A Case of Acquired Reactive Perforating Dermatosis with Complete Resolution of Eruptions on Upper and Lower Limbs During the Treatment of Diabetes Mellitus and Peripheral Artery Disease
Abstract
1. Introduction
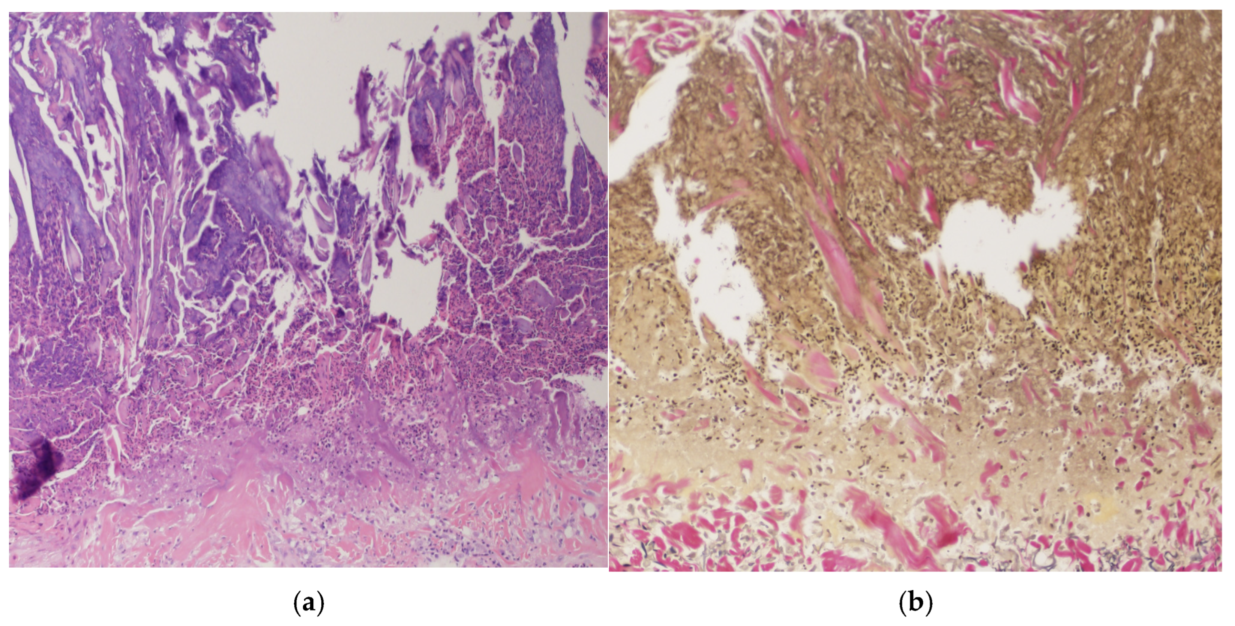
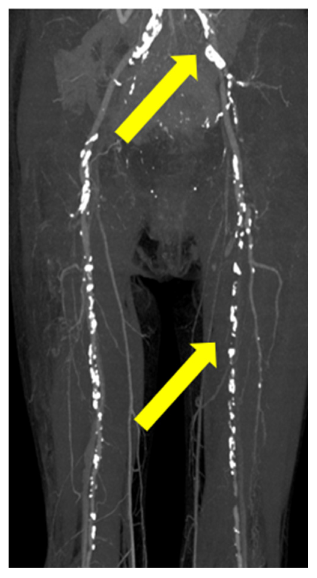
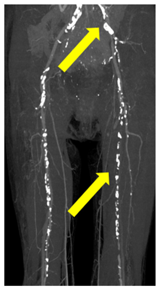
2. Case Presentation
3. Discussion
Author Contributions
Funding
Institutional Review Board Statement
Informed Consent Statement
Data Availability Statement
Conflicts of Interest
References
- Ramesh, V.; Sood, N.; Kubba, A.; Singh, B.; Makkar, R. Familial reactive perforating collagenosis: A clinical, histopathological study of 10 cases. J. Eur. Acad. Dermatol. Venereol. 2007, 21, 766–770. [Google Scholar] [CrossRef] [PubMed]
- Kawakami, T.; Akiyama, M.; Ishida-Yamamoto, A.; Nakano, H.; Mitoma, C.; Yoneda, K.; Suga, Y. Clinical practice guide for the treatment of perforating dermatosis. J. Dermatol. 2020, 47, 1374–1382. [Google Scholar] [CrossRef]
- Faver, I.R.; Daoud, M.S.; Su, W.P. Acquired reactive perforating collagenosis. Report of six cases and review of the literature. J. Am. Acad. Dermatol. 1994, 30, 575–580. [Google Scholar] [CrossRef]
- García-Malinis, A.J.; Del Valle Sánchez, E.; Sánchez-Salas, M.P.; Del Prado, E.; Coscojuela, C.; Gilaberte, Y. Acquired perforating dermatosis: Clinicopathological study of 31 cases, emphasizing pathogenesis and treatment. J. Eur. Acad. Dermatol. Venereol. 2017, 31, 1757–1763. [Google Scholar] [CrossRef] [PubMed]
- Kawakami, T.; Saito, R. Acquired reactive perforating collagenosis associated with diabetes mellitus: Eight cases that meet Faver’s criteria. Br. J. Dermatol. 1999, 140, 521–524. [Google Scholar] [CrossRef] [PubMed]
- Bellinato, F.; Maurelli, M.; Gisondi, P.; Girolomoni, G. Acquired perforating dermatoses show increased levels of cutaneous advanced glycation end-products. Clin. Exp. Dermatol. 2022, 47, 80–85. [Google Scholar] [CrossRef] [PubMed]
- Gambichler, T.; Birkner, L.; Stücker, M.; Othlinghaus, N.; Altmeyer, P.; Kreuter, A. Up-regulation of transforming growth factor-beta3 and extracellular matrix proteins in acquired reactive perforating collagenosis. J. Am. Acad. Dermatol. 2009, 60, 463–469. [Google Scholar] [CrossRef] [PubMed]
- Liu, B.; Wu, Y.; Wu, X.; Zhong, X.; Xue, R.; Zhang, Z. Dupilumab improve acquired reactive perforating collagenosis characterized by type 2 inflammation. Front. Immunol. 2023, 14, 1240262. [Google Scholar] [CrossRef]
- Gilaberte, Y.; Coscojuela, C.; Vázquez, C.; Roselló, R.; Vera, J. Perforating folliculitis associated with tumour necrosis factor-alpha inhibitors administered for rheumatoid arthritis. Br. J. Dermatol. 2007, 156, 368–371. [Google Scholar] [CrossRef]
- Tsuboi, H.; Mukuno, A.; Sato, N.; Katsuoka, K.; Yanase, N. Acquired reactive perforating collagenosis in a patient with lung fibrosis. J. Dermatol. 2004, 31, 916–919. [Google Scholar] [CrossRef] [PubMed]
- Fatani, M.I.; Al-Ghamdi, Y.M.; Al-Afif, K.A.; Abdulghani, M.R.; Karima, T.M. Acquired reactive perforating collagenosis associated with sick euthyroid syndrome. Saudi Med. J. 2002, 23, 1408–1410. [Google Scholar]
- Kikuchi, N.; Ohtsuka, M.; Yamamoto, T. Acquired reactive perforating collagenosis: A rare association with dermatomyositis. Acta Derm. Venereol. 2013, 93, 735–736. [Google Scholar] [CrossRef]
- Lova-Navarro, M.; Godoy-Díaz, D.J.; Fernández-Ballesteros, M.D.; Vera-Casaño, Á. Colagenosis perforante reactiva adquirida como síndrome paraneoplásico de adenocarcinoma de pulmón [Acquired reactive perforating collagenosis as a paraneoplastic syndrome of lung adenocarcinoma]. Med. Clin. 2014, 142, e17. [Google Scholar] [CrossRef]
- Rivera-Rodríguez, A.; Prieto-Torres, L.; Felipo-Berlanga, F.; Ara-Martín, M. Acquired reactive perforating collagenosis associated with Hodgkin disease. Clin. Exp. Dermatol. 2017, 42, 934–936. [Google Scholar] [CrossRef] [PubMed]
- Akoglu, G.; Sungu, N.; Karaismailoglu, E.; Aktas, A. Expression of the receptor for advanced glycation end products in acquired reactive perforating collagenosis. Indian. J. Dermatol. Venereol. Leprol. 2017, 83, 432–435. [Google Scholar] [CrossRef]
- Munch, M.; Balslev, E.; Jemec, G.B. Treatment of perforating collagenosis of diabetes and renal failure with allopurinol. Clin. Exp. Dermatol. 2000, 25, 615–616. [Google Scholar] [CrossRef]
- Büchau, A.S.; Lewerenz, V.; Kruse, R.; Neumann, N.J.; Ruzicka, T.; Reifenberger, J. Reaktive perforierende Kollagenose [Reactive perforating collagenosis disease]. Hautarzt 2005, 56, 963–965. [Google Scholar] [CrossRef] [PubMed]
- Suzuki, Y.; Yamamoto, T. Reactive perforating collagenosis during erlotinib therapy. Acta Derm. Venereol. 2012, 92, 216–217. [Google Scholar] [CrossRef] [PubMed]
- Lederhandler, M.; Beasley, J.M.; Brinster, N.K.; Nagler, A.R. Unusual eruption in association with sorafenib: A case of acquired perforating dermatosis, reactive perforating collagenosis type. Dermatol. Online J. 2018, 24, 13030/qt8b40k5kg. [Google Scholar] [CrossRef]
- Lübbe, J.; Sorg, O.; Malé, P.J.; Saurat, J.H.; Masouyé, I. Sirolimus-induced inflammatory papules with acquired reactive perforating collagenosis. Dermatology 2008, 216, 239–242. [Google Scholar] [CrossRef]
- Kim, E.J.; Kim, M.Y.; Kim, H.O.; Park, Y.M. Acquired reactive perforating collagenosis triggered by insect bite. J. Dermatol. 2007, 34, 677–679. [Google Scholar] [CrossRef] [PubMed]
- Kurschat, P.; Kröger, A.; Scharffetter-Kochanek, K.; Hunzelmann, N. Acquired reactive perforating collagenosis triggered by scabies infection. Acta Derm. Venereol. 2000, 80, 384–385. [Google Scholar]
- Liu, J.; Zhao, P.; Zhang, X.; Gao, J.; Han, H.; Qin, J. Acquired reactive perforating collagenosis triggered by trauma with eosinophilia: A case report and literature review. Front. Med. 2024, 11, 1415545. [Google Scholar] [CrossRef] [PubMed]
- Lavery, M.J.; Winters, S.; Lorenzelli, D.; Low, S.E.; Sharma, N.; Ngan, K. Acquired reactive perforating collagenosis in association with pregnancy. Eur. J. Obstet. Gynecol. Reprod. Biol. 2020, 253, 339–341. [Google Scholar] [CrossRef] [PubMed]
- Yancovitz, M.; Johnson, H.; Wang, N.; Pomeranz, M.K. Perforating collagenosis. Dermatol. Online J. 2008, 14, 14. [Google Scholar] [CrossRef] [PubMed]
- Brinkmeier, T.; Schaller, J.; Herbst, R.A.; Frosch, P.J. Successful treatment of acquired reactive perforating collagenosis with doxycycline. Acta Derm. Venereol. 2002, 82, 393–395. [Google Scholar] [CrossRef] [PubMed]
- Vion, B.; Frenk, E. Erworbene reaktive Kollagenose des Erwachsenen: Erfolgreiche Behandlung durch UV-B-Licht [Acquired reactive collagen disease in the adult: Successful treatment with UV-B light]. Hautarzt 1989, 40, 448–450. [Google Scholar]
- Hoque, S.R.; Ameen, M.; Holden, C.A. Acquired reactive perforating collagenosis: Four patients with a giant variant treated with allopurinol. Br. J. Dermatol. 2006, 154, 759–762. [Google Scholar] [CrossRef]
- Tilz, H.; Becker, J.C.; Legat, F.; Schettini, A.P.; Inzinger, M.; Massone, C. Allopurinol in the treatment of acquired reactive perforating collagenosis. An. Bras. Dermatol. 2013, 88, 94–97. [Google Scholar] [CrossRef]
- Yamada, K.; Baba, A.; Kanekura, T. A giant variant of acquired reactive perforating collagenosis successfully treated with nemolizumab. J. Eur. Acad. Dermatol. Venereol. 2024, 38, e750–e752. [Google Scholar] [CrossRef]
- Zheng, J.; Ding, Y.; Chen, Y.; Shi, Y.; Gao, Y. Effectiveness of baricitinib in acquired reactive perforating collagenosis: A case report. Front. Immunol. 2024, 15, 1388274. [Google Scholar] [CrossRef] [PubMed]
- Ding, W.; Wang, Y.; Song, L.; Zhou, N. A potential new treatment with upadacitinib for acquired reactive perforating collagenosis. JAAD Case Rep. 2024, 48, 112–114. [Google Scholar] [CrossRef] [PubMed]
- Erickson, S.; Heul, A.V.; Kim, B.S. New and emerging treatments for inflammatory itch. Ann. Allergy Asthma Immunol. 2021, 126, 13–20. [Google Scholar] [CrossRef] [PubMed]
- Chiricozzi, A.; Maurelli, M.; Gori, N.; Argenziano, G.; De Simone, C.; Calabrese, G.; Girolomoni, G.; Peris, K. Dupilumab improves clinical manifestations, symptoms, and quality of life in adult patients with chronic nodular prurigo. J. Am. Acad. Dermatol. 2020, 83, 39–45. [Google Scholar] [CrossRef]
- Kawakami, T.; Ikeda, T.; Yokoyama, K.; Dong, Y. μ-Opioid receptor overexpression in acquired reactive perforating collagenosis associated with IL-31. J. Dermatol. Sci. 2023, 110, 69–71. [Google Scholar] [CrossRef]
- Yaseen, B.; Lopez, H.; Taki, Z.; Zafar, S.; Rosario, H.; Abdi, B.A.; Vigneswaran, S.; Xing, F.; Arumalla, N.; Black, S.; et al. Interleukin-31 promotes pathogenic mechanisms underlying skin and lung fibrosis in scleroderma. Rheumatology 2020, 59, 2625–2636. [Google Scholar] [CrossRef]
- Lukács, J.; Schliemann, S.; Elsner, P. Treatment of acquired reactive perforating dermatosis—A systematic review. J. Dtsch. Dermatol. Ges. 2018, 16, 825–842. [Google Scholar] [CrossRef] [PubMed]
- Chae, K.S.; Park, Y.M.; Cho, S.H.; Cho, B.K. Reactive perforating collagenosis associated with periampullary carcinoma. Br. J. Dermatol. 1998, 139, 548–550. [Google Scholar] [CrossRef] [PubMed]
- Lee, Y.S.; Vijayasingam, S.; Tan, Y.O.; Wong, S.T. Acquired perforating dermatosis associated with recurrent hepatocellular carcinoma. Int. J. Dermatol. 1996, 35, 743–745. [Google Scholar] [CrossRef]
- Bartling, S.J.; Naff, J.L.; Canevari, M.M.; Fink, C.M. Pruritic rash in an elderly patient with uncontrolled diabetes mellitus. AACE Clin. Case Rep. 2018, 5, e146–e149. [Google Scholar] [CrossRef] [PubMed]
- Kuo, L.; Davis, M.J.; Cannon, M.S.; Chilian, W.M. Pathophysiological consequences of atherosclerosis extend into the coronary microcirculation. Restoration of endothelium-dependent responses by L-arginine. Circ. Res. 1992, 70, 465–476. [Google Scholar] [CrossRef]
- Achim, A.; Stanek, A.; Homorodean, C.; Spinu, M.; Onea, H.L.; Lazăr, L.; Marc, M.; Ruzsa, Z.; Olinic, D.M. Approaches to Peripheral Artery Disease in Diabetes: Are There Any Differences? Int. J. Environ. Res. Public Health 2022, 19, 9801. [Google Scholar] [CrossRef]







Disclaimer/Publisher’s Note: The statements, opinions and data contained in all publications are solely those of the individual author(s) and contributor(s) and not of MDPI and/or the editor(s). MDPI and/or the editor(s) disclaim responsibility for any injury to people or property resulting from any ideas, methods, instructions or products referred to in the content. |
© 2024 by the authors. Published by MDPI on behalf of the Lithuanian University of Health Sciences. Licensee MDPI, Basel, Switzerland. This article is an open access article distributed under the terms and conditions of the Creative Commons Attribution (CC BY) license (https://creativecommons.org/licenses/by/4.0/).
Share and Cite
Mima, Y.; Ohtsuka, T.; Ebato, I.; Nishie, R.; Uesugi, S.; Sumi, M.; Nakazato, Y.; Norimatsu, Y. A Case of Acquired Reactive Perforating Dermatosis with Complete Resolution of Eruptions on Upper and Lower Limbs During the Treatment of Diabetes Mellitus and Peripheral Artery Disease. Medicina 2025, 61, 36. https://doi.org/10.3390/medicina61010036
Mima Y, Ohtsuka T, Ebato I, Nishie R, Uesugi S, Sumi M, Nakazato Y, Norimatsu Y. A Case of Acquired Reactive Perforating Dermatosis with Complete Resolution of Eruptions on Upper and Lower Limbs During the Treatment of Diabetes Mellitus and Peripheral Artery Disease. Medicina. 2025; 61(1):36. https://doi.org/10.3390/medicina61010036
Chicago/Turabian StyleMima, Yoshihito, Tsutomu Ohtsuka, Ippei Ebato, Ryosuke Nishie, Satoshi Uesugi, Makoto Sumi, Yoshimasa Nakazato, and Yuta Norimatsu. 2025. "A Case of Acquired Reactive Perforating Dermatosis with Complete Resolution of Eruptions on Upper and Lower Limbs During the Treatment of Diabetes Mellitus and Peripheral Artery Disease" Medicina 61, no. 1: 36. https://doi.org/10.3390/medicina61010036
APA StyleMima, Y., Ohtsuka, T., Ebato, I., Nishie, R., Uesugi, S., Sumi, M., Nakazato, Y., & Norimatsu, Y. (2025). A Case of Acquired Reactive Perforating Dermatosis with Complete Resolution of Eruptions on Upper and Lower Limbs During the Treatment of Diabetes Mellitus and Peripheral Artery Disease. Medicina, 61(1), 36. https://doi.org/10.3390/medicina61010036

