Three-Dimensional Evaluation of the Effects of Different Treatment Methods on Pharyngeal Airways in Patients with Skeletal Class III Malocclusion
Abstract
1. Introduction
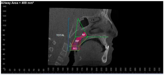
2. Materials and Methods
Statistical Analysis
3. Results
3.1. Intra-Group Comparisons
3.2. Inter-Group Comparisons
4. Discussion
5. Conclusions
Author Contributions
Funding
Institutional Review Board Statement
Informed Consent Statement
Data Availability Statement
Conflicts of Interest
References
- Guyer, E.C.; Ellis, E.E.; McNamara, J.A.; Behrents, R.G. Components of class III malocclusion in juveniles and adolescents. Angle Orthod. 1986, 56, 7–30. [Google Scholar] [PubMed]
- Mucedero, M.; Baccetti, T.; Franchi, L.; Cozza, P. Effects of maxillary protraction with or without expansion on the sagittal pharyngeal dimensions in Class III subjects. Am. J. Orthod. Dentofac. Orthop. 2009, 135, 777–781. [Google Scholar] [CrossRef]
- Li, Y.M.; Liu, J.L.; Zhao, J.L.; Dai, J.; Wang, L.; Chen, J.W. Morphological changes in the pharyngeal airway of female skeletal class III patients following bimaxillary surgery: A cone beam computed tomography evaluation. Int. J. Oral Maxillofac. Surg. 2014, 43, 862–867. [Google Scholar] [CrossRef]
- Chen, X.; Liu, D.; Liu, J.; Wu, Z.; Xie, Y.; Li, L.; Liu, H.; Guo, T.; Chen, C.; Zhang, S. Three-dimensional evaluation of the upper airway morphological changes in growing patients with skeletal class III malocclusion treated by protraction headgear and rapid palatal expansion: A comparative research. PLoS ONE 2015, 10, e0135273. [Google Scholar] [CrossRef]
- Iwasaki, T.; Saitoh, I.; Takemoto, Y.; Inada, E.; Kakuno, E.; Kanomi, R.; Hayasaki, H.; Yamasaki, Y. Tongue posture improvement and pharyngeal airway enlargement as secondary effects of rapid maxillary expansion: A cone-beam computed tomography study. Am. J. Orthod. Dentofac. Orthop. 2013, 143, 235–245. [Google Scholar] [CrossRef] [PubMed]
- Cifter, M.; Ekmen, O.; Gumru Celikel, A.D.; Tagrikulu, B.; Erbay, E. Does the face mask increase the impact of rapid maxillary expansion on sagittal airway dimensions? Eur. Oral. Res. 2023, 57, 28–35. [Google Scholar] [PubMed]
- El, H.; Palomo, J.M. Three-dimensional evaluation of upper airway following rapid maxillary expansion A CBCT study. Angle Orthod. 2014, 84, 265–273. [Google Scholar] [CrossRef] [PubMed]
- Echarri-Nicolás, J.; González-Olmo, M.J.; Echarri-Labiondo, P.; Romero, M. Short-term outcomes in the upper airway with tooth-bone-borne vs bone-borne rapid maxillary expanders. BMC Oral Health 2023, 23, 714. [Google Scholar] [CrossRef]
- Hiyama, S.; Suda, N.; Ishii-Suzuki, M.; Tsuiki, S.; Ogawa, M.; Suzuki, S.; Kuroda, T. Effects of Maxillary Protraction on Craniofacial Structures and Upper-Airway Dimension. Angle Orthod. 2002, 72, 43–47. [Google Scholar] [PubMed]
- Baccetti, T.; Franchi, L.; Mucedero, M.; Cozza, P. Treatment and post-treatment effects of facemask therapy on the sagittal pharyngeal dimensions in Class III subjects. Eur. J. Orthod. 2010, 32, 346–350. [Google Scholar] [CrossRef] [PubMed]
- Ceylan, I.; Oktay, H. A study on the pharyngeal size in different skeletal patterns. Am. J. Orthod. Dentofac. Orthop. 1995, 108, 69–75. [Google Scholar] [CrossRef] [PubMed]
- Fu, Z.; Lin, Y.; Ma, L.; Li, W. Effects of maxillary protraction therapy on the pharyngeal airway in patients with repaired unilateral cleft lip and palate: A 3-dimensional computed tomographic study. Am. J. Orthod. Dentofac. Orthop. 2016, 149, 673–682. [Google Scholar] [CrossRef]
- Smith, T.; Ghoneima, A.; Stewart, K.; Liu, S.; Eckert, G.; Halum, S.; Kula, K. Three-dimensional computed tomography analysis of airway volume changes after rapid maxillary expansion. Am. J. Orthod. Dentofac. Orthop. 2012, 141, 618–626. [Google Scholar] [CrossRef] [PubMed]
- Pliska, B.T.; Tam, I.T.; Lowe, A.A.; Madson, A.M.; Almeida, F.R. Effect of orthodontic treatment on the upper airway volume in adults. Am. J. Orthod. Dentofac. Orthop. 2016, 150, 937–944. [Google Scholar] [CrossRef]
- Ronsivalle, V.; Leonardi, R.; Lagravere, M.; Flores-Mir, C.; Grippaudo, C.; Alessandri Bonetti, G.; Giudice, A.L. Medium-term effects of rapid maxillary expansion on nasal cavity and pharyngeal airway volumes considering age as a factor: A retrospective study. J. Dent. 2024, 144, 104934. [Google Scholar] [CrossRef]
- Bhaskar, N.; Sundareswaran, S.; Vadakkeypeediakkal, L.; Santhakumar, P.; Sathyanathan, S. Does the Alternate Rapid Maxillary Expansion-Constriction/Reverse Headgear Therapy Enhance Pharyngeal Airway Dimensions? Turk. J. Orthod. 2022, 35, 7–15. [Google Scholar] [CrossRef]
- Iwasaki, T.; Hayasaki, H.; Takemoto, Y.; Kanomi, R.; Yamasaki, Y. Oropharyngeal airway in children with Class III malocclusion evaluated by cone-beam computed tomography. Am. J. Orthod. Dentofac. Orthop. 2009, 136, e1–e9. [Google Scholar] [CrossRef] [PubMed]
- El, H.; Palomo, J.M. Airway volume for different dentofacial skeletal patterns. Am. J. Orthod. Dentofac. Orthop. 2011, 139, e511–e521. [Google Scholar] [CrossRef]
- Zhong, Z.; Tang, Z.; Gao, X.; Zeng, X.L. A comparison study of upper airway among different skeletal craniofacial patterns in nonsnoring Chinese children. Angle Orthod. 2010, 80, 267–274. [Google Scholar] [CrossRef]
- Yamashina, A.; Tanimoto, K.; Sutthiprapaporn, P.; Hayakawa, Y. The reliability of computed tomography (CT) values and dimensional measurements of the oropharyngeal region using cone beam CT: Comparison with multidetector CT. Dentomaxillofac. Radiol. 2008, 37, 245–251. [Google Scholar] [CrossRef] [PubMed]
- Aboudara, C.; Nielsen, I.; Huang, J.C.; Maki, K.; Miller, A.J.; Hatcher, D. Comparison of airway space with conventional lateral headfilms and 3-dimensional reconstruction from cone-beam computed tomography. Am. J. Orthod. Dentofac. Orthop. 2009, 135, 468–479. [Google Scholar] [CrossRef]
- Chang, Y.; Koenig, L.J.; Pruszynski, J.E.; Bradley, T.G.; Bosio, J.A.; Liu, D. Dimensional changes of upper airway after rapid maxillary expansion: A prospective cone-beam computed tomography study. Am. J. Orthod. Dentofac. Orthop. 2013, 143, 462–470. [Google Scholar] [CrossRef]
- Haas, A.J. Rapid palatal expansion: A recommmended prerequisite to Class III treatment. Trans. Eur. Orthod. Soc. 1973, 311–318. [Google Scholar] [PubMed]
- Liu, W.; Zhou, S.; Yen, E.; Zou, B. Comparison of changes in the nasal cavity, pharyngeal airway, and maxillary sinus volumes after expansion and maxillary protraction with two protocols: Rapid palatal expansion versus alternate rapid maxillary expansion and constriction. Korean J. Orthod. 2023, 53, 175–184. [Google Scholar] [CrossRef] [PubMed]
- Kaygsz, E.; Tuncer, B.B.; Yüksel, S.; Tuncer, C.; Yildiz, C. Effects of maxillary protraction and fixed appliance therapy on the pharyngeal airway. Angle Orthod. 2009, 79, 660–667. [Google Scholar] [CrossRef] [PubMed]
- Nguyen, T.; De Clerck, H.; Wilson, M.; Golden, B. Effect of class III bone anchor treatment on airway. Angle Orthod. 2015, 85, 591–596. [Google Scholar] [CrossRef]
- Pamporakis, P.; Nevzatoǧlu, Ş.; Küçükkeleş, N. Three-dimensional alterations in pharyngeal airway and maxillary sinus volumes in Class III maxillary deficiency subjects undergoing orthopedic facemask treatment. Angle Orthod. 2014, 84, 701–707. [Google Scholar] [CrossRef]
- Schendel, S.; Powell, N.; Jacobson, R. Maxillary, mandibular, and chin advancement: Treatment planning based on airway anatomy in obstructive sleep apnea. J. Oral Maxillofac. Surg. 2011, 69, 663–676. [Google Scholar] [CrossRef]
- Cozza, P.; Ballanti, F.; Castellano, M.; Fanucci, E. Role of computed tomography in the evaluation of orthodontic treatment in adult patients with obstructive sleep apnea syndrome (OSA). Prog. Orthod. 2008, 9, 6–16. [Google Scholar] [PubMed]
- Zhao, Y.; Nguyen, M.; Gohl, E.; Mah, J.K.; Sameshima, G.; Enciso, R. Oropharyngeal airway changes after rapid palatal expansion evaluated with cone-beam computed tomography. Am. J. Orthod. Dentofac. Orthop. 2010, 137 (Suppl. 4), S71–S78. [Google Scholar] [CrossRef] [PubMed]


| Patient Groups | ||||||||||||||||||||
|---|---|---|---|---|---|---|---|---|---|---|---|---|---|---|---|---|---|---|---|---|
| Group 1: RME | Group 2: RME/FM | Group 3: FM | Group 4: Control | |||||||||||||||||
| Mean (M) | Std. Dev. (SD) | Min | Max | Mean (M) | Std. Dev. (SD) | Min | Max | Mean (M) | Std. Dev. (SD) | Min | Max | Mean (M) | Std. Dev. (SD) | Min | Max | F | Chi-Square | p | Post Hoc | |
| Age (years) | 12.3 | 1.3 | 10.0 | 13.7 | 12.1 | 1.3 | 9.8 | 13.8 | 11.8 | 1.1 | 9.1 | 13.2 | 11.9 | 1.1 | 9.1 | 13.3 | - | 2.132 | 0.546 | - |
| Duration (months) | 4.11 | 0.19 | 3.80 | 4.40 | 6.33 | 0.36 | 5.30 | 6.90 | 6.08 | 0.48 | 5.00 | 6.70 | 6.01 | 0.15 | 5.80 | 6.40 | 149.238 | - | 0.000 | 1–2, 1–3, 1–4 |
| SNA (°) | 76.2 | 1.4 | 72.7 | 77.9 | 76.0 | 1.3 | 73.7 | 77.5 | 76.2 | 1.2 | 73.5 | 77.5 | 75.7 | 1.6 | 72.7 | 74.7 | - | 0.557 | 0.906 | - |
| SNB (°) | 77.9 | 1.8 | 73.5 | 81.2 | 78.6 | 1.5 | 75.6 | 81.1 | 78.3 | 1.6 | 74.9 | 80.7 | 77.3 | 1.8 | 74.6 | 81.1 | 1.658 | - | 0.187 | - |
| ANB (°) | −1.6 | 1.0 | −3.6 | −0.1 | −2.3 | 1.1 | −4.0 | −0.3 | −2.2 | 1.1 | −3.5 | −0.1 | −1.5 | 1.2 | −3.9 | 0.5 | 2.119 | - | 0.108 | - |
| Patient Groups | Total | Test | |||||||
|---|---|---|---|---|---|---|---|---|---|
| RME | RME/FM | FM | Control | Chi-Square | p | ||||
| Gender | Male | N | 9 | 7 | 10 | 8 | 34 | 1.357 | 0.716 |
| % | 26.5% | 20.6% | 29.4% | 23.5% | 100.0% | ||||
| Female | N | 6 | 8 | 5 | 7 | 26 | |||
| % | 23.1% | 30.8% | 19.2% | 26.9% | 100.0% | ||||
| Total | N | 15 | 15 | 15 | 15 | 60 | |||
| % | 25.0% | 25.0% | 25.0% | 25.0% | 100.0% | ||||
| Measurement (mm3) | Mean | Std. Dev. | Min. | Max. | t | Z | p | Significance | |
|---|---|---|---|---|---|---|---|---|---|
| RME (n = 15) | NF t1 | 3640.27 | 1480.17 | 833.00 | 6059.00 | −6.625 | - | 0.000 | *** |
| NF t2 | 4610.93 | 1638.15 | 1775.00 | 6677.00 | |||||
| RP t1 | 5075.67 | 1326.04 | 3252.00 | 8327.00 | - | −3.408 | 0.001 | ** | |
| RP t2 | 5691.60 | 1362.94 | 3531.00 | 8656.00 | |||||
| RG t1 | 3533.40 | 1570.50 | 1784.00 | 7990.00 | −4.909 | - | 0.000 | *** | |
| RG t2 | 3704.20 | 1611.87 | 1822.00 | 8322.00 | |||||
| Total t1 | 12,249.33 | 3035.76 | 8049.00 | 17,737.00 | −7.496 | - | 0.000 | *** | |
| Total t2 | 14,006.73 | 2872.72 | 9846.00 | 18,454.00 | |||||
| MAA t1 | 130.73 | 38.18 | 74.00 | 200.00 | −2.018 | - | 0.063 | - | |
| MAA t2 | 145.93 | 47.99 | 85.00 | 238.00 | |||||
| Measurements (mm3) | Mean | Std. Dev. | Min. | Max. | t | Z | p | Significance | |
|---|---|---|---|---|---|---|---|---|---|
| RME/FM (n = 15) | NF t1 | 2725.07 | 950.00 | 1463.00 | 4492.00 | −6.994 | - | 0.000 | *** |
| NF t2 | 3611.60 | 892.65 | 2471.00 | 5126.00 | |||||
| RP t1 | 4778.87 | 1396.46 | 3115.00 | 8365.00 | −3.924 | - | 0.002 | ** | |
| RP t2 | 5654.13 | 1715.36 | 3263.00 | 9253.00 | |||||
| RG t1 | 3281.67 | 1036.81 | 1556.00 | 5096.00 | −1.960 | - | 0.070 | - | |
| RG t2 | 3440.40 | 1157.18 | 1439.00 | 5787.00 | |||||
| Total t1 | 10,785.60 | 2254.40 | 7104.00 | 15,187.00 | −5.959 | - | 0.000 | *** | |
| Total t2 | 12,706.13 | 2866.43 | 7578.00 | 17,819.00 | |||||
| MAA t1 | 119.40 | 47.63 | 44.00 | 225.00 | −2.627 | - | 0.020 | * | |
| MAA t2 | 138.73 | 57.10 | 55.00 | 215.00 | |||||
| Measurements (mm3) | Mean | Std. Dev. | Min. | Max. | t | Z | p | Significance | |
|---|---|---|---|---|---|---|---|---|---|
| Yüz maskesi (n = 15) | NF t1 | 3234.80 | 1389.42 | 1625.00 | 7256.00 | −6.930 | - | 0.000 | *** |
| NF t2 | 3725.60 | 1401.49 | 1982.00 | 7557.00 | |||||
| RP t1 | 5344.60 | 1999.84 | 2960.00 | 8751.00 | −11.447 | - | 0.000 | *** | |
| RP t2 | 6177.47 | 2000.41 | 3506.00 | 9873.00 | |||||
| RG t1 | 3022.20 | 1294.50 | 1463.00 | 5611.00 | −0.958 | - | 0.354 | - | |
| RG t2 | 3149.67 | 1247.43 | 1308.00 | 5899.00 | |||||
| Total t1 | 11,601.60 | 3487.83 | 7219.00 | 20,170.00 | −8.924 | - | 0.000 | *** | |
| Total t2 | 13,052.73 | 3418.30 | 8786.00 | 21,462.00 | |||||
| MAA t1 | 133.13 | 69.38 | 66.00 | 317.00 | −3.498 | - | 0.004 | ** | |
| MAA t2 | 149.47 | 62.15 | 79.00 | 321.00 | |||||
| Measurements (mm3) | Mean | Std. Dev. | Min. | Max. | t | Z | p | Significance | |
|---|---|---|---|---|---|---|---|---|---|
| Control (n = 15) | NF t1 | 2707.53 | 759.24 | 1800.00 | 4982.00 | −0.697 | - | 0.497 | - |
| NF t2 | 2765.13 | 762.03 | 1707.00 | 4826.00 | |||||
| RP t1 | 4040.07 | 1072.88 | 2213.00 | 6180.00 | 0.720 | - | 0.483 | - | |
| RP t2 | 3960.27 | 1029.28 | 2510.00 | 6577.00 | |||||
| RG t1 | 2166.60 | 762.39 | 1380.00 | 4349.00 | −0.646 | - | 0.529 | - | |
| RG t2 | 2244.27 | 768.44 | 1235.00 | 3999.00 | |||||
| Total t1 | 8914.20 | 1899.15 | 6162.00 | 11,761.00 | −0.262 | - | 0.797 | - | |
| Total t2 | 8969.67 | 1636.38 | 6172.00 | 11,884.00 | |||||
| MAA t1 | 114.33 | 35.76 | 55.00 | 172.00 | −0.399 | - | 0.696 | - | |
| MAA t2 | 116.67 | 36.50 | 67.00 | 207.00 | |||||
| Patient Groups | ||||||||||||||||||||
|---|---|---|---|---|---|---|---|---|---|---|---|---|---|---|---|---|---|---|---|---|
| RME | RME/FM | FM | Control | |||||||||||||||||
| Mean | Std. Dev. | Min. | Max. | Mean | Std. Dev. | Min. | Max. | Mean | Std. Dev. | Min. | Max. | Mean | Std. Dev. | Min. | Max. | F | Chi-Square | p | Post Hoc | |
| t2–1 NF (mm3) | 970.67 | 567.45 | 120.00 | 2260.00 | 886.53 | 490.90 | 203.00 | 1865.00 | 490.80 | 274.30 | 89.00 | 1066.00 | 57.60 | 320.04 | −349.00 | 690.00 | 14.193 | - | 0.000 | 1–3, 1–4, 2–4, 3–4 |
| t2–t1 RP (mm3) | 615.93 | 492.87 | 80.00 | 1536.00 | 875.27 | 863.99 | −170.00 | 2523.00 | 832.87 | 281.80 | 408.00 | 1278.00 | −79.80 | 429.08 | −830.00 | 719.00 | - | 22.631 | 0.000 | 1–4, 2–4, 3–4 |
| t2–t1 RG (mm3) | 170.80 | 134.76 | −43.00 | 399.00 | 158.73 | 313.72 | −278.00 | 691.00 | 127.47 | 515.27 | −985.00 | 995.00 | 77.67 | 465.73 | −774.00 | 994.00 | 0.173 | - | 0.914 | - |
| t2–t1 Total (mm3) | 1757.40 | 908.05 | 621.00 | 3437.00 | 1920.53 | 1248.13 | 252.00 | 4098.00 | 1451.13 | 629.78 | 144.00 | 2438.00 | 55.47 | 821.14 | −1020.0 | 1649.0 | 12.544 | - | 0.000 | 1–4, 2–4, 3–4 |
| t2–t1 MAA (mm2) | 15.20 | 29.17 | −31.00 | 88.00 | 19.33 | 28.50 | −16.00 | 79.00 | 16.33 | 18.09 | −28.00 | 56.00 | 2.33 | 22.64 | −29.00 | 44.00 | 1.354 | - | 0.266 | - |
Disclaimer/Publisher’s Note: The statements, opinions and data contained in all publications are solely those of the individual author(s) and contributor(s) and not of MDPI and/or the editor(s). MDPI and/or the editor(s) disclaim responsibility for any injury to people or property resulting from any ideas, methods, instructions or products referred to in the content. |
© 2025 by the authors. Published by MDPI on behalf of the Lithuanian University of Health Sciences. Licensee MDPI, Basel, Switzerland. This article is an open access article distributed under the terms and conditions of the Creative Commons Attribution (CC BY) license (https://creativecommons.org/licenses/by/4.0/).
Share and Cite
Polat, M.Y.; Ceylan, İ. Three-Dimensional Evaluation of the Effects of Different Treatment Methods on Pharyngeal Airways in Patients with Skeletal Class III Malocclusion. Medicina 2025, 61, 142. https://doi.org/10.3390/medicina61010142
Polat MY, Ceylan İ. Three-Dimensional Evaluation of the Effects of Different Treatment Methods on Pharyngeal Airways in Patients with Skeletal Class III Malocclusion. Medicina. 2025; 61(1):142. https://doi.org/10.3390/medicina61010142
Chicago/Turabian StylePolat, Mevlude Yuce, and İsmail Ceylan. 2025. "Three-Dimensional Evaluation of the Effects of Different Treatment Methods on Pharyngeal Airways in Patients with Skeletal Class III Malocclusion" Medicina 61, no. 1: 142. https://doi.org/10.3390/medicina61010142
APA StylePolat, M. Y., & Ceylan, İ. (2025). Three-Dimensional Evaluation of the Effects of Different Treatment Methods on Pharyngeal Airways in Patients with Skeletal Class III Malocclusion. Medicina, 61(1), 142. https://doi.org/10.3390/medicina61010142
