Ocular Manifestation of Granulomatosis with Polyangiitis Presenting as Serous Retinal Detachment: A Case Report
Abstract
1. Introduction
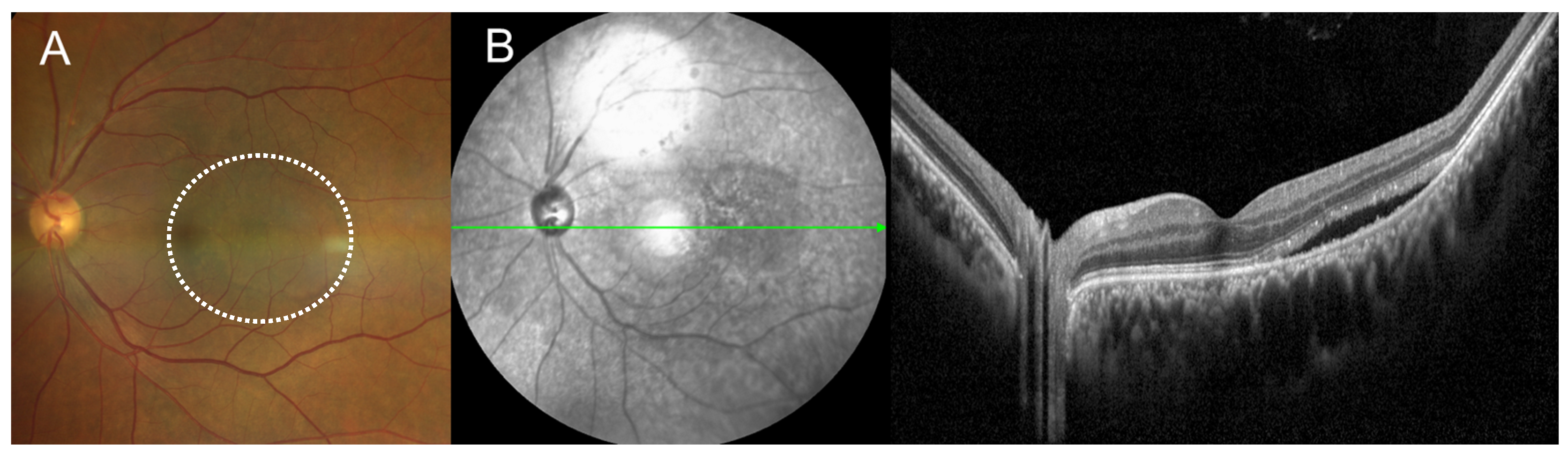
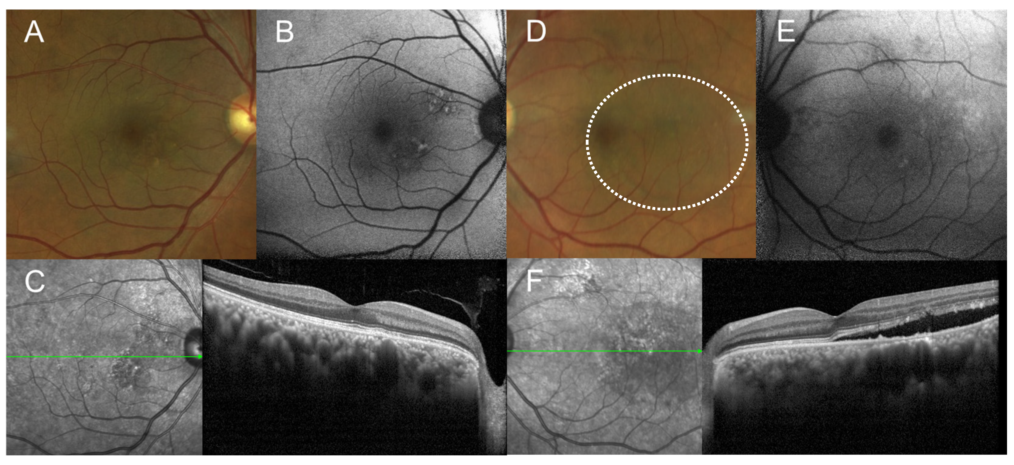
2. Case Presentation
3. Discussion
Author Contributions
Funding
Institutional Review Board Statement
Informed Consent Statement
Data Availability Statement
Conflicts of Interest
References
- Catanoso, M.; Macchioni, P.; Boiardi, L.; Manenti, L.; Tumiati, B.; Cavazza, A.; Luberto, F.; Pipitone, N.; Salvarani, C. Epidemiology of granulomatosis with polyangiitis (Wegener’s granulomatosis) in Northern Italy: A 15-year population-based study. Semin. Arthritis Rheum. 2014, 44, 202–207. [Google Scholar] [CrossRef] [PubMed]
- Sfiniadaki, E.; Tsiara, I.; Theodossiadis, P.; Chatziralli, I. Ocular Manifestations of Granulomatosis with Polyangiitis: A Review of the Literature. Ophthalmol. Ther. 2019, 8, 227–234. [Google Scholar] [CrossRef] [PubMed]
- Greco, A.; Marinelli, C.; Fusconi, M.; Macri, G.F.; Gallo, A.; De Virgilio, A.; Zambetti, G.; de Vincentiis, M. Clinic manifestations in granulomatosis with polyangiitis. Int. J. Immunopathol. Pharmacol. 2016, 29, 151–159. [Google Scholar] [CrossRef] [PubMed]
- Comarmond, C.; Cacoub, P. Granulomatosis with polyangiitis (Wegener): Clinical aspects and treatment. Autoimmun. Rev. 2014, 13, 1121–1125. [Google Scholar] [CrossRef]
- Tarabishy, A.B.; Schulte, M.; Papaliodis, G.N.; Hoffman, G.S. Wegener’s granulomatosis: Clinical manifestations, differential diagnosis, and management of ocular and systemic disease. Surv. Ophthalmol. 2010, 55, 429–444. [Google Scholar] [CrossRef]
- Tugal-Tutkun, I. Systemic vasculitis and the eye. Curr. Opin. Rheumatol. 2017, 29, 24–32. [Google Scholar] [CrossRef]
- Proia, A.D. Granulomatous choroiditis in Wegener granulomatosis. Arch. Ophthalmol. 2011, 129, 520–521. [Google Scholar] [CrossRef]
- Lim, L.T.; Vasudevan, V.; Shelton, J.; Vitale, A.T.; Moorthy, R. Macula retinal vasculitis and choroiditis associated with granulomatosis with polyangiitis. Retin. Cases Brief Rep. 2017, 11, 119–122. [Google Scholar] [CrossRef]
- Takashi, N.; Nakamura, A.; Kataoka, K.; Usui, Y.; Ito, Y.; Kaneko, H. Optical coherence tomography angiography for the diagnosis of granulomatosis with polyangiitis with serous retinal detachment: A case report. Medicine 2021, 100, e24789. [Google Scholar] [CrossRef]
- Junek, M.L.; Zhao, L.; Garner, S.; Cuthbertson, D.; Pagnoux, C.; Koening, C.L.; Langford, C.A.; McAlear, C.A.; Monach, P.A.; Moreland, L.W.; et al. Ocular manifestations of ANCA-associated vasculitis. Rheumatology 2023, 62, 2517–2524. [Google Scholar] [CrossRef]
- Rothschild, P.R.; Pagnoux, C.; Seror, R.; Brézin, A.P.; Delair, E.; Guillevin, L. Ophthalmologic manifestations of systemic necrotizing vasculitides at diagnosis: A retrospective study of 1286 patients and review of the literature. Semin. Arthritis Rheum. 2013, 42, 507–514. [Google Scholar] [CrossRef] [PubMed]
- Ungprasert, P.; Crowson, C.S.; Cartin-Ceba, R.; Garrity, J.A.; Smith, W.M.; Specks, U.; Matteson, E.L.; Makol, A. Clinical characteristics of inflammatory ocular disease in anti-neutrophil cytoplasmic antibody associated vasculitis: A retrospective cohort study. Rheumatology 2017, 56, 1763–1770. [Google Scholar] [CrossRef] [PubMed]
- Kubaisi, B.; Abu Samra, K.; Foster, C.S. Granulomatosis with polyangiitis (Wegener’s disease): An updated review of ocular disease manifestations. Intractable Rare Dis. Res. 2016, 5, 61–69. [Google Scholar] [CrossRef]
- Turk, M.A.; Hayworth, J.L.; Nevskaya, T.; Pope, J.E. Ocular Manifestations in Rheumatoid Arthritis, Connective Tissue Disease, and Vasculitis: A Systematic Review and Metaanalysis. J. Rheumatol. 2021, 48, 25–34. [Google Scholar] [CrossRef] [PubMed]
- Faz-Muñoz, D.; Hinojosa-Azaola, A.; Mejía-Vilet, J.M.; Uribe-Uribe, N.O.; Rull-Gabayet, M.; Muñoz-Castañeda, W.R.; Vargas-Parra, N.J.; Martín-Nares, E. ANCA-associated vasculitis and IgG4-related disease overlap syndrome: A case report and literature review. Immunol. Res. 2022, 70, 550–559. [Google Scholar] [CrossRef] [PubMed]
- Hinojosa-Azaola, A.; García-Castro, A.; Juárez-Flores, A.; Recillas-Gispert, C. Clinical significance of ocular manifestations in granulomatosis with polyangiitis: Association with sinonasal involvement and damage. Rheumatol. Int. 2019, 39, 489–495. [Google Scholar] [CrossRef]
- Straatsma, B.R. Ocular manifestations of Wegener’s granulomatosis. Am. J. Ophthalmol. 1957, 44, 789–799. [Google Scholar] [CrossRef]
- Haynes, B.F.; Fishman, M.L.; Fauci, A.S.; Wolff, S.M. The ocular manifestations of Wegener’s granulomatosis. Fifteen years experience and review of the literature. Am. J. Med. 1977, 63, 131–141. [Google Scholar] [CrossRef]
- Leveille, A.S.; Morse, P.H. Combined detachments in Wegener’s granulomatosis. Br. J. Ophthalmol. 1981, 65, 564–567. [Google Scholar] [CrossRef]
- Coutu, R.E.; Klein, M.; Lessell, S.; Friedman, E.; Snider, G.L. Limited form of Wegener granulomatosis. Eye involvement as a major sign. JAMA 1975, 233, 868–871. [Google Scholar] [CrossRef]
- Hsu, C.T.; Harlan, J.B.; Goldberg, M.F.; Dunn, J.P. Acute posterior multifocal placoid pigment epitheliopathy associated with a systemic necrotizing vasculitis. Retina 2003, 23, 64–68. [Google Scholar] [CrossRef] [PubMed]
- Herbort, C.P.; Cimino, L.; Abu El Asrar, A.M. Ocular vasculitis: A multidisciplinary approach. Curr. Opin. Rheumatol. 2005, 17, 25–33. [Google Scholar] [CrossRef] [PubMed]
- Kinyoun, J.L.; Kalina, R.E.; Klein, M.L. Choroidal involvement in systemic necrotizing vasculitis. Arch. Ophthalmol. 1987, 105, 939–942. [Google Scholar] [CrossRef] [PubMed]
- Chiquet, C.; Lumbroso, L.; Denis, P.; Papo, T.; Durieu, I.; Lehoang, P. Acute posterior multifocal placoid pigment epitheliopathy associated with Wegener’s granulomatosis. Retina 1999, 19, 309–313. [Google Scholar] [CrossRef]
- Damato, E.M.; Moriarty, J.T.; Harper, S.J.; Dick, A.D.; Bailey, C.C. Plasmapheresis in the management of choroidal vasculitis associated with C-anca positive renal vasculitis. Retin. Cases Brief Rep. 2010, 4, 356–360. [Google Scholar] [CrossRef]




Disclaimer/Publisher’s Note: The statements, opinions and data contained in all publications are solely those of the individual author(s) and contributor(s) and not of MDPI and/or the editor(s). MDPI and/or the editor(s) disclaim responsibility for any injury to people or property resulting from any ideas, methods, instructions or products referred to in the content. |
© 2024 by the authors. Published by MDPI on behalf of the Lithuanian University of Health Sciences. Licensee MDPI, Basel, Switzerland. This article is an open access article distributed under the terms and conditions of the Creative Commons Attribution (CC BY) license (https://creativecommons.org/licenses/by/4.0/).
Share and Cite
Lee, J.; Choi, J.; Yu, S.-Y.; Kim, K. Ocular Manifestation of Granulomatosis with Polyangiitis Presenting as Serous Retinal Detachment: A Case Report. Medicina 2024, 60, 1690. https://doi.org/10.3390/medicina60101690
Lee J, Choi J, Yu S-Y, Kim K. Ocular Manifestation of Granulomatosis with Polyangiitis Presenting as Serous Retinal Detachment: A Case Report. Medicina. 2024; 60(10):1690. https://doi.org/10.3390/medicina60101690
Chicago/Turabian StyleLee, Junwoo, Jaehwan Choi, Seung-Young Yu, and Kiyoung Kim. 2024. "Ocular Manifestation of Granulomatosis with Polyangiitis Presenting as Serous Retinal Detachment: A Case Report" Medicina 60, no. 10: 1690. https://doi.org/10.3390/medicina60101690
APA StyleLee, J., Choi, J., Yu, S.-Y., & Kim, K. (2024). Ocular Manifestation of Granulomatosis with Polyangiitis Presenting as Serous Retinal Detachment: A Case Report. Medicina, 60(10), 1690. https://doi.org/10.3390/medicina60101690

