Association of Schimmelpenning Syndrome with Astrocytoma (WHO Grade 3): Case Report
Abstract
1. Introduction
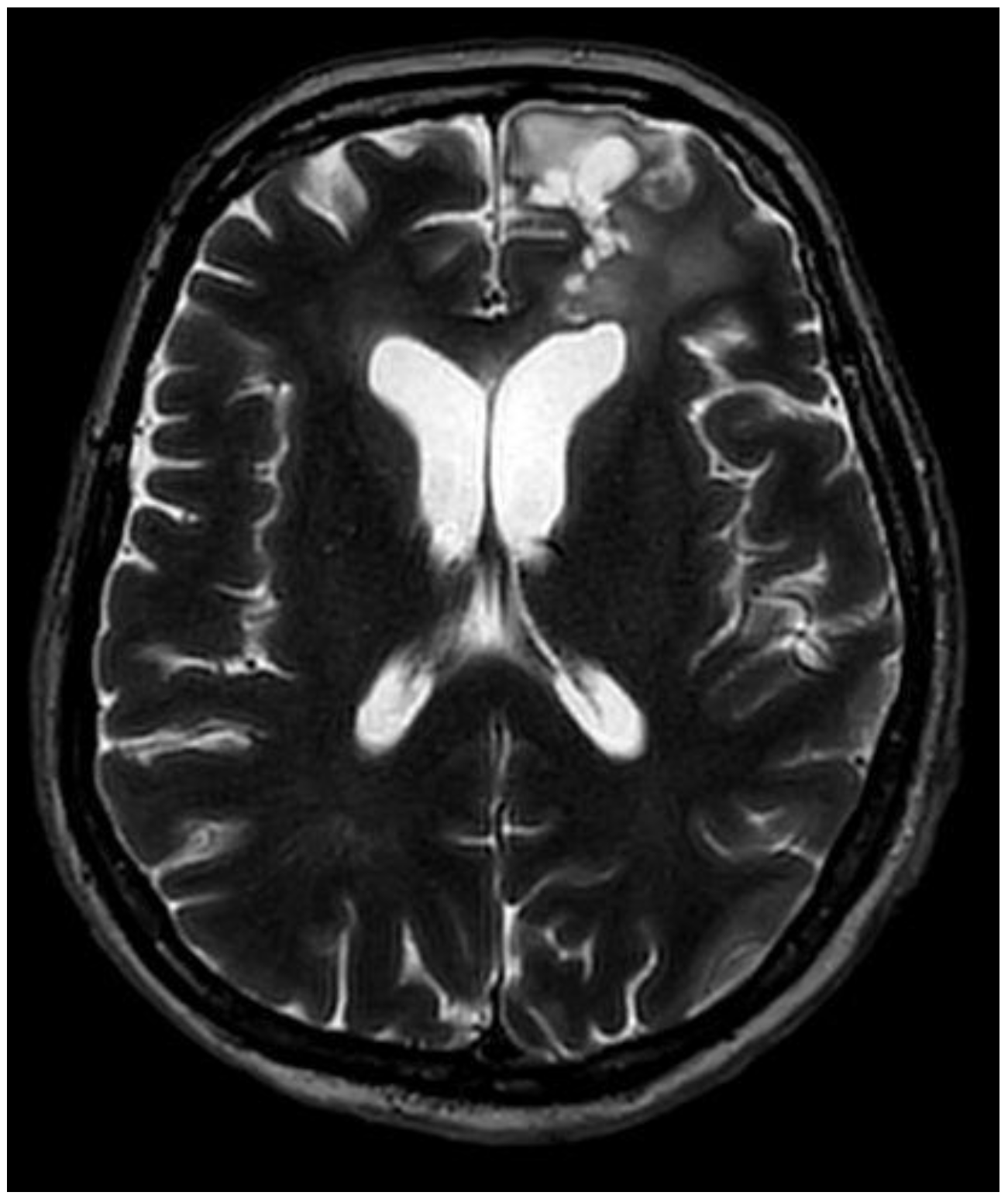
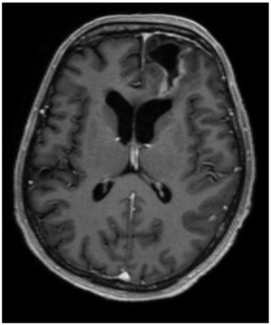
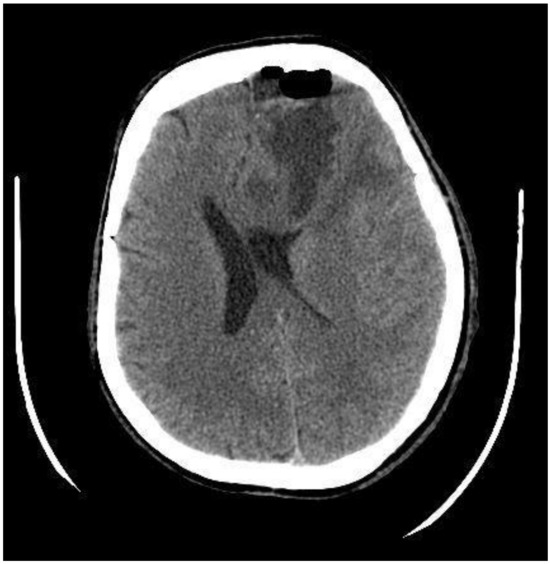
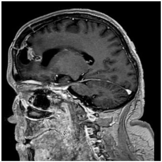
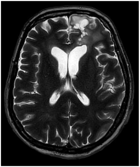
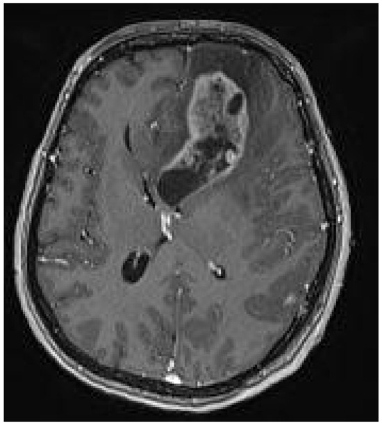
2. Case Presentation
3. Discussion
4. Conclusions
Author Contributions
Funding
Institutional Review Board Statement
Informed Consent Statement
Data Availability Statement
Conflicts of Interest
References
- Happle, R. The group of epidermal nevus syndromes Part I. Well-defined phenotypes. J. Am. Acad. Dermatol. 2010, 63, 1–22. [Google Scholar] [CrossRef] [PubMed]
- Chiang, M.C.; McDowell, M.M.; Weaver, K.; Broniscer, A.; Greene, S. Is Schimmelpenning Syndrome Associated with Intracranial Tumors? A Case Report. Pediatr. Neurosurg. 2019, 3, 201–206. [Google Scholar] [CrossRef] [PubMed]
- Sharma, R.; Singal, A.; Verma, P.; Rohatgi, J.; Sharma, S. Epidermal nevus syndrome associated with unusual neurological, ocular, and skeletal features. Indian J. Dermatol. Venereol. Leprol. 2012, 78, 480–483. [Google Scholar] [PubMed]
- Baker, R.S.; Ross, P.A.; Baumann, R.J. Neurologic complications of the epidermal nevus syndrome. Arch. Neurol. 1987, 44, 227–232. [Google Scholar] [CrossRef] [PubMed]
- Groesser, L.; Herschberger, E.; Ruetten, A.; Ruivenkamp, C.; Lopriore, E.; Zutt, M.; Langmann, T.; Singer, S.; Klingseisen, L.; Schneider-Brachert, W.; et al. Postzygotic HRAS and KRAS mutations cause nevus sebaceous and Schimmelpenning syndrome. Nat. Genet. 2012, 44, 783–787. [Google Scholar] [CrossRef] [PubMed]
- De Simone, M.; Conti, V.; Palermo, G.; De Maria, L.; Iaconetta, G. Advancements in Glioma Care: Focus on Emerging Neurosurgical Techniques. Biomedicines 2024, 12, 8. [Google Scholar] [CrossRef]
- Dwiyana, R.F.; Hazari, M.N.; Diana, I.A.; Gondokaryono, S.P.; Effendi, R.M.R.A.; Gunawan, H. Schimmelpenning Syndrome with Large Nevus Sebaceous and Multiple Epidermal Nevi. Case Rep. Dermatol. 2020, 12, 186–191. [Google Scholar] [CrossRef] [PubMed] [PubMed Central]
- Happle, R. Nevus sebaceous is a mosaic RASopathy. J. Investig. Dermatol. 2013, 133, 597–600. [Google Scholar] [CrossRef]
- Van de Warrenburg, B.P.; Van Gulik, S.; Renier, W.O.; Lammens, M.; Doelman, J.C. The linear naevus sebaceus syndrome. Clin. Neurol. Neurosurg. 1998, 100, 126–132. [Google Scholar] [CrossRef] [PubMed]
- Riemenschneider, M.J.; Reifenberger, G. Molecular Neuropathology of Gliomas. Int. J. Mol. Sci. 2009, 10, 184–212. [Google Scholar] [CrossRef]
- Watanabe, Y.; Shido, K.; Niihori, T.; Niizuma, H.; Katata, Y.; Iizuka, C.; Oba, D.; Moriya, K.; Saito-Nanjo, Y.; Onuma, M.; et al. Somatic BRAF c.1799T>A p.V600E Mosaicism syndrome characterized by a linear syringocystadenoma papilliferum, anaplastic astrocytoma, and ocular abnormalities. Am. J. Med. Genet. A 2016, 170A, 189–194. [Google Scholar] [CrossRef] [PubMed]
- Kamate, M.; Dumale, A.; Hattiholi, V. Parenchymal brain cysts in Schimmelpenning-Feuer-stein-Mims syndrome. Neurol. India 2009, 57, 225–226. [Google Scholar] [CrossRef] [PubMed]
- De Vito, A.; Taranath, A.; Dahmoush, H.; Ganapathy, S.S.; Sudhakar, S.; Mankad, K. Neuroimaging manifestations of epidermal nevus syndrome. Quant. Imaging Med. Surg. 2021, 11, 415–422. [Google Scholar] [CrossRef] [PubMed] [PubMed Central]
- Shields, C.N.; Shields, C.L.; Lin, C.J.; Menacker, S.J.; Shields, J.A. Calcified scleral choristoma in organoid nevus syndrome simulating retinoblastoma. J. Pediatr. Ophthalmol. Strabismus. 2014, 51, e1–e3. [Google Scholar] [CrossRef] [PubMed]
- Chandravanshi, S.L. Encephalocraniocutaneous lipomatosis: A case report and review of the literature. Indian J. Ophthalmol. 2014, 62, 622–627. [Google Scholar] [CrossRef]
- Okumura, A.; Lee, T.; Ikeno, M.; Shimojima, K.; Kajino, K.; Inoue, Y.; Yoshikawa, N.; Suganuma, H.; Suzuki, M.; Hisata, K.; et al. A severe form of epidermal nevus syndrome associated with brainstem and cerebellar malformations and neonatal medulloblastoma. Brain Dev. 2012, 34, 881–885. [Google Scholar] [CrossRef] [PubMed]
- Seifert, F.; Jäger, T.; Ring, J.; Chen, W. Concurrence of linear epidermal nevus and nevus flammeus in a man with optic pathway glioma: Coincidence or phacomatosis? Int. J. Dermatol. 2012, 51, 592–593. [Google Scholar] [CrossRef]
- Nour, I.; Abdel-Hady, H.; Nasef, N.; Shaaban, A.A. Linear nevus sebaceous syndrome in a neonate conceived by intracytoplasmic sperm injection. J. Clin. Neonatol. 2012, 1, 143–145. [Google Scholar] [CrossRef] [PubMed] [PubMed Central]
- Lin, H.; Yan, J. Linear nevus sebaceous syndrome in a patient with atypical associated abnormalities. J. Pediatr. Ophthalmol. Strabismus 2010, 47, e1–e4. [Google Scholar] [CrossRef]
- Park, J.M.; Kim, D.S.; Kim, J.; Lee, M.G.; Oh, S.H. Epibulbar complex choristoma and hemimegalencephaly in linear sebaceous naevus syndrome. Clin. Exp. Dermatol. 2009, 34, e686–e689. [Google Scholar] [CrossRef]
- Yan, J.; Qiu, H.; Li, Y. Linear nevus sebaceous syndrome associated with choroidal hemangioma. Orbit 2007, 26, 331–335. [Google Scholar] [CrossRef] [PubMed]
- Canyigit, M.; Oguz, K.K. Epidermal nevus syndrome with internal carotid artery occlusion and intracranial and orbital lipomas. AJNR Am. J. Neuroradiol. 2006, 27, 1559–1561. [Google Scholar]
- Mall, V.; Heinen, F.; Uhl, M.; Wellens, E.; Korinthenberg, R. CNS lipoma in patients with epidermal nevus syndrome. Neuropediatrics 2000, 31, 175–179. [Google Scholar] [CrossRef] [PubMed]
- Brodsky, M.C.; Kincannon, J.M.; Nelson-Adesokan, P.; Brown, H.H. Oculocerebral dysgenesis in the linear nevus sebaceous syndrome. Ophthalmology 1997, 104, 497–503. [Google Scholar] [CrossRef] [PubMed]
- Barth, P.G.; Valk, J.; Kalsbeek, G.L.; Blom, A. Organoid nevus syndrome (linear nevus sebaceus of Jadassohn): Clinical and radiological study of a case. Neuropadiatrie 1977, 8, 418–428. [Google Scholar] [CrossRef]
- Mullaney, P.B.; Weatherhead, R.G. Epidermal nevus syndrome associated with a complex choristoma and a bilateral choroidal osteoma. Arch. Ophthalmol. 1996, 114, 1292–1293. [Google Scholar] [CrossRef]
- Seawright, A.A.; Sullivan, T.J.; Pelekanos, J.T.; Masel, J. Coexistent orbital and cerebellar venous anomalies in linear sebaceous naevus syndrome. Aust. N. Z. J. Ophthalmol. 1996, 24, 373–376. [Google Scholar] [CrossRef]
- Sato, K.; Kubota, T.; Kitai, R. Linear sebaceous nevus syndrome (sebaceous nevus of Jadassohn) associated with abnormal neuronal migration and optic glioma: Case report. Neurosurgery 1994, 35, 318–320. [Google Scholar] [CrossRef]
- Grimalt, R.; Ermacora, E.; Mistura, L.; Russo, G.; Tadini, G.L.; Triulzi, F.; Cavicchini, S.; Rondanini, G.F.; Caputo, R. Encephalocraniocutaneous lipomatosis: Case report and review of the literature. Pediatr. Dermatol. 1993, 10, 164–168. [Google Scholar] [CrossRef]
- Clancy, R.R.; Kurtz, M.B.; Baker, D.; Sladky, J.T.; Honig, P.J.; Younkin, D.P. Neurologic manifestations of the organoid nevus syndrome. Arch. Neurol. 1985, 42, 236–240. [Google Scholar] [CrossRef]
- Levin, S.; Robinson, R.O.; Aicardi, J.; Hoare, R.D. Computed tomography appearances in the linear sebaceous naevus syndrome. Neuroradiology 1984, 6, 469–472. [Google Scholar] [CrossRef] [PubMed]
- Moskowitz, R.; Honig, P.J. Nevus sebaceus in association with an intracranial mass. J. Am. Acad. Dermatol. 1982, 6, 1078–1080. [Google Scholar] [CrossRef] [PubMed]
- Choi, B.H.; Kudo, M. Abnormal neuronal migration and gliomatosis cerebri in epidermal nevus syndrome. Acta Neuropathol. 1981, 4, 319–325. [Google Scholar] [CrossRef] [PubMed]
- Andriola, M. Nevus unius lateralis and brain tumor. Am. J. Dis. Child. 1976, 130, 1259–1261. [Google Scholar] [CrossRef]
- Mollica, F.; Pavone, L.; Nuciforo, G. Linear sebaceous nevus syndrome in a newborn. Am. J. Dis. Child. 1974, 128, 868–871. [Google Scholar] [CrossRef]
- Meyerson, L.B. Nevus unius lateralis, brain tumor, and diencephalic syndrome. Arch. Dermatol. 1967, 95, 501–504. [Google Scholar] [CrossRef]
- De Simone, M.; Iaconetta, G.; Palermo, G.; Fiorindi, A.; Schaller, K.; De Maria, L. Clustering Functional Magnetic Resonance Imaging Time Series in Glioblastoma Characterization: A Review of the Evolution, Applications, and Potentials. Brain Sci. 2024, 14, 296. [Google Scholar] [CrossRef]
- Han, S.; Liu, Y.; Cai, S.J.; Qian, M.; Ding, J.; Larion, M.; Gilbert, M.R.; Yang, C. IDH mutation in glioma: Molecular mechanisms and potential therapeutic targets. Br. J. Cancer 2020, 122, 1580–1589. [Google Scholar] [CrossRef] [PubMed] [PubMed Central]
- Solomou, G.; Finch, A.; Asghar, A.; Bardella, C. Mutant IDH in Gliomas: Role in Cancer and Treatment Options. Cancers 2023, 15, 2883. [Google Scholar] [CrossRef] [PubMed] [PubMed Central]
- De Simone, M.; Zoia, C.; Choucha, A.; Kong, D.-S.; De Maria, L. The Transorbital Approach: A Comprehensive Review of Targets, Surgical Techniques, and Multiportal Variants. J. Clin. Med. 2024, 13, 2712. [Google Scholar] [CrossRef]







| Disorder | Tumor Type | Reference |
|---|---|---|
| Schimmelpenning syndrome | Astrocytoma | Chiang MC et al. [2], 2019 |
| Schimmelpenning-like syndrome (unclear) | Astrocytoma | Watanabe et al. [11], 2016 |
| Schimmelpenning syndrome | Parenchymal cyst | Kamate et al. [12], 2009 |
| Disorder | Tumor Type | Reference |
|---|---|---|
| Epidermal nevus syndrome | Lipoma; Medulloblastoma | De Vito et al. [13] 2021 |
| Organoid nevus syndrome | Scleral choristoma | Shields et al. [14], 2014 |
| Encephalocraniocutaneous lipomatosis | Lipoma | Chandravanshi [15], 2014 |
| Epidermal nevus syndrome | Medulloblastoma | Okumura et al. [16], 2012 |
| Epidermal nevus syndrome | Complex choristoma; Arachnoid cyst, Scleral osteoma | Sharma et al. [3], 2012 |
| Phakomatosis pigmentovascularis-like (Unclear) | Optic glioma | Seifert et al. [17], 2012 |
| Linear sebaceous nevus syndrome | Arachnoid cyst | Nour I. et al. [18], 2012 |
| Linear sebaceous nevus syndrome | Complex choristoma | Lin and Yan [19], 2010 |
| Linear sebaceous nevus syndrome | Complex choristoma | Park et al. [20], 2009 |
| Linear sebaceous nevus syndrome | Choroidal hemangioma | Yan et al. [21], 2007 |
| Epidermal nevus syndrome | Left orbital and cerebellopontine angle cistern lipomas | Canyigit and Oguz [22] 2006 |
| Encephalocraniocutaneous lipomatosis | Lipoma | Mall et al. [23], 2000 |
| Linear sebaceous nevus syndrome | Complex conjunctival choristoma | Brodsky et al. [24], 1997 |
| Linear sebaceous nevus syndrome | Hamartoma of the right lateral ventricle | Barth et al. [25], 1977 |
| Epidermal nevus syndrome | Choroidal osteoma; complex choristoma | Mullaney and Weatherhead [26], 1996 |
| Linear sebaceous nevus syndrome | Cerebellar venous angioma | Seawright et al. [27], 1996 |
| Linear sebaceous nevus syndrome | Optic glioma | Sato et al. [28], 1994 |
| Encephalocraniocutaneous lipomatosis | Lipoma | Grimalt et al. [29], 1993 |
| Organoid nevus syndrome | Meningo-encephalo-angioneurinomatosis | Clancy et al. [30], 1985 |
| Linear sebaceous nevus syndrome | Choroid plexus papilloma; Anterior horn ependyma | Levin et al. [31], 1984 |
| Nevus sebaceous | Hamartoma | Moskowitz and Honig [32], 1982 |
| Nevus sebaceus | Meningoencephaloangioneurinomatosis | Moskowitz R et al. [32] 1982 |
| Epidermal nevus syndrome | Gliomatosis | Choi and Kudo [33], 1981 |
| Linear sebaceous nevus syndrome | Right lateral ventricle hamartoma | Barth et al. [25], 1977 |
| Nevus unius lateralis | Glioma | Andriola [34], 1976 |
| Linear sebaceous nevus syndrome | Leptomeningeal hemangioma | Mollica et al. [35], 1974 |
| Nevus unius lateralis | Astrocytoma | Meyerson [36], 1967 |
Disclaimer/Publisher’s Note: The statements, opinions and data contained in all publications are solely those of the individual author(s) and contributor(s) and not of MDPI and/or the editor(s). MDPI and/or the editor(s) disclaim responsibility for any injury to people or property resulting from any ideas, methods, instructions or products referred to in the content. |
© 2024 by the authors. Published by MDPI on behalf of the Lithuanian University of Health Sciences. Licensee MDPI, Basel, Switzerland. This article is an open access article distributed under the terms and conditions of the Creative Commons Attribution (CC BY) license (https://creativecommons.org/licenses/by/4.0/).
Share and Cite
Tumova, A.; Auslands, K.; Millers, A.; Priede, Z.; Buks, M.; Ozola, A.; Ozoliņa, E.; Bicāns, K.; Ulmanis, R. Association of Schimmelpenning Syndrome with Astrocytoma (WHO Grade 3): Case Report. Medicina 2024, 60, 1688. https://doi.org/10.3390/medicina60101688
Tumova A, Auslands K, Millers A, Priede Z, Buks M, Ozola A, Ozoliņa E, Bicāns K, Ulmanis R. Association of Schimmelpenning Syndrome with Astrocytoma (WHO Grade 3): Case Report. Medicina. 2024; 60(10):1688. https://doi.org/10.3390/medicina60101688
Chicago/Turabian StyleTumova, Aija, Kaspars Auslands, Andrejs Millers, Zanda Priede, Māris Buks, Agnese Ozola, Elīna Ozoliņa, Kārlis Bicāns, and Rūdolfs Ulmanis. 2024. "Association of Schimmelpenning Syndrome with Astrocytoma (WHO Grade 3): Case Report" Medicina 60, no. 10: 1688. https://doi.org/10.3390/medicina60101688
APA StyleTumova, A., Auslands, K., Millers, A., Priede, Z., Buks, M., Ozola, A., Ozoliņa, E., Bicāns, K., & Ulmanis, R. (2024). Association of Schimmelpenning Syndrome with Astrocytoma (WHO Grade 3): Case Report. Medicina, 60(10), 1688. https://doi.org/10.3390/medicina60101688

