Evaluation of the Effect of Different Inhalation Agents on Ovaries with Hyperthermic Intraperitoneal Chemotherapy: An Experimental Study
Abstract
1. Introduction-Objective
2. Materials and Method
2.1. Experimental Animals
2.2. HIPEC Model Creation
- Group H: HIPEC (Cisplatin 7 mg/kg)
- Group HS: HIPEC (Cisplatin 7 mg/kg) + 3% Sevoflurane (2 h)
- Group HD: HIPEC (Cisplatin 7 mg/kg) + 6% Desflurane (2 h)
- Group C: Control Group (Saline)
2.3. Immunohistochemical Staining
2.4. Image Analysis
2.5. Statistical Analysis
3. Results
3.1. Histopathological Findings
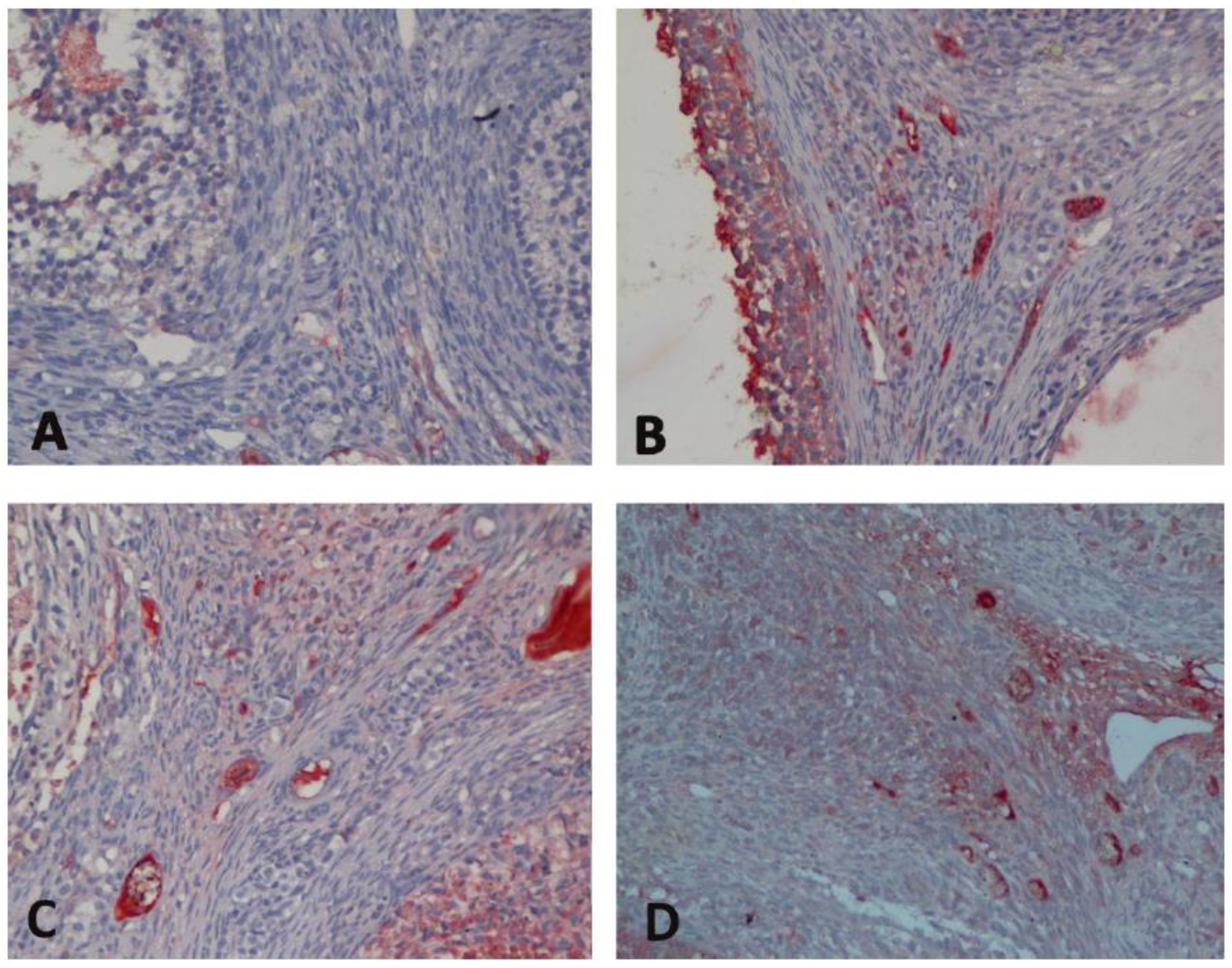
3.2. Immunohistochemical Findings
4. Discussion
5. Conclusions
Author Contributions
Funding
Institutional Review Board Statement
Informed Consent Statement
Data Availability Statement
Conflicts of Interest
References
- Kireeva, G.; Gubareva, E.; Maydin, M.; Osetnik, V.; Kruglov, S.; Panchenko, A.; Dorofeeva, A.; Tyndyk, M.; Fedoros, E.; Anisimov, V. Efficacy and Safety of Systemic and Locoregional Cisplatin Chronotherapy in Rats with Ovarian Carcinoma. Onco Targets Ther. 2021, 14, 3373–3381. [Google Scholar] [CrossRef] [PubMed]
- Bondar, O.V.; Chetverikov, S.H.; Maksymovskyi, V.Y.; Atanasov, D.V.; Chetverikova-Ovchynnyk, V.V.; Chetverikov, M.S. The impact of hyperthermic intraperitoneal chemotherapy and cytoreductive surgery on clinical outcomes and quality of life of patients with peritoneal carcinomatosis. Contemp. Oncol. 2021, 25, 270–278. [Google Scholar]
- Oei, A.L.; Vriend, L.E.; Krawczyk, P.M.; Horsman, M.R.; Franken, N.A.P.; Crezee, J. Targeting therapy-resistant cancer stem cells by hyperthermia. Int. J. Hyperth. 2017, 33, 419–427. [Google Scholar] [CrossRef] [PubMed]
- Kong, X.X.; Jiang, S.; Liu, T.; Liu, G.F.; Dong, M. Paclitaxel increases sensitivity of SKOV3 cells to hyperthermia by inhibiting heat shock protein 27. Biomed. Pharmacother. 2020, 132, 110907. [Google Scholar] [CrossRef] [PubMed]
- Lepock, J.R. How do cells respond to their thermal environment? Int. J. Hyperth. 2005, 21, 681–687. [Google Scholar] [CrossRef]
- Los, G.; Van Vugt, M.; Pinedo, H. Response of peritoneal solid tumours after intraperitoneal chemohyperthermia treatment with cisplatin or carboplatin. Br. J. Cancer 1994, 69, 235–241. [Google Scholar] [CrossRef]
- Taskin, M.I.; Yay, A.; Adali, E.; Balcioglu, E.; Inceboz, U. Protective effects of sildenafil citrate administration on cisplatin-induced ovarian damage in rats. Gynecol. Endocrinol. 2015, 31, 272–277. [Google Scholar] [CrossRef]
- Nazari, A.; Mirian, M.; Aghaei, M.; Aliomrani, M. 4-Hydroxyhalcone effects on cisplatin-induced genotoxicity model. Toxicol. Res. 2021, 10, 11–17. [Google Scholar] [CrossRef]
- Spears, N.; Lopes, F.; Stefansdottir, A.; Rossi, V.; De Felici, M.; Anderson, R.A.; Klinger, F.G. Ovarian damage from chemotherapy and current approaches to its protection. Hum. Reprod. Update 2019, 25, 673–693. [Google Scholar] [CrossRef]
- Altuner, D.; Gulaboglu, M.; Yapca, O.E.; Cetin, N. The effect of mirtazapine on cisplatin-induced oxidative damage and infertility in rat ovaries. Sci. World J. 2013, 2013, 327240. [Google Scholar] [CrossRef]
- Kvolik, S.; Glavas-Obrovac, L.; Sakic, K.; Margaretic, D.; Karner, I. Anaesthetic implications of anticancer chemotherapy. Eur. J. Anaesthesiol. 2003, 20, 859–871. [Google Scholar] [CrossRef] [PubMed]
- Brozovic, G.; Orsolic, N.; Knezevic, F.; Horvat Knezevic, A.; Benkovic, V.; Sakic, K.; Hrgovic, Z.; Bendelja, K.; Fassbender, W.J. Genotoxicity and cytotoxicity of cisplatin treatment combined with anaesthetics on EAT cells in vivo. Onkologie 2009, 32, 337–343. [Google Scholar] [CrossRef] [PubMed]
- Whitford, G.M. TheMetabolismandToxicity of Fluoride. Monogr. Oral Sci. 1989, 13, 1–160. [Google Scholar] [PubMed]
- Fitzgerald, S.P.; Campell, J.J.; Lamount, J.V. The establishment of reference ranges for selenium. Seleno enzyme glutathione peroxidase and metallo enzyme superoxide dismutase in blood fractions. In Proceedings of the Fifth International Syposium on Selenium in Biology and Medicine, Nashville, TN, USA, 20–23 July 1992; Vanderbilt University: Nashville, TN, USA, 1992; pp. 20–23. [Google Scholar]
- Ceylan, B.G.; Yilmaz, F.; Eroglu, F.; Yavuz, L.; Gulmen, S.; Vural, H. Oxidant and antioxidant activities of different anesthetic techniques. Propofol versus desflurane. Saudi Med. J. 2009, 30, 371–376. [Google Scholar]
- Sato, N.; Fujii, K.; Yuge, O. In vivo and in vitro sevoflurane-induced lipid peroxidation in guinea-pig liver microsomes. Pharmacol. Toxicol. 1994, 75, 366–370. [Google Scholar] [CrossRef]
- Türkan, H.; Aydin, A.; Sayal, A.; Eken, A.; Akay, C.; Karahalil, B. Oxidative and antioxidative effects of desflurane and sevoflurane on rat tissue in vivo. Arh. Hig. Rada Toksikol. 2011, 62, 113–119. [Google Scholar] [CrossRef]
- Raspe, C.; Piso, P.; Wiesenack, C.; Bucher, M. Anesthetic management in patients undergoing hyperthermic chemotherapy. Curr. Opin. Anaesthesiol. 2012, 25, 348–355. [Google Scholar] [CrossRef]
- Anğın, A.D.; Gün, I.; Sakin, Ö.; Çıkman, M.S.; Şimşek, E.E.; Karakuş, R.; Başak, K.; Kaptanağası, A.O. Investigation of the preventive effects of dehydroepiandrosterone (DHEA) and Caffeic acid phenethyl ester (CAPE) on cisplatin-induced ovarian damage in rats. Ultrastruct. Pathol. 2020, 44, 71–80. [Google Scholar] [CrossRef]
- Blumenfeld, Z. Chemotherapy and fertility. Best Pr. Res. Clin. Obstet. Gynaecol. 2012, 26, 379–390. [Google Scholar] [CrossRef]
- Said, R.S.; Mantawy, E.M.; El-Demerdash, E. Mechanistic perspective of protective effects of resveratrol against cisplatin-induced ovarian injury in rats: Emphasis on anti-inflammatory and anti-apoptotic effects. Naunyn-Schmiedebergs Arch. Pharmacol. 2019, 392, 1225–1238. [Google Scholar] [CrossRef]
- Wallace, W.H.; Thomson, A.B.; Saran, F.; Kelsey, T.W. Predicting age of ovarian failure after radiation to a field that includes the ovaries. Int. J. Radiat. Oncol. Biol. Phys. 2005, 62, 738–744. [Google Scholar] [CrossRef] [PubMed]
- Rossi, V.; Lispi, M.; Longobardi, S.; Mattei, M.; Di Rella, F.; Salustri, A.; De Felici, M.; Klinger, F.G. LH prevents cisplatin-induced apoptosis in oocytes and preserves female fertility in mouse. Cell Death Differ. 2017, 24, 72–82. [Google Scholar] [CrossRef] [PubMed]
- Morgan, S.; Lopes, F.; Gourley, C.; Anderson, R.A.; Spears, N. Cisplatin and doxorubicin induce distinct mechanisms of ovarian follicle loss; imatinib provides selective protection only against cisplatin. PLoS ONE 2013, 8, e70117. [Google Scholar] [CrossRef]
- Sonmezer, M.; Oktay, K. Fertility preservation in female patients. Hum. Reprod. Update 2004, 10, 251–266. [Google Scholar] [CrossRef] [PubMed]
- Yucebilgin, M.S.; Terek, M.C.; Ozsaran, A.; Akercan, F.; Zekioglu, O.; Isik, E.; Erhan, Y. Effect of chemotherapy on primordial follicular reserve of rat: An animal model of premature ovarian failure and infertility. Aust. N. Z. J. Obstet. Gynaecol. 2004, 44, 6–9. [Google Scholar] [CrossRef]
- Muttukrishna, S.; McGarrigle, H.; Wakim, R.; Khadum, I.; Ranieri, D.M.; Serhal, P. Antral follicle count, anti-mullerian hormone and inhibin B: Predictors of ovarian response in assisted reproductive technology? BJOG 2005, 112, 1384–1390. [Google Scholar] [CrossRef]
- Allaouchiche, B.; Debon, R.; Goudable, J.; Chassard, D.; Duflo, F. Oxidative stress status during exposure to propofol, sevoflurane and desflurane. Anesth. Analg. 2001, 93, 981–985. [Google Scholar] [CrossRef]
- Morgan, S.; Anderson, R.A.; Gourley, C.; Wallace, W.H.; Spears, N. How do chemotherapeutic agents damage the ovary? Hum. Reprod. Update 2012, 18, 525–535. [Google Scholar] [CrossRef]
- Codacci-Pisanelli, G.; Del Pup, L.; Del Grande, M.; Peccatori, F.A. Mechanisms of chemotherapy-induced ovarian damage in breast cancer patients. Crit. Rev. Oncol. Hematol. 2017, 113, 90–96. [Google Scholar] [CrossRef]
- Zhang, Y.; Wu, Y.; Wu, J.; Wu, C. Direct and indirect anticancer effects of hyperthermic intraperitoneal chemotherapy on peritoneal malignancies (Review). Oncol. Rep. 2021, 45, 23. [Google Scholar] [CrossRef]
- Kvolik, S.; Glavas-Obrovac, L.; Bares, V.; Karner, I. Effects of inhalation anesthetics halothane, sevoflurane, and isoflurane on human cell lines. Life Sci. 2005, 77, 2369–2383. [Google Scholar] [CrossRef] [PubMed]
- Szyfter, K.; Szulc, R.; Mikstacki, A.; Stachecki, I.; Rydzanicz, M.; Jałoszyński, P. Genotoxicity of inhalation anaesthetics: DNA lesions generated by sevoflurane in vitro and in vivo. J. Appl. Genet. 2004, 45, 369–374. [Google Scholar] [PubMed]
- Brozovic, G.; Orsolic, N.; Knezevic, F.; Horvat Knezevic, A.; Benkovic, V.; Vrdoljak, D.V.; Saric, A. Evaluation of DNA damage in vivo induced by combined application of cisplatin and sevoflurane. Eur. J. Anaesthesiol. 2008, 25, 642–647. [Google Scholar] [CrossRef] [PubMed]
- Matsuoka, H.; Kurosawa, S.; Horinouchi, T.; Kato, M.; Hashimoto, Y. Inhalation anesthetics induce apoptosis in normal peripheral lymphocytes in vitro. Anesthesiology 2001, 95, 1467–1472. [Google Scholar] [CrossRef] [PubMed]





| Group C (n = 6) | Group H (n = 6) | Group HS (n = 6) | Group HD (n = 6) | p ** | |
|---|---|---|---|---|---|
| Primordial | 271.17 ± 23.37 | 63.50 ± 12.52 * | 196.00 ± 36.81 + | 87.17 ± 6.64 *,& | <0.0001 |
| Primer | 75.67 ± 7.74 | 17.33 ± 4.07 * | 60.33 ± 14.70 + | 27.00 ± 2.84 * | <0.0001 |
| Secondary | 20.00 ± 5.09 | 5.67 ± 1.76 * | 10.00 ± 2.96 | 14.17 ± 2.02 | 0.033 |
| Tertiary | 3.83 ± 0.70 | 3.50 ± 0.76 | 10.00 ± 1.91 *,+ | 5.50 ± 0.72 | 0.002 |
| Bax | 3.00 ± 0.58 | 51.33 ± 5.93 * | 39.17 ± 1.01 *,+ | 47.17 ± 1.60 * | <0.0001 |
| Bcl-2 | 62.17 ± 2.74 | 23.50 ± 4.23 * | 47.00 ± 4.44 *,+ | 36.33 ± 1.33 * | <0.0001 |
| Caspase 3 | 4.50 ± 0.76 | 43.50 ± 4.58 * | 36.83 ± 2.74 * | 40.00 ± 2.45 * | <0.0001 |
| p53 | 4.00 ± 0.37 | 52.67 ± 5.36 * | 28.00 ± 5.15 *,+ | 35.83 ± 3.31 *,+ | <0.0001 |
Disclaimer/Publisher’s Note: The statements, opinions and data contained in all publications are solely those of the individual author(s) and contributor(s) and not of MDPI and/or the editor(s). MDPI and/or the editor(s) disclaim responsibility for any injury to people or property resulting from any ideas, methods, instructions or products referred to in the content. |
© 2024 by the authors. Published by MDPI on behalf of the Lithuanian University of Health Sciences. Licensee MDPI, Basel, Switzerland. This article is an open access article distributed under the terms and conditions of the Creative Commons Attribution (CC BY) license (https://creativecommons.org/licenses/by/4.0/).
Share and Cite
Şen, Ö.; Aslan, E.; Kalaycı, D.; Küçük, A.; Başkan, S.; Sezen, Ş.C.; Arslan, M.; Ünal, Y.; Tosun, M. Evaluation of the Effect of Different Inhalation Agents on Ovaries with Hyperthermic Intraperitoneal Chemotherapy: An Experimental Study. Medicina 2024, 60, 1403. https://doi.org/10.3390/medicina60091403
Şen Ö, Aslan E, Kalaycı D, Küçük A, Başkan S, Sezen ŞC, Arslan M, Ünal Y, Tosun M. Evaluation of the Effect of Different Inhalation Agents on Ovaries with Hyperthermic Intraperitoneal Chemotherapy: An Experimental Study. Medicina. 2024; 60(9):1403. https://doi.org/10.3390/medicina60091403
Chicago/Turabian StyleŞen, Özlem, Esra Aslan, Dilek Kalaycı, Ayşegül Küçük, Semih Başkan, Şaban Cem Sezen, Mustafa Arslan, Yusuf Ünal, and Murat Tosun. 2024. "Evaluation of the Effect of Different Inhalation Agents on Ovaries with Hyperthermic Intraperitoneal Chemotherapy: An Experimental Study" Medicina 60, no. 9: 1403. https://doi.org/10.3390/medicina60091403
APA StyleŞen, Ö., Aslan, E., Kalaycı, D., Küçük, A., Başkan, S., Sezen, Ş. C., Arslan, M., Ünal, Y., & Tosun, M. (2024). Evaluation of the Effect of Different Inhalation Agents on Ovaries with Hyperthermic Intraperitoneal Chemotherapy: An Experimental Study. Medicina, 60(9), 1403. https://doi.org/10.3390/medicina60091403

