The Conundrum of Dedifferentiation in a Liposarcoma at a Peculiar Location: A Case Report and Literature Review
Abstract
1. Introduction
2. Materials and Methods
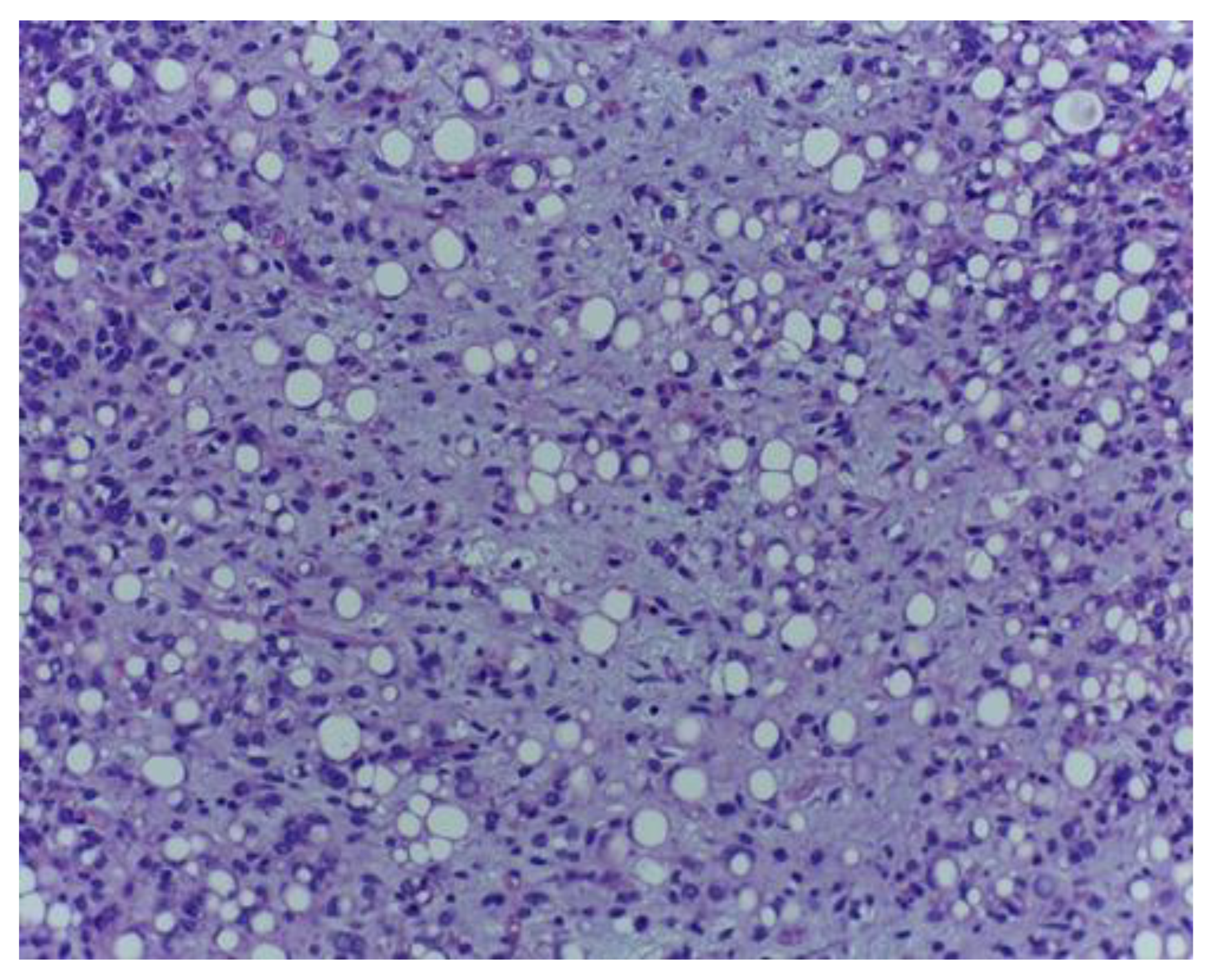
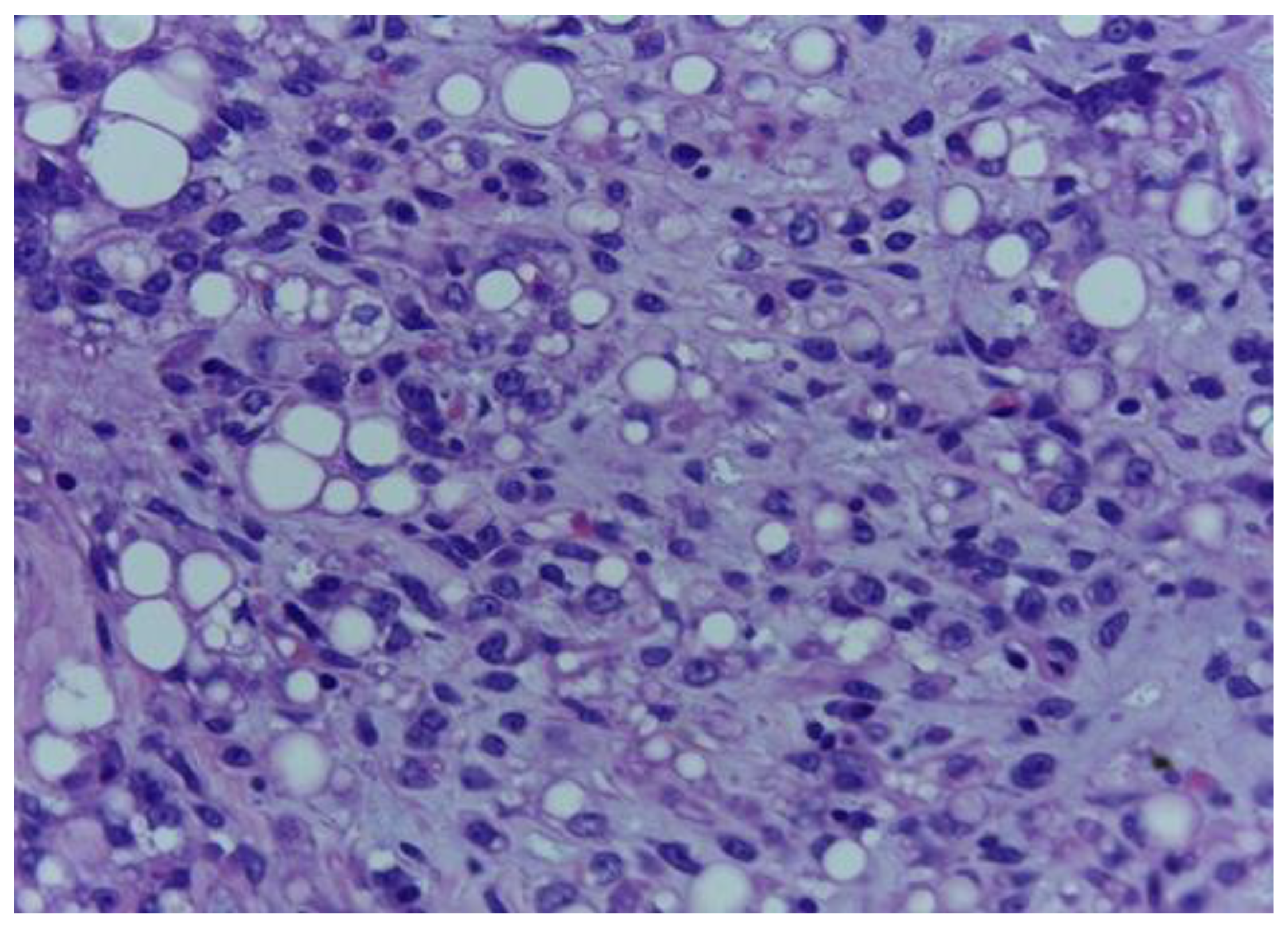
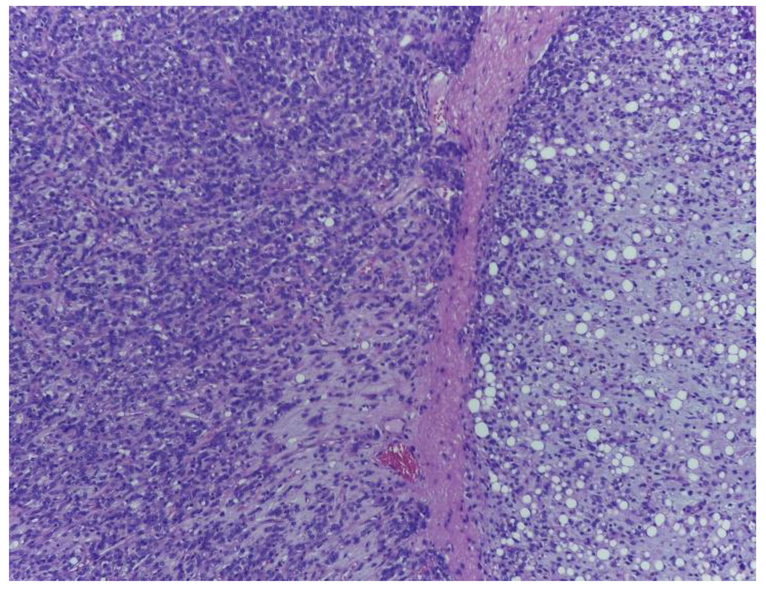
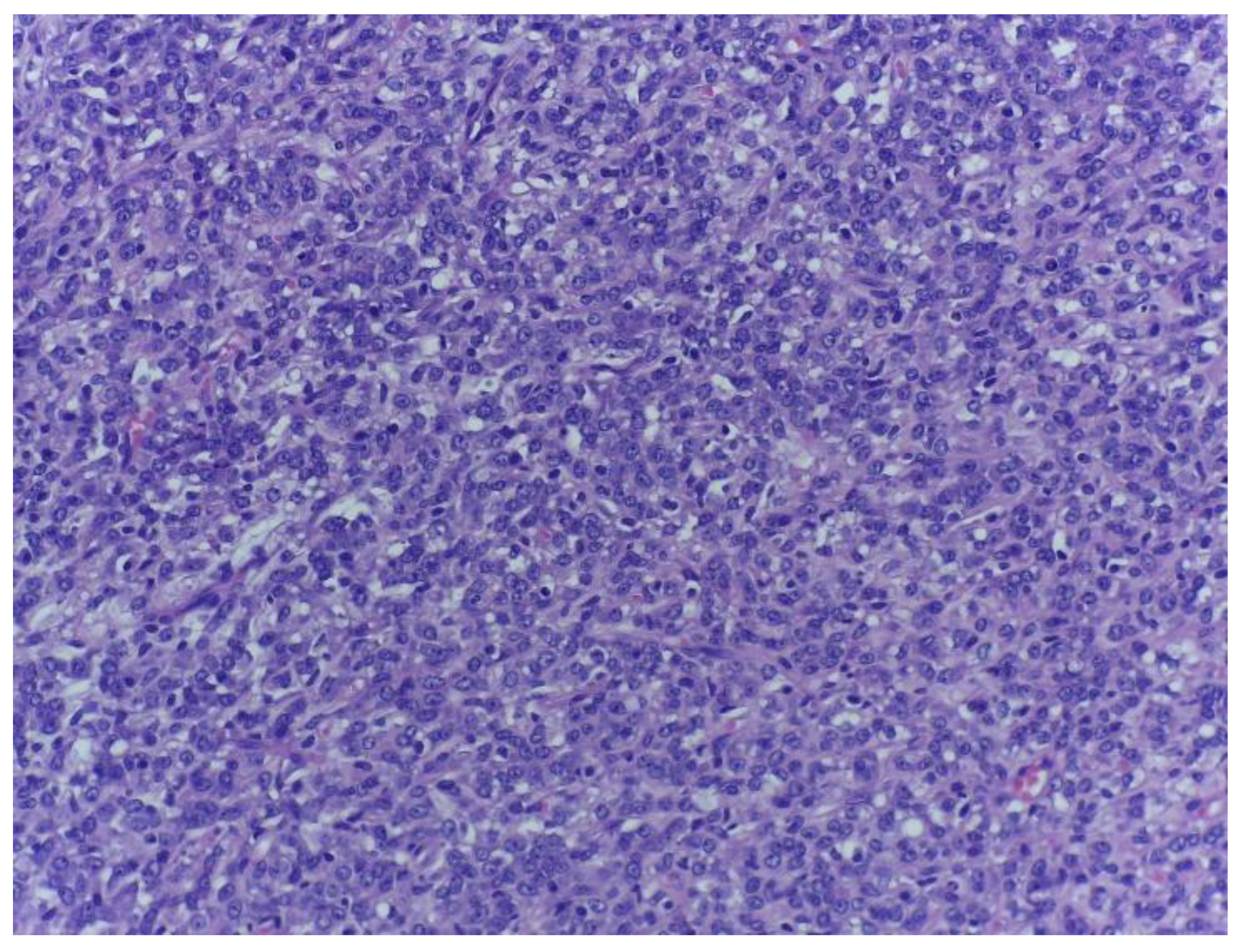
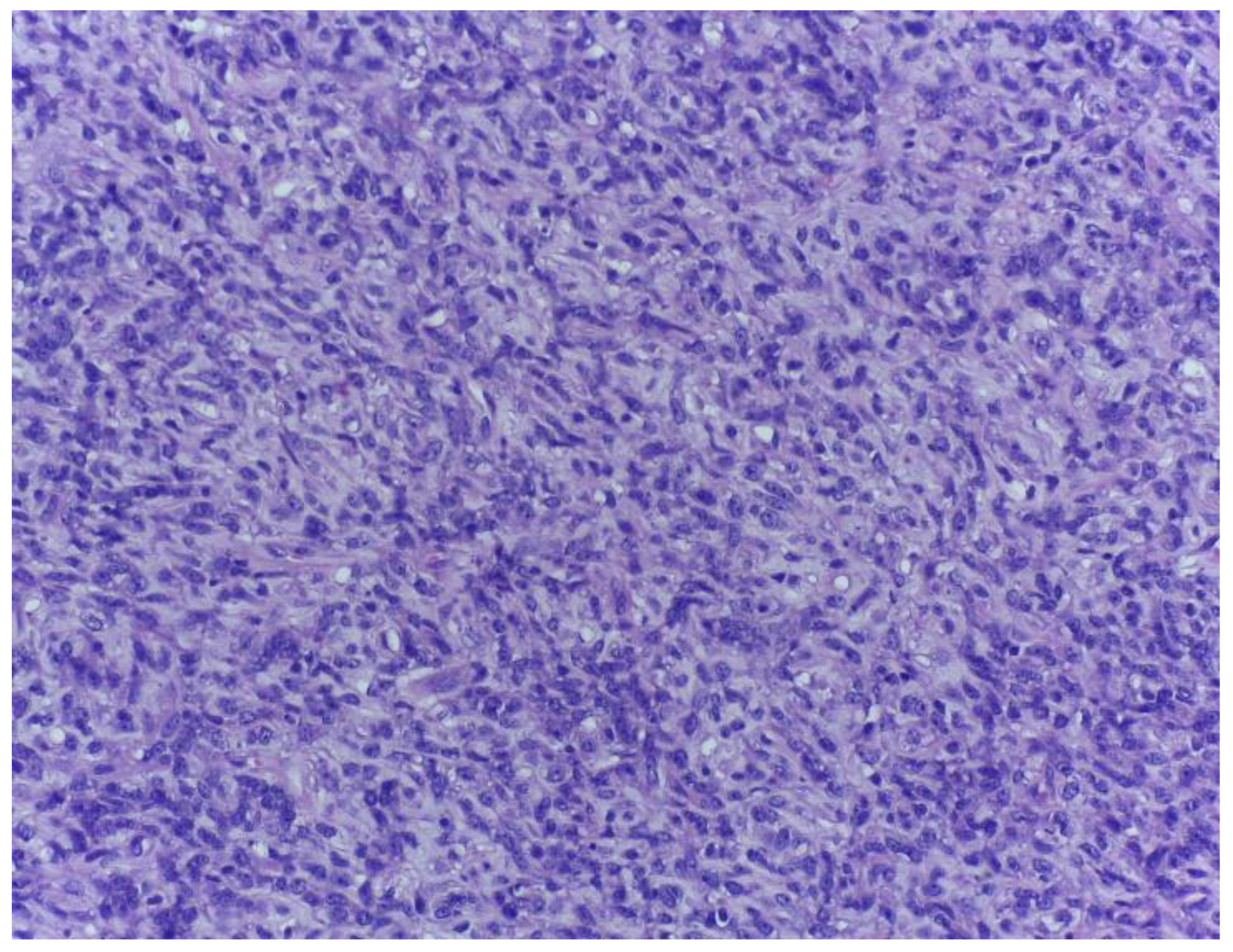
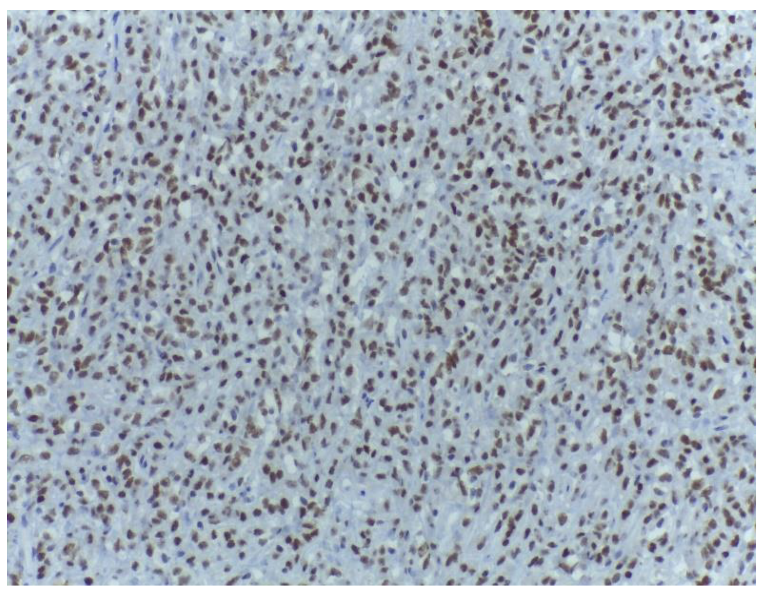
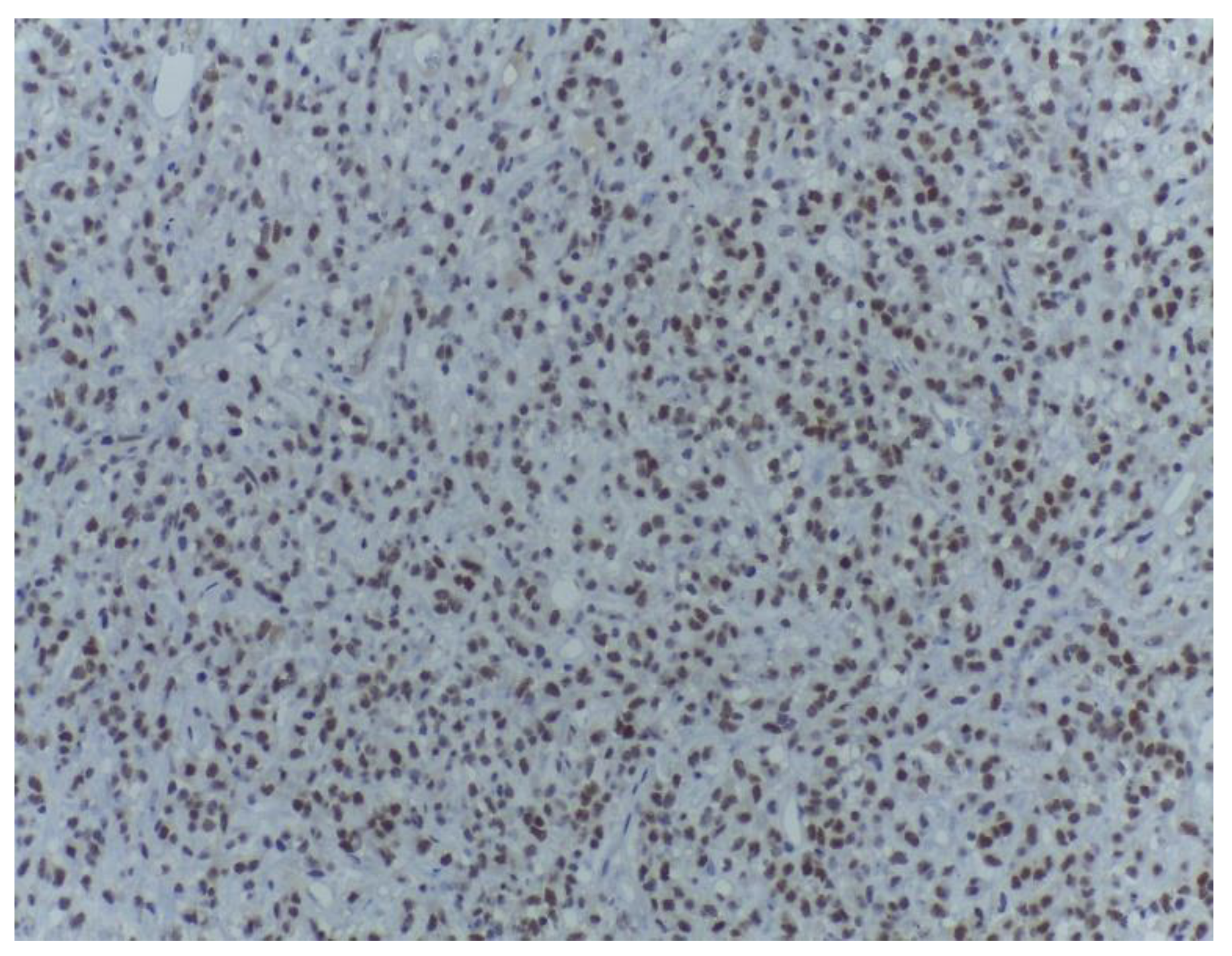
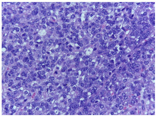
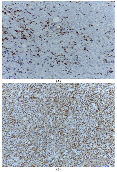
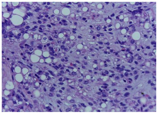
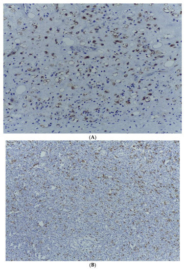
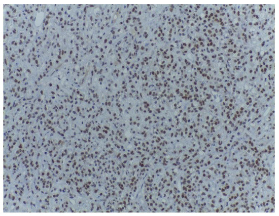
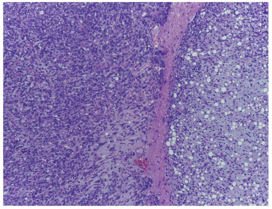
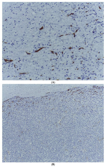
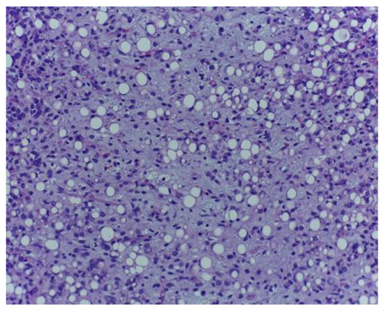
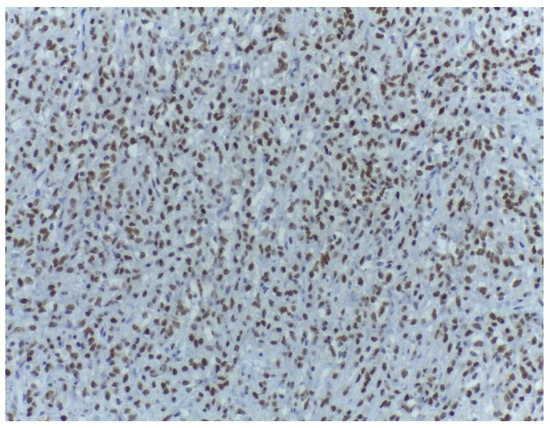
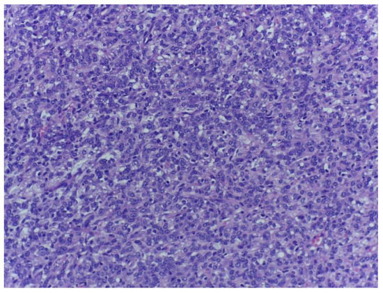
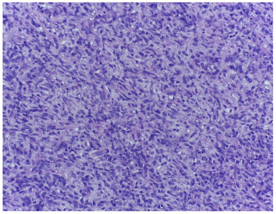
3. Results
4. Discussion
5. Conclusions
Author Contributions
Funding
Institutional Review Board Statement
Informed Consent Statement
Conflicts of Interest
References
- Sengul, D.; Sengul, I.; Ustun, H. Dedifferentiated Liposarcoma of the Left Thigh: A Rare Case. Med. Arch. 2019, 73, 121–122. [Google Scholar] [CrossRef] [PubMed]
- De Vita, A.; Mercatali, L.; Recine, F.; Pieri, F.; Riva, N.; Bongiovanni, A.; Liverani, C.; Spadazzi, C.; Miserocchi, G.; Amadori, D.; et al. Current classification, treatment options, and new perspectives in the management of adipocytic sarcomas. Onco. Targets Ther. 2016, 9, 6233–6246. [Google Scholar] [CrossRef] [PubMed]
- Henze, J.; Bauer, S. Liposarcomas. Hematol. Oncol. Clin. N. Am. 2013, 27, 939–955. [Google Scholar] [CrossRef]
- Kim, D.W.; Jee, Y.S. Solitary metastasis of myxoid liposarcoma from the thigh to intraperitoneum: A case report. World J. Surg. Oncol. 2019, 17, 172. [Google Scholar] [CrossRef] [PubMed]
- Thway, K. Well-differentiated liposarcoma and dedifferentiated liposarcoma: An updated review. Semin. Diagn. Pathol. 2019, 36, 112–121. [Google Scholar] [CrossRef]
- Gahvari, Z.; Parkes, A. Dedifferentiated Liposarcoma: Systemic Therapy Options. Curr. Treat. Options. Oncol. 2020, 21, 15. [Google Scholar] [CrossRef]
- Crago, A.M.; Dickson, M.A. Liposarcoma: Multimodality Management and Future Targeted Therapies. Surg. Oncol. Clin. N. Am. 2016, 25, 761–773. [Google Scholar] [CrossRef]
- Kammerer-Jacquet, S.F.; Thierry, S.; Cabillic, F.; Lannes, M.; Burtin, F.; Henno, S.; Dugay, F.; Bouzillé, G.; Rioux-Leclercq, N.; Belaud-Rotureau, M.A.; et al. Differential diagnosis of atypical lipomatous tumor/well-differentiated liposarcoma and dedifferentiated liposarcoma: Utility of p16 in combination with MDM2 and CDK4 immunohistochemistry. Hum. Pathol. 2017, 59, 34–40. [Google Scholar] [CrossRef]
- Kilpatrick, S.E. Dedifferentiated Liposarcoma: A Comprehensive Historical Review with Proposed Evidence-based Guidelines Regarding a Diagnosis in Need of Further Clarification. Adv. Anat. Pathol. 2021, 28, 426–438. [Google Scholar] [CrossRef]
- Child, J.R.; Young, C.R.; Amini, B. Liposarcoma of the thigh with mixed calcification and ossification. Radiol. Case Rep. 2016, 11, 217–221. [Google Scholar] [CrossRef]
- Lu, J.; Wood, D.; Ingley, E.; Koks, S.; Wong, D. Update on genomic and molecular landscapes of well-differentiated liposarcoma and dedifferentiated liposarcoma. Mol. Biol. Rep. 2021, 48, 3637–3647. [Google Scholar] [CrossRef]
- Yu, J.S.E.; Colborne, S.; Hughes, C.S.; Morin, G.B.; Nielsen, T.O. The FUS-DDIT3 Interactome in Myxoid Liposarcoma. Neoplasia 2019, 21, 740–751. [Google Scholar] [CrossRef] [PubMed]
- Dürr, H.R.; Rauh, J.; Baur-Melnyk, A.; Knösel, T.; Lindner, L.; Roeder, F.; Jansson, V.; Klein, A. Myxoid liposarcoma: Local relapse and metastatic pattern in 43 patients. BMC Cancer 2018, 18, 304. [Google Scholar] [CrossRef] [PubMed]
- Pink, D.; West, A.; Andreou, D. Systemic Therapy Options for Locally Advanced and Metastatic Myxoid, Dedifferentiated and Pleomorphic Liposarcoma. Zentralbl. Chir. 2020, 145, 160–167. (In German) [Google Scholar] [CrossRef] [PubMed]
- Lee, A.T.J.; Thway, K.; Huang, P.H.; Jones, R.L. Clinical and Molecular Spectrum of Liposarcoma. J. Clin. Oncol. 2018, 36, 151–159. [Google Scholar] [CrossRef]
- Tyler, R.; Wanigasooriya, K.; Taniere, P.; Almond, M.; Ford, S.; Desai, A.; Beggs, A. A review of retroperitoneal liposarcoma genomics. Cancer Treat Rev. 2020, 86, 102013. [Google Scholar] [CrossRef]
- Mantilla, J.G.; Ricciotti, R.W.; Chen, E.Y.; Liu, Y.J.; Hoch, B.L. Amplification of DNA damage-inducible transcript 3 (DDIT3) is associated with myxoid liposarcoma-like morphology and homologous lipoblastic differentiation in dedifferentiated liposarcoma. Mod. Pathol. 2019, 32, 585–592. [Google Scholar] [CrossRef]
- 1Mariño-Enríquez, A.; Hornick, J.L.; Dal Cin, P.; Cibas, E.S.; Qian, X. Dedifferentiated liposarcoma and pleomorphic liposarcoma: A comparative study of cytomorphology and MDM2/CDK4 expression on fine-needle aspiration. Cancer Cytopathol. 2014, 122, 128–137. [Google Scholar] [CrossRef]
- Weingertner, N.; Neuville, A.; Chibon, F.; Ray-Coquard, I.; Marcellin, L.; Ghnassia, J.P. Myxoid liposarcoma with heterologous components: Dedifferentiation or metaplasia? A FISH-documented and CGH-documented case report. Appl. Immunohistochem. Mol. Morphol. 2015, 23, 230–235. [Google Scholar] [CrossRef]
- Tariq, H.; Sarfraz, T.; Saeed, I. Myxoid Liposarcoma with Cartilagenous Differentiation. J. Coll. Physicians Surg. Pak. 2020, 30, 1096–1098. [Google Scholar] [CrossRef]
- Kim, H.; Hwangbo, W.; Ahn, S.; Kim, S.; Kim, I.; Kim, C.H. Myxoid liposarcoma with cartilaginous differentiation: A case study with cytogenetical analysis. Korean J. Pathol. 2013, 47, 284–288. [Google Scholar] [CrossRef] [PubMed]
- Tajima, S.; Koda, K. Paratesticular dedifferentiated liposarcoma with prominent myxoid stroma: Report of a case and review of the literature. Med. Mol. Morphol. 2017, 50, 112–116. [Google Scholar] [CrossRef] [PubMed]
- Sioletic, S.; Dal Cin, P.; Fletcher, C.D.; Hornick, J.L. Well-differentiated and dedifferentiated liposarcomas with prominent myxoid stroma: Analysis of 56 cases. Histopathology 2013, 62, 287–293. [Google Scholar] [CrossRef] [PubMed]
- Peck, T.; Gervasio, K.A.; Zhang, P.J.L.; Shields, C.L.; Lally, S.E.; Eagle, R.C., Jr.; Milman, T. Atypical Lipomatous Tumor/Well-Differentiated Liposarcoma with Myxoid Stroma in a Hereditary Retinoblastoma Survivor. Ocul. Oncol. Pathol. 2020, 6, 79–86. [Google Scholar] [CrossRef]
- Campbell, G.S.; Lawrence, T.J.; Porter, S.E.; Rezeanu, L. Primary dedifferentiated liposarcoma of the axilla arising in a mixed, well-differentiated and myxoid liposarcoma. J. Radiol. Case Rep. 2012, 6, 9–16. [Google Scholar] [CrossRef]
- Scapa, J.V.; Cloutier, J.M.; Raghavan, S.S.; Peters-Schulze, G.; Varma, S.; Charville, G.W. DDIT3 Immunohistochemistry Is a Useful Tool for the Diagnosis of Myxoid Liposarcoma. Am. J. Surg. Pathol. 2021, 45, 230–239. [Google Scholar] [CrossRef]
- Creytens, D. What’s new in adipocytic neoplasia? Virchows Arch. 2020, 476, 29–39. [Google Scholar] [CrossRef]
- Kobayashi, A.; Sakuma, T.; Fujimoto, M.; Jimbo, N.; Hirose, T. Diagnostic Utility and Limitations of Immunohistochemistry of p16, CDK4, and MDM2 and Automated Dual-color In Situ Hybridization of MDM2 for the Diagnosis of Challenging Cases of Dedifferentiated Liposarcoma. Appl. Immunohistochem. Mol. Morphol. 2019, 27, 758–763. [Google Scholar] [CrossRef]
- Song, M.J.; Cho, K.J.; Lee, J.S.; Song, J.S. Application of MDM2 Fluorescence In Situ Hybridization and Immunohistochemistry in Distinguishing Dedifferentiated Liposarcoma From Other High-grade Sarcomas. Appl. Immunohistochem. Mol. Morphol. 2017, 25, 712–719. [Google Scholar] [CrossRef]
- Gong, L.H.; Liu, W.F.; Ding, Y.; Li, L.; Zhang, M.; Sun, X.Q.; Huang, X.Y. Dedifferentiated liposarcoma of extremities: A clinicopathologic analysis. Zhonghua Bing Li Xue Za Zhi 2018, 47, 511–516. (In Chinese) [Google Scholar]
- Zajicek, A.K.; Bridge, J.A.; Akers, J.W.; McGarry, S.V.; Walker, C.W. Dedifferentiated liposarcoma of the lower extremity with low-grade dedifferentiation and low-grade osteosarcomatous component. Skeletal. Radiol. 2017, 46, 265–271. [Google Scholar] [CrossRef] [PubMed]
- Dantey, K.; Schoedel, K.; Yergiyev, O.; Bartlett, D.; Rao, U.N.M. Correlation of histological grade of dedifferentiation with clinical outcome in 55 patients with dedifferentiated liposarcomas. Hum. Pathol. 2017, 66, 86–92. [Google Scholar] [CrossRef] [PubMed]
- Redroban, L.; Montalvo, N. Vulvar Myxoid Liposarcoma, an Extremely Rare Diagnosis: A Case Report and Review of Literature. Int. J. Gynecol. Pathol. 2019, 38, 17–20. [Google Scholar] [CrossRef] [PubMed]
- Cappellesso, R.; d’Amore, E.S.; Dall’Igna, P.; Guzzardo, V.; Vassarotto, E.; Rugge, M.; Alaggio, R. Immunohistochemical expression of p16 in lipoblastomas. Hum. Pathol. 2016, 47, 64–69. [Google Scholar] [CrossRef]
- Arici, A.; Ozgur, T.; Ugras, N.; Yalcinkaya, U. Immunohistochemical detection of p53 and MDM2 expressions in liposarcoma with World health organization classification. Indian. J. Cancer 2013, 50, 164–169. [Google Scholar] [CrossRef]
- Kural Mangit, E.; Boustanabadimaralan Düz, N.; Dinçer, P. A cytoplasmic escapee: Desmin is going nuclear. Turk. J. Biol. 2021, 45, 711–719. [Google Scholar] [CrossRef]
- Stocker, M.; Le Nail, L.R.; De Belenet, H.; Wunder, J.S.; Andrulis, I.L.; Gokgoz, N.; Levy, N.; Mattei, J.C.; Olschwang, S. Inhibition of P53-mediated cell cycle control as the determinant in dedifferentiated liposarcomas development. Am. J. Cancer Res. 2021, 11, 3271–3284. [Google Scholar]
- Ståhlberg, A.; Kåbjörn Gustafsson, C.; Engtröm, K.; Thomsen, C.; Dolatabadi, S.; Jonasson, E.; Li, C.Y.; Ruff, D.; Chen, S.M.; Åman, P. Normal and functional TP53 in genetically stable myxoid/round cell liposarcoma. PLoS ONE 2014, 9, e113110. [Google Scholar] [CrossRef]
- Keung, E.Z.; Lazar, A.J.; Torres, K.E.; Wang, W.L.; Cormier, J.N.; Ashleigh Guadagnolo, B.; Bishop, A.J.; Lin, H.; Hunt, K.K.; Bird, J.; et al. Phase II study of neoadjuvant checkpoint blockade in patients with surgically resectable undifferentiated pleomorphic sarcoma and dedifferentiated liposarcoma. BMC Cancer 2018, 18, 913. [Google Scholar] [CrossRef]
- Torabi, A.; Amaya, C.N.; Wians, F.H., Jr.; Bryan, B.A. PD-1 and PD-L1 expression in bone and soft tissue sarcomas. Pathology 2017, 49, 506–513. [Google Scholar] [CrossRef]
- Ratan, R.; Patel, S.R. Chemotherapy for soft tissue sarcoma. Cancer 2016, 122, 2952–2960. [Google Scholar] [CrossRef] [PubMed]
- Tong, Q.; Dalgin, G.; Xu, H.; Ting, C.N.; Leiden, J.M.; Hotamisligil, G.S. Function of GATA transcription factors in preadipocyte-adipocyte transition. Science 2000, 290, 134–138. [Google Scholar] [CrossRef] [PubMed]
- Wajant, H. Therapeutic targeting of CD70 and CD27. Expert Opin. Ther. Targets 2016, 20, 959–973. [Google Scholar] [CrossRef] [PubMed]












Disclaimer/Publisher’s Note: The statements, opinions and data contained in all publications are solely those of the individual author(s) and contributor(s) and not of MDPI and/or the editor(s). MDPI and/or the editor(s) disclaim responsibility for any injury to people or property resulting from any ideas, methods, instructions or products referred to in the content. |
© 2023 by the authors. Licensee MDPI, Basel, Switzerland. This article is an open access article distributed under the terms and conditions of the Creative Commons Attribution (CC BY) license (https://creativecommons.org/licenses/by/4.0/).
Share and Cite
Ciongariu, A.-M.; Dumitru, A.-V.; Cîrstoiu, C.; Crețu, B.; Sajin, M.; Țăpoi, D.-A.; Ciobănoiu, A.-D.; Bejenariu, A.; Marin, A.; Costache, M. The Conundrum of Dedifferentiation in a Liposarcoma at a Peculiar Location: A Case Report and Literature Review. Medicina 2023, 59, 967. https://doi.org/10.3390/medicina59050967
Ciongariu A-M, Dumitru A-V, Cîrstoiu C, Crețu B, Sajin M, Țăpoi D-A, Ciobănoiu A-D, Bejenariu A, Marin A, Costache M. The Conundrum of Dedifferentiation in a Liposarcoma at a Peculiar Location: A Case Report and Literature Review. Medicina. 2023; 59(5):967. https://doi.org/10.3390/medicina59050967
Chicago/Turabian StyleCiongariu, Ana-Maria, Adrian-Vasile Dumitru, Cătălin Cîrstoiu, Bogdan Crețu, Maria Sajin, Dana-Antonia Țăpoi, Aminia-Diana Ciobănoiu, Adrian Bejenariu, Andrei Marin, and Mariana Costache. 2023. "The Conundrum of Dedifferentiation in a Liposarcoma at a Peculiar Location: A Case Report and Literature Review" Medicina 59, no. 5: 967. https://doi.org/10.3390/medicina59050967
APA StyleCiongariu, A.-M., Dumitru, A.-V., Cîrstoiu, C., Crețu, B., Sajin, M., Țăpoi, D.-A., Ciobănoiu, A.-D., Bejenariu, A., Marin, A., & Costache, M. (2023). The Conundrum of Dedifferentiation in a Liposarcoma at a Peculiar Location: A Case Report and Literature Review. Medicina, 59(5), 967. https://doi.org/10.3390/medicina59050967

