Metabolic Proteins Expression Up-Regulated in Blood-Borne Extensively Drug-Resistant Salmonella Typhi Isolates from Pakistan
Abstract
1. Introduction
2. Materials and Methods
2.1. Sampling
2.2. Isolation and Identification of S. Typhi
2.3. Antibiogram Assay
2.4. Molecular Detection of Drug Resistance Genes
2.5. Protein Extraction and Quantification
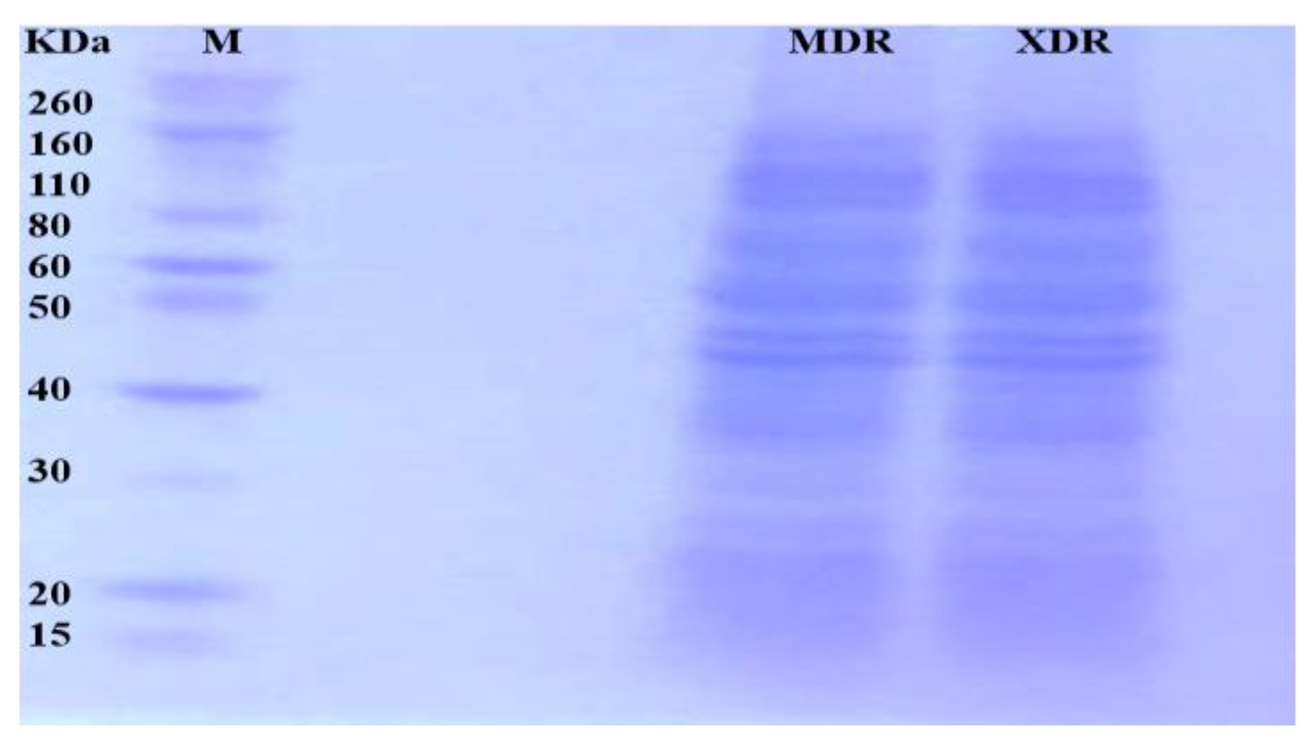
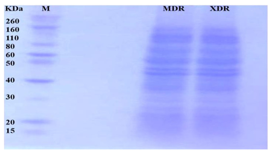
2.6. SDS PAGE, and Trypsin In-Gel Digestion
2.7. Peptide Sequencing Using Nanoflow LC-LTQ-Orbitrap MS Analysis and Mascot Search
2.8. Data Analysis
2.9. Bioinformatics Analysis
3. Results and Discussion
3.1. Phenotypic and Genotypic Antibiotic Susceptibility Assay for S. Typhi
3.2. Differential Proteomics of XDR vs. MDR S. Typhi
3.3. Prediction of Cellular Localization, Antigenicity, and Resistome Map of Differentially Regulated Proteins
3.4. Annotation of the Biological Function of Identified Proteins
3.5. Protein–Protein Interaction and Annotation by STRING
4. Conclusions
Author Contributions
Funding
Institutional Review Board Statement
Informed Consent Statement
Data Availability Statement
Acknowledgments
Conflicts of Interest
References
- Fatima, M.; Kumar, S.; Hussain, M.; Memon, N.M.; Vighio, A.; Syed, M.A.; Chaudhry, A.; Hussain, Z.; Baig, Z.I.; Baig, M.A.; et al. Morbidity and mortality associated with typhoid fever among hospitalized patients in Hyderabad District, Pakistan, 2017–2018: Retrospective record review. JMIR Public Health Surveill. 2021, 7, e27268. [Google Scholar] [CrossRef] [PubMed]
- Gajdacs, M.; Urban, E.; Stajer, A.; Barath, Z. Antimicrobial Resistance in the Context of the Sustainable Development Goals: A Brief Review. Eur. J. Investig. Health Psychol. Educ. 2021, 19, 71–82. [Google Scholar] [CrossRef] [PubMed]
- Butt, M.H.; Saleem, A.; Javed, S.O.; Ullah, I.; Rehman, M.U.; Islam, N.; Tahir, M.A.; Malik, T.; Hafeez, S.; Misbah, S. Rising XDR-Typhoid Fever Cases in Pakistan: Are We Heading Back to the Pre-antibiotic Era? Front. Public Health 2022, 9, 794868. [Google Scholar] [CrossRef]
- Alberto, F.; Maria, E.F.; Lieselotte, A.; Ana, R.; Karin, D.; Jorge, C.; Jose, M.; Guevara, M.R.; Felipe, C. Antibiotic-Resistant Salmonella typhi From Two Outbreaks: Few Ribotypes and IS200 Types Harbor Inc HI1 Plasmids. Microb. Drug Resist. 1997, 3, 339–343. [Google Scholar]
- Ansong, C.; Yoon, H.; Norbeck, A.D.; Gustin, J.K.; McDermott, J.E.; Mottaz, H.M.; Rue, J.; Adkins, J.N.; Heffron, F.; Smith, R.D. Proteomics analysis of the causative agent of typhoid fever. J. Proteome Res. 2008, 7, 546–557. [Google Scholar] [CrossRef]
- Ghosh, S.; Chakraborty, K.; Nagaraja, T.; Basak, S.; Koley, H.; Dutta, S.; Mitra, U.; Das, S. An adhesion protein of Salmonella enterica serovar Typhi is required for pathogenesis and potential target for vaccine development. Proc. Natl. Acad. Sci. USA 2021, 108, 3348–3353. [Google Scholar] [CrossRef] [PubMed]
- Khodadadi, E.; Zeinalzadeh, E.; Taghizadeh, S.; Mehramouz, B.; Kamounah, F.S.; Khodadadi, E.; Ganbarov, K.; Yousefi, B.; Bastami, M.; Kafil, H.S. Proteomic Applications in Antimicrobial Resistance and Clinical Microbiology Studies. Infect. Drug Resist. 2020, 16, 1785–1806. [Google Scholar] [CrossRef]
- Safi, A.U.R.; Bendixen, E.; Rahman, H.; Khattak, B.; Wu, W.; Ullah, W.; Khan, N.; Ali, F.; Yasin, N.; Qasim, M. Molecular identification and differential proteomics of drug resistant Salmonella Typhi. Diagn. Microbiol. Infect. Dis. 2023, 105, 115883. [Google Scholar] [CrossRef]
- Yasin, N.; Rahman, H.; Sarwar, Y.; Qasim, M.; Nisa, I.; Ikram, A.; Zaman, G.; Khan, Z.; Mirza, M.R.; Khan, N.; et al. Salmonella Typhi from Northwest Pakistan: Molecular Strain Typing and Drug Resistance Signature. Microb. Drug Resist. 2022, 28, 120–126. [Google Scholar] [CrossRef]
- CLSI Document M100; Performance Standards for Antimicrobial Susceptibility Testing. Clinical and Laboratory Standards Institute: Wayne, PA, USA, 2019.
- Chatham, S.K.; Medalla, F.; Hughes, M. Emergence of Extensively Drug-Resistant Salmonella Typhi Infections Among Travelers to or from Pakistan—United States, 2016–2018. MMWR Morb. Mortal. Wkly. Rep. 2019, 68, 11–13. [Google Scholar] [CrossRef]
- Rahman, H.; Qasim, M.; Schultze, F.C.; Oellerich, M.; RAsif, A. Fetal calf serum heat inactivation and lipopolysaccharide contamination influence the human T lymphoblast proteome and phosphoproteome. Proteome Sci. 2011, 9, 71. [Google Scholar] [CrossRef] [PubMed]
- Bradford, M.M. A rapid and sensitive method for the quantitation of microgram quantities of protein utilizing the principle of protein-dye binding. Anal. Biochem. 1976, 72, 248–254. [Google Scholar] [CrossRef]
- Rahman, H.; Qasim, M.; Oellerich, M.; Asif, A.R. Identification of the Novel Interacting Partners of the Mammalian Target of Rapamycin Complex 1 in Human CCRF-CEM and HEK293 Cells. Int. J. Mol. Sci. 2014, 15, 4823–4836. [Google Scholar] [CrossRef]
- Cox, J.; Mann, M. MaxQuant enables high peptide identification rates, individualized p.p.b.-range mass accuracies and proteome-wide protein quantification. Nat. Biotechnol. 2008, 26, 1367–1372. [Google Scholar] [CrossRef]
- Szklarczyk, D.; Gable, A.L.; Lyon, D.; Junge, A.; Wyder, S.; Huerta-Cepas, J.; Simonovic, M.; Doncheva, N.T.; Morris, J.H.; Bork, P.; et al. STRING v11: Protein–protein association networks with increased coverage, supporting functional discovery in genome-wide experimental datasets. Nucleic Acids Res. 2019, 47, D607–D613. [Google Scholar] [CrossRef] [PubMed]
- Curtiss, R. Vaccine Design: Innovative Approaches and Novel Strategies. Expert Rev. Vaccines 2011, 10, 1385–1387. [Google Scholar] [CrossRef]
- Alcock, B.P.; Raphenya, A.R.; Lau, T.T.; Tsang, K.K.; Bouchard, M.; Edalatmand, A.; Huynh, W.; Nguyen, A.L.V.; Cheng, A.A.; Liu, S.; et al. CARD 2020: Antibiotic resistome surveillance with the comprehensive antibiotic resistance database. Nucleic. Acids Res. 2020, 48, D517–D525. [Google Scholar] [CrossRef] [PubMed]
- Díaz, M.; Esteban, A.; Fernández-Abalos, J.M.; Santamaría, R.I. The high-affinity phosphate-binding protein PstS is accumulated under high fructose concentrations and mutation of the corresponding gene affects differentiation in Streptomyces lividans. Microbiology 2005, 151 Pt 8, 2583–2592. [Google Scholar] [CrossRef] [PubMed][Green Version]
- Oshota, O.; Conway, M.; Fookes, M.; Schreiber, F.; Chaudhuri, R.R.; Yu, L.; Morgan, F.J.E.; Clare, S.; Choudhary, J.; Thomson, N.R.; et al. Transcriptome and proteome analysis of Salmonella enterica serovar Typhimurium systemic infection of wild type and immune-deficient mice. PLoS ONE 2017, 12, e0181365. [Google Scholar] [CrossRef]
- Sittka, A.; Pfeiffer, V.; Tedin, K.; Vogel, J. The RNA chaperone Hfq is essential for the virulence of Salmonella typhimurium. Mol. Microbiol. 2007, 63, 193–217. [Google Scholar] [CrossRef]
- Lambert, B.; Dassanayake, M.; Oh, D.H.; Garrett, S.B.; Lee, S.Y.; Pettis, G.S. A novel phase variant of the cholera pathogen shows stress-adaptive cryptic transcriptomic signatures. BMC Genom. 2016, 17, 914. [Google Scholar] [CrossRef][Green Version]
- Cao, H.; Wei, D.; Yang, Y.; Shang, Y.; Li, G.; Zhou, Y.; Ma, Q.; Xu, Y. Systems-level understanding of ethanol-induced stresses and adaptation in E. coli. Sci. Rep. 2017, 7, 44150. [Google Scholar] [CrossRef] [PubMed]
- Sheikh, A.; Charles, R.C.; Rollins, S.M.; Harris, J.B.; Bhuiyan, M.S.; Khanam, F.; Bukka, A.; Kalsy, A.; Porwollik, S.; Brooks, W.A.; et al. Analysis of Salmonella enterica serotype paratyphi A gene expression in the blood of bacteremic patients in Bangladesh. PLoS Neglected Trop. Dis. 2010, 4, e908. [Google Scholar] [CrossRef] [PubMed]
- Peng, X.; Wang, J.; Peng, W.; Wu, F.X.; Pan, Y. Protein–protein interactions: Detection, reliability assessment and applications. Brief. Bioinform. 2017, 18, 798–819. [Google Scholar] [CrossRef] [PubMed]




| Phenotypic Resistance Profile | Genotypic Resistance Profile | ||||||||||||||
|---|---|---|---|---|---|---|---|---|---|---|---|---|---|---|---|
| S. No. | AMP | C | SXT | CIP | LEV | AZM | IMP | CRO | ATM | FEP | CFM | CFP | FOX | NA | Genes Detected |
| MDR isolates | |||||||||||||||
| 1. | R | R | R | I | I | S | S | S | S | S | S | S | S | R | aac(6’)-lb-cr, gyr A, gyrB, parC, parE, qnrS, qnrA, qnrC, qnrB, cat |
| 2. | R | R | R | S | S | S | S | S | S | S | S | S | S | R | aac(6’)-lb-cr, gyr A, gyrB, parC, parE, qnrS, qnrA, qnrC, qnrB, cat |
| 3. | R | R | R | I | I | S | S | S | S | S | S | S | S | R | aac(6’)-lb-cr, gyr A, gyrB, parC, parE, qnrS, qnrA, qnrC, qnrB, cat |
| XDR isolates | |||||||||||||||
| 1. | R | R | R | R | R | S | S | R | R | R | R | R | R | R | aac(6’)-lb-cr, gyr A, gyrB, parC, parE, qnrS, qnrA, qnrC, qnrB, cat blaTEM, blaCTX15, blaSHV1, blaOXA |
| 2. | R | R | R | R | R | S | S | R | R | R | R | R | R | R | aac(6’)-lb-cr, gyr A, gyrB, parC, parE, qnrS, qnrA, qnrC, qnrB, cat blaTEM, blaCTX15, blaSHV1, blaOXA |
| 3. | R | R | R | R | R | S | S | R | R | R | R | R | R | R | aac(6’)-lb-cr, gyr A, gyrB, parC, parE, qnrS, qnrA, qnrC, qnrB, cat blaTEM, blaCTX15, blaSHV1, blaOXA |
| S. No. | Accession | Gene | Function | Location | Antigenicity | Resistome Match |
|---|---|---|---|---|---|---|
| Up-regulated proteins | ||||||
| 1 | Q8Z8W2 | yajQ | Not known | Cytoplasm | Antigen | Mutant Elongation Factor Tu of E. coli conferring resistance of kirromycin. |
| 2 | Q8Z3Q2 | STY3337 | Not known | Cytoplasm | Antigen | LpsB (lipopolysacahiride synthesis) of A. baumannii, and macrolide2’-phosphotransferase of Brachybacterium faecium. TEM-22, TEM-125, TEM-78, TEM-185, and TEM-79 of E. coli. |
| 3 | Q8Z2D9 | STY4112 | Glutathione metabolism | Cytoplasm and inner-membrane | Non-Antigen | oqxB of Escherichia coli belongs to resistance-nodulation-division (RND) efflux pump conferring resistance to fluoroquinolone. |
| 4 | Q8Z6C4 | STY1865 | Trans-membrane protein | Periplasm, inner-membrane and cytoplasm | Antigen | ERP-1 of Erwinia persicina is a class A beta-lactamase. |
| 5 | Q8Z6H7 | pfkB | Fructose metabolism | Inner-membrane and cytoplasm | Antigen | The gyrA of Haemophilus parainfluenzae T3T1 confer resistance to fluoroquinolones. |
| 6 | Q8Z3C6 | fadB | Fatty acid metabolism. | Cytoplasm and inner membrane | Non-antigen | mtrE of Neisseria gonorrhoeae coding an outer membrane exporter protein belongs to RND. The plasmids and integrons coded AAC (6’)-Iq (aminoglycoside acetyltransferase) of Klebsiella pneumoniae. |
| 7 | Q8Z553 | glpB | Carbohydrate metabolism | Inner-membrane | Antigen | All tetracyclines including tigecycline, eravacycline, and omadacycline are inactivated by tetX, Tet(X4), and Tet(X3) genes of Bacteroides fragilis, E. coli, A. baumannii, and A. pittii, respectively. |
| 8. | P0A1Q1 | otsA | In osmoprotection | Cytoplasm | Antigen | In the BaeSR regulatory system, BaeS is a sensor kinase and BaeS phosphorylates BaeR to boost its activity, although overexpressed BaeR does not require it to impart resistance. CTX-M beta-lactamase confer resistance to cephalosporins |
| 9 | Q8Z7E1 | STY1320 | Not known | periplasm and cytoplasm | Antigen | BES-1, R39, DES-1, SHV-41, GES-8, and GES-15 are beta lactamases of Serratia marcescens, Actinomadura spp., Desulfovibrio desulfuricans K. pneumoniae, and P. aeruginosa. |
| 10 | Q8Z290 | bcsB | Binds bis-(3’-5’) cyclic diguanylic acid | Inner-membrane | Antigen | The protein Q8Z290 showed resemblance to extended extended-spectrum beta lactamase TEM-138, TEM-188 and TEM-1 found in Salmonella enterica. |
| 11 | Q8Z858 | dacC | Cell wall synthesis. | Periplasm, extra-cellular and periplasm | Antigen | CMY-145, OXA-198 and SHV-156, beta-lactamase, of Escherichia coli and P. aeruginosa, respectively, conferring resistance to cephamycin. APH (3’)-IIb, chromosomal-encoded aminoglycoside phosphotransferase of P. aeruginosa. |
| 12 | Q8Z556 | glpQ | Lipid metabolism | Periplasm and inner-membrane | Antigen | No resistome matched. |
| 13 | Q8Z6R4 | manA | Not known | Periplasm, inner-membrane and cytoplasm | Antigen | A multidrug efflux complex, AdeABC, an outer membrane factor, AdeC. |
| 14 | Q8Z223 | nfuA | Iron-sulfur biogenesis | Cytoplasm | Antigen | vanF of Paenibacillus popilliae ATCC 14706, vanI of Desulfitobacterium hafniense, vanB of Enterococcus faecium and confer resistance to vancomycin. |
| 15 | Q8Z7A8 | Tpx | Antioxidative stress | Cytoplasm and periplasm | Non-Antigen | gyrB of Mycobacterium leprae by point mutation results in fluoroquinolone resistance. |
| 16 | P0A2C6 | rbsB | ABC transporter | Periplasm | Antigen | vanXD of Enterococcus faecium. OXA-299 of Acinetobacter spp. MexQ of Pseudomonas aeruginosa. BRO-2, beta-lactamase, of Moraxella catarrhalis. |
| 17 | Q8XGB6 | hflC | Protease regulator | Cytoplasm and inner membrane | Antigen | gyrA of Clostridioides difficile, tetB (60) is a subunit of tetAB (60) imparting resistance to tetracycline and tigercycline, In Stenotrophomonas maltophilia, smeB is the inner membrane multidrug exporter of the efflux complex smeABC. |
| 18 | Q8Z8M5 | nfnB | Not known | Periplasm and cytoplasm | Antigen | Bla1 of Bacillus anthracis is beta lactamase. rpoC of Clostridioides difficile 630 patA of Streptococcus pneumoniae is an ABC transporter’s part and along with PatB confer fluoroquinolone resistance. |
| 19 | O08430 | aphA | Dephosphorylase | Periplasm | Antigen | Tet (55) conferring resistance to tetracycline by inactivating flavoenzyme. emrK of Escherichia coli belongs to MFS efflux pump mediates multidrug efflux. |
| 20 | Q8Z2P5 | pstS | Phosphate import | Periplasm | Antigen | No resistome matched. |
| 21 | Q8XFP7 | fbaB | No known function | Cytoplasm, outer-membrane, periplasm | Non-antigen | No resistome matched. |
| 22 | P0AA03 | nusG | Transcription | Cytoplasm | Antigen | No resistome matched. |
| 23 | Q8Z5A4 | mglB | Transports carbohydrate | Periplasm | Antigen | mecA of Staphylococcus aureus confer resistance against drug class penum. |
| 24 | Q8Z8B2 | gpmA | phosphoglycerate synthesis | Cytoplasm | Non antigen | vanN of Enterococcus faecium; JOHN-1 of Flavobacterium johnsoniae. |
| 25 | Q8XFB6 | artJ | Amino acid transport | Periplasm | Antigen | AAC (3)-IId, and AAC (3)-IIe (aminoglycoside acetyltransferase) of E. coli. |
| 26 | Q8Z8G8 | ybeJ | Not yet known | Periplasmic | Antigen | AER-1 of Aeromonas hydrophila and conferring resistance to cephalosporins. |
| 27 | Q8Z4T0 | talA | Pentose-phosphate pathway | Cytoplasm | Antigen | PmrF of Pseudomonas aeruginosa is necessary for the production and transferring of 4-amino-4-deoxy-L-arabinose (Ara4N) to Lipid A. |
| 28 | Q8Z9B0 | htrA | Protein metabolism | Periplasm | Antigen | AAC (3)-VIIa of Streptomyces rimosus is a chromosomal-encoded aminoglycoside acetyltransferase conferring resistance against aminoglycosidic antibiotics. |
| Down-regulated proteins | ||||||
| 1 | P68683 | rpsU | 30S ribosomal subunit | Cytoplasm | Antigen | Haemophilus parainfluenzae parC, and parE of Salmonella serovars. |
| 2 | Q8Z2E5 | lldD | Carbohydrate metabolism | Inner-membrane and cytoplasm | Antigen | Mycobacterium tuberculosis tlyA. Tet(T) of Streptococcus pyogenes. |
| 3 | Q8Z5U8 | cheA | Signal transduction | Cytoplasm | Antigen | EvgS of Escherichia coli phosphorylates; EvgA, and ArlS phosphorylates; LiaS of Enterococcus faecalis, and CpxA of Escherichia coli. |
| 4 | P0A7U1 | rpsR | Protein turnover | Inner-membrane | Non-antigen | NmcR of Enterobacter cloacaeis a homolog of the LysR regulator contributing the regulation of NmcA beta-lactamase. |
| 5 | Q8Z218 | STY4292 | Not known | Cytoplasm | Antigen | AAC(3)-IIa (aminoglycoside acetyltransferase) of K. pneumoniae, E. cloacae, Actinobacillus pleuropneumoniae, S. typhimurium, Citrobacter freundii, and P. aeruginosa. |
| 6 | Q8Z6R5 | fumA | Carbohydrate metabolism | Cytoplasm | Antigen | PatB of Streptococcus pneumoniae. |
| 7 | Q8Z7F8 | narH | Nitrate reductase activity | Cytoplasm | Antigen | rpld of Neisseria gonorrhoeae. |
| 8 | Q8Z3M1 | cheM | Not known | Inner-membrane | Antigen | AdeJ is an RND efflux protein that functions as the AdeIJK efflux complex’s inner membrane transporter. |
| 9 | P66009 | sthA | Energy synthesis. | Cytoplasm | Antigen | EreB of Escherichia coli, gyrA of Clostridioides difficile. |
| ANNOTATED PATHWAY (KEGG) NAME | Proteins Involved |
|---|---|
| Up-regulated proteins | |
| Metabolic pathways | ManA, FadB, DacC, GpmA, AphA, PfkB, TalA, FbaB, OtsA, 16504242 |
| Pentose phosphate pathway | PfkB, TalA, FbaB |
| Methane metabolism | GpmA, PfkB, FbaB |
| Biosynthesis of amino acids | GpmA, PfkB, TalA, FbaB |
| ABC transporters | PstS, YbeJ, MglB, RbsB, ArtJ |
| Carbon metabolism | FadB, GpmA, PfkB, TalA, FbaB |
| Microbial metabolism in diverse environments | FadB, GpmA, PfkB, NfnB, TalA, FbaB |
| Biosynthesis of secondary metabolites | ManA, FadB, GlpB, GpmA, PfkB, TalA, FbaB, OtsA |
| Glycolysis/Gluconeogenesis | GpmA, PfkB, FbaB |
| Fructose and mannose metabolism | ManA, PfkB, FbaB |
| Down-regulated proteins | |
| Microbial metabolism in diverse environments | NarH FumA |
| Ribosome | RpsR RpsU |
| Pyruvate metabolism | FumA LldD |
| Bacterial chemotaxis | CheM CheA |
| Two-component system | CheM NarH CheA |
| Metabolic pathways | NarH FumA LldD SthA |
Disclaimer/Publisher’s Note: The statements, opinions and data contained in all publications are solely those of the individual author(s) and contributor(s) and not of MDPI and/or the editor(s). MDPI and/or the editor(s) disclaim responsibility for any injury to people or property resulting from any ideas, methods, instructions or products referred to in the content. |
© 2024 by the authors. Published by MDPI on behalf of the Lithuanian University of Health Sciences. Licensee MDPI, Basel, Switzerland. This article is an open access article distributed under the terms and conditions of the Creative Commons Attribution (CC BY) license (https://creativecommons.org/licenses/by/4.0/).
Share and Cite
Yasin, N.; Rahman, H.; Qasim, M.; Nisa, I.; Sarwar, Y.; Khan, N.; Alzahrani, K.J.; Alsuwat, M.A.; Alzahrani, F.M.; Aljohani, A. Metabolic Proteins Expression Up-Regulated in Blood-Borne Extensively Drug-Resistant Salmonella Typhi Isolates from Pakistan. Medicina 2024, 60, 1404. https://doi.org/10.3390/medicina60091404
Yasin N, Rahman H, Qasim M, Nisa I, Sarwar Y, Khan N, Alzahrani KJ, Alsuwat MA, Alzahrani FM, Aljohani A. Metabolic Proteins Expression Up-Regulated in Blood-Borne Extensively Drug-Resistant Salmonella Typhi Isolates from Pakistan. Medicina. 2024; 60(9):1404. https://doi.org/10.3390/medicina60091404
Chicago/Turabian StyleYasin, Nusrat, Hazir Rahman, Muhammad Qasim, Iqbal Nisa, Yasra Sarwar, Niamat Khan, Khalid J. Alzahrani, Meshari A. Alsuwat, Fuad M. Alzahrani, and Abrar Aljohani. 2024. "Metabolic Proteins Expression Up-Regulated in Blood-Borne Extensively Drug-Resistant Salmonella Typhi Isolates from Pakistan" Medicina 60, no. 9: 1404. https://doi.org/10.3390/medicina60091404
APA StyleYasin, N., Rahman, H., Qasim, M., Nisa, I., Sarwar, Y., Khan, N., Alzahrani, K. J., Alsuwat, M. A., Alzahrani, F. M., & Aljohani, A. (2024). Metabolic Proteins Expression Up-Regulated in Blood-Borne Extensively Drug-Resistant Salmonella Typhi Isolates from Pakistan. Medicina, 60(9), 1404. https://doi.org/10.3390/medicina60091404

