CD44 Immunohistochemical Expression in Central and Peripheral Parts of Prostatic Adenocarcinoma: An Institutional Study
Abstract
1. Introduction
2. Materials and Methods
2.1. Patients and Tissue Samples
2.2. Sample Preparation and Immunohistochemistry



2.3. Statistical Analysis
3. Results
3.1. Clinicopathological Data
3.2. CD44s Immunoscore in Relation to Gleason Grade Group and Prostatectomy Margins
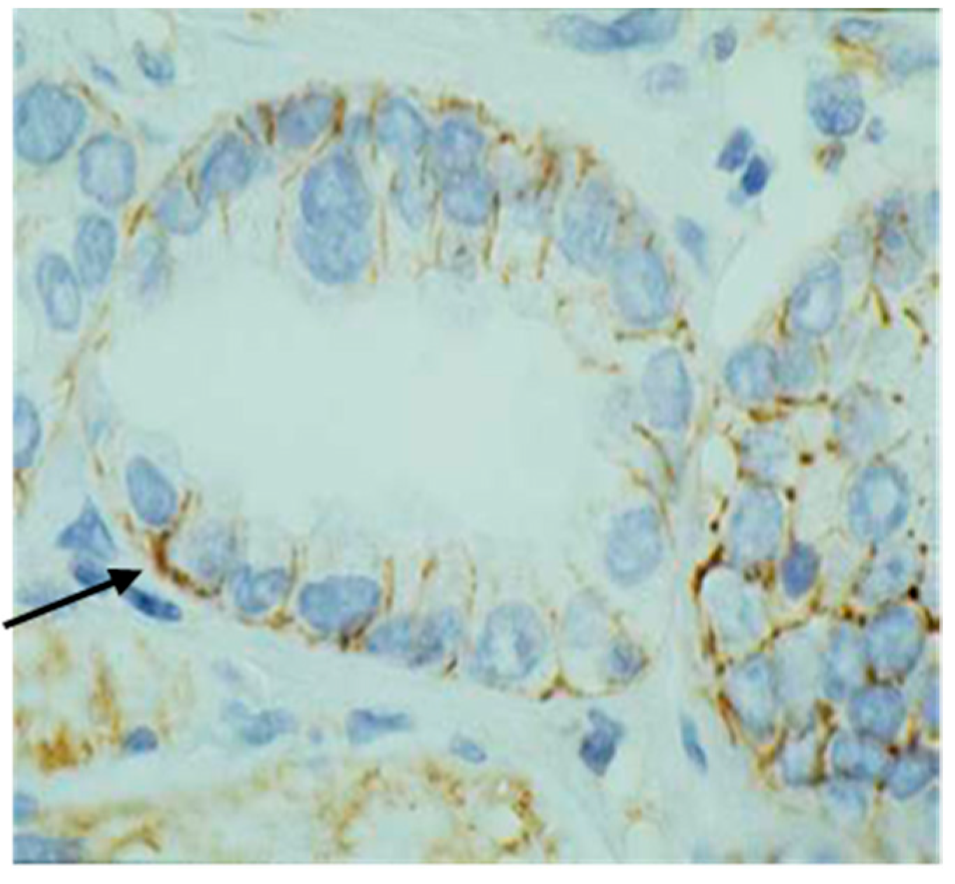
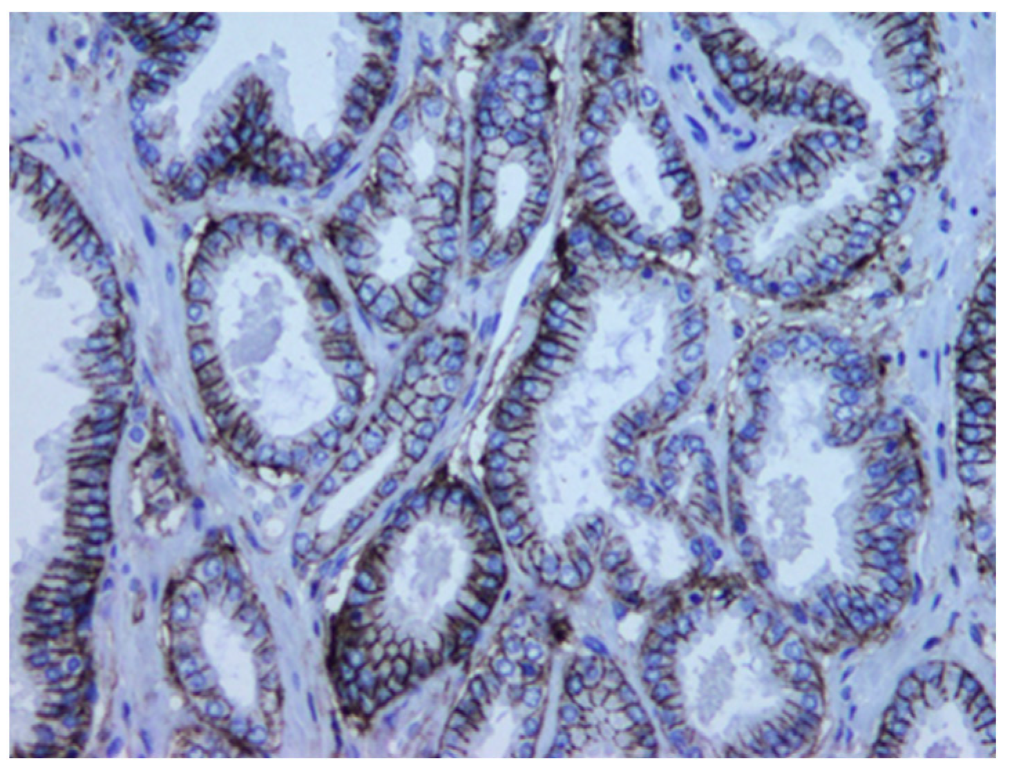
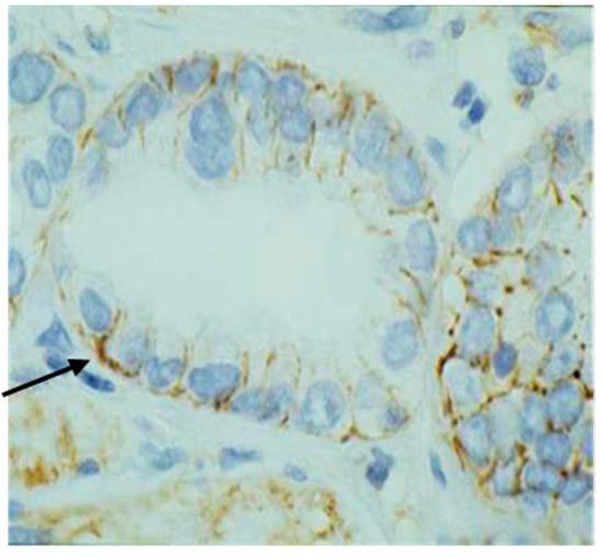
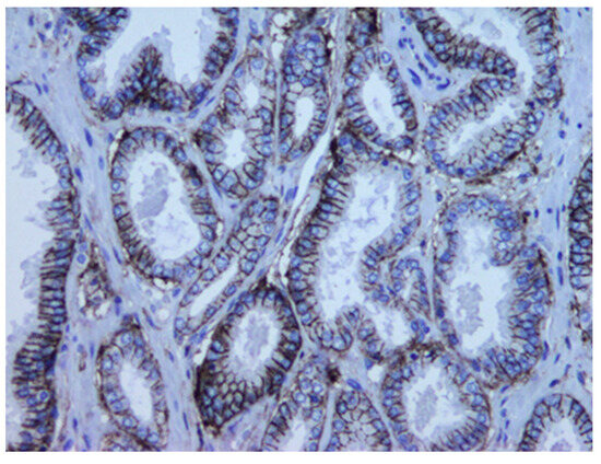
3.3. CD44s Immunoexpression in Relation to the Periphery and Central Part of the Tumor



4. Discussion
5. Conclusions
Author Contributions
Funding
Institutional Review Board Statement
Informed Consent Statement
Data Availability Statement
Conflicts of Interest
References
- Bray, F.; Laversanne, M.; Sung, H.; Ferlay, J.; Siegel, R.L.; Soerjomataram, I.; Jemal, A. Global cancer statistics 2022: GLOBOCAN estimates of incidence and mortality worldwide for 36 cancers in 185 countries. CA Cancer J. Clin. 2024, 74, 229–263. [Google Scholar] [CrossRef] [PubMed]
- Hrvatski Zavod za Javno Zdravstvo. Incidencija Raka u Hrvatskoj u 2021 Godini. Available online: https://www.hzjz.hr/periodicne-publikacije/incidencija-raka-u-hrvatskoj-u-2021-godini/ (accessed on 26 September 2024).
- Moje Vrijeme. Available online: https://www.mojevrijeme.hr/magazin/2022/07 (accessed on 26 September 2024).
- Hrvatski Zavod za Javno Zdravstvo. Incidencija i Mortalitet Raka u HRVATSKOJ 2011; Bilten br. 36; Hrvatski Zavod za Javno Zdravstvo: Zagreb, Croatia, 2013. [Google Scholar]
- Stabile, A.; Giganti, F.; Rosenkrantz, A.B.; Taneja, S.S.; Villeirs, G.; Gill, I.S.; Allen, C.; Emberton, M.; Moore, C.M.; Kasivisvanathan, V. Multiparametric MRI for prostate cancer diagnosis: Current status and future directions. Nat. Rev. Urol. 2020, 17, 41–61. [Google Scholar] [CrossRef]
- Cornford, P.; van den Bergh, R.C.; Briers, E.; Van den Broeck, T.; Brunckhorst, O.; Darraugh, J.; Eberli, D.; Meerleer, G.D.; Santis, M.D.; Farolfi, A.; et al. EAU-EANM-ESTRO-ESUR-ISUP-SIOG Guidelines on Prostate Cancer—2024 Update. Part I: Screening, Diagnosis, and Local Treatment with Curative Intent. Eur. Urol. 2024, 86, 148–163. [Google Scholar] [CrossRef] [PubMed]
- Gogola, S.; Rejzer, M.; Bahmad, H.F.; Alloush, F.; Omarzai, Y.; Poppiti, R. Anti-cancer stem-cell-targeted therapies in prostate cancer. Cancers 2023, 15, 1621. [Google Scholar] [CrossRef]
- Chuang, A.Y.; Epstein, J.I. Positive surgical margins in areas of capsular incision in otherwise organ-confined disease at radical prostatectomy: Histologic features and pitfalls. Am. J. Surg. Pathol. 2008, 32, 1201–1206. [Google Scholar] [CrossRef]
- Barocas, D.A.; Han, M.; Epstein, J.I.; Chan, D.Y.; Trock, B.J.; Walsh, P.C.; Partin, A.W. Does capsular incision at radical retropubic prostatectomy affect disease-free survival in otherwise organ-confined prostate cancer? Urology 2001, 58, 746–751. [Google Scholar] [CrossRef] [PubMed]
- Kumano, M.; Miyake, H.; Muramaki, M.; Kurahashi, T.; Takenaka, A.; Fujisawa, M. Adverse prognostic impact of capsular incision at radical prostatectomy for Japanese men with clinically localized prostate cancer. Int. Urol. Nephrol. 2009, 41, 581–586. [Google Scholar] [CrossRef]
- Shuford, M.D.; Cookson, M.S.; Chang, S.S.; Shintani, A.K.; Tsiatis, A.; Smith, J.A.; Shappell, S.B. Adverse prognostic significance of capsular incision with radical retropubic prostatectomy. J. Urol. 2004, 172, 119–123. [Google Scholar] [CrossRef]
- Cimadamore, A.; Mazzucchelli, R.; Lopez-Beltran, A.; Massari, F.; Santoni, M.; Scarpelli, M.; Cheng, L.; Montironi, R. Prostate Cancer in 2021: Novelties in Prognostic and Therapeutic Biomarker Evaluation. Cancers 2021, 13, 3471. [Google Scholar] [CrossRef]
- Yayan, J.; Franke, K.-J.; Berger, M.; Windisch, W.; Rasche, K. Adhesion, metastasis, and inhibition of cancer cells: A comprehensive review. Mol. Biol. Rep. 2024, 51, 165. [Google Scholar] [CrossRef]
- Shawky, J.H.; Davidson, L.A. Tissue mechanics and adhesion during embryo development. Dev. Biol. 2015, 1, 152–164. [Google Scholar] [CrossRef] [PubMed]
- Fares, J.; Fares, M.Y.; Khachfe, H.H.; Salhab, H.A.; Fares, Y. Molecular principles of metastasis: A hallmark of cancer revisited. Signal Transduct. Target. Ther. 2020, 5, 12. [Google Scholar] [CrossRef]
- Janiszewska, M.; Primi, M.C.; Izard, T. Cell adhesion in cancer: Beyond the migration of single cells. J. Biol. Chem. 2020, 295, 2495–2505. [Google Scholar] [CrossRef]
- Kai, F.; Drain, A.P.; Weaver, V.M. The Extracellular Matrix modulates the metastatic journey. Dev. Cell. 2019, 49, 332–346. [Google Scholar] [CrossRef]
- Ponta, H.; Sherman, L.; Herrlich, P.A. CD44: From adhesion molecules to signaling regulators. Nat. Rev. Mol. Cell Biol. 2003, 4, 33–45. [Google Scholar] [CrossRef]
- De Marzo, A.M.; Bradshaw, C.; Sauvageot, J. CD44 and CD44v6 down regulation in clinical prostatic carcinoma: Relation to Gleason grade and cytoarchitecture. Prostate 1998, 34, 162–168. [Google Scholar] [CrossRef]
- Alam, T.N.; O′Hare, M.J.; Laczkó, I.; Freeman, A.; Al-Beidh, F.; Masters, J.R.; Hudson, D.L. Differential expression of CD44 during human prostate epithelial cell differentiation. J. Histochem. Cytochem. 2004, 52, 1083–1090. [Google Scholar] [CrossRef] [PubMed]
- Chen, Q.; Gu, M.; Cai, Z.-K.; Zhao, H.; Sun, S.-C.; Liu, C.; Zhan, M.; Chen, Y.-B.; Wang, Z. TGF-β1 promotes epithelial-to-mesenchymal transition and stemness of prostate cancer cells by inducing PCBP1 degradation and alternative splicing of CD44. Cell. Mol. Life Sci. 2021, 78, 949–962. [Google Scholar] [CrossRef] [PubMed]
- Koukourakis, I.M.; Platoni, K.; Kouloulias, V.; Arelaki, S.; Zygogianni, A. Prostate cancer stem cells: Biology and treatment implications. Int. J. Mol. Sci. 2023, 24, 14890. [Google Scholar] [CrossRef]
- Zöller, M. CD44: Can a cancer-initiating cell profit from an abundantly expressed molecule? Nat. Rev. Cancer 2011, 11, 254–267. [Google Scholar] [CrossRef]
- Mesrati, M.H.; Syafruddin, S.E.; Mohtar, M.A.; Syahir, A. CD44: A multifunctional mediator of cancer progression. Biomolecules 2021, 11, 1850. [Google Scholar] [CrossRef] [PubMed]
- Nishikawa, M.; Inoue, A.; Ohnishi, T.; Kohno, S.; Ohue, S.; Matsumoto, S.; Suehiro, S.; Yamashita, D.; Ozaki, S.; Watanabe, H.; et al. Significance of glioma stem-like cells in the tumor periphery that express high levels of CD44 in tumor invasion, early progression, and poor prognosis in glioblastoma. Stem Cells Int. 2018, 2018, 5387041. [Google Scholar] [CrossRef] [PubMed]
- Collins, A.T.; Berry, P.A.; Hyde, C.; Stower, M.J.; Maitland, N.J. Prospective identification of tumorigenic prostate cancer stem cells. Cancer Res. 2005, 65, 10946–10951. [Google Scholar] [CrossRef] [PubMed]
- Nishikawa, M.; Inoue, A.; Ohnishi, T.; Yano, H.; Kanemura, Y.; Kohno, S.; Ohue, S.; Ozaki, S.; Matsumoto, S.; Suehiro, S.; et al. CD44 expression in the tumor periphery predicts the responsiveness to bevacizumab in the treatment of recurrent glioblastoma. Cancer Med. 2021, 10, 2013–2025. [Google Scholar] [CrossRef] [PubMed]
- Thapliyal, P.; Singh, V.; Singhai, A.; Khan, F.; Babu, S.; Goel, A.; Singh, U. CD44 expression in prostatic lesions: A prognostic guide. Int. J. Med. Rev. Case Rep. 2021, 5, 173–176. [Google Scholar] [CrossRef]
- Damarasingu, P.V.; Das, S.; Mh, S.; Bodapati, S. Evaluation of CD44 expression in prostatic adenocarcinoma: An institutional study. Cureus 2023, 15, e40510. [Google Scholar] [CrossRef]
- Aus, G.; Abbou, C.; Pacik, D.; Schmid, H.-P.; van Poppel, H.; Wolff, J.; Zattoni, F. EAU guidelines on prostate cancer. Eur. Urol. 2001, 40, 97–101. [Google Scholar] [CrossRef]
- Vickers, A.; Bianco, F.; Cronin, A.; Eastham, J.; Klein, E.; Kattan, M.; Scardino, P. The Learning Curve for Surgical Margins After Open Radical Prostatectomy: Implications for Margin Status as an Oncological End Point. J. Urol. 2010, 183, 1360–1365. [Google Scholar] [CrossRef]
- Hernandez, D.; Epstein, J.; Trock, B.; Tsuzuki, T.; Carter, H.; Walsh, P. Radical retropubic prostatectomy. How often do experienced surgeons have positive surgical margins when there is extraprostatic extension in the region of the neurovascular bundle. J. Urol. 2005, 173, 446–449. [Google Scholar] [CrossRef]
- Martini, A.; Gandaglia, G.; Fossati, N.; Scuderi, S.; Bravi, C.A.; Mazzone, E.; Stabile, A.; Scarcella, S.; Robesti, D.; Barletta, F.; et al. Defining Clinically Meaningful Positive Surgical Margins in Patients Undergoing Radical Prostatectomy for Localised Prostate Cancer. Eur. Urol. Oncol. 2021, 4, 42–48. [Google Scholar] [CrossRef]
- Bill-Axelson, A.; Holmberg, L.; Ruutu, M.; Häggman, M.; Andersson, S.-O.; Bratell, S.; Spångberg, A.; Busch, C.; Nordling, S.; Garmo, H.; et al. Radical prostatectomy versus watchful waiting in early prostate cancer. N. Engl. J. Med. 2005, 352, 1977–1984. [Google Scholar] [CrossRef] [PubMed]
- Schwartz, K.L.; Alibhai, S.M.; Tomlinson, G.; Naglie, G.; Krahn, M.D. Continued undertreatment of older men with localized prostate cancer. Urology 2003, 62, 860–865. [Google Scholar] [CrossRef]
- Hirth, C.G.; Dos Santos, A.M.; de Cerqueira, J.B.G.; Jamacaru, F.V.F.; da Cunha, M.D.P.S.S.; Dornelas, C.A. PanCD44 Immunohistochemical Evaluation in Prostatectomies from Patients with Adenocarcinoma. Biomed. Res. Int. 2018, 2018, 2061268. [Google Scholar] [CrossRef] [PubMed]
- Jothy, S. CD44 and its partners in metastasis. Clin. Exp. Metastasis 2003, 20, 195–201. [Google Scholar] [CrossRef]
- Klarmann, G.J.; Hurt, E.M.; Mathews, L.A.; Zhang, X.; Duhagon, M.A.; Mistree, T.; Thomas, S.B.; Farrar, W.L. Invasive prostate cancer cells are tumor initiating cells that have a stem cell-like genomic signature. Clin. Exp. Metastasis 2009, 26, 433–446. [Google Scholar] [CrossRef]
- Laman, J.D.; Maassen, C.B.; Schellekens, M.M.; Visser, L.; Kap, M.; De Jong, E.; van Puijenbroek, M.; van Stipdonk, M.J.; van Meurs, M.; Schwärzler, C.; et al. Therapy with antibodies against CD40L (CD154) and CD44-variant isoforms reduces experimental autoimmune encephalomyelitis. Mult. Scler. 1998, 4, 147–153. [Google Scholar] [CrossRef]
- Brewster, S.F.; Oxley, J.D.; Trivella, M.; Abbott, C.D.; Gillatt, D.A. Preoperative p53, bcl-2, CD44 and E-cadherin immunohistochemistry as predictors of biochemical relapse after radical prostatectomy. J. Urol. 1999, 161, 1238–1243. [Google Scholar] [CrossRef]
- Noordzij, M.A.; Van Steenbrugge, G.J.; Verkaik, N.S.; Schröder, F.H.; Van Der Kwast, T.H. The prognostic value of CD44 isoforms in prostate cancer patients treated by radical prostatectomy. Clin. Cancer Res. 1997, 3, 805–815. [Google Scholar] [PubMed]
- Cao, D.; Kibel, A.S.; Gao, F.; Tao, Y.; Humphrey, P.A. The Gleason score of tumor at the margin in radical prostatectomy is predictive of biochemical recurrence. Am. J. Surg. Pathol. 2010, 34, 994–1000. [Google Scholar] [CrossRef]
- Alkhateeb, S.; Alibhai, S.; Fleshner, N.; Finelli, A.; Jewett, M.; Zlotta, A.; Nesbitt, M.; Lockwood, G.; Trachtenberg, J. Impact of a positive surgical margin after radical prostatectomy differs by disease risk group. J. Urol. 2010, 183, 145–150. [Google Scholar] [CrossRef]
- Aaltomaa, S.; Lipponen, P.; Viitanen, J.; Kankkunen, J.P.; Ala-Opas, M.; Kosma, V.M. Prognostic value of CD44 standard, variant isoforms 3 and 6 and β-catenin expression in local prostate cancer treated by radical prostatectomy. Eur. Urol. 2000, 38, 555–562. [Google Scholar] [CrossRef]
- Anderson, B.B.; Oberlin, D.T.; Razmaria, A.A.; Choy, B.; Zagaja, G.P.; Shalhav, A.L.; Meeks, J.J.; Yang, X.J.; Paner, G.P.; Eggener, S.E. Extraprostatic extension is extremely rare for contemporary Gleason score 6 prostate cancer. Eur. Urol. 2017, 72, 455. [Google Scholar] [CrossRef] [PubMed]
- Ross, H.M.; Kryvenko, O.N.; Cowan, J.E.; Simko, J.P.; Wheeler, T.M.; Epstein, J.I. Do adenocarcinomas of the prostate with Gleason score ≤6 have the potential to metastasize to lymph nodes? Am. J. Surg. Pathol. 2012, 36, 1346. [Google Scholar] [CrossRef] [PubMed]
- Eggener, S.E.; Berlin, A.; Vickers, A.J.; Paner, G.P.; Wolinsky, H.; Cooperberg, M.R. Low-Grade Prostate Cancer: Time to Stop Calling It Cancer. J. Clin. Oncol. 2022, 40, 3110–3114. [Google Scholar] [CrossRef] [PubMed]
- Inoue, A.; Ohnishi, T.; Nishikawa, M.; Watanabe, H.; Kusakabe, K.; Taniwaki, M.; Yano, H.; Ohtsuka, Y.; Matsumoto, S.; Suehiro, S.; et al. Identification of CD44 as a Reliable Biomarker for Glioblastoma Invasion. Biomedicines 2023, 11, 2369. [Google Scholar] [CrossRef] [PubMed]

| Grade Group * | N (%) |
|---|---|
| 1 | 96 (80.7%) |
| ≥2 | 23 (19.3%) |
| Margins | |
| Neg. | 71 (59.2%) |
| Pos. | 49 (40.8%) |
| pT | |
| pT2 | 89 (74%) |
| pT3 | 31 (26%) |
| Biochemical recurrence ** | |
| Yes | 28 (28.6%) |
| No | 70 (71.4%) |
| PSA (ng/mL, median) | 8.87 ± 7.56 |
| CD44 immunoexpression SCORE (immunoexpression determined in 104 tumors) | |
| 1 | 1 (1%) |
| 2 | 7 (6.7%) |
| 3 | 40 (38.4%) |
| 4 | 48 (46.2%) |
| 5 | 7 (6.7%) |
| 6 | 1(1%) |
| CD44 immunoexpression SCORE | |
| Neg. ≤ 3 | 48 (46.2%) |
| Pos. > 3 | 56 (53.8%) |
| Grade Group | ||||
|---|---|---|---|---|
| Score | 1 | ≥2 | Total | |
| 1 | Count % within column | 0 0% | 1 4.54% | 1 0.97% |
| 2 | 5 6.173% | 2 9.09% | 7 6.79% | |
| 3 | 26 32.099% | 13 59.09% | 39 37.84% | |
| 4 | 42 51.852% | 6 27.27% | 48 46.60% | |
| 5 | 7 8.642% | 0 0% | 7 8.64% | |
| 6 | 1 1.235% | 0 0% | 1 0.97% | |
| Total * | 81 100% | 22 100% | 103 100% | |
| Pos. Margins | ||||
|---|---|---|---|---|
| Score | neg. | pos. | Total | |
| Neg. | Count % within column | 20. 32.78% | 28 65.11% | 48 46.154% |
| Pos. | 41 67.21% | 15 15.00% | 56.000 53.846% | |
| Total | 61 10.00% | 43 100.00% | 104.000 100.000% | |
| Positive/Negative Expression | |||||
|---|---|---|---|---|---|
| Grade Group Margins | Neg. | Pos. | Total | ||
| 1 | Neg. | Count % within column | 17 30.35% | 39 69.64% | 56 100.00% |
| Pos. | 14 56.00% | 11 61.72% | 25 100.00% | ||
| Total | 31 38.27% | 50 61.72% | 81 100.00% | ||
| 2 | Neg. | 2 50.00% | 2 50.00% | 4 100.00% | |
| Pos. | 14 77.77% | 4 22.22% | 18 100.00% | ||
| Total | 16 72.72% | 6 27.27% | 22 100.00% | ||
| 3 | Neg. | 20 32.78% | 41 67.21% | 61 10.00% | |
| Pos. | 28 65.11% | 15 34.88% | 43 100.00% | ||
| Total | 48 46.15% | 56 53.84% | 104 100.00% | ||
Disclaimer/Publisher’s Note: The statements, opinions and data contained in all publications are solely those of the individual author(s) and contributor(s) and not of MDPI and/or the editor(s). MDPI and/or the editor(s) disclaim responsibility for any injury to people or property resulting from any ideas, methods, instructions or products referred to in the content. |
© 2024 by the authors. Published by MDPI on behalf of the Lithuanian University of Health Sciences. Licensee MDPI, Basel, Switzerland. This article is an open access article distributed under the terms and conditions of the Creative Commons Attribution (CC BY) license (https://creativecommons.org/licenses/by/4.0/).
Share and Cite
Oguic, R.; Grskovic, A.; Spanjol, J.; Mikolasevic, I.; Djordjevic, G. CD44 Immunohistochemical Expression in Central and Peripheral Parts of Prostatic Adenocarcinoma: An Institutional Study. Medicina 2024, 60, 2032. https://doi.org/10.3390/medicina60122032
Oguic R, Grskovic A, Spanjol J, Mikolasevic I, Djordjevic G. CD44 Immunohistochemical Expression in Central and Peripheral Parts of Prostatic Adenocarcinoma: An Institutional Study. Medicina. 2024; 60(12):2032. https://doi.org/10.3390/medicina60122032
Chicago/Turabian StyleOguic, Romano, Antun Grskovic, Josip Spanjol, Ivana Mikolasevic, and Gordana Djordjevic. 2024. "CD44 Immunohistochemical Expression in Central and Peripheral Parts of Prostatic Adenocarcinoma: An Institutional Study" Medicina 60, no. 12: 2032. https://doi.org/10.3390/medicina60122032
APA StyleOguic, R., Grskovic, A., Spanjol, J., Mikolasevic, I., & Djordjevic, G. (2024). CD44 Immunohistochemical Expression in Central and Peripheral Parts of Prostatic Adenocarcinoma: An Institutional Study. Medicina, 60(12), 2032. https://doi.org/10.3390/medicina60122032

