Prostate Adenocarcinoma with Signet-Ring Cells and Features of Mucin: A Clinical Case and Literature Review
Abstract
1. Introduction
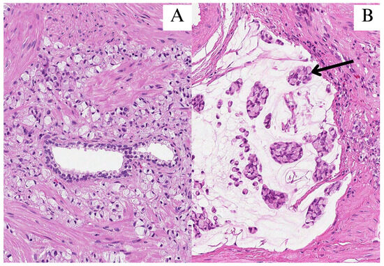
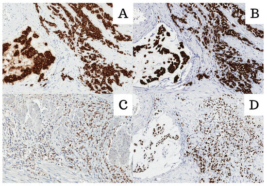
2. Case Report
3. Literature Review
4. Discussion
5. Strengths and Limitations of the Study
6. Conclusions
Author Contributions
Funding
Institutional Review Board Statement
Informed Consent Statement
Data Availability Statement
Acknowledgments
Conflicts of Interest
References
- Sung, H.; Ferlay, J.; Siegel, R.L.; Laversanne, M.; Soerjomataram, I.; Jemal, A.; Bray, F.; Bsc, M.F.B.; Me, J.F.; Soerjomataram, M.I.; et al. Global Cancer Statistics 2020: GLOBOCAN Estimates of Incidence and Mortality Worldwide for 36 Cancers in 185 Countries. CA Cancer J. Clin. 2021, 71, 209–249. [Google Scholar] [CrossRef] [PubMed]
- Alizadeh, M.; Alizadeh, S. Survey of Clinical and Pathological Characteristics and Outcomes of Patients with Prostate Cancer. Glob. J. Health Sci. 2014, 6, 49–57. [Google Scholar] [CrossRef] [PubMed]
- Bostwick, D.G.; Cheng, L. Neoplasms of the Prostate. In Urologic Surgical Pathology [Internet]; Elsevier: Amsterdam, The Netherlands, 2020; pp. 415–525.e42. Available online: https://linkinghub.elsevier.com/retrieve/pii/B9780323549417000098 (accessed on 8 December 2023).
- Netto, G.J.; Amin, M.B.; Berney, D.M.; Compérat, E.M.; Gill, A.J.; Hartmann, A.; Menon, S.; Raspollini, M.R.; Rubin, M.A.; Srigley, J.R.; et al. The 2022 World Health Organization Classification of Tumors of the Urinary System and Male Genital Organs—Part B: Prostate and Urinary Tract Tumors–ScienceDirect [Internet]. 2022. Available online: https://www-sciencedirect-com.ezproxy.dbazes.lsmuni.lt/science/article/pii/S0302283822024770?casa_token=exMfZeUx-RYAAAAA:wAyqbcguXV4NR3VDfCBpKGNGvQF5ck9ektDGooMWTJpzrjPu1on16RIFXiO4uVMGUON1Tvqhng (accessed on 5 February 2024).
- Benesch, M.G.K.; Mathieson, A. Epidemiology of Signet Ring Cell Adenocarcinomas. Cancers 2020, 12, 1544. [Google Scholar] [CrossRef]
- Laufman, H. Primary linitis Plastica Type of Carcinoma of the Colon. Arch. Surg. 1951, 62, 79. [Google Scholar] [CrossRef] [PubMed]
- Zhang, Z.S.; Deng, W.Y.; Huang, S.L.; Yang, B.F.; Zhu, F.H.; Jiang, B.; Wang, S.N.; Wang, Y.K. Clinicopathological characteristics of signet-ring cell carcinoma derived from gastric fovelar epithelium. J. Dig. Dis. 2022, 23, 396–403. [Google Scholar] [CrossRef] [PubMed]
- Al-Taee, A.; Almukhtar, R.; Lai, J.; Jallad, B. Metastatic signet ring cell carcinoma of unknown primary origin: A case report and review of the literature. Ann. Transl. Med. 2016, 4, 283. [Google Scholar] [CrossRef] [PubMed]
- Patasius, A.; Smailyte, G. Changing Incidence and Stage Distribution of Prostate Cancer in a Lithuanian Population—Evidence from National PSA-Based Screening Program. Int. J. Environ. Res. Public Health 2019, 16, 4856. [Google Scholar] [CrossRef] [PubMed]
- Koufopoulos, N.; Ieronimaki, A.I.; Zacharatou, A.; Gouloumis, A.R.; Leventakou, D.; Boutas, I.; Dimas, D.T.; Kontogeorgi, A.; Sitara, K.; Khaldi, L. A Case of Prostatic Signet-Ring Cell-like Carcinoma with Pagetoid Spread and Intraductal Carcinoma and Long-Term Survival: PD-L1 and Mismatch Repair System Proteins (MMR) Immunohistochemical Evaluation with Systematic Literature Review. J. Pers. Med. 2023, 13, 1016. [Google Scholar] [CrossRef] [PubMed]
- Kwon, W.A.; Oh, T.H.; Ahn, S.H.; Lee, J.W.; Park, S.C. Primary signet ring cell carcinoma of the prostate. Can. Urol. Assoc. J. 2013, 7, E768–E771. [Google Scholar] [CrossRef] [PubMed]
- Gök, A.; Tuygun, C.; Akmansu, M.; Uslu, A.A.; Kartal, I.G.; Sandikçi, F.; Karabacak, O.R.; Sağnak, A.L.; Topaloğlu, H.; Ersoy, H. Primary Signet Ring Cell Carcinoma of the Prostate: A Rare Case Report. J. Clin. Med. 2018, 7, 218. [Google Scholar] [CrossRef] [PubMed]
- Lilleby, W.; Axcrona, K.; Cecilie Alfsen, G.; Urnes, T.; Hole, K.H. Diagnosis and treatment of primary signet-ring cell carcinoma of the prostate. Acta Oncol. 2007, 46, 1195–1197. [Google Scholar] [CrossRef] [PubMed]
- Kendall, A.; Corbishley, C.M.; Pandha, H.S. Signet ring cell carcinoma in the prostate. Clin. Oncol. 2004, 16, 105–107. [Google Scholar] [CrossRef] [PubMed]
- Skodras, G.; Wang, J.; Kragel, P.J. Primary prostatic signet-ring cell carcinoma. Urology 1993, 42, 338–342. [Google Scholar] [CrossRef] [PubMed]
- Remmele, W.; Weber, A.; Harding, P. Primary signet-ring cell carcinoma of the prostate. Hum. Pathol. 1988, 19, 478–480. [Google Scholar] [CrossRef] [PubMed]
- Kuroda, N.; Yamasaki, I.; Nakayama, H.; Tamura, K.; Yamamoto, Y.; Miyazaki, E.; Naruse, K.; Kiyoku, H.; Hiroi, M.; Enzan, H. Prostatic signet-ring cell carcinoma: Case report and literature review. Pathol. Int. 1999, 49, 457–461. [Google Scholar] [CrossRef] [PubMed]
- Segawa, T.; Kakehi, Y. Primary signet ring cell adenocarcinoma of the prostate: A case report and literature review. Hinyokika Kiyo 1993, 39, 565–568. [Google Scholar] [PubMed]
- Roldán, A.M.; Núñez, N.F.; Grande, E.; García, A.Á.; Antón-Aparicio, L.M. A primary signet ring cell carcinoma of the prostate with bone metastasis with impressive response to FOLFOX and cetuximab. Clin. Genitourin. Cancer 2012, 10, 199–201. [Google Scholar] [CrossRef] [PubMed]
- Derouiche, A.; Ouni, A.; Kourda, N.; Belhadj, K.; Ben Jilani, S.; Chebil, M. A new case of signet ring cell carcinoma of the prostate. Clin. Genitourin. Cancer 2007, 5, 455–456. [Google Scholar] [CrossRef] [PubMed]
- Gumus, E.; Yilmaz, B.; Miroglu, C. Prostate mucinous adenocarcinoma with signet ring cell. Int. J. Urol. 2003, 10, 239–241. [Google Scholar] [CrossRef] [PubMed]
- Gupta, A.; Gulwani, H.V. A rare case of primary signet ring-like cell carcinoma of prostate in an elderly male. Indian J. Pathol. Microbiol. 2020, 63, 338–339. [Google Scholar] [PubMed]
- Celik, O.; Budak, S.; Ekin, G.; Akarken, I.; Ilbey, Y.O. A case with primary signet ring cell adenocarcinoma of the prostate and review of the literature. Arch. Ital. Urol. Androl. 2014, 86, 148–149. [Google Scholar] [CrossRef] [PubMed]
- Bonetti, L.R.; Lupi, M.; Stauder, E.; Bergamini, S.; Scuri, M.; Maiorana, A. An unusual case of signet ring cell adenocarcinoma of the prostate. Pathologica 2011, 103, 40–42. [Google Scholar] [PubMed]
- Tiwari, D.; Nayak, B.; Seth, A. Good response of an aggressive rare variant of signet ring cell carcinoma of prostate with hormonal therapy. BMJ Case Rep. 2017, 2017, bcr2016217567. [Google Scholar] [CrossRef] [PubMed]
- Sáez Barranquero, F.; Herrera Imbroda, B. Primary signet ring cell carcinoma of the prostate with response to abiraterone. Actas Urol. Esp. 2017, 41, 603–604. [Google Scholar] [CrossRef]
- Akagashi, K.; Tanda, H.; Kato, S.; Ohnishi, S.; Nakajima, H.; Nanbu, A.; Nitta, T.; Koroku, M. Signet-ring cell carcinoma of the prostate effectively treated with maximal androgen blockade. Int. J. Urol. 2003, 10, 456–458. [Google Scholar] [CrossRef] [PubMed]
- Ben-Izhak, O.; Lichtig, C. Signet-ring cell carcinoma of the prostate mimicking primary gastric carcinoma. J. Clin. Pathol. 1992, 45, 452–454. [Google Scholar] [CrossRef] [PubMed]
- Jamal, I.; Raman, R.B.; Kumar, S.; Agrawal, R.; Choudhary, V.N. Metastasis of primary signet ring cell carcinoma of prostate to bone marrow: A rare occurrence with review of literature. Indian J. Pathol. Microbiol. 2023, 66, 407–410. [Google Scholar] [PubMed]
- Kanematsu, A.; Hiura, M. Primary signet ring cell adenocarcinoma of the prostate treated by radical prostatectomy after preoperative androgen deprivation. Int. J. Urol. 1997, 4, 522–523. [Google Scholar] [CrossRef] [PubMed]
- Yoshimura, K.; Fukui, I.; Ishikawa, Y.; Maeda, H.; Yamauchi, T.; Kawai, T. Locally-Confined Signet-Ring Cell Carcinoma of the Prostate: A Case Report of a Long-Term Survivor. Int. J. Urol. 1996, 3, 406–407. [Google Scholar] [CrossRef] [PubMed]
- Kim, S.W.; Kim, W.; Cho, Y.H.; Kim, T.J.; Woo, I.; Sohn, D.W. Primary signet ring cell carcinoma of the prostate treated by radical cystoprostatectomy and chemoradiotherapy. Can. Urol. Assoc. J. 2016, 10, E204–E206. [Google Scholar] [CrossRef] [PubMed]
- Uyama, T.; Moriwaki, S. Papillary and mucus-forming adenocarcinomas of prostate. Urology 1979, 13, 432–434. [Google Scholar] [CrossRef] [PubMed]
- Bostwick, D.G. Grading prostate cancer. Am. J. Clin. Pathol. 1994, 102 (Suppl. 1), S38–S56. [Google Scholar] [PubMed]
- Warner, J.N.; Nakamura, L.Y.; Pacelli, A.; Humphreys, M.R.; Castle, E.P. Primary Signet Ring Cell Carcinoma of the Prostate. Mayo Clin. Proc. 2010, 85, 1130–1136. [Google Scholar] [CrossRef] [PubMed]
- Saito, S.; Iwaki, H. Mucin-producing carcinoma of the prostate: Review of 88 cases. Urology 1999, 54, 141–144. [Google Scholar] [CrossRef] [PubMed]
- Azumi, N.; Traweek, S.T.; Battifora, H. Prostatic acid phosphatase in carcinoid tumors. Am. J. Surg. Pathol. 1991, 15, 785–790. [Google Scholar] [CrossRef] [PubMed]
- Smith, C.; Feddersen, R.M.; Dressler, L.; McConnell, T.; Milroy, T.; Smith, A.Y. Signet ring cell adenocarcinoma of prostate. Urology 1994, 43, 397–400. [Google Scholar] [CrossRef] [PubMed]
- Kristiansen, I.; Stephan, C.; Jung, K.; Dietel, M.; Rieger, A.; Tolkach, Y.; Kristiansen, G. Sensitivity of HOXB13 as a Diagnostic Immunohistochemical Marker of Prostatic Origin in Prostate Cancer Metastases: Comparison to PSA, Prostein, Androgen Receptor, ERG, NKX3.1, PSAP, and PSMA. Int. J. Mol. Sci. 2017, 18, 1151. [Google Scholar] [CrossRef] [PubMed]
- Gregoire, C.; Muller, G.; Machiels, J.P.; Goeminne, J.C. Metastatic signet-ring cell carcinoma of unknown primary origin. Acta Clin. Belg. 2014, 69, 135–138. [Google Scholar] [CrossRef] [PubMed]
- Gupta, M.; Budhwar, A.; Prasad, N.; Prasad, S.K.S.; Singh, S. Primary signet ring cell carcinoma of prostate: A rare case report and review of literature. J. Cancer Res. Ther. 2023, 19, 1075. [Google Scholar] [CrossRef] [PubMed]
- Kalaitzis, C.; Koukourakis, M.; Giannakopoulos, S.; Giatromanolaki, A.; Sivridis, E.; Bantis, A.; Touloupidis, S. Metastatic Mucinous Adenocarcinoma of the Prostate with PSA Value of 8.6 ng/mL at 5-Year-Followup after Prostatectomy, Radiotherapy, and Androgen Deprivation. Case Rep. Urol. 2014, 2014, e218628. [Google Scholar] [CrossRef]
- Zhang, Y.; Shen, H.; Liao, K.; Wu, W.; Li, J.; Yu, H.; Wu, H.; Wang, Z. Case Report: Prostate Adenocarcinoma with Mucinous Features of Normal-Level Serum PSA, Atypical Imaging, Biopsy-Negative, and Peculiar Urethrocystoscopic Manifestation. Front. Oncol. 2020, 10, 504381. [Google Scholar] [CrossRef] [PubMed]


| No. | Reference | Age | sPSA (ng/mL) | Stage | Immunohistochemical Study |
|---|---|---|---|---|---|
| 1 | [10] | 63 | 16.39 | Advanced | Positive: PSA, P504S. Negative: CK7, CK20, SMA, LCA, PAS, Alcian blue. |
| 2 | [11] | 61 | 14.7 | Distant | Positive: PSA, P504S, Pan-CK, CD68. Negative: HMW-CK. |
| 3 | [12] | 70 | 7.26 | N/A | Positive: PSA, PSAP. Negative: LCA, ASMA. |
| 4 | [13] | 70 | 27 | Advanced | Positive: PSA, PA, Pancytokeratin. Negative: CK20, CK7, PAS, Alcian blue, Mucin. GI biopsy: negative for SRCC |
| 5 | [14] | 67 | 4.33 | Advanced * | Positive: CEA, CK20, LP34, Cam 5,2. Negative: PSA, CK7. GI biopsy—positive for SRCC |
| 6 | [15] | 57 | Normal | Advanced | Positive: PSA, PSAP, PAS, EMA, Alcian blue, CEA, mucicarmine. Negative: N/A |
| 7 | [16] | 67 | N/A | Distant | Positive: PAS, CK, Alcian blue, CEA, mucicarmine, weakly PSA. Negative: PSAP. |
| 8 | [17] | 81 | 100 | Advanced | Positive: PSA, PSAP, weakly PAS. Negative: Alcian blue, Mucicarmine, CK20, CK7, LCA, SMA, CEA. |
| 9 | [18] | 61 | Normal | Advanced | Positive: PAS, Muc, CA 19-9, CEA. Negative: PSA, PSAP. |
| 10 | [19] | 65 | 6.6 | Advanced | Positive: PSA, CK20, Alcian blue, Acid-Schiff. Negative: CK5, CK6. GI biopsy: negative for SRCC. |
| 11 | [20] | 85 | 9.1 | Localized | Positive: PSA. Negative: CK7, CK20. |
| 12 | [21] | 47 | 0.117 | Advanced | Positive: PAS, Alcian blue, CEA. Negative: PSA. |
| 13 | [22] | 72 | 6.5 | Localized | Positive: PSA, AMACR, Pancytokeratin. Negative: PAS, Mucicarmine, Alcian blue, CK7, CK20, LCA, SMA, CEA. |
| 14 | [23] | 66 | >6658 | Distant | Positive: PSA, PAS, PSP. Negative: N/A |
| 15 | [24] | 70 | N/A | N/A | Positive: PSA, PSAP, PAS, Alcian blue, Mucicarmine. Negative: N/A |
| 16 | [25] | 65 | 1990 | Advanced | Positive: PSA, P504S. Negative: CK20, Mucin. |
| 17 | [26] | 74 | 10.3 | Distant | Positive: N/A Negative: N/A |
| 18 | [27] | 72 | 470 | Advanced | Positive: PSA. Negative: PAS, Alcian blue, Mucicarmine. |
| 19 | [28] | 70 | N/A | Distant | Positive: PSA, PSAP. Negative: Mucicarmine, mucopolysaccharide, PAS, Alcian blue. |
| 20 | [29] | 65 | 151 | Distant | Positive: EMA, Anti-PSAP. Negative: N/A |
| 21 | [30] | 76 | 237 | Localized | Positive: PSA. Negative: CEA. |
| 22 | [31] | 65 | Normal | Advanced | Positive: PSA. Negative: PAS, Alcian blue, p53, CEA. |
| 23 | [32] | 56 | 0.64 | Advanced | Positive: Cyclin D1, EGFR, P53, CK20, CX-2. Negative: Bcl2, c-erbB2, AMACR, CK7, TTF-1. |
Disclaimer/Publisher’s Note: The statements, opinions and data contained in all publications are solely those of the individual author(s) and contributor(s) and not of MDPI and/or the editor(s). MDPI and/or the editor(s) disclaim responsibility for any injury to people or property resulting from any ideas, methods, instructions or products referred to in the content. |
© 2024 by the authors. Licensee MDPI, Basel, Switzerland. This article is an open access article distributed under the terms and conditions of the Creative Commons Attribution (CC BY) license (https://creativecommons.org/licenses/by/4.0/).
Share and Cite
Sakalauskaite, M.; Garnelyte, A.; Civilka, I.; Dulskas, A.; Kincius, M.; Patasius, A. Prostate Adenocarcinoma with Signet-Ring Cells and Features of Mucin: A Clinical Case and Literature Review. Medicina 2024, 60, 877. https://doi.org/10.3390/medicina60060877
Sakalauskaite M, Garnelyte A, Civilka I, Dulskas A, Kincius M, Patasius A. Prostate Adenocarcinoma with Signet-Ring Cells and Features of Mucin: A Clinical Case and Literature Review. Medicina. 2024; 60(6):877. https://doi.org/10.3390/medicina60060877
Chicago/Turabian StyleSakalauskaite, Migle, Ausra Garnelyte, Ignas Civilka, Audrius Dulskas, Marius Kincius, and Ausvydas Patasius. 2024. "Prostate Adenocarcinoma with Signet-Ring Cells and Features of Mucin: A Clinical Case and Literature Review" Medicina 60, no. 6: 877. https://doi.org/10.3390/medicina60060877
APA StyleSakalauskaite, M., Garnelyte, A., Civilka, I., Dulskas, A., Kincius, M., & Patasius, A. (2024). Prostate Adenocarcinoma with Signet-Ring Cells and Features of Mucin: A Clinical Case and Literature Review. Medicina, 60(6), 877. https://doi.org/10.3390/medicina60060877

