Comparison of Outcomes between Unilateral Biportal Endoscopic and Percutaneous Posterior Endoscopic Cervical Keyhole Surgeries
Abstract
1. Introduction
2. Material and Methods
2.1. Patients
2.2. Inclusion and Exclusion Criteria
2.3. Surgical Procedures
2.3.1. UBE
2.3.2. PE
2.4. Outcome Evaluation
2.4.1. Surgical Outcomes
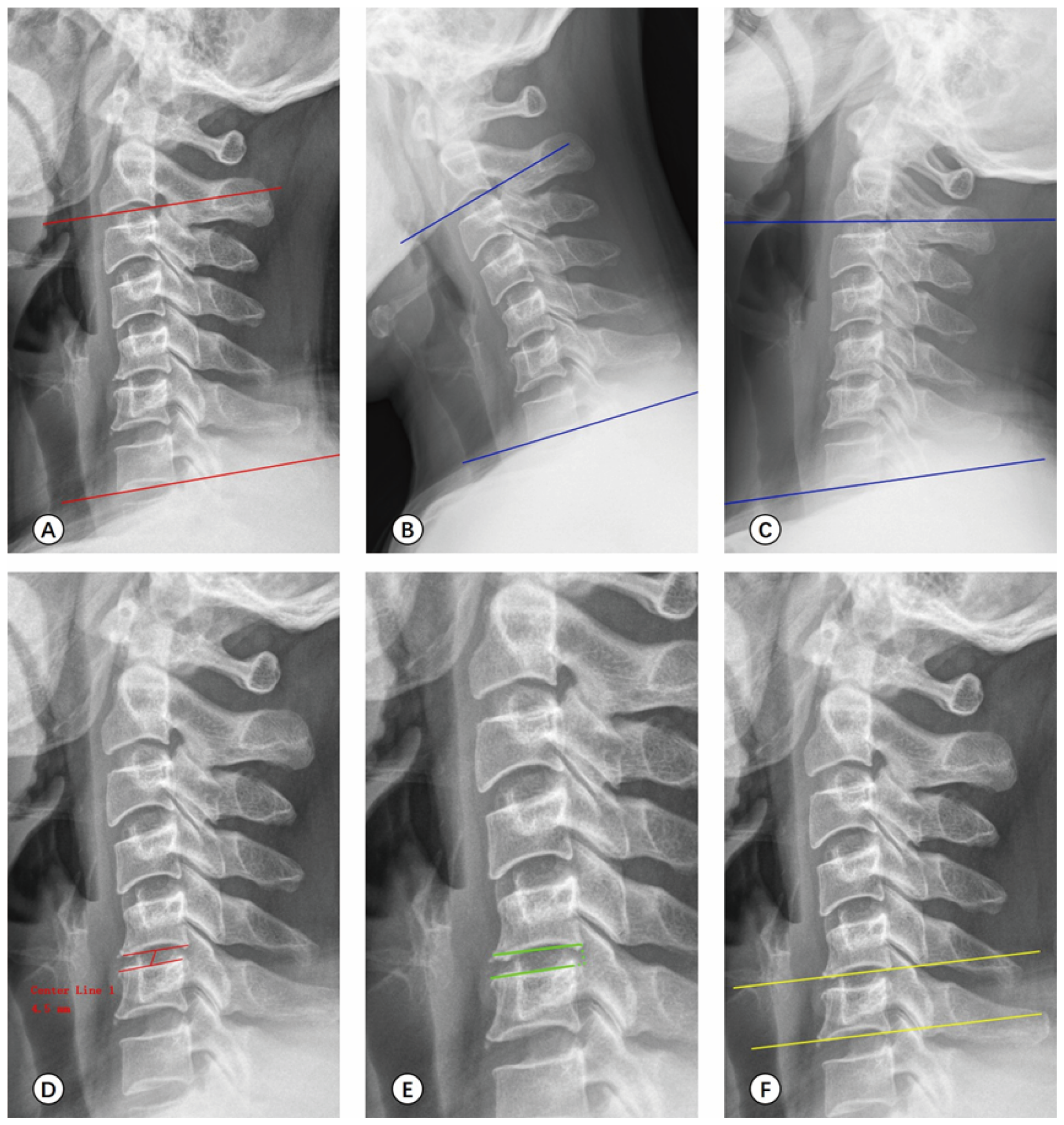
2.4.2. Radiological Measurement
2.5. Statistical Analysis
3. Result
3.1. Characteristics of Patients
3.2. Surgical Outcomes
3.3. Complications
3.4. Radiological Measurement
4. Discussion
4.1. Technical Development and Characteristics
4.2. Effectiveness
4.3. Cervical Stability
4.4. Precautions of Complications
4.5. Radiation Exposure
5. Limitation
6. Conclusions
Author Contributions
Funding
Institutional Review Board Statement
Informed Consent Statement
Data Availability Statement
Conflicts of Interest
References
- Cloward, R.B. The Anterior Approach for Removal of Ruptured Cervical Disks. J. Neurosurg. 1958, 15, 602–617. [Google Scholar] [CrossRef] [PubMed]
- Radhakrishnan, K.; Litchy, W.J.; O’Fallon, W.M.; Kurland, L.T. Epidemiology of cervical radiculopathy. A population-based study from Rochester, Minnesota, 1976 through 1990. Brain J. Neurol. 1994, 117 Pt 2, 325–335. [Google Scholar] [CrossRef]
- Gatam, A.R.; Gatam, L.; Phedy; Mahadhipta, H.; Luthfi, O.; Ajiantoro; Husin, S.; Aprilya, D. Full Endoscopic Posterior Cervical Foraminotomy in Management of Foraminal Disc Herniation and Foraminal Stenosis. Orthop. Res. Rev. 2022, 14, 1–7. [Google Scholar] [CrossRef] [PubMed]
- Komp, M.; Oezdemir, S.; Hahn, P.; Ruetten, S. Full-endoscopic posterior foraminotomy surgery for cervical disc herniations. Oper. Orthop. Traumatol. 2018, 30, 13–24. [Google Scholar] [CrossRef] [PubMed]
- De Antoni, D.J.; Claro, M.L.; Poehling, G.G.; Hughes, S.S. Translaminar lumbar epidural endoscopy: Anatomy, technique, and indications. Arthrosc. J. Arthrosc. Relat. Surg. 1996, 12, 330–334. [Google Scholar] [CrossRef]
- Song, K.S.; Lee, C.-W. The Biportal Endoscopic Posterior Cervical Inclinatory Foraminotomy for Cervical Radiculopathy: Technical Report and Preliminary Results. Neurospine 2020, 17, S145–S153. [Google Scholar] [CrossRef]
- Chen, B.H.; Natarajan, R.N.; An, H.S.; Andersson, G.B.J. Comparison of Biomechanical Response to Surgical Procedures Used for Cervical Radiculopathy: Posterior Keyhole Foraminotomy Versus Anterior Foraminotomy and Discectomy Versus Anterior Discectomy with Fusion. J. Spinal Disord. 2001, 14, 17–20. [Google Scholar] [CrossRef]
- Ruetten, S.; Komp, M.; Merk, H.; Godolias, G. Full-Endoscopic Cervical Posterior Foraminotomy for the Operation of Lateral Disc Herniations Using 5.9-mm Endoscopes: A prospective, randomized, controlled study. Spine 2008, 33, 940–948. [Google Scholar] [CrossRef]
- Chen, C.; Yuchi, C.-X.; Gao, Z.; Ma, X.; Zhao, D.; Li, J.-W.; Xu, B.; Zhang, C.-Q.; Wang, Z.; Du, C.-F.; et al. Comparative analysis of the biomechanics of the adjacent segments after minimally invasive cervical surgeries versus anterior cervical discectomy and fusion: A finite element study. J. Orthop. Transl. 2020, 23, 107–112. [Google Scholar] [CrossRef]
- Ren, J.; Li, R.; Zhu, K.; Han, X.; Liu, X.; He, Y.; Sun, Z. Biomechanical comparison of percutaneous posterior endoscopic cervical discectomy and anterior cervical decompression and fusion on the treatment of cervical spondylotic radiculopathy. J. Orthop. Surg. Res. 2019, 14, 71. [Google Scholar] [CrossRef]
- Heo, D.H.; Lee, D.C.; Park, C.K. Comparative analysis of three types of minimally invasive decompressive surgery for lumbar central stenosis: Biportal endoscopy, uniportal endoscopy, and microsurgery. Neurosurg. Focus 2019, 46, E9. [Google Scholar] [CrossRef]
- Hua, W.; Liao, Z.; Chen, C.; Feng, X.; Ke, W.; Wang, B.; Li, S.; Wang, K.; Zeng, X.; Wu, X.; et al. Clinical Outcomes of Uniportal and Biportal Lumbar Endoscopic Unilateral Laminotomy for Bilateral Decompression in Patients with Lumbar Spinal Stenosis: A Retrospective Pair-Matched Case-Control Study. World Neurosurg. 2022, 161, e134–e145. [Google Scholar] [CrossRef]
- Osman, S.G.; Schwartz, J.A.; Marsolais, E. Arthroscopic discectomy and interbody fusion of the thoracic spine: A report of ipsilateral 2-portal approach. Int. J. Spine Surg. 2012, 6, 103–109. [Google Scholar] [CrossRef]
- Park, J.; Jun, S.G.; Jung, J.T.; Lee, S.J. Posterior Percutaneous Endoscopic Cervical Foraminotomy and Diskectomy with Unilateral Biportal Endoscopy. Orthopedics 2017, 40, e779–e783. [Google Scholar] [CrossRef]
- Machino, M.; Yukawa, Y.; Hida, T.; Ito, K.; Nakashima, H.; Kanbara, S.; Morita, D.; Kato, F. Cervical alignment and range of motion after laminoplasty: Radiographical data from more than 500 cases with cervical spondylotic myelopathy and a review of the literature. Spine 2012, 37, E1243–E1250. [Google Scholar] [CrossRef]
- Kim, C.H.; Shin, K.-H.; Chung, C.K.; Park, S.B.; Kim, J.H. Changes in Cervical Sagittal Alignment after Single-Level Posterior Percutaneous Endoscopic Cervical Diskectomy. Glob. Spine J. 2014, 5, 31–38. [Google Scholar] [CrossRef]
- Dasgupta, Y.; Golovine, K.; Nieborowska-Skorska, M.; Luo, L.; Matlawska-Wasowska, K.; Mullighan, C.G.; Skorski, T. Drugging DNA repair to target T-ALL cells. Leuk. Lymphoma 2017, 59, 1746–1749. [Google Scholar] [CrossRef]
- Zhu, M.; Teng, H.; Huang, K.; Wang, Y.; Lin, C.; Wu, S. Clinical application of posterior percutaneous endoscopic cervical discectomy in the treatment of cervical spondylotic radiculopathy. Chin. J. Spine Spinal Cord. 2018, 28, 488–495. [Google Scholar]
- Nurboja, B.; Kachramanoglou, C.; Choi, D. Cervical laminectomy vs laminoplasty: Is there a difference in outcome and postoperative pain? Neurosurgery 2012, 70, 965–970. [Google Scholar] [CrossRef]
- Kim, J.Y.; Hong, H.J.; Lee, D.C.; Kim, T.H.; Hwang, J.S.; Park, C.K. Comparative analysis of three types of minimally invasive posterior cervical foraminotomy for foraminal stenosis, uniportal endoscopy, biportal endoscopy, and microsurgery: Radiologic and mid-term clinical outcomes. Neurospine 2022, 19, 212. [Google Scholar] [CrossRef]
- Joh, J.-Y.; Choi, G.; Kong, B.-J.; Park, H.S.; Lee, S.-H.; Chang, S.H. Comparative Study of Neck Pain in Relation to Increase of Cervical Epidural Pressure During Percutaneous Endoscopic Lumbar Discectomy. Spine 2009, 34, 2033–2038. [Google Scholar] [CrossRef] [PubMed]
- Wu, J.; Fang, Y.; Jin, W. Seizures after percutaneous endoscopic lumbar discectomy: A case report. Medicine 2020, 99, e22470. [Google Scholar] [CrossRef] [PubMed]
- Choi, G.; Kang, H.-Y.; Modi, H.N.; Prada, N.; Nicolau, R.J.; Joh, J.Y.; Pan, W.J.; Lee, S.-H. Risk of Developing Seizure After Percutaneous Endoscopic Lumbar Discectomy. J. Spinal Disord. Tech. 2011, 24, 83–92. [Google Scholar] [CrossRef] [PubMed]
- Liu, Y.; Gao, L.; Xu, Y.; Hu, J.; Wu, G.; Hou, X. The clinical study of myeloid hypertension in the treatment of lumbar disc herniation by percutaneous transforaminal endoscopic lumbar discectomy. Chin. J. Spine Spinal Cord. 2019, 29, 382–384. [Google Scholar]
- Park, H.-J.; Kim, S.-K.; Lee, S.-C.; Kim, W.; Han, S.; Kang, S.-S. Dural Tears in Percutaneous Biportal Endoscopic Spine Surgery: Anatomical Location and Management. World Neurosurg. 2020, 136, e578–e585. [Google Scholar] [CrossRef]
- Ito, F.; Ito, Z.; Shibayama, M.; Nakamura, S.; Yamada, M.; Yoshimatu, H.; Takeuchi, M.; Shimizu, K.; Miura, Y. Step-by-Step Sublaminar Approach with a Newly-Designed Spinal Endoscope for Unilateral-Approach Bilateral Decompression in Spinal Stenosis. Neurospine 2019, 16, 41–51. [Google Scholar] [CrossRef]
- Zhu, C.; Cheng, W.; Wang, D.; Pan, H.; Zhang, W. A Helpful Third Portal for Unilateral Biportal Endoscopic Decompression in Patients with Cervical Spondylotic Myelopathy: A Technical Note. World Neurosurg. 2022, 161, 75–81. [Google Scholar] [CrossRef]
- Kim, J.-E.; Choi, D.-J.; Park, E.J. Risk Factors and Options of Management for an Incidental Dural Tear in Biportal Endoscopic Spine Surgery. Asian Spine J. 2020, 14, 790–800. [Google Scholar] [CrossRef]
- Merter, A.; Karaeminogullari, O.; Shibayama, M. Comparison of Radiation Exposure Among 3 Different Endoscopic Diskectomy Techniques for Lumbar Disk Herniation. World Neurosurg. 2020, 139, e572–e579. [Google Scholar] [CrossRef]
- Ahn, Y.; Kim, C.H.; Lee, J.H.; Lee, S.H.; Kim, J.S. Radiation exposure to the surgeon during percutaneous endoscopic lumbar discectomy: A prospective study. Spine 2013, 38, 617–625. [Google Scholar] [CrossRef]
- Bindal, R.K.; Glaze, S.; Ognoskie, M.; Tunner, V.; Malone, R.; Ghosh, S. Surgeon and patient radiation exposure in minimally invasive transforaminal lumbar interbody fusion. J. Neurosurg. Spine 2008, 9, 570–573. [Google Scholar] [CrossRef]









| UBE | PE | p | χ2 | t | |
|---|---|---|---|---|---|
| Age (years) | 58.28 ± 11.94 | 60.10 ± 9.69 | 0.301 | −1.038 | |
| Gender (n) | |||||
| Male | 42 | 28 | 0.613 | 0.256 | |
| Female | 47 | 37 | |||
| Surgical segment | |||||
| C4/5 | 15 | 14 | 0.154 | 3.735 | |
| C5/7 | 30 | 29 | |||
| C6/7 | 44 | 22 | |||
| Follow-up duration (months) | 26.48 ± 2.22 | 26.58 ± 1.72 | 0.750 | −0.320 | |
| Postoperative hospital stay (days) | 6.88 ± 1.92 | 6.38 ± 2.24 | 0.156 | 1.428 | |
| Total hospitalization cost (thousand RMB) | 24.09 ± 2.44 | 18.62 ± 2.87 | <0.001 | 12.725 | |
| UBE | PE | p | χ2 | t | |
|---|---|---|---|---|---|
| Operation time (min) | 77.48 ± 17.37 | 84.92 ± 21.97 | 0.020 | −2.346 | |
| Fluoroscopic time (s) | 6.76 ± 1.09 | 8.31 ± 1.10 | <0.001 | −8.649 | |
| Length of incisions (mm) | 24.52 ± 2.06 | 11.68 ± 1.88 | <0.001 | 39.595 | |
| Bleeding volume (mL) | 55.39 ± 15.59 | 53.46 ± 12.50 | 0.198 | 1.293 | |
| Complications (n, %) | 3 (3.37%) | 4 (6.15%) | 0.456 * | ||
| Dural tear | 2 | 1 | |||
| Nerve root injury | 0 | 1 | |||
| Nucleus pulposus residue | 1 | 2 | |||
| Effective rate (%) | 93.26% | 86.15% | 0.142 | 2.157 |
| Before Surgery | After Surgery | F | p | ||||
|---|---|---|---|---|---|---|---|
| 1 Month | 3 Months | 6 Months | 12 Months | ||||
| VAS Neck | |||||||
| UBE | 7.93 ± 0.69 | 3.28 ± 0.58 | 2.53 ± 0.68 | 2.12 ± 0.53 | 1.72 ± 0.45 | 1663.172 | <0.001 |
| PE | 8.06 ± 0.83 | 3.14 ± 0.98 | 2.69 ± 0.58 | 2.23 ± 0.79 | 1.89 ± 0.69 | 685.597 | <0.001 |
| VAS Arm | |||||||
| UBE | 6.28 ± 0.94 | 3.60 ± 1.08 | 2.80 ± 0.87 | 2.24 ± 1.20 | 1.92 ± 0.80 | 267.264 | <0.001 |
| PE | 6.35 ± 1.11 | 3.75 ± 0.79 | 2.97 ± 0.87 | 2.20 ± 0.73 | 1.86 ± 0.73 | 312.955 | <0.001 |
| NDI | |||||||
| UBE | 35.67 ± 4.24 | 20.69 ± 3.95 | 18.92 ± 4.13 | 17.04 ± 3.02 | 14.58 ± 3.09 | 430.917 | <0.001 |
| PE | 36.25 ± 3.40 | 21.02 ± 4.09 | 19.26 ± 4.04 | 17.52 ± 3.02 | 15.18 ± 3.23 | 361.802 | <0.001 |
| Before | 12 Months After Surgery | Last Follow-Up | F | p | |
|---|---|---|---|---|---|
| C2-7 Cobb’s angle (°) | |||||
| UBE | 16.87 ± 2.89 *,† | 23.41 ± 4.04 * | 24.46 ± 3.94 † | 97.527 | <0.001 |
| PE | 16.66 ± 2.70 *,† | 22.38 ± 5.73 * | 23.53 ± 6.02 † | 39.525 | <0.001 |
| C2-7 ROM (°) | |||||
| UBE | 22.60 ± 7.59 *,† | 24.58 ± 9.58 *,‡ | 27.57 ± 9.45 †,‡ | 6.997 | 0.001 |
| PE | 22.08 ± 8.23 *,† | 25.71 ± 8.17 * | 26.42 ± 9.62 † | 4.500 | 0.013 |
| Intervertebral height of the surgical segment (mm) | |||||
| UBE | 5.51 ± 0.38 | 5.43 ± 0.42 | 5.52 ± 0.40 | 1.202 | 0.303 |
| PE | 5.42 ± 0.37 * | 5.61 ± 0.37 * | 5.56 ± 0.40 | 1.865 | 0.159 |
| Vertebral horizontal displacement of the surgical segment (mm) | |||||
| UBE | 1.24 ± 0.28 | 1.25 ± 0.29 | 1.32 ± 0.24 | 1.960 | 0.144 |
| PE | 1.21 ± 0.29 | 1.26 ± 0.29 | 1.20 ± 0.26 | 0.897 | 0.410 |
| Vertebral angular displacement of the surgical segment (°) | |||||
| UBE | 5.39 ± 1.16 | 5.55 ± 1.25 | 5.66 ± 1.20 | 1.276 | 0.282 |
| PE | 5.27 ± 1.34 | 5.39 ± 1.32 | 5.29 ± 1.29 | 0.125 | 0.883 |
Disclaimer/Publisher’s Note: The statements, opinions and data contained in all publications are solely those of the individual author(s) and contributor(s) and not of MDPI and/or the editor(s). MDPI and/or the editor(s) disclaim responsibility for any injury to people or property resulting from any ideas, methods, instructions or products referred to in the content. |
© 2023 by the authors. Licensee MDPI, Basel, Switzerland. This article is an open access article distributed under the terms and conditions of the Creative Commons Attribution (CC BY) license (https://creativecommons.org/licenses/by/4.0/).
Share and Cite
Wang, D.; Xu, J.; Zhu, C.; Zhang, W.; Pan, H. Comparison of Outcomes between Unilateral Biportal Endoscopic and Percutaneous Posterior Endoscopic Cervical Keyhole Surgeries. Medicina 2023, 59, 437. https://doi.org/10.3390/medicina59030437
Wang D, Xu J, Zhu C, Zhang W, Pan H. Comparison of Outcomes between Unilateral Biportal Endoscopic and Percutaneous Posterior Endoscopic Cervical Keyhole Surgeries. Medicina. 2023; 59(3):437. https://doi.org/10.3390/medicina59030437
Chicago/Turabian StyleWang, Dong, Jinchao Xu, Chengyue Zhu, Wei Zhang, and Hao Pan. 2023. "Comparison of Outcomes between Unilateral Biportal Endoscopic and Percutaneous Posterior Endoscopic Cervical Keyhole Surgeries" Medicina 59, no. 3: 437. https://doi.org/10.3390/medicina59030437
APA StyleWang, D., Xu, J., Zhu, C., Zhang, W., & Pan, H. (2023). Comparison of Outcomes between Unilateral Biportal Endoscopic and Percutaneous Posterior Endoscopic Cervical Keyhole Surgeries. Medicina, 59(3), 437. https://doi.org/10.3390/medicina59030437

