Ameliorating Effect of Pentadecapeptide Derived from Cyclina sinensis on Cyclophosphamide-Induced Nephrotoxicity
Abstract
1. Introduction
2. Results
2.1. Effects of SCSP on the Body Weight and Kidney Index of CTX-Induced Mice
2.2. Effect of SCSP on Nephrotoxicity Marker
2.3. Biochemical Analysis of Liver and Kidney Injury
2.4. Effect of SCSP on Cytokines
2.5. Histopathological Analysis
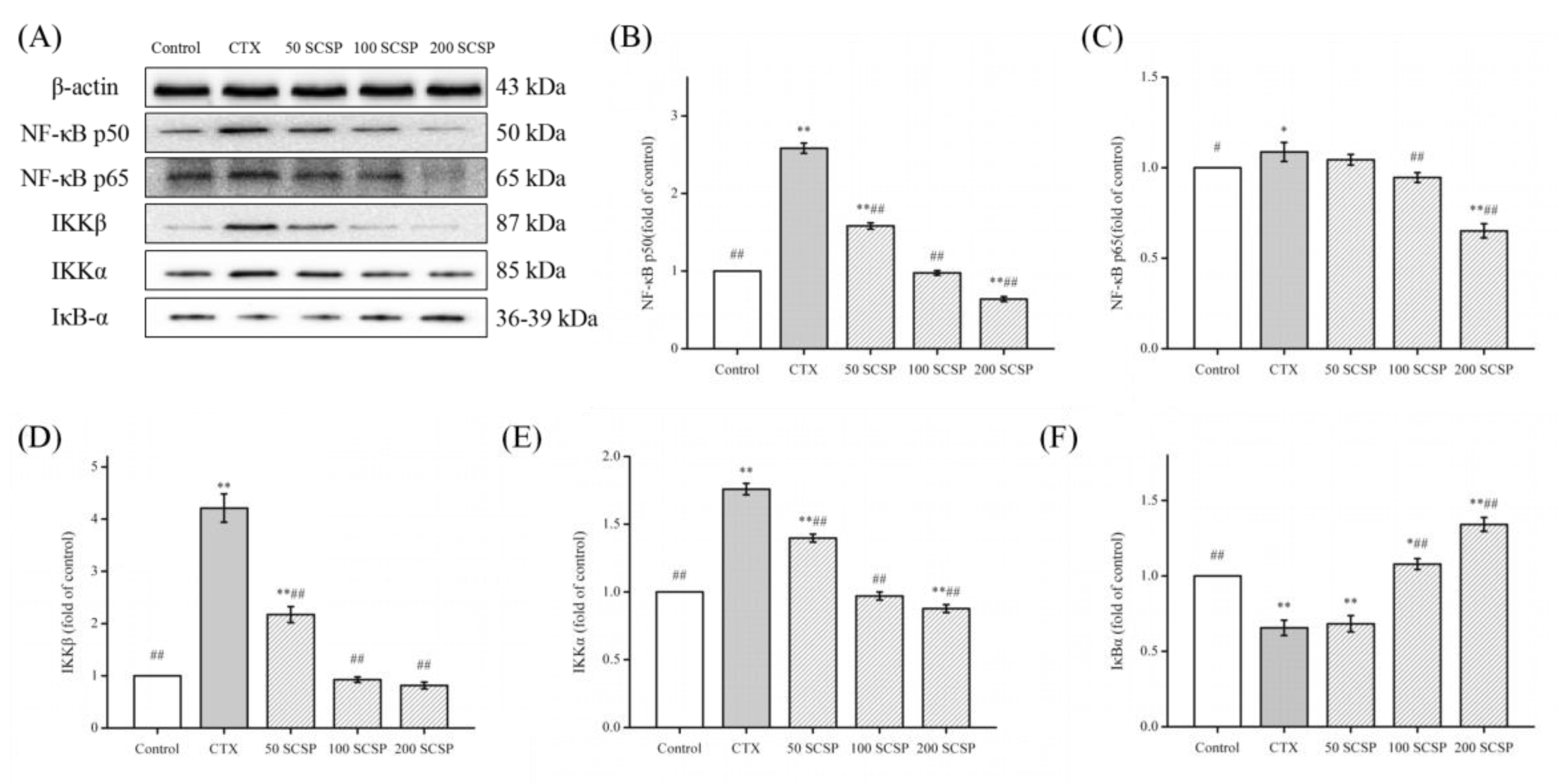
2.6. Effect of SCSP on CTX-Induced NF-κB Pathway in Mouse Kidney
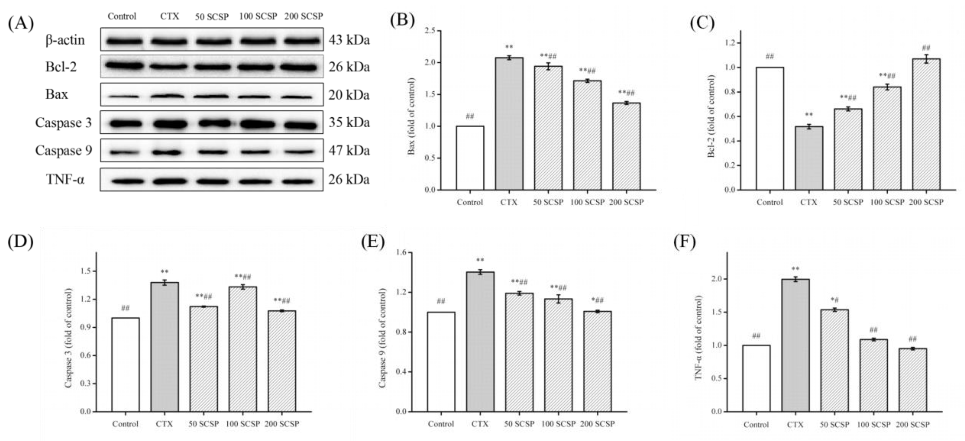
2.7. Effect of SCSP on CTX-Induced Kidney Apoptosis
3. Discussion
4. Materials and Methods
4.1. Chemicals and Reagents
4.2. Animals and Treatment
4.3. Sample Collection and Preparation
4.4. Measurement of Kidney-Related Parameters
4.5. Histopathological Analysis
4.6. Western Blot Analysis
4.7. Statistical Analysis
5. Conclusions
Author Contributions
Funding
Conflicts of Interest
References
- Yang, L.; Xing, G.; Wang, L.; Wu, Y.; Li, S.; Xu, G.; He, Q.; Chen, J.; Chen, M.; Liu, X. Acute kidney injury in China: A cross-sectional survey. Lancet 2015, 386, 1465–1471. [Google Scholar] [CrossRef]
- Zeng, X.; McMahon, G.M.; Brunelli, S.M.; Bates, D.W.; Waikar, S.S. Incidence, outcomes, and comparisons across definitions of AKI in hospitalized individuals. Clin. J. Am. Soc. Nephrol. 2014, 9, 12–20. [Google Scholar] [CrossRef] [PubMed]
- Sucic, M.; Luetic, K.; Jandric, I.; Drmic, D.; Sever, A.Z.; Vuletic, L.B.; Halle, Z.B.; Strinic, D.; Kokot, A.; Seiwerth, R.S. Therapy of the rat hemorrhagic cystitis induced by cyclophosphamide. Stable gastric pentadecapeptide BPC 157, L-arginine, L-NAME. Eur. J. Pharmacol. 2019, 861, 172593. [Google Scholar] [CrossRef] [PubMed]
- Zhai, J.; Zhang, F.; Gao, S.; Chen, L.; Feng, G.; Yin, J.; Chen, W. Schisandra chinensis extract decreases chloroacetaldehyde production in rats and attenuates cyclophosphamide toxicity in liver, kidney and brain. J. Ethnopharmacol. 2018, 210, 223–231. [Google Scholar] [CrossRef]
- Rehman, M.U.; Tahir, M.; Ali, F.; Qamar, W.; Lateef, A.; Khan, R.; Quaiyoom, A.; Sultana, S. Cyclophosphamide-induced nephrotoxicity, genotoxicity, and damage in kidney genomic DNA of Swiss albino mice: The protective effect of Ellagic acid. Mol. Cell. Biochem. 2012, 365, 119–127. [Google Scholar] [CrossRef] [PubMed]
- Kang, X.; Jing, M.; Zhang, G.; He, L.; Hong, P.; Deng, C. The ameliorating effect of plasma protein from tachypleus tridentatus on cyclophosphamide-induced acute kidney injury in mice. Mar. Drugs 2019, 17, 227. [Google Scholar] [CrossRef] [PubMed]
- Fouad, A.A.; Abdel-Gaber, S.A.; Abdelghany, M.I. Hesperidin opposes the negative impact of cyclophosphamide on mice kidneys. Drug Chem. Toxicol. 2019, 1–6. [Google Scholar] [CrossRef] [PubMed]
- Mansour, D.F.; Salama, A.A.A.; Hegazy, R.R.; Omara, E.A.; Nada, S.A. Whey protein isolate protects against cyclophosphamide-induced acute liver and kidney damage in rats. J. Appl. Pharm. Sci. 2017, 7, 111–120. [Google Scholar]
- Kocahan, S.; Dogan, Z.; Erdemli, E.; Taskin, E. Protective Effect of Quercetin Against Oxidative Stress-induced Toxicity Associated With Doxorubicin and Cyclophosphamide in Rat Kidney and Liver Tissue. Iran. J. Kidney Dis. 2017, 11, 124–131. [Google Scholar]
- Jiang, S.; Zhang, Z.; Yu, F.; Zhang, Z.; Ding, G. Ameliorative effect of low molecular weight peptides from the head of red shrimp (Solenocera crassicornis) against cyclophosphamide-induced hepatotoxicity in mice. J. Funct. Foods 2020, 72, 104085. [Google Scholar] [CrossRef]
- Ngo, D.; Vo, T.; Ngo, D.; Wijesekara, I.; Kim, S. Biological activities and potential health benefits of bioactive peptides derived from marine organisms. Int. J. Biol. Macromol. 2012, 51, 378–383. [Google Scholar] [CrossRef] [PubMed]
- Li, W.; Ye, S.; Zhang, Z.; Tang, J.; Jin, H.; Huang, F.; Yang, Z.; Tang, Y.; Chen, Y.; Ding, G. Purification and characterization of a novel pentadecapeptide from protein hydrolysates of Cyclina sinensis and its immunomodulatory effects on RAW264. 7 cells. Mar. Drugs 2019, 17, 30. [Google Scholar] [CrossRef] [PubMed]
- Yu, F.; Zhang, Z.; Ye, S.; Hong, X.; Jin, H.; Huang, F.; Yang, Z.; Tang, Y.; Chen, Y.; Ding, G. Immunoenhancement effects of pentadecapeptide derived from Cyclina sinensis on immune-deficient mice induced by cyclophosphamide. J. Funct. Foods 2019, 60, 103408. [Google Scholar] [CrossRef]
- Jiang, X.; Yang, F.; Zhao, Q.; Tian, D.; Tang, Y. Protective effects of pentadecapeptide derived from Cyclaina sinensis against cyclophosphamide-induced hepatotoxicity. Biochem. Biophys. Res. Commun. 2019, 520, 392–398. [Google Scholar] [CrossRef]
- Kim, N.H.; Jeon, S.; Lee, H.J.; Lee, A.Y. Impaired PI3K/Akt activation-mediated NF-κB inactivation under elevated TNF-α is more vulnerable to apoptosis in vitiliginous keratinocytes. J. Invest. Dermatol. 2007, 127, 2612–2617. [Google Scholar] [CrossRef]
- Qiu, L.; Zhang, L.; Zhu, L.; Yang, D.; Li, Z.; Qin, K.; Mi, X. PI3K/Akt mediates expression of TNF-α mRNA and activation of NF-κB in calyculin A-treated primary osteoblasts. Oral Dis. 2008, 14, 727–733. [Google Scholar] [CrossRef]
- Liu, Q.; Lin, X.; Li, H.; Yuan, J.; Peng, Y.; Dong, L.; Dai, S. Paeoniflorin ameliorates renal function in cyclophosphamide-induced mice via AMPK suppressed inflammation and apoptosis. Biomed. Pharmacother. 2016, 84, 1899–1905. [Google Scholar] [CrossRef]
- ALHaithloul, H.A.; Alotaibi, M.F.; Bin-Jumah, M.; Elgebaly, H.; Mahmoud, A.M. Olea europaea leaf extract up-regulates Nrf2/ARE/HO-1 signaling and attenuates cyclophosphamide-induced oxidative stress, inflammation and apoptosis in rat kidney. Biomed. Pharmacother. 2019, 111, 676–685. [Google Scholar] [CrossRef]
- Merwid-Ląd, A.; Trocha, M.; Chlebda, E.; Sozański, T.; Magdalan, J.; Ksiądzyna, D.; Kopacz, M.; Kuźniar, A.; Nowak, D.; Pieśniewska, M. Effects of morin-5′-sulfonic acid sodium salt (NaMSA) on cyclophosphamide-induced changes in oxido-redox state in rat liver and kidney. Hum. Exp. Toxicol. 2012, 31, 812–819. [Google Scholar] [CrossRef]
- Nozaki, Y.; Kinoshita, K.; Yano, T.; Asato, K.; Shiga, T.; Hino, S.; Niki, K.; Nagare, Y.; Kishimoto, K.; Shimazu, H. Signaling through the interleukin-18 receptor α attenuates inflammation in cisplatin-induced acute kidney injury. Kidney Int. 2012, 82, 892–902. [Google Scholar] [CrossRef]
- Abraham, P.; Rabi, S. Protective effect of aminoguanidine against cyclophosphamide-induced oxidative stress and renal damage in rats. Redox. Rep. 2011, 16, 8–14. [Google Scholar] [CrossRef] [PubMed]
- Sugumar, E.; Kanakasabapathy, I.; Abraham, P. Normal plasma creatinine level despite histological evidence of damage and increased oxidative stress in the kidneys of cyclophosphamide treated rats. Clin. Chim. Acta 2007, 376, 244. [Google Scholar] [CrossRef] [PubMed]
- Peters, E.; Heemskerk, S.; Masereeuw, R.; Pickkers, P. Alkaline phosphatase: A possible treatment for sepsis-associated acute kidney injury in critically ill patients. Am. J. Kidney Dis. 2014, 63, 1038–1048. [Google Scholar] [CrossRef] [PubMed]
- Moghe, A.; Ghare, S.; Lamoreau, B.; Mohammad, M.; Barve, S.; McClain, C.; Joshi-Barve, S. Molecular mechanisms of acrolein toxicity: Relevance to human disease. Toxicol. Sci. 2015, 143, 242–255. [Google Scholar] [CrossRef]
- Lin, X.; Yang, F.; Huang, J.; Jiang, S.; Tang, Y.; Li, J. Ameliorate effect of pyrroloquinoline quinone against cyclophosphamide-induced nephrotoxicity by activating the Nrf2 pathway and inhibiting the NLRP3 pathway. Life Sci. 2020, 256, 117901. [Google Scholar] [CrossRef]
- Mahmoud, A.M.; Germoush, M.O.; Al-Anazi, K.M.; Mahmoud, A.H.; Farah, M.A.; Allam, A.A. Commiphora molmol protects against methotrexate-induced nephrotoxicity by up-regulating Nrf2/ARE/HO-1 signaling. Biomed. Pharmacother. 2018, 106, 499–509. [Google Scholar] [CrossRef]
- Kim, S.-H.; Lee, I.-C.; Lim, J.-H.; Moon, C.; Bae, C.-S.; Kim, S.-H.; Shin, D.-H.; Park, S.-C.; Kim, H.-C.; Kim, J.-C. Protective effects of pine bark extract on developmental toxicity of cyclophosphamide in rats. Food Chem. Toxicol. 2012, 50, 109–115. [Google Scholar] [CrossRef]
- Otunctemur, A.; Ozbek, E.; Cakir, S.S.; Dursun, M.; Cekmen, M.; Polat, E.C.; Ozcan, L.; Somay, A.; Ozbay, N. Beneficial effects montelukast, cysteinyl-leukotriene receptor antagonist, on renal damage after unilateral ureteral obstruction in rats. Int. Braz. J. Urol. 2015, 41, 279–287. [Google Scholar] [CrossRef]
- Ren, Y.; Du, C.; Shi, Y.; Wei, J.; Wu, H.; Cui, H. The Sirt1 activator, SRT1720, attenuates renal fibrosis by inhibiting CTGF and oxidative stress. Int. J. Mol. Med. 2017, 39, 1317–1324. [Google Scholar] [CrossRef]
- Ma, C.H.; Kang, L.L.; Ren, H.M.; Zhang, D.M.; Kong, L.D. Simiao pill ameliorates renal glomerular injury via increasing Sirt1 expression and suppressing NF-κB/NLRP3 inflammasome activation in high fructose-fed rats. J. Ethnopharmacol. 2015, 172, 108–117. [Google Scholar] [CrossRef]
- Lai, C.-F.; Wu, V.-C.; Huang, T.-M.; Yeh, Y.-C.; Wang, K.-C.; Han, Y.-Y.; Lin, Y.-F.; Jhuang, Y.-J.; Chao, C.-T.; Shiao, C.-C. Kidney function decline after a non-dialysis-requiring acute kidney injury is associated with higher long-term mortality in critically ill survivors. Crit. Care 2012, 16, R123. [Google Scholar] [CrossRef] [PubMed]
- Chiravuri, S.D.; Riegger, L.Q.; Christensen, R.; Butler, R.R.; Malviya, S.; Tait, A.R.; Voepel-Lewis, T. Factors associated with acute kidney injury or failure in children undergoing cardiopulmonary bypass: A case-controlled study. Paediatr. Anaesth. 2011, 21, 880–886. [Google Scholar] [CrossRef] [PubMed]
- Shi, L.; Liu, Y.; Tan, D.; Yan, T.; Song, D.; Hou, M.; Meng, X. Blueberry anthocyanins ameliorate cyclophosphamide-induced liver damage in rats by reducing inflammation and apoptosis. J. Funct. Foods 2014, 11, 71–81. [Google Scholar] [CrossRef]
- Abraham, P.; Indirani, K.; Sugumar, E. Effect of cyclophosphamide treatment on selected lysosomal enzymes in the kidney of rats. Exp. Toxicol. Pathol. 2007, 59, 143–149. [Google Scholar] [CrossRef] [PubMed]
- Xu, L.; Yan, L.; Huang, S. Ganoderic acid A against cyclophosphamide-induced hepatic toxicity in mice. J. Biochem. Mol. Toxicol. 2019, 33, e22271. [Google Scholar]
- Zhang, Y.; Fang Hu, F.; Wen, J.H.; Wei, X.H.; Zeng, Y.J.; Sun, Y.; Luo, S.K.; Sun, L. Effects of sevoflurane on NF-кB and TNF-α expression in renal ischemia-reperfusion diabetic rats. Inflamm. Res. 2017, 66, 901–910. [Google Scholar] [CrossRef] [PubMed]







| Group | Initial Weight (g) | Final Weight (g) | Body Weight Gain (g) | Kidney Weight (g) | Kidney Index (mg/g) | 
|---|---|---|---|---|---|
| Control | 20.47 ± 1.52 | 23.84 ± 1.74 | 2.49 ± 0.49 | 0.30 ± 0.04 | 1.44 ± 0.05 ## | 
| Model | 21.04 ± 1.16 | 22.68 ± 2.57 | 2.59 ± 1.59 | 0.34 ± 0.03 | 1.65 ± 0.02 ** | 
| 50 SCSP | 21.17 ± 1.04 ## | 23.19 ± 1.04 ** | 3.10 ± 0.66 ** | 0.33 ± 0.04 | 1.59 ± 0.02 * | 
| 100 SCSP | 21.78 ± 1.35 ## | 23.38 ± 1.34 **# | 2.70 ± 0.26 # | 0.32 ± 0.04 | 1.53 ± 0.03 ## | 
| 200 SCSP | 21.10 ± 1.49 ## | 23.34 ± 1.87 **# | 2.97 ± 0.70 # | 0.31 ± 0.04 | 1.51 ± 0.04 ## | 
© 2020 by the authors. Licensee MDPI, Basel, Switzerland. This article is an open access article distributed under the terms and conditions of the Creative Commons Attribution (CC BY) license (http://creativecommons.org/licenses/by/4.0/).
Share and Cite
Jiang, X.; Ren, Z.; Zhao, B.; Zhou, S.; Ying, X.; Tang, Y. Ameliorating Effect of Pentadecapeptide Derived from Cyclina sinensis on Cyclophosphamide-Induced Nephrotoxicity. Mar. Drugs 2020, 18, 462. https://doi.org/10.3390/md18090462
Jiang X, Ren Z, Zhao B, Zhou S, Ying X, Tang Y. Ameliorating Effect of Pentadecapeptide Derived from Cyclina sinensis on Cyclophosphamide-Induced Nephrotoxicity. Marine Drugs. 2020; 18(9):462. https://doi.org/10.3390/md18090462
Chicago/Turabian StyleJiang, Xiaoxia, Zhexin Ren, Biying Zhao, Shuyao Zhou, Xiaoguo Ying, and Yunping Tang. 2020. "Ameliorating Effect of Pentadecapeptide Derived from Cyclina sinensis on Cyclophosphamide-Induced Nephrotoxicity" Marine Drugs 18, no. 9: 462. https://doi.org/10.3390/md18090462
APA StyleJiang, X., Ren, Z., Zhao, B., Zhou, S., Ying, X., & Tang, Y. (2020). Ameliorating Effect of Pentadecapeptide Derived from Cyclina sinensis on Cyclophosphamide-Induced Nephrotoxicity. Marine Drugs, 18(9), 462. https://doi.org/10.3390/md18090462
 
        


 
                         
       