Palsy of Both the Tibial Nerve and Common Peroneal Nerve Caused by a Ganglion Cyst in the Popliteal Area
Abstract
1. Introduction
2. Case Presentation
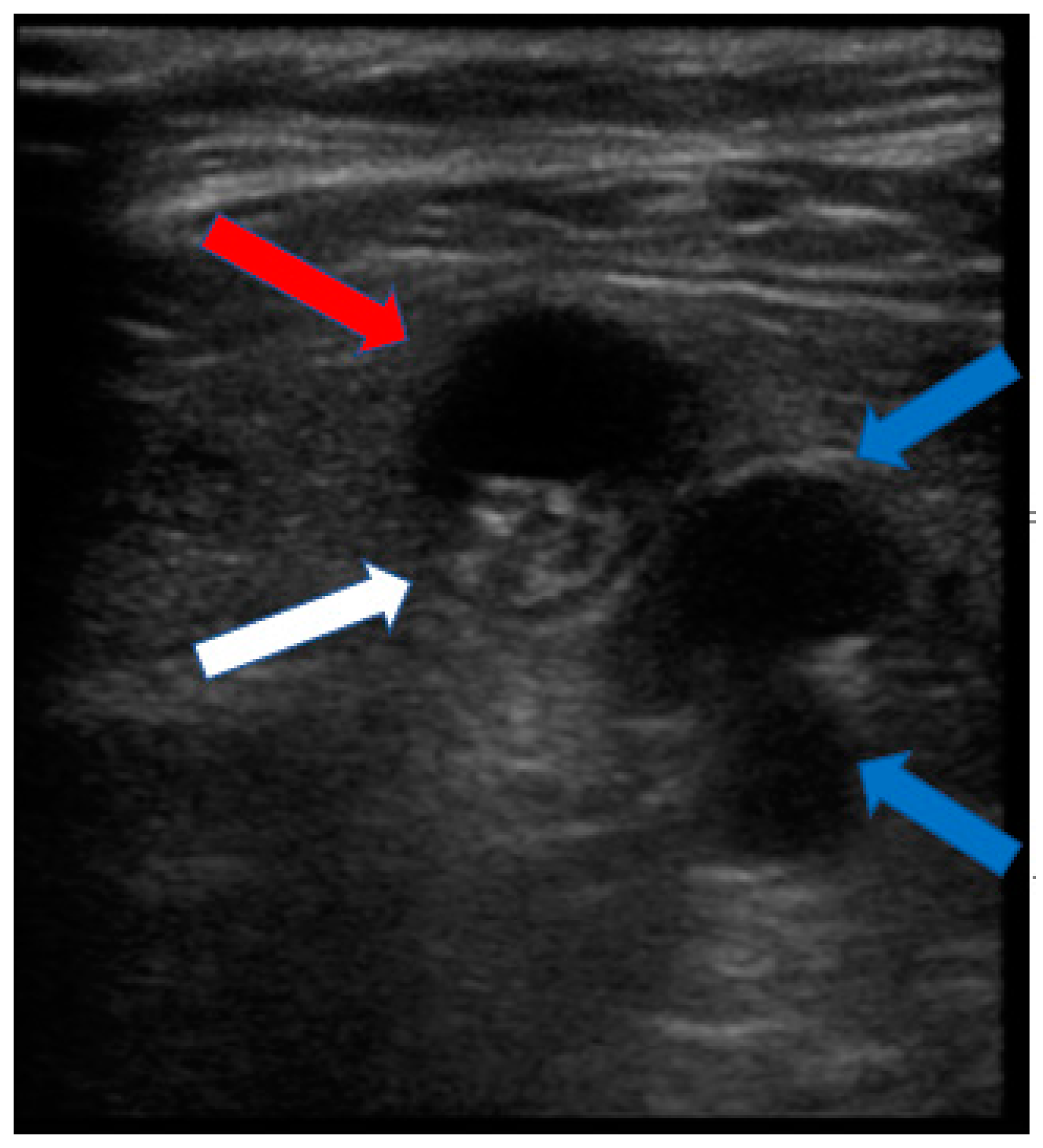
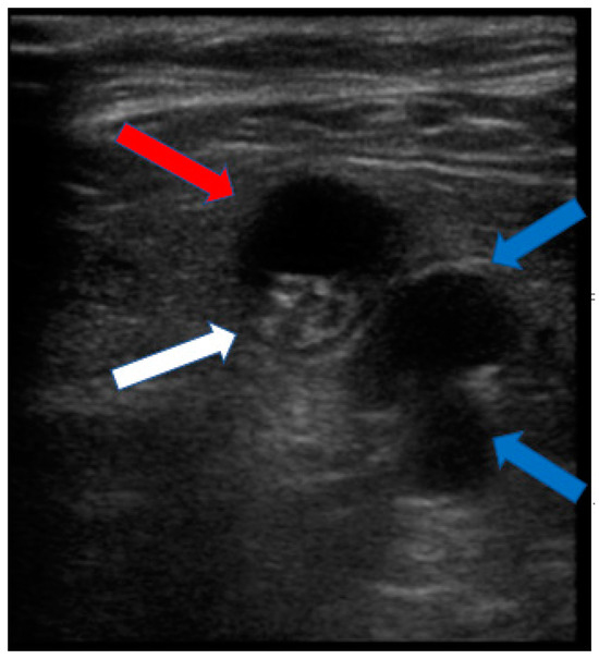
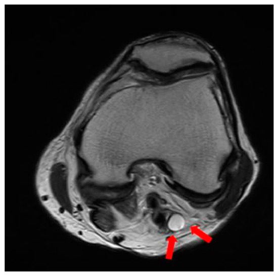
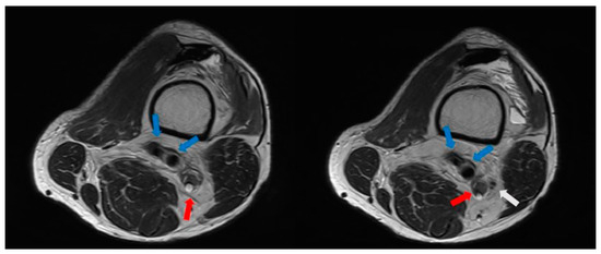
2.1. Preoperative Evaluation
2.2. Surgical Procedure
2.3. Postoperative Care
3. Discussion
4. Conclusions
Author Contributions
Funding
Institutional Review Board Statement
Informed Consent Statement
Data Availability Statement
Conflicts of Interest
Abbreviations
| CPN | Common peroneal nerve |
| DPN | Deep peroneal nerve |
| SPN | Superficial peroneal nerve |
| EMG | Electromyography |
| MRI | Magnetic resonance imaging |
| USG | Ultrasonography |
References
- Zumrut, M.; Demirayak, M.; Kucukapan, A. An unusual cause of foot drop: Peroneal extraneural ganglion cyst. Pak. J. Med. Sci. 2016, 32, 1047. [Google Scholar]
- Krishnan, P.; Wolf, J.M. Pediatric ganglions of the hand and wrist: A review of current literature. J. Hand Surg. 2022, 47, 554–560. [Google Scholar] [CrossRef]
- Gregush, R.E.; Habusta, S.F. Ganglion cyst. In StatPearls [Internet]; StatPearls Publishing: St. Petersburg, FL, USA, 2023. [Google Scholar]
- Singh, S.; Singh, R.; Tanwar, M.; Kaur, K. Giant ganglion cyst of the proximal tibiofibular joint with peroneal nerve palsy: A case report. J. Orthop. Case Rep. 2020, 10, 5. [Google Scholar]
- Wang, G.H.; Mao, T.; Chen, Y.L.; Xu, C.; Xing, S.G.; Ni, X.J.; Deng, A.D. An intraneural ganglion cyst of the ulnar nerve at the wrist: A case report and literature review. J. Int. Med. Res. 2021, 49, 0300060520982701. [Google Scholar] [CrossRef]
- Ariyaratne, S.; Pathak, G.; Iyengar, K.; Botchu, R.; Shah, A. A rare case of an intraneural ganglion cyst of the median nerve. J. Ultrason. 2023, 23, e161–e164. [Google Scholar] [CrossRef]
- Kokkalis, Z.T.; Kalavrytinos, D.; Kokkineli, S.; Kouzelis, A.; Sioutis, S.; Mavrogenis, A.F.; Panagopoulos, A. Intraneural ganglion cysts of the peroneal nerve. Eur. J. Orthop. Surg. Traumatol. 2021, 31, 1639–1645. [Google Scholar] [CrossRef]
- Tigre, J.Y.; Maddy, K.; Errante, E.L.; Costello, M.C.; Steinlauf, S.; Burks, S.S.; Steinlauf, S.D.; Burks, S.S., Jr. Recurrent peroneal intraneural ganglion cyst: Management and review of the literature. Cureus 2023, 15, e38449. [Google Scholar]
- Ramelli, G.; Nagy, L.; Tuncdogan, E.; Mathis, J. Ganglion Cyst of the Peroneal Nerve: A Differential Diagnosis of Pero neal Nerve Entrapment Neuropathy. Eur. Neurol. 1999, 41, 56–58. [Google Scholar] [CrossRef]
- Muramatsu, K.; Hashimoto, T.; Tominaga, Y.; Tamura, K.; Taguchi, T. Unusual peroneal nerve palsy caused by intraneural ganglion cyst: Pathological mechanism and appropriate treatment. Acta Neurochir. 2013, 155, 1757–1761. [Google Scholar] [CrossRef]
- Nikolopoulos, D.; Safos, G.; Sergides, N.; Safos, P. Deep peroneal nerve palsy caused by an extraneural ganglion cyst: A rare case. Case Rep. Orthop. 2015, 2015. [Google Scholar] [CrossRef][Green Version]
- Della Vecchia, G.; Baldi, A.; Passavanti, M.B.; Lucariello, A.; De Luca, A.; De Blasiis, P. Acute Foot Drop Caused by Intraneural Ganglion Cyst of the Peroneal Nerve: Literature Review and Case Report. J. Pers. Med. 2023, 13, 1137. [Google Scholar] [CrossRef] [PubMed]
- Giard, M.-C.; Pineda, C. Ganglion cyst versus synovial cyst? Ultrasound characteristics through a review of the literature. Rheumatol. Int. 2015, 35, 597–605. [Google Scholar] [CrossRef]
- Telischak, N.A.; Wu, J.S.; Eisenberg, R.L. Cysts and cystic-appearing lesions of the knee: A pictorial essay. Indian J. Radiol. Imaging 2014, 24, 182–191. [Google Scholar] [CrossRef]
- Suen, M.; Fung, B.; Lung, C. Treatment of ganglion cysts. Int. Sch. Res. Not. 2013, 2013, 940615. [Google Scholar] [CrossRef]
- Jerome, D.; McKENDRY, R. Synovial cyst of the proximal tibiofibular joint. J. Rheumatol. 2000, 27, 1096–1098. [Google Scholar]
- Pagnoux, C.; Lhotellier, L.; Marek, J.J.; Ballard, M.; Chazerain, P.; Ziza, J.-M. Synovial cysts of the proximal tibiofibular joint: Three case reports. Jt. Bone Spine 2002, 69, 331–333. [Google Scholar] [CrossRef] [PubMed]
- Williams, E.H.; Williams, C.G.; Rosson, G.D.; Dellon, A.L. Combined peroneal and proximal tibial nerve palsies. Microsurgery 2009, 29, 259–264. [Google Scholar] [CrossRef] [PubMed]
- Tehli, O.; Celikmez, R.C.; Birgili, B.; Solmaz, I.; Celik, E. Pure peroneal intraneural ganglion cyst ascending along the sciatic nerve. Turk. Neurosurg. 2011, 21, 254–258. [Google Scholar] [CrossRef][Green Version]
- Frank, D.A.; Sangimino, M.J. Peroneal nerve palsy secondary to ganglion cyst of the proximal tibiofibular joint in a pediatric patient. Orthopedics 2008, 31, 86. [Google Scholar]
- Spinner, R.J.; Desy, N.M.; Amrami, K.K. Sequential tibial and peroneal intraneural ganglia arising from the superior tibiofibular joint. Skelet. Radiol. 2008, 37, 79–84. [Google Scholar] [CrossRef]
- Greer-Bayramoglu, R.J.; Nimigan, A.S.; Gan, B.S. Compression neuropathy of the peroneal nerve secondary to a ganglion cyst. Can. J. Plast. Surg. 2008, 16, 181–183. [Google Scholar] [CrossRef]
- Tinel, J.; Kaplan, E. The “tingling” sign in peripheral nerve lesions. In Injuries to the Major Branches of Peripheral Nerves of the Forearm; WB Saunders: Philadelphia, PA, USA, 1978; pp. 8–13. [Google Scholar]
- MacKay, B.J.; Cox, C.T.; Valerio, I.L.; Greenberg, J.A.; Buncke, G.M.; Evans, P.J.; Mercer, D.M.; McKee, D.M.; Ducic, I. Evidence-based approach to timing of nerve surgery: A review. Ann. Plast. Surg. 2021, 87, e1–e21. [Google Scholar] [CrossRef]
- Visser, L.H. High-resolution sonography of the common peroneal nerve: Detection of intraneural ganglia. Neurology 2006, 67, 1473–1475. [Google Scholar] [CrossRef]
- De Schrijver, F.; Simon, J.-P.; De Smet, L.; Fabry, G. Ganglia of the superior tibiofibular joint: Report of three cases and review of the literature. Acta Orthop. Belg. 1998, 64, 233–241. [Google Scholar]
- Rawal, A.; Ratnam, K.; Yin, Q.; Sinopidis, C.; Frostick, S.P. Compression neuropathy of common peroneal nerve caused by an extraneural ganglion: A report of two cases. Microsurg. Off. J. Int. Microsurg. Soc. Eur. Fed. Soc. Microsurg. 2004, 24, 63–66. [Google Scholar] [CrossRef]
- Fortier, L.M.; Markel, M.; Thomas, B.G.; Sherman, W.F.; Thomas, B.H.; Kaye, A.D. An update on peroneal nerve entrapment and neuropathy. Orthop. Rev. 2021, 13, 24937. [Google Scholar] [CrossRef]
- Spinner, R.J.; Hébert-Blouin, M.-N.; Amrami, K.K.; Rock, M.G. Peroneal and tibial intraneural ganglion cysts in the knee region: A technical note. Oper. Neurosurg. 2010, 67, ons71–ons78. [Google Scholar] [CrossRef][Green Version]








Disclaimer/Publisher’s Note: The statements, opinions and data contained in all publications are solely those of the individual author(s) and contributor(s) and not of MDPI and/or the editor(s). MDPI and/or the editor(s) disclaim responsibility for any injury to people or property resulting from any ideas, methods, instructions or products referred to in the content. |
© 2024 by the authors. Licensee MDPI, Basel, Switzerland. This article is an open access article distributed under the terms and conditions of the Creative Commons Attribution (CC BY) license (https://creativecommons.org/licenses/by/4.0/).
Share and Cite
Lee, S.-H.; Kim, S.-H.; Kim, H.-S.; Lee, H.-U. Palsy of Both the Tibial Nerve and Common Peroneal Nerve Caused by a Ganglion Cyst in the Popliteal Area. Medicina 2024, 60, 876. https://doi.org/10.3390/medicina60060876
Lee S-H, Kim S-H, Kim H-S, Lee H-U. Palsy of Both the Tibial Nerve and Common Peroneal Nerve Caused by a Ganglion Cyst in the Popliteal Area. Medicina. 2024; 60(6):876. https://doi.org/10.3390/medicina60060876
Chicago/Turabian StyleLee, Sang-Heon, Sung-Hwan Kim, Ho-Sung Kim, and Hyun-Uk Lee. 2024. "Palsy of Both the Tibial Nerve and Common Peroneal Nerve Caused by a Ganglion Cyst in the Popliteal Area" Medicina 60, no. 6: 876. https://doi.org/10.3390/medicina60060876
APA StyleLee, S.-H., Kim, S.-H., Kim, H.-S., & Lee, H.-U. (2024). Palsy of Both the Tibial Nerve and Common Peroneal Nerve Caused by a Ganglion Cyst in the Popliteal Area. Medicina, 60(6), 876. https://doi.org/10.3390/medicina60060876

