Prenatal Detection of Silver–Russell Syndrome: A First Trimester Suspicion and Diagnostic Approach
Abstract
1. Introduction
2. Case Presentation
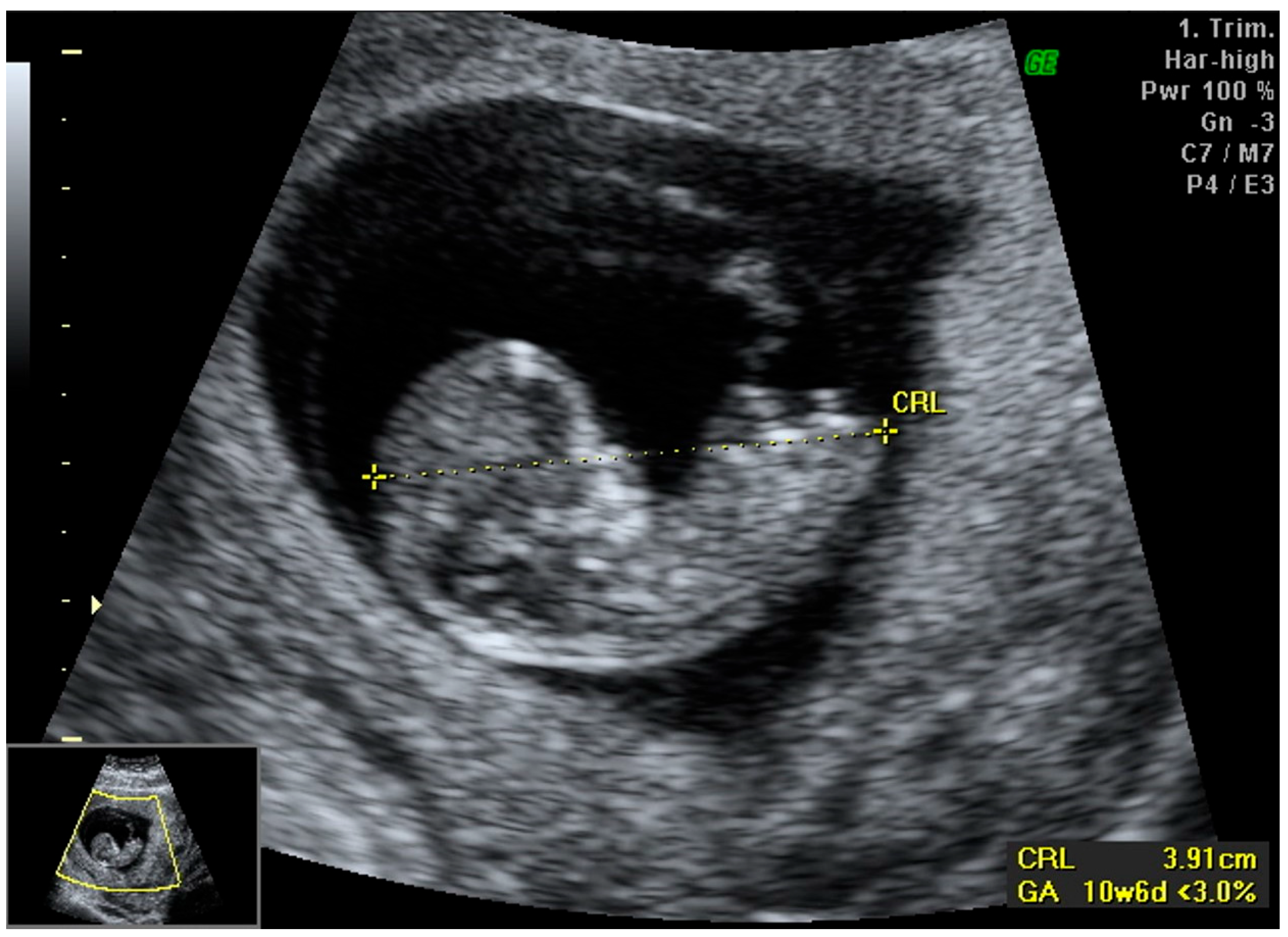
2.1. First-Trimester Findings
- PAPP-A: 0.7 MoM
- Beta-hCG: 0.73 MoM
- Nuchal Translucency (NT): 0.98 mm
- Risk for Down syndrome (Trisomy 21): 1 in 37,000
- Risk for Edwards syndrome (Trisomy 18): 1 in 100,000
- Risk for Patau syndrome (Trisomy 13): 1 in 100,000
- Risk for Turner syndrome: 1 in 100,000
- Risk for Triploidy: 1 in 100,000
2.2. Why Chorionic Villus Sampling (CVS) Was Not Performed
- Epigenetic Nature of SRS: The diagnosis of SRS relies on a DNA methylation analysis at 11p15, which is more accurately assessed using fetal cells from amniotic fluid rather than placental tissue.
- Risk of Confined Placental Mosaicism (CPM): The placental tissue obtained via CVS might not accurately represent fetal methylation patterns, increasing the risk of false-positive or false-negative results.
- Diagnostic Accuracy: The amniotic fluid, obtained via amniocentesis, offers greater diagnostic reliability for DNA methylation testing.
- Patient Counseling: The patient was thoroughly counseled on these factors, and the decision was made to defer invasive testing until amniocentesis could be performed.
2.3. Second-Trimester Findings
- Biparietal Diameter (BPD): 42.5 mm (7th percentile)
- Head Circumference (HC): 162 mm (9th percentile)
- Abdominal Circumference (AC): 122 mm (<3d percentile)
- Femur Length (FL): 26 mm (<3d percentile)
- Estimated Fetal Weight (EFW): 220 g (<3d percentile)
- Head Circumference-to-Abdominal Circumference Ratio (HC/AC): 1.33
2.4. Invasive Genetic Testing
- Chromosomal Microarray Analysis (ChromoSeq)
- Targeted DNA Methylation Testing for Silver–Russell Syndrome (SRS)
- SRS is often caused by abnormal DNA methylation at the H19/IGF2 imprinting control region (ICR) located on chromosome 11p15.5.
- MLPA can quantitatively measure the level of DNA methylation at this specific region.
- The SALSA MLPA KIT ME034-BWS/RSS targets 11p15 regions associated with both Beckwith–Wiedemann Syndrome (BWS) and Silver–Russell Syndrome (SRS).
- It assesses methylation levels at H19DMR (differentially methylated region) and KCNQ1OT1DMR.
2.5. Testing Process Details
- DNA Extraction:
- ○
- The DNA was extracted from amniotic fluid (prenatal testing) and from parental blood samples.
- MLPA Analysis:
- ○
- Probes specific to the H19DMR and KCNQ1OT1DMR loci on chromosome 11p15 were used.
- ○
- These probes detect both methylation abnormalities and copy number changes at these regions.
2.6. Parental Genetic Testing
3. Discussion
4. Conclusions
Author Contributions
Funding
Institutional Review Board Statement
Informed Consent Statement
Data Availability Statement
Conflicts of Interest
References
- Raso, M.; Chiarelli, F. Recent insights in Silver-Russell syndrome. Pediatr. Dimens. 2020, 5, 1000205. [Google Scholar] [CrossRef]
- Azzi, S.; Salem, J.; Thibaud, N.; Chantot-Bastaraud, S.; Lieber, E.; Netchine, I.; Harbison, M.D. A prospective study validating a clinical scoring system and demonstrating phenotypical-genotypical correlations in Silver-Russell syndrome. J. Med. Genet. 2015, 52, 446–453. [Google Scholar] [CrossRef] [PubMed]
- Xatzipsalti, M. A variant of uncertain significance in HMGA2 gene, in a child with Silver-Russell syndrome-like phenotype: A case report. J. Clin. Images Med. Case Rep. 2023, 4, 2405. [Google Scholar] [CrossRef]
- Spiteri, B.; Stafrace, Y.; Calleja-Agius, J. Silver-Russell syndrome: A review. Neonatal Netw. 2017, 36, 206–212. [Google Scholar] [CrossRef]
- Wikiera, B.; Nocoń-Bohusz, J.; Noczyńska, A. Silver-Russell syndrome and Turner syndrome in a girl with short stature treated with growth hormone—Case report. Pediatr. Endocrinol. Diabetes Metab. 2022, 28, 301–304. [Google Scholar] [CrossRef]
- Lahmamssi, F.; Saadaoui, L.; Aynaou, H.; Salhi, H.; Ouahabi, H. An unusual association: Silver-Russell syndrome and ectopic thyroid. Cureus 2022, 14, e24837. [Google Scholar] [CrossRef]
- Mahindrakar, N.; Jeeragi, M.; Hebbal, K. Congenital growth disorder: Silver-Russell syndrome—A case report. J. Clin. Images Med. Case Rep. 2022, 3, 2097. [Google Scholar] [CrossRef]
- Hashemian, S.; Vakili, R.; Sadr-Nabavi, A.; Esfehani, R.; Jaripour, M. Molecular evaluation of children with clinical Russell-Silver phenotypes: The first report from Iran. Iran. J. Pediatr. 2019, 29, e81388. [Google Scholar] [CrossRef]
- Stark, Z.; Ryan, M.; Bruno, D.; Burgess, T.; Savarirayan, R. Atypical Silver–Russell phenotype resulting from maternal uniparental disomy of chromosome 7. Am. J. Med. Genet. A 2010, 152, 2342–2345. [Google Scholar] [CrossRef]
- Su, J.; Wang, J.; Fan, X.; Fu, C.; Zhang, S.; Zhang, Y.; Qin, Z.; Li, H.; Luo, J.; Li, C.; et al. Mosaic upd(7q)mat in a patient with Silver-Russell syndrome. Mol. Cytogenet. 2017, 10, 36. [Google Scholar] [CrossRef]
- Javadzadeh, M.; Saneifard, H.; Hosseini, A. Torticollis as the main presentation in a child with Russell-Silver syndrome: A case report. Case Rep. Pediatr. 2012, 2012, 1–4. [Google Scholar] [CrossRef] [PubMed]
- Kirkegaard, I.; Henriksen, T.; Uldbjerg, N. Early fetal growth, PAPP-A and free β-HCG in relation to risk of delivering a small-for-gestational age infant. Ultrasound Obstet. Gynecol. 2011, 37, 341–347. [Google Scholar] [CrossRef]
- Prior, T.; Mullins, E.; Bennett, P.; Kumar, S. Are 1st-trimester β-human chorionic gonadotrophin and pregnancy-associated plasma protein A levels predictive of intrapartum fetal compromise in a selected normal population? Aust. N. Z. J. Obstet. Gynaecol. 2014, 54, 418–423. [Google Scholar] [CrossRef] [PubMed]
- Sotiriadis, A.; Figueras, F.; Eleftheriades, M.; Papaioannou, G.; Chorozoglou, G.; Dinas, K.; Papantoniou, N. First-trimester and combined first- and second-trimester prediction of small-for-gestational age and late fetal growth restriction. Ultrasound Obstet. Gynecol. 2018, 53, 55–61. [Google Scholar] [CrossRef]
- Nicolaides, K.H. The 11–13+6 Weeks Scan; Fetal Medicine Foundation: London, UK, 2004. [Google Scholar]
- Sagi-Dain, L.; Peleg, A.; Sagi, S. First-Trimester Crown-Rump Length and Risk of Chromosomal Aberrations-A Systematic Review and Meta-analysis. Obstet. Gynecol. Surv. 2017, 72, 603–609. [Google Scholar] [CrossRef] [PubMed]
- Hara-Isono, K.; Matsubara, K.; Fuke, T.; Yamazawa, K.; Satou, K.; Murakami, N.; Saitoh, S.; Nakabayashi, K.; Hata, K.; Ogata, T.; et al. Genome-wide methylation analysis in Silver–Russell syndrome, Temple syndrome, and Prader–Willi syndrome. Clin. Epigenet 2020, 12, 159. [Google Scholar] [CrossRef] [PubMed]
- Bich Trinh, N.; Dinh Bao Vuong, A.; Nhon Nguyen, P. Successful management of pregnancy in Turner syndrome (Monosomy X): A rare condition-based learning experience from Vietnam. Int. J. Reprod. Biomed. 2024, 22, 411–416. [Google Scholar] [CrossRef] [PubMed] [PubMed Central]
- Greco, E.; Litwicka, K.; Minasi, M.G.; Cursio, E.; Greco, P.F.; Barillari, P. Preimplantation Genetic Testing: Where We Are Today. Int. J. Mol. Sci. 2020, 21, 4381. [Google Scholar] [CrossRef] [PubMed] [PubMed Central]
- Liu, S.; Chang, Q.; Yang, F.; Xu, Y.; Jia, B.; Wu, R.; Li, L.; Yin, A.; Chen, W.; Huang, F.; et al. Non-invasive prenatal test findings in 41,819 pregnant women: Results from a clinical laboratory in southern China. Arch. Gynecol. Obstet. 2023, 308, 787–795. [Google Scholar] [CrossRef]




| Condition | Key Ultrasound Findings | Biochemical Markers (PAPP-A, Beta-hCG) | Genetic/Diagnostic Features |
|---|---|---|---|
| Silver–Russell Syndrome | Asymmetric IUGR, relative macrocephaly | PAPP-A: (0.7 MoM), Beta-hCG: (0.73 MoM)—data are limited to our case only | Hypomethylation at 11p15, UPD7 (rare) |
| Triploidy (Digynic) | Severe IUGR, syndactyly, cystic placenta, holoprosencephaly, exomphalos or posterior fossa cyst | PAPP-A: low, Beta-hCG: low | Triploid karyotype (69,XXX/69,XXY) |
| Turner Syndrome (45,X) | Mild general growth restriction, cystic hygroma | PAPP-A: low, Beta-hCG: normal | Monosomy X on karyotype |
| Edwards Syndrome (T18) | Severe general growth restriction, overlapping fingers, cardiac defects, exomphalos, absent nasal bone, single umbilical artery | PAPP-A: low, Beta-hCG: low | Trisomy 18 on karyotype |
| Patau Syndrome (T13) | Mild growth restriction, megacystis, midline defects, holoprosencephaly, exomphalos | PAPP-A: low, Beta-hCG: low | Trisomy 13 on karyotype |
| Placental Insufficiency | Symmetric/asymmetric IUGR, oligohydramnios | PAPP-A: low, Beta-hCG: Normal/High | Normal karyotype, abnormal Doppler studies |
Disclaimer/Publisher’s Note: The statements, opinions and data contained in all publications are solely those of the individual author(s) and contributor(s) and not of MDPI and/or the editor(s). MDPI and/or the editor(s) disclaim responsibility for any injury to people or property resulting from any ideas, methods, instructions or products referred to in the content. |
© 2025 by the authors. Published by MDPI on behalf of the Lithuanian University of Health Sciences. Licensee MDPI, Basel, Switzerland. This article is an open access article distributed under the terms and conditions of the Creative Commons Attribution (CC BY) license (https://creativecommons.org/licenses/by/4.0/).
Share and Cite
Galeva, S.; Diglio, G.; Stoilov, B.; Uchikova, E.; Pop, L. Prenatal Detection of Silver–Russell Syndrome: A First Trimester Suspicion and Diagnostic Approach. Medicina 2025, 61, 145. https://doi.org/10.3390/medicina61010145
Galeva S, Diglio G, Stoilov B, Uchikova E, Pop L. Prenatal Detection of Silver–Russell Syndrome: A First Trimester Suspicion and Diagnostic Approach. Medicina. 2025; 61(1):145. https://doi.org/10.3390/medicina61010145
Chicago/Turabian StyleGaleva, Slavyana, Giuliana Diglio, Boris Stoilov, Ekaterina Uchikova, and Lucian Pop. 2025. "Prenatal Detection of Silver–Russell Syndrome: A First Trimester Suspicion and Diagnostic Approach" Medicina 61, no. 1: 145. https://doi.org/10.3390/medicina61010145
APA StyleGaleva, S., Diglio, G., Stoilov, B., Uchikova, E., & Pop, L. (2025). Prenatal Detection of Silver–Russell Syndrome: A First Trimester Suspicion and Diagnostic Approach. Medicina, 61(1), 145. https://doi.org/10.3390/medicina61010145

