MTb) antigens is a crucial component of the cellular immune response presented during tuberculosis infection. This reaction is driven primarily by T lymphocytes, which recognize mycobacterial antigens and trigger a focused inflammatory cascade. Cytokines produced by T [...] Read more.
Delayed-type hypersensitivity (DTH) to Mycobacterium tuberculosis (MTb) antigens is a crucial component of the cellular immune response presented during tuberculosis infection. This reaction is driven primarily by T lymphocytes, which recognize mycobacterial antigens and trigger a focused inflammatory cascade. Cytokines produced by T lymphocytes stimulate the formation of granulomas, organized structures that help contain the bacteria and prevent their spread. DTH is essential for controlling the infection and forms the basis of diagnostic tools, including the still widely practiced tuberculin skin test despite its limitations. This immunological mechanism is also used as an important therapeutic target in the treatment of tuberculosis by modulating the cellular response. These approaches include immunomodulatory agents, therapeutic vaccines and host-directed treatment. Ongoing research offers promising opportunities for future interventions aimed at decreasing the global mortality associated with tuberculosis. Full article
Show Figures

Figure 1

7 pages, 465 KB  
Case Report
The Overlooked Winter Presentation: A Case Series of Two Patients with Human Granulocytic Anaplasmosis
by Abdullah Khan Zada and Mashal Salehi
Zoonotic Dis. 2026, 6(1), 9; https://doi.org/10.3390/zoonoticdis6010009 - 13 Mar 2026
Viewed by 61
Abstract
Background: Human granulocytic anaplasmosis (HGA) is a tick-borne zoonotic infection caused by Anaplasma phagocytophilum and transmitted by Ixodes species. In temperate regions, HGA is considered seasonal, with most cases occurring during late spring and summer. We describe two cases of HGA diagnosed in [...] Read more.
Background: Human granulocytic anaplasmosis (HGA) is a tick-borne zoonotic infection caused by Anaplasma phagocytophilum and transmitted by Ixodes species. In temperate regions, HGA is considered seasonal, with most cases occurring during late spring and summer. We describe two cases of HGA diagnosed in January during a winter period with episodic temperatures exceeding thresholds for tick activity, highlighting atypical seasonal presentation and diagnostic challenges. Methods: This report details the clinical course, diagnostic reasoning, and management of two patients evaluated at a tertiary care hospital in Suffolk County, New York. Data were derived from direct clinical care and the electronic health record. The institutional review board determined this work did not constitute human subject research. Written informed consent was obtained from both patients. Results: Both patients presented with acute febrile illness and characteristic laboratory abnormalities. Due to winter season, tick-borne infection was not initially suspected, resulting in delayed consideration. PCR testing confirmed A. phagocytophilum infection in Case 1, meeting CDC criteria for confirmed HGA. Case 2 met CDC criteria for probable HGA based on serologic testing showing elevated IgG (1:320) in the appropriate clinical context. Treatment with doxycycline led to rapid clinical improvement and complete recovery. Conclusions: These cases demonstrate that HGA can be diagnosed during winter months in endemic regions. Although the precise timing of infection cannot be determined, these observations occurred during a period when episodic temperatures exceeded thresholds for tick activity. The cases highlight limitations of season-based diagnostic assumptions and suggest maintaining clinical suspicion for anaplasmosis year-round in endemic areas. Full article
Show Figures

Graphical abstract

14 pages, 469 KB  
Case Report
Mycobacterium fortuitum: A Neglected Cause of Culture-Negative Prosthetic Valve Endocarditis and a Literature Review
by Selen Şahin, İrem Tümkaya Kılınç, Eda Yüksel, Çağla Mehmet, Bedia Dinç and Emine Alp Meşe
Infect. Dis. Rep. 2026, 18(2), 23; https://doi.org/10.3390/idr18020023 - 13 Mar 2026
Viewed by 67
Abstract
Background/Objectives: Prosthetic valve endocarditis caused by non-tuberculous mycobacteria is a rare but serious condition and is often associated with delayed diagnosis due to initially negative routine blood cultures with late positivity after prolonged incubation. Mycobacterium fortuitum, a rapidly growing mycobacterium, is an [...] Read more.
Background/Objectives: Prosthetic valve endocarditis caused by non-tuberculous mycobacteria is a rare but serious condition and is often associated with delayed diagnosis due to initially negative routine blood cultures with late positivity after prolonged incubation. Mycobacterium fortuitum, a rapidly growing mycobacterium, is an uncommon cause of endocarditis but may result in significant morbidity if not promptly identified. Methods: We report a 67-year-old man with prior cardiac surgery who presented 18 months later with recurrent fever, weight loss, and renal dysfunction. Initial blood cultures, echocardiography, and standard imaging were non-diagnostic. Ongoing clinical suspicion prompted extended mycobacterial cultures with prolonged incubation and molecular identification performed at a reference laboratory, which revealed M. fortuitum. Results: Antimicrobial susceptibility testing demonstrated susceptibility to amikacin, ciprofloxacin, and clarithromycin, and treatment was initiated with an amikacin-based combination regimen. The patient showed marked clinical and laboratory improvement, including resolution of fever and stabilization of renal function. Conclusions: This case highlights the diagnostic and therapeutic challenges of M. fortuitum prosthetic valve endocarditis and underscores the limitations of routine diagnostic methods in culture-negative endocarditis. It also emphasizes the importance of prolonged incubation and targeted microbiological workflows in suspected cases. Full article
Show Figures

Figure 1

14 pages, 1267 KB  
Article
Differentiating Early Alzheimer’s Disease from MCI Using Comprehensive Semiquantitative Parameters in Dual-Phase Amyloid PET: A Pilot Study
by Hyung Jin Choi, Ara Cho, Joung Hyun You, Seungchan Park, Suk Hyun Lee and Do Hoon Kim
Medicina 2026, 62(3), 529; https://doi.org/10.3390/medicina62030529 - 12 Mar 2026
Viewed by 100
Abstract
Background and Objectives: Dual-phase amyloid PET imaging has been proposed to provide complementary information regarding amyloid burden and cerebral perfusion. This exploratory pilot study evaluated whether semiquantitative parameters derived from dual-phase PET/CT could differentiate individuals operationally classified as Alzheimer’s disease with mild [...] Read more.
Background and Objectives: Dual-phase amyloid PET imaging has been proposed to provide complementary information regarding amyloid burden and cerebral perfusion. This exploratory pilot study evaluated whether semiquantitative parameters derived from dual-phase PET/CT could differentiate individuals operationally classified as Alzheimer’s disease with mild functional impairment (AD-MFI) from those with mild cognitive impairment (MCI). Materials and Methods: Twenty-four participants (AD-MFI, n = 19; MCI, n = 5) underwent dual-phase amyloid PET/CT and structural MRI. Early phase SUV (eSUV), delayed-phase SUV (dSUV), standardized uptake value ratios (SUVR), and the difference between early and delayed uptake (SUVdiff) were analyzed across predefined cortical regions. Group differences were assessed using nonparametric tests, with false discovery rate (FDR) and Bonferroni corrections applied for multiple comparisons. Diagnostic performance was evaluated using receiver operating characteristic (ROC) curve analysis. Results: Several regional parameters demonstrated nominally significant group differences in uncorrected analyses; however, none remained statistically significant after correction for multiple comparisons. Among the evaluated metrics, SUVdiff demonstrated the highest diagnostic performance (sensitivity 84.2%, specificity 80.0%), followed by eSUV (68.4%, 100%) and MRI cortical volume (47.4%, 100%). Delayed-phase parameters alone showed limited discriminatory robustness despite observed group-level differences. Conclusions: In this exploratory cohort, SUVdiff showed moderate discriminatory potential between AD-MFI and MCI. However, given the small sample size and multiplicity of comparisons, the results should be interpreted as hypothesis-generating. Larger, prospective studies are required to determine the reproducibility and clinical utility of dual-phase semiquantitative parameters. Full article
(This article belongs to the Section Neurology)
Show Figures

Figure 1

Back to TopTop