The Expression of Stem Cell Marker LGR5 and Its Coexpression with Β-Catenin in Sporadic Colorectal Carcinoma and Adenoma: A Comparative Immunohistochemical Study
Abstract
1. Introduction
2. Materials and Methods
2.1. Clinical (Internal Medicine) and Surgical Approach
2.2. Histopathology Examination
2.3. Immunohistochemistry (IHC)
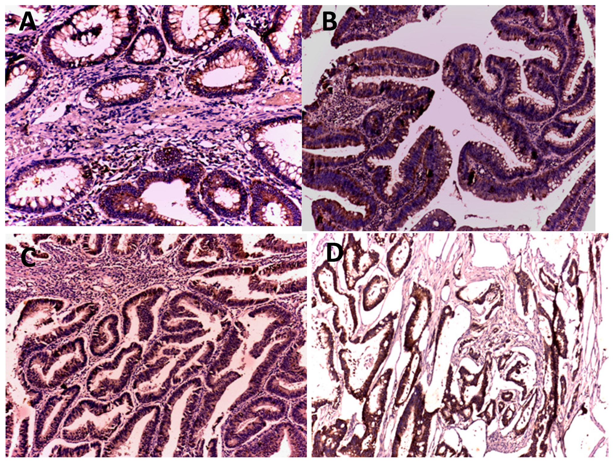
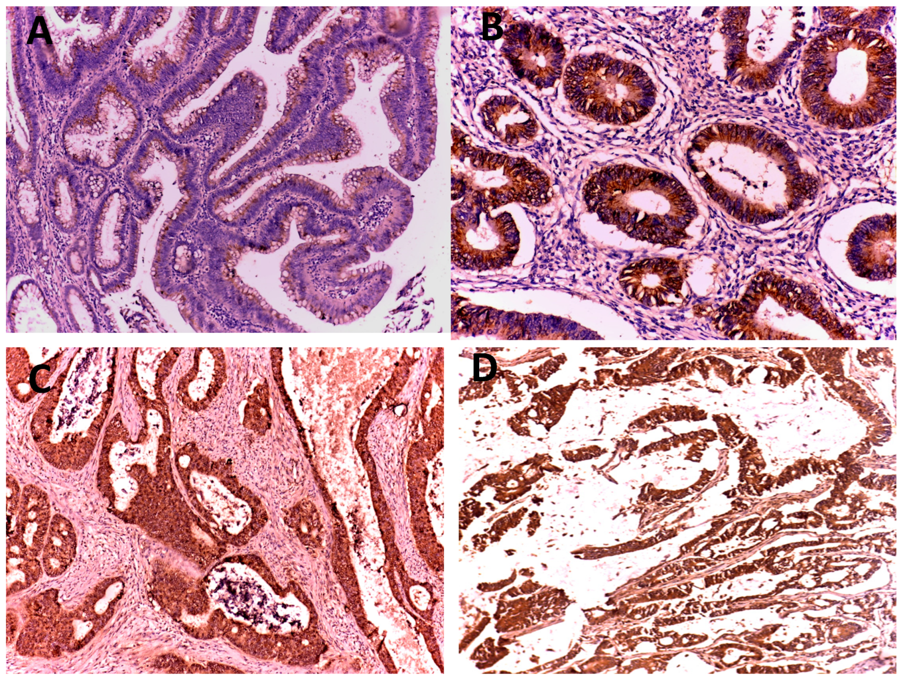
2.4. Staining Evaluation
2.5. Statistical Analysis
3. Results
3.1. Histopathology and Patient Characteristics
3.2. Correlation between Β-Catenin Expression and the Clinico-Pathological Variables
3.3. Correlation between Combined Expression and the Clinico-Pathological Variables
4. Discussion
5. Conclusions
Author Contributions
Funding
Institutional Review Board Statement
Data Availability Statement
Conflicts of Interest
References
- Thanikachalam, K.; Khan, G. Colorectal Cancer and Nutrition. Nutrients 2019, 11, 164. [Google Scholar] [CrossRef]
- Bray, F.; Ferlay, J.; Soerjomataram, I.; Siegel, R.L.; Torre, L.A.; Jemal, A. Global cancer statistics 2018: GLOBOCAN estimates of incidence and mortality worldwide for 36 cancers in 185 countries. CA Cancer J. Clin. 2018, 68, 394–424, Erratum in CA Cancer J. Clin. 2020, 70, 313. [Google Scholar] [CrossRef]
- Alteri, R.; Brooks, D.; Cokkinide, V. Colorectal Cancer Facts & Figures; American Cancer Society: Atlanta, GA, USA, 2013; p. 10. [Google Scholar]
- Mokhtar, N.; Adel, I.; Goda, I. Cancer Pathology Registry 2003–2004 and Time Trend Analysis; Department of Pathology, NCI: Bethesda, MA, USA, 2007. [Google Scholar]
- Fleming, M.; Ravula, S.; Tatishchev, S.F.; Wang, H.L. Colorectal carcinoma: Pathologic aspects. J. Gastrointest. Oncol. 2012, 3, 153. [Google Scholar] [PubMed]
- Haider, M.; Zaki, K.Z.; El Hamshary, M.R.; Hussain, Z.; Orive, G.; Ibrahim, H.O. Polymeric nanocarriers: A promising tool for early diagnosis and efficient treatment of colorectal cancer. J. Adv. Res. 2022, 39, 237–255. [Google Scholar] [CrossRef]
- Siegel, R.L.; Miller, K.D.; Jemal, A. Cancer statistics, 2018. CA A Cancer J. Clin. 2018, 68, 7–30. [Google Scholar] [CrossRef]
- Risio, M. Reprint of: The natural history of adenomas. Best Pract. Res. Clin. Gastroenterol. 2010, 24, 397–406. [Google Scholar] [CrossRef]
- Pickhardt, P.J.; Kim, D.H.; Pooler, B.D.; Hinshaw, J.L.; Barlow, D.; Jensen, D.; Reichelderfer, M.; Cash, B.D. Assessment of volumetric growth rates of small colorectal polyps with CT colonography: A longitudinal study of natural history. Lancet Oncol. 2013, 14, 711–720. [Google Scholar] [CrossRef] [PubMed]
- You, X.; Kang, Y.; Hollett, G.; Chen, X.; Zhao, W.; Gu, Z.; Wu, J. Polymeric nanoparticles for colon cancer therapy: Overview and perspectives. J. Mater. Chem. B. 2016, 4, 7779–7792. [Google Scholar] [CrossRef] [PubMed]
- Cisterna, B.A.; Kamaly, N.; Choi, W.I.; Tavakkoli, A.; Farokhzad, O.C.; Vilos, C. Targeted nanoparticles for colorectal cancer. Nanomedicine 2016, 11, 2443–2456. [Google Scholar] [CrossRef]
- Vega, P.; Valentín, F.; Cubiella, J. Colorectal cancer diagnosis: Pitfalls and opportunities. World J. Gastrointest. Oncol. 2015, 7, 422. [Google Scholar] [CrossRef]
- Langenbach, M.R.; Schmidt, J.; Neumann, J.; Zirngibl, H. Delay in treatment of colorectal cancer: Multifactorial problem. World J. Surg. 2003, 27, 304–308. [Google Scholar] [CrossRef] [PubMed]
- O’Keefe, S.J.D. Diet, microorganisms and their metabolites, and colon cancer. Nat. Rev. Gastroenterol. Hepatol. 2016, 13, 691–706. [Google Scholar] [CrossRef] [PubMed]
- Ilie, D.S.; Mitroi, G.; Păun, I.; Ţenea-Cojan, T.Ş.; Neamţu, C.; Totolici, B.D.; Sapalidis, K.; Mogoantă, S.Ş.; Murea, A. Pathological and immunohistochemical study of colon cancer. Evaluation of markers for colon cancer stem cells. Rom. J. Morphol. Embryol. 2021, 62, 117–124. [Google Scholar] [CrossRef]
- Park, J.; Morley, T.S.; Kim, M.; Clegg, D.J.; Scherer, P.E. Obesity and cancer—Mechanisms underlying tumour progression and recurrence. Nat. Rev. Endocrinol. 2014, 10, 455–465. [Google Scholar] [CrossRef]
- Schwartz, B.; Yehuda-Shnaidman, E. Putative role of adipose tissue in growth and metabolism of colon cancer cells. Front. Oncol. 2014, 4, 164. [Google Scholar] [CrossRef]
- Grady, W.M.; Carethers, J.M. Genomic and epigenetic instability in colorectal cancer pathogenesis. Gastroenterology 2008, 135, 1079–1099. [Google Scholar] [CrossRef] [PubMed]
- Mármol, I.; Sánchez-de-Diego, C.; Pradilla Dieste, A.; Cerrada, E.; Rodriguez Yoldi, M.J. Colorectal carcinoma: A general overview and future perspectives in colorectal cancer. Int. J. Mol. Sci. 2017, 18, 197. [Google Scholar] [CrossRef]
- Schwitalla, S.; Fingerle, A.A.; Cammareri, P.; Nebelsiek, T.; Göktuna, S.I.; Ziegler, P.K.; Canli, O.; Heijmans, J.; Huels, D.J.; Moreaux, G.; et al. Intestinal tumorigenesis initiated by dedifferentiation and acquisition of stem-cell-like properties. Cell 2013, 152, 25–38. [Google Scholar] [CrossRef]
- Phi, L.T.H.; Sari, I.N.; Yang, Y.-G.; Lee, S.-H.; Jun, N.; Kim, K.S.; Lee, Y.K.; Kwon, H.Y. Cancer Stem Cells (CSCs) in Drug Resistance and their Therapeutic Implications in Cancer Treatment. Stem Cells Int. 2018, 2018, 1–16. [Google Scholar] [CrossRef]
- Roy, S.; Majumdar, A.P. Signaling in colon cancer stem cells. J. Mol. Signal. 2012, 7, 1–6. [Google Scholar] [CrossRef]
- Zhan, T.; Rindtorff, N.; Boutros, M. Wnt signaling in cancer. Oncogene 2017, 36, 1461–1473. [Google Scholar] [CrossRef] [PubMed]
- White, B.D.; Chien, A.J.; Dawson, D.W. Dysregulation of Wnt/β-Catenin Signaling in Gastrointestinal Cancers. Gastroenterology 2012, 142, 219–232. [Google Scholar] [CrossRef] [PubMed]
- Takeda, K.; Kinoshita, I.; Shimizu, Y.; Matsuno, Y.; Shichinohe, T.; Dosaka-Akita, H. Expression of LGR5, an intestinal stem cell marker, during each stage of colorectal tumorigenesis. Anticancer. Res. 2011, 3, 263–270. [Google Scholar]
- Barker, N.; Tan, S.; Clevers, H. Lgr proteins in epithelial stem cell biology. Development 2013, 140, 2484–2494. [Google Scholar] [CrossRef] [PubMed]
- Merlos-Suárez, A.; Barriga, F.M.; Jung, P.; Iglesias, M.; Céspedes, M.V.; Rossell, D.; Sevillano, M.; Hernando-Momblona, X.; da Silva-Diz, V.; Muñoz, P.; et al. The Intestinal Stem Cell Signature Identifies Colorectal Cancer Stem Cells and Predicts Disease Relapse. Cell Stem Cell 2011, 8, 511–524. [Google Scholar] [CrossRef] [PubMed]
- Barker, N.; Ridgway, R.A.; van Es, J.H.; van de Wetering, M.; Begthel, H.; van den Born, M.; Danenberg, E.; Clarke, A.R.; Sansom, O.J.; Clevers, H. Crypt stem cells as the cells-of-origin of intestinal cancer. Nature 2009, 457, 608–611. [Google Scholar] [CrossRef] [PubMed]
- Barker, N.; van Es, J.H.; Kuipers, J.; Kujala, P.; van den Born, M.; Cozijnsen, M.; Haegebarth, A.; Korving, J.; Begthel, H.; Peters, P.J.; et al. Identification of stem cells in small intestine and colon by marker gene Lgr5. Nature 2007, 449, 1003–1007. [Google Scholar] [CrossRef]
- He, S.; Zhou, H.; Zhu, X.; Hu, S.; Fei, M.; Wan, D.; Gu, W.; Yang, X.; Shi, D.; Zhou, J.; et al. Expression of Lgr5, a marker of intestinal stem cells, in colorectal cancer and its clinicopathological significance. Biomed. Pharmacother. 2014, 68, 507–513. [Google Scholar] [CrossRef]
- Fan, X.-S.; Wu, H.-Y.; Yu, H.-P.; Zhou, Q.; Zhang, Y.-F.; Huang, Q. Expression of Lgr5 in human colorectal carcinogenesis and its potential correlation with β-catenin. Int. J. Color. Dis. 2010, 25, 583–590. [Google Scholar] [CrossRef]
- Ghoniem, I.; Elghamry, F.G.; Abobakr, A.M. Diagnostic value of plasma M2-pyruvate kinase in Egyptian patients with colorectal cancer. Al-Azhar Int. Med. J. 2022, 3, 27–34. [Google Scholar] [CrossRef]
- Xi, Y.; Xu, P. Global colorectal cancer burden in 2020 and projections to 2040. Transl. Oncol. 2021, 14, 101174. [Google Scholar] [CrossRef]
- Kopel, J.; Ristic, B.; Brower, G.L.; Goyal, H. Global Impact of COVID-19 on Colorectal Cancer Screening: Current Insights and Future Directions. Medicina 2022, 58, 100. [Google Scholar] [CrossRef] [PubMed]
- Zhang, Y.L.; Zhang, Z.S.; Wu, B.P.; Zhou, D.Y. Early diagnosis for colorectal cancer in China. World J. Gastroenterol. 2002, 8, 21. [Google Scholar] [CrossRef] [PubMed]
- Dawood, G. Gastrointestinal System. In Color Atlas of Human Gross Pathology; Springer: Cham, Switzerland, 2022; pp. 37–58. [Google Scholar]
- Kemper, K.; Prasetyanti, P.R.; De Lau, W.; Rodermond, H.; Clevers, H.; Medema, J.P. Monoclonal antibodies against Lgr5 identify human colorectal cancer stem cells. Stem Cell 2012, 30, 2378–2386. [Google Scholar] [CrossRef] [PubMed]
- Chen, X.; Wei, B.; Han, X.; Zheng, Z.; Huang, J.; Liu, J.; Huang, Y.; Wei, H. LGR5 is required for the maintenance of spheroid-derived colon cancer stem cells. Int. J. Mol. Med. 2014, 34, 35–42. [Google Scholar] [CrossRef] [PubMed]
- Espersen, M.L.M.; Olsen, J.; Linnemann, D.; Høgdall, E.; Troelsen, J.T. Clinical Implications of Intestinal Stem Cell Markers in Colorectal Cancer. Clin. Color. Cancer 2015, 14, 63–71. [Google Scholar] [CrossRef] [PubMed]
- AL-Hajj, M. Cancer stem cells and oncology therapeutics. Curr. Opin. Oncol. 2007, 19, 61–64. [Google Scholar] [CrossRef]
- Wu, J.; Xie, N.; Xie, K.; Zeng, J.; Cheng, L.; Lei, Y.; Liu, Y.; Song, L.; Dong, D.; Chen, Y.; et al. GPR48, a poor prognostic factor, promotes tumor metastasis and activates β-catenin/TCF signaling in colorectal cancer. Carcinogenesis 2013, 34, 2861–2869. [Google Scholar] [CrossRef]
- Baker, A.-M.; Graham, T.A.; Elia, G.; Wright, N.A.; Rodriguez-Justo, M. Characterization of LGR5 stem cells in colorectal adenomas and carcinomas. Sci. Rep. 2015, 5, 8654. [Google Scholar] [CrossRef]
- Dai, X.; Wang, L.; Zhang, L.; Han, Y.; Yang, G.; Li, L. The expression and mutation of β-catenin in colorectal traditional serrated adenomas. Indian J. Pathol. Microbiol. 2012, 55, 288. [Google Scholar]
- Gao, F.-J.; Chen, J.-Y.; Wu, H.-Y.; Shi, J.; Chen, M.; Fan, X.-S.; Huang, Q. Lgr5 over-expression is positively related to the tumor progression and HER2 expression in stage pTNM IV colorectal cancer. Int. J. Clin. Exp. Pathol. 2014, 7, 1572–1579. [Google Scholar]
- Wu, S.X.; Xi, Q.H.; Chen, L. LGR5 is a potential marker of colorectal carcinoma stem cells that correlates with patient survival. World J. Surg. Oncol. 2012, 10, 244. [Google Scholar] [PubMed]
- Handjari, R.D.; Abineno, P.; Siregar, B. Subcellular localization of Β-catenin in colorectal non neoplastic and neoplastic lesions. Makara Kesehatan 2011, 15, 86–92. [Google Scholar]
- Wong, S.C.C.; Lo, E.S.F.; Lee, K.C.; Chan, J.K.; Hsiao, W.W. Prognostic and Diagnostic Significance of β-Catenin Nuclear Immunostaining in Colorectal Cancer. Clin. Cancer Res. 2004, 10, 1401. [Google Scholar] [PubMed]
- Silva, S.R.M.; Matos, D.; Waitzberg, A.F.; Artigiani, R.; Saad, S.S. Study of APC and β-catenin protein expression in polyps and colorectal adenocarcinoma. Appl. Cancer Res. 2011, 31, 81–86. [Google Scholar]
- Kazem, A.; El Sayed, K.; El Kerm, Y. Prognostic significance of COX-2 and β-catenin in colorectal carcinoma. Alexandria 2014, 50, 211–220. [Google Scholar] [CrossRef]
- Said, N.; Mangoud, A.; Mostafa, S.; Yehia, M.; El-Aziz, A. EXPRESSION OF LGR5 AND BETA-CATENIN IN BENIGN AND MALIGNANT COLORECTAL LESIONS IN ZAGAZIG UNIVERSITY HOSPITAL. Zagazig Univ. Med. J. 2017, 23, 1–10. [Google Scholar] [CrossRef]
- Femia, A.P.; Dolara, P.; Salvadori, M.; Caderni, G. Expression of LGR-5, MSI-1 and DCAMKL-1, putative stem cell markers, in the early phases of 1, 2-dimethylhydrazine-induced rat colon carcinogenesis: Correlation with nuclear β-catenin. BMC Cancer 2013, 13, 48. [Google Scholar]
- Liu, Z.; Dai, W.; Jiang, L.; Cheng, Y. Over-expression of LGR5 correlates with poor survival of colon cancer in mice as well as in patients. Neoplasma 2014, 61, 177–185. [Google Scholar] [CrossRef]
- Morsy, H.; Gaballah, A.; Samir, M.; Nakundi, V.; Shamseya, M.; Mahrous, H.; Ghazal, A.; Hashish, M.; Arafat, W. LGR5, HES1 and ATOH1 in Young Rectal Cancer Patients in Egyptian. Asian Pac. J. Cancer Prev. 2021, 22, 2819–2830. [Google Scholar] [CrossRef]
- Chen, Q.; Zhang, X.; Li, W.M.; Ji, Y.Q.; Cao, H.Z.; Zheng, P. Prognostic value of LGR5 in colorectal cancer: A meta-analysis. PLoS ONE 2014, 9, e107013. [Google Scholar] [CrossRef] [PubMed]
- Ziskin, J.L.; Dunlap, D.; Yaylaoglu, M.; Fodor, I.K.; Forrest, W.F.; Patel, R.; Ge, N.; Hutchins, G.G.; Pine, J.K.; Quirke, P.; et al. In situ validation of an intestinal stem cell signature in colorectal cancer. Gut 2013, 62, 1012–1023. [Google Scholar] [CrossRef] [PubMed]
- Shekarriz, R.; Montazer, F.; Alizadeh-Navaei, R. Overexpression of cancer stem cell marker Lgr5 in colorectal cancer patients and association with clinicopathological findings. Casp. J. Intern. Med. 2019, 10, 412–416. [Google Scholar]



| Count | N (%) | ||
|---|---|---|---|
| Age | Mean ± SD | 49.64 ± 7.96 | |
| Sex | Male | 30 | 60% |
| Female | 20 | 40% | |
| Tumor histology | Normal | 8 | 16% |
| Adenoma | 12 | 24% | |
| CRC | 30 | 60% | |
| Histopathological types of adenoma | Tubular | 2 | 16.67% |
| Tubulovillous | 6 | 50% | |
| Villous | 4 | 33.33% | |
| Histopathological types of CRC | Conventional type adenocarcinoma | 27 | 90% |
| Mucinous adenocarcinoma | 3 | 10.00% | |
| Stage of CRC | Stage I | 8 | 26.7% |
| Stage II | 8 | 26.7% | |
| Stage III | 9 | 30% | |
| Stage IV | 5 | 16.7% | |
| Grade of CRC | Grade I | 15 | 50% |
| Grade II | 10 | 33.3% | |
| Grade III | 5 | 16.7% | |
| Colorectal Studied Cases | No. | % | Weak | Moderate | Strong | p-Value | ||||
|---|---|---|---|---|---|---|---|---|---|---|
| No. | % | No. | % | No. | % | |||||
| Histopathological types | Normal | 8 | 16% | 0 | 0.0% | 0 | 0.0% | 0 | 0.0% | 0.048 |
| Adenoma | 12 | 24% | 5 | 41.67% | 6 | 50.00% | 1 | 8.33% | ||
| Carcinoma | 30 | 60.00% | 4 | 13.33% | 14 | 46.67% | 12 | 40.00% | ||
| Grade of Dysplasia In Cases of Adenoma | High dysplasia | 6 | 50% | 0 | 0.00% | 5 | 83.33% | 1 | 16.67% | 0.013 |
| Low dysplasia | 6 | 50% | 5 | 83.33% | 1 | 16.67% | 0 | 0.00% | ||
| Grade of CRC | Grade I | 15 | 50% | 3 | 20.00% | 8 | 53.33% | 4 | 26.67% | 0.566 |
| Grade II | 10 | 33.33% | 1 | 10.00% | 4 | 40.00% | 5 | 50.00% | ||
| Grade III | 5 | 16.7% | 0 | 0.00% | 2 | 40.00% | 3 | 60.00% | ||
| Stage of CRC | Stage I | 8 | 26.7% | 3 | 37.50% | 5 | 62.50% | 0 | 0.00% | 0.107 |
| Stage II | 8 | 26.7% | 1 | 12.50% | 3 | 37.50% | 4 | 50.00% | ||
| Stage III | 9 | 30% | 0 | 0.00% | 4 | 44.44% | 5 | 55.56% | ||
| Stage IV | 5 | 16.7% | 0 | 0.00% | 2 | 40.00% | 3 | 60.00% | ||
| Colorectal Studied Cases | NO. | % | Weak | Moderate | Strong | p-Value | ||||
|---|---|---|---|---|---|---|---|---|---|---|
| No. | % | No. | % | No. | % | |||||
| Histopathological type | Normal | 8 | 6% | 7 | 87.50% | 1 | 12.50% | 0 | 0.00% | 0.000 |
| Adenoma | 12 | 4% | 4 | 33.33% | 6 | 50.00% | 2 | 16.67% | ||
| Carcinoma | 30 | 0% | 4 | 13.33% | 11 | 36.67% | 15 | 50.00% | ||
| Grade of dysplasia in adenoma | High | 6 | 0% | 0 | 0.00% | 4 | 66.67% | 2 | 33.33% | 0.036 |
| Low | 6 | 50% | 4 | 66.67% | 2 | 33.33% | 0 | 0.00% | ||
| Grade of colorectal adenocarcinoma | Grade I | 15 | 0% | 2 | 13.33% | 7 | 46.67% | 6 | 40.00% | 0.539 |
| Grade II | 10 | 33.3% | 2 | 20.00% | 3 | 30.00% | 5 | 50.00% | ||
| Grade III | 5 | 16.7% | 0 | 0.00% | 1 | 20.00% | 4 | 80.00% | ||
| Stage of colorectal adenocarcinoma | Stage I | 8 | 26.7% | 2 | 25.00% | 5 | 62.50% | 1 | 12.50% | 0.309 |
| Stage II | 8 | 26.7% | 1 | 12.50% | 2 | 25.00% | 5 | 62.50% | ||
| Stage III | 9 | 30% | 1 | 11.11% | 3 | 33.33% | 5 | 55.56% | ||
| Stage IV | 5 | 16.7% | 0 | 0.00% | 1 | 20.00% | 4 | 80.00% | ||
Disclaimer/Publisher’s Note: The statements, opinions and data contained in all publications are solely those of the individual author(s) and contributor(s) and not of MDPI and/or the editor(s). MDPI and/or the editor(s) disclaim responsibility for any injury to people or property resulting from any ideas, methods, instructions or products referred to in the content. |
© 2023 by the authors. Licensee MDPI, Basel, Switzerland. This article is an open access article distributed under the terms and conditions of the Creative Commons Attribution (CC BY) license (https://creativecommons.org/licenses/by/4.0/).
Share and Cite
Ahmed, E.M.; Farag, A.S.; Abdelwahed, M.S.; Hanbazazh, M.; Samman, A.; Ashmawy, D.; Abd-Elhameed, N.R.; Tharwat, M.; Othman, A.E.; Shawky, T.A.; et al. The Expression of Stem Cell Marker LGR5 and Its Coexpression with Β-Catenin in Sporadic Colorectal Carcinoma and Adenoma: A Comparative Immunohistochemical Study. Medicina 2023, 59, 1233. https://doi.org/10.3390/medicina59071233
Ahmed EM, Farag AS, Abdelwahed MS, Hanbazazh M, Samman A, Ashmawy D, Abd-Elhameed NR, Tharwat M, Othman AE, Shawky TA, et al. The Expression of Stem Cell Marker LGR5 and Its Coexpression with Β-Catenin in Sporadic Colorectal Carcinoma and Adenoma: A Comparative Immunohistochemical Study. Medicina. 2023; 59(7):1233. https://doi.org/10.3390/medicina59071233
Chicago/Turabian StyleAhmed, Eman Mohamed, Abeer Said Farag, Mohammed S. Abdelwahed, Mehenaz Hanbazazh, Abdulhadi Samman, Diaa Ashmawy, Nageh Rady Abd-Elhameed, Mohamed Tharwat, Alyaa E. Othman, Taiseer Ahmed Shawky, and et al. 2023. "The Expression of Stem Cell Marker LGR5 and Its Coexpression with Β-Catenin in Sporadic Colorectal Carcinoma and Adenoma: A Comparative Immunohistochemical Study" Medicina 59, no. 7: 1233. https://doi.org/10.3390/medicina59071233
APA StyleAhmed, E. M., Farag, A. S., Abdelwahed, M. S., Hanbazazh, M., Samman, A., Ashmawy, D., Abd-Elhameed, N. R., Tharwat, M., Othman, A. E., Shawky, T. A., Attia, R. M., Ibrahim, A. A., Azzam, S., Elhussiny, M. E. A., Nasr, M., Naeem, S. A., Abd-Elhay, W. M., Ali Alfaifi, A. M., & Hasan, A. (2023). The Expression of Stem Cell Marker LGR5 and Its Coexpression with Β-Catenin in Sporadic Colorectal Carcinoma and Adenoma: A Comparative Immunohistochemical Study. Medicina, 59(7), 1233. https://doi.org/10.3390/medicina59071233

