Two-Step Surgical Strategy for Parathyroid Carcinoma: A Single-Center Experience
Abstract
1. Introduction
2. Materials and Methods
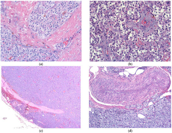
3. Results
4. Discussion
5. Conclusions
Author Contributions
Funding
Institutional Review Board Statement
Informed Consent Statement
Data Availability Statement
Conflicts of Interest
References
- Dudney, W.C.; Bodenner, D.; Stack, B.C. Parathyroid carcinoma. Otolaryngol. Clin. N. Am. 2010, 43, 441–453. [Google Scholar] [CrossRef] [PubMed]
- Roser, P.; Leca, B.M.; Coelho, C.; Schulte, K.-M.; Gilbert, J.; E Drakou, E.; Kosmas, C.; Chuah, L.L.; Wassati, H.; Miras, A.D.; et al. Diagnosis and management of parathyroid carcinoma: A state-of-the-art review. Endocr. Relat. Cancer 2023, 30, e220287. [Google Scholar] [CrossRef] [PubMed]
- Marini, F.; Giusti, F.; Palmini, G.; Perigli, G.; Santoro, R.; Brandi, M.L. Genetics and Epigenetics of Parathyroid Carcinoma. Front. Endocrinol. 2022, 13, 834362. [Google Scholar] [CrossRef] [PubMed]
- Kartini, D.; Kurnia, A.; Yulian, E.D.; Panigoro, S.S.; Wibisana, I.G.N.G.; Wardana, J. Case series of diagnosis and surgery challenges in parathyroid carcinoma. Int. J. Surg. Case Rep. 2022, 97, 107390. [Google Scholar] [CrossRef] [PubMed]
- Salcuni, A.S.; Cetani, F.; Guarnieri, V.; Nicastro, V.; Romagnoli, E.; de Martino, D.; Scillitani, A.; Cole, D.E.C. Parathyroid carcinoma. Best Pract. Res. Clin. Endocrinol. Metab. 2018, 32, 877–889. [Google Scholar] [CrossRef] [PubMed]
- Cheah, W.K.; Rauff, A.; Lee, K.O.; Tan, W. Parathyroid carcinoma: A case series. Ann. Acad. Med. 2005, 34, 443–446. [Google Scholar] [CrossRef]
- Fingeret, A.L. Contemporary Evaluation and Management of Parathyroid Carcinoma. JCO Oncol. Pract. 2021, 17, 17–21. [Google Scholar] [CrossRef] [PubMed]
- Cetani, F.; Pardi, E.; Banti, C.; Borsari, S.; Ambrogini, E.; Vignali, E.; Cianferotti, L.; Viccica, G.; Pinchera, A.; Marcocci, C. HRPT2 gene analysis and the diagnosis of parathyroid carcinoma. Expert. Rev. Endocrinol. Metab. 2008, 3, 377–389. [Google Scholar] [CrossRef] [PubMed]
- Medas, F.; Erdas, E.; Loi, G.; Podda, F.; Pisano, G.; Nicolosi, A.; Calò, P.G. Controversies in the management of parathyroid carcinoma: A case series and review of the literature. Int. J. Surg. 2016, 28 (Suppl. S1), S94–S98. [Google Scholar] [CrossRef] [PubMed]
- Lee, P.K.; Jarosek, S.L.; Virnig, B.A.; Evasovich, M.; Tuttle, T.M. Trends in the incidence and treatment of parathyroid cancer in the United States. Cancer 2007, 109, 1736–1741. [Google Scholar] [CrossRef] [PubMed]
- Levin, K.E.; Galante, M.; Clark, O.H. Parathyroid carcinoma versus parathyroid adenoma in patients with profound hypercalcemia. Surgery 1987, 101, 649–660. [Google Scholar] [PubMed]
- Hara, H.; Igarashi, A.; Yano, Y.; Yashiro, T.; Ueno, E.; Aiyoshi, Y.; Ito, K.; Obara, T. Ultrasonographic features of parathyroid carcinoma. Endocr. J. 2001, 48, 213–217. [Google Scholar] [CrossRef] [PubMed]
- Cao, J.; Chen, C.; Wang, Q.L.; Xu, J.J.; Ge, M.H. Parathyroid carcinoma: A report of six cases with a brief review of the literature. Oncol. Lett. 2015, 10, 3363–3368. [Google Scholar] [CrossRef] [PubMed]
- Harari, A.; Waring, A.; Fernandez-Ranvier, G.; Hwang, J.; Suh, I.; Mitmaker, E.; Shen, W.; Gosnell, J.; Duh, Q.-Y.; Clark, O. Parathyroid carcinoma: A 43-year outcome and survival analysis. J. Clin. Endocrinol. Metab. 2011, 96, 3679–3686. [Google Scholar] [CrossRef] [PubMed]
- O’neill, C.J.; Chan, C.; Symons, J.; Learoyd, D.L.; Sidhu, S.B.; Delbridge, L.W.; Gill, A.; Sywak, M.S. Parathyroid carcinoma encountered after minimally invasive focused parathyroidectomy may not require further radical surgery. World J. Surg. 2011, 35, 147–153. [Google Scholar] [CrossRef] [PubMed]
- Young, S.; Wu, J.X.; Li, N.; Yeh, M.W.; Livhits, M.J. More Extensive Surgery May Not Improve Survival Over Parathyroidectomy Alone in Parathyroid Carcinoma. Ann. Surg. Oncol. 2016, 23, 2898–2904. [Google Scholar] [CrossRef] [PubMed]
- Xue, S.; Chen, H.; Lv, C.; Shen, X.; Ding, J.; Liu, J.; Chen, X. Preoperative diagnosis and prognosis in 40 Parathyroid Carcinoma Patients. Clin. Endocrinol. 2016, 85, 29–36. [Google Scholar] [CrossRef] [PubMed]
- Leonard-Murali, S.; Ivanics, T.; Kwon, D.S.; Han, X.; Steffes, C.P.; Shah, R. Local resection versus radical surgery for parathyroid carcinoma: A National Cancer Database analysis. Eur. J. Surg. Oncol. 2021, 47, 2768–2773. [Google Scholar] [CrossRef] [PubMed]
- Adam, M.A.; Untch, B.R.; Olson, J.A. Parathyroid carcinoma: Current understanding and new insights into gene expression and intraoperative parathyroid hormone kinetics. Oncologist 2010, 15, 61–72. [Google Scholar] [CrossRef] [PubMed]
- Kebebew, E.; Arici, C.; Duh, Q.Y.; Clark, O.H. Localization and reoperation results for persistent and recurrent parathyroid carcinoma. Arch. Surg. 2001, 136, 878–885. [Google Scholar] [CrossRef] [PubMed]



| Patient 1 | Patient 2 | Patient 3 | Patient 4 | |
|---|---|---|---|---|
| Age (years), Gender | 73 M | 54 M | 65 M | 74 M |
| Presentation | Palpable neck mass | Palpable neck mass, nephrolithiasis | Palpable neck mass | Palpable neck mass |
| Serum calcium | 15 mg/dL | 11.6 mg/dL | 11.8 mg/dL | 14.8 mg/dL |
| Intact PTH (iPTH) | 1367.3 pg/mL | 126.0 pg/mL | 452.0 pg/mL | 538.5 pg/mL |
| US diameters (mm) | 13 × 15 × 14 | 13 × 23 × 25 | 15 × 16 × 20 | 22 × 17 × 14 |
| MIBI scan | + | + | + | + |
| Thyroid | Normal | Normal | Normal | Normal |
| Operation | R inferior PTX | R inferior PTX | R inferior PTX | L inferior PTX |
| Histology | PC | PC | PC | PC |
| Invasion | Capsule | Capsule | Capsule, RLN | Capsule |
| Ki-67 proliferation index (%) | 6 | 12 | 4 | 4 |
| R1 | Yes | Yes | Yes | Yes |
| Revision surgery a | Yes | Yes | Yes | Yes |
| Lymph node metastasis | N0 | N0 | N0 | N0 |
| Complications | No | No | RLN neurotomy, RLN palsy | No |
| Thyroid parenchyma | NED | NED | NED | NED |
| Final diagnosis | pT1, pN0 pM | pT1, pN0 pM | pT1, pN0 pM | pT1, pN0 pM |
| IO PTH dropping at 20’ (%) | 80 | 48 | 96 | |
| POM calcium results | 9.4 mg/dL | 9.6 mg/dL | 9.1 mg/dL | 9.6 mg/dL |
| POM PTH results | 81 pg/mL | 71 pg/mL | 59 pg/mL | 53 pg/mL |
| 2y FU (PTH- + Ca-Levels + US) | NED | NED | NED | NED |
Disclaimer/Publisher’s Note: The statements, opinions and data contained in all publications are solely those of the individual author(s) and contributor(s) and not of MDPI and/or the editor(s). MDPI and/or the editor(s) disclaim responsibility for any injury to people or property resulting from any ideas, methods, instructions or products referred to in the content. |
© 2024 by the authors. Published by MDPI on behalf of the Lithuanian University of Health Sciences. Licensee MDPI, Basel, Switzerland. This article is an open access article distributed under the terms and conditions of the Creative Commons Attribution (CC BY) license (https://creativecommons.org/licenses/by/4.0/).
Share and Cite
Longo, F.; Sarubbi, A.; Palladino, C.; Palermo, A.; Naciu, A.M.; Crescenzi, A.; Taffon, C.; Tabacco, G.; Frasca, L.; Crucitti, P. Two-Step Surgical Strategy for Parathyroid Carcinoma: A Single-Center Experience. Medicina 2024, 60, 2054. https://doi.org/10.3390/medicina60122054
Longo F, Sarubbi A, Palladino C, Palermo A, Naciu AM, Crescenzi A, Taffon C, Tabacco G, Frasca L, Crucitti P. Two-Step Surgical Strategy for Parathyroid Carcinoma: A Single-Center Experience. Medicina. 2024; 60(12):2054. https://doi.org/10.3390/medicina60122054
Chicago/Turabian StyleLongo, Filippo, Antonio Sarubbi, Claudia Palladino, Andrea Palermo, Anda Mihaela Naciu, Anna Crescenzi, Chiara Taffon, Gaia Tabacco, Luca Frasca, and Pierfilippo Crucitti. 2024. "Two-Step Surgical Strategy for Parathyroid Carcinoma: A Single-Center Experience" Medicina 60, no. 12: 2054. https://doi.org/10.3390/medicina60122054
APA StyleLongo, F., Sarubbi, A., Palladino, C., Palermo, A., Naciu, A. M., Crescenzi, A., Taffon, C., Tabacco, G., Frasca, L., & Crucitti, P. (2024). Two-Step Surgical Strategy for Parathyroid Carcinoma: A Single-Center Experience. Medicina, 60(12), 2054. https://doi.org/10.3390/medicina60122054

