Meigs Syndrome and Elevated CA-125: Case Report and Literature Review of an Unusual Presentation Mimicking Ovarian Cancer
Abstract
1. Introduction
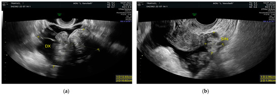
Case Presentation
2. Materials and Methods
2.1. Search Method
2.2. Study Selection
3. Results
Studies’ Characteristics
4. Discussion
5. Conclusions
Author Contributions
Funding
Institutional Review Board Statement
Informed Consent Statement
Data Availability Statement
Conflicts of Interest
References
- Morán-Mendoza, A.; Alvarado-Luna, G.; Calderillo-Ruiz, G.; Serrano-Olvera, A.; López-Graniel, C.M.; Gallardo-Rincón, D. Elevated CA125 level associated with Meigs’ syndrome: Case report and review of the literature. Int. J. Gynecol. Cancer 2006, 16 (Suppl. S1), 315–318. [Google Scholar] [CrossRef] [PubMed]
- Riker, D.; Goba, D. Ovarian mass, pleural effusion, and ascites: Revisiting Meigs syndrome. J. Bronchol. Interv. Pulmonol. 2013, 20, 48–51. [Google Scholar] [CrossRef]
- Pauls, M.; MacKenzie, H.; Ramjeesingh, R. Hydropic leiomyoma presenting as a rare condition of pseudo-Meigs syndrome: Literature review and a case of a pseudo-Meigs syndrome mimicking ovarian carcinoma with elevated CA125. BMJ Case Rep. 2019, 12, bcr-2018-226454. [Google Scholar] [CrossRef]
- Liu, Y.; Tang, G.Y.; Liu, L.; Sun, H.M.; Zhu, H.Y. Giant struma ovarii with pseudo-Meigs’ syndrome and raised cancer antigen-125 levels: A case report. World J. Clin. Cases 2022, 10, 11155–11161. [Google Scholar] [CrossRef]
- Bonifácio, V.D.B. Ovarian Cancer Biomarkers: Moving Forward in Early Detection. Adv. Exp. Med. Biol. 2020, 1219, 355–363. [Google Scholar] [CrossRef]
- Vieira, S.C.; Pimentel, L.H.; Ribeiro, J.C.; de Andrade Neto, A.F.; de Santana, J.O. Meigs’ syndrome with elevated CA 125: Case report. Sao Paulo Med. J. 2003, 121, 210–212. [Google Scholar] [CrossRef] [PubMed]
- Aithal, A.; Rauth, S.; Kshirsagar, P.; Shah, A.; Lakshmanan, I.; Junker, W.M.; Jain, M.; Ponnusamy, M.P.; Batra, S.K. MUC16 as a novel target for cancer therapy. Expert. Opin. Ther. Targets 2018, 22, 675–686. [Google Scholar] [CrossRef]
- Alletti, S.G.; Restaino, S.; Finelli, A.; Ronsini, C.; Lucidi, A.; Scambia, G.; Fanfani, F. Step by Step Total Laparoscopic Hysterectomy with Uterine Arteries Ligation at the Origin. J. Minim. Invasive Gynecol. 2020, 27, 22–23. [Google Scholar] [CrossRef] [PubMed]
- Restaino, S.; Ronsini, C.; Finelli, A.; Santarelli, A.; Scambia, G.; Fanfani, F. Laparoscopic Approach for Shull Repair of Pelvic Floor Defects. J. Minim. Invasive Gynecol. 2018, 25, 954. [Google Scholar] [CrossRef]
- Moher, D.; Liberati, A.; Tetzlaff, J.; Altman, D.G. PRISMA Group. Preferred reporting items for systematic reviews and meta-analyses: The PRISMA statement. BMJ 2009, 339, b2535. [Google Scholar] [CrossRef]
- Siddiqui, M.; Toub, D.B. Cellular fibroma of the ovary with Meigs’ syndrome and elevated CA-125. A case report. J. Reprod. Med. 1995, 40, 817–819. [Google Scholar]
- Timmerman, D.; Moerman, P.; Vergote, I. Meigs’ syndrome with elevated serum CA 125 levels: Two case reports and review of the literature. Gynecol. Oncol. 1995, 59, 405–408. [Google Scholar] [CrossRef]
- Bethune, M.; Quinn, M.; Rome, R. Struma ovarii presenting as acute pseudo-Meigs syndrome with an elevated CA 125 level. Aust. N. Z. J. Obstet. Gynaecol. 1996, 36, 372–373. [Google Scholar] [CrossRef]
- Abad, A.; Cazorla, E.; Ruiz, F.; Aznar, I.; Asins, E.; Llixiona, J. Meigs’ syndrome with elevated CA125: Case report and review of the literature. Eur. J. Obstet. Gynecol. Reprod. Biol. 1999, 82, 97–99. [Google Scholar] [CrossRef]
- Fujii, M.; Okino, M.; Fujioka, K.; Yamashita, K.; Hamano, K. Pseudo-Meigs’ syndrome caused by breast cancer metastasis to both ovaries. Breast Cancer 2006, 13, 344–348. [Google Scholar] [CrossRef] [PubMed]
- Huh, J.J.; Montz, F.J.; Bristow, R.E. Struma ovarii associated with pseudo-Meigs’ syndrome and elevated serum CA 125. Gynecol. Oncol. 2002, 86, 231–234. [Google Scholar] [CrossRef] [PubMed]
- Renaud, M.C.; Plante, M.; Roy, M. Ovarian thecoma associated with a large quantity of ascites and elevated serum CA 125 and CA 15-3. J. Obstet. Gynaecol. Can. 2002, 24, 963–965. [Google Scholar] [CrossRef] [PubMed]
- Bokhari, A.; Rosenfeld, G.S.; Cracchiolo, B.; Heller, D.S. Cystic struma ovarii presenting with ascites and an elevated CA-125 level. A case report. J. Reprod. Med. 2003, 48, 52–56. [Google Scholar] [PubMed]
- Korkolis, D.P.; Koulaxouzidis, G.V.; Apostolikas, N.; Vassilopoulos, P.P. Ovarian fibrothecoma associated with Meigs’ syndrome and elevated serum CA 125. J. BUON 2004, 9, 473–475. [Google Scholar]
- Loizzi, V.; Cormio, G.; Resta, L.; Fattizzi, N.; Vicino, M.; Selvaggi, L. Pseudo-Meigs syndrome and elevated CA125 associated with struma ovarii. Gynecol. Oncol. 2005, 97, 282–284. [Google Scholar] [CrossRef]
- Jung, N.H.; Kim, T.; Kim, H.J.; Lee, K.W.; Lee, N.W.; Lee, E.S. Ovarian sclerosing stromal tumor presenting as Meigs’ syndrome with elevated CA-125. J. Obstet. Gynaecol. Res. 2006, 32, 619–622. [Google Scholar] [CrossRef] [PubMed]
- Peyron, N.; Coulon, A. Struma ovarii, pseudo-Meigs’ syndrome and raised CA125, a rare association. Answer to May e-quid. Diagn. Interv. Imaging 2012, 93, 643–647. [Google Scholar] [CrossRef] [PubMed]
- Obeidat, B.R.; Amarin, Z.O. Struma ovarii with pseudo-Meigs’ syndrome and elevated CA125 levels. J. Obstet. Gynaecol. 2007, 27, 97–98. [Google Scholar] [CrossRef] [PubMed]
- Mitrou, S.; Manek, S.; Kehoe, S. Cystic struma ovarii presenting as pseudo-Meigs’ syndrome with elevated CA125 levels. A case report and review of the literature. Int. J. Gynecol. Cancer 2008, 18, 372–375. [Google Scholar] [CrossRef] [PubMed]
- Benjapibal, M.; Sangkarat, S.; Laiwejpithaya, S.; Viriyapak, B.; Chaopotong, P.; Jaishuen, A. Meigs’ Syndrome with Elevated Serum CA125: Case Report and Review of the Literature. Case Rep. Oncol. 2009, 2, 61–66. [Google Scholar] [CrossRef] [PubMed]
- Jiang, W.; Lu, X.; Zhu, Z.L.; Liu, X.S.; Xu, C.J. Struma ovarii associated with pseudo-Meigs’ syndrome and elevated serum CA 125: A case report and review of the literature. J. Ovarian Res. 2010, 3, 18. [Google Scholar] [CrossRef] [PubMed]
- Liou, J.H.; Su, T.C.; Hsu, J.C. Meigs’ syndrome with elevated serum cancer antigen 125 levels in a case of ovarian sclerosing stromal tumor. Taiwan. J. Obstet. Gynecol. 2011, 50, 196–200. [Google Scholar] [CrossRef][Green Version]
- Monteiro, S.B.; Costa, A.; Paiva, V. Mitotically active cellular ovarian fibroma with Meigs’ syndrome and elevated CA-125: Towards fertility preservation. J. Pediatr. Adolesc. Gynecol. 2012, 25, e107–e109. [Google Scholar] [CrossRef]
- Mostaghel, N.; Enzevaei, A.; Zare, K.; Fallahian, M. Struma ovarii associated with Pseudo-Meig’s syndrome and high serum level of CA 125; a case report. J. Ovarian Res. 2012, 5, 10. [Google Scholar] [CrossRef]
- Yilmaz, E.; Tanrikut, E.; Karaer, A.; Simsek, Y.; Celik, O.; Minareci, Y. Meigs’ Syndrome With Elevated Serum CA125. J. Turk. Soc. Obstet. Gynecol. 2012, 9 (Suppl. S1), 22–25. [Google Scholar]
- Cha, M.Y.; Roh, H.J.; You, S.K.; Lee, S.H.; Cho, H.J.; Kwon, Y.S. Meigs’ syndrome with elevated serum CA 125 level in a case of ovarian fibrothecoma. Eur. J. Gynaecol. Oncol. 2014, 35, 734–737. [Google Scholar]
- Yazdani, S.; Alijanpoor, A.; Sharbatdaran, M.; Bouzari, Z.; Abedisamakoosh, M.; Lakaieandi, F.; Mohammadpour, M. Meigs’ syndrome with elevated serum CA125 in a case of ovarian fibroma /thecoma. Caspian J. Intern. Med. 2014, 5, 43–45. [Google Scholar] [PubMed]
- Ghani, T.; Sultana, N.; Hussain, T.; Begum, A.; Paul, S.K.; Noorjahan; Hossain, M.S. Meigs’ Syndrome Associated With Elevated Ca 125 Level—A Rare Case. J. Dhaka Med. Coll. 2015, 24, 76–78. [Google Scholar] [CrossRef]
- Jin, C.; Dong, R.; Bu, H.; Yuan, M.; Zhang, Y.; Kong, B. Coexistence of benign struma ovarii, pseudo-Meigs’ syndrome and elevated serum CA 125: Case report and review of the literature. Oncol. Lett. 2015, 9, 1739–1742. [Google Scholar] [CrossRef]
- Laan, B.J.; van den Heiligenberg, S.M.; Hemelaar, M. Ascites, pleuravocht en een benigne ovariumtumor [Ascites, pleural effusion and a benign ovarian tumour; the triad of Meigs’ syndrome]. Ned. Tijdschr. Geneeskd. 2016, 160, D480. [Google Scholar]
- Park, H.N.; Kim, S.G.; Kim, Y.S. Meigs’ Syndrome with Elevated Cancer Antigen 125. Soonchunhyang Med. Sci. 2016, 22, 129–131. [Google Scholar] [CrossRef]
- Sofoudis, C.; Kouiroukidou, P.; Louis, K.; Karasaridou, K.; Toutounas, K.; Gerolymatos, A.; Papamargaritis, E. Enormous ovarian fibroma with elevated Ca-125 associated with Meigs’ syndrome. Presentation of a rare case. Eur. J. Gynaecol. Oncol. 2016, 37, 142–143. [Google Scholar]
- Oluwasola, T.A.O. Struma Ovarii, Pseudo-Meigs’ Syndrome, and Associated Elevated Serum CA-125. J. Gynecol. Surg. 2019, 35, 38–41. [Google Scholar] [CrossRef]
- Yadav, S.; Tomar, R.; Verma, N.; Khurana, N.; Triathi, R. Struma Ovarii with Pseudo-Meigs’ Syndrome and Raised Cancer Antigen-125 Levels Masquerading as an Ovarian Carcinoma Case report and literature review. Sultan Qaboos Univ. Med. J. 2017, 17, e229–e233. [Google Scholar] [CrossRef]
- Navarro-Esteva, J.; Laseca-Modrago, M.; Arencibia-Sánchez, O. Two Patients With Meigs’ Syndrome and Elevated Serum CA-125: A Case Report. Cureus 2020, 12, e8927. [Google Scholar] [CrossRef]
- Khanduja, D.; Kajal, N.C. A case report on Meigs’ syndrome and elevated serum CA-125: A rare case report. J. Pulmonol. Respir. Res. 2021, 5, 031–033. [Google Scholar]
- Imai, A.; Ushida, S.; Ichigo, S.; Takagi, H.; Matsunami, K.; Ito, Y. Meigs Syndrome with Highly Elevated CA125. Biomed. J. Sci. Tech. Res. 2022, 46, 37217–37220. [Google Scholar] [CrossRef]
- Brun, J.L. Demons syndrome revisited: A review of the literature. Gynecol. Oncol. 2007, 105, 796–800. [Google Scholar] [CrossRef] [PubMed]
- Peparini, N.; Chirletti, P. Ovarian malignancies with cytologically negative pleural and peritoneal effusions: Demons’ or meigs’ pseudo-syndromes? Int. J. Surg. Pathol. 2009, 17, 396–397. [Google Scholar] [CrossRef] [PubMed]
- Chechia, A.; Attia, L.; Temime, R.B.; Makhlouf, T.; Koubaa, A. Incidence, clinical analysis, and management of ovarian fibromas and fibrothecomas. Am. J. Obstet. Gynecol. 2008, 199, 473.e1–473.e4. [Google Scholar] [CrossRef]
- Cho, Y.J.; Lee, H.S.; Kim, J.M.; Joo, K.Y.; Kim, M.L. Clinical characteristics and surgical management options for ovarian fibroma/fibrothecoma: A study of 97 cases. Gynecol. Obstet. Invest 2013, 76, 182–187. [Google Scholar] [CrossRef] [PubMed]
- Zhang, M.; Cheng, S.; Jin, Y.; Zhao, Y.; Wang, Y. Roles of CA125 in diagnosis, prediction, and oncogenesis of ovarian cancer. Biochim. Biophys. Acta Rev. Cancer 2021, 1875, 188503. [Google Scholar] [CrossRef]
- Hirsch, M.; Duffy, J.; Davis, C.J.; Nieves Plana, M.; Khan, K.S. International Collaboration to Harmonise Outcomes and Measures for Endometriosis. Diagnostic accuracy of cancer antigen 125 for endometriosis: A systematic review and meta-analysis. BJOG 2016, 123, 1761–1768. [Google Scholar] [CrossRef]
- Chowdhury, M.A.; Zhang, X.; Wei, H.; Guo, C. Cancer antigen-125 and ICAM-1 are together responsible for ascites in liver cirrhosis. Clin. Lab. 2014, 60, 653–658. [Google Scholar] [CrossRef]
- Núñez, J.; de la Espriella, R.; Miñana, G.; Santas, E.; Llácer, P.; Núñez, E.; Palau, P.; Bodí, V.; Chorro, F.J.; Sanchis, J.; et al. Antigen carbohydrate 125 as a biomarker in heart failure: A narrative review. Eur. J. Heart Fail. 2021, 23, 1445–1457. [Google Scholar] [CrossRef]
- Bottoni, P.; Scatena, R. The role of CA 125 as tumor marker: Biochemical and clinical aspects. Adv. Exp. Med. Biol. 2015, 867, 229–244. [Google Scholar]
- Ishiko, O.; Yoshida, H.; Sumi, T.; Hirai, K.; Ogita, S. Vascular endothelial growth factor levels in pleural and peritoneal fluid in Meigs’ syndrome. Eur. J. Obstet. Gynecol. Reprod. Biol. 2001, 98, 129–130. [Google Scholar] [CrossRef] [PubMed]
- Krenke, R.; Maskey-Warzechowska, M.; Korczynski, P.; Zielinska-Krawczyk, M.; Klimiuk, J.; Chazan, R.; Light, R.W. Pleural Effusion in Meigs’ Syndrome-Transudate or Exudate? Systematic Review of the Literature. Med. Baltim. 2015, 94, e2114. [Google Scholar] [CrossRef]
- Lurie, S. Meigs’ syndrome: The history of the eponym. Eur. J. Obstet. Gynecol. Reprod. Biol. 2000, 92, 199–204. [Google Scholar] [CrossRef]
- Hartstein, J.A.; Jacobs, A.J.; Deppe, G.; Moshipur, J.; Cohen, C.J. Pseudo-Meigs syndrome with resulting papillary adenocarcinomas of the ovary and fallopian tube. Int. J. Gynaecol. Obstet. 1980, 18, 170–171. [Google Scholar] [CrossRef] [PubMed]
- Saito, H.; Koide, N.; Miyagawa, S. Pseudo-Meigs syndrome caused by sigmoid colon cancer metastasis to the ovary. Am. J. Surg. 2012, 203, e1–e3. [Google Scholar] [CrossRef]
- McNulty, T.F.; Muccino, J.A. Meigs’ syndrome--an incomplete form with severe hydrothorax. Conn. Med. 1966, 30, 267–270. [Google Scholar]
- Agranoff, D.; May, D.; Jameson, C.; Knowles, G.K. Pleural effusion and a pelvic mass. Postgrad. Med. J. 1998, 74, 265–267. [Google Scholar] [CrossRef][Green Version]
- Solomon, S.; Farber, S.J.; Caruso, L.J. Fibromyomata of the uterus with hemothorax. Meigs’ syndrome? Arch. Intern. Med. 1971, 127, 307–309. [Google Scholar] [CrossRef] [PubMed]
- Ronsini, C.; Fumiento, P.; Iavarone, I.; Greco, P.F.; Cobellis, L.; De Franciscis, P. Liquid Biopsy in Endometriosis: A Systematic Review. Int. J. Mol. Sci. 2023, 24, 6116. [Google Scholar] [CrossRef]
- Iavarone, I.; Greco, P.F.; La Verde, M.; Morlando, M.; Torella, M.; de Franciscis, P.; Ronsini, C. Correlations between Gut Microbial Composition, Pathophysiological and Surgical Aspects in Endometriosis: A Review of the Literature. Med. Kaunas 2023, 59, 347. [Google Scholar] [CrossRef]
- Hooper, C.; Lee, Y.C.; Maskell, N. BTS Pleural Guideline Group. Investigation of a unilateral pleural effusion in adults: British Thoracic Society Pleural Disease Guideline 2010. Thorax 2010, 65 (Suppl. S2), ii4–ii17. [Google Scholar] [CrossRef]
- McGrath, E.E.; Blades, Z.; Needham, J.; Anderson, P.B. A systematic approach to the investigation and diagnosis of a unilateral pleural effusion. Int. J. Clin. Pract. 2009, 63, 1653–1659. [Google Scholar] [CrossRef]
- Sahn, S.A. Getting the most from pleural fluid analysis. Respirology 2012, 17, 270–277. [Google Scholar] [CrossRef]
- Heffner, J.E.; Highland, K.; Brown, L.K. A meta-analysis derivation of continuous likelihood ratios for diagnosing pleural fluid exudates. Am. J. Respir. Crit. Care Med. 2003, 167, 1591–1599. [Google Scholar] [CrossRef]
- Fischer, Y.; Sauter-Louis, C.; Hartmann, K. Diagnostic accuracy of the Rivalta test for feline infectious peritonitis. Vet. Clin. Pathol. 2012, 41, 558–567. [Google Scholar] [CrossRef]
- Porcel, J.M. Identifying transudates misclassified by Light’s criteria. Curr. Opin. Pulm. Med. 2013, 19, 362–367. [Google Scholar] [CrossRef]
- Saito, F.; Tashiro, H.; Honda, R.; Ohtake, H.; Katabuchi, H. Twisted ovarian tumor causing progressive hemothorax: A case report of porous diaphragm syndrome. Gynecol. Obstet. Invest. 2008, 66, 134–137. [Google Scholar] [CrossRef]
- Kirschner, P.A. Porous diaphragm syndromes. Chest Surg. Clin. N. Am. 1998, 8, 449–472. [Google Scholar]
- Abramov, Y.; Anteby, S.O.; Fasouliotis, S.J.; Barak, V. Markedly elevated levels of vascular endothelial growth factor, fibroblast growth factor, and interleukin 6 in Meigs syndrome. Am. J. Obstet. Gynecol. 2001, 184, 354–355. [Google Scholar] [CrossRef]
- Okuchi, Y.; Nagayama, S.; Mori, Y.; Kawamura, J.; Matsumoto, S.; Nishimura, T.; Yoshizawa, A.; Sakai, Y. VEGF hypersecretion as a plausible mechanism for pseudo-meigs’ syndrome in advanced colorectal cancer. Jpn. J. Clin. Oncol. 2010, 40, 476–481. [Google Scholar] [CrossRef][Green Version]
- MEIGSJV Fibroma of the ovary with ascites and hydrothorax; Meigs’ syndrome. Am. J. Obstet. Gynecol. 1954, 67, 962–985. [CrossRef]
- Ronsini, C.; Mosca, L.; Iavarone, I.; Nicoletti, R.; Vinci, D.; Carotenuto, R.M.; Pasanisi, F.; Solazzo, M.C.; De Franciscis, P.; Torella, M.; et al. Oncological outcomes in fertility-sparing treatment in stage IA-G2 endometrial cancer. Front. Oncol. 2022, 12, 965029. [Google Scholar] [CrossRef]
- Ronsini, C.; Pasanisi, F.; Molitierno, R.; Iavarone, I.; Vastarella, M.G.; De Franciscis, P.; Conte, C. Minimally Invasive Staging of Early-Stage Epithelial Ovarian Cancer versus Open Surgery in Terms of Feasibility and Safety: A Systematic Review and Meta-Analysis. J. Clin. Med. 2023, 12, 3831. [Google Scholar] [CrossRef]



| Author, Year of Publication | Age | Country | Period of Enrollment | Hydrothorax | Ascites | CA-125 (IU/mL) | Histotype |
|---|---|---|---|---|---|---|---|
| Siddiqui 1995 [11] | 57 | USA | 1995 | Minimal right-sided | Straw-colored 7.6 L | 3184 | Struma ovarii |
| Timmerman 1995 [12] | 71 | Belgium | N/A | Massive right-sided, minimal left-sided | 1 L | 484.5 | Fibroma |
| 73 | Belgium | N/A | N/A | 0.5 L | 42.3 | Fibroma | |
| Bethune 1996 [13] | 46 | Australia | 1996 | Marked bilateral | Moderate straw-colored 6 L | 1230.9 | Struma ovarii |
| Abad 1998 [14] | 50 | Spain | 1998 | Right-sided | Present | 1476.8 | SST |
| Fujii 2002 [15] | N/A | Japan | N/A | Present | Present | Raised | Fibroma |
| Huh 2002 [16] | 52 | USA | 2002 | Moderate right-sided | Present | 149 | Struma ovarii |
| Renaud 2002 [17] | 57 | Canada | N/A | N/A | Straw-colored 9 L | 1750 | Thecoma |
| Bokhari 2003 [18] | 65 | USA | 2003 | Right-sided | Massive | 161 | Struma ovarii |
| Vieira 2003 [6] | 51 | Brazil | 2003 | Bilateral | Present | 577 | Fibroma |
| Korkolis 2004 [19] | 65 | Greece | 2004 | Moderate bilateral | 6 L | 402 | Struma ovarii |
| Loizzi 2005 [20] | 52 | Italy | 2005 | Present | Present | 319.2 | Fibrothecoma |
| Jung 2006 [21] | 62 | Korea | 2006 | Present | Present | Raised | Fibrothecoma |
| Peyron 2006 [22] | 51 | France | 2006 | Right-sided | Present | 412 | Fibrothecoma |
| Obeidat 2007 [23] | 52 | Jordan | 2007 | 2 L bilateral | Massive 2.2 L | 1289 | Struma ovarii |
| Mitrou 2008 [24] | 65 | United Kingdom | 2008 | Left-sided | Massive | 406.3 | Thecoma |
| Benjapibal 2009 [25] | 56 | Thailand | N/A | 1.5 L right-sided | 2.5 L | 1064 | Fibroma |
| Jiang 2010 [26] | 72 | China | 2010 | Massive right-sided | Present | 607.4 | Struma ovarii |
| Liou 2011 [27] | 78 | Taiwan | 2011 | N/A | Present | 164 | Struma ovarii |
| Monteiro 2012 [28] | 50 | Portugal | 2012 | Present | Present | 600 | Fibrothecoma |
| Mostaghel 2012 [29] | 13 | Iran | 2012 | Moderate right-sided | Voluminous | 453 | Fibroma |
| Yilmaz 2012 [30] | 40 | Turkey | N/A | Sera-hemorragic | 0.5 L | 823 | Fibroma |
| Cha 2014 [31] | N/A | South Korea | 2014 | Right-sided | Absent | Raised | Fibroma |
| Yazdani 2014 [32] | 50 | Iran | N/A | Left-sided | Present | 600 | Fibrothecoma |
| Ghani 2015 [33] | 50 | Bangladesh | 2015 | Right-sided | Clear 2 L right-sided hydronephrosisand | 355.1 | Fibroma |
| Jin 2015 [34] | 73 | China | 2014 | Right-sided | Present | 1780 | Fibroma |
| Laan 2016 [35] | 49 | The Netherlands | N/A | Present | Present | Raised | Fibrothecoma |
| Park 2016 [36] | 72 | Korea | N/A | N/A | Massive | 327 | Fibroma |
| Sofoudis 2016 [37] | 55 | Greece | 2016 | Bilateral basal lung atelectasis with a small left pleural effusion | Massive | 3803 | Struma ovarii |
| Oluwasola 2017 [38] | 62 | Nigeria | 2017 | Massive right-sided | Small | 1621 | Struma ovarii |
| Yadav 2017 [39] | 55 | India | 2016 | N/A | Present | 258 | Struma ovarii |
| Navarro-Esteva 2020 [40] | 59 | Spain | N/A | Minimal right-sided | Absent | 1000 | Fibroma |
| Khanduja 2021 [41] | 50 | India | N/A | Right-sided | Absent | 534 | Fibroma |
| 48 | Spain | N/A | Pale-yellow right-sided | Present | 526 | GCT | |
| Liu 2022 [4] | N/A | China | 2021 | Present | Present | Raised | Struma ovarii |
| Ushida 2022 [42] | Japan | 2022 | N/A | Massive | 3969 | Fibroma |
Disclaimer/Publisher’s Note: The statements, opinions and data contained in all publications are solely those of the individual author(s) and contributor(s) and not of MDPI and/or the editor(s). MDPI and/or the editor(s) disclaim responsibility for any injury to people or property resulting from any ideas, methods, instructions or products referred to in the content. |
© 2023 by the authors. Licensee MDPI, Basel, Switzerland. This article is an open access article distributed under the terms and conditions of the Creative Commons Attribution (CC BY) license (https://creativecommons.org/licenses/by/4.0/).
Share and Cite
Iavarone, I.; Padovano, M.; Pasanisi, F.; Della Corte, L.; La Mantia, E.; Ronsini, C. Meigs Syndrome and Elevated CA-125: Case Report and Literature Review of an Unusual Presentation Mimicking Ovarian Cancer. Medicina 2023, 59, 1684. https://doi.org/10.3390/medicina59091684
Iavarone I, Padovano M, Pasanisi F, Della Corte L, La Mantia E, Ronsini C. Meigs Syndrome and Elevated CA-125: Case Report and Literature Review of an Unusual Presentation Mimicking Ovarian Cancer. Medicina. 2023; 59(9):1684. https://doi.org/10.3390/medicina59091684
Chicago/Turabian StyleIavarone, Irene, Michela Padovano, Francesca Pasanisi, Luigi Della Corte, Elvira La Mantia, and Carlo Ronsini. 2023. "Meigs Syndrome and Elevated CA-125: Case Report and Literature Review of an Unusual Presentation Mimicking Ovarian Cancer" Medicina 59, no. 9: 1684. https://doi.org/10.3390/medicina59091684
APA StyleIavarone, I., Padovano, M., Pasanisi, F., Della Corte, L., La Mantia, E., & Ronsini, C. (2023). Meigs Syndrome and Elevated CA-125: Case Report and Literature Review of an Unusual Presentation Mimicking Ovarian Cancer. Medicina, 59(9), 1684. https://doi.org/10.3390/medicina59091684

