Expression of Pluripotency Factors OCT4 and LIN28 Correlates with Survival Outcome in Lung Adenocarcinoma
Abstract
1. Introduction
2. Materials and Methods
2.1. Immunohistochemical Staining
2.2. Evaluation of the Immunohistochemical Staining
2.3. Statistical Analysis
2.3.1. Associations of OCT4 and LIN28 with Clinicopathological Parameters and the Correlations between Proteins
2.3.2. Survival Analysis
3. Results
3.1. Clinical, Demographic and Histopathological Data
3.2. Expression of OCT4 in Lung Adenocarcinoma
3.3. Expression of LIN28A in Lung Adenocarcinomas
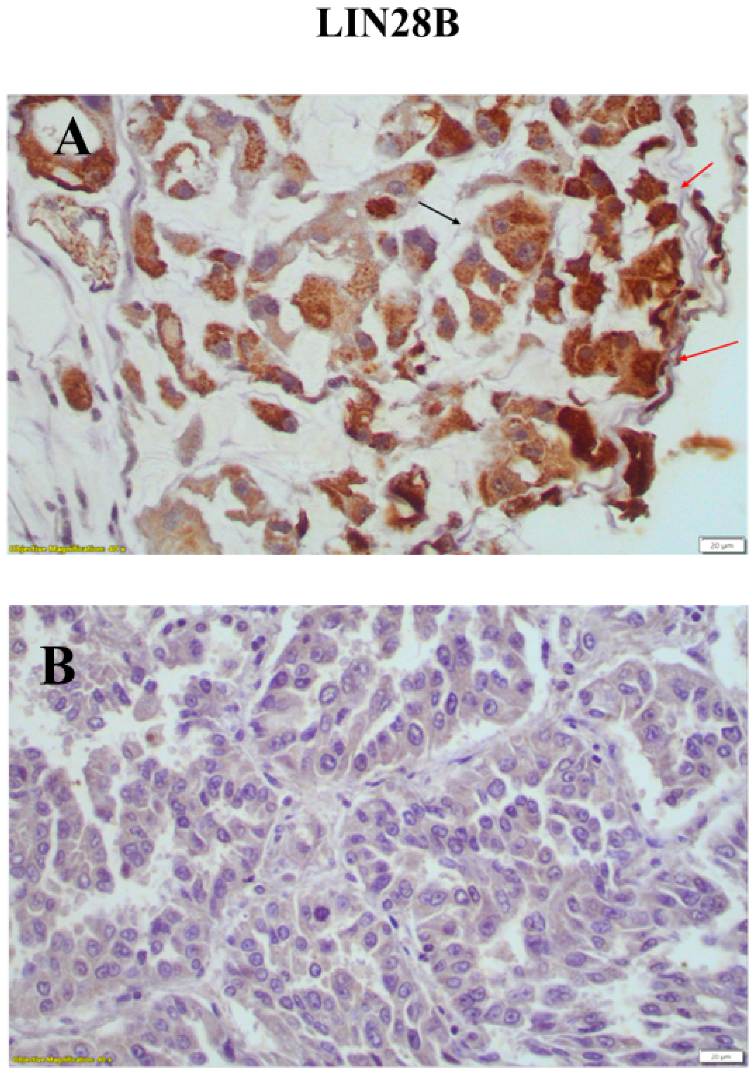
3.4. Expression of LIN28B in Lung Adenocarcinomas
4. Discussion
5. Conclusions
Author Contributions
Funding
Institutional Review Board Statement
Informed Consent Statement
Data Availability Statement
Conflicts of Interest
Abbreviations
References
- Travis, W.D.; Brambilla, E.; Riely, G.J. New pathologic classification of lung cancer: Relevance for clinical practice and clinical trials. J. Clin. Oncol. Off. J. Am. Soc. Clin. Oncol. 2013, 31, 992–1001. [Google Scholar] [CrossRef] [PubMed]
- Yoshizawa, A.; Sumiyoshi, S.; Sonobe, M.; Kobayashi, M.; Fujimoto, M.; Kawakami, F.; Tsuruyama, T.; Travis, W.D.; Date, H.; Haga, H. Validation of the IASLC/ATS/ERS lung adenocarcinoma classification for prognosis and association with EGFR and KRAS gene mutations: Analysis of 440 Japanese patients. J. Thorac. Oncol. Off. Publ. Int. Assoc. Study Lung Cancer 2013, 8, 52–61. [Google Scholar] [CrossRef] [PubMed]
- Stadtfeld, M.; Hochedlinger, K. Induced pluripotency: History, mechanisms, and applications. Genes Dev. 2010, 24, 2239–2263. [Google Scholar] [CrossRef] [PubMed]
- Schulz, W.A.; Hoffmann, M.J. Transcription factor networks in embryonic stem cells and testicular cancer and the definition of epigenetics. Epigenetics 2007, 2, 37–42. [Google Scholar] [CrossRef] [PubMed]
- Tarayrah, L.; Chen, X. Epigenetic regulation in adult stem cells and cancers. Cell Biosci. 2013, 3, 41. [Google Scholar] [CrossRef] [PubMed]
- Tsialikas, J.; Romer-Seibert, J. LIN28: Roles and regulation in development and beyond. Development 2015, 142, 2397–2404. [Google Scholar] [CrossRef] [PubMed]
- Polesskaya, A.; Cuvellier, S.; Naguibneva, I.; Duquet, A.; Moss, E.G.; Harel-Bellan, A. Lin-28 binds IGF-2 mRNA and participates in skeletal myogenesis by increasing translation efficiency. Genes Dev. 2007, 21, 1125–1138. [Google Scholar] [CrossRef] [PubMed]
- Ali, P.S.; Ghoshdastider, U.; Hoffmann, J.; Brutschy, B.; Filipek, S. Recognition of the let-7g miRNA precursor by human Lin28B. FEBS Lett. 2012, 586, 3986–3990. [Google Scholar] [CrossRef]
- Chan, H.W.; Lappas, M.; Yee, S.W.; Vaswani, K.; Mitchell, M.D.; Rice, G.E. The expression of the let-7 miRNAs and Lin28 signalling pathway in human term gestational tissues. Placenta 2013, 34, 443–448. [Google Scholar] [CrossRef]
- Rehfeld, F.; Rohde, A.M.; Nguyen, D.T.; Wulczyn, F.G. Lin28 and let-7: Ancient milestones on the road from pluripotency to neurogenesis. Cell Tissue Res. 2015, 359, 145–160. [Google Scholar] [CrossRef]
- Takeda, J.; Seino, S.; Bell, G.I. Human Oct3 gene family: cDNA sequences, alternative splicing, gene organization, chromosomal location, and expression at low levels in adult tissues. Nucleic Acids Res. 1992, 20, 4613–4620. [Google Scholar] [CrossRef] [PubMed]
- Zhao, X.; Lu, H.; Sun, Y.; Liu, L.; Wang, H. Prognostic value of octamer binding transcription factor 4 for patients with solid tumors: A meta-analysis. Medicine 2020, 99, e22804. [Google Scholar] [CrossRef] [PubMed]
- Jerabek, S.; Merino, F.; Schöler, H.R.; Cojocaru, V. OCT4: Dynamic DNA binding pioneers stem cell pluripotency. Biochim. Biophys. Acta 2014, 1839, 138–154. [Google Scholar] [CrossRef] [PubMed]
- Saunders, A.; Faiola, F.; Wang, J. Concise review: Pursuing self-renewal and pluripotency with the stem cell factor Nanog. Stem Cells 2013, 31, 1227–1236. [Google Scholar] [CrossRef] [PubMed]
- Travis, W.D.; Brambilla, E.; Nicholson, A.G.; Yatabe, Y.; Austin, J.H.M.; Beasley, M.B.; Chirieac, L.R.; Dacic, S.; Duhig, E.; Flieder, D.B.; et al. The 2015 World Health Organization Classification of Lung Tumors: Impact of Genetic, Clinical and Radiologic Advances Since the 2004 Classification. J. Thorac. Oncol. Off. Publ. Int. Assoc. Study Lung Cancer 2015, 10, 1243–1260. [Google Scholar] [CrossRef]
- Larsen, J.E.; Minna, J.D. Molecular biology of lung cancer: Clinical implications. Clin. Chest Med. 2011, 32, 703–740. [Google Scholar] [CrossRef] [PubMed]
- Villodre, E.S.; Kipper, F.C.; Pereira, M.B.; Lenz, G. Roles of OCT4 in tumorigenesis, cancer therapy resistance and prognosis. Cancer Treat. Rev. 2016, 51, 1–9. [Google Scholar] [CrossRef] [PubMed]
- Mohiuddin, I.S.; Wei, S.J.; Kang, M.H. Role of OCT4 in cancer stem-like cells and chemotherapy resistance. Biochim. Biophys. Acta Mol. Basis Dis. 2020, 1866, 165432. [Google Scholar] [CrossRef] [PubMed]
- Patra, S.K. Roles of OCT4 in pathways of embryonic development and cancer progression. Mech. Ageing Dev. 2020, 189, 111286. [Google Scholar] [CrossRef]
- Ge, N.; Lin, H.X.; Xiao, X.S.; Guo, L.; Xu, H.M.; Wang, X.; Jin, T.; Cai, X.Y.; Liang, Y.; Hu, W.H.; et al. Prognostic significance of Oct4 and Sox2 expression in hypopharyngeal squamous cell carcinoma. J. Transl. Med. 2010, 8, 94. [Google Scholar] [CrossRef]
- Wu, Y.C.; Ling, T.Y.; Lu, S.H.; Kuo, H.C.; Ho, H.N.; Yeh, S.D.; Shen, C.N.; Huang, Y.H. Chemotherapeutic sensitivity of testicular germ cell tumors under hypoxic conditions is negatively regulated by SENP1-controlled sumoylation of OCT4. Cancer Res. 2012, 72, 4963–4973. [Google Scholar] [CrossRef] [PubMed]
- Yin, J.Y.; Tang, Q.; Zhai, L.L.; Zhou, L.Y.; Qian, J.; Lin, J.; Wen, X.M.; Zhou, J.D.; Zhang, Y.Y.; Zhu, X.W.; et al. High expression of OCT4 is frequent and may cause undesirable treatment outcomes in patients with acute myeloid leukemia. Tumour Biol. J. Int. Soc. Oncodev. Biol. Med. 2015, 36, 9711–9716. [Google Scholar] [CrossRef] [PubMed]
- Liu, T.; Sun, B.; Zhao, X.; Li, Y.; Gu, Q.; Dong, X.; Liu, F. OCT4 expression and vasculogenic mimicry formation positively correlate with poor prognosis in human breast cancer. Int. J. Mol. Sci. 2014, 15, 19634–19649. [Google Scholar] [CrossRef] [PubMed]
- He, W.; Li, K.; Wang, F.; Qin, Y.R.; Fan, Q.X. Expression of OCT4 in human esophageal squamous cell carcinoma is significantly associated with poorer prognosis. World J. Gastroenterol. 2012, 18, 712–719. [Google Scholar] [CrossRef] [PubMed]
- Li, H.; Wang, L.; Shi, S.; Xu, Y.; Dai, X.; Li, H.; Wang, J.; Zhang, Q.; Wang, Y.; Sun, S.; et al. The Prognostic and Clinicopathologic Characteristics of OCT4 and Lung Cancer: A Meta-Analysis. Curr. Mol. Med. 2019, 19, 54–75. [Google Scholar] [CrossRef] [PubMed]
- Piskounova, E.; Polytarchou, C.; Thornton, J.E.; LaPierre, R.J.; Pothoulakis, C.; Hagan, J.P.; Iliopoulos, D.; Gregory, R.I. Lin28A and Lin28B inhibit let-7 microRNA biogenesis by distinct mechanisms. Cell 2011, 147, 1066–1079. [Google Scholar] [CrossRef] [PubMed]
- Balzeau, J.; Menezes, M.R.; Cao, S.; Hagan, J.P. The LIN28/let-7 Pathway in Cancer. Front. Genet. 2017, 8, 31. [Google Scholar] [CrossRef] [PubMed]
- Zhang, J.; Xu, A.; Miao, C.; Yang, J.; Gu, M.; Song, N. Prognostic value of Lin28A and Lin28B in various human malignancies: A systematic review and meta-analysis. Cancer Cell Int. 2019, 19, 79. [Google Scholar] [CrossRef]
- Büssing, I.; Slack, F.J.; Grosshans, H. let-7 microRNAs in development, stem cells and cancer. Trends Mol. Med. 2008, 14, 400–409. [Google Scholar] [CrossRef]
- Kim, S.K.; Lee, H.; Han, K.; Kim, S.C.; Choi, Y.; Park, S.W.; Bak, G.; Lee, Y.; Choi, J.K.; Kim, T.K.; et al. SET7/9 methylation of the pluripotency factor LIN28A is a nucleolar localization mechanism that blocks let-7 biogenesis in human ESCs. Cell Stem Cell 2014, 15, 735–749. [Google Scholar] [CrossRef]
- Dou, J.; Zhang, H.; Chen, R.; Shu, Z.; Yuan, H.; Zhao, X.; Wang, Y.; Huang, J.; Zhou, A.; Yu, J. SUMOylation modulates the LIN28A-let-7 signaling pathway in response to cellular stresses in cancer cells. Mol. Oncol. 2020, 14, 2288–2312. [Google Scholar] [CrossRef]
- Liu, W.L.; Chang, J.M.; Chong, I.W.; Hung, Y.L.; Chen, Y.H.; Huang, W.T.; Kuo, H.F.; Hsieh, C.C.; Liu, P.L. Curcumin Inhibits LIN-28A through the Activation of miRNA-98 in the Lung Cancer Cell Line A549. Molecules 2017, 22, 929. [Google Scholar] [CrossRef]
- Guo, W.; Hu, Z.; Bao, Y.; Li, Y.; Li, S.; Zheng, Q.; Lyu, D.; Chen, D.; Yu, T.; Li, Y.; et al. A LIN28B Tumor-Specific Transcript in Cancer. Cell Rep. 2018, 22, 2016–2025. [Google Scholar] [CrossRef]
- Tian, N.; Shangguan, W.; Zhou, Z.; Yao, Y.; Fan, C.; Cai, L. Lin28b is involved in curcumin-reversed paclitaxel chemoresistance and associated with poor prognosis in hepatocellular carcinoma. J. Cancer 2019, 10, 6074–6087. [Google Scholar] [CrossRef]
- Hu, Q.; Peng, J.; Liu, W.; He, X.; Cui, L.; Chen, X.; Yang, M.; Liu, H.; Liu, S.; Wang, H. Lin28B is a novel prognostic marker in gastric adenocarcinoma. Int. J. Clin. Exp. Pathol. 2014, 7, 5083–5092. [Google Scholar] [PubMed]
- Hamano, R.; Miyata, H.; Yamasaki, M.; Sugimura, K.; Tanaka, K.; Kurokawa, Y.; Nakajima, K.; Takiguchi, S.; Fujiwara, Y.; Mori, M.; et al. High expression of Lin28 is associated with tumour aggressiveness and poor prognosis of patients in oesophagus cancer. Br. J. Cancer 2012, 106, 1415–1423. [Google Scholar] [CrossRef]
- Cheng, S.W.; Tsai, H.W.; Lin, Y.J.; Cheng, P.N.; Chang, Y.C.; Yen, C.J.; Huang, H.P.; Chuang, Y.P.; Chang, T.T.; Lee, C.T.; et al. Lin28B is an oncofetal circulating cancer stem cell-like marker associated with recurrence of hepatocellular carcinoma. PLoS ONE 2013, 8, e80053. [Google Scholar] [CrossRef] [PubMed]
- Liu, Y.; Li, H.; Feng, J.; Cui, X.; Huang, W.; Li, Y.; Su, F.; Liu, Q.; Zhu, J.; Lv, X.; et al. Lin28 induces epithelial-to-mesenchymal transition and stemness via downregulation of let-7a in breast cancer cells. PLoS ONE 2013, 8, e83083. [Google Scholar] [CrossRef] [PubMed]
- Wang, D.; Zhu, Y.; Wang, Y.; Li, Z.; Yuan, C.; Zhang, W.; Yuan, H.; Ye, J.; Yang, J.; Jiang, H.; et al. The pluripotency factor LIN28B is involved in oral carcinogenesis and associates with tumor aggressiveness and unfavorable prognosis. Cancer Cell Int. 2015, 15, 99. [Google Scholar] [CrossRef]
- Wu, T.; Jia, J.; Xiong, X.; He, H.; Bu, L.; Zhao, Z.; Huang, C.; Zhang, W. Increased expression of Lin28B associates with poor prognosis in patients with oral squamous cell carcinoma. PLoS ONE 2013, 8, e83869. [Google Scholar] [CrossRef]
- Liu, Y.; Wang, D.; Zhou, M.; Chen, H.; Wang, H.; Min, J.; Chen, J.; Wu, S.; Ni, X.; Zhang, Y.; et al. The KRAS/Lin28B axis maintains stemness of pancreatic cancer cells via the let-7i/TET3 pathway. Mol. Oncol. 2021, 15, 262–278. [Google Scholar] [CrossRef] [PubMed]
- Zhang, Y.; Tycko, B. Monoallelic expression of the human H19 gene. Nat. Genet. 1992, 1, 40–44. [Google Scholar] [CrossRef] [PubMed]
- Ren, J.; Fu, J.; Ma, T.; Yan, B.; Gao, R.; An, Z.; Wang, D. LncRNA H19-elevated LIN28B promotes lung cancer progression through sequestering miR-196b. Cell Cycle 2018, 17, 1372–1380. [Google Scholar] [CrossRef] [PubMed]
- Meder, L.; König, K.; Dietlein, F.; Macheleidt, I.; Florin, A.; Ercanoglu, M.S.; Rommerscheidt-Fuss, U.; Koker, M.; Schön, G.; Odenthal, M.; et al. LIN28B enhanced tumorigenesis in an autochthonous KRAS(G12V)-driven lung carcinoma mouse model. Oncogene 2018, 37, 2746–2756. [Google Scholar] [CrossRef]
- Zhang, X.; Li, M.; Sun, G.; Bai, Y.; Lv, D.; Liu, C. MiR-563 restrains cell proliferation via targeting LIN28B in human lung cancer. Thorac. Cancer 2020, 11, 55–61. [Google Scholar] [CrossRef]







| Antibody | Dilution and Incubation Time | Provider | Antigen Retrieval | Positive Control for IHC | Negative Control for IHC |
|---|---|---|---|---|---|
| Anti-OCT4 rabbit polyclonal | 1:100 Overnight | Abcam Inc. Cambridge, UK | Tris/EDTA buffer (pH 9) | Breast carcinoma | Rabbit immunoglobulin fraction (X0936 DAKO, Hamburg, Germany) |
| Anti-LIN28A rabbit polyclonal | 1:100 Overnight | Abcam Inc. Cambridge, UK | Tris/EDTA buffer (pH 9) | Hepatocellular carcinoma | Rabbit immunoglobulin fraction (X0936 DAKO, Hamburg, Germany) |
| Anti-LIN28B rabbit polyclonal | 1:100 Overnight | Abcam Inc. Cambridge, UK | Tris/EDTA buffer (pH 9) | Hepatocellular carcinoma | Rabbit immunoglobulin fraction (X0936 DAKO, Hamburg, Germany) |
| Clinicopathologic Characteristics | N (%) |
|---|---|
| Total | 96 (100) |
| Male | 81 (84.4) |
| Female | 15 (15.6) |
| Age | <65 years 48 >65 years 48 |
| Histology | |
| Solid | 44 (45.8) |
| Lepidic | 9 (9.4) |
| Acinar | 23 (24) |
| Papillary | 7 (7.3) |
| Colloid | 7 (7.3) |
| Enteric | 5 (5.2) |
| Fetal | 1 (1) |
| Stage | |
| I | 31 (32.3) |
| II | 26 (27.1) |
| III | 26 (27.1) |
| IV | 8 (8.3) |
| NA | 5 (5.2) |
| pT stage | |
| T1 | 14 (14.6) |
| T2 | 55 (57.3) |
| T3 | 16 (16.7) |
| T4 | 10 (10.4) |
| NA | 1 (1.0) |
| pN stage | |
| N0 | 37 (38.5) |
| N1 | 33 (34.4) |
| N2 | 20 (20.8) |
| NA | 6 (6.3) |
| OCT4 Nuclear | ||||
|---|---|---|---|---|
| 61 (63.5%) | 4 ± 5 | |||
| Age | <65 | 48 | 4 ± 4 | 0.405 |
| >65 | 48 | 5 ± 7 | ||
| Gender | Male | 81 | 4 ± 6 | 0.879 |
| Female | 15 | 4 ± 4 | ||
| Histological subtype | Solid | 44 | 4 ± 4 | 0.911 |
| Non-solid | 52 | 5 ± 7 | ||
| pT | pT1 | 14 | 4 ± 4 | 0.435 |
| pT2 | 55 | 5 ± 6 | ||
| pT3 | 16 | 4 ± 4 | ||
| pT4 | 10 | 3 ± 3 | ||
| pN | pN0 | 37 | 5 ± 4 | 0.483 |
| pN1 | 33 | 4 ± 7 | ||
| pN2 | 20 | 3 ± 3 | ||
| Stage | 1 | 31 | 4 ± 4 | 0.412 |
| 2 | 26 | 6 ± 9 | ||
| 3 | 26 | 3 ± 3 | ||
| 4 | 8 | 5 ± 6 | ||
| LIN28A | ||||
|---|---|---|---|---|
| 62 (64.5%) | 4 ± 6 | |||
| Age | <65 | 48 | 4 ± 8 | 0.567 |
| >65 | 48 | 3 ± 3 | ||
| Gender | Male | 81 | 3 ± 6 | 0.201 |
| Female | 15 | 5 ± 7 | ||
| Histological subtype | Solid | 44 | 3 ± 3 | 0.987 |
| Non-solid | 52 | 4 ± 7 | ||
| pT | pT1 | 14 | 4 ± 4 | 0.468 |
| pT2 | 55 | 4 ± 6 | ||
| pT3 | 16 | 4 ± 7 | ||
| PT4 | 10 | 3 ± 4 | ||
| pN | pN0 | 37 | 5 ± 8 | 0.098 |
| pN1 | 33 | 4 ± 5 | ||
| pN2 | 20 | 1 ± 2 | ||
| Stage | 1 | 31 | 5 ± 8 | 0.396 |
| 2 | 26 | 3 ± 2 | ||
| 3 | 26 | 3 ± 6 | ||
| 4 | 8 | 2 ± 2 | ||
| LIN28B Nucleus | LIN28B Cytoplasm | ||||||
|---|---|---|---|---|---|---|---|
| Total = 96 | Positive (%) | Mean ± SD | p-Value | Positive (%) | Mean ± SD | p-Value | |
| 68 (70.8%) | 14 ± 24 | 78 (81.3%) | 68 ± 52 | ||||
| Age | <65 | 48 | 14 ± 23 | 0.357 | 48 | 61 ± 50 | 0.423 |
| >65 | 48 | 15 ± 25 | 48 | 76 ± 53 | |||
| Gender | Male | 81 | 15 ± 26 | 0.87 | 81 | 68 ± 51 | 0.759 |
| Female | 15 | 12 ± 11 | 15 | 70 ± 55 | |||
| Histological subtype | Solid | 44 | 15 ± 25 | 0.866 | 44 | 61 ± 50 | 0.034 |
| Non-solid | 52 | 14 ± 23 | 52 | 75 ± 53 | |||
| pT | pT1 | 14 | 30 ± 49 | 0.454 | 14 | 96 ± 57 | 0.879 |
| pT2 | 55 | 12 ± 14 | 55 | 59 ± 45 | |||
| pT3 | 16 | 14 ± 21 | 16 | 75 ± 63 | |||
| pT4 | 10 | 7 ± 10 | 10 | 72 ± 52 | |||
| pN | pN0 | 37 | 16 ± 26 | 0.139 | 37 | 70 ± 57 | 0.059 |
| pN1 | 33 | 14 ± 19 | 33 | 56 ± 42 | |||
| pN2 | 20 | 7 ± 10 | 20 | 79 ± 54 | |||
| Stage | 1 | 31 | 14 ± 25 | 0.095 | 31 | 72 ± 54 | 0.489 |
| 2 | 26 | 17 ± 20 | 26 | 55 ± 46 | |||
| 3 | 26 | 6 ± 9 | 26 | 67 ± 52 | |||
| 4 | 8 | 20 ± 27 | 8 | 84 | |||
Disclaimer/Publisher’s Note: The statements, opinions and data contained in all publications are solely those of the individual author(s) and contributor(s) and not of MDPI and/or the editor(s). MDPI and/or the editor(s) disclaim responsibility for any injury to people or property resulting from any ideas, methods, instructions or products referred to in the content. |
© 2024 by the authors. Licensee MDPI, Basel, Switzerland. This article is an open access article distributed under the terms and conditions of the Creative Commons Attribution (CC BY) license (https://creativecommons.org/licenses/by/4.0/).
Share and Cite
Bosgana, P.; Nikou, S.; Dimitrakopoulos, F.-I.; Bravou, V.; Kalophonos, C.; Kourea, E.; Tzelepi, V.; Zolota, V.; Sampsonas, F. Expression of Pluripotency Factors OCT4 and LIN28 Correlates with Survival Outcome in Lung Adenocarcinoma. Medicina 2024, 60, 870. https://doi.org/10.3390/medicina60060870
Bosgana P, Nikou S, Dimitrakopoulos F-I, Bravou V, Kalophonos C, Kourea E, Tzelepi V, Zolota V, Sampsonas F. Expression of Pluripotency Factors OCT4 and LIN28 Correlates with Survival Outcome in Lung Adenocarcinoma. Medicina. 2024; 60(6):870. https://doi.org/10.3390/medicina60060870
Chicago/Turabian StyleBosgana, Pinelopi, Sophia Nikou, Foteinos-Ioannis Dimitrakopoulos, Vasiliki Bravou, Charalambos Kalophonos, Eleni Kourea, Vasiliki Tzelepi, Vassiliki Zolota, and Fotios Sampsonas. 2024. "Expression of Pluripotency Factors OCT4 and LIN28 Correlates with Survival Outcome in Lung Adenocarcinoma" Medicina 60, no. 6: 870. https://doi.org/10.3390/medicina60060870
APA StyleBosgana, P., Nikou, S., Dimitrakopoulos, F.-I., Bravou, V., Kalophonos, C., Kourea, E., Tzelepi, V., Zolota, V., & Sampsonas, F. (2024). Expression of Pluripotency Factors OCT4 and LIN28 Correlates with Survival Outcome in Lung Adenocarcinoma. Medicina, 60(6), 870. https://doi.org/10.3390/medicina60060870

