Horizontal Bone Augmentation with Simultaneous Implant Placement in the Aesthetic Region: A Case Report and Review of the Current Evidence
Abstract
1. Introduction
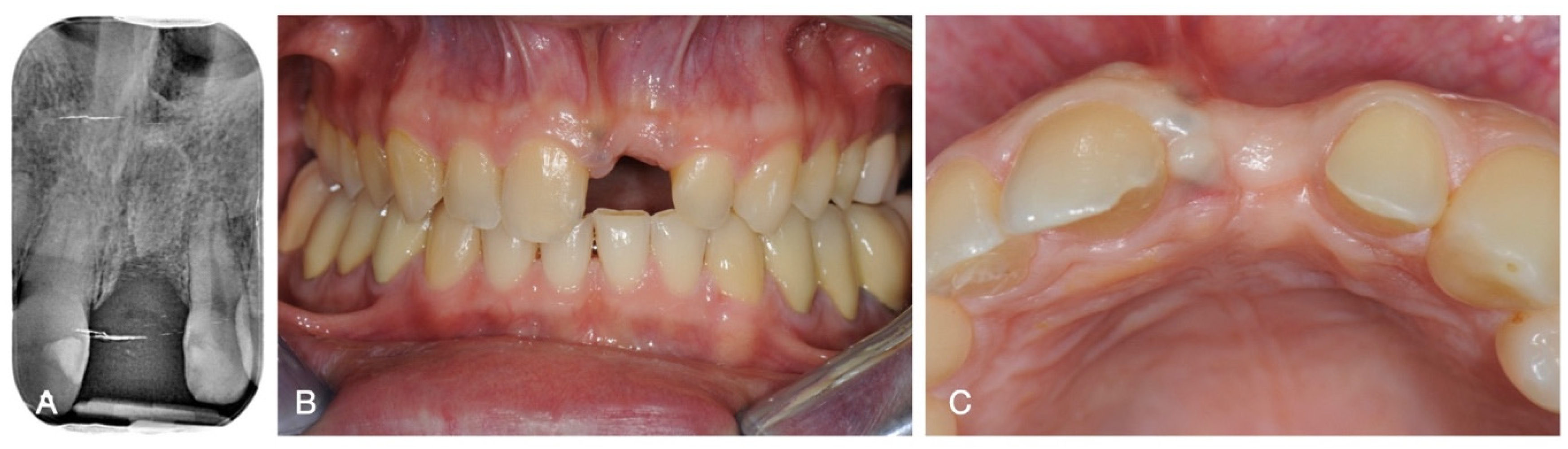
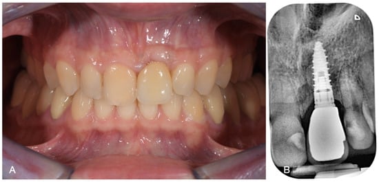
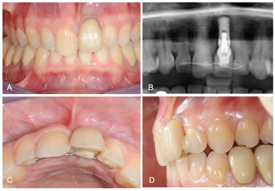
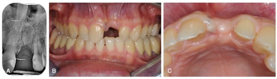
2. Case Report
3. Discussion
4. Conclusions
Author Contributions
Funding
Informed Consent Statement
Data Availability Statement
Conflicts of Interest
References
- Buser, D.; Chappuis, V.; Kuchler, U.; Bornstein, M.M.; Wittneben, J.G.; Buser, R.; Cavusoglu, Y.; Belser, U.C. Long-term stability of early implant placement with contour augmentation. J. Dent. Res. 2013, 92, 176S–182S. [Google Scholar] [CrossRef] [PubMed]
- Urban, I.A.; Nagursky, H.; Lozada, J.L.; Nagy, K. Horizontal ridge augmentation with a collagen membrane and a combination of particulated autogenous bone and anorganic bovine bone–derived mineral: A prospective case series in 25 patients. Int. J. Periodontics Restor. Dent. 2013, 33, 299–307. [Google Scholar] [CrossRef] [PubMed]
- Esposito, M.; Grusovin, M.G.; Kwan, S.; Worthington, H.V.; Coulthard, P. Interventions for replacing missing teeth: Bone augmentation techniques for dental implant treatment. In Cochrane Database of Systematic Reviews; Esposito, M., Ed.; John Wiley & Sons, Ltd.: Hoboken, NJ, USA, 2008. [Google Scholar]
- Wilson, T.G.; Buser, D. Advances in the use of guided tissue regeneration for localized ridge augmentation in combination with dental implants. Tex. Dent. J. 1994, 111, 7–10. [Google Scholar] [PubMed]
- Parisi, L.; Buser, D.; Chappuis, V.; Asparuhova, M.B. Cellular responses to deproteinized bovine bone mineral biofunctionalized with bone-conditioned medium. Clin. Oral Investig. 2021, 25, 2159–2173. [Google Scholar] [CrossRef]
- Mizraji, G.; Davidzohn, A.; Gursoy, M.; Gursoy, U.K.; Shapira, L.; Wilensky, A. Membrane barriers for guided bone regeneration: An overview of available biomaterials. Periodontology 2000 2023, 93, 56–76. [Google Scholar] [CrossRef]
- Buser, D.; Halbritter, S.; Hart, C.; Bornstein, M.M.; Grütter, L.; Chappuis, V.; Belser, U.C. Early implant placement with simultaneous guided bone regeneration following single-tooth extraction in the esthetic zone: 12-month results of a prospective study with 20 consecutive patients. J. Periodontol. 2009, 80, 152–162. [Google Scholar] [CrossRef]
- Gao, Y.; Gao, S.; Yao, Y.; Cai, X. Hard tissue stability outside the buccal bone arch contour after guided bone regeneration in the anterior maxilla: A retrospective cohort radiographic study. Clin. Oral Implants Res. 2023, 34, 1373–1384. [Google Scholar] [CrossRef]
- Urban, I.; Montero, E.; Sanz-Sánchez, I.; Palombo, D.; Monje, A.; Tommasato, G.; Chiapasco, M. Minimal invasiveness in vertical ridge augmentation. Periodontology 2000 2023, 91, 126–144. [Google Scholar] [CrossRef]
- Qian, S.; Pu, Y.; Zhang, X.; Wu, X.Y.; Liu, B.L.; Lai, H.C.; Shi, J.Y. Clinical, radiographic, and esthetic evaluation of immediate implant placement with buccal bone dehiscence in the anterior maxilla: A 1-year prospective case series. Clin. Implant Dent. Relat. Res. 2023, 25, 3–10. [Google Scholar] [CrossRef]
- Renvert, S.; Persson, G.R.; Pirih, F.Q.; Camargo, P.M. Peri-implant health, peri-implant mucositis, and peri-implantitis: Case definitions and diagnostic considerations. J. Clin. Periodontol. 2018, 45, S278–S285. [Google Scholar] [CrossRef]
- Cucchi, A.; Chierico, A.; Fontana, F.; Mazzocco, F.; Cinquegrana, C.; Belleggia, F.; Rossetti, P.; Soardi, C.M.; Todisco, M.; Luongo, R.; et al. Statements and recommendations for guided bone regeneration. Implant Dent. 2019, 28, 388–399. [Google Scholar] [CrossRef] [PubMed]
- ElAskary, A.; Elfana, A.; Meabed, M.; Abd-ElWahab Radi, I.; Akram, M.; Fawzy El-Sayed, K. Immediate implant placement utilizing vestibular socket therapy versus early implant placement with contour augmentation for rehabilitation of compromised extraction sockets in the esthetic zone: A randomized controlled clinical trial. Clin. Implant Dent. Relat. Res. 2022, 24, 559–568. [Google Scholar] [CrossRef] [PubMed]
- Zhou, Y.; Gao, J.; Sheng, M.; Qi, W.; Jin, J.; He, F. Facial alveolar bone alterations and gray value changes based on cone beam computed tomography around maxillary anterior implants: A clinical retrospective study of 1–3 years. Clin. Oral Implants Res. 2020, 31, 476–487. [Google Scholar] [CrossRef] [PubMed]
- Arunjaroensuk, S.; Panmekiate, S.; Pimkhaokham, A. The stability of augmented bone between two different membranes used for guided bone regeneration simultaneous with dental implant placement in the esthetic zone. Int. J. Oral Maxillofac. Implants 2018, 33, 206–216. [Google Scholar] [CrossRef]
- Ye, G.H.; Duan, D.H.; Wang, E.B. Ridge volume stability of maxillary anterior implants placed with simultaneous lateral guided bone regeneration during healing: A radiographic analysis. Chin. J. Dent. Res. 2021, 24, 251–256. [Google Scholar]
- Yu, S.; Saleh, M.H.A.; Wang, H. Simultaneous or staged lateral ridge augmentation: A clinical guideline on the decision-making process. Periodontology 2000 2023, 93, 107–128. [Google Scholar] [CrossRef]
- Mendoza-Azpur, G.; de la Fuente, A.; Chavez, E.; Valdivia, E.; Khouly, I. Horizontal ridge augmentation with guided bone regeneration using particulate xenogenic bone substitutes with or without autogenous block grafts: A randomized controlled trial. Clin. Implant Dent. Relat. Res. 2019, 21, 521–530. [Google Scholar] [CrossRef]
- Wessels, R.; Vervaeke, S.; Seyssens, L.; Eghbali, A.; Cosyn, J. A 5-year cohort study on early implant placement with guided bone regeneration or alveolar ridge preservation with connective tissue graft. Clin. Implant Dent. Relat. Res. 2020, 22, 697–705. [Google Scholar] [CrossRef]
- Liu, R.; Yang, Z.; Tan, J.; Chen, L.; Liu, H.; Yang, J. Immediate implant placement for a single anterior maxillary tooth with a facial bone wall defect: A prospective clinical study with a one-year follow-up period. Clin. Implant Dent. Relat. Res. 2019, 21, 1164–1174. [Google Scholar] [CrossRef]
- Jung, R.E.; Brügger, L.V.; Bienz, S.P.; Hüsler, J.; Hämmerle, C.H.F.; Zitzmann, N.U. Clinical and radiographical performance of implants placed with simultaneous guided bone regeneration using resorbable and nonresorbable membranes after 22–24 years, a prospective, controlled clinical trial. Clin. Oral Implants Res. 2021, 32, 1455–1465. [Google Scholar] [CrossRef]
- Liñares, A.; Dopico, J.; Magrin, G.; Blanco, J. Critical review on bone grafting during immediate implant placement. Periodontology 2000 2023, 93, 309–326. [Google Scholar] [CrossRef] [PubMed]
- Tavelli, L.; Barootchi, S.; Avila-Ortiz, G.; Urban, I.A.; Giannobile, W.V.; Wang, H.L. Peri-implant soft tissue phenotype modification and its impact on peri-implant health: A systematic review and network meta-analysis. J. Periodontol. 2021, 92, 21–44. [Google Scholar] [CrossRef] [PubMed]
- Goyal, L.; Gupta, N.D.; Gupta, N.; Chawla, K. Free Gingival Graft as a Single Step Procedure for Treatment of Mandibular Miller Class I and II Recession Defects. World J. Plast. Surg. 2019, 8, 12–17. [Google Scholar] [CrossRef] [PubMed]
- Botticelli, D.; Berglundh, T.; Lindhe, J. Hard-tissue alterations following immediate implant placement in extraction sites. J. Clin. Periodontol. 2004, 31, 820–828. [Google Scholar] [CrossRef] [PubMed]
- Paolantonio, M.; Dolci, M.; Scarano, A.; d’Archivio, D.; Di Placido, G.; Tumini, V.; Piattelli, A. Immediate implantation in fresh extraction sockets. a controlled clinical and histological study in man. J. Periodontol. 2001, 72, 1560–1571. [Google Scholar] [CrossRef]
- Block, M.S.; Kent, J.N. Placement of endosseous implants into tooth extraction sites. J. Oral Maxillofac. Surg. 1991, 49, 1269–1276. [Google Scholar] [CrossRef]
- Becker, W.; Dahlin, C.; Lekholm, U.; Bergstrom, C.; van Steenberghe, D.; Higuchi, K.; Becker, B.E. Five-year evaluation of implants placed at extraction and with dehiscences and fenestration defects augmented with ePTFE membranes: Results from a prospective multicenter study. Clin. Implant Dent. Relat. Res. 1999, 1, 27–32. [Google Scholar] [CrossRef]
- AlKudmani, H.; ALJasser, R.; Andreana, S. Is bone graft or guided bone regeneration needed when placing immediate dental implants? A systematic review. Implant Dent. 2017, 26, 936–944. [Google Scholar] [CrossRef]




Disclaimer/Publisher’s Note: The statements, opinions and data contained in all publications are solely those of the individual author(s) and contributor(s) and not of MDPI and/or the editor(s). MDPI and/or the editor(s) disclaim responsibility for any injury to people or property resulting from any ideas, methods, instructions or products referred to in the content. |
© 2024 by the authors. Published by MDPI on behalf of the Lithuanian University of Health Sciences. Licensee MDPI, Basel, Switzerland. This article is an open access article distributed under the terms and conditions of the Creative Commons Attribution (CC BY) license (https://creativecommons.org/licenses/by/4.0/).
Share and Cite
Izzetti, R.; Cinquini, C.; Alfonsi, F.; Nisi, M.; Covelli, M.; Garcia Mira, B.; Priami, M.; Barone, A. Horizontal Bone Augmentation with Simultaneous Implant Placement in the Aesthetic Region: A Case Report and Review of the Current Evidence. Medicina 2024, 60, 1786. https://doi.org/10.3390/medicina60111786
Izzetti R, Cinquini C, Alfonsi F, Nisi M, Covelli M, Garcia Mira B, Priami M, Barone A. Horizontal Bone Augmentation with Simultaneous Implant Placement in the Aesthetic Region: A Case Report and Review of the Current Evidence. Medicina. 2024; 60(11):1786. https://doi.org/10.3390/medicina60111786
Chicago/Turabian StyleIzzetti, Rossana, Chiara Cinquini, Fortunato Alfonsi, Marco Nisi, Michele Covelli, Berta Garcia Mira, Mattia Priami, and Antonio Barone. 2024. "Horizontal Bone Augmentation with Simultaneous Implant Placement in the Aesthetic Region: A Case Report and Review of the Current Evidence" Medicina 60, no. 11: 1786. https://doi.org/10.3390/medicina60111786
APA StyleIzzetti, R., Cinquini, C., Alfonsi, F., Nisi, M., Covelli, M., Garcia Mira, B., Priami, M., & Barone, A. (2024). Horizontal Bone Augmentation with Simultaneous Implant Placement in the Aesthetic Region: A Case Report and Review of the Current Evidence. Medicina, 60(11), 1786. https://doi.org/10.3390/medicina60111786

