Multiple Small Bowel Cavernous Hemangiomatosis: Case Report and Literature Review
Abstract
1. Introduction
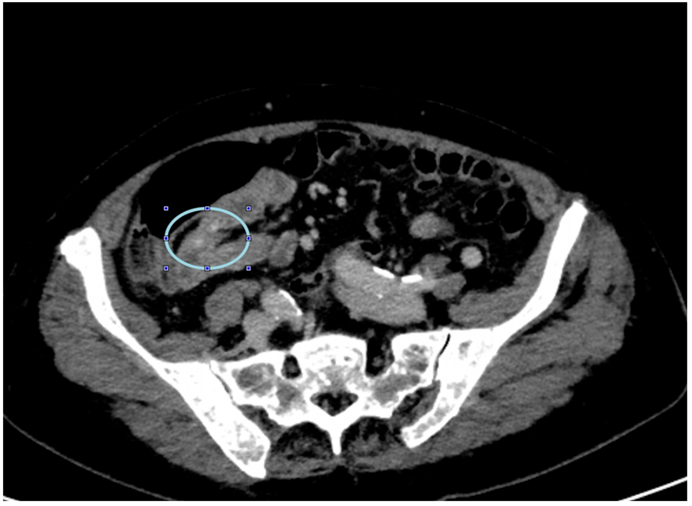
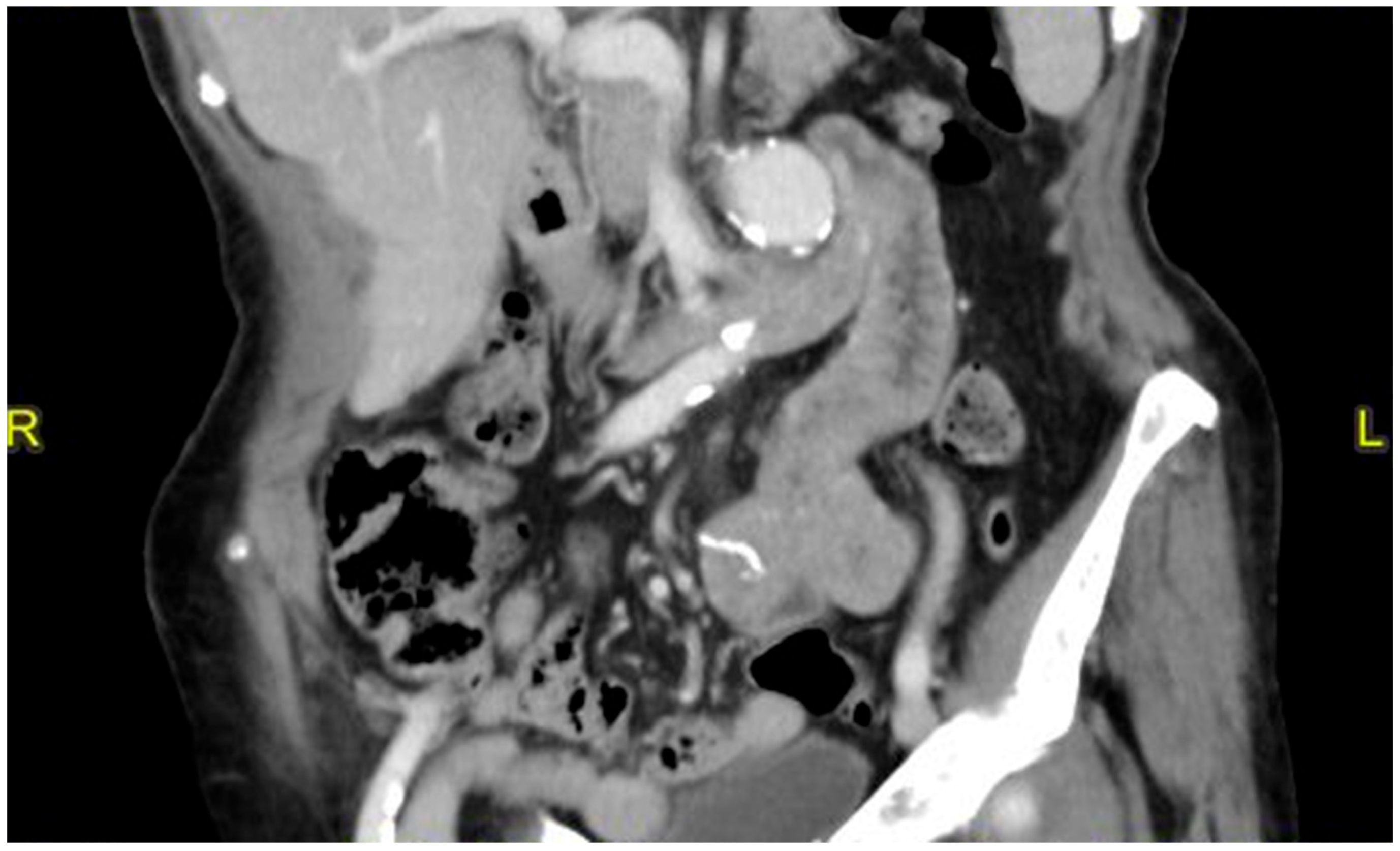
2. Case Presentation
3. Results
4. Learning Points
- Small bowel cavernous hemangioma is rare and difficult to diagnose, involving a multidisciplinary team (radiologist, endoscopist, surgeons, and pathologist).
- Prompt surgical intervention is a key point in treating these patients.
- Laparoscopy might play an important role as a diagnostic and therapeutic tool.
- Intraoperative enteroscopy could be an option when the source of bleeding is unclear.
5. New Findings
- This case report emphasizes the possible multiple localizations and/or recurrence of bowel cavernous hemangioma.
- Although definitive treatment would involve complete removal of the disease, this goal must be balanced with the real risk of short bowel syndrome.
6. Conclusions
Author Contributions
Funding
Institutional Review Board Statement
Informed Consent Statement
Data Availability Statement
Conflicts of Interest
References
- D’Armiento, F.P.; Cardillo, M.; D’Antonio, M.; Purri, P. Hemangioma of the small bowel. Case report. Panminerva Medica 1989, 31, 148–150. [Google Scholar]
- Purdy-Payne, E.K.; Miner, J.F.; Foles, B.; Tran, T.A.N. The “Endothelialized Muscularis Mucosae”: A Case Report Describing a Large Cavernous Hemangioma at the Terminal Ileum and a New Histologic Clue for Preoperative Diagnosis from Endoscopic Biopsy. Case Rep. Gastrointest. Med. 2015, 2015, 454836. [Google Scholar] [CrossRef][Green Version]
- Parker, W.T.; Harper, J.G.; Rivera, D.E.; Holsten, S.B.; Bowden, T. Mesenteric cavernous hemangioma involving small bowel and appendix: A rare presentazione of a vascular tumor. Am. Surg. 2009, 75, 811–816. [Google Scholar] [CrossRef] [PubMed]
- Abdul Aziz, D.A.; Khandasamy, Y.; Tamba, R.P.; Zaki, F.M. Bleeding small bowel cavernous hemangioma following blunt trauma to the abdomen presenting as subacute intestinal obstruction in a child. BMJ Case 2011, 2011, bcr0820114672. [Google Scholar] [CrossRef]
- Akazawa, Y.; Hiramatsu, K.; Nosaka, T.; Saito, Y.; Ozaki, Y.; Takahashi, K.; Naito, T.; Ofuji, K.; Matsuda, H.; Ohtani, M.; et al. Preoperative diagnosis of cavernous hemangioma presenting with melena using wireless capsule endoscopy of the small intestine. Endosc. Int. Open 2016, 04, E249–E251. [Google Scholar] [CrossRef][Green Version]
- Gerson, L.B.; Filder, J.L.; Cave, D.R.; Laighton, J.A. ACG Clinical Guideline: Diagnosis and Management of Small Bowel Bleeding. Am. J. Gastroenterol. 2015, 110, 1265–1287. [Google Scholar] [CrossRef]
- Cox, J.M. Cavernous Hemangioma (Cavernoma) of the ileum. J. Natl. Med. Assoc. 1949, 41, 259–261. [Google Scholar]
- Grilli, P.; Manes, L.; Maturo, A.; Carugno, F.; Camelo, M.; Governatori, N.; Rainaldi, R.; Angelini, P.; Maggiore, D.; Salvati, B.; et al. Cavernous Hemangioma of the small intestine. Il G. Chirurgia. 1989, 10, 195–197. [Google Scholar]
- Cacatian, J.C.; Kannerstein, M. Hemangioma as a cause of cryptogenic gastrointestinal hemorrhage. J. Mt. Sinai Hospital. 1969, 36, 299–307. [Google Scholar]
- Calvo, A.M.; Erce, R.; Montón, S.; Martínez, A.; Otero, A. Cavernous hemangioma of the small bowel: An uncommon cause of intestinal obstruction. An. Sist. Sanit. Navar. 2003, 26, 437–440. [Google Scholar]
- Magnano, A.; Privitera, A.; Calogero, G.; Nanfito, L.; Basile, G.; Sanfilippo, G. Solitary hemangioma of the small intestine: An inusual cause of bleeding diagnosed at capsule endoscopy. J. Pediatr. Surg. 2005, 40, 25–27. [Google Scholar] [CrossRef] [PubMed]
- Pinho, R.; Rodrigues, A.; Proença, L.; Silva, A.; Fernandes, S.; Leite, S.; Amaral, I.; de Sousa, P.; Fraga, J. Solitary hemangioma of the small bowel disclosed by wireless capsule endoscopy. Gastroentérol. Clin. Et Biol. 2008, 32, 15–18. [Google Scholar] [CrossRef] [PubMed]
- Hsin-Hung, C.; Chia-Hung, T.; Po-Chu, L.; Han-Mo, C.; Ming-Shiang, W.; Hsiu-Po, W. Endoscopically diagnosed cavernous hemangioma in the deep small intestine: A case report. Adv. Dig. Med. 2015, 2, 74–78. [Google Scholar]
- Corsi, A.; Ingegnoli, A.; Abelli, P.; De Chiara, F.; Mancini, C.; Cavestro, G.M.; Fanigliulo, L.; Di Mario, F.; Franzi, A.; Zompatori, M. Imaging of a small bowel cavernous hemangioma: Report of a case with emphasis on the use of computed tomography and enteroclysis. Acta Bio. Medica 2007, 78, 139–143. [Google Scholar]
- Guardiola, A.; Navajas, J.; Valle, J.; López-Pardo, R.; Rodríguez-Merlo, R.; Lombera, M.d.M.; Alcántara, M. Small bowel giant cavernous hemangioma diagnosed by capsule endoscopy. Rev. Esp. Enfermedades Dig. 2012, 104, 277–278. [Google Scholar] [CrossRef]
- Wook, H.J.; Hyuk, C.S.; Hyuk, L.J.; Rok, K.H. Large cavernous emangioma in the cecum treated by laparoscopic ileocecal resection. World J. Gastroenterol. 2009, 15, 3319–3321. [Google Scholar]
- Singland, J.D.; Penna, C.; Parc, R. Colorectal cavernous hemangiomatosis treated by total coloproctectomy and ileo-anal anastomosis. Ann. Chir. 1997, 51, 382–384. [Google Scholar]
- Ming-Chen, B.; San-Hua, G.; Xiang-Cheng, H.; Ying, W.; Guo-Xin, L.; Jiang, Y. Diagnosis and treatment of small intestine bleeding: Retrospective analysis of 76 cases. World J. Gastroenterol. 2006, 12, 7371–7374. [Google Scholar]
- Jo, V.Y.; Fletcher, C.D.M. WHO classification of soft tissue tumours: An update based on the 2013 (4th) edition. Pathology 2014, 46, 95–104. [Google Scholar] [CrossRef]
- Miller, D.D.; Gupta, A. Histopathology of vascular anomalies: Update based on the revised 2014 ISSVA classification. Semin. Cutan. Med. Surg. 2016, 35, 137–146. [Google Scholar] [CrossRef]
- Lee, M.H.; Yen, H.H.; Chen, Y.Y.; Chen, C.J.; Soon, M.S. Combined capillary hemangioma and angiodysplasia of the ileum: An unusual cause of obscure gastrointestinal bleeding with preoperative localization by double-balloon endoscopy. Am. J. Surg. 2010, 200, e30–e32. [Google Scholar] [CrossRef] [PubMed]
- Holloway, H.; Johnson, J.; Sandler, M. Detection of an ileal cavernous hemangioma by technetium-99m red blood cell imaging. Clin. Nucl. Med. 1988, 13, 32–34. [Google Scholar] [CrossRef]
- Kazama, T.; Kurihara, Y.; Tani, I.; Takahara, T.; Nakajima, Y.; Atari, E. MR appearance of the small intestinal cavernous hemangioma. J. Comput. Assist. Tomogr. 2000, 24, 655–656. [Google Scholar] [CrossRef] [PubMed]
- Quentin, V.; Lermite, E.; Lebigot, J.; Marinnes, M.Z.; Arnaud, J.P.; Boyer, J. Small bowel cavernous hemangioma: Wireless capsule endoscopy diagnosis of a surgical case. Gastrointest. Endosc. 2007, 65, 550–552. [Google Scholar] [CrossRef]
- Willert, R.P.; Chong, A.K. Multiple cavernous hemangiomas with iron deficiency anemia successfully treated with double-balloon enteroscopy. Gastrointest. Endosc. 2008, 67, 765–767. [Google Scholar] [CrossRef]
- Chen, C.H.; Jones, J.; McGowan, P. Profound iron deficiency anemia caused by a small-intestinal cavernous hemangioma. Gastrointest. Endosc. 2009, 69, 1392–1393. [Google Scholar] [CrossRef]
- Elias, G.; Toubia, N. Hemangioma of the small intestine presenting with recurrent overt, obscure gastrointestinal bleeding. Clin. Gastroenterol. Hepatol. 2010, 8, A18.e1. [Google Scholar] [CrossRef]
- Huber, A.; Abdel Samie, A.; Kychenko, D.; Theilmann, L. A rare cause of recurrent iron-deficiency anemia: Cavernous hemangioma of the small intestine. J. Gastrointestin. Liver Dis. 2012, 21, 343. [Google Scholar]
- Pera, M.; Marquez, L.; Dedeu, J.M.; Sanchez, J.; Garcia, M.; Ramon, J.M.; Puigvehi, M. Solitary cavernous hemangioma of the small intestine as the cause of long-standing iron deficiency anemia. J. Gastrointest. Surg. 2012, 16, 2288–2290. [Google Scholar] [CrossRef]
- Ersoy, O.; Akin, E.; Demirezer, A.; Koseoglu, H.; Balci, S.; Kiyak, G. Cavernous haemangioma of small intestine mimicking gastrointestinal stromal tumour. Arab. J. Gastroenterol. 2013, 14, 139–140. [Google Scholar] [CrossRef]
- Fernandes, D.; Dionisio, I.; Neves, S.; Duarte, P. Cavernous hemangioma of small bowel: A rare cause of digestive hemorrhage. Rev. Esp. Enferm. Dig. 2014, 106, 214–215. [Google Scholar]
- Bae, S.J.; Hwang, G.; Kang, H.S.; Song, H.J.; Chang, W.Y.; Maeng, Y.H.; Kang, K.S. Single cavernous hemangioma of the small bowel diagnosed by using capsule endoscopy in a child with chronic iron-deficiency anemia. Clin. Endosc. 2015, 48, 340–344. [Google Scholar] [CrossRef]
- Peng, C.; Chen, H.; Li, W.; Xu, R.; Zhuang, W. A rare cause of recurrent gastrointestinal bleeding: Giant diffuse and cavernous intestinal mesentery hemangioma in an adult. Dig. Dis. Sci. 2016, 61, 3363–3365. [Google Scholar] [CrossRef] [PubMed]
- Ejtehadi, F.; Fattahi, M.R.; Safaei, A.; Safarpour, A.R.; Bananzadeh, A. Practical lessons from the small bowel bleeding lesions: A case report on small bowel cavernous hemangioma. Iran. J. Med. Sci. 2017, 42, 108–110. [Google Scholar] [PubMed]
- Durer, C.; Durer, S.; Sharbatji, M.; Comba, I.Y.; Aharoni, I.; Majeed, U. Cavernous Hemangioma of the Small Bowel: A Case Report and Literature Review. Cureus 2018, 10, e3113. [Google Scholar] [CrossRef]
- Hu, P.F.; Chen, H.; Wang, X.H.; Wang, W.J.; Su, N.; Shi, B. Small intestinal hemangioma: Endoscopic or surgical intervention? A case report and review of literature. World J. Gastrointest. Oncol. 2018, 10, 516–521. [Google Scholar] [CrossRef]
- Fu, J.X.; Zou, Y.N.; Han, Z.H.; Yu, H.; Wang, X.J. Small bowel racemose hemangioma complicated with obstruction and chronic anemia: A case report and review of literature. World J. Gastroenterol. 2020, 26, 1674–1682. [Google Scholar] [CrossRef]
- Beraldo, R.F.; Marcondes, M.B.; da Silva, D.L.; Grillo, T.G.; Baima, J.P.; det Barros, J.R.; Quera, R.; Saad-Hossne, R.; Sassaki, L.Y. Small intestinal hemangioma: Case report. Am. J. Case 2021, 22, e9296182. [Google Scholar] [CrossRef]
- Gualandi, N.; Valdivia, P.C.; Bonura, G.F.; Soriani, P.; Manno, M. Endotherapy for small-bowel recurrent bleeding from a jejunal cavernous hemangioma in an elderly patient. Endoscopy 2024, 56, 589–590. [Google Scholar] [CrossRef]
- Sakaguchi, M.; Sue, K.; Etoh, G.; Takagishi, T.; Ezaki, T.; Nakamura, M.; Yamanaka, K.; Morita, J. A case of solitary cavernous hemangioma of the small intestine with recurrent clinical anemic attacks in childhood. J. Pediatr. Gastroenterol. Nutr. 1998, 27, 342–343. [Google Scholar]









| Author, Year | Age | Sex | Symptoms and Signs | Preop Radiological Examination | Diagnostic Examination | Lesion Location | Histology | Treatment |
|---|---|---|---|---|---|---|---|---|
| Cox, 1949 [7] USA | 43 | F | Abdominal pain, nausea, vomiting, melena, amenorrhea | - | Laparotomy | Ileum | Cavernous | Surgery |
| Grilli, 1989 [8] Italy | 71 | M | Abdominal pain, vomiting, occlusion | X-ray of the abdomen, barium enema, | Laparotomy | Ileum | Cavernous | Surgery |
| D’Armiento, 1989 [1] Italy | 32 | M | Abdominal pain, nausea, vomiting, sub occlusion, abdominal mass | X-ray of the abdomen, barium enema | Laparotomy | Ileum | Cavernous | Surgery |
| Kazama 2000 [23] Japan | 64 | M | Anemia | Barium enema, CT scan, MRI | Laparotomy | Jejunum | Cavernous | Surgery |
| Magnano 2005 [11] Italy | 13 | M | Fatigue, weakness, anemia | VCE, Laparotomy | Ileum | Cavernous | Surgery | |
| Quentin 2007 [24] France | 32 | F | Hematochezia | CT scan | VCE, Laparotomy | Ileum | Cavernous | Surgery |
| Willert 2008 [25] Australia | 19 | M | Anemia | CT scan | VCE, balloon endoscopy | Jejunum, ileocecal valve | Cavernous | Endoscopic treatment |
| Pinho 2008 [12] Portugal | 9 | F | Fatigue, dizziness, anemia, melena | VCE | Ileum | Cavernous | Surgery | |
| Chen 2009 [26] USA | 23 | M | Anemia | VCE | Ileum | Cavernous | Laparoscopic Surgery | |
| Elias 2010 [27] USA | 39 | M | Anemia | CT scan | VCE, enteroscopy | Jejunum | Cavernous | Surgery |
| Huber 2012 [28] Germany | 23 | M | Melena, anemia | VCE, balloon endoscopy | Jejunum | Cavernous | Laparoscopic Surgery | |
| Pera 2012 [29] Spain | 15 | M | Anemia, palpitation, fatigue | VCE, balloon endoscopy | Jejunum | Cavernous | Laparoscopic Surgery | |
| Ersoy 2013 [30] Turkey | 50 | F | Hematemesis, melena | VCE, balloon endoscopy | Jejunum | Cavernous | Surgery | |
| Fernandes 2014 [31] Spain | 56 | F | Hematochezia, syncope anemia | CT enterography | VCE | Ileum | Cavernous | Surgery |
| Bae 2015 [32] Korea | 13 | M | Nausea, dizziness, anemia | VCE | Jejunum | Cavernous | Surgery | |
| Peng 2016 [33] China | 47 | M | Weakness, melena | CT scan | VCE, Laparotomy | Ileum | Cavernous | Surgery |
| Akazawa 2016 [5] Japan | 56 | F | Melena | VCE, balloon endoscopy | Jejunum | Cavernous | Laparoscopic Surgery | |
| Ejtehadi 2017 [34] Iran | 40 | M | Fatigue, palpitation | Scintigraphy, CT enterography | Laparoscopy | Jejunum | Cavernous | Laparoscopic Surgery |
| Durer 2018 [35] USA | 66 | M | Anemia | VCE | Jejunum | Cavernous | Surgery | |
| Hu 2018 [36] China | 24 | F | Melena, fatigue | VCE, laparoscopy | Ileum | Cavernous | Laparoscopic Surgery | |
| Fu 2020 [37] China | 5 | F | Abdominal pain, vomiting, anemia | US, CT scan | Laparoscopy | Jejunum | Racemose | Laparoscopic Surgery |
| Baraldo, 2021 [38] Brazil | 46 | F | Abdominal distension, abdominal pain, anemia | CT scan | Laparotomy | Ileum | Cavernous | Surgery |
Disclaimer/Publisher’s Note: The statements, opinions and data contained in all publications are solely those of the individual author(s) and contributor(s) and not of MDPI and/or the editor(s). MDPI and/or the editor(s) disclaim responsibility for any injury to people or property resulting from any ideas, methods, instructions or products referred to in the content. |
© 2024 by the authors. Published by MDPI on behalf of the Lithuanian University of Health Sciences. Licensee MDPI, Basel, Switzerland. This article is an open access article distributed under the terms and conditions of the Creative Commons Attribution (CC BY) license (https://creativecommons.org/licenses/by/4.0/).
Share and Cite
Ré, F.; Carrabetta, S.; Merlo, E.; Bisagni, P. Multiple Small Bowel Cavernous Hemangiomatosis: Case Report and Literature Review. Medicina 2024, 60, 1664. https://doi.org/10.3390/medicina60101664
Ré F, Carrabetta S, Merlo E, Bisagni P. Multiple Small Bowel Cavernous Hemangiomatosis: Case Report and Literature Review. Medicina. 2024; 60(10):1664. https://doi.org/10.3390/medicina60101664
Chicago/Turabian StyleRé, Francesca, Salvatore Carrabetta, Eugenio Merlo, and Pietro Bisagni. 2024. "Multiple Small Bowel Cavernous Hemangiomatosis: Case Report and Literature Review" Medicina 60, no. 10: 1664. https://doi.org/10.3390/medicina60101664
APA StyleRé, F., Carrabetta, S., Merlo, E., & Bisagni, P. (2024). Multiple Small Bowel Cavernous Hemangiomatosis: Case Report and Literature Review. Medicina, 60(10), 1664. https://doi.org/10.3390/medicina60101664

