Decolorization and Detoxification of Synthetic Dyes by Mexican Strains of Trametes sp.
Abstract
1. Introduction
2. Materials and Methods
2.1. Fungal Strains and Culture Conditions
2.2. Enzymatic Assays
2.3. Solid-Plate Dye Decolorization
2.4. Decolorization in Liquid Medium
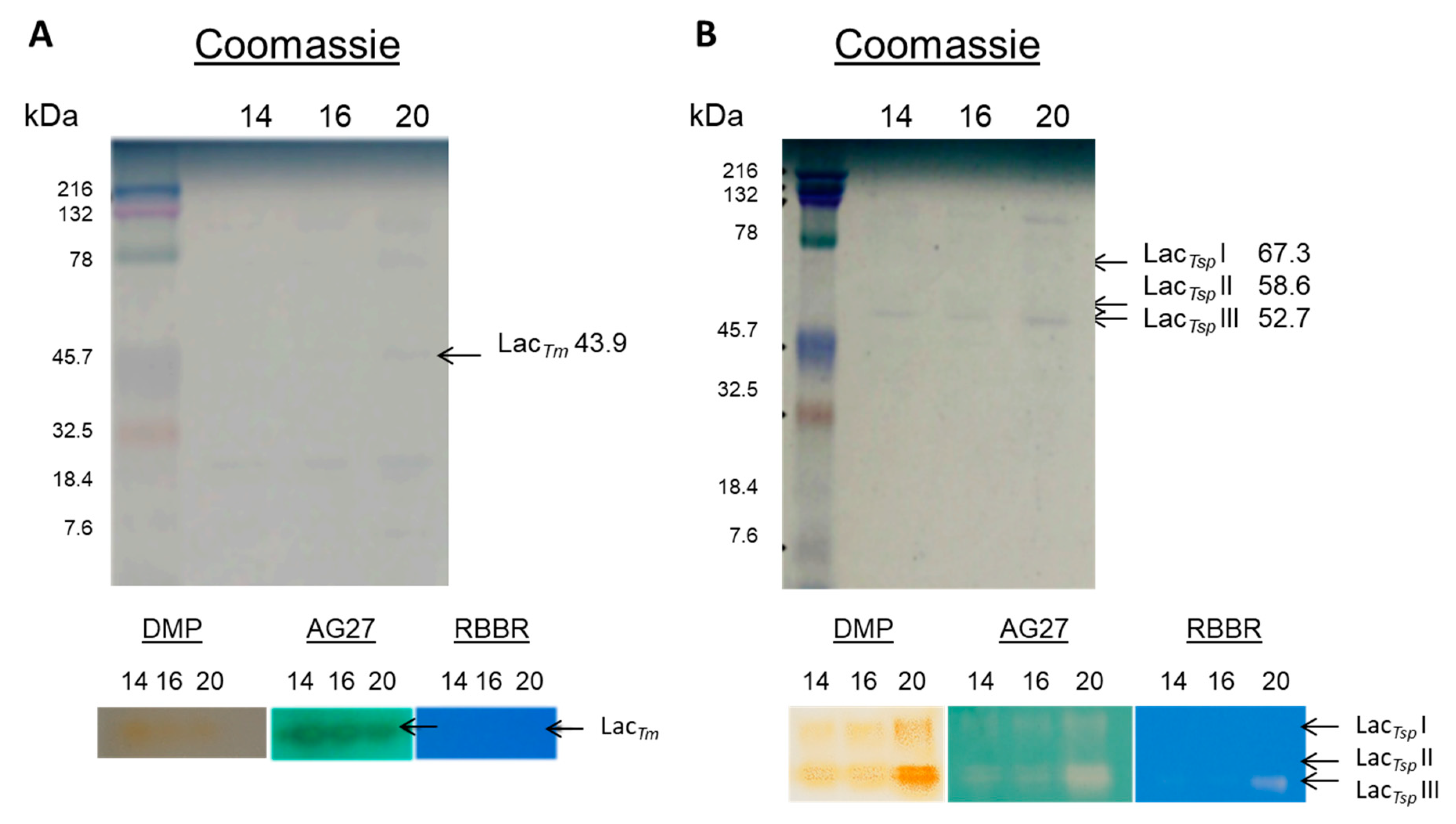
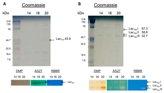
2.5. Polyacrylamide Gel Electrophoresis (PAGE) and Activity Staining of Gels
2.6. Phytotoxicity Bioassay
2.7. Statistical Analysis
3. Results and Discussion
3.1. Solid-Plate Dye Decolorization
3.2. Production of Ligninolytic Enzymes in Liquid Media
3.3. Decolorization of Dyes by Liquid Cultures
3.4. Phytotoxicity Assays
4. Conclusions
Author Contributions
Funding
Acknowledgments
Conflicts of Interest
References
- Hassaan, M.A.; El-Nemr, A. Health and environmental impacts of dyes: Mini Review. AJESE 2017, 1, 64–67. [Google Scholar] [CrossRef]
- Rawat, D.; Mishra, V.; Sharma, R.S. Detoxification of azo dyes in the context of environmental processes. Chemosphere 2016, 155, 591–605. [Google Scholar] [CrossRef] [PubMed]
- Mani, S.; Bharagava, R.N. Exposure to crystal violet, its toxic, genotoxic and carcinogenic effects on environment and its degradation and detoxification for environmental safety. Rev. Environ. Contam. Toxicol. 2016, 237, 71–104. [Google Scholar] [CrossRef]
- Spina, F.; Junghanns, C.; Donelli, I.; Nair, R.; Demarche, P.; Romagnolo, A.; Freddi, G.; Agathos, S.N.; Varese, G.C. Stimulation of laccases from Trametes pubescens: Use in dye decolorization and cotton bleaching. Prep. Biochem. Biotechnol. 2016, 46, 639–647. [Google Scholar] [CrossRef]
- Patel, A.M.; Patel, V.M.; Pandya, J.; Trivedi, U.B.; Patel, K.C. Evaluation of catalytic efficiency of Coriolopsis caperata DN laccase to decolorize and detoxify RBBR dye. Water Conserv. Sci. Eng. 2017, 2, 85–98. [Google Scholar] [CrossRef][Green Version]
- Kokol, V.; Doliska, A.; Eichlerova, I.; Baldrian, P.; Nerud, F. Decolorization of textile dyes by whole cultures of Ischnoderma resinosum and by purified laccase and Mn-peroxidase. Enzyme Microb. Technol. 2007, 40, 1673–1677. [Google Scholar] [CrossRef]
- Zouari-Mechichi, H.; Mechichi, T.; Dhouib, A.; Sayadi, S.; Martinez, A.T.; Martinez, M.J. Laccase purification and characterization from Trametes trogii isolated in Tunisia: Decolorization of textile dyes by the purified enzyme. Enzyme Microb. Technol. 2006, 39, 141–148. [Google Scholar] [CrossRef]
- Zimbardi, A.; Camargo, P.; Carli, S.; Aquino Neto, S.; Meleiro, L.; Rosa, J.; De Andrade, A.; Jorge, J.; Furriel, R. A high redox potential laccase from Pycnoporus sanguineus RP15: Potential application for dye decolorization. Int. J. Mol. Sci. 2016, 17, 672. [Google Scholar] [CrossRef]
- Zille, A.; Ramalho, P.; Tzanov, T.; Millward, R.; Aires, V.; Cardoso, M.H.; Ramalho, M.T.; Gubitz, G.M.; Cavaco-Paulo, A. Predicting dye biodegradation from redox potentials. Biotechnol. Prog. 2004, 20, 1588–1592. [Google Scholar] [CrossRef]
- Legerská, B.; Chmelová, D.; Ondrejovič, M. Decolourization and detoxification of monoazo dyes by laccase from the white-rot fungus Trametes versicolor. J. Biotechnol. 2018, 285, 84–90. [Google Scholar] [CrossRef]
- Zubbair, N.A.; Ajao, A.T.; Adeyemo, E.O.; Adeniyi, D.O. Biotransformation and detoxification of reactive black dye by Ganoderma tsugae. Afr. J. Environ. Sci. Technol. 2018, 12, 158–171. [Google Scholar] [CrossRef]
- Mishra, S.; Maiti, A. Applicability of enzymes produced from different biotic species for biodegradation of textile dyes: A review. Clean Technol. Environ. 2019, 2, 763–781. [Google Scholar] [CrossRef]
- Nunes, C.S.; Kunamneni, A. Laccases—Properties and Applications. In Enzymes in Human and Animal Nutrition; Elsevier: Chennai, India, 2018; pp. 133–161. [Google Scholar] [CrossRef]
- Ramsay, J.A.; Nguyen, T. Decoloration of textile dyes by Trametes versicolor and its effect on dye toxicity. Biotechnol. Lett. 2002, 24, 1756–1760. [Google Scholar] [CrossRef]
- Champagne, P.P.; Ramsay, J.A. Dye decolorization and detoxification by laccase immobilized on porous glass beads. Bioresour. Technol. 2010, 101, 2230–2235. [Google Scholar] [CrossRef]
- Anastasi, A.; Parato, B.; Spina, F.; Tigini, V.; Prigione, V.; Varese, G.C. Decolourisation and detoxification in the fungal treatment of textile wastewaters from dyeing processes. New Biotechnol. 2011, 29, 38–45. [Google Scholar] [CrossRef]
- CONABIO (Comisión Nacional para el Conocimiento y Uso de la Biodiversidad). La Diversidad Biológica de México: Estudio de país. México. 2006. Available online: http://www.conabio.gob.mx/2ep/images/3/37/capital_natural_2EP.pdf (accessed on 24 September 2019).
- Aguirre-Acosta, E.; Ulloa, M.; Aguilar, S.; Cifuentes, J.; Valenzuela, R. Biodiversidad de hongos en México. Rev. Mex. Biodivers. 2014, 85, S76–S81. [Google Scholar] [CrossRef]
- Cruz-Ramírez, M.G.; Rivera-Ríos, J.M.; Téllez-Jurado, A.; Gálvez, A.M.; Mercado-Flores, Y.; Arana-Cuenca, A. Screening for thermotolerant ligninolytic fungi with laccase, lipase, and protease activity isolated in Mexico. J. Environ. Manag. 2012, 95, S256–S259. [Google Scholar] [CrossRef]
- Gutiérrez-Soto, G.; Medina-González, G.E.; Treviño-Ramírez, J.E.; Hernández-Luna, C.E. Native macrofungi that produce lignin-modifying enzymes, cellulases, and xylanases with potential biotechnological applications. BioResources 2015, 10, 6676–6689. [Google Scholar] [CrossRef]
- Krumova, E.; Kostadinova, N.; Staleva, J.; Stoyancheva, G.; Spassova, B.; Abrashev, R.; Angelova, M. Potential of ligninolytic enzymatic complex produced by white-rot fungi from genus Trametes isolated from Bulgarian forest soil. Eng. Life Sci. 2018, 18, 692–701. [Google Scholar] [CrossRef]
- Pickard, M.A.; Vandertol, H.; Roman, R.; Vazquez-Duhalt, R. High production of ligninolytic enzymes from white rot fungi in cereal bran liquid medium. Can. J. Microbiol. 1999, 45, 627–631. [Google Scholar] [CrossRef]
- Bezalel, L.; Hadar, Y.; Cerniglia, C.E. Enzymatic mechanisms involved in phenanthrene degradation by the white rot fungus Pleurotus ostreatus. Appl. Environ. Microbiol. 1997, 63, 2495–2501. Available online: https://aem.asm.org/content/aem/63/7/2495.full.pdf (accessed on 27 October 2019). [PubMed]
- Harazono, K.; Nakamura, K. Decolorization of mixtures of different reactive textile dyes by the white-rot basidiomycete Phanerochaete sordida and inhibitory effect of polyvinyl alcohol. Chemosphere 2005, 59, 63–68. [Google Scholar] [CrossRef] [PubMed]
- Kumar, V.V.; Kirupha, S.D.; Periyaraman, P.; Sivanesan, S. Screening and induction of laccase activity in fungal species and its application in dye decolorization. Afr. J. Microbiol. Res. 2011, 5, 1261–1267. [Google Scholar] [CrossRef]
- Abadulla, E.; Tzanov, T.; Costa, S.; Robra, K.H.; Cavaco-Paulo, A.; Gübitz, G.M. Decolorization and detoxification of textile dyes with a laccase from Trametes hirsuta. Appl. Environ. Microbiol. 2000, 66, 3357–3362. [Google Scholar] [CrossRef]
- Wariishi, H.; Valli, K.; Gold, M.H. Manganese (II) oxidation by manganese peroxidase from the basidiomycete Phanerochaete chrysosporium. Kinetic mechanism and role of chelators. J. Biol. Chem. 1992, 267, 23688–23695. Available online: http://www.jbc.org/content/267/33/23688.full.pdf (accessed on 27 October 2019).
- Tien, M.; Kirk, T.K. Lignin peroxidase of Phanerochaete chrysosporium. Method Enzymol. 1988, 161, 238–249. [Google Scholar] [CrossRef]
- Grafin, D.E. One dimensional gel electrophoresis. Method Enzymol. 1990, 182, 425–444. [Google Scholar] [CrossRef]
- Sahu, R.K.; Katiyar, S.; Yadav, A.K.; Kumar, N.; Srivastava, J. Toxicity assessment of industrial effluent by bioassays. Clean 2008, 36, 517–520. [Google Scholar] [CrossRef]
- Sobrero, M.C.; Ronco, A. Ensayo de toxicidad aguda con semillas de lechuga Lactuca sativa L. In Ensayos Toxicológicos Para la Evaluación de Sustancias Químicas en Agua y Suelo. La Experiencia en México; Secretaría de Medio Ambiente y Recursos Naturales: Ciudad de México, Mexico, 2008; pp. 55–68. Available online: https://micrositios.inecc.gob.mx/publicaciones/libros/573/cap4.pdf (accessed on 27 October 2019).
- Ellis, R.H.; Hong, T.D.; Roberts, E.H. Handbook of seed technology for genebanks. Volume I. Principles and Methodology. In Handbooks for Genebanks, No. 2; International Board for Plant Genetic Resources: Rome, Italy, 1985. [Google Scholar]
- Alcalde, M.; Butler, T.; Arnold, F.H. Colorimetric assays for biodegradation of polycyclic aromatic hydrocarbons by fungal laccases. J. Biomol. Screen 2002, 7, 547–553. [Google Scholar] [CrossRef]
- Archibald, F. A new assay for lignin-type peroxidases employing the dye azure B. Appl. Environ. Microbiol. 1992, 58, 3110–3116. Available online: https://aem.asm.org/content/aem/58/9/3110.full.pdf (accessed on 27 October 2019).
- Rivela, I.; Rodríguez-Couto, S.; Sanromán, A. Extracellular ligninolytic enzyme production by Phanerochaete chrysosporium in a new solid-state bioreactor. Biotechnol. Lett. 2000, 22, 1443–1447. [Google Scholar] [CrossRef]
- Knapp, J.S.; Newby, P.S.; Reece, L.P. Decolorization of dyes by wood-rotting basidiomycete fungi. Enzyme Microb. Technol. 1995, 17, 664–668. [Google Scholar] [CrossRef]
- Gianfreda, L.; Xu, F.; Bollag, J. Laccases: A useful group of oxidoreductive enzymes. Bioremdiat. J. 1999, 3, 1–25. [Google Scholar] [CrossRef]
- Ahn, M.Y.; Dec, J.; Kim, J.E.; Bollag, J.M. Bioremediation and biodegradation treatment of 2,4-dichlorophenol polluted soil with free and immobilized laccase. J. Environ. Qual. 2002, 31, 1509–1515. [Google Scholar] [CrossRef]
- Baldrian, P. Purification and characterization of laccase from the white rot fungus Daedalea quercina and decolorization of synthetic dyes by the enzyme. Appl. Microbiol. Biotechnol. 2004, 63, 560–563. [Google Scholar] [CrossRef]
- Johannes, C.; Majcherczyk, A. Natural mediators in the oxidation of polycyclic aromatic hydrocarbons by laccase mediator systems. Appl. Environ. Microbiol. 2000, 66, 524–528. [Google Scholar] [CrossRef]
- Michniewicz, A.; Ledakowicz, S.; Ullrich, R.; Hofrichter, M. Kinetics of the enzymatic decolorization of textile dyes by laccase from Cerrena unicolor. Dyes Pigments 2008, 77, 295–302. [Google Scholar] [CrossRef]
- Rodriguez, E.; Pickard, M.A.; Vazquez-Duhalt, R. Industrial dye decolorization by laccases from ligninolytic fungi. Curr. Microbiol. 1999, 38, 27–32. [Google Scholar] [CrossRef]
- Aretxaga, A.; Romero, S.; Sarra, M.; Vicent, T. Adsorption step in the biological degradation of a textile dye. Biotechnol. Prog. 2001, 17, 664–668. [Google Scholar] [CrossRef]
- Levin, L.; Papinutti, L.; Forchiassin, F. Evaluation of Argentinean white rot fungi for their ability to produce lignin-modifying enzymes and decolorize industrial dyes. Bioresour. Technol. 2004, 94, 169–176. [Google Scholar] [CrossRef]
- Pointing, S.B.; Vrijmoed, L.L.P. Decolorization of azo and triphenylmethane dyes by Pycnoporus sanguineus producing laccase as the sole phenoloxidase. World J. Microbiol. Biotechnol. 2000, 16, 317–318. [Google Scholar] [CrossRef]
- Permpornsakul, P.; Prasongsuk, S.; Lotrakul, P.; Eveleigh, D.E.; Kobayashi, D.Y.; Imai, T.; Punnapayak, H. Biological treatment of reactive black 5 by resupinate white rot fungus Phanerochaete sordida PBU 0057. Pol. J. Environ. Stud. 2016, 25, 1167–1176. [Google Scholar] [CrossRef]
- Si, J.; Peng, F.; Cui, B. Purification, biochemical characterisation and dye decolorization capacity of an alkali-resistant and metal-tolerant laccase from Trametes pubescens. Bioresour. Technol. 2013, 128, 49–57. [Google Scholar] [CrossRef] [PubMed]
- Sathishkumar, P.; Palvannan, T.; Murugesan, K.; Kamala-Kannan, S. Detoxification of malachite green by Pleurotus florida laccase produced under solid-state fermentation using agricultural residues. J. Environ. Technol. 2013, 34, 139–147. [Google Scholar] [CrossRef] [PubMed]
- Papinutti, V.L.; Forchiassin, F. Modification of malachite green by Fomes sclerodermeus and reduction of toxicity to Phanerochaete chrysosporium. FEMS Microbiol. Lett. 2004, 231, 205–209. [Google Scholar] [CrossRef][Green Version]
- Conagua (2011). Informe Estadísticas del agua en México, Comisión Nacional del Agua (Conagua). Available online: http://www.conagua.gob.mx/CONAGUA07/Publicaciones/Publicaciones/SGP1-11-EAM2011.PDF (accessed on 27 September 2019).
- Rodríguez-Couto, S. Treatment of textile wastewater by white-rot fungi: still a far away reality? TLIST 2013, 2, 113–119. [Google Scholar]



| Commercial Name | CI Number | Acronym | Dye Class | Chemical Structure |
|---|---|---|---|---|
| Basic Violet 3 (Crystal Violet) | 42555 | CV | Triphenyl methane | ![]() |
| Direct Black 22 (Direct Black CA) | 35435 | DB22 | Azo | ![]() |
| Acid Orange 7 (Orange II) | 15510 | OII | Azo | ![]() |
| Reactive Black 5 (Remazol Black B) | 20505 | RB5 | Azo | ![]() |
| Reactive Blue 19 (Remazol Brilliant Blue R) | 61200 | RBBR | Anthraquinone | ![]() |
| (Methylene Azure B) | 52010 | AB | Heterocyclic | ![]() |
| Poly R-478 | PR | Polymeric | ![]() |
| Strain/ Days | Decolorization Index (DI) | SE/p-Value | ||||||
|---|---|---|---|---|---|---|---|---|
| PR | AB | CV | DB22 | OII | RB5 | RBBR | ||
| A | 0.016/>0.05 | |||||||
| 5 | 0.000 | 0.000 | 0.000 | 0.000 | 0.000 | 0.000 | 0.000 | |
| 7 | 0.000 | 0.000 | 0.000 | 0.000 | 0.000 | 0.000 | 0.000 | |
| 15 | 0.000 | 0.063 | 0.000 | 0.000 | 0.042 | 0.000 | 0.000 | |
| B | 0.121/0.0001 | |||||||
| 5 | 0.00b | 0.639a | 0.000b | 0.000b | 0.690a | 0.866a | 0.778a | |
| 7 | 0.000b | 0.847a | 0.000b | 0.000b | 0.822a | 0.908a | 0.932a | |
| 15 | 1.000a | 1.000a | 2.543a | 1.000a | 1.000a | 1.000a | 1.000a | |
| C | 0.278/>0.05 | |||||||
| 5 | 0.350 | 0.316 | 0.000 | 0.282 | 0.363 | 0.364 | 0.358 | |
| 7 | 0.369 | 0.361 | 1.333 | 0.369 | 0.358 | 0.381 | 0.393 | |
| 15 | 0.413 | 0.413 | 1.059 | 0.413 | 0.413 | 0.413 | 0.413 | |
| T. Maxima LE130 | |||||
|---|---|---|---|---|---|
| Time (h) | Decolorization (%) | Parameter | p-value | ||
| CV | RB5 | RBBR | |||
| 0 | 0.00 | 0.00 | 0.00 | Model | 0.0312 |
| 2 | 12.95 | 43.92 | 45.23 | Dye (D) | 0.0003 |
| 4 | 25.40 | 51.50 | 46.17 | Time (t) | 0.1875 |
| 6 | 27.58 | 51.66 | 46.54 | D * t | 0.9884 |
| 8 | 27.47 | 55.19 | 47.74 | ||
| 24 | 41.05 | 61.01 | 54.94 | ||
| SE (t) | 7.84 | 7.84 | 8.49 | ||
| C (mean ± SD) | 26.89 ± 3.5 b | 52.66 ± 3.5 a | 48.12 ± 3.84 a | ||
| Trametes sp. LA1 | |||||
| 0 | 0.00 | 0.00 | 0.00 | Model | 0.0028 |
| 2 | 63.40 | 44.45 | 39.50 | Dye (D) | ≤0.0001 |
| 4 | 70.80 | 50.00 | 44.90 | Time (t) | 0.3103 |
| 6 | 74.45 | 51.00 | 43.70 | D * t | 0.9946 |
| 8 | 76.60 | 46.90 | 42.90 | ||
| 24 | 79.70 | 54.80 | 49.60 | ||
| SE (t) | 6.17 | 6.17 | 8.72 | ||
| C (mean ± SD) | 72.99 ± 2.76 a | 49.43 ± 2.76 b | 44.12 ± 3.02 b | ||
| Dye Ψ | Control * | Untreated Dye | LE130-Treated Dye | LA1-Treated Dye | SE/p-Value |
|---|---|---|---|---|---|
| Germination inhibition (%) | 5.53/≤0.0001 | ||||
| CV | 3.33 c; A | 56.67 b; A | 83.33 a; A | 0.00 c; B | |
| RB5 | 3.33 b; A | 16.67 b; B | 40.00 a; B | 16.67 b; A | |
| RBBR | 3.33b; A | 6.67 b; B | 93.33 a; A | 20.00 b; A | |
| Radicle length (cm) | 0.08/≤0.0001 | ||||
| CV | 5.87 a; A | 0.21 c; B | 0.05 c; A | 2.71 b; A | |
| RB5 | 5.87 a; A | 0.72 c; A | 0.26 d; A | 1.71 b; B | |
| RBBR | 5.87 a; A | 0.43 b; B | 0.18 c; A | 0.40 b; C | |
| Radicle damage (%) | 1.37/≤0.0001 | ||||
| CV | 0.00 d; A | 96.36 a; A | 99.15 a; A | 53.82 b; C | |
| RB5 | 0.00 d; A | 87.80 b; B | 95.64 a; A | 70.85 c; B | |
| RBBR | 0.00 c; A | 92.70 b; A | 96.88 a; A | 93.12 a b; A | |
| Dye Ψ | Control * | Untreated Dye | LE130-Treated Dye | LA1-Treated Dye | SE/p-Value |
|---|---|---|---|---|---|
| Germination inhibition (%) | 3.97/≤0.0001 | ||||
| CV | 6.67 b; A | 6.67 b; A | 50.00 a; A | 0.00 b; A | |
| RB5 | 6.67 a; A | 0.00 a; A | 0.00 a; B | 0.00 a; A | |
| RBBR | 6.67 a; A | 0.00 a; A | 3.33 a; B | 0.00 a; A | |
| Radicle length (cm) | 0.05/≤0.0001 | ||||
| CV | 1.27 a; A | 0.75 b; B | 0.49 c; A | 0.82 b; B | |
| RB5 | 1.27 a; A | 1.49 a; A | 0.67 c; A | 1.12 a b; A | |
| RBBR | 1.27 a; A | 1.32 a; A | 0.58 b; A | 1.36 a; A | |
| Radicle damage (%) | 3.33/≤0.0001 | ||||
| CV | 0.00 c; A | 40.67 b; A | 61.33 a; A | 35.33 b; A | |
| RB5 | 0.00 b; A | 0.00 b; B | 47.67 a; A | 14.67 b; B | |
| RBBR | 0.00 b; A | 2.67 b; B | 54.67 a; A | 0.00 b; B | |
| Seed | RB5 | CV Detoxification (%) | RBBR | |||
|---|---|---|---|---|---|---|
| LE130 | LA1 | LE130 | LA1 | LE130 | LA1 | |
| R. sativus | 0 a | 15.24 a | 0 a | 44.39 a | 0 a | 0 b |
| P. sativum | 0 a | 0 b | 0 a | 41.71 b | 0 a | 48 a |
© 2019 by the authors. Licensee MDPI, Basel, Switzerland. This article is an open access article distributed under the terms and conditions of the Creative Commons Attribution (CC BY) license (http://creativecommons.org/licenses/by/4.0/).
Share and Cite
Levin, L.N.; Hernández-Luna, C.E.; Niño-Medina, G.; García-Rodríguez, J.P.; López-Sadin, I.; Méndez-Zamora, G.; Gutiérrez-Soto, G. Decolorization and Detoxification of Synthetic Dyes by Mexican Strains of Trametes sp. Int. J. Environ. Res. Public Health 2019, 16, 4610. https://doi.org/10.3390/ijerph16234610
Levin LN, Hernández-Luna CE, Niño-Medina G, García-Rodríguez JP, López-Sadin I, Méndez-Zamora G, Gutiérrez-Soto G. Decolorization and Detoxification of Synthetic Dyes by Mexican Strains of Trametes sp. International Journal of Environmental Research and Public Health. 2019; 16(23):4610. https://doi.org/10.3390/ijerph16234610
Chicago/Turabian StyleLevin, Laura N., Carlos E. Hernández-Luna, Guillermo Niño-Medina, Juan Pablo García-Rodríguez, Iosvany López-Sadin, Gerardo Méndez-Zamora, and Guadalupe Gutiérrez-Soto. 2019. "Decolorization and Detoxification of Synthetic Dyes by Mexican Strains of Trametes sp." International Journal of Environmental Research and Public Health 16, no. 23: 4610. https://doi.org/10.3390/ijerph16234610
APA StyleLevin, L. N., Hernández-Luna, C. E., Niño-Medina, G., García-Rodríguez, J. P., López-Sadin, I., Méndez-Zamora, G., & Gutiérrez-Soto, G. (2019). Decolorization and Detoxification of Synthetic Dyes by Mexican Strains of Trametes sp. International Journal of Environmental Research and Public Health, 16(23), 4610. https://doi.org/10.3390/ijerph16234610








