Effects of Cerium Oxide on Kidney and Liver Tissue Damage in an Experimental Myocardial Ischemia-Reperfusion Model of Distant Organ Damage
Abstract
1. Introduction
2. Materials and Methods
2.1. Experimental Protocol
2.2. Histopathological Analysis
2.3. Liver
2.4. Kidney
2.5. Homogenization of Tissues/Measurements of TOS/TAS
2.6. Serum Alanine Aminotransaminase (ALT), Aspartate Aminotransferase (AST), Gamma-Glutamyl Transferase (GGT), Glucose Levels
2.7. Statistical Analysis
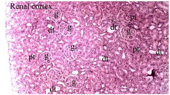
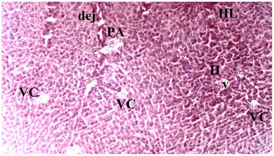
3. Results
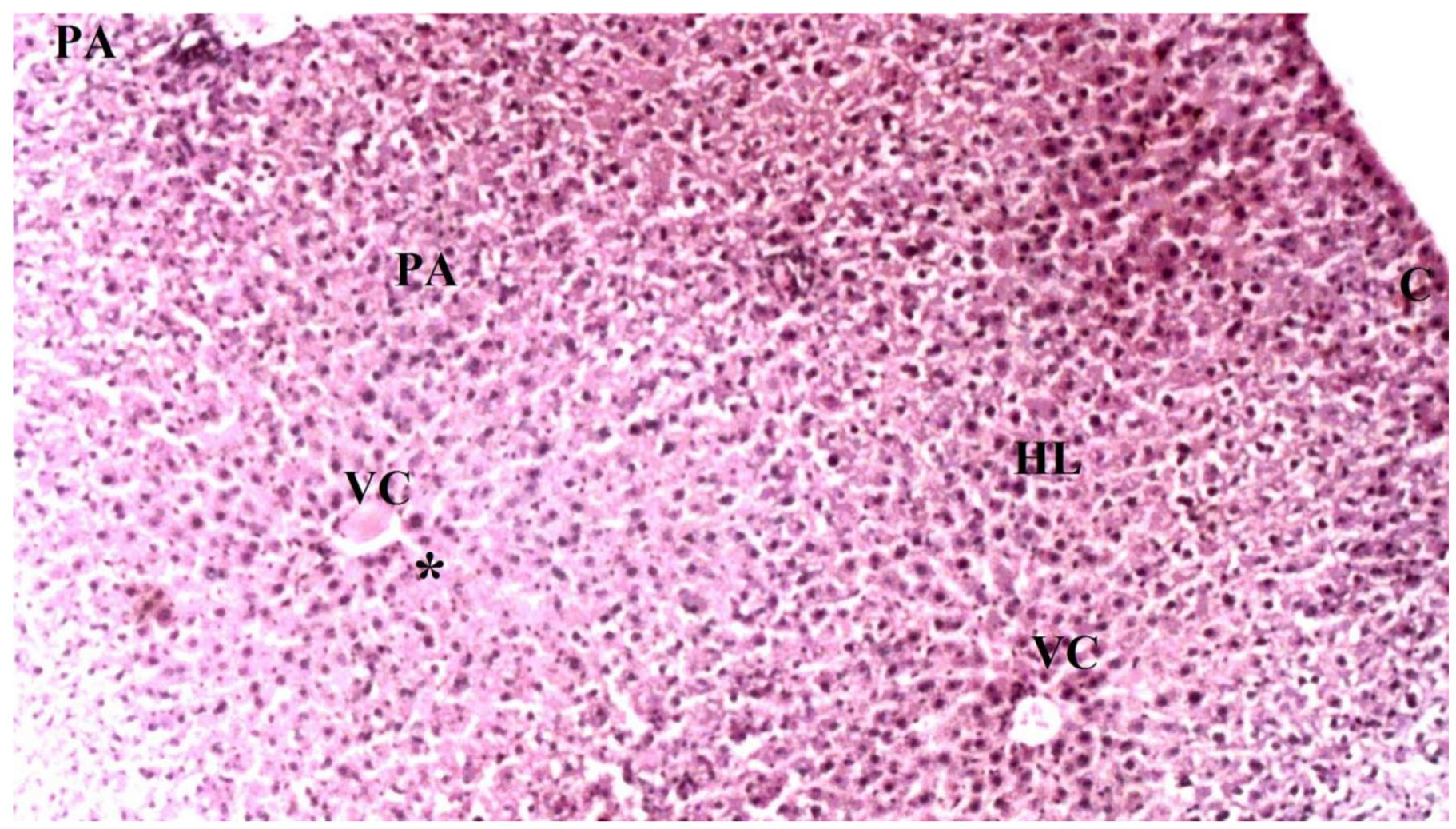
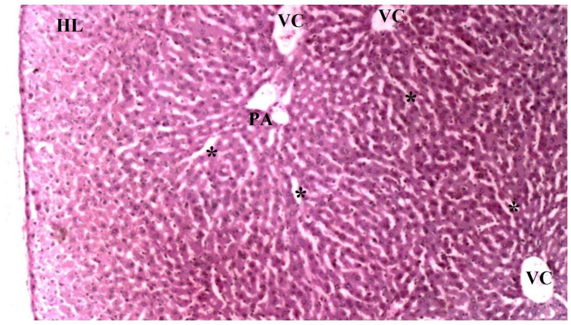
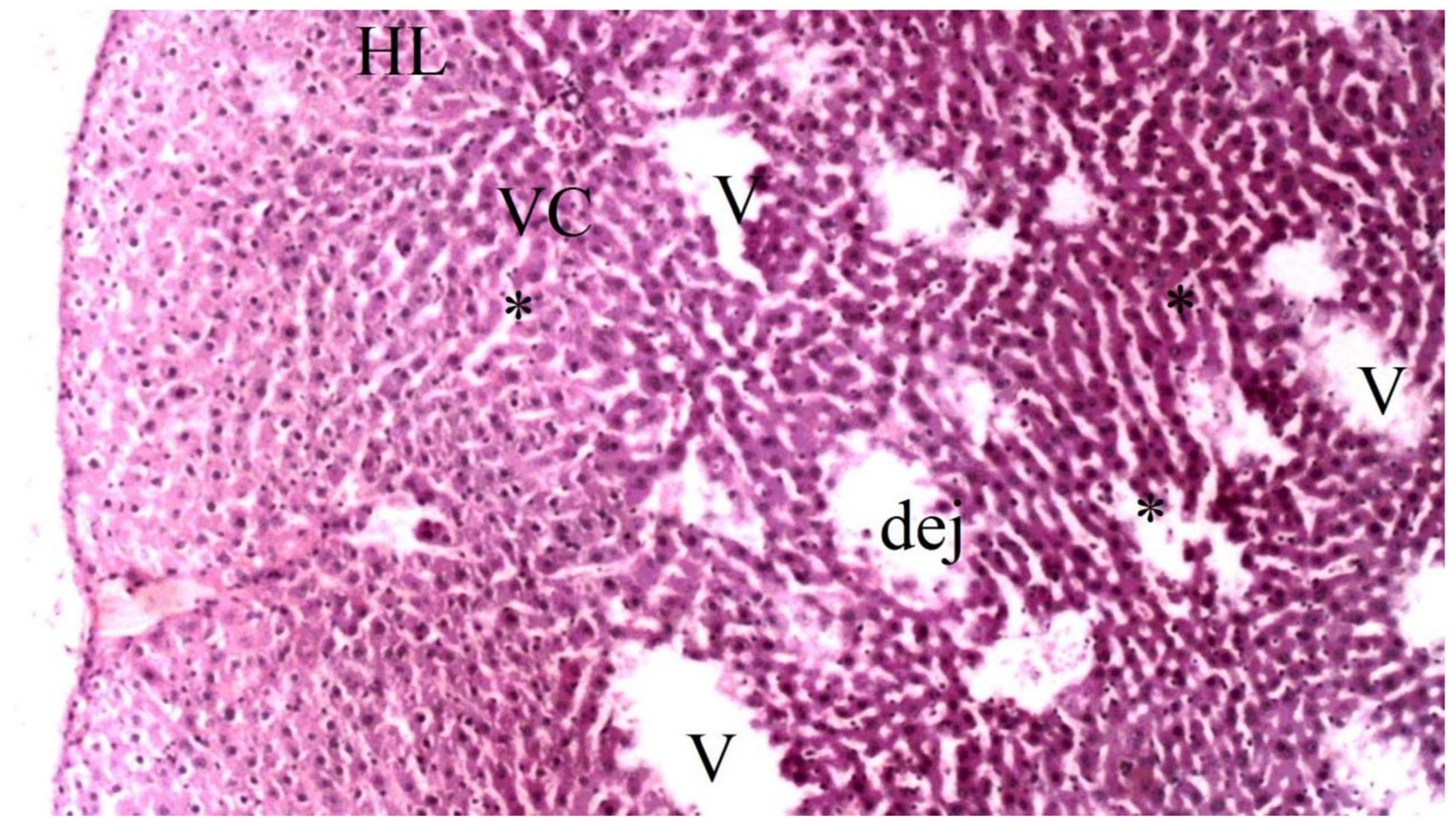
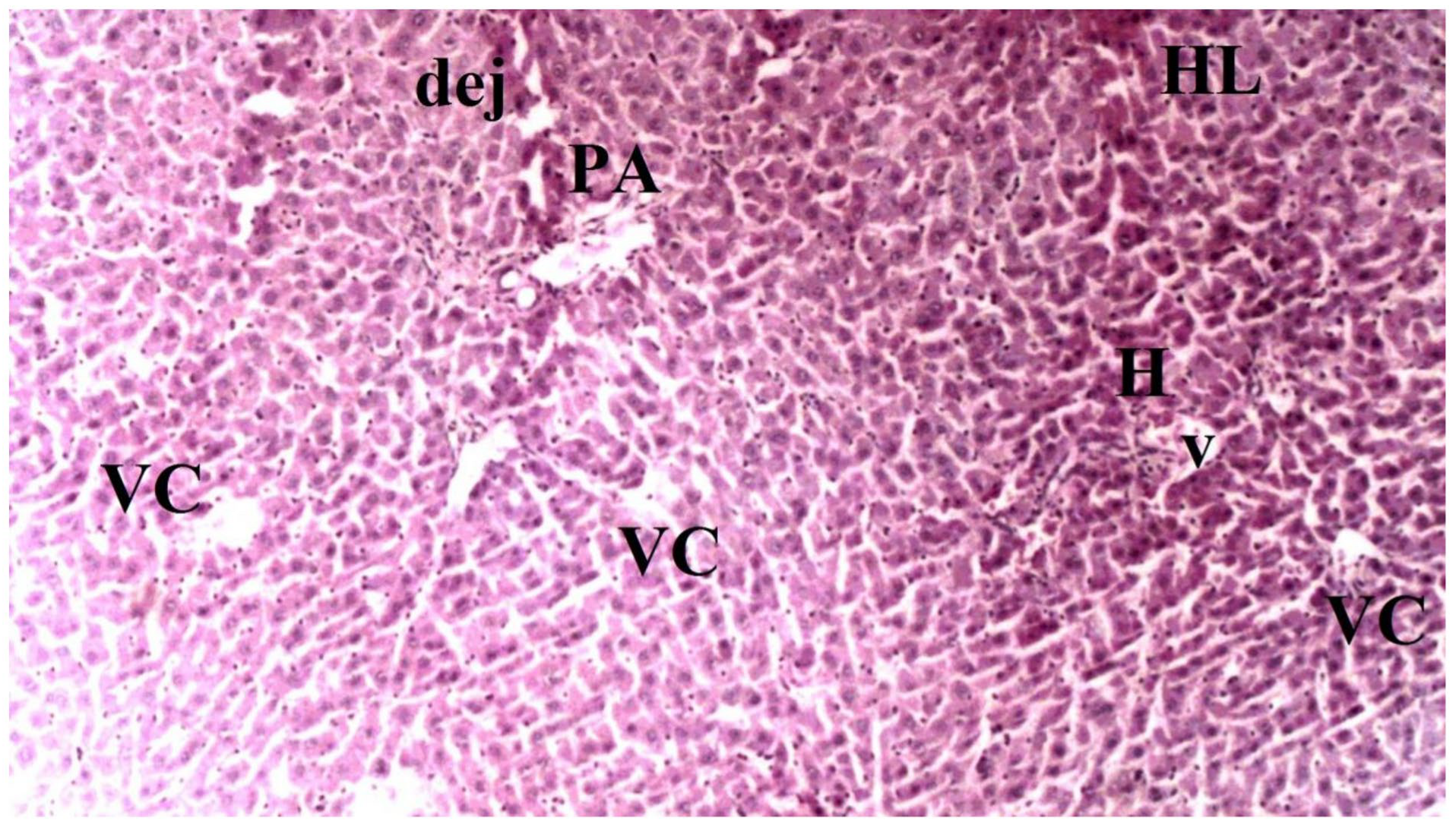
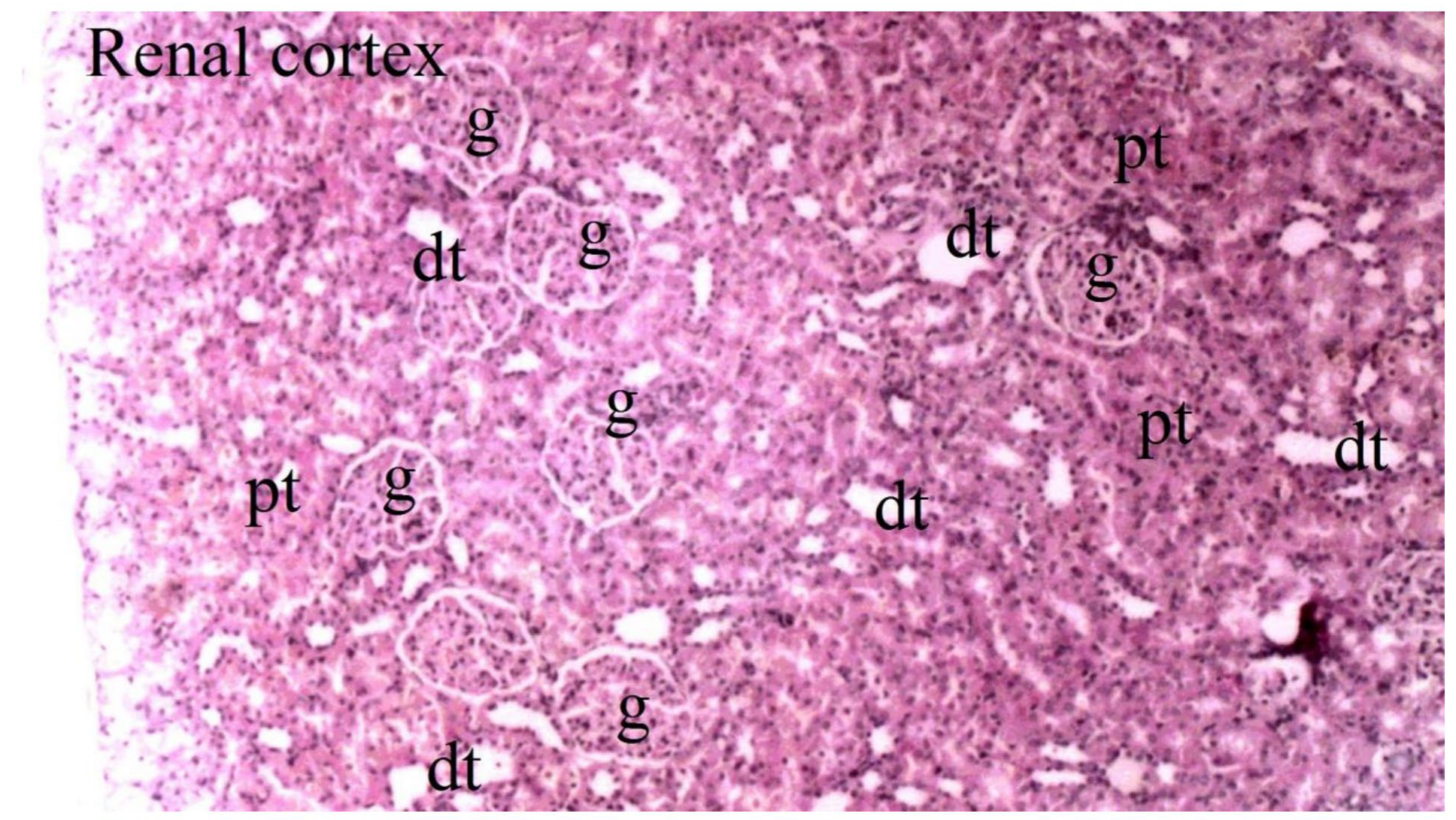
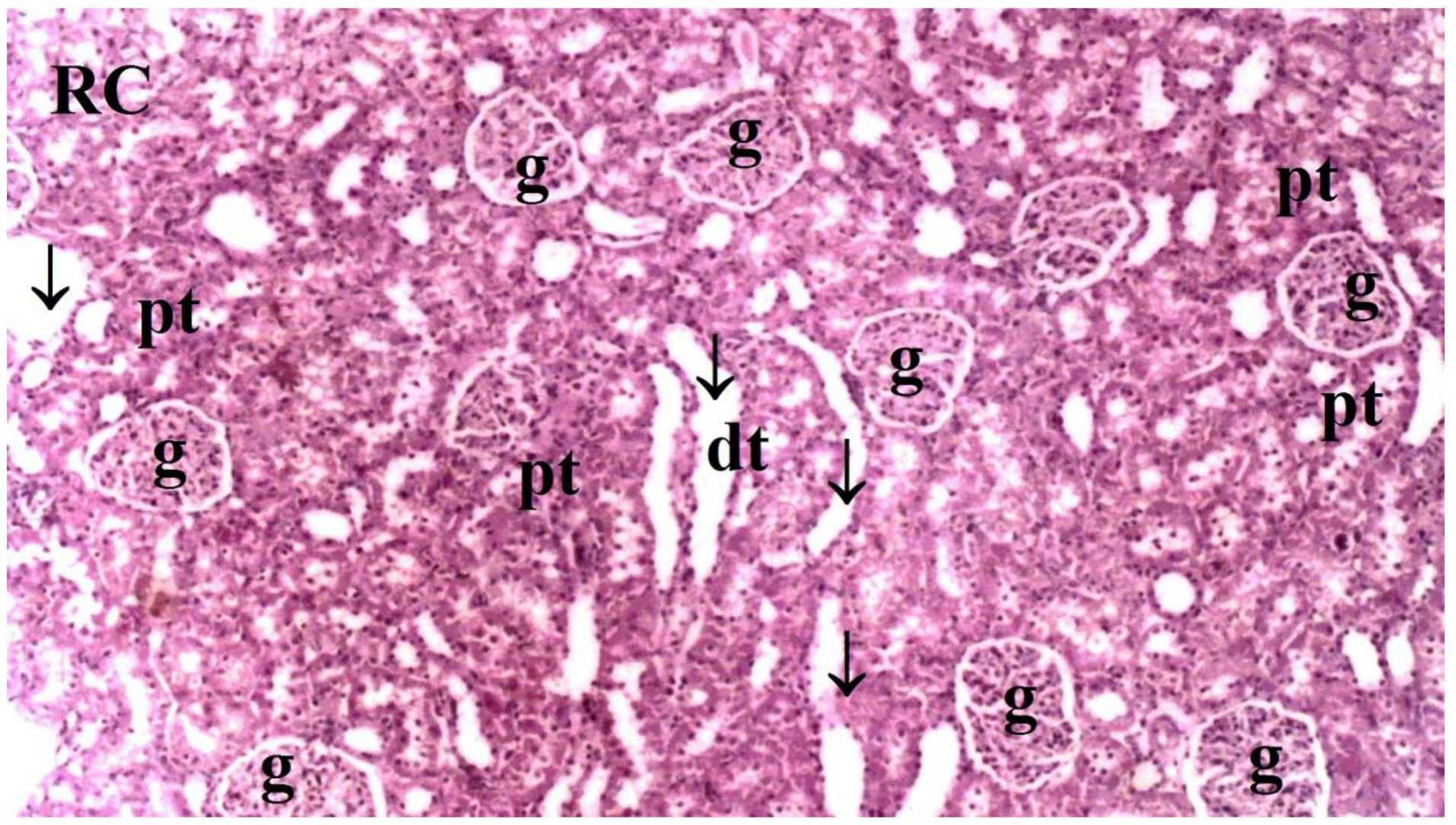
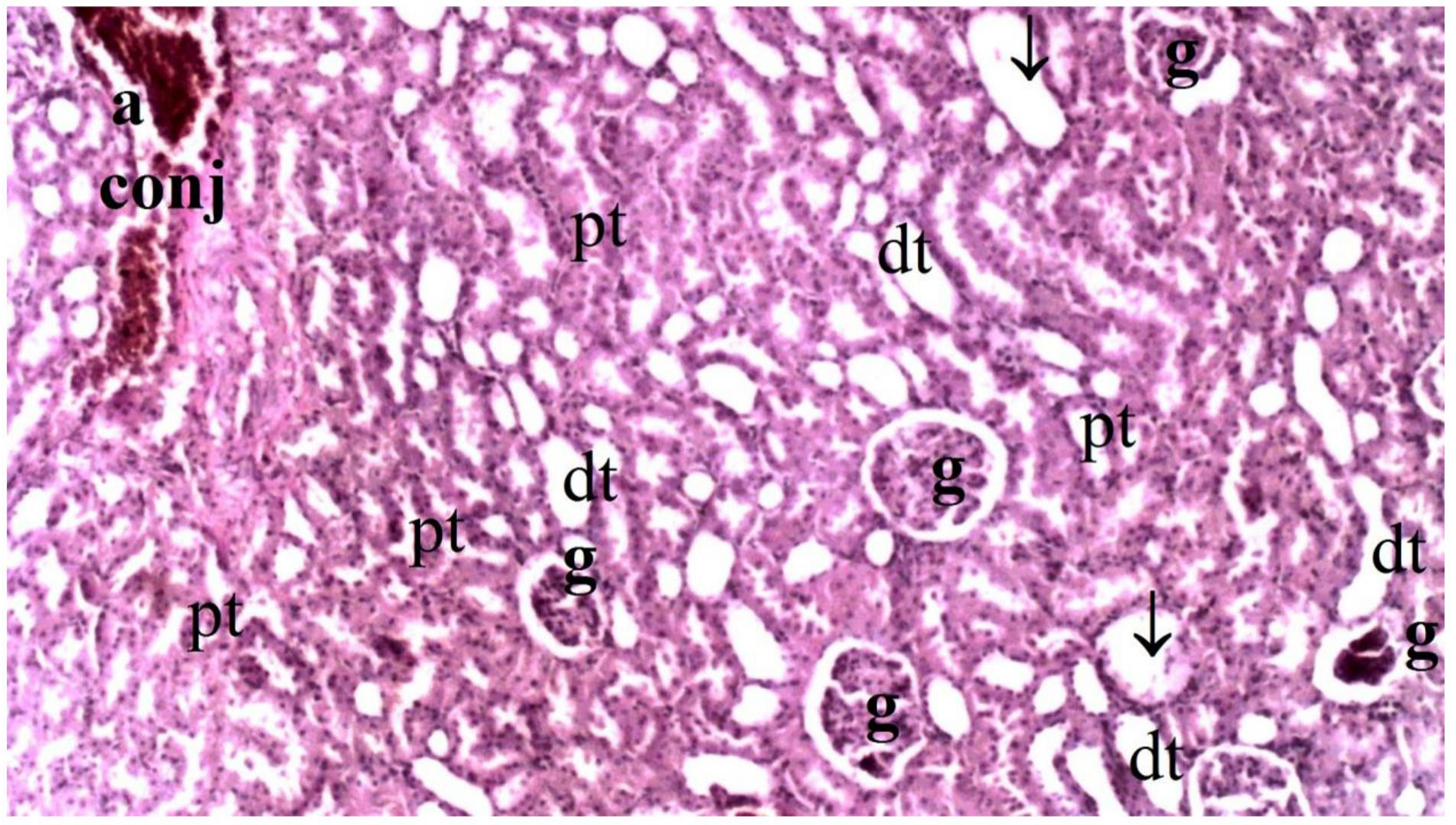
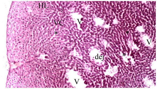
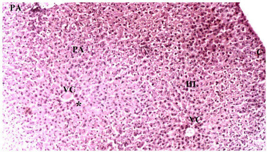
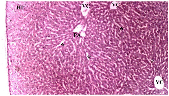
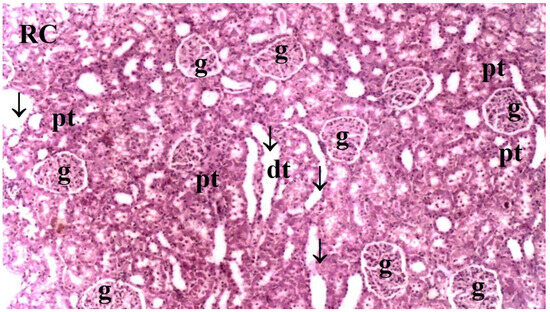
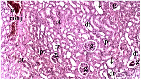
3.1. Histopathological Results
3.2. Biochemical Results
4. Discussion
5. Conclusions
Author Contributions
Funding
Institutional Review Board Statement
Informed Consent Statement
Data Availability Statement
Conflicts of Interest
References
- Badalzadeh, R.; Yousefi, B.; Majidinia, M.; Ebrahimi, H. Anti-arrhythmic effect of diosgenin in reperfusion-induced myocardial injury in a rat model: Activation of nitric oxide system and mitochondrial K ATP channel. J. Physiol. Sci. 2014, 64, 393–400. [Google Scholar] [CrossRef] [PubMed]
- Tang, C.; Hu, Y.; Gao, J.; Jiang, J.; Shi, S.; Wang, J.; Geng, Q.; Liang, X.; Chai, X. Dexmedetomidine pretreatment attenuates myocardial ischemia reperfusion induced acute kidney injury and endoplasmic reticulum stress in human and rat. Life Sci. 2020, 257, 118004. [Google Scholar] [CrossRef] [PubMed]
- Lang, X.E.; Wang, X.; Jin, J.H. Mechanisms of cardioprotection by isoflurane against I/R injury. Front. Biosci. 2013, 18, 387–393. [Google Scholar] [CrossRef][Green Version]
- Ansley, D.M.; Wang, B. Oxidative stress and myocardial injury in the diabetic heart. J. Pathol. 2013, 229, 232–241. [Google Scholar] [CrossRef] [PubMed] [PubMed Central]
- Zimmerman, B.J.; Granger, D.N. Reperfusion injury. Surg. Clin. North. Am. 1992, 72, 65–83. [Google Scholar] [CrossRef]
- Singh, S. Nanomaterials exhibiting enzyme-like properties (nanozymes): Current advances and future perspectives. Front. Chem. 2019, 7, 46. [Google Scholar] [CrossRef]
- Özer, A.; Erer, D.; Oktar, G.; Kip, G.; Bilge, M.; Kavutçu, M.; Erdem, O.; Arslan, M.; Unal, Y. The effect of dexmedetomidine on ischemia reperfusion injury in myokard rat. Gazi Med. J. 2018, 29, 53–56. [Google Scholar]
- Korsvik, C.; Patil, S.; Seal, S.; Self, W.T. Superoxide dismutase mimetic properties exhibited by vacancy engineered ceria nanoparticles. Chem. Commun. 2007, 14, 1056–1058. [Google Scholar] [CrossRef]
- Heckert, E.G.; Karakoti, A.S.; Seal, S.; Self, W.T. The role of cerium redox state in the SOD mimetic activity of nanoceria. Biomaterials 2008, 29, 2705–2709. [Google Scholar] [CrossRef]
- Colon, J.; Hsieh, N.; Ferguson, A.; Kupelian, P.; Seal, S.; Jenkins, D.W.; Baker, C.H. Cerium oxide nanoparticles protect gastrointestinal epithelium from radiation-induced damage by reduction of reactive oxygen species and upregulation of superoxide dismutase 2. Nanomedicine 2010, 6, 698–705. [Google Scholar] [CrossRef]
- Abdel-Wahhab, M.; Nada, S.; Arbid, M. Ochratoxicosis: Prevention of developmental toxicity by L-methionine in rats. In Journal of Applied Toxicology: An International Forum Devoted to Research and Methods Emphasizing Direct Clinical; Industrial and Environmental Applications Wiley Online Library: Hoboken, NJ, USA, 1999; pp. 7–12. [Google Scholar]
- Gobut, H.; Erel, S.; Ozdemir, C.; Mortas, T.; Arslan, M.; Kucuk, A.; Kasapbasi, E.; Kavutcu, M. Effects of cerium oxide on liver tissue in liver ischemia-reperfusion injury in rats undergoing sevoflurane anesthesia. Exp. Ther. Med. 2023, 25, 1–8. [Google Scholar] [CrossRef] [PubMed]
- Şengel, N.; Köksal, Z.; Dursun, A.D.; Kurtipek, Ö.; Sezen, Ş.C.; Arslan, M.; Kavutçu, M. Effects of Dexmedetomidine Administered Through Different Routes on Kidney Tissue in Rats with Spinal Cord Ischaemia–Reperfusion Injury. Drug Des. Dev. Ther. 2022, 16, 2229–2239. [Google Scholar] [CrossRef] [PubMed]
- Özdemir, Ç.; Küçük, A.; Yığman, Z.; Dursun, A.D.; Arslan, M. Therapeutic efficacy of Boric Acid treatment on brain tissue and cognitive functions in rats with experimental Alzheimer’s disease. Drug Des. Devel Ther. 2023, 17, 1453–1462. [Google Scholar] [CrossRef] [PubMed]
- Köksal, Z.; Kurtipek, Ö.; Arslan, M.; Dursun, A.D.; Yığman, Z.; Özer, A. Protective effects of hydrogen rich saline solution in rats with experimental myocardial ischemia reperfusion injury. Heliyon 2023, 9, e22973. [Google Scholar] [CrossRef]
- Ozer, M.K.; Parlakpinar, H.; Acet, A. Reduction of ischemia-reperfusion induced myocardial infarct size in rats by caffeic acid phenethyl ester (CAPE). Clin. Biochem. 2004, 37, 702–705. [Google Scholar] [CrossRef]
- Sahna, E.; Acet, A.; Ozer, M.K.; Olmez, E. Myocardial ischemia-reperfusion in rats: Reduction of infarct size by either supplemental physiological or pharmacological doses of melatonin. J. Pineal Res. 2002, 33, 234–238. [Google Scholar] [CrossRef]
- Nath, K.A.; Norby, S.M. Reactive oxygen species and acute renal failure. Am. J. Med. 2000, 109, 665–678. [Google Scholar] [CrossRef]
- Johansson, B.; Luo, W.; Li, S.; Ahuja, R. Cerium; crystal structure and position in the periodic table. Sci. Rep. 2014, 4, 6398. [Google Scholar] [CrossRef]
- Hasanpour, M.; Iranshahy, M.; Iranshahi, M. The application of metabolomics in investigating anti-diabetic activity of medicinal plants. Biomed. Pharmacother. 2020, 128, 110263. [Google Scholar] [CrossRef]
- Michiels, C. Physiological and pathological responses to hypoxia. Am. J. Pathol. 2004, 164, 1875–1882. [Google Scholar] [CrossRef]
- Xu, C.; Qu, X. Cerium oxide nanoparticle: A remarkably versatile rare earth nanomaterial for biological applications. NPG Asia Mater. 2014, 6, e90. [Google Scholar] [CrossRef]
- Goharshadi, E.K.; Samiee, S.; Nancarrow, P. Fabrication of cerium oxide nanoparticles: Characterization and optical properties. J. Colloid. Interface Sci. 2011, 356, 473–480. [Google Scholar] [CrossRef] [PubMed]
- Zengin, A.; Erikçi, A.; Telli, G.; Gümüşel, B.; Kösemehmetoğlu, K.; Uçar, G.; Algın, M.C. Anti-inflammatory effects of oral and intraperitoneal administration of cerium oxide nanoparticles on experimental hepatic ischemia-reperfusion injury. Turk. J. Surg. 2022, 38, 255. [Google Scholar] [CrossRef] [PubMed]
- Baldim, V.; Yadav, N.; Bia, N.; Graillot, A.; Loubat, C.; Singh, S.; Karakoti, A.S.; Berret, J.F. Polymer-Coated Cerium Oxide Nanoparticles as Oxidoreductase-like Catalysts. ACS Appl. Mater. Interfaces 2020, 12, 42056–42066. [Google Scholar] [CrossRef] [PubMed]
- Carvajal, S.; Perramón, M.; Casals, G.; Oró, D.; Ribera, J.; Morales-Ruiz, M.; Casals, E.; Casado, P.; Melgar-Lesmes, P.; Fernández-Varo, G.; et al. Cerium oxide nanoparticles protect against oxidant injury and interfere with oxidative mediated kinase signaling in human-derived hepatocytes. Int. J. Mol. Sci. 2019, 20, 5959. [Google Scholar] [CrossRef]
- Xiong, L.; Bao, H.; Li, S.; Gu, D.; Li, Y.; Yin, Q.; Li, W.; Miao, L.; Liu, C. Cerium oxide nanoparticles protect against chondrocytes and cartilage explants from oxidative stress via Nrf2/HO-1 pathway in temporomandibular joint osteoarthritis. Front. Bioeng. Biotechnol. 2023, 11, 1076240. [Google Scholar] [CrossRef]
- Corsi, F.; Deidda Tarquini, G.; Urbani, M.; Bejarano, I.; Traversa, E.; Ghibelli, L. The Impressive Anti-Inflammatory Activity of Cerium Oxide Nanoparticles: More than Redox? Nanomaterials 2023, 13, 2803. [Google Scholar] [CrossRef]
- Pesaraklou, A.; Matin, M.M. Cerium oxide nanoparticles and their importance in cell signaling pathways for predicting cellular behavior. Nanomedicine 2020, 15, 1709–1718. [Google Scholar] [CrossRef]
- Ozdemirkan, A.; Kucuk, A.; Gunes, I.; Arslan, M.; Tuncay, A.; Sivgin, V.; Sezen, S.C.; Boyunaga, H. The effect of cerium oxide on lung injury following lower extremity ischemia-reperfusion injury in rats under desflurane anesthesia. Saudi Med. J. 2021, 42, 1247–1251. [Google Scholar] [CrossRef]
- Tuncay, A.; Sivgin, V.; Ozdemirkan, A.; Sezen, S.C.; Boyunaga, H.; Kucuk, A.; Gunes, I.; Arslan, M. The effect of cerium oxide on lung tissue in lower extremity ischemia-reperfusion injury in sevoflurane administered rats. Int. J. Nanomed. 2020, 15, 7481–7489. [Google Scholar] [CrossRef]
- Al Shoyaib, A.; Archie, S.R.; Karamyan, V.T. Intraperitoneal route of drug administration: Should it be used in experimental animal studies? Pharm. Res. 2020, 37, 12. [Google Scholar] [CrossRef] [PubMed]
- McCord, J.M. Free radicals and myocardial ischemia: Overview and outlook. Free Radic. Biol. Med. 1988, 4, 9–14. [Google Scholar] [CrossRef] [PubMed]
- Mozaffari, M.S.; Liu, J.Y.; Abebe, W.; Baban, B. Mechanisms of load dependency of myocardial ischemia reperfusion injury. Am. J. Cardiovasc. Dis. 2013, 3, 180–196. [Google Scholar] [PubMed]
- Turer, A.T.; Hill, J.A. Pathogenesis of myocardial ischemia-reperfusion injury and rationale for therapy. Am. J. Cardiol. 2010, 106, 360–368. [Google Scholar] [CrossRef]
- Rabus, M.; Demirbağ, R.; Sezen, Y.; Konukoğlu, O.; Yildiz, A.; Erel, O.; Zeybek, R.; Yakut, C. Plasma and tissue oxidative stress index in patients with rheumatic and degenerative heart valve disease. Turk. Kardiyol. Dern. Ars. 2008, 36, 536–540. [Google Scholar]
- Erel, O. A new automated colorimetric method for measuring total oxidant status. Clin. Biochem. 2005, 38, 1103–1111. [Google Scholar] [CrossRef]
- Ghiselli, A.; Serafi Ni, M.; Natella, F.; Scaccini, C. Total antioxidant capacity as a tool to assess redox status: Critical view and experimental data. Free Radic. Biol. Med. 2000, 29, 1106–1114. [Google Scholar] [CrossRef]
- Erel, O. A novel automated direct measurement method for total antioxidant capacity using a new generation, more stable ABTS radical cation. Clin. Biochem. 2004, 37, 277–285. [Google Scholar] [CrossRef]
- Shang, Y.; Hewage, S.M.; Wijerathne, C.U.B.; Siow, Y.L.; Isaak, C.K. Kidney ischemia-reperfusion elicits acute liver injury and inflammatory response. Front. Med. 2020, 7, 201. [Google Scholar] [CrossRef]
- An, P.; Wei, L.L.; Zhao, S.; Sverdlov, D.Y.; Vaid, K.A.; Miyamoto, M.; Kuramitsu, K.; Lai, M.; Popov, Y.V. Hepatocyte mitochondria-derived danger signals directly activate hepatic stellate cells and drive progression of liver fibrosis. Nat. Commun. 2020, 11, 2362. [Google Scholar] [CrossRef]
- Ermak, G.; Davies, K.J. Calcium and oxidative stress: From cell signaling to cell death. Mol. Immunol. 2002, 38, 713–721. [Google Scholar] [CrossRef] [PubMed]
- Malhi, H.; Gores, G.J.; Lemasters, J.J. Apoptosis and necrosis in the liver: A tale of two deaths? Hepatology 2006, 43, S31–S44. [Google Scholar] [CrossRef] [PubMed]
- Basiglio, C.L.; Crocenzi, F.A.; Sanchez Pozzi, E.J.; Roma, M.G. Oxidative Stress and Localization Status of Hepatocellular Transporters: Impact on Bile Secretion and Role of Signaling Pathways. Antioxid. Redox Signal. 2021, 35, 808–831. [Google Scholar] [CrossRef]
- Erdogan, M.M.; Erdogan, M.A.; Koc, S.; Yalcin, A.; Turk, A.; Yetkin, E.A. Hepatoprotective effects of N-acetylcysteine on liver injury by irisin upregulation and oxidative stress reduction in diabetic rats. Egypt. Liver J. 2023, 13, 33. [Google Scholar] [CrossRef]
- Yavuz, A.; Tuna, A.T.; Ozdemir, C.; Mortas, T.; Küçük, A.; Kasapbaşı, E.; Arslan, M.; Kavutçu, M.; Kurtipek, Ö. Effects of fullerene C60 on liver tissue in liver ischemia reperfusion injury in rats undergoing sevoflurane anesthesia. Libyan J. Med. 2023, 18, 2281116. [Google Scholar] [CrossRef]
- Hall, A.M.; Rhodes, G.J.; Sandoval, R.M.; Corridon, P.R.; Molitoris, B.A. In vivo multiphoton imaging of mitochondrial structure and function during acute kidney injury. Kidney Int. 2013, 83, 72–83. [Google Scholar] [CrossRef]
- Sureshbabu, A.; Ryter, S.W.; Choi, M.E. Oxidative stress and autophagy: Crucial modulators of kidney injury. Redox Biol. 2015, 4, 208–214. [Google Scholar] [CrossRef]
- Pavlakou, P.; Liakopoulos, V.; Eleftheriadis, T.; Mitsis, M.; Dounousi, E. Oxidative Stress and Acute Kidney Injury in Critical Illness: Pathophysiologic Mechanisms-Biomarkers-Interventions, and Future Perspectives. Oxid. Med. Cell Longev. 2017, 2017, 6193694. [Google Scholar] [CrossRef]
- Kumar, A.B.; Suneja, M.; Riou, B. Cardiopulmonary bypass-associated Acute Kidney Injury. Anesthesiology 2011, 114, 964–970. [Google Scholar] [CrossRef]
- Ansari, R.A.; Aswal, B.S.; Chander, R.; Dhawan, B.N.; Garg, N.K.; Kapoor, N.K.; Kulshreshtha, D.K.; Mehdi, H.; Mehrotra, B.N.; Patnaik, G.K. Hepatoprotective activity of kutkin—The iridoid glycoside mixture of Picrorhiza kurroa. Indian. J. Med. Res. 1988, 87, 401–404. [Google Scholar]
- Makris, K.; Spanou, L. Acute Kidney Injury: Definition, Pathophysiology and Clinical Phenotypes. Clin. Biochem. Rev. 2016, 37, 85–98. [Google Scholar] [PubMed] [PubMed Central]
- Munshi, R.; Hsu, C.; Himmelfarb, J. Advances in understanding ischemic acute kidney injury. BMC Med. 2011, 9, 11. [Google Scholar] [CrossRef] [PubMed]
- Paller, M.S.; Hoidal, J.R.; Ferris, T.F. Oxygen free radicals in ischemic acute renal failure in the rat. J. Clin. Investig. 1984, 74, 1156–1164. [Google Scholar] [CrossRef] [PubMed]
- Arpaci, A.H.; Köksal, Z.; Yiğman, Z.; Küçük, A.; Şivgin, V.; Arslan, M.; Kavutçu, M.; Akarca Di Zakar, S.Ö. Effect of fullerenol C60 on lung and renal tissue in lower extremity ischemia-reperfusion injury in sevoflurane-treated rats. Mol. Med. Rep. 2024, 29, 54. [Google Scholar] [CrossRef]
- Şengel, N.; Küçük, A.; Özdemir, Ç.; Sezen, Ş.C.; Kip, G.; Er, F.; Dursun, A.D.; Polat, Y.; Kavutçu, M.; Arslan, M. The Effect of Sevoflurane and Fullerenol C 60 on the Liver and Kidney in Lower Extremity Ischemia-Reperfusion Injury in Mice with Streptozocin-Induced Diabetes. Int. J. Nanomed. 2023, 18, 7543–7557. [Google Scholar] [CrossRef]
- Ahmed, K.B.A.; Raman, T.; Veerappan, A. Future prospects of antibacterial metal nanoparticles as enzyme inhibitor. Mater. Sci. Eng. C 2016, 68, 939–947. [Google Scholar] [CrossRef]
- Saravanakumar, K.; Sathiyaseelan, A.; Mariadoss, A.V.A.; Wang, M.H. Antioxidant and antidiabetic properties of biocompatible ceria oxide (CeO2) nanoparticles in mouse fibroblast NIH3T3 and insulin resistant HepG2 cells. Ceram. Int. 2021, 47, 8618–8626. [Google Scholar] [CrossRef]













| Group C (N = 6) | Group CO (N = 6) | Group IR (N = 6) | Group CO-IR (N = 6) | p ** | |
|---|---|---|---|---|---|
| Hepatocyte Degeneration | 0.33 ± 0.21 * | 0.33 ± 0.21 * | 1.33 ± 0.33 | 0.83 ± 0.17 | 0.022 |
| Sinusoidal Dilatation | 0.33 ± 0.21 | 0.60 ± 0.25 | 1.17 ± 0.17 | 0.67 ± 0.21 | 0.060 |
| Pyknotic Nucleus | 0.50 ± 0.22 | 0.33 ± 0.21 | 1.00 ± 0.26 | 0.67 ± 0.21 | 0.226 |
| Necrotic Cell | 0.33 ± 0.21 * | 0.33 ± 0.21 * | 1.50 ± 0.34 | 0.67 ± 0.21 * | 0.008 |
| Mononuclear Cell Infiltration into the Parenchyma | 0.17 ± 0.17 * | 0.33 ± 0.21 * | 1.33 ± 0.21 | 0.50 ± 0.34 * | 0.013 |
| Group C (N = 6) | Group CO (N = 6) | Group IR (N = 6) | Group CO-IR (N = 6) | p ** | |
|---|---|---|---|---|---|
| Glomerular Vacuolization | 0.17 ± 0.17 | 0.33 ± 0.21 | 1.00 ± 0.36 | 0.67 ± 0.21 | 0.121 |
| Tubular Dilation | 0.50 ± 0.22 * | 0.67 ± 0.21 * | 1.67 ± 0.33 | 1.17 ± 0.17 | 0.012 |
| Vascular Vacuolization and Hypertrophy | 0.50 ± 0.22 * | 0.33 ± 0.21 * | 1.33 ± 0.21 | 0.50 ± 0.22 * | 0.017 |
| Tubular Cell Degeneration and Necrosis | 0.17 ± 0.17 * | 0.33 ± 0.21 * | 1.33 ± 0.21 | 0.67 ± 0.21 * | 0.003 |
| Bowman Space Dilation | 0.33 ± 0.21 | 0.50 ± 0.22 | 1.17 ± 0.31 | 0.50 ± 0.34 | 0.182 |
| Tubular Hyaline Cylinders | 0.50 ± 0.22 | 0.67 ± 0.21 | 1.17 ± 0.31 | 0.67 ± 0.21 | 0.264 |
| Lymphocyte Infiltration | 0.33 ± 0.21 | 0.50 ± 0.22 | 1.00 ± 0.00 | 0.67 ± 0.21 | 0.105 |
| Tubular Cell Shedding | 0.33 ± 0.21 | 0.50 ± 0.22 | 1.00 ± 0.26 | 0.67 ± 0.21 | 0.226 |
| Group C (N = 6) | Group CO (N = 6) | Group IR (N = 6) | Group CO-IR (N = 6) | p ** | |
|---|---|---|---|---|---|
| AST (U/L) | 60.56 ± 3.02 * | 87.17 ± 10.85 * | 177.33 ± 39.81 | 121.50 ± 15.84 | 0.008 |
| ALT (U/L) | 54.40 ± 4.20 * | 57.83 ± 2.87 * | 80.17 ± 4.57 | 66.50 ± 5.30 * | 0.002 |
| GGT (U/L) | 4.36 ± 0.52 * | 3.43 ± 0.44 * | 1.69 ± 0.36 | 3.02 ± 0.28 * | 0.002 |
| Glucose (mg/dL) | 179.33 ± 27.61 * | 277.50 ± 22.25 *,& | 439.83 ± 22.82 | 297.83 ± 23.40 *,& | <0.0001 |
| TOS (mmol/L) | 4.50 ± 0.77 * | 8.88 ± 1.62 * | 25.68 ± 3.86 | 15.28 ± 2.11 *,& | <0.0001 |
| TAS (µmol/L) | 1.04 ± 0.09 * | 0.94 ± 0.04 * | 0.69 ± 0.02 | 0.92 ± 0.11 * | 0.014 |
| OSI | 0.04 ± 0.01 * | 0.09 ± 0.05 * | 0.38 ± 0.15 | 0.16 ± 0.03 *,& | <0.001 |
Disclaimer/Publisher’s Note: The statements, opinions and data contained in all publications are solely those of the individual author(s) and contributor(s) and not of MDPI and/or the editor(s). MDPI and/or the editor(s) disclaim responsibility for any injury to people or property resulting from any ideas, methods, instructions or products referred to in the content. |
© 2024 by the authors. Published by MDPI on behalf of the Lithuanian University of Health Sciences. Licensee MDPI, Basel, Switzerland. This article is an open access article distributed under the terms and conditions of the Creative Commons Attribution (CC BY) license (https://creativecommons.org/licenses/by/4.0/).
Share and Cite
Güneş, I.; Dursun, A.D.; Özdemir, Ç.; Küçük, A.; Sezen, Ş.C.; Arslan, M.; Özer, A. Effects of Cerium Oxide on Kidney and Liver Tissue Damage in an Experimental Myocardial Ischemia-Reperfusion Model of Distant Organ Damage. Medicina 2024, 60, 2044. https://doi.org/10.3390/medicina60122044
Güneş I, Dursun AD, Özdemir Ç, Küçük A, Sezen ŞC, Arslan M, Özer A. Effects of Cerium Oxide on Kidney and Liver Tissue Damage in an Experimental Myocardial Ischemia-Reperfusion Model of Distant Organ Damage. Medicina. 2024; 60(12):2044. https://doi.org/10.3390/medicina60122044
Chicago/Turabian StyleGüneş, Işın, Ali Doğan Dursun, Çağrı Özdemir, Ayşegül Küçük, Şaban Cem Sezen, Mustafa Arslan, and Abdullah Özer. 2024. "Effects of Cerium Oxide on Kidney and Liver Tissue Damage in an Experimental Myocardial Ischemia-Reperfusion Model of Distant Organ Damage" Medicina 60, no. 12: 2044. https://doi.org/10.3390/medicina60122044
APA StyleGüneş, I., Dursun, A. D., Özdemir, Ç., Küçük, A., Sezen, Ş. C., Arslan, M., & Özer, A. (2024). Effects of Cerium Oxide on Kidney and Liver Tissue Damage in an Experimental Myocardial Ischemia-Reperfusion Model of Distant Organ Damage. Medicina, 60(12), 2044. https://doi.org/10.3390/medicina60122044

