Simultaneous Prostate and Bladder Cancer with Collision Lymph Node Metastasis: A Case Report and Literature Review
Abstract
1. Introduction
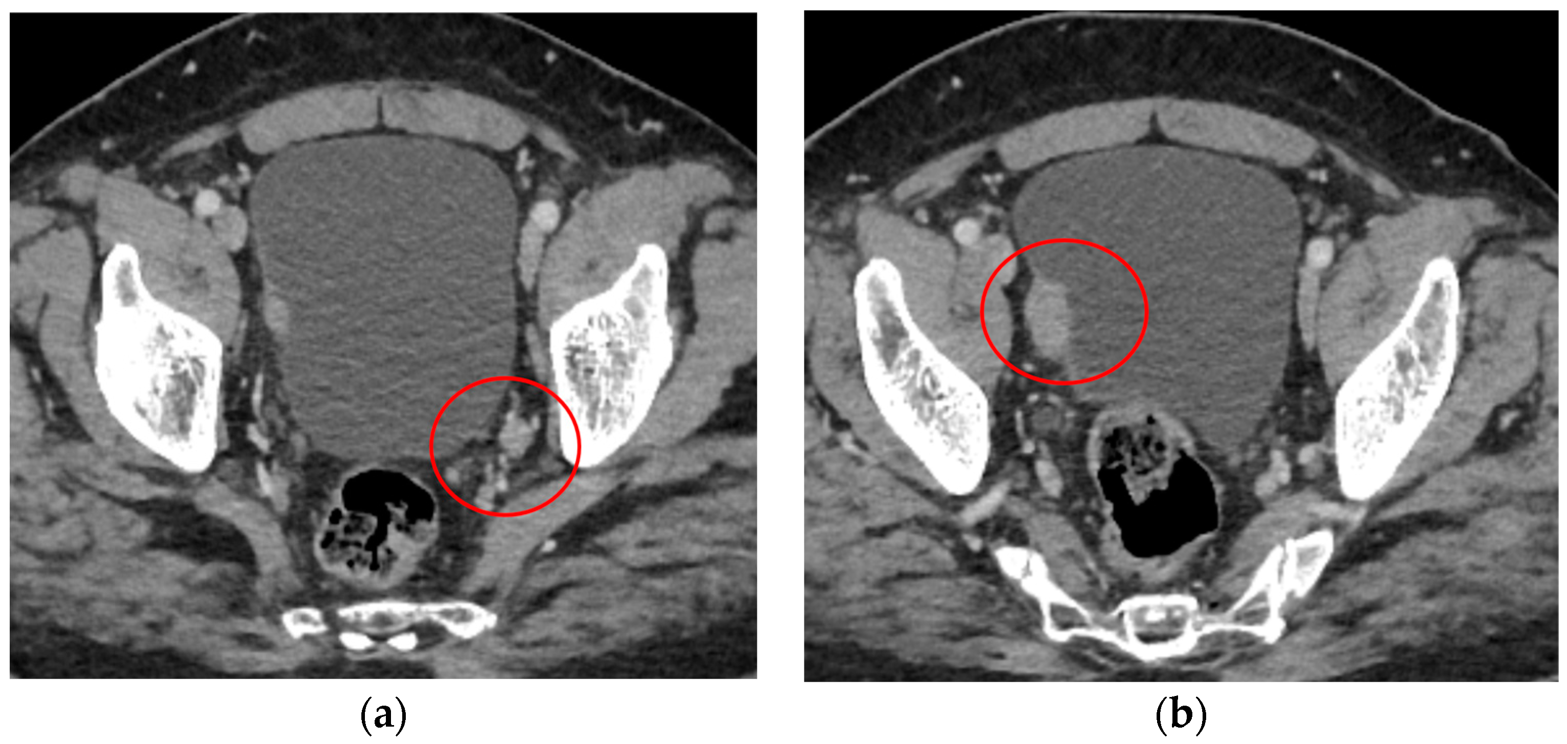
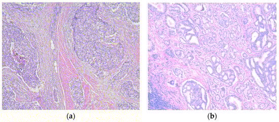
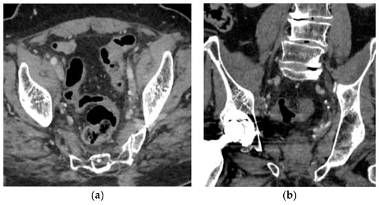
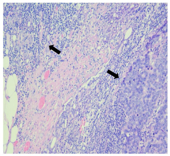
2. Case Report
3. Discussions
4. Limitations of the Study
5. Conclusions
Author Contributions
Funding
Conflicts of Interest
References
- Jubber, I.; Ong, S.; Bukavina, L.; Black, P.C.; Compérat, E.; Kiemeney, L.; Lerner, S.P.; Meeks, J.J.; Kamat, A.M.; Lawrentschuk, N.; et al. Epidemiology of Bladder Cancer in 2023: A Systematic Review of Risk Factors. Eur. Urol. 2023, 84, 176–190, ISSN 0302-2838. [Google Scholar] [CrossRef] [PubMed]
- Sung, H.; Ferlay, J.; Siegel, R.L.; Laversanne, M.; Soerjomataram, I.; Jemal, A.; Bray, F. Global cancer statistics 2020: GLOBOCAN estimates of incidence and mortality worldwide for 36 cancers in 185 countries. CA Cancer J. Clin. 2021, 71, 209–249. [Google Scholar] [CrossRef] [PubMed]
- Catto, J.W.F.; Gordon, K.; Collinson, M.; Poad, H.; Twiddy, M.; Johnson, M.; Jain, S.; Chahal, R.; Simms, M.; Dooldeniya, M.; et al. Radical cystectomy against intravesical BCG for high-risk high-grade nonmuscle invasive bladder cancer: Results from the randomized controlled BRAVO-feasibility study. J. Clin. Oncol. 2021, 39, 202–214. [Google Scholar] [CrossRef] [PubMed]
- Witjes, J.A.; Bruins, H.M.; Cathomas, R.; Compérat, E.M.; Cowan, N.C.; Gakis, G.; Hernández, V.; Espinós, E.L.; Lorch, A.; Neuzillet, Y.; et al. European Association of Urology guidelines on muscle-invasive and metastatic bladder cancer: Summary of the 2020 guidelines. Eur. Urol. 2021, 79, 82–104. [Google Scholar] [CrossRef] [PubMed]
- Ferlay, J.; Ervik, M.; Lam, F.; Laversanne, M.; Colombet, M.; Mery, L.; Pineros, M.; Znaor, A.; Soerjomataram, I.; Bray, F. Global Cancer Observatory: Cancer Today; International Agency for Research on Cancer: Lyon, France, 2024.
- Culp, M.B.; Soerjomataram, I.; Efstathiou, J.A.; Bray, F.; Jemal, A. Recent Global Patterns in Prostate Cancer Incidence and Mortality Rates. Eur. Urol. 2020, 77, 38–52. [Google Scholar] [CrossRef]
- Heidenreich, A.; Bastian, P.J.; Bellmunt, J.; Bolla, M.; Joniau, S.; van der Kwast, T.; Mason, M.; Matveev, V.; Wiegel, T.; Zattoni, F.; et al. EAU guidelines on prostate cancer. Part II: Treatment of advanced, relapsing, and castration-resistant prostate cancer. Eur. Urol. 2014, 65, 467–479. [Google Scholar] [CrossRef]
- Saad, M.; Abdel-Rahim, M.; Abol-Enein, H.; Ghoneim, M.A. Concomitant pathology in the prostate in cystoprostatectomy specimens: A prospective study and review. BJU Int. 2008, 102, 1544–1550. [Google Scholar] [CrossRef]
- Braticevici, B.; Petca, R.; Petrescu, A.; Jinga, V.; Ioniţă, L. Incidentally detected prostate cancer in patients undergoing radical cystoprostatectomy. Rom. Biotechnol. Lett. 2014, 19, 9051–9057. [Google Scholar]
- Pignot, G.; Salomon, L.; Lebacle, C.; Neuzillet, Y.; Lunardi, P.; Rischmann, P.; Zerbib, M.; Champy, C.; Roupret, M.; Peyronnet, B.; et al. Prostate cancer incidence on cystoprostatectomy specimens is directly linked to age: Results from a multicentre study. BJU Int. 2015, 115, 87–93. [Google Scholar] [CrossRef]
- Abdelhady, M.; Abusamra, A.; Pautler, S.E.; Chin, J.L.; Izawa, J.I. Clinically significant prostate cancer found incidentally in radical cystoprostatectomy specimens. BJU Int. 2007, 99, 326–329. [Google Scholar] [CrossRef]
- Sanguedolce, F.; Troiano, F.; Musci, G.; Magda, Z.; Maurizio, Z.; Stefano, A.; Giuseppe, C.; Luigi, C. Collision nodal metastasis of bladder cancer and melanoma: The first reported case and literature review. Curr. Urol. 2022, 16, 168–171. [Google Scholar] [CrossRef] [PubMed]
- Wade, Z.K.; Shippey, J.E.; Hamon, G.A.; Smoak, R.L.; Argani, P.; Allsbrook, W.C., Jr. Collision metastasis of prostatic and colonic adenocarcinoma: Report of 2 cases. Arch. Pathol. Lab. Med. 2004, 128, 318–320. [Google Scholar] [CrossRef] [PubMed]
- Junca, A.; Frouin, E.; Irani, J.; Fromont, G.; Levillain, P. Double métastase ganglionnaire d’un adénocarcinome prostatique et d’un carcinome urothélial et revue de la littérature [Metastatic lymph node collision of a prostatic adenocarcinoma and an urothelial carcinoma and review of the literature]. Ann. Pathol. 2015, 35, 496–501. [Google Scholar] [CrossRef] [PubMed]
- Pastolero, G.C.; Coire, C.I.; Asa, S.L. Concurrent medullary and papillary carcinomas of thyroid with lymph node metastases. A collision phenomenon. Am. J. Surg. Pathol. 1996, 20, 245–250. [Google Scholar] [CrossRef]
- Ergen, A.; Balbay, M.D.; Irwin, M.; Torno, R. Collision metastasis of bladder and prostate carcinoma to a single pelvic lymph node. Int. Urol. Nephrol. 1995, 27, 743–745. [Google Scholar] [CrossRef]
- Gohji, K.; Nomi, M.; Kizaki, T.; Maruyama, S.; Morisue, K.; Fujii, A. “Collision phenomenon” of prostate and bladder cancers in lymph node metastases. Int. J. Urol. 1997, 4, 222–224. [Google Scholar] [CrossRef]
- Overstreet, K.; Haghighi, P. Urothelial and prostate carcinoma metastasizing to the same lymph node: A case report and review of the literature. Arch. Pathol. Lab. Med. 2001, 125, 1354–1357. [Google Scholar] [CrossRef]
- Bhavsar, T.; Liu, J.; Huang, Y. Collision metastasis of urothelial and prostate carcinomas to the same lymph node: A case report and review of the literature. J. Med. Case Rep. 2012, 6, 124. [Google Scholar] [CrossRef]
- Sellman, D.P.; Peard, L.; Simpson, G.; Lancaster, K.; Kavuri, S.; Terris, M.; Madi, R. Collision metastasis of prostatic adenocarcinoma and urothelial carcinoma of the bladder. Urol. Ann. 2018, 10, 342–344. [Google Scholar] [CrossRef]
- Bonk, S.; Kluth, M.; Hube-Magg, C.; Polonski, A.; Soekeland, G.; Makropidi-Fraune, G.; Möller-Koop, C.; Witt, M.; Luebke, A.M.; Hinsch, A.; et al. Prognostic and diagnostic role of PSA immunohistochemistry: A tissue microarray study on 21,000 normal and cancerous tissues. Oncotarget. 2019, 10, 5439–5453. [Google Scholar] [CrossRef]
- Epstein, J.I.; Egevad, L.; Humphrey, P.A.; Montironi, R.; Members of the ISUP Immunohistochemistry in Diagnostic Urologic Pathology Group. Best practices recommendations in the application of immunohistochemistry in the prostate: Report from the International Society of Urologic Pathology consensus conference. Am. J. Surg. Pathol. 2014, 38, e6–e19. [Google Scholar] [CrossRef] [PubMed]
- Galoczova, M.; Nenutil, R.; Pokorna, Z.; Vojtesek, B.; Coates, P.J. TAp63 and ΔNp63 (p40) in prostate adenocarcinomas: ΔNp63 associates with a basal-like cancer stem cell population but not with metastasis. Virchows. Arch. 2021, 478, 627–636. [Google Scholar] [CrossRef] [PubMed]
- Guelfucci, B.; Lussato, D.; Cammilleri, S.; Chrestian, M.; Zanaret, M.; Mundler, O. Papillary thyroid and squamous cell carcinoma in the same radioguided sentinel lymph node. Clin. Nucl. Med. 2004, 29, 268–269. [Google Scholar] [CrossRef] [PubMed]
- da Cruz Perez, D.E.; de Almeida, O.P.; de Abreu Alves, F.; Paulo Kowalski, L. Metastases of well-differentiated thyroid and oral squamous cell carcinoma to the same neck lymph node. Pathol. Res. Pract. 2008, 204, 143–145. [Google Scholar] [CrossRef]
- Lim, Y.C.; Kim, W.S.; Choi, E.C. Collision metastasis of squamous carcinoma of the oral tongue and incidental thyroid papillary carcinoma to a single cervical lymph node. Int. J. Oral Maxillofac. Surg. 2008, 37, 494–496. [Google Scholar] [CrossRef]
- Mattioli, F.; Masoni, F.; Ponti, G.; Rossi, G.; Molteni, G.; Alicandri-Ciufelli, M.; Presutti, L. “Collision” metastasis from unknown primary squamous cell carcinoma and papillary microcarcinoma of thyroid presenting as lateral cervical cystic mass. Auris Nasus Larynx 2009, 36, 372–375. [Google Scholar] [CrossRef]
- Zeng, H.; Liu, C.; Zeng, Y.J.; Wang, L.; Chen, G.B.; Shen, X.M. Collision metastasis of breast and thyroid carcinoma to a single cervical lymph node: Report of a case. Surg. Today 2012, 42, 891–894. [Google Scholar] [CrossRef]
- Sadat Alavi, M.; Azarpira, N. Medullary and papillary carcinoma of the thyroid gland occurring as a collision tumor with lymph node metastasis: A case report. J. Med. Case Rep. 2011, 5, 590. [Google Scholar] [CrossRef]
- Alhanafy, A.M.; Al-Sharaky, D.; Abdou, A.G.; Abdallah, R.A. Metastatic Collision Tumour (Papillary Thyroid Carcinoma and Squamous Cell Carcinoma) in Cervical Lymph Nodes: An Immunohistochemical Analysis. J. Clin. Diagn. Res. 2016, 10, ED11–ED13. [Google Scholar] [CrossRef]
- Xu, Y.M.; Gong, Z.J.; Wu, H.J. Papillary Thyroid Carcinoma Incidentally Found in Cervical Lymph Nodes During Neck Dissection for Patients with Tongue Squamous Cell Carcinoma: A 3-Case Report and Literature Review. J. Oral Maxillofac. Surg. 2018, 76, 2454.e1–2454.e6. [Google Scholar] [CrossRef]
- Morgan, A.D. Carcinomas of rectum and prostate metastasising to the same lymph-nodes. J. Pathol. 1969, 97, 143–145. [Google Scholar] [CrossRef] [PubMed]
- Mourra, N.; Parc, Y.; McNamara, D.; Tiret, E.; Flejou, J.F.; Parc, R. Lymph node metastases of prostatic adenocarcinoma in the mesorectum in patients with adenocarcinoma or villous tumor of the rectum with collision phenomenon in a single lymph node: Report of five cases. Dis. Colon Rectum 2005, 48, 384–389. [Google Scholar] [CrossRef] [PubMed]
- Miyauchi, J.; Asahara, F.; Matsui, J. Collision lymph node metastasis of rectal and prostate adenocarcinomas. Pathol. Int. 2013, 63, 425–427. [Google Scholar] [CrossRef] [PubMed]
- Abbas, T.O.; Al-Naimi, A.R.; Yakoob, R.A.; Al-Bozom, I.A.; Alobaidly, A.M. Prostate cancer metastases to the rectum: A case report. World J. Surg. Oncol. 2011, 9, 56. [Google Scholar] [CrossRef]
- El-Gendy, K.A.; Atkin, G.K.; Brightwell, R.E.; Richman, P.; Livingstone, J.I. Adjacent thoracic lymph node metastases originating from two separate primary cancers: Case report. Int. Semin. Surg. Oncol. 2008, 5, 22. [Google Scholar] [CrossRef][Green Version]
- Gasparinho, M.G.; Morgado, S.; Fonseca, R.; Chaves, P. Collision metastases of breast and rectal carcinoma--a possible role for chemokines receptors expression. Pathol. Oncol. Res. 2012, 18, 729–732. [Google Scholar] [CrossRef]
- Terada, T.; Satoh, Y.; Aoki, N.; Hirayama, R.; Ishikawa, Y.; Hatakeyama, S. The coexistence of cancer cells of different origin within the same lymph nodes. Surg. Radiol. Anat. 1993, 15, 119–123. [Google Scholar] [CrossRef]
- Sughayer, M.A.; Zakarneh, L.; Abu-Shakra, R. Collision metastasis of breast and ovarian adenocarcinoma in axillary lymph nodes: A case report and review of the literature. Pathol. Oncol. Res. 2009, 15, 423–427. [Google Scholar] [CrossRef]
- Saco, M.; Zager, J.; Messina, J. Metastatic melanoma and prostatic adenocarcinoma in the same sentinel lymph node. Cutis 2018, 101, E1–E3. [Google Scholar]
- Morton, M.; Omar, N.; Madi, R.; Terris, M.; Powell, M. Collision metastasis: Renal cell carcinoma and prostatic adenocarcinoma to a retroperitoneal lymph node. Urol. Case Rep. 2021, 40, 101884. [Google Scholar] [CrossRef]
- Wu, M.; Scolyer, R.A.; Menzies, A.M.; Maher, N.; Pennington, T.E. Synchronous collision metastasis of melanoma and squamos cell carcinoma in parotid lymph node: The first case report and literature review. Pathology 2024, 56, S85. [Google Scholar] [CrossRef]





| Age | Preoperative PSA Level (ng/mL) | PCa Gleason Score | Histological Type of Bladder Cancer | Antibodies Used in Immunochemistry | |
|---|---|---|---|---|---|
| Ergen et al., 1995 [16] | 67 | 10 | 8 (4 + 4) | High grade urothelial carcinoma | Not specified |
| Gohji et al., 1997 [17] | 78 | 1.2 | Not specified | Epidermoid carcinoma | PSA |
| Overstreet et al., 2001 [18] | 67 | Not specified | 7 (3 + 4) | High grade urothelial carcinoma | CK20, CK7, PSA, PAP, mACE, CD57 |
| Bhavsar et al., 2012 [19] | 83 | Not specified | 8 (4 + 4) | High grade urothelial carcinoma | Pan-CK, CK7, CK20, PSA |
| Junca et al., 2015 [14] | 61 | 10 | 7 (3 + 4) and ductal differentiation | High grade urothelial carcinoma | CK7, CK20, PSA, GATA3, PIN-Cocktail, RA |
| Sellman et al., 2018 [20] | 73 | 26 | 8 (4 + 4) | High grade urothelial carcinoma | CK7, CK20, p40, PSA |
| Our case | 64 | 5.2 | 7 (4 + 3) | High grade urothelial carcinoma | CK19, GATA3, p40, PSA |
| Author, Year | Age, Sex | Primary Tumors | Nodal Site |
|---|---|---|---|
| Ergen et al., 1995 [16] | 67, M | Prostatic adenocarcinoma/Urothelial bladder tumor | Pelvic |
| Gohji et al., 1997 [17] | 78, M | Prostatic adenocarcinoma/Epidermoid bladder tumor | Pelvic |
| Overstreet et al., 2001 [18] | 67, M | Prostatic adenocarcinoma/Urothelial bladder tumor | Pelvic |
| Bhavsar et al., 2012 [19] | 83, M | Prostatic adenocarcinoma/Urothelial bladder tumor | Pelvic |
| Junca et al., 2015 [14] | 61, M | Prostatic adenocarcinoma/Urothelial bladder tumor | Pelvic |
| Sellman et al., 2018 [20] | 73, M | Prostatic adenocarcinoma/Urothelial bladder tumor | Pelvic |
| Our case, 2024 | 64, M | Prostatic adenocarcinoma/Urothelial bladder tumor | Pelvic |
| Sanguedolce et al., 2022 [12] | 82, M | Melanoma/Urothelial bladder tumor | Pelvic |
| Pastolero et al., 1996 [15] | 41, M | Papillary thyroid carcinoma/Medullary thyroid carcinoma | Cervical |
| Guelfucci et al., 2004 [24] | 51, M | Papillary thyroid carcinoma/Squamous tongue carcinoma | Cervical |
| Elias da Cruz Perez et al., 2008 [25] | 57, M | Squamous oral carcinoma/Thyroid carcinoma | Cervical |
| Lim et al., 2008 [26] | 47, M | Papillary thyroid carcinoma/Squamous oral carcinoma | Cervical |
| Mattioli et al., 2009 [27] | 50, F | Papillary thyroid carcinoma/Squamous cell carcinoma (unknown primary tumor) | Cervical |
| Zeng et al., 2012 [28] | 49, F | Papillary thyroid carcinoma/Ductal breast carcinoma | Cervical |
| Sadat Alavi et al., 2012 [29] | 32, M | Papillary thyroid carcinoma/Medullary thyroid carcinoma | Cervical |
| Alhanafy et al., 2016 [30] | 73, F | Papillary thyroid carcinoma/Squamous thyroid carcinoma | Cervical |
| Xu et al., 2018 [31] | 63, M | Papillary thyroid carcinoma/Squamous oral carcinoma | Cervical |
| Morgan et al., 1969 [32] | 72, M | Prostatic adenocarcinoma/Rectal adenocarcinoma | Perirectal |
| Wade et al., 2004 [13] | 80, M | Prostatic adenocarcinoma/ Colonic adenocarcinoma | Mesenteric |
| 61, M | Prostatic adenocarcinoma/ Rectal adenocarcinoma | Perirectal | |
| Mourra et al., 2005 [33] | 70, M | Prostatic adenocarcinoma/ Rectal adenocarcinoma | Perirectal |
| Miyauchi et al., 2013 [34] | 82, M | Prostatic adenocarcinoma/ Rectal adenocarcinoma | Perirectal |
| Abass et al., 2015 [35] | 60, M | Prostatic adenocarcinoma/ Rectal adenocarcinoma | Perirectal |
| El-Gendy et al., 2008 [36] | 51, F | Esophageal adenocarcinoma/Ductal breast carcinoma | Thoracic |
| Gasparinho et al., 2011 [37] | 55, F | Neuroendocrine rectal carcinoma/Ductal breast carcinoma | Thoracic |
| Terada et al., 1993 [38] | 83, M | Prostatic adenocarcinoma/Gastric adenocarcinoma | Para-aortic |
| Sughayer et al., 2009 [39] | 62, F | Serous papillary ovarian carcinoma/Ductal breast carcinoma | Axillary |
| Saco et al., 2018 [40] | 71, M | Prostatic adenocarcinoma/Melanoma | Axillary |
| Morton et al., 2022 [41] | 50, M | Prostatic adenocarcinoma/ Renal cell carcinoma | Retroperitoneum |
| Wu et al., 2024 [42] | 79, M | Melanoma/Squamous cutaneous carcinoma | Peri-parotid |
Disclaimer/Publisher’s Note: The statements, opinions and data contained in all publications are solely those of the individual author(s) and contributor(s) and not of MDPI and/or the editor(s). MDPI and/or the editor(s) disclaim responsibility for any injury to people or property resulting from any ideas, methods, instructions or products referred to in the content. |
© 2024 by the authors. Published by MDPI on behalf of the Lithuanian University of Health Sciences. Licensee MDPI, Basel, Switzerland. This article is an open access article distributed under the terms and conditions of the Creative Commons Attribution (CC BY) license (https://creativecommons.org/licenses/by/4.0/).
Share and Cite
Buzoianu, M.; Andras, I.; Giurgiu, L.; Militaru, C.F.; Popa, A.; Căta, E.D.; Medan, P.A.; Apetrei, M.C.; Bungărdean, C.; Bungărdean, M.; et al. Simultaneous Prostate and Bladder Cancer with Collision Lymph Node Metastasis: A Case Report and Literature Review. Medicina 2024, 60, 1482. https://doi.org/10.3390/medicina60091482
Buzoianu M, Andras I, Giurgiu L, Militaru CF, Popa A, Căta ED, Medan PA, Apetrei MC, Bungărdean C, Bungărdean M, et al. Simultaneous Prostate and Bladder Cancer with Collision Lymph Node Metastasis: A Case Report and Literature Review. Medicina. 2024; 60(9):1482. https://doi.org/10.3390/medicina60091482
Chicago/Turabian StyleBuzoianu, Maximilian, Iulia Andras, Lorin Giurgiu, Claudia Florentina Militaru, Andrei Popa, Emanuel Darius Căta, Paul Alexandru Medan, Marius Cosmin Apetrei, Catalina Bungărdean, Maria Bungărdean, and et al. 2024. "Simultaneous Prostate and Bladder Cancer with Collision Lymph Node Metastasis: A Case Report and Literature Review" Medicina 60, no. 9: 1482. https://doi.org/10.3390/medicina60091482
APA StyleBuzoianu, M., Andras, I., Giurgiu, L., Militaru, C. F., Popa, A., Căta, E. D., Medan, P. A., Apetrei, M. C., Bungărdean, C., Bungărdean, M., & Crișan, N. (2024). Simultaneous Prostate and Bladder Cancer with Collision Lymph Node Metastasis: A Case Report and Literature Review. Medicina, 60(9), 1482. https://doi.org/10.3390/medicina60091482

