Soft Tissue Contour Impression with Analogic or Digital Work Flow: A Case Report
Abstract
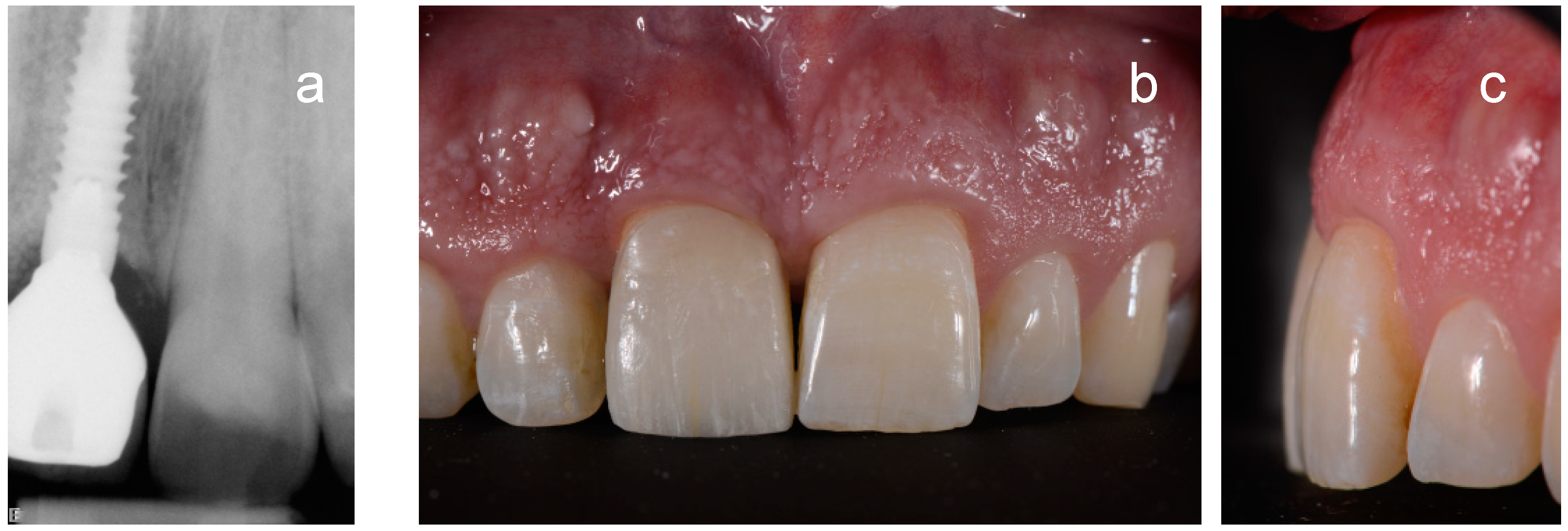
:1. Introduction
2. Materials and Methods
2.1. Study Design and Patient Enrollment
2.2. Analogic Work-Flow
2.3. Digital Work-Flow
- Dental arch with the cemented provisional crown,
- Provisional crown connected with a digital analogue,
- Dental arch with a scan body screwed onto the implant.
2.4. Outcome Measures
3. Results
4. Discussion
5. Conclusions
Author Contributions
Funding
Conflicts of Interest
References
- Bosshardt, D.D.; Chappuis, V.; Buser, D. Osseointegration of titanium, titanium alloy and zirconia dental implants: Current knowledge and open questions. Periodontol. 2000 2017, 73, 22–40. [Google Scholar] [CrossRef] [PubMed]
- Wallner, G.; Rieder, D.; Wichmann, M.G.; Heckmann, S.M. Peri-implant bone loss of tissue-level and bone-level implants in the esthetic zone with gingival biotype analysis. Int. J. Oral Maxillofac. Implant. 2018, 33, 1119–1125. [Google Scholar] [CrossRef] [PubMed]
- Canullo, L.; Penarrocha-Oltra, D.; Soldini, C.; Mazzocco, F.; Penarrocha, M.; Covani, U. Microbiological assessment of the implant-abutment interface in different connections: Cross-sectional study after 5 years of functio- nal loading. Clin. Oral Implant. Res. 2015, 26, 426–434. [Google Scholar] [CrossRef] [PubMed]
- Botticelli, D.; Lang, N.; Bressan, E.; Corazza, B.; Rizzi, S.; Almagro, U.Z.; Botticelli, D. The platform switching concept revisited. An experimental study in dogs. Clin. Oral Implant. Res. 2013, 25, 1200–1206. [Google Scholar]
- Lago, L.; da Silva, L.; Martinez-Silva, I.; Rilo, B. Radiographic assessment of crestal bone loss in tissue-level implants restored by platform matching compared with bone-level implants restored by platform switching: A randomized, controlled, split-mouth trial with 3-year follow-up. Int. J. Oral Maxillofac. Implant. 2018. [Google Scholar] [CrossRef] [PubMed]
- Zhao, X.; Qiao, S.C.; Shi, J.Y.; Uemura, N.; Arai, K.; Lai, H.C. Evaluation of the clinical and aesthetic outcomes of Straumann® Standard Plus implants supported single crowns placed in non-aug-mented healed sites in the anterior maxilla: A 5–8 years retrospective study. Clin. Oral Implant. Res. 2016, 27, 106–112. [Google Scholar] [CrossRef] [PubMed]
- Loi, I.; Di Felice, A. Biologically oriented preparation techni-que (BOPT): A new approach for prosthetic restoration of periodontically healthy teeth. Eur. J. Esthet. Dent. 2013, 8, 10–23. [Google Scholar] [PubMed]
- Solá-Ruiz, M.F.; Del Rio Highsmith, J.; Labaig-Rueda, C.; Agustín-Panadero, R. Biologically oriented preparation technique (BOPT) for implant-supported fixed prostheses. J. Clin. Exp. Dent. 2017, 9, e603–e607. [Google Scholar] [CrossRef] [PubMed]
- Colombo, M.; Mangano, C.; Mijiritsky, E.; Krebs, M.; Hauschild, U.; Fortin, T. Clinical applications and effectiveness of guided implant surgery: A critical review based on randomized controlled trials. BMC Oral Health 2017, 17, 150. [Google Scholar] [CrossRef] [PubMed]
- Joda, T.; Zarone, F.; Ferrari, M. The complete digital workflow in fixed prosthodontics: A systematic review. BMC Oral Health 2017, 17, 124. [Google Scholar] [CrossRef] [PubMed]
- Papadopoulos, I.; Pozidi, G.; Goussias, H.; Kourtis, S. Transferring the emergence profile from the provisional to the final restoration. J. Esthet. Restor. Dent. 2014, 26, 154–161. [Google Scholar] [CrossRef] [PubMed]
- Albdour, E.A.; Shaheen, E.; Vranckx, M.; Mangano, F.G.; Politis, C.; Jacobs, R. A novel in vivo method to evaluate trueness of digital impressions. BMC Oral Health 2018, 18, 117. [Google Scholar] [CrossRef] [PubMed]
- Mangano, F.; Gandolfi, A.; Luongo, G.; Logozzo, S. Intraoral scanners in dentistry: A review of the current literature. BMC Oral Health 2017, 17, 149. [Google Scholar] [CrossRef] [PubMed]
- Imburgia, M.; Logozzo, S.; Hauschild, U.; Veronesi, G.; Mangano, C.; Mangano, F.G. Accuracy of four intraoral scanners in oral implantology: A comparative in vitro study. BMC Oral Health 2017, 17, 92. [Google Scholar] [CrossRef] [PubMed]
- Pesce, P.; Pera, F.; Setti, P.; Menini, M. Precision and accuracy of a digital impression scanner in full-arch implant rehabilitation. Int. J. Prosthodont. 2018, 31, 171–175. [Google Scholar] [CrossRef] [PubMed]
- Nedelcu, R.; Olsson, P.; Nyström, I.; Thor, A. Finish line distinctness and accuracy in 7 intraoral scanners versus conventional impression: An in vitro descriptive comparison. BMC Oral Health 2018, 18, 27. [Google Scholar] [CrossRef] [PubMed]
- Joda, T.; Wittneben, J.G.; Brägger, U. Digital implant impressions with the “Individualized Scanbody Technique” for emergence profile support. Clin. Oral Implant. Res. 2014, 25, 395–397. [Google Scholar] [CrossRef] [PubMed]








© 2018 by the authors. Licensee MDPI, Basel, Switzerland. This article is an open access article distributed under the terms and conditions of the Creative Commons Attribution (CC BY) license (http://creativecommons.org/licenses/by/4.0/).
Share and Cite
Canullo, L.; Di Domenico, A.; Marinotti, F.; Menini, M.; Pesce, P. Soft Tissue Contour Impression with Analogic or Digital Work Flow: A Case Report. Int. J. Environ. Res. Public Health 2018, 15, 2623. https://doi.org/10.3390/ijerph15122623
Canullo L, Di Domenico A, Marinotti F, Menini M, Pesce P. Soft Tissue Contour Impression with Analogic or Digital Work Flow: A Case Report. International Journal of Environmental Research and Public Health. 2018; 15(12):2623. https://doi.org/10.3390/ijerph15122623
Chicago/Turabian StyleCanullo, Luigi, Andrea Di Domenico, Fabio Marinotti, Maria Menini, and Paolo Pesce. 2018. "Soft Tissue Contour Impression with Analogic or Digital Work Flow: A Case Report" International Journal of Environmental Research and Public Health 15, no. 12: 2623. https://doi.org/10.3390/ijerph15122623
APA StyleCanullo, L., Di Domenico, A., Marinotti, F., Menini, M., & Pesce, P. (2018). Soft Tissue Contour Impression with Analogic or Digital Work Flow: A Case Report. International Journal of Environmental Research and Public Health, 15(12), 2623. https://doi.org/10.3390/ijerph15122623

