Comparative Study of Two Root Coverage Procedures for Localized Gingival Recessions on Lower Anterior Teeth Using Partially De-Epithelialized Connective Tissue Graft (PE-CTG) Aided by a High-Speed Handpiece: A Retrospective Cohort Study
Abstract
1. Introduction
2. Materials and Methods
2.1. Patient Selection
2.2. Surgical Procedure
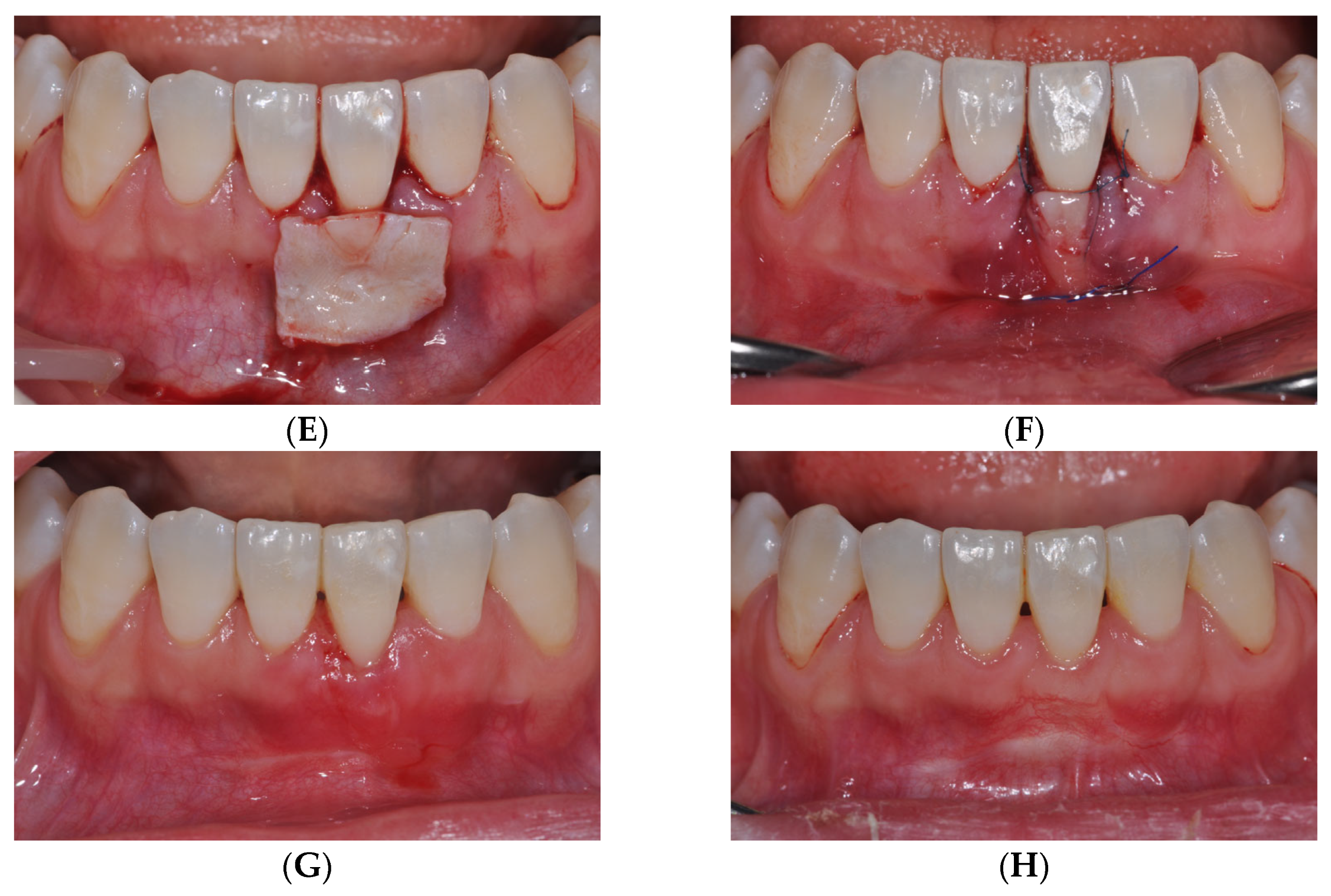
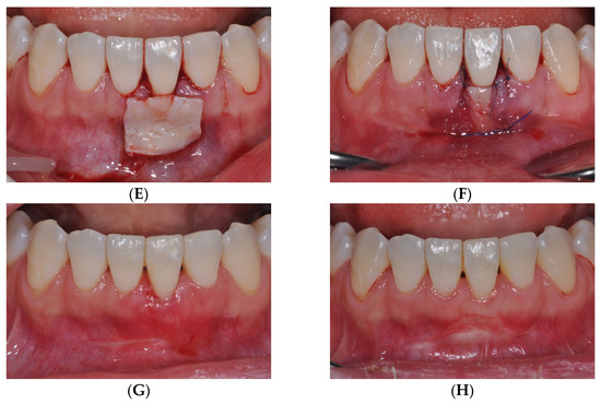
2.2.1. tPECTG
2.2.2. vPECTG
2.3. Clinical Evaluation
2.4. Statistical Analysis
3. Results
4. Discussion
5. Conclusions
Author Contributions
Funding
Institutional Review Board Statement
Informed Consent Statement
Data Availability Statement
Acknowledgments
Conflicts of Interest
References
- Zucchelli, G.; Mounssif, I. Periodontal Plastic Surgery. Periodontol. 2000 2015, 68, 333–368. [Google Scholar] [CrossRef] [PubMed]
- Nabers, J.M. Free Gingival Graft. Periodontics 1966, 4, 243–245. [Google Scholar] [PubMed]
- Harvey, P.M. Surgical Reconstruction of the Gingiva. II. Procedures. N. Z. Dent. J. 1970, 66, 42–52. [Google Scholar] [PubMed]
- Prato, G.P.; Tinti, C.; Vincenzi, G.; Magnani, C.; Cortellini, P.; Clauser, C. Guided Tissue Regeneration versus Mucogingival Surgery in the Treatment of Human Buccal Gingival Recession. J. Periodontol. 1992, 63, 919–928. [Google Scholar] [CrossRef]
- Chambrone, L.; Botelho, J.; Machado, V.; Mascarenhas, P.; Mendes, J.J.; Avila-Ortiz, G. Does the Subepithelial Connective Tissue Graft in Conjunction with a Coronally Advanced Flap Remain as the Gold Standard Therapy for the Treatment of Single Gingival Recession Defects? A Systematic Review and Network Meta-Analysis. J. Periodontol. 2022, 93, 1336–1352. [Google Scholar] [CrossRef]
- Harris, R.J. The Connective Tissue with Partial Thickness Double Pedicle Graft: The Results of 100 Consecutively-Treated Defects. J. Periodontol. 1994, 65, 448–461. [Google Scholar] [CrossRef]
- Harris, R.J.; Miller, L.H.; Harris, C.R.; Miller, R.J. A Comparison of Three Techniques to Obtain Root Coverage on Mandibular Incisors. J. Periodontol. 2005, 76, 1758–1767. [Google Scholar] [CrossRef]
- Allen, A.L. Use of the Supraperiosteal Envelope in Soft Tissue Grafting for Root Coverage. I. Rationale and Technique. Int. J. Periodontics Restor. Dent. 1994, 14, 216–225. [Google Scholar]
- Stimmelmayr, M.; Allen, E.P.; Gernet, W.; Edelhoff, D.; Beuer, F.; Schlee, M.; Iglhaut, G. Treatment of Gingival Recession in the Anterior Mandible Using the Tunnel Technique and a Combination Epithelialized-Subepithelial Connective Tissue Graft—A Case Series. Int. J. Periodontics Restor. Dent. 2011, 31, 165–171. [Google Scholar]
- Lim, K.O.; Kim, B.O.; Lee, W.P. Technical Note on Root Coverage of Lower Anterior Teeth Using a Partially Deepithelialized Connective Tissue Graft (PE-CTG) Aided by a High-Speed Handpiece. Case Rep. Dent. 2020, 2020, 8815176. [Google Scholar] [CrossRef]
- Bakhishov, H.; Isler, S.C.; Bozyel, B.; Yıldırım, B.; Tekindal, M.A.; Ozdemir, B. De-Epithelialized Gingival Graft versus Subepithelial Connective Tissue Graft in the Treatment of Multiple Adjacent Gingival Recessions Using the Tunnel Technique: 1-Year Results of a Randomized Clinical Trial. J. Clin. Periodontol. 2021, 48, 970–983. [Google Scholar] [CrossRef] [PubMed]
- Zazou, N.; El Nahass, H.; Ezz El-Arab, A. A Technical Modified Method for Harvesting Palatal De-Epithelialized Connective Tissue Graft for Root Coverage: A Case Report. Adv. Dent. J. 2019, 1, 72–76. [Google Scholar] [CrossRef]
- Zadeh, H.H. Minimally Invasive Treatment of Maxillary Anterior Gingival Recession Defects by Vestibular Incision Subperiosteal Tunnel Access and Platelet-Derived Growth Factor BB. Int. J. Periodontics Restor. Dent. 2011, 31, 653–660. [Google Scholar]
- Bethaz, N.; Romano, F.; Ferrarotti, F.; Mariani, G.-M.; Aimetti, M. A mucogingival technique for the treatment of multiple recession defects in the mandibular anterior region: A case series with 2-year follow-up. Int. J. Periodontics Restor. Dent. 2014, 34, 345–352. [Google Scholar] [CrossRef][Green Version]
- Esteibar, J.; Zorzano, L.; Cundín, E.E.; Blanco, J.; Medina, J. Complete Root Coverage of Miller Class III Recessions. Int. J. Periodontics Restor. Dent. 2011, 31, e1–e7. [Google Scholar]
- Fernández-Jiménez, A.; Estefanía-Fresco, R.; García-De-La-Fuente, A.M.; Aguirre-Zorzano, L.A. Description of the Modified Vestibular Incision Subperiosteal Tunnel Access (m-VISTA) Technique in the Treatment of Multiple Miller Class III Gingival Recessions: A Case Series. BMC Oral Health 2021, 21, 142. [Google Scholar] [CrossRef]
- Nart, J.; Valles, C. Subepithelial Connective Tissue Graft in Combination with a Tunnel Technique for the Treatment of Miller Class II and III Gingival Recessions in Mandibular Incisors: Clinical and Esthetic Results. Int. J. Periodontics Restor. Dent. 2016, 36, 591–598. [Google Scholar] [CrossRef]
- Malhotra, S.; Tewari, S.; Sharma, R.; Sharma, R.K.; Tanwar, N.; Arora, R. Clinical Evaluation of Root Coverage in Miller Class III/RT2 Labial Gingival Recession Treated with Interdisciplinary Periodontal-Orthodontic Therapy: A Randomized Controlled Clinical Trial. J. Periodontal Implant Sci. 2024, 54, 265–279. [Google Scholar] [CrossRef]
- Mercado, F.; Hamlet, S.; Ivanovski, S. Subepithelial Connective Tissue Graft with or without Enamel Matrix Derivative for the Treatment of Multiple Class III-IV Recessions in Lower Anterior Teeth: A 3-Year Randomized Clinical Trial. J. Periodontol. 2020, 91, 473–483. [Google Scholar] [CrossRef]
- Han, J.S.; John, V.; Blanchard, S.B.; Kowolik, M.J.; Eckert, G.J. Changes in Gingival Dimensions Following Connective Tissue Grafts for Root Coverage: Comparison of Two Procedures. J. Periodontol. 2008, 79, 1346–1354. [Google Scholar] [CrossRef]
- Basma, H.S.; Saleh, M.H.A.; Abou-Arraj, R.V.; Imbrogno, M.; Ravida, A.; Wang, H.L.; Li, P.; Geurs, N. Patient-reported outcomes of palatal donor site healing using four different wound dressing modalities following free epithelialized mucosal grafts: A four-arm randomized controlled clinical trial. J. Periodontol. 2023, 94, 88–97. [Google Scholar] [CrossRef] [PubMed]
- Scott, S.M.H.; Lacy, J.A.; Palaiologou, A.A.; Kotsakis, G.A.; Deas, D.E.; Mealey, B.L. Donor site wound healing following free gingival graft surgery using platelet rich fibrin: A randomized controlled trial. J. Periodontol. 2024, 95, 632–639. [Google Scholar] [CrossRef] [PubMed]
- D’Ambrosio, F.; Caggiano, M.; Chiacchio, A.; Acerra, A.; Giordano, F. Palatal Graft Harvesting Site Healing and Pain Management: What Is the Best Choice? An Umbrella Review. Appl. Sci. 2024, 14, 5614. [Google Scholar] [CrossRef]
- Zucchelli, G.; Mele, M.; Stefanini, M.; Mazzotti, C.; Marzadori, M.; Montebugnoli, L.; De Sanctis, M. Patient Morbidity and Root Coverage Outcome after Subepithelial Connective Tissue and De-Epithelialized Grafts: A Comparative Randomized-Controlled Clinical Trial. J. Clin. Periodontol. 2010, 37, 728–738. [Google Scholar] [CrossRef]
- Harris, R.J. Histologic Evaluation of Connective Tissue Grafts in Humans. Int. J. Periodontics Restor. Dent. 2003, 23, 239–247. [Google Scholar]
- Yotnuengnit, P.; Promsudthi, A.; Teparat, T.; Laohapand, P.; Yuwaprecha, W. Relative Connective Tissue Graft Size Affects Root Coverage Treatment Outcome in the Envelope Procedure. J. Periodontol. 2004, 75, 886–892. [Google Scholar] [CrossRef]
- Mazzocco, F.; Comuzzi, L.; Stefani, R.; Milan, Y.; Favero, G.; Stellini, E. Coronally Advanced Flap Combined with a Subepithelial Connective Tissue Graft Using Full- or Partial-Thickness Flap Reflection. J. Periodontol. 2011, 82, 1524–1529. [Google Scholar] [CrossRef]



| Baseline | 6 Months | |||||||
|---|---|---|---|---|---|---|---|---|
| Group | Patient | Case | Tooth * | Rec | KT | Rec | KT | % Root Coverage |
| tPECTG | 1 | 1 | #41 | 6 | 1 | 1 | 5 | 83.3 |
| tPECTG | 2 | 2 | #31 | 4 | 0 | 0 | 3 | 100 |
| tPECTG | 3 | 3 | #31 | 4 | 0.5 | 0 | 3 | 100 |
| tPECTG | 4 | 4 | #31 | 9 | 0 | 2 | 8 | 77.8 |
| tPECTG | 5 | 5 | #41 | 4 | 1 | 0 | 5 | 100 |
| tPECTG | 6 | 6 | #31 | 5 | 0 | 0 | 4 | 100 |
| tPECTG | 7 | 7 | #31 | 4 | 1 | 1 | 4 | 75 |
| 8 | #41 | 3 | 1 | 1 | 4 | 66.7 | ||
| vPECTG | 8 | 9 | #41 | 5 | 1 | 0 | 5 | 100 |
| vPECTG | 9 | 10 | #31 | 6 | 1 | 1 | 5 | 83.3 |
| vPECTG | 10 | 11 | #41 | 7 | 0 | 1 | 5 | 85.7 |
| vPECTG | 11 | 12 | #41 | 3 | 1 | 0 | 3 | 100 |
| 13 | #42 | 3 | 1 | 1 | 3 | 66.7 | ||
| vPECTG | 12 | 14 | #31 | 4 | 1 | 0 | 3 | 100 |
| vPECTG | 13 | 15 | #43 | 4 | 2 | 1 | 4 | 75 |
| vPECTG | 14 | 16 | #41 | 4 | 1 | 0 | 5 | 100 |
| vPECTG | 15 | 17 | #41 | 3 | 2 | 1 | 5 | 66.7 |
| vPECTG | 16 | 18 | #32 | 3 | 2 | 0 | 5 | 100 |
| vPECTG | 17 | 19 | #31 | 4 | 1 | 0 | 4 | 100 |
| vPECTG | 18 | 20 | #33 | 4 | 2 | 0 | 6 | 100 |
| Time | tPECTG (n = 8) | vPECTG (n = 12) | p-Value | Total (n = 20) | |
|---|---|---|---|---|---|
| Baseline | 4.88 ± 1.89 | 4.17 ± 1.27 | 0.371 | 4.45 ± 1.54 | |
| Rec | 6 months | 0.63 ± 0.74 | 0.42 ± 0.51 | 0.498 | 0.50 ± 0.61 |
| Change | 4.25 ± 1.49 | 3.75 ± 1.22 | 0.474 | 3.95 ± 1.32 | |
| Baseline | 0.56 ± 0.52 | 1.25 ± 0.62 | 0.018 * | 0.98 ± 0.66 | |
| KT | 6 months | 4.50 ± 1.61 | 4.42 ± 1.01 | 0.887 | 4.45 ± 1.23 |
| Change | 3.94 ± 1.74 | 3.17 ± 1.03 | 0.377 | 3.48 ± 1.37 | |
| MRC | 87.85 ± 13.76 | 89.78 ± 13.73 | 0.767 | 89.01 ± 13.42 |
Disclaimer/Publisher’s Note: The statements, opinions and data contained in all publications are solely those of the individual author(s) and contributor(s) and not of MDPI and/or the editor(s). MDPI and/or the editor(s) disclaim responsibility for any injury to people or property resulting from any ideas, methods, instructions or products referred to in the content. |
© 2025 by the authors. Published by MDPI on behalf of the Lithuanian University of Health Sciences. Licensee MDPI, Basel, Switzerland. This article is an open access article distributed under the terms and conditions of the Creative Commons Attribution (CC BY) license (https://creativecommons.org/licenses/by/4.0/).
Share and Cite
Goo, M.-Y.; Lee, S.-K.; Kim, K.-M.; Lee, W.-P. Comparative Study of Two Root Coverage Procedures for Localized Gingival Recessions on Lower Anterior Teeth Using Partially De-Epithelialized Connective Tissue Graft (PE-CTG) Aided by a High-Speed Handpiece: A Retrospective Cohort Study. Medicina 2025, 61, 308. https://doi.org/10.3390/medicina61020308
Goo M-Y, Lee S-K, Kim K-M, Lee W-P. Comparative Study of Two Root Coverage Procedures for Localized Gingival Recessions on Lower Anterior Teeth Using Partially De-Epithelialized Connective Tissue Graft (PE-CTG) Aided by a High-Speed Handpiece: A Retrospective Cohort Study. Medicina. 2025; 61(2):308. https://doi.org/10.3390/medicina61020308
Chicago/Turabian StyleGoo, Min-Young, Seung-Kyu Lee, Kyung-Min Kim, and Won-Pyo Lee. 2025. "Comparative Study of Two Root Coverage Procedures for Localized Gingival Recessions on Lower Anterior Teeth Using Partially De-Epithelialized Connective Tissue Graft (PE-CTG) Aided by a High-Speed Handpiece: A Retrospective Cohort Study" Medicina 61, no. 2: 308. https://doi.org/10.3390/medicina61020308
APA StyleGoo, M.-Y., Lee, S.-K., Kim, K.-M., & Lee, W.-P. (2025). Comparative Study of Two Root Coverage Procedures for Localized Gingival Recessions on Lower Anterior Teeth Using Partially De-Epithelialized Connective Tissue Graft (PE-CTG) Aided by a High-Speed Handpiece: A Retrospective Cohort Study. Medicina, 61(2), 308. https://doi.org/10.3390/medicina61020308

