Endovascular Treatment of Traumatic Vascular Injuries in the Head and Neck Region
Abstract
1. Introduction
2. Materials and Methods
2.1. Patients
2.2. Angiographic Procedures
3. Results
3.1. Causes of Vascular Injury
3.2. Injured Vessels
3.3. Angiographic Results
3.4. Carotid Artery Injury
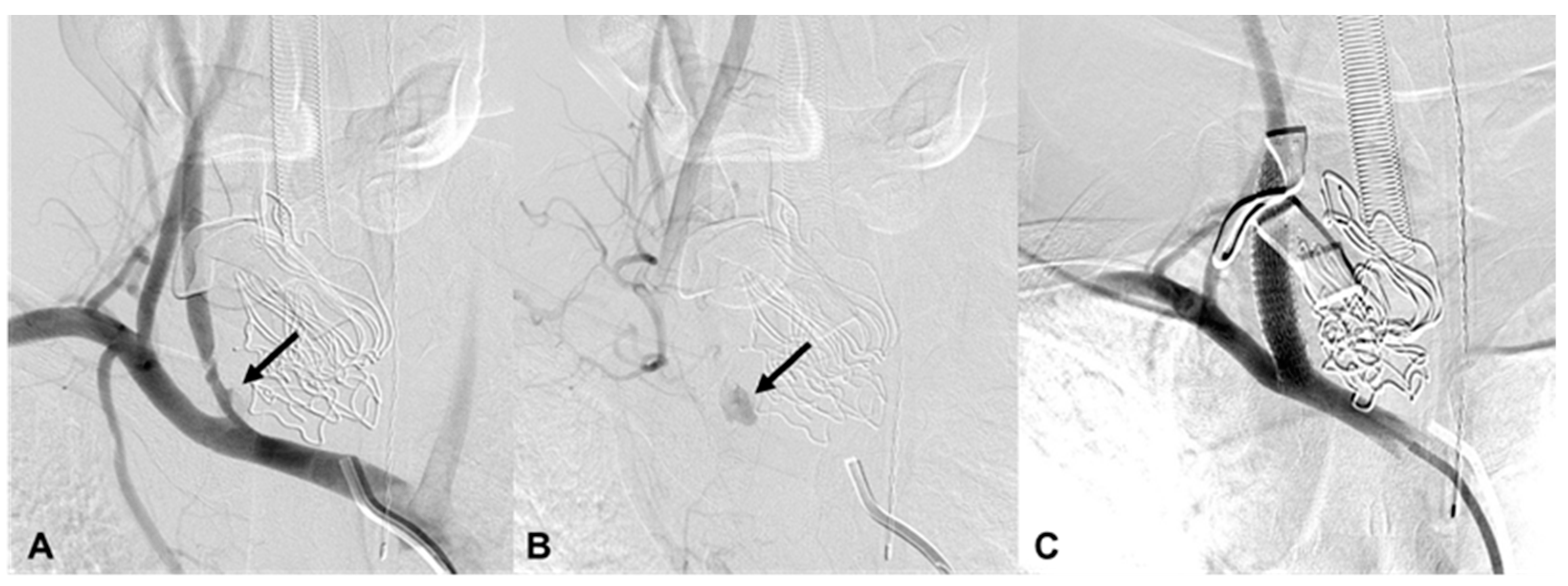
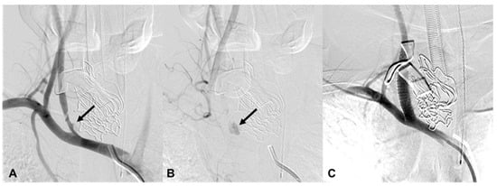
3.5. Vertebral Artery Injury
3.6. Complications
4. Discussion
5. Conclusions
Author Contributions
Funding
Institutional Review Board Statement
Informed Consent Statement
Data Availability Statement
Conflicts of Interest
References
- Rodriguez, A.; Nunez, L.; Riascos, R. Vascular injuries in head and neck trauma. Radiol. Clin. N. Am. 2023, 61, 467–477. [Google Scholar] [CrossRef]
- Bounajem, M.T.; McNally, J.S.; Baker, C.; Colby, S.; Grandhi, R. Emergent neurovascular imaging in patients with blunt traumatic injuries. Front. Radiol. 2022, 2, 1001114. [Google Scholar] [CrossRef]
- Diaz-Daza, O.; Arraiza, F.J.; Barkley, J.M.; Whigham, C.J. Endovascular therapy of traumatic vascular lesions of the head and neck. Cardiovasc. Intervent. Radiol. 2003, 26, 213–221. [Google Scholar] [CrossRef]
- Patel, J.; Huynh, T.J.; Rao, D.; Brzezicki, G. Vascular trauma in the head and neck and endovascular neurointerventional management. J. Clin. Imaging Sci. 2020, 10, 44. [Google Scholar] [CrossRef]
- Kim, M.; Subah, G.; Cooper, J.; Fortunato, M.; Nolan, B.; Bowers, C.; Prabhakaran, K.; Nuoman, R.; Amuluru, K.; Soldozy, S.; et al. Neuroendovascular surgery applications in craniocervical trauma. Biomedicines 2023, 11, 2409. [Google Scholar] [CrossRef]
- Glaser, J.D.; Kalapatapu, V.R. Endovascular therapy of vascular trauma-current options and review of the literature. Vasc. Endovasc. Surg. 2019, 53, 477–487. [Google Scholar] [CrossRef]
- Starnes, B.W.; Arthurs, Z.M. Endovascular management of vascular trauma. Perspect. Vasc. Surg. Endovasc. Ther. 2006, 18, 114–129. [Google Scholar] [CrossRef]
- Higashida, R.T.; Halbach, V.V.; Tsai, F.Y.; Norman, D.; Pribram, H.F.; Mehringer, C.M.; Hieshima, G.B. Interventional neurovascular treatment of traumatic carotid and vertebral artery lesions: Results in 234 cases. Am. J. Roentgenol. 1989, 153, 577–582. [Google Scholar] [CrossRef] [PubMed]
- Gao, P.; Qi, J.; Wang, M.; Li, G.; Yang, L.; Dong, D.; Wu, X. Endovascular treatment of extracranial carotid artery aneurysms using self-expandable covered stent grafts: A single center retrospective study. Vascular 2022, 30, 14–20. [Google Scholar] [CrossRef] [PubMed]
- Liu, C.; Shen, Y.; Qian, K.; Hu, Y.; Hu, X.; Wu, X. Application of covered stent graft in the treatment of complex carotid artery lesions: A single center experience. Vascular 2022, 30, 1034–1043. [Google Scholar] [CrossRef] [PubMed]
- Flynn, S.; Roderick, E.; Lane, J.; Barleben, A. Initial results of selected use of covered stents in transcarotid artery revascularization. Ann. Vasc. Surg. 2020, 68, 22–27. [Google Scholar] [CrossRef]
- Wang, K.; Peng, X.X.; Liu, A.F.; Zhang, Y.Y.; Lv, J.; Xiang, L.; Liu, Y.E.; Jiang, W.J. Covered stenting is an effective option for traumatic carotid pseudoaneurysm with promising long-term outcome. J. Korean Neurosurg. Soc. 2020, 63, 590–597. [Google Scholar] [CrossRef]
- Choi, H.C.; Park, S.E.; Choi, D.S.; Shin, H.S.; Kim, J.E.; Choi, H.Y.; Park, M.J.; Koh, E.H. Ruptured extracranial carotid artery: Endovascular treatment with covered stent graft. J. Neuroradiol. 2018, 45, 217–223. [Google Scholar] [CrossRef]
- Wu, Y.G.; Wang, B.; Cui, H.; Zhu, H.; Gao, G. Application of the Willis covered stent in the treatment of complex vascular diseases of the internal carotid artery and vertebral artery: A retrospective single-center experience. Ther. Clin. Risk Manag. 2023, 19, 773–782. [Google Scholar] [CrossRef]
- Tanburoglu, A.; Andic, C. Endovascular treatment of vascular injuries in the craniocervical region with a graft stent: A single-center experience. Cureus 2023, 15, e47323. [Google Scholar] [CrossRef]
- Jeong, S.H.; Lee, J.H.; Choi, H.J.; Kim, B.C.; Yu, S.H.; Lee, J.I. First line treatment of traumatic carotid cavernous fistulas using covered stents at level 1 regional trauma center. J. Korean Neurosurg. Soc. 2021, 64, 818–826. [Google Scholar] [CrossRef]
- Gomez, F.; Escobar, W.; Gomez, A.M.; Gomez, J.F.; Anaya, C.A. Treatment of carotid cavernous fistulas using covered stents: Midterm results in seven patients. Am. J. Neuroradiol. 2007, 28, 1762–1768. [Google Scholar] [CrossRef] [PubMed]
- Li, K.; Cho, Y.D.; Kim, K.M.; Kang, H.S.; Kim, J.E.; Han, M.H. Covered stents for the endovascular treatment of a direct carotid cavernous fistula: Single center experiences with 10 cases. J. Korean Neurosurg. Soc. 2015, 57, 12–18. [Google Scholar] [CrossRef]
- Lee, Y.J.; Ahn, J.Y.; Han, I.B.; Chung, Y.S.; Hong, C.K.; Joo, J.Y. Therapeutic endovascular treatments for traumatic vertebral artery injuries. J. Trauma. 2007, 62, 886–891. [Google Scholar] [CrossRef] [PubMed]
- Gigliotti, M.J.; Savaliya, S.; Schlauderaff, A.; Kelleher, J.P.; Cockroft, K.M. Self-expanding covered stent placement to treat a pseudoaneurysm caused by iatrogenic vertebral artery injury. J. Cerebrovasc. Endovasc. Neurosurg. 2021, 23, 266–271. [Google Scholar] [CrossRef] [PubMed]
- Carrillo-Martínez, M.Á.; Garza García, G.A.; Leal Jacinto, J.M. Iatrogenic left vertebral artery pseudoaneurysm treated with a covered stent. BJR Case Rep. 2020, 6, 20190051. [Google Scholar] [CrossRef] [PubMed]
- Tiewei, Q.; Ali, A.; Guo, S.; Liang, F.; Shi, Z.; Li, X.; Huang, Z. Carotid cavernous fistulas treated by endovascular covered stent grafts with follow-up results. Br. J. Neurosurg. 2010, 24, 435–440. [Google Scholar] [CrossRef] [PubMed]





| PTs | Age/Sex | Cause | Presentation | CT Findings | DSA Findings | Treatment | Clinical Course |
|---|---|---|---|---|---|---|---|
| 1 | 73/M | Fall | Neck swelling | EV, visceral space | EV, L inferior thyroid | NA | NA |
| 2 | 80/F | Fall | Neck swelling | PA, R posterior thyroid | PA, R VA (V2) | bStent | Stable 717 d F/U |
| 3 | 46/M | Fall | Epistaxis and oral bleeding | Le fort II fracture | EV, L IMA branch | Coil | Stable 260 d F/U |
| 4 | 57/M | Fall | Bleeding | Facial and sphenoid bone fracture | EV, L IMA branch | Particle | Stable 4 d F/U |
| 5 | 39/M | Fall | Epistaxis | Facial and sphenoid bone fracture | EV, R IMA branch EV, R cavernous ICA (CCF) | Coil, particle | Stable 39 d F/U |
| 6 | 51/F | TA | Epistaxis and oral bleeding | Le fort I fracture | EV, R petrous ICA EV, R ascending pharyngeal | cStent, coil | Stable 423 d F/U |
| 7 | 62/M | TA | Epistaxis | Organizing hematoma, L maxillary sinus | EV, L IMA branch | Coil, glue | Death 911 d d/t esophageal cancer |
| 8 | 80/F | TA | Massive oral bleeding | Le fort II fracture | EV, L IMA branch EV, both facial | Particle, coil | Stable 651 d F/U |
| 9 | 61/M | TA | Epistaxis | Le fort II fracture | EV, L IMA branch | Coil | Stable 548 d F/U |
| 10 | 25/M | Blunt | Ear bleeding | Hematoma, retropharyngeal space | EV, L VA (V2) | bStent, coil | Brain death 12 d |
| 11 | 64/M | Blunt | Epistaxis and oral bleeding | Le fort II fracture | EV, R IMA branch | Coil | Transferred and lost F/U |
| 12 | 47/M | Stab | Arrest | R CCA-IJV fistula | EV, R distal CCA | cStent | Death 12 h d/t hypovolemic shock |
| 13 | 53/F | Stab | Bleeding | Hematoma, L neck | EV, L VA (V2) | Coil, bStent | Stable 1416 d F/U |
| 14 | 22/F | Stab | Bleeding | PA, L lingual | PA, L lingual | Coil | Stable 190 d F/U |
| 15 | 34/F | Stab | Bleeding | EV, R ICA | EV, R cervical ICA | cStent | Stable 45 d F/U |
| 16 | 32/M | Iatrogenic | Massive bleeding during surgery | NA | EV, R proximal CCA | cStent | Stable 2344 d F/U |
| 17 | 26/M | Iatrogenic | Epistaxis | Normal | EV, R IMA branch | Particle | Stable 102 d F/U |
| 18 | 58/M | Iatrogenic | Oral bleeding | NA | EV, L cervical ICA | cStent | Death 354 d d/t pneumonia |
| 19 | 48/M | Iatrogenic | Epistaxis | NA | EV, L IMA branch | Particle, coil | Stable 2971 d F/U |
| 20 | 34/M | Iatrogenic | Epistaxis | NA | EV, L IMA branch | Particle | Stable 26 d F/U |
| 21 | 23/M | Iatrogenic | Epistaxis | NA | EV, L IMA branch | Coil | Stable 246 d F/U |
Disclaimer/Publisher’s Note: The statements, opinions and data contained in all publications are solely those of the individual author(s) and contributor(s) and not of MDPI and/or the editor(s). MDPI and/or the editor(s) disclaim responsibility for any injury to people or property resulting from any ideas, methods, instructions or products referred to in the content. |
© 2024 by the authors. Licensee MDPI, Basel, Switzerland. This article is an open access article distributed under the terms and conditions of the Creative Commons Attribution (CC BY) license (https://creativecommons.org/licenses/by/4.0/).
Share and Cite
Koh, D.H.; Choi, H.C.; Shin, H.S.; Baek, H.J.; Koh, E.H.; Park, M.J.; Choi, D.S. Endovascular Treatment of Traumatic Vascular Injuries in the Head and Neck Region. Medicina 2024, 60, 269. https://doi.org/10.3390/medicina60020269
Koh DH, Choi HC, Shin HS, Baek HJ, Koh EH, Park MJ, Choi DS. Endovascular Treatment of Traumatic Vascular Injuries in the Head and Neck Region. Medicina. 2024; 60(2):269. https://doi.org/10.3390/medicina60020269
Chicago/Turabian StyleKoh, Dong Hyun, Ho Cheol Choi, Hwa Seon Shin, Hye Jin Baek, Eun Ha Koh, Mi Jung Park, and Dae Seob Choi. 2024. "Endovascular Treatment of Traumatic Vascular Injuries in the Head and Neck Region" Medicina 60, no. 2: 269. https://doi.org/10.3390/medicina60020269
APA StyleKoh, D. H., Choi, H. C., Shin, H. S., Baek, H. J., Koh, E. H., Park, M. J., & Choi, D. S. (2024). Endovascular Treatment of Traumatic Vascular Injuries in the Head and Neck Region. Medicina, 60(2), 269. https://doi.org/10.3390/medicina60020269

