Challenges in the Management of Giant Carcinoma Ex-Pleiomorphic Adenoma of the Parotid Gland in a Single Tertiary Center
Abstract
1. Introduction
2. Materials and Methods
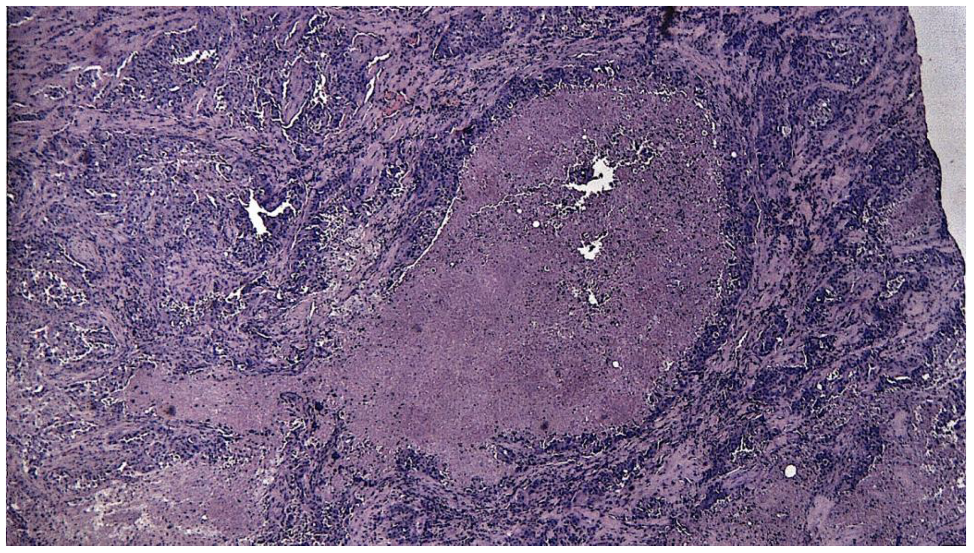
3. Results
4. Discussions
5. Future Directions
6. Conclusions
Author Contributions
Funding
Institutional Review Board Statement
Informed Consent Statement
Data Availability Statement
Acknowledgments
Conflicts of Interest
References
- Jose, D.A.; Mohiyuddin, S.M.A.; Mohammadi, K.; Babu PG, I. Extra-Parotid Pleomorphic Adenoma and Low-Grade Salivary Malignancy in the Head and Neck Region. Cureus 2023, 15, e39463. [Google Scholar] [CrossRef] [PubMed]
- Antony, J.; Gopalan, V.; Smith, R.A.; Lam, A.K. Carcinoma ex pleomorphic adenoma: A comprehensive review of clinical, pathological and molecular data. Head Neck Pathol. 2012, 6, 1–9. [Google Scholar] [CrossRef]
- Valstar, M.H.; de Ridder, M.; van den Broek, E.C.; Stuiver, M.M.; van Dijk, B.A.C.; van Velthuysen, M.L.F.; Balm, A.J.M.; Smeele, L.E. Salivary gland pleomorphic adenoma in the Netherlands: A nationwide observational study of primary tumor incidence, malignant transformation, recurrence, and risk factors for recurrence. Oral Oncol. 2017, 66, 93–99. [Google Scholar] [CrossRef]
- Suzuki, S.; Bandoh, N.; Goto, T.; Kubota, A.; Uemura, A.; Kono, M.; Sato, R.; Takeda, R.; Sakaue, S.; Yamaguchi-Isochi, T.; et al. A retrospective study of parotid gland tumors at a single institution. Oncol. Lett. 2022, 24, 207. [Google Scholar] [CrossRef] [PubMed]
- Venkatesh, S.; Srinivas, T.; Hariprasad, S. Parotid Gland Tumors: 2-Year Prospective Clinicopathological Study. Ann. Maxillofac. Surg. 2019, 9, 103–109. [Google Scholar] [CrossRef] [PubMed]
- Kato, H.; Kanematsu, M.; Mizuta, K.; Ito, Y.; Hirose, Y. Carcinoma ex pleomorphic adenoma of the parotid gland: Radiologic-pathologic correlation with MR imaging including diffusion-weighted imaging. AJNR Am. J. Neuroradiol. 2008, 29, 865–867. [Google Scholar] [CrossRef] [PubMed]
- Scognamiglio, T.; Joshi, R.; Kuhel, W.I.; Tabbara, S.O.; Rezaei, M.K.; Hoda, R.S. Noninvasive carcinoma ex pleomorphic adenoma of the parotid gland: A difficult diagnosis on fine needle aspiration. Cytojournal 2015, 12, 7. [Google Scholar] [CrossRef] [PubMed] [PubMed Central]
- Umar, Z.; Ilyas, U.; Alshamam, M.S.; Foster, A.; Bhangal, R.; Ahmed, N.; Idrees, Z. Carcinoma Ex Pleomorphic Adenoma of the Parotid Gland: A Rare Case. Cureus 2022, 14, e25357. [Google Scholar] [CrossRef] [PubMed] [PubMed Central]
- Kim, J.K.; Kim, M.Y.; Choi, S.K. High grade carcinoma ex pleomorphic adenoma of parotid gland: A case report. J. Korean Assoc. Oral Maxillofac. Surg. 2020, 46, 348–352. Erratum in: J. Korean Assoc. Oral Maxillofac. Surg. 2020, 46, 445. https://doi.org/10.5125/jkaoms.2020.46.6.445. [CrossRef]
- Liu, X.; Liao, X.; Zhang, D. Squamous Cell Carcinoma Ex Pleomorphic Adenoma of the Parotid Gland: Unusual Entity and Diagnostic Pitfalls. Cancer Diagn. Progn. 2021, 1, 279–283. [Google Scholar] [CrossRef] [PubMed]
- Yamada, C.; Baba, A.; Yamauchi, H.; Ogino, N.; Nagaoka, M.; Iwauchi, A.; Maeda, M.; Fukasawa, N.; Shimoda, M.; Mori, T.; et al. A rare case of epithelial-myoepithelial carcinoma ex pleomorphic adenoma of the parotid gland: Radiologic-pathologic correlation. Radiol. Case Rep. 2023, 18, 4160–4166. [Google Scholar] [CrossRef] [PubMed]
- Mori, K.; Yamasaki, K.; Morimoto, Y.; Kinoshita, T.; Asai, S.; Arai, T.; Iinuma, T.; Yonekura, S.; Hanazawa, T. Noteworthy Factors to Decide Therapeutic Strategy for Carcinoma ex Pleomorphic Adenoma of Parotid Gland: A Preliminary Study Statistical Analysis of 22 Cases from Single Institution. Life 2022, 12, 1685. [Google Scholar] [CrossRef] [PubMed]
- Saravakos, P.; Kourtidis, S.; Hartwein, J.; Preyer, S. Parotid Gland Tumors: A Multicenter Analysis of 1020 Cases. Increasing Incidence of Warthin’s Tumor. Indian J. Otolaryngol. Head Neck Surg. 2022, 74, 2033–2040. [Google Scholar] [CrossRef] [PubMed]
- Maahs, G.S.; Oppermann Pde, O.; Maahs, L.G.; Machado Filho, G.; Ronchi, A.D. Parotid gland tumors: A retrospective study of 154 patients. Braz. J. Otorhinolaryngol. 2015, 81, 301–306. [Google Scholar] [CrossRef] [PubMed]
- Williams, L.; Thompson, L.D.; Seethala, R.R.; Weinreb, I.; Assaad, A.M.; Tuluc, M.; Ud Din, N.; Purgina, B.; Lai, C.; Griffith, C.C.; et al. Salivary duct carcinoma: The predominance of apocrine morphology, prevalence of histologic variants, and androgen receptor expression. Am. J. Surg. Pathol. 2015, 39, 705–713. [Google Scholar] [CrossRef] [PubMed]
- Vrinceanu, D.; Dumitru, M.; Bratiloveanu, M.; Marinescu, A.; Serboiu, C.; Manole, F.; Palade, D.O.; Costache, A.; Costache, M.; Patrascu, O. Parotid Gland Tumors: Molecular Diagnostic Approaches. Int. J. Mol. Sci. 2024, 25, 7350. [Google Scholar] [CrossRef]
- Miura, R.; Matsuzaki, H.; Tang, X.; Oshima, T. Repeated Surgery in a Case of Epithelial-Myoepithelial Carcinoma of the Parotid Gland that was Difficult to Distinguish from Pleomorphic Adenoma. Indian J. Otolaryngol. Head Neck Surg. 2023, 75, 2534–2537. [Google Scholar] [CrossRef] [PubMed]
- Hashimoto, K.; Yamamoto, H.; Shiratsuchi, H.; Nakashima, T.; Tamiya, S.; Nishiyama, K.; Higaki, Y.; Komune, S.; Tsuneyoshi, M.; Oda, Y. HER-2/neu gene amplification in carcinoma ex pleomorphic adenoma in relation to progression and prognosis: A chromogenic in-situ hybridization study. Histopathology 2012, 60, E131–E142. [Google Scholar] [CrossRef] [PubMed]
- De Brito, B.S.; Giovanelli, N.; Egal, E.S.; Sánchez-Romero, C.; Nascimento, J.S.; Martins, A.S.; Tincani, Á.J.; Del Negro, A.; Gondak, R.O.; Almeida, O.P.; et al. Loss of expression of Plag1 in malignant transformation from pleomorphic adenoma to carcinoma ex pleomorphic adenoma. Hum. Pathol. 2016, 57, 152–159. [Google Scholar] [CrossRef] [PubMed]
- Keerthi, R.; Raut, R.P.; Vaibhav, N.; Ghosh, A. Carcinoma ex pleomorphic adenoma: Diagnostic dilemma and treatment protocol. Indian J. Dent. 2014, 5, 157–160. [Google Scholar] [CrossRef] [PubMed]
- Tarakji, B.; Nassani, M.Z. Survey of opinions on the management of pleomorphic adenoma among United Kingdom oral and maxillofacial surgeons. Turk. J. Ear Nose Throat 2010, 20, 129–136. [Google Scholar]
- Hasnaoui, M.; Masmoudi, M.; Abdeljelil, N.B.; Belaid, T.; Mighri, K. A case of giant sarcomatoid carcinoma ex-pleomorphic adenoma of the parotid gland. Pan Afr. Med. J. 2020, 37, 2. [Google Scholar] [CrossRef] [PubMed]
- Zebbakh, H.; Lemrabet, A.; Benbrahim, F.Z.; Omor, Y.; Latib, R.; Cherradi, N.; El Ouazzani, H.; Amalik, S. Primary malignant melanoma of the parotid gland: A case report. Radiol. Case Rep. 2024, 19, 3449–3452. [Google Scholar] [CrossRef] [PubMed]
- Bugia, L.; Jungbauer, F.; Zaubitzer, L.; Hörner, C.; Merx, K.; Yasser, A.M.; Germann, T.; Lammert, A.; Scherl, C.; Rotter, N.; et al. Nivolumab as a Promising Treatment Option for Metastatic Salivary Duct Carcinoma. J. Immunother. 2024, 47, 258–262. [Google Scholar] [CrossRef]
- Yu, W.; Ding, C.; Li, K. Partial response to RC-48 as palliative treatment in a patient with locallocally advanced carcinoma ex pleomorphic adenoma harboring a HER2 mutation: A case report. Oral Oncol. 2023, 146, 106541. [Google Scholar] [CrossRef]







Disclaimer/Publisher’s Note: The statements, opinions and data contained in all publications are solely those of the individual author(s) and contributor(s) and not of MDPI and/or the editor(s). MDPI and/or the editor(s) disclaim responsibility for any injury to people or property resulting from any ideas, methods, instructions or products referred to in the content. |
© 2024 by the authors. Published by MDPI on behalf of the Lithuanian University of Health Sciences. Licensee MDPI, Basel, Switzerland. This article is an open access article distributed under the terms and conditions of the Creative Commons Attribution (CC BY) license (https://creativecommons.org/licenses/by/4.0/).
Share and Cite
Bratiloveanu, M.; Dumitru, M.; Marinescu, A.N.; Serboiu, C.; Patrascu, O.M.; Costache, A.; Vrinceanu, D. Challenges in the Management of Giant Carcinoma Ex-Pleiomorphic Adenoma of the Parotid Gland in a Single Tertiary Center. Medicina 2025, 61, 37. https://doi.org/10.3390/medicina61010037
Bratiloveanu M, Dumitru M, Marinescu AN, Serboiu C, Patrascu OM, Costache A, Vrinceanu D. Challenges in the Management of Giant Carcinoma Ex-Pleiomorphic Adenoma of the Parotid Gland in a Single Tertiary Center. Medicina. 2025; 61(1):37. https://doi.org/10.3390/medicina61010037
Chicago/Turabian StyleBratiloveanu, Miruna, Mihai Dumitru, Andreea Nicoleta Marinescu, Crenguta Serboiu, Oana Maria Patrascu, Adrian Costache, and Daniela Vrinceanu. 2025. "Challenges in the Management of Giant Carcinoma Ex-Pleiomorphic Adenoma of the Parotid Gland in a Single Tertiary Center" Medicina 61, no. 1: 37. https://doi.org/10.3390/medicina61010037
APA StyleBratiloveanu, M., Dumitru, M., Marinescu, A. N., Serboiu, C., Patrascu, O. M., Costache, A., & Vrinceanu, D. (2025). Challenges in the Management of Giant Carcinoma Ex-Pleiomorphic Adenoma of the Parotid Gland in a Single Tertiary Center. Medicina, 61(1), 37. https://doi.org/10.3390/medicina61010037

