A Large Ovarian Endometrioma Occupying the Abdominal Cavity in a Postmenopausal Patient: A Case Report
Abstract
1. Introduction
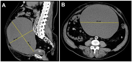
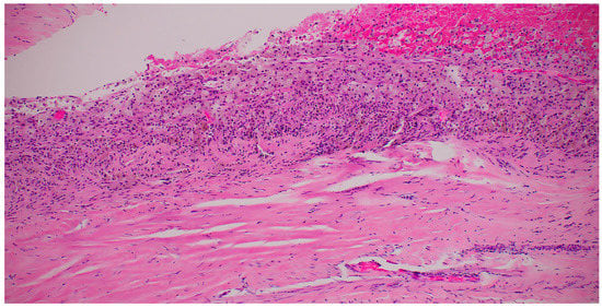
2. Case Presentation
3. Discussion
4. Conclusions
Author Contributions
Funding
Institutional Review Board Statement
Informed Consent Statement
Data Availability Statement
Conflicts of Interest
References
- Zondervan, K.T.; Becker, C.M.; Missmer, S.A. Endometriosis. N. Engl. J. Med. 2020, 382, 1244–1256. [Google Scholar] [CrossRef]
- Clement, P.B.; Young, R.H. Two Previously Unemphasized Features of Endometriosis: Micronodular Stromal Endometriosis and Endometriosis with Stromal Elastosis. Int. J. Surg. Pathol. 2000, 8, 223–227. [Google Scholar] [CrossRef]
- Gou, Y.; Li, X.; Li, P.; Zhang, H.; Xu, T.; Wang, H.; Wang, B.; Ma, X.; Jiang, X.; Zhang, Z. Estrogen receptor β upregulates CCL2 via NF-κB signaling in endometriotic stromal cells and recruits macrophages to promote the pathogenesis of endometriosis. Hum. Reprod. 2019, 34, 646–658. [Google Scholar] [CrossRef]
- Koninckx, P.R.; Ussia, A.; Wattiez, A.; Adamyan, L.; Martin, D.C.; Gordts, S. The severity and frequency distribution of endometriosis subtypes at different ages: A model to understand the natural history of endometriosis based on single centre/single surgeon data. Facts Views Vis. ObGyn 2021, 13, 209–219. [Google Scholar] [CrossRef]
- Meuleman, C.; Vandenabeele, B.; Fieuws, S.; Spiessens, C.; Timmerman, D.; D’Hooghe, T. High prevalence of endometriosis in infertile women with normal ovulation and normospermic partners. Fertil. Steril. 2009, 92, 68–74. [Google Scholar] [CrossRef]
- Haas, D.; Chvatal, R.; Reichert, B.; Renner, S.; Shebl, O.; Binder, H.; Wurm, P.; Oppelt, P. Endometriosis: A premenopausal disease? Age pattern in 42,079 patients with endometriosis. Arch. Gynecol. Obstet. 2012, 286, 667–670. [Google Scholar] [CrossRef]
- Attar, E.; Bulun, S.E. Aromatase and other steroidogenic genes in endometriosis: Translational aspects. Hum. Reprod. Update 2006, 12, 49–56. [Google Scholar] [CrossRef]
- Noble, L.S.; Simpson, E.R.; Johns, A.; Bulun, S.E. Aromatase expression in endometriosis. J. Clin. Endocrinol. Metab. 1996, 81, 174–179. [Google Scholar]
- Lee, H.J.; Park, Y.M.; Jee, B.C.; Kim, Y.B.; Suh, C.S. Various anatomic locations of surgically proven endometriosis: A single-center experience. Obstet. Gynecol. Sci. 2015, 58, 53–58. [Google Scholar] [CrossRef]
- Gałczyński, K.; Jóźwik, M.; Lewkowicz, D.; Semczuk-Sikora, A.; Semczuk, A. Ovarian endometrioma—A possible finding in adolescent girls and young women: A mini-review. J. Ovarian Res. 2019, 12, 104. [Google Scholar] [CrossRef]
- Oral, E.; Sozen, I.; Uludag, S.; Demirkiran, F.; Ilvan, S.; Oncul, M.; Celik, H.G. The prevalence of endometrioma and associated malignant transformation in women over 40 years of age. J. Gynecol. Obstet. Hum. Reprod. 2020, 49, 101725. [Google Scholar] [CrossRef] [PubMed]
- Shah, A.A.; Soomro, N.A.; Talib, R.K.; Sadhayo, A.N.; Soomro, S.A. Giant intraabdominal endometrial cyst. J. Coll. Physicians Surg. Pak. 2014, 24, 438–440. [Google Scholar] [PubMed]
- Naem, A.; Shamandi, A.; Al-Shiekh, A.; Alsaid, B. Free large sized intra-abdominal endometrioma in a postmenopausal woman: A case report. BMC Womens Health 2020, 20, 190. [Google Scholar] [CrossRef] [PubMed]
- Streuli, I.; Gaitzsch, H.; Wenger, J.M.; Petignat, P. Endometriosis after menopause: Physiopathology and management of an uncommon condition. Climacteric J. Int. Menopause Soc. 2017, 20, 138–143. [Google Scholar] [CrossRef]
- Yahya, A.; Mustapha, A.; Kolawole, A.O.; Oguntayo, A.O.; Bello, N.; Aliyu, H.O.; Adewuyi, S.A. Giant Ovarian Endometrioma: A Case Report. J. West Afr. Coll. Surg. 2021, 11, 41–44. [Google Scholar] [CrossRef]
- Devasilpa Raju, P.D.; Lamture, Y.; Deshpande, S.G.; Gattani, R.G. Endometrial Cyst Presenting as a Vague Abdominal Lump in a Postmenopausal Woman. Cureus 2022, 14, e29807. [Google Scholar] [CrossRef]
- Sampson, J.A. Endometrial carcinoma of the ovary, arising in endometrial tissue in that organ. Arch. Surg. 1925, 10, 1–72. [Google Scholar] [CrossRef]
- Stern, R.C.; Dash, R.; Bentley, R.C.; Snyder, M.J.; Haney, A.F.; Robboy, S.J. Malignancy in endometriosis: Frequency and comparison of ovarian and extraovarian types. Int. J. Gynecol. Pathol. Off. J. Int. Soc. Gynecol. Pathol. 2001, 20, 133–139. [Google Scholar] [CrossRef]
- Kyo, S.; Sato, S.; Nakayama, K. Cancer-associated mutations in normal human endometrium: Surprise or expected? Cancer Sci. 2020, 111, 3458–3467. [Google Scholar] [CrossRef]
- Anglesio, M.S.; Papadopoulos, N.; Ayhan, A.; Nazeran, T.M.; Noë, M.; Horlings, H.M.; Lum, A.; Jones, S.; Senz, J.; Seckin, T.; et al. Cancer-Associated Mutations in Endometriosis without Cancer. N. Engl. J. Med. 2017, 376, 1835–1848. [Google Scholar] [CrossRef]
- Laganà, A.S.; Naem, A. The pathogenesis of endometriosis: Are endometrial stem/progenitor cells involved? In Stem Cells in Reproductive Tissues and Organs: From Fertility to Cancer; Virant-Klun, I., Ed.; Springer: Cham, Switzerland, 2022; pp. 193–216. [Google Scholar]
- Colarossi, C.; Picardo, M.C.; Colarossi, L.; Deiana, E.; D’Agata, C.; Fichera, C.; Aiello, E.; Giannone, G.; Memeo, L. Clear Cell Carcinoma Arising in an Abdominal Wall Cesarean Section Scar: A Case Report with Description of Pathological and Molecular Features. Front. Surg. 2021, 8, 735381. [Google Scholar] [CrossRef]
- Tanase, Y.; Kawaguchi, R.; Takahama, J.; Kobayashi, H. Factors that Differentiate between Endometriosis-associated Ovarian Cancer and Benign Ovarian Endometriosis with Mural Nodules. Magn. Reson. Med. Sci. Off. J. Jpn. Soc. Magn. Reson. Med. 2018, 17, 231–237. [Google Scholar] [CrossRef] [PubMed]
- Burghaus, S.; Schäfer, S.D.; Beckmann, M.W.; Brandes, I.; Brünahl, C.; Chvatal, R.; Drahoňovský, J.; Dudek, W.; Ebert, A.D.; Fahlbusch, C.; et al. Diagnosis and Treatment of Endometriosis. Guideline of the DGGG, SGGG and OEGGG (S2k Level, AWMF Registry Number 015/045, August 2020). Geburtshilfe Frauenheilkd. 2021, 81, 422–446. [Google Scholar] [CrossRef] [PubMed]
- Polyzos, N.P.; Fatemi, H.M.; Zavos, A.; Grimbizis, G.; Kyrou, D.; Velasco, J.G.; Devroey, P.; Tarlatzis, B.; Papanikolaou, E.G. Aromatase inhibitors in post-menopausal endometriosis. Reprod. Biol. Endocrinol. 2011, 9, 90. [Google Scholar] [CrossRef] [PubMed]


| Leukocytes | 8.1/nL |
| Erythrocytes | 4.39/pL |
| Hemoglobin | 13.6 g/dL |
| Hematocrit | 41.7% |
| Mean Corpuscular Volume | 95 fL |
| Mean Corpuscular Hemoglobin | 31 pg |
| Mean Corpuscular Hemoglobin Concentration | 32.6 g/dL |
| Thrombocytes | 301/nL |
| CEA | 6.7 ng/mL |
| CA 125 | 512.9 U/mL |
| CA 15-3 | 17.3 U/mL |
Disclaimer/Publisher’s Note: The statements, opinions and data contained in all publications are solely those of the individual author(s) and contributor(s) and not of MDPI and/or the editor(s). MDPI and/or the editor(s) disclaim responsibility for any injury to people or property resulting from any ideas, methods, instructions or products referred to in the content. |
© 2023 by the authors. Licensee MDPI, Basel, Switzerland. This article is an open access article distributed under the terms and conditions of the Creative Commons Attribution (CC BY) license (https://creativecommons.org/licenses/by/4.0/).
Share and Cite
Zografou, M.T.; Naem, A.; Laganà, A.S.; Krentel, H. A Large Ovarian Endometrioma Occupying the Abdominal Cavity in a Postmenopausal Patient: A Case Report. Medicina 2023, 59, 1398. https://doi.org/10.3390/medicina59081398
Zografou MT, Naem A, Laganà AS, Krentel H. A Large Ovarian Endometrioma Occupying the Abdominal Cavity in a Postmenopausal Patient: A Case Report. Medicina. 2023; 59(8):1398. https://doi.org/10.3390/medicina59081398
Chicago/Turabian StyleZografou, Maria Themeli, Antoine Naem, Antonio Simone Laganà, and Harald Krentel. 2023. "A Large Ovarian Endometrioma Occupying the Abdominal Cavity in a Postmenopausal Patient: A Case Report" Medicina 59, no. 8: 1398. https://doi.org/10.3390/medicina59081398
APA StyleZografou, M. T., Naem, A., Laganà, A. S., & Krentel, H. (2023). A Large Ovarian Endometrioma Occupying the Abdominal Cavity in a Postmenopausal Patient: A Case Report. Medicina, 59(8), 1398. https://doi.org/10.3390/medicina59081398

