Anatomical Variations of the Jugular Bulb: A Critical and Comprehensive Review
Abstract
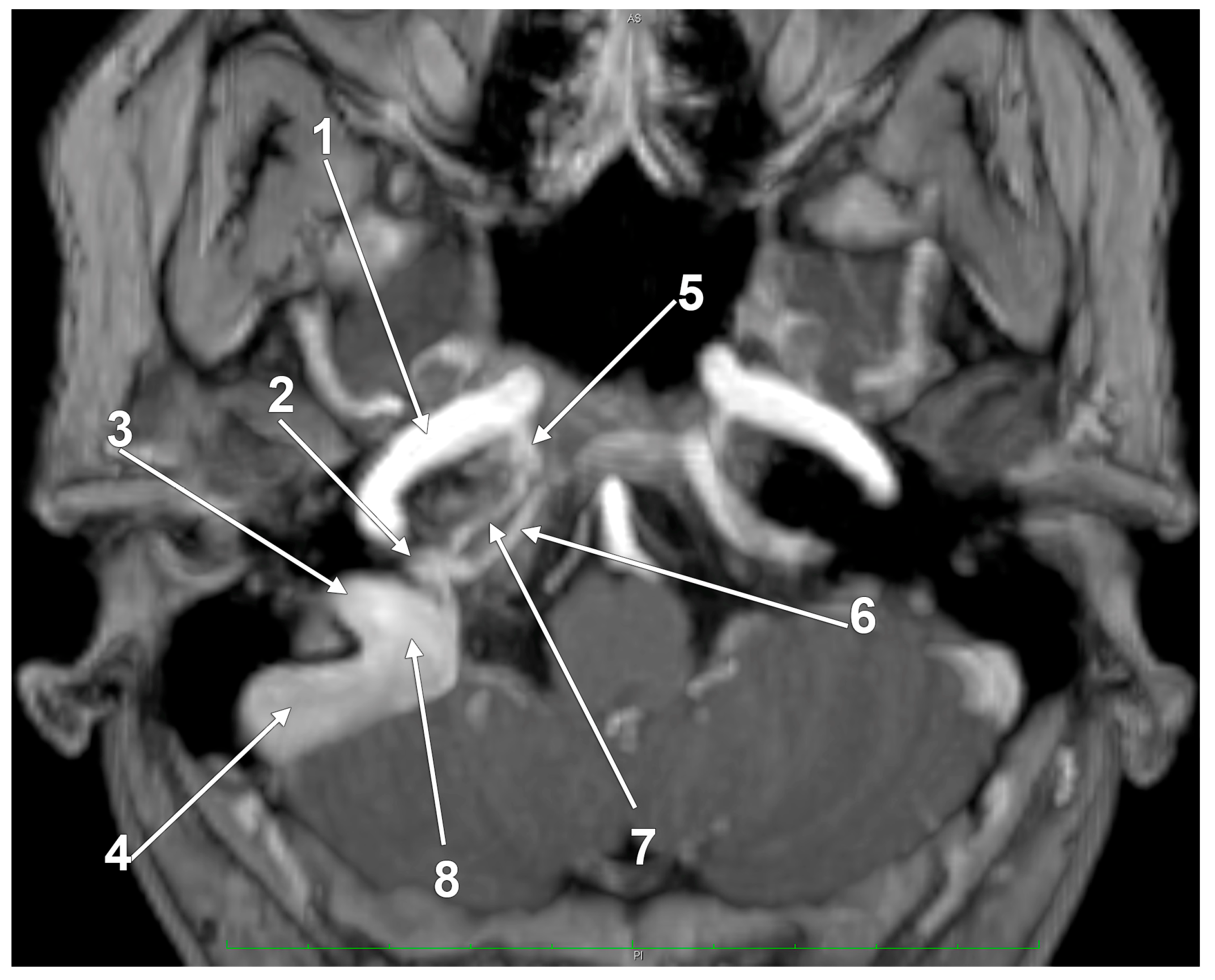
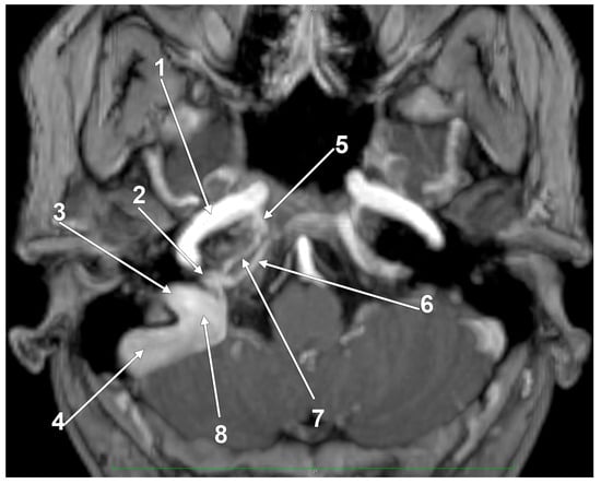
1. Introduction
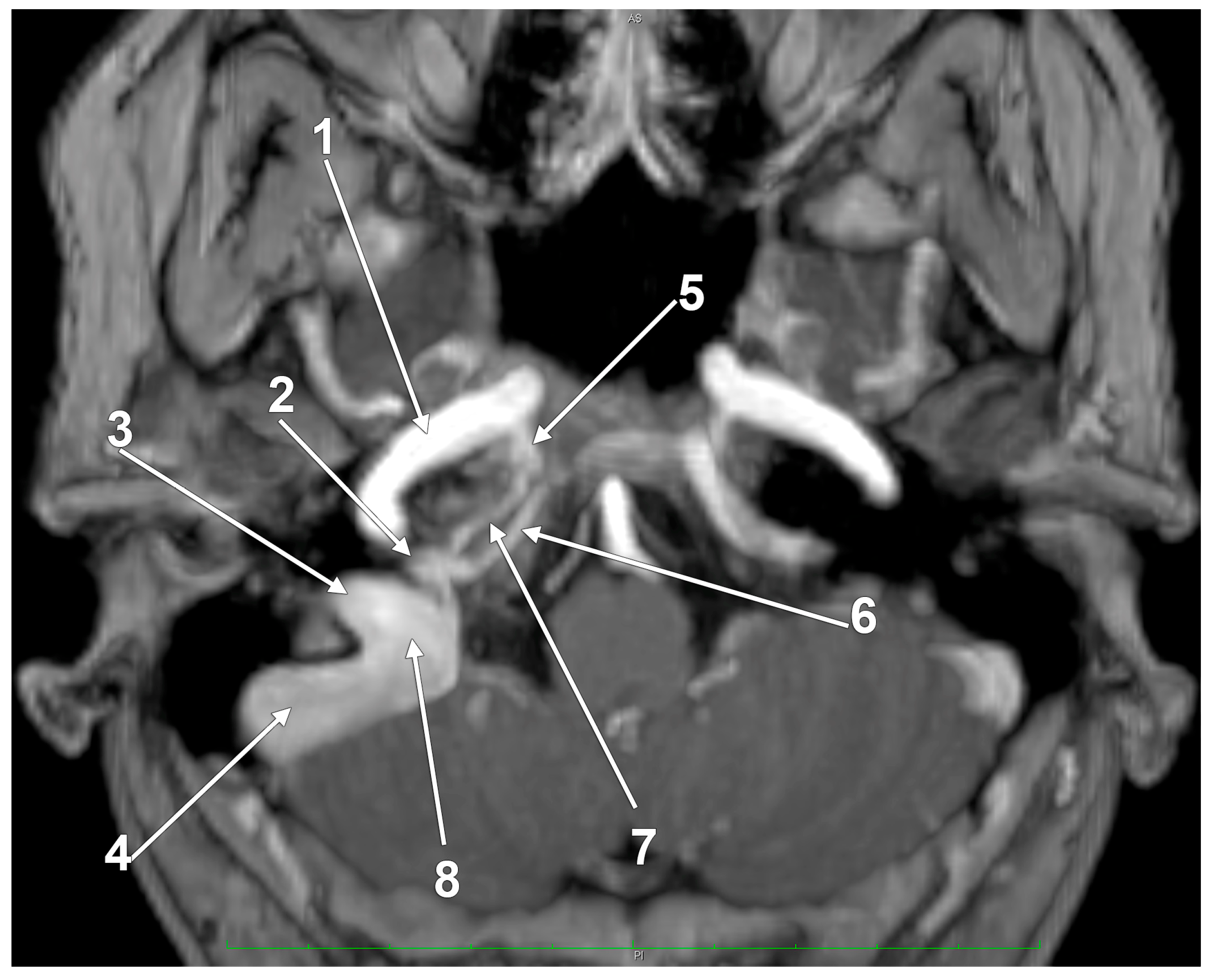
2. Hypoplasia and Hyperplasia of the Jugular Bulb
3. Diverticula
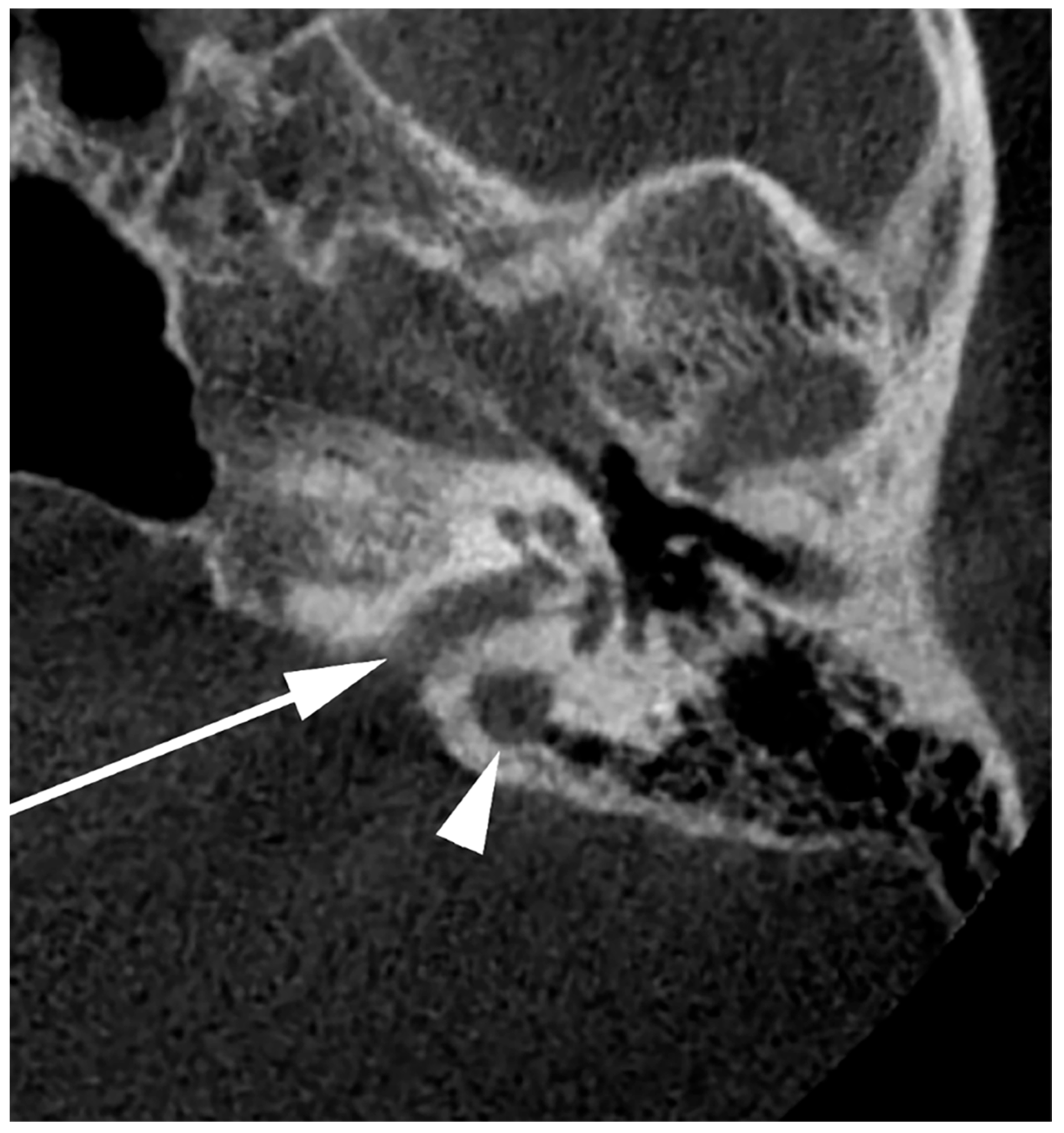
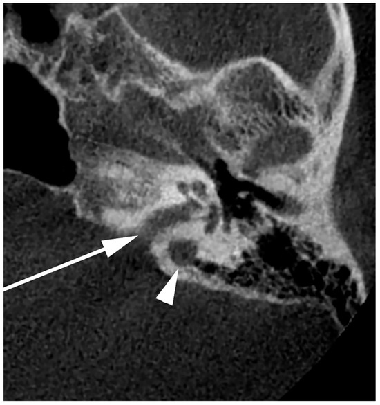
The “Condylar Jugular Diverticulum”: True or False?
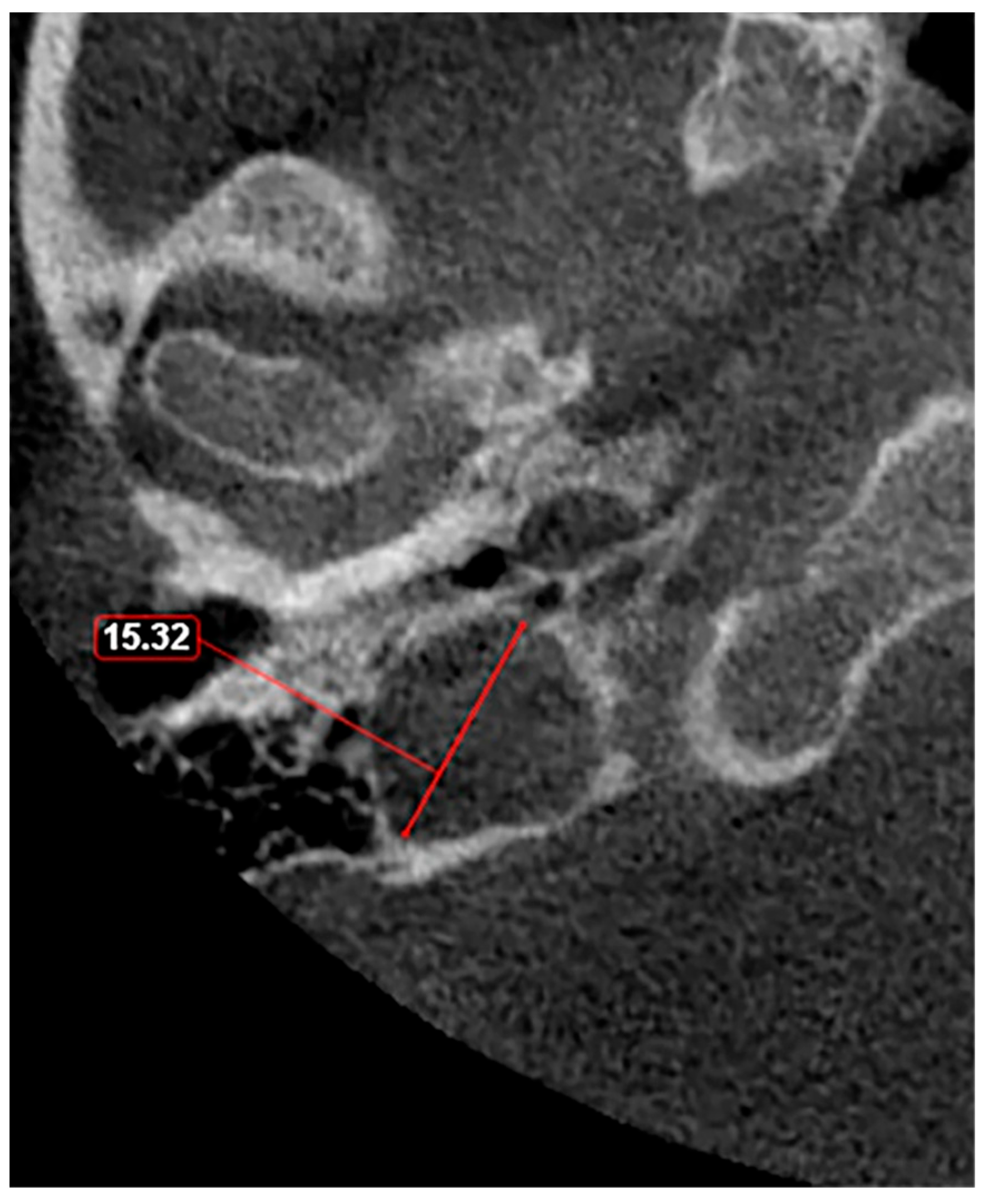
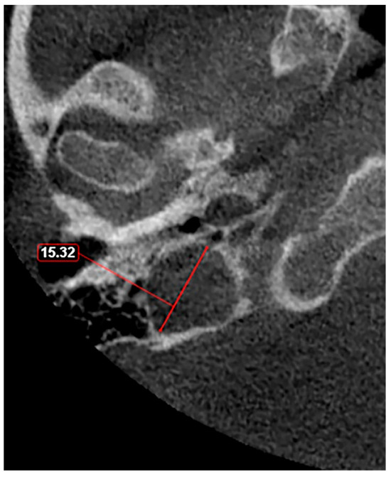
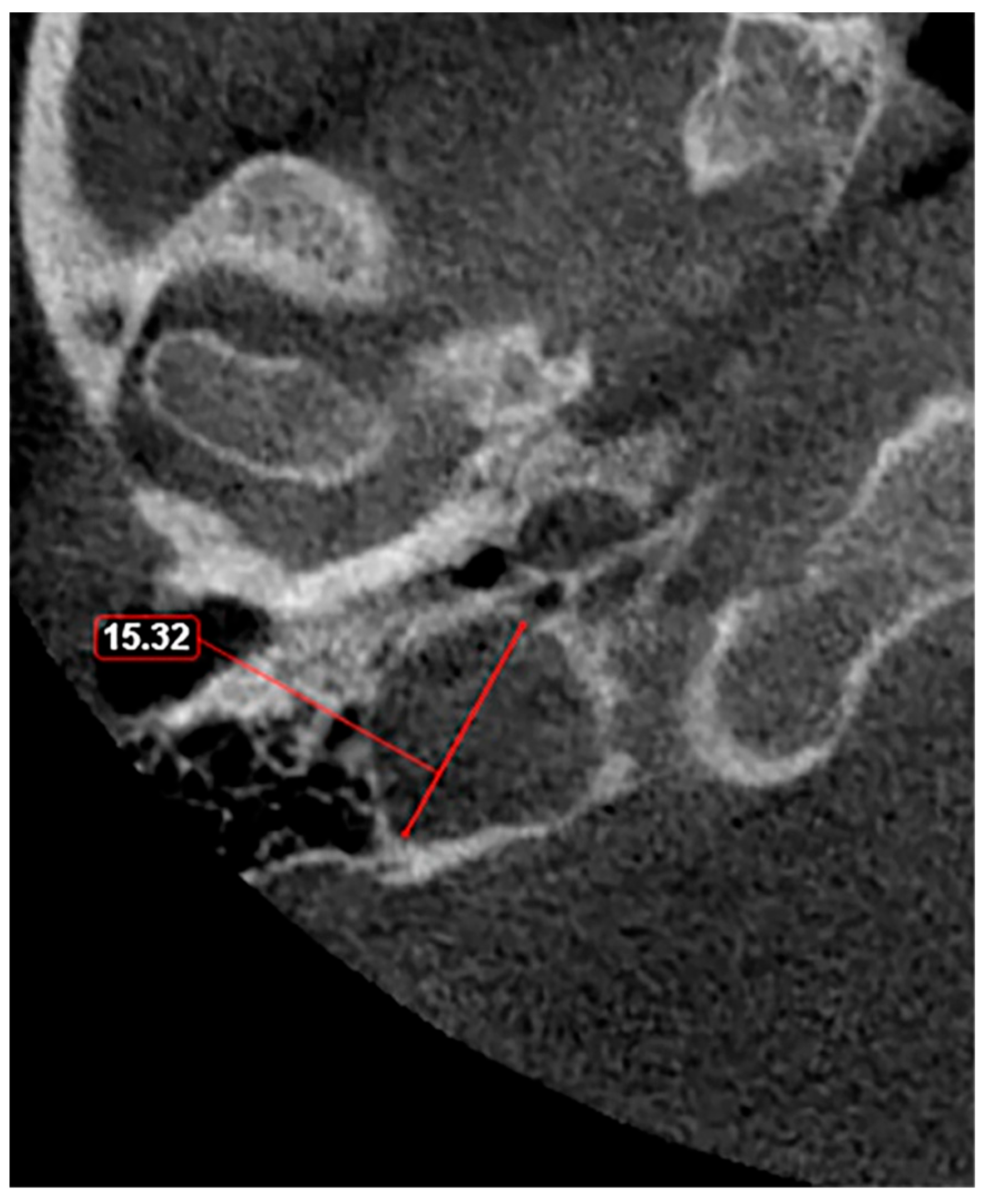
4. High Jugular Bulb
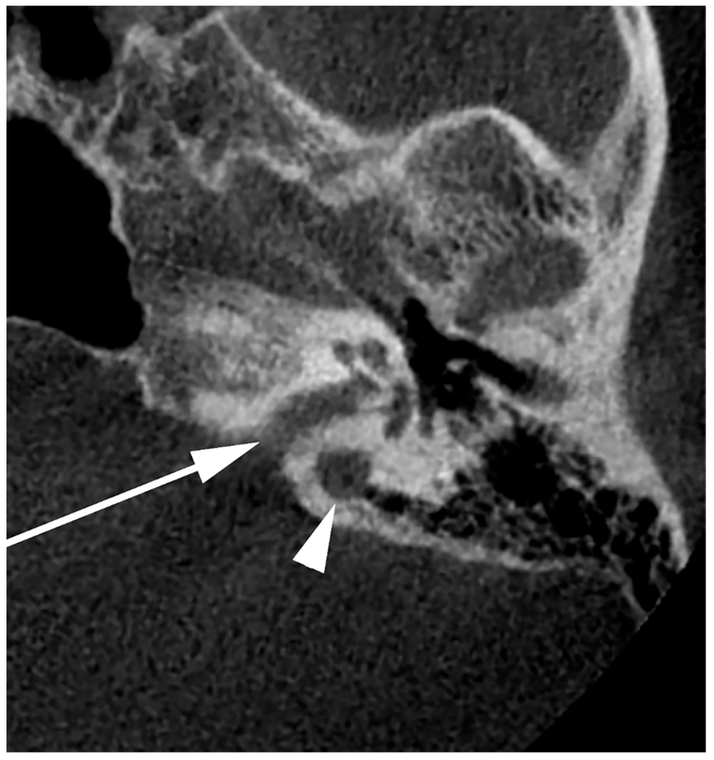
5. Dehiscent Jugular Bulb
6. Jugular Bulb Variations across Age and Demographic Groups
7. Current Limitations and Future Perspectives
8. Conclusions
Author Contributions
Funding
Institutional Review Board Statement
Informed Consent Statement
Data Availability Statement
Conflicts of Interest
References
- Gray, H.; Standring, S.; Anand, N.; Birch, R.; Collins, P.; Crossman, A.; Gleeson, M.; Jawaheer, G.; Smith, A.L.; Spratt, J.D.; et al. Gray’s Anatomy: The Anatomical Basis of Clinical Practice; Elsevier: London, UK, 2016. [Google Scholar]
- Feneis, H.; Dauber, W. Pocket Atlas of Human Anatomy: Based on the International Nomenclature, 4th ed.; Thieme: Stuttgart, Germany, 2000; 500p. [Google Scholar]
- Spittau, B.; Millan, D.S.; El-Sherifi, S.; Hader, C.; Singh, T.P.; Motschall, E.; Vach, W.; Urbach, H.; Meckel, S. Dural arteriovenous fistulas of the hypoglossal canal: Systematic review on imaging anatomy, clinical findings, and endovascular management. J. Neurosurg. 2015, 122, 883–903. [Google Scholar] [CrossRef]
- Yamada, H.; Mizutani, K.; Akiyama, T.; Toda, M. Extracranial prevertebral venous network of the craniocervical junction: CT-digital subtraction venography analysis. Neuroradiology 2022, 64, 2227–2233. [Google Scholar] [CrossRef]
- Takemoto, K.; Tateshima, S.; Rastogi, S.; Gonzalez, N.; Jahan, R.; Duckwiler, G.; Vinuela, F. Onyx embolization of anterior condylar confluence dural arteriovenous fistula. BMJ Case Rep. 2013, 2013. [Google Scholar] [CrossRef]
- Mortazavi, M.M.; Tubbs, R.S.; Riech, S.; Verma, K.; Shoja, M.M.; Zurada, A.; Benninger, B.; Loukas, M.; Cohen Gadol, A.A. Anatomy and pathology of the cranial emissary veins: A review with surgical implications. Neurosurgery 2012, 70, 1312–1318, discussion 1318–1319. [Google Scholar] [CrossRef]
- Redfern, R.E.; Brown, M.; Benson, A.G. High jugular bulb in a cohort of patients with definite Meniere’s disease. J. Laryngol. Otol. 2014, 128, 759–764. [Google Scholar] [CrossRef]
- Fujimoto, C.; Ito, K.; Ishimoto, S.; Iwasaki, S. Large jugular bulb diverticulum invading the internal auditory canal. Ann. Otol. Rhinol. Laryngol. 2007, 116, 631–636. [Google Scholar] [CrossRef]
- Graham, M.D. The jugular bulb. Its anatomic and clinical considerations in contemporary otology. Arch. Otolaryngol. 1975, 101, 560–564. [Google Scholar] [CrossRef] [PubMed]
- Ball, M.; Elloy, M.; Vaidhyanath, R.; Pau, H. Beware the silent presentation of a high and dehiscent jugular bulb in the external ear canal. J. Laryngol. Otol. 2010, 124, 790–792. [Google Scholar] [CrossRef]
- Tudose, R.C.; Rusu, M.C.; Triantafyllou, G.; Piagkou, M.; Moraru, L.; Dumitru, C.C. Jugular bulb anatomical variations and pneumatization patterns: A comprehensive CBCT analysis. Surg. Radiol. Anat. 2024, 46, 1001–1013. [Google Scholar] [CrossRef] [PubMed]
- Atmaca, S.; Elmali, M.; Kucuk, H. High and dehiscent jugular bulb: Clear and present danger during middle ear surgery. Surg. Radiol. Anat. 2014, 36, 369–374. [Google Scholar] [CrossRef] [PubMed]
- Bilgen, C.; Kirazli, T.; Ogut, F.; Totan, S. Jugular bulb diverticula: Clinical and radiologic aspects. Otolaryngol. Head Neck Surg. 2003, 128, 382–386. [Google Scholar] [CrossRef]
- Vachata, P.; Petrovicky, P.; Sames, M. An anatomical and radiological study of the high jugular bulb on high-resolution CT scans and alcohol-fixed skulls of adults. J. Clin. Neurosci. 2010, 17, 473–478. [Google Scholar] [CrossRef]
- Sayit, A.T.; Gunbey, H.P.; Fethallah, B.; Gunbey, E.; Karabulut, E. Radiological and audiometric evaluation of high jugular bulb and dehiscent high jugular bulb. J. Laryngol. Otol. 2016, 130, 1059–1063. [Google Scholar] [CrossRef]
- Rusu, M.C.; Tudose, R.C.; Vrapciu, A.D.; Popescu, S.A. Lowered hyoid bone overlapping the thyroid cartilage in CT angiograms. Surg. Radiol. Anat. 2024, 46, 333–339. [Google Scholar] [CrossRef] [PubMed]
- Triantafyllou, G.; Uchino, A.; Vassiou, K.; Tudose, R.C.; Rusu, M.C.; Vlychou, M.; Tsakotos, G.; Piagkou, M. Fenestration of the anterior and posterior cerebral arteries in coexistence with a contralateral posterior cerebral artery of fetal origin. Surg. Radiol. Anat. 2024, 46, 1363–1366. [Google Scholar] [CrossRef]
- Rusu, M.C.; Lazar, M.; Vrapciu, A.D. Bihemispheric Right Anterior Cerebral Artery, Fenestrated Origin of the Left Pericallosal Artery, Fenestrated Basilar Artery, Double Right Posterior Cerebral Artery. J. Craniofac. Surg. 2023, 34, e521–e523. [Google Scholar] [CrossRef] [PubMed]
- Rusu, M.C.; Lazar, M.; Toader, C. False Absence of the Anterior Communicating Artery and a Median Artery of Corpus Callosum. J. Craniofac. Surg. 2023, 34, e383–e385. [Google Scholar] [CrossRef]
- Graham, M.D. The jugular bulb: Its anatomic and clinical considerations in contemporary otology. Laryngoscope 1977, 87, 105–125. [Google Scholar] [CrossRef]
- Friedmann, D.R.; Eubig, J.; Winata, L.S.; Pramanik, B.K.; Merchant, S.N.; Lalwani, A.K. Prevalence of jugular bulb abnormalities and resultant inner ear dehiscence: A histopathologic and radiologic study. Otolaryngol. Head Neck Surg. 2012, 147, 750–756. [Google Scholar] [CrossRef]
- Walsh, R.M.; Lannigan, F.J.; McGlashan, J.A.; Bowdler, D.A. Jugular bulb phlebectasia. Int. J. Pediatr. Otorhinolaryngol. 1993, 25, 249–254. [Google Scholar] [CrossRef] [PubMed]
- Moretti, J.A. Highly placed jugular bulb and conductive deafness secondary to sinusojugular hypoplasia. Arch. Otolaryngol. 1976, 102, 430–431. [Google Scholar] [CrossRef]
- Kennedy, D.W.; el-Sirsy, H.H.; Nager, G.T. The jugular bulb in otologic surgery: Anatomic, clinical, and surgical considerations. Otolaryngol. Head Neck Surg. 1986, 94, 6–15. [Google Scholar] [CrossRef] [PubMed]
- West, J.M.; Bandy, B.C.; Jafek, B.W. Aberrant jugular bulb in the middle ear cavity. Arch. Otolaryngol. 1974, 100, 370–372. [Google Scholar] [CrossRef]
- Tamari, M. XVII Histopathologic Changes of the Temporal Bone in Paget’s Disease. Ann. Otol. Rhinol. Laryngol. 1942, 51, 170–208. [Google Scholar] [CrossRef]
- Nager, G.T. Paget’s Disease of the Temporal Bone. Ann. Otol. Rhinol. Laryngol. 1975, 84, 1–32. [Google Scholar] [CrossRef]
- Amroliwalla, F.K.; Bennett, R.M. An Unusual Complication of Paget’s Disease. J. R. Army Med. Corps 1971, 117, 20. [Google Scholar] [CrossRef]
- Culebras, A.; Feldman, R.G.; Fager, C.A. Hydrocephalus and dementia in Paget’s disease of the skull. J. Neurol. Sci. 1974, 23, 307–321. [Google Scholar] [CrossRef]
- Nager, G.T.; Hamersma, H. Sclerosteosis involving the temporal bone: Histopathologic aspects. Am. J. Otolaryngol. 1986, 7, 1–16. [Google Scholar] [CrossRef] [PubMed]
- Nager, G.T.; Stein, S.A.; Dorst, J.P.; Holliday, M.J.; Kennedy, D.W.; Diehn, K.W.; Jabs, E.W. Sclerosteosis involving the temporal bone: Clinical and radiologic aspects. Am. J. Otolaryngol. 1983, 4, 1–17. [Google Scholar] [CrossRef]
- Hill, S.C.; Stein, S.A.; Dwyer, A.; Altman, J.; Dorwart, R.; Doppman, J. Cranial CT findings in sclerosteosis. AJNR Am. J. Neuroradiol. 1986, 7, 505–511. [Google Scholar]
- Wadin, K.; Wilbrand, H. The jugular bulb diverticulum. A radioanatomic investigation. Acta Radiol. Diagn. 1986, 27, 395–401. [Google Scholar] [CrossRef] [PubMed]
- Wadin, K.; Wilbrand, H. The topographic relations of the high jugular fossa to the inner ear. A radioanatomic investigation. Acta Radiol. Diagn. 1986, 27, 315–324. [Google Scholar] [CrossRef]
- Wadin, K.; Thomander, L.; Wilbrand, H. Effects of a high jugular fossa and jugular bulb diverticulum on the inner ear. A clinical and radiologic investigation. Acta Radiol. Diagn. 1986, 27, 629–636. [Google Scholar] [CrossRef] [PubMed]
- Jahrsdoerfer, R.A.; Cail, W.S.; Cantrell, R.W. Endolymphatic duct obstruction from a jugular bulb diverticulum. Ann. Otol. Rhinol. Laryngol. 1981, 90, 619–623. [Google Scholar] [CrossRef] [PubMed]
- Atilla, S.; Akpek, S.; Uslu, S.; Ilgit, E.T.; Isik, S. Computed tomographic evaluation of surgically significant vascular variations related with the temporal bone. Eur. J. Radiol. 1995, 20, 52–56. [Google Scholar] [CrossRef]
- Presutti, L.; Laudadio, P. Jugular bulb diverticula. ORL J. Otorhinolaryngol. Relat. Spec. 1991, 53, 57–60. [Google Scholar] [CrossRef]
- Pappas, D.G., Jr.; Hoffman, R.A.; Cohen, N.L.; Holliday, R.A.; Pappas, D.G., Sr. Petrous jugular malposition (diverticulum). Otolaryngol. Head Neck Surg. 1993, 109, 847–852. [Google Scholar] [CrossRef]
- El-Kashlan, H.K.; Arts, H.A.; Gebarski, S. Jugular diverticulum: Clinical significance. Otolaryngol. Head Neck Surg. 2000, 122, 575–576. [Google Scholar] [CrossRef]
- Raghuram, K.; Cure, J.K.; Harnsberger, H.R. Condylar jugular diverticulum. J. Comput. Assist. Tomogr. 2009, 33, 309–311. [Google Scholar] [CrossRef]
- Jagtap, R.; Wazzan, T.; Hansen, M.; Kashtwari, D. Condylar jugular diverticulum: A report of 3 cases. Imaging Sci. Dent. 2019, 49, 251–256. [Google Scholar] [CrossRef]
- Parillo, M.; Vaccarino, F.; Mallio, C.A.; Quattrocchi, C.C. Right Condylar Jugular Diverticulum: Contrast-enhanced Computed Tomography Findings of a Rare Anatomical Variant of Jugular Bulb. Indian J. Otolaryngol. Head Neck Surg. 2023, 75, 2257–2259. [Google Scholar] [CrossRef] [PubMed]
- Singla, A.; Gupta, T.; Sahni, D.; Aggarwal, A.; Gupta, A. High jugular bulb: Different osseous landmarks and their clinical implications. Surg. Radiol. Anat. 2016, 38, 903–909. [Google Scholar] [CrossRef]
- Aslan, A.; Falcioni, M.; Russo, A.; De Donato, G.; Balyan, F.R.; Taibah, A.; Sanna, M. Anatomical considerations of high jugular bulb in lateral skull base surgery. J. Laryngol. Otol. 1997, 111, 333–336. [Google Scholar] [CrossRef] [PubMed]
- Rauch, S.D.; Xu, W.Z.; Nadol, J.B., Jr. High jugular bulb: Implications for posterior fossa neurotologic and cranial base surgery. Ann. Otol. Rhinol. Laryngol. 1993, 102, 100–107. [Google Scholar] [CrossRef]
- Hourani, R.; Carey, J.; Yousem, D.M. Dehiscence of the jugular bulb and vestibular aqueduct: Findings on 200 consecutive temporal bone computed tomography scans. J. Comput. Assist. Tomogr. 2005, 29, 657–662. [Google Scholar] [CrossRef] [PubMed]
- Koesling, S.; Kunkel, P.; Schul, T. Vascular anomalies, sutures and small canals of the temporal bone on axial CT. Eur. J. Radiol. 2005, 54, 335–343. [Google Scholar] [CrossRef]
- Roche, P.H.; Moriyama, T.; Thomassin, J.M.; Pellet, W. High jugular bulb in the translabyrinthine approach to the cerebellopontine angle: Anatomical considerations and surgical management. Acta Neurochir. 2006, 148, 415–420. [Google Scholar] [CrossRef]
- Overton, S.B.; Ritter, F.N. A high placed jugular bulb in the middle ear: A clinical and temporal bone study. Laryngoscope 1973, 83, 1986–1991. [Google Scholar] [CrossRef]
- Inal, M.; Muluk, N.B.; Dag, E.; Arikan, O.K.; Kara, S.A. The Pitfalls and Important Distances in Temporal Bone HRCT of the Subjects with High Jugular Bulbs—Preliminary Report. Adv. Clin. Exp. Med. 2015, 24, 315–324. [Google Scholar] [CrossRef]
- Saleh, E.A.; Aristegui, M.; Taibah, A.K.; Mazzoni, A.; Sanna, M. Management of the high jugular bulb in the translabyrinthine approach. Otolaryngol. Head Neck Surg. 1994, 110, 397–399. [Google Scholar] [CrossRef]
- Shao, K.N.; Tatagiba, M.; Samii, M. Surgical management of high jugular bulb in acoustic neurinoma via retrosigmoid approach. Neurosurgery 1993, 32, 32–36, discussion 36–37. [Google Scholar] [CrossRef] [PubMed]
- Juelke, E.; Butzer, T.; Yacoub, A.; Wimmer, W.; Caversaccio, M.; Anschuetz, L. Assessment of jugular bulb variability based on 3D surface models: Quantitative measurements and surgical implications. Surg. Radiol. Anat. 2023, 45, 315–319. [Google Scholar] [CrossRef] [PubMed]
- Aksoy, S.H.; Yurdaisik, I. High riding jugular bulb: Prevalence and significance in asymptomatic children. Acta Radiol. 2023, 64, 792–797. [Google Scholar] [CrossRef] [PubMed]
- Woo, C.K.; Wie, C.E.; Park, S.H.; Kong, S.K.; Lee, I.W.; Goh, E.K. Radiologic analysis of high jugular bulb by computed tomography. Otol. Neurotol. 2012, 33, 1283–1287. [Google Scholar] [CrossRef]
- Wang, J.; Feng, Y.; Wang, H.; Li, C.; Wu, Y.; Shi, H.; Yin, S.; Chen, Z. Prevalence of High Jugular Bulb across Different Stages of Adulthood in A Chinese Population. Aging Dis. 2020, 11, 770–776. [Google Scholar] [CrossRef]
- Manjila, S.; Bazil, T.; Kay, M.; Udayasankar, U.K.; Semaan, M. Jugular bulb and skull base pathologies: Proposal for a novel classification system for jugular bulb positions and microsurgical implications. Neurosurg. Focus 2018, 45, E5. [Google Scholar] [CrossRef]
- Phelps, P.D.; Lloyd, G.A. Vascular masses in the middle ear. Clin. Radiol. 1986, 37, 359–364. [Google Scholar] [CrossRef] [PubMed]
- Sincoff, E.H.; McMenomey, S.O.; Delashaw, J.B., Jr. Posterior transpetrosal approach: Less is more. Neurosurgery 2007, 60, ONS53-58, discussion ONS58-59. [Google Scholar] [CrossRef]
- Miller, C.G.; van Loveren, H.R.; Keller, J.T.; Pensak, M.; el-Kalliny, M.; Tew, J.M., Jr. Transpetrosal approach: Surgical anatomy and technique. Neurosurgery 1993, 33, 461–469, discussion 469. [Google Scholar] [CrossRef]
- Tubbs, R.S.; Griessenauer, C.; Loukas, M.; Ansari, S.F.; Fritsch, M.H.; Cohen-Gadol, A.A. Trautmann’s triangle anatomy with application to posterior transpetrosal and other related skull base procedures. Clin. Anat. 2014, 27, 994–998. [Google Scholar] [CrossRef]
- Alonso, F.; Dekker, S.E.; Wright, J.; Wright, C.; Alonso, A.; Carmody, M.; Tubbs, R.S.; Bambakidis, N.C. The Retrolabyrinthine Presigmoid Approach to the Anterior Cerebellopontine Region: Expanding the Limits of Trautmann Triangle. World Neurosurg. 2017, 104, 180–185. [Google Scholar] [CrossRef] [PubMed]
- Weiss, R.L.; Zahtz, G.; Goldofsky, E.; Parnes, H.; Shikowitz, M.J. High jugular bulb and conductive hearing loss. Laryngoscope 1997, 107, 321–327. [Google Scholar] [CrossRef] [PubMed]
- El-Begermy, M.A.; Rabie, A.N. A novel surgical technique for management of tinnitus due to high dehiscent jugular bulb. Otolaryngol. Head Neck Surg. 2010, 142, 576–581. [Google Scholar] [CrossRef]
- Huang, B.R.; Wang, C.H.; Young, Y.H. Dehiscent high jugular bulb: A pitfall in middle ear surgery. Otol. Neurotol. 2006, 27, 923–927. [Google Scholar] [CrossRef]
- Moore, P.J. The high jugular bulb in ear surgery: Three case reports and a review of the literature. J. Laryngol. Otol. 1994, 108, 772–775. [Google Scholar] [CrossRef] [PubMed]
- Couloigner, V.; Grayeli, A.B.; Bouccara, D.; Julien, N.; Sterkers, O. Surgical treatment of the high jugular bulb in patients with Meniere’s disease and pulsatile tinnitus. Eur. Arch. Otorhinolaryngol. 1999, 256, 224–229. [Google Scholar] [CrossRef] [PubMed]
- Harnsberger, R.; Hudgens, P.; Wiggins, R.; Davidson, C. Dehiscent jugular bulb. In Diagnostic Imaging: Head and Neck, 3rd ed.; Amirsys/Elsevier Saunders: Salt Lake City, UT, USA, 2006; pp. 18–22. [Google Scholar]
- van Die, A.; de Groot, J.A.; Zonneveld, F.W.; Vaandrager, J.M.; Beck, F.J. Dehiscence of the jugular bulb in Crouzon’s disease. Laryngoscope 1995, 105, 432–434, discussion 434–435. [Google Scholar] [CrossRef]
- Tomura, N.; Sashi, R.; Kobayashi, M.; Hirano, H.; Hashimoto, M.; Watarai, J. Normal variations of the temporal bone on high-resolution CT: Their incidence and clinical significance. Clin. Radiol. 1995, 50, 144–148. [Google Scholar] [CrossRef]
- Low, W.K.; Fenton, J.E.; Fagan, P.A.; Gibson, W.P. The influence of race on the position of the jugular bulb. J. Laryngol. Otol. 1995, 109, 610–613. [Google Scholar] [CrossRef]
- Yagi, M. [A temporal bone study of the jugular fossa]. Nihon Jibiinkoka Gakkai Kaiho 1992, 95, 878–890. [Google Scholar] [CrossRef]
- Wang, Y.; Lu, D.; Chung, Y.J.; Xu, S. Genetic structure, divergence and admixture of Han Chinese, Japanese and Korean populations. Hereditas 2018, 155, 19. [Google Scholar] [CrossRef] [PubMed]
- Horai, S.; Murayama, K.; Hayasaka, K.; Matsubayashi, S.; Hattori, Y.; Fucharoen, G.; Harihara, S.; Park, K.S.; Omoto, K.; Pan, I.H. mtDNA polymorphism in East Asian Populations, with special reference to the peopling of Japan. Am. J. Hum. Genet. 1996, 59, 579–590. [Google Scholar] [PubMed]
- Friedmann, D.R.; Eubig, J.; McGill, M.; Babb, J.S.; Pramanik, B.K.; Lalwani, A.K. Development of the jugular bulb: A radiologic study. Otol. Neurotol. 2011, 32, 1389–1395. [Google Scholar] [CrossRef]
- Okudera, T.; Huang, Y.P.; Ohta, T.; Yokota, A.; Nakamura, Y.; Maehara, F.; Utsunomiya, H.; Uemura, K.; Fukasawa, H. Development of posterior fossa dural sinuses, emissary veins, and jugular bulb: Morphological and radiologic study. AJNR Am. J. Neuroradiol. 1994, 15, 1871–1883. [Google Scholar] [PubMed]










| Author | Definition of HJB | Method | Prevalence of HJB (%) |
|---|---|---|---|
| Singla et al. [44] | Vertical IAC–JB distance less than 2 mm | Cadavers | 24.1 |
| Vachata et al. [14] | The apex of JB reaches/traverses the floor of IAC | Cadavers/HRCT | 15 |
| Aslan et al. [45] | JB occupies more than two-thirds of the distance between IAC and JB | Dry skulls | 23 |
| Atilla et al. [37] | Extends over the level of the round window and basal turn of the cochlea | HRCT | 20.3 |
| Rauch et al. [46] | Maximum 2 mm between IAC and JB | Dry skulls | 46 |
| Hourani et al. [47] | Extends above the superior tympanic annulus | CT | 33.5 |
| Koesling et al. [48] | High location (over the plane of the basal turn of the cochlea) | HRCT | 6 |
| Roche et al. [49] | JB dome less than 6.5 mm below IAC | CT | 25 |
| Overton et al. [50] | Extended into the middle ear above the inferior rim of the bony annulus | Histologically prepared temporal bones | 6 |
| Inal et al. [51] | JB over the inferior surface of the bony annulus or basal turn of the cochlea | HRCT | 6–20 |
| Friedmann et al. [21] | JB rising above the level of the IAC in axial section | CT scans/Temporal bone histopathology | 8.5/8.2 |
| Saleh et al. [52] | JB in actual direct contact with or even lying behind the internal auditory canal | Intraoperative | 4 |
| Shao et al. [53] | Grade I, jugular bulb situated less than 1.5 mm above the low border of IAC Grade II, jugular bulb between 1.5 and 3.0 mm above the low border of the IAC Grade III, jugular bulb > 3 mm above the low border of IAC | HRCT | 9 |
| Juelke et al. [54] | Upper than IAC floor as type 4 in Manjila classification | HRCT/3D models | 0 |
| Aksoy et al. [55] | The study defines HJB as the jugular bulb lying higher than the inferior portion of the internal acoustic canal | CT | 42.8 |
| Sayit et al. [15] | The apex of the jugular foramen above the inferior bony annulus of the tympanic membrane | CT | 22 |
| Woo et al. [56] | The apex of the jugular foramen was above the inferior bony annulus of the tympanic membrane | CT | 9.5 |
| Wadin et al. [35] | A HJB reaches up to and above the level of the round window | Temporal bone plastic casts | 24 |
| Atmaca et al. [12] | JB position above the lower level of IAC | HRCT | 15.2 |
| Wang et al. [57] | A JB that lies higher than the inferior aspect of the IAC | MRI | 14.5 |
| Tudose et al. [11] | The apex of JB reaches/traverses the floor of IAC | CBCT | 2 |
| Type | Subtype | Description |
|---|---|---|
| 1 | no JB | |
| 2 | JB below the PSC | |
| 2A | the JB is not dehiscent into the middle ear | |
| 2B | the JB is dehiscent into the middle ear | |
| 3 | JB between the PSC and IAC | |
| 3A | the JB is not dehiscent into the middle ear | |
| 3B | the JB is dehiscent into the middle ear | |
| 4 | JB above the IAC | |
| 4A | the JB is not dehiscent into the IAC | |
| 4B | the JB is dehiscent into the IAC | |
| 5 | combination of dehiscences |
Disclaimer/Publisher’s Note: The statements, opinions and data contained in all publications are solely those of the individual author(s) and contributor(s) and not of MDPI and/or the editor(s). MDPI and/or the editor(s) disclaim responsibility for any injury to people or property resulting from any ideas, methods, instructions or products referred to in the content. |
© 2024 by the authors. Published by MDPI on behalf of the Lithuanian University of Health Sciences. Licensee MDPI, Basel, Switzerland. This article is an open access article distributed under the terms and conditions of the Creative Commons Attribution (CC BY) license (https://creativecommons.org/licenses/by/4.0/).
Share and Cite
Tudose, R.C.; Rusu, M.C.; Triantafyllou, G.; Piagkou, M.; Toader, C.; Rădoi, P.M. Anatomical Variations of the Jugular Bulb: A Critical and Comprehensive Review. Medicina 2024, 60, 1408. https://doi.org/10.3390/medicina60091408
Tudose RC, Rusu MC, Triantafyllou G, Piagkou M, Toader C, Rădoi PM. Anatomical Variations of the Jugular Bulb: A Critical and Comprehensive Review. Medicina. 2024; 60(9):1408. https://doi.org/10.3390/medicina60091408
Chicago/Turabian StyleTudose, Răzvan Costin, Mugurel Constantin Rusu, George Triantafyllou, Maria Piagkou, Corneliu Toader, and Petrinel Mugurel Rădoi. 2024. "Anatomical Variations of the Jugular Bulb: A Critical and Comprehensive Review" Medicina 60, no. 9: 1408. https://doi.org/10.3390/medicina60091408
APA StyleTudose, R. C., Rusu, M. C., Triantafyllou, G., Piagkou, M., Toader, C., & Rădoi, P. M. (2024). Anatomical Variations of the Jugular Bulb: A Critical and Comprehensive Review. Medicina, 60(9), 1408. https://doi.org/10.3390/medicina60091408

