New Perspectives in Third Molar Auto-Transplantation: Literature Review and a Case Report of Clinical, Financial and Forensic Implications
Abstract
1. Introduction
2. Materials and Methods
2.1. Scoping Review
2.2. Case Report
3. Results
3.1. Scoping Review
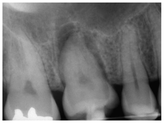
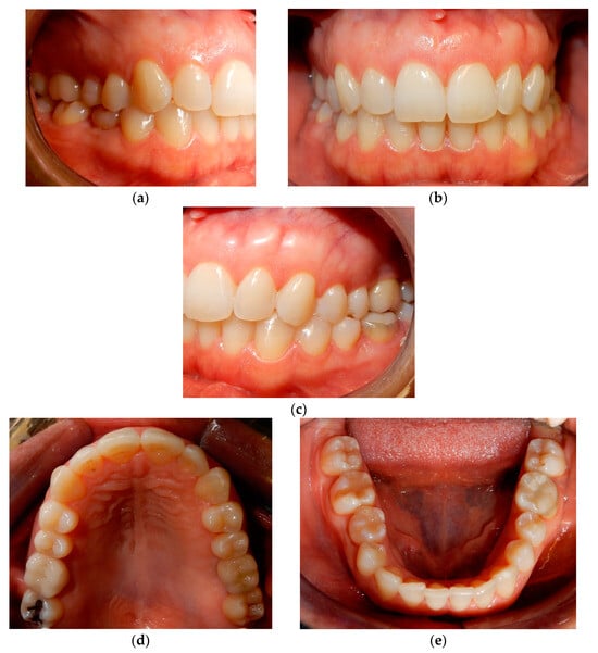
3.2. Case Report
4. Discussion
5. Conclusions
Author Contributions
Funding
Institutional Review Board Statement
Informed Consent Statement
Data Availability Statement
Acknowledgments
Conflicts of Interest
References
- Mark, A.M. Preventing tooth loss. J. Am. Dent. Assoc. 2020, 151, 712. [Google Scholar] [CrossRef]
- Clark, D.; Levin, L. In the dental implant era, why do we still bother saving teeth? Dent. Traumatol. 2019, 35, 368–375. [Google Scholar] [CrossRef]
- Galindo-Moreno, P.; Lopez-Chaichio, L.; Padial-Molina, M.; Avila-Ortiz, G.; O’Valle, F.; Ravida, A.; Catena, A. The impact of tooth loss on cognitive function. Clin. Oral Investig. 2022, 26, 3493–3500. [Google Scholar] [CrossRef]
- Aida, J. Oral Health and Nutrition: Epidemiology, Clinical, and Social Aspects. J. Nutr. Sci. Vitaminol. 2022, 68, S26–S27. [Google Scholar] [CrossRef]
- Vucic, S.; Dhamo, B.; Jaddoe, V.W.V.; Wolvius, E.B.; Ongkosuwito, E.M. Dental development and craniofacial morphology in school-age children. Am. J. Orthod. Dentofacial. Orthop. 2019, 156, 229–237.e4. [Google Scholar] [CrossRef]
- Saber, A.M.; Altoukhi, D.H.; Horaib, M.F.; El-Housseiny, A.A.; Alamoudi, N.M.; Sabbagh, H.J. Consequences of early extraction of compromised first permanent molar: A systematic review. BMC Oral Health 2018, 18, 59. [Google Scholar] [CrossRef]
- Lantto, A.; Lundqvist, R.; Wårdh, I. Tooth Loss and Prosthetic Treatment in Dependent and Functionally Impaired Individuals with Respect to Age and Gender. Int. J. Prosthodont. 2016, 29, 68–70. [Google Scholar] [CrossRef] [PubMed]
- Avila-Ortiz, G.; Gubler, M.; Romero-Bustillos, M.; Nicholas, C.L.; Zimmerman, M.B.; Barwacz, C.A. Efficacy of Alveolar Ridge Preservation: A Randomized Controlled Trial. J. Dent. Res. 2020, 99, 402–409. [Google Scholar] [CrossRef]
- Lantto, A.; Lundqvist, R.; Wårdh, I. Quality of life related to tooth loss and prosthetic replacements among persons with dependency and functional limitations. Acta Odontol. Scand. 2020, 78, 173–180. [Google Scholar] [CrossRef] [PubMed]
- Tan, B.L.; Tong, H.J.; Narashimhan, S.; Banihani, A.; Nazzal, H.; Duggal, M.S. Tooth autotransplantation: An umbrella review. Dent. Traumatol. 2023, 39, 2–29. [Google Scholar] [CrossRef] [PubMed]
- De Freitas Coutinho, N.B.; Nunes, F.C.; Gagno Intra, J.B.; Roldi, A.; de-Jesus-Soares, A.; Coelho, M.S.; Frozoni, M. Success, Survival Rate, and Soft Tissue Esthetic of Tooth Autotransplantation. J. Endod. 2021, 47, 391–396. [Google Scholar] [CrossRef]
- Armstrong, L.; O’Reilly, C.; Ahmed, B. Autotransplantation of third molars: A literature review and preliminary protocols. Br. Dent. J. 2020, 228, 247–251. [Google Scholar] [CrossRef] [PubMed]
- Martin, K.; Nathwani, S.; Bunyan, R. Autotransplantation of teeth: An evidence-based approach. Br. Dent. J. 2018, 224, 861–864. [Google Scholar] [CrossRef] [PubMed]
- Ye, Z.X.; Qian, W.H.; Wu, Y.B.; Yang, C. Pathologies associated with the mandibular third molar impaction. Sci. Prog. 2021, 104, 368504211013247. [Google Scholar] [CrossRef]
- Murphy, I.; Noar, J.; Parekh, S.; Ashley, P. The effect of extraction of the lower first permanent molar on the developing third molar in children. J. Orthod. 2022, 49, 480–487. [Google Scholar] [CrossRef]
- Sifuentes-Cervantes, J.S.; Carrillo-Morales, F.; Castro-Núñez, J.; Cunningham, L.L.; Van Sickels, J.E. Third molar surgery: Past, present, and the future. Oral Surg. Oral Med. Oral Pathol. Oral Radiol. 2021, 132, 523–531. [Google Scholar] [CrossRef] [PubMed]
- Antonelli, A.; Barone, S.; Bennardo, F.; Giudice, A. Three-dimensional facial swelling evaluation of pre-operative single-dose of prednisone in third molar surgery: A split-mouth randomized controlled trial. BMC Oral Health 2023, 23, 614. [Google Scholar] [CrossRef]
- Dioguardi, M.; Quarta, C.; Sovereto, D.; Troiano, G.; Melillo, M.; Di Cosola, M.; Cazzolla, A.P.; Laino, L.; Lo Muzio, L. Autotransplantation of the Third Molar: A Therapeutic Alternative to the Rehabilitation of a Missing Tooth: A Scoping Review. Bioengineering 2021, 8, 120. [Google Scholar] [CrossRef]
- Hounsome, J.; Pilkington, G.; Mahon, J.; Boland, A.; Beale, S.; Kotas, E.; Renton, T.; Dickson, R. Prophylactic removal of impacted mandibular third molars: A systematic review and economic evaluation. Health Technol. Assess. 2020, 24, 1–116. [Google Scholar] [CrossRef]
- Yu, H.J.; Jia, P.; Lv, Z.; Qiu, L.X. Autotransplantation of third molars with completely formed roots into surgically created sockets and fresh extraction sockets: A 10-year comparative study. Int. J. Oral Maxillofac. Surg. 2017, 46, 531–538. [Google Scholar] [CrossRef]
- Rey Lescure, M.; Valente, N.A.; Chatelain, S.; Cinquini, C.; Barone, A. Autotransplantation of Two Immature Third Molars with the Use of L-PRF. Case Rep. Dent. 2021, 2021, 6672711. [Google Scholar] [CrossRef]
- Bilińska, M.; Burzykowski, T.; Plakwicz, P.; Zadurska, M.; Czochrowska, E.M. Availability of Third Molars as Donor Teeth for Autotransplantation to Replace Congenitally Absent Second Premolars in Children and Young Adults. Diagnostics 2023, 13, 1874. [Google Scholar] [CrossRef]
- Pattanshetti, C.; Sankeshwari, B.; Shinde, S.; Kadam, P.; Kadam, H.; Shirkande, A. Clinical Assessment of Immediate Autotransplantation of Mandibular Third Molars: An In Vivo Study. Cureus 2023, 15, e41293. [Google Scholar] [CrossRef]
- Hamasaki, T.; Hagihara, A. Dentists’ Legal Liability and Duty of Explanation in Dental Malpractice Litigation in Japan. Int. Dent. J. 2021, 71, 300–308. [Google Scholar] [CrossRef]
- Ramchandani, J.P.; Cameron, A.; Garg, M.; Newman, L. Can we do it better? Consent in dentoalveolar surgery. Br. J. Oral Maxillofac. Surg. 2023, 61, 628–630. [Google Scholar] [CrossRef]
- WHO (World Health Organization). Global Oral Health Status Report: Towards Universal Health Coverage for Oral Health by 2030. 2022. Available online: https://www.who.int/team/noncommunicable-diseases/global-status-report-on-oral-health-2022/ (accessed on 13 October 2023).
- Peters, M.D.J.; Marnie, C.; Tricco, A.C.; Pollock, D.; Munn, Z.; Alexander, L.; McInerney, P.; Godfrey, C.M.; Khalil, H. Updated methodological guidance for the conduct of scoping reviews. JBI Evid. Synth. 2020, 18, 2119–2126. [Google Scholar] [CrossRef] [PubMed]
- Waikakul, A.; Kasetsuwan, J.; Punwutikorn, J. Response of autotransplanted teeth to electric pulp testing. Oral Surg. Oral Med. Oral Pathol. Oral Radiol. Endod. 2002, 94, 249–255. [Google Scholar] [CrossRef] [PubMed]
- Bauss, O.; Schwestka-Polly, R.; Kiliaridis, S. Influence of orthodontic derotation and extrusion on pulpal and periodontal condition of autotransplanted immature third molars. Am. J. Orthod. Dentofac. Orthop. 2004, 125, 488–496. [Google Scholar] [CrossRef] [PubMed]
- Akkocaoglu, M.; Kasaboglu, O. Success rate of autotransplanted teeth without stabilisation by splints: A long-term clinical and radiological follow-up. Br. J. Oral Maxillofac. Surg. 2005, 43, 31–35. [Google Scholar] [CrossRef] [PubMed]
- Bauss, O.; Zonios, I.; Rahman, A. Root development of immature third molars transplanted to surgically created sockets. J. Oral Maxillofac. Surg. 2008, 66, 1200–1211. [Google Scholar] [CrossRef] [PubMed]
- Bokelund, M.; Andreasen, J.O.; Christensen, S.S.; Kjaer, I. Autotransplantation of maxillary second premolars to mandibular recipient sites where the primary second molars were impacted, predisposes for complications. Acta Odontol. Scand. 2013, 71, 1464–1468. [Google Scholar] [CrossRef] [PubMed]
- Nagori, S.A.; Bhutia, O.; Roychoudhury, A.; Pandey, R.M. Immediate autotransplantation of third molars: An experience of 57 cases. Oral Surg. Oral Med. Oral Pathol. Oral Radiol. 2014, 118, 400–407. [Google Scholar] [CrossRef] [PubMed]
- Tang, H.; Shen, Z.; Hou, M.; Wu, L. Autotransplantation of mature and immature third molars in 23 Chinese patients: A clinical and radiological follow-up study. BMC Oral Health 2017, 17, 163. [Google Scholar] [CrossRef]
- Assad, M.; Alkhaled, M.; Alhajj, M.N. Evaluation of a New Surgical Technique for Closing Oroantral Fistula Using Auto-transplanted Upper Third Molar: A 1-Year Follow-Up Study. J. Maxillofac. Oral Surg. 2018, 17, 84–88. [Google Scholar] [CrossRef]
- Kamata, Y.; Shimizu, T.; Tsunoda, A.; Tamura, T.; Komaki, M.; Kodama, T. Periodontal Tissue Healing After Autologous Tooth Transplantation: A Retrospective Analysis of Case Series. Oral Health Prev. Dent. 2021, 19, 619–626. [Google Scholar] [CrossRef] [PubMed]
- Maddalone, M.; Bianco, E.; Spolnik, K.J.; Mirabelli, L.; Gagliani, M.; Fabbro, M.D. Immediate Autotransplantation of Molars with Closed Apex. J. Contemp. Dent. Pract. 2022, 23, 453–459. [Google Scholar] [CrossRef]
- Moorrees, C.F.; Fanning, E.A.; Hunt, E.E., Jr. Age variation of formation stages for ten permanent teeth. J. Dent. Res. 1963, 42, 1490–1502. [Google Scholar] [CrossRef]
- Tsukiboshi, M.; Andreasen, J.; Asai, Y. Autotransplantation of Teeth; Quintessence Publishing Company: Chicago, IL, USA, 2001; pp. 152–167. [Google Scholar]
- Kim, E.; Jung, J.Y.; Cha, I.H.; Kum, K.Y.; Lee, S.J. Evaluation of the prognosis and causes of failure in 182 cases of autogenous tooth transplantation. Oral Surg. Oral Med. Oral Pathol. Oral Radiol. Endod. 2005, 100, 112–119. [Google Scholar] [CrossRef]
- Selvido, D.I.; Wongsirichat, N.; Arirachakaran, P.; Rokaya, D.; Wongsirichat, N. Surgical Management of Impacted Lower Second Molars: A Comprehensive Review. Eur. J. Dent. 2022, 16, 465–477. [Google Scholar] [CrossRef]
- Cardona, J.L.; Caldera, M.M.; Vera, J. Autotransplantation of a premolar: A long-term follow-up report of a clinical case. J. Endod. 2012, 38, 1149–1152. [Google Scholar] [CrossRef]
- Intra, J.B.; Roldi, A.; Brandão, R.C.; de Araújo Estrela, C.R.; Estrela, C. Autogenous premolar transplantation into artificial socket in maxillary lateral incisor site. J. Endod. 2014, 40, 1885–1890. [Google Scholar] [CrossRef] [PubMed]
- Yu, H.J.; Qiu, L.X.; Wang, X.Z. Long-term follow-up of autogenous canine transplants with application of guided bone regeneration. Int. J. Oral Maxillofac. Surg. 2014, 43, 355–361. [Google Scholar] [CrossRef] [PubMed]
- Dharmani, U.; Rajput, A.; Kamal, C.; Talwar, S.; Verma, M. Successful autotransplantation of a mature mesiodens to replace a traumatized maxillary central incisor. Int. Endod. J. 2015, 48, 619–626. [Google Scholar] [CrossRef] [PubMed]
- Putrino, A.; Marinelli, E.; Zaami, S. The Power of Customized Clear Aligners in Closing Molar Edentulous Spaces: Clinical and Medico-Legal Considerations in a Scoping Review and Case Report. J. Pers. Med. 2023, 13, 1389. [Google Scholar] [CrossRef] [PubMed]
- Melillo, M.; Boschini, L. Autotransplantation of third molar for oro-antral communication closure: Evidence of sinus elevation after healing. Minerva Dent. Oral Sci. 2021, 70, 169–171. [Google Scholar] [CrossRef]
- Verweij, J.P.; Wes, J.T.; van Teeseling, R.A.; Becking, A.G. Pre-autotransplantation alveolar process augmentation and premolar autotransplantation as a treatment method for single tooth replacement in adolescents. Int. J. Oral Maxillofac. Surg. 2021, 50, 1632–1637. [Google Scholar] [CrossRef] [PubMed]
- Al-Khanati, N.M.; Albassal, A.; Kara Beit, Z. Unusual Indications of Teeth Transplantation: A Literature Review. Cureus 2022, 14, e29030. [Google Scholar] [CrossRef]
- Fanghänel, J.; Gedrange, T.; Proff, P. Bone quality, quantity and metabolism in terms of dental implantation. Biomed. Tech. 2008, 53, 215–219. [Google Scholar] [CrossRef]
- Cianferotti, L.; Cipriani, C.; Corbetta, S.; Corona, G.; Defeudis, G.; Lania, A.G.; Messina, C.; Napoli, N.; Mazziotti, G. Bone quality in endocrine diseases: Determinants and clinical relevance. J. Endocrinol. Investig. 2023, 46, 1283–1304. [Google Scholar] [CrossRef]
- Berger, M.B.; Cohen, D.J.; Olivares-Navarrete, R.; Williams, J.K.; Cochran, D.L.; Boyan, B.D.; Schwartz, Z. Human osteoblasts exhibit sexual dimorphism in their response to estrogen on microstructured titanium surfaces. Biol. Sex Differ. 2018, 9, 30. [Google Scholar] [CrossRef]
- Bi, F.; Tang, H.; Zhang, Z.; Lyu, Y.; Huo, F.; Chen, G.; Guo, W. Hertwig’s epithelial root sheath cells show potential for periodontal complex regeneration. J. Periodontol. 2023, 94, 263–276. [Google Scholar] [CrossRef]
- Debortoli, C.; Afota, F.; Lerhe, B.; Fricain, M.; Corazza, A.; Savoldelli, C. Autotransplantation with tooth replica: Technical note. J. Stomatol. Oral Maxillofac. Surg. 2023, 124, 101353. [Google Scholar] [CrossRef] [PubMed]
- Ambrósio, M.F.S.; Cançado, R.P.; Oliveira, B.C.G.; Masioli, M.A.; Cunha, D.L. Dental autotransplantation as a alternative treatment for the loss of permanent anterior teeth in children. Dent. Press J. Orthod. 2022, 27, e22spe4. [Google Scholar] [CrossRef] [PubMed]
- Montanari Vergallo, G.; Zaami, S. Guidelines and best practices: Remarks on the Gelli-Bianco law. Clin. Ter. 2018, 169, e82–e85. [Google Scholar] [CrossRef] [PubMed]
- Dalle Carbonare, M.; Gruber, E.A. Legal changes to informed consent and application to clinical practice in surgery. Med. Leg J. 2023, 6, 258172231184549. [Google Scholar] [CrossRef]
- Glaser, J.; Nouri, S.; Fernandez, A.; Sudore, R.L.; Schillinger, D.; Klein-Fedyshin, M.; Schenker, Y. Interventions to Improve Patient Comprehension in Informed Consent for Medical and Surgical Procedures: An Updated Systematic Review. Med. Decis. Mak. 2020, 40, 119–143. [Google Scholar] [CrossRef]
- Putrino, A.; Bruti, V.; Marinelli, E.; Ciallella, C.; Barbato, E.; Galluccio, G. Intraoral Scanners in Personal Identification of Corpses: Usefulness and Reliability of 3D Technologies in Modern Forensic Dentistry. Open Dent. J. 2020, 14, 255–266. [Google Scholar] [CrossRef]












| Population/Context | Adult and Growing Patients |
|---|---|
| Concept | Biological mechanisms and/or clinical factors that may be involved in forensic implications |
| Context | Third molar auto-transplantation |
| Inclusion Criteria | Exclusion Criteria |
|---|---|
| Inherence with the topic | Non-inherence with the topic |
| English language | Other languages |
| Abstract and full-text reading available | No abstracts and/or full-text reading |
| Randomized and non-randomized clinical studies on humans | In vitro/in vivo studies on animals, case reports/series and reviews |
| Authors/Year | Study Design | Sample Size | Third Molars | Biological Mechanisms and Clinical Factors |
|---|---|---|---|---|
| Waikakul A. et al., 2002 [28] | Retrospective Study | 14 patients (28–53 years) | Stage of development not specified | Mobility within 3 months corresponded to normal bone formation. Bone healing at the recipient sites completely occured within 6 months (50% had lamina dura). There was no significant association between the EPT response and bone formation. |
| Bauss O. et al., 2004 [29] | Clinical Trial | 88 patients (17.3 years) | Immature third molars (stage 3 or 4 of root development) | Orthodontic extrusion and minor lateral movements of auto-transplanted immature third molars, as well as rotation of single-rooted third molar transplants, represent no additional risk to transplant survival. In contrast, rotation of multi-rooted transplants seems to initiate later severance of the vascular and nerval supply to the pulp. |
| Akkocaoglu M. et al., 2005 [30] | Retrospective Study | 78 patients (18–24 years) | Fully developed roots | When the teeth adjacent to the transplanted molar are able to exert indirect friction on it, it remains stable even if mature. |
| Bauss O. et al., 2008 [31] | Comparative Study | 62 patients | Immature third molars (stage 3 or 4 of root development) | Third molars at advanced stages of development showed lower post-operative root development, probably due to damage to Hertwig’s epithelial root sheath during the transplantation procedure. |
| Bokelund M. et al., 2013 [32] | Retrospective Study | 157 patients | Stage of development not specified | Radiographic controls allowed the authors to conclude that there is a high risk of ankylosis when a permanent tooth is transplanted in a recipient site where the primary tooth was in infraposition and permanently missing for agenesis. |
| Nagori SA et al., 2014 [33] | Prospective Study | 57 patients (15–25 years) | Fully or partial developed roots | Open apices allow for pulp revascularization. Proximal grinding of donor teeth is associated with failure. |
| Tang H. et al., 2017 [34] | Retrospective Study | 23 patients (29.6 years) | Fully or partially developed roots (stages 4 and 5 of root development) | Preservation of both the PDL at the recipient site and that attached to the transplanted tooth is essential. Physiological saline solution and extra oral time less than 18 min influence PDL vitality. |
| Assad M. et al., 2018 [35] | Observational Study | 20 patients (20–40 years) | Immature third molars (stage 3 or 4 of root development) | Auto-transplanted third molars can provide bone deposition for sinus borders and closing of the oro-antral fistula. |
| Kamata Y. et al., 2021 [36] | Retrospective Study | 14 patients (28–53 years) | Fully developed roots | Periodontal healing parameters (PPD, CAL and KGW) values after 6 and 12 months allow for consideration of safe auto-transplantation even in the presence of complete root development in the third molars. |
| Maddalone M. et al., 2022 [37] | Observational Study | 60 patients | Fully developed roots | Outcomes are influenced by accurate care of the periodontal ligament after extraction, proper stabilization and a depth of probing less than 4 mm in the first year. |
Disclaimer/Publisher’s Note: The statements, opinions and data contained in all publications are solely those of the individual author(s) and contributor(s) and not of MDPI and/or the editor(s). MDPI and/or the editor(s) disclaim responsibility for any injury to people or property resulting from any ideas, methods, instructions or products referred to in the content. |
© 2024 by the authors. Licensee MDPI, Basel, Switzerland. This article is an open access article distributed under the terms and conditions of the Creative Commons Attribution (CC BY) license (https://creativecommons.org/licenses/by/4.0/).
Share and Cite
Putrino, A.; Marinelli, E.; Agrillo, A.; Zaami, S. New Perspectives in Third Molar Auto-Transplantation: Literature Review and a Case Report of Clinical, Financial and Forensic Implications. Medicina 2024, 60, 473. https://doi.org/10.3390/medicina60030473
Putrino A, Marinelli E, Agrillo A, Zaami S. New Perspectives in Third Molar Auto-Transplantation: Literature Review and a Case Report of Clinical, Financial and Forensic Implications. Medicina. 2024; 60(3):473. https://doi.org/10.3390/medicina60030473
Chicago/Turabian StylePutrino, Alessandra, Enrico Marinelli, Alessandro Agrillo, and Simona Zaami. 2024. "New Perspectives in Third Molar Auto-Transplantation: Literature Review and a Case Report of Clinical, Financial and Forensic Implications" Medicina 60, no. 3: 473. https://doi.org/10.3390/medicina60030473
APA StylePutrino, A., Marinelli, E., Agrillo, A., & Zaami, S. (2024). New Perspectives in Third Molar Auto-Transplantation: Literature Review and a Case Report of Clinical, Financial and Forensic Implications. Medicina, 60(3), 473. https://doi.org/10.3390/medicina60030473

