Hepatic Involvement of Diffuse Large B-Cell Lymphoma Mimicking Antinuclear Antibody-Negative Autoimmune Hepatitis Diagnosed by Liver Biopsy
Abstract
1. Introduction
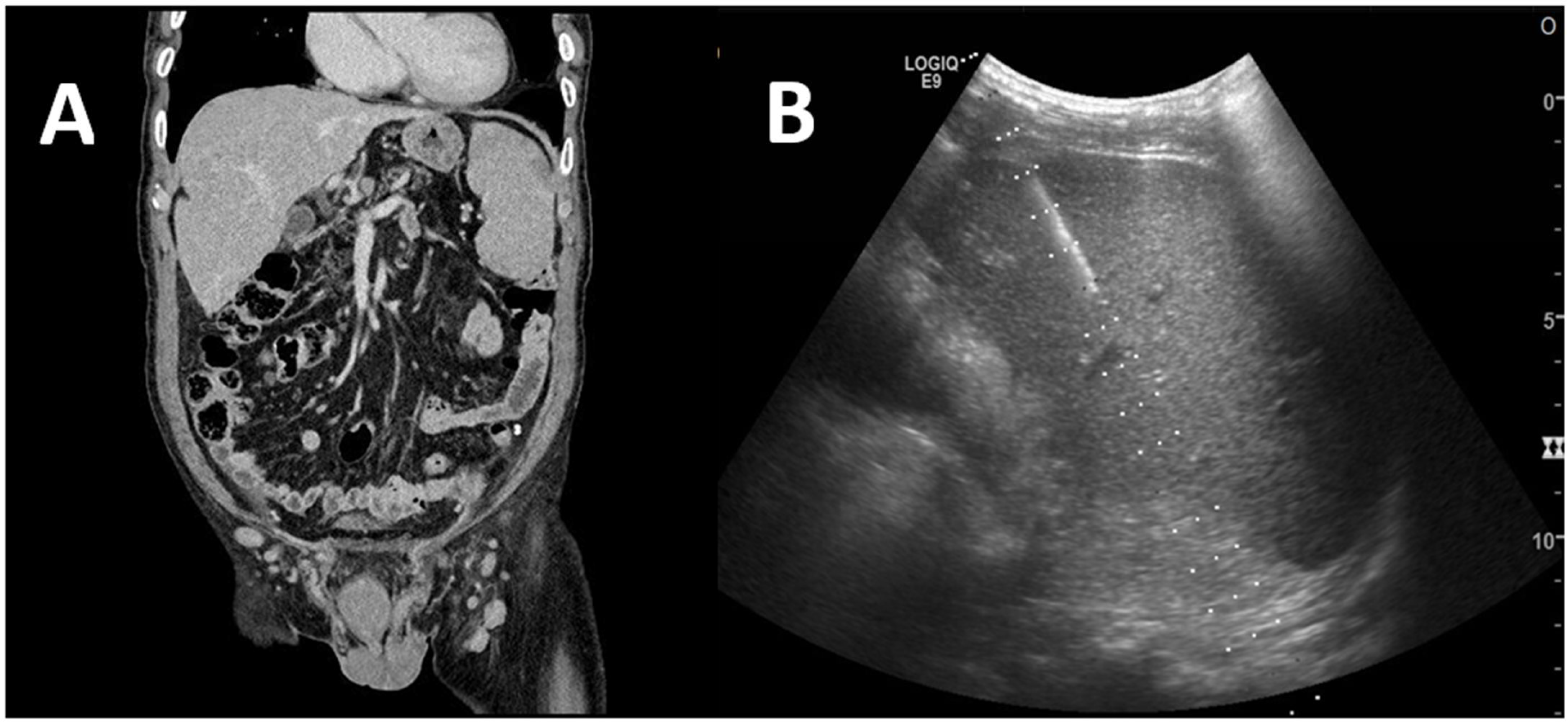
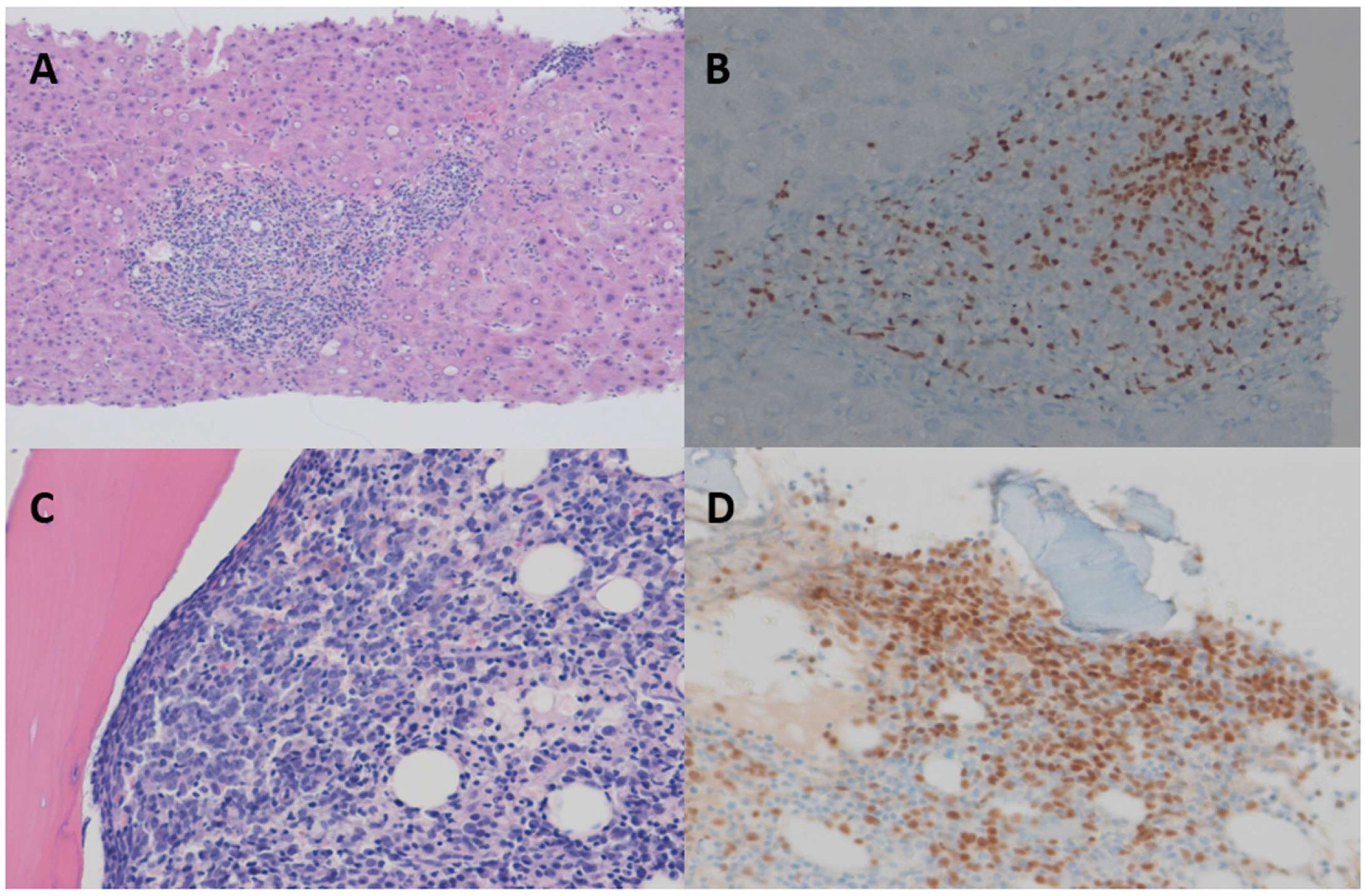
2. Case Presentation
3. Discussion
4. Conclusions
Author Contributions
Funding
Institutional Review Board Statement
Informed Consent Statement
Data Availability Statement
Conflicts of Interest
References
- Salmon, J.S.; Thompson, M.A.; Arildsen, R.C.; Greer, J.P. Non-Hodgkin’s lymphoma involving the liver: Clinical and therapeutic considerations. Clin. Lymphoma Myeloma 2006, 6, 273–280. [Google Scholar] [CrossRef] [PubMed]
- Civardi, G.; Vallisa, D.; Bertè, R.; Lazzaro, A.; Moroni, C.F.; Cavanna, L. Focal liver lesions in non-Hodgkin’s lymphoma: Investigation of their prevalence, clinical significance and the role of Hepatitis C virus infection. Eur. J. Cancer 2002, 38, 2382–2387. [Google Scholar] [CrossRef] [PubMed]
- Miyake, Y.; Iwasaki, Y.; Kobashi, H.; Yasunaka, T.; Ikeda, F.; Takaki, A.; Okamoto, R.; Takaguchi, K.; Ikeda, H.; Makino, Y.; et al. Clinical features of antinuclear antibodies-negative type 1 autoimmune hepatitis. Hepatol. Res. 2009, 39, 241–246. [Google Scholar] [CrossRef] [PubMed]
- Lichtenstein, A.; Taylor, C.R. Serum immunoglobulin levels in patients with non-Hodgkin’s lymphoma. Am. J. Clin. Pathol. 1980, 74, 12–17. [Google Scholar] [CrossRef]
- Rockey, D.C.; Caldwell, S.H.; Goodman, Z.D.; Nelson, R.C.; Smith, A.D. Liver biopsy. Hepatology 2009, 49, 1017–1044. [Google Scholar] [CrossRef]
- Kang, M.K.; Park, J.G.; Choi, J.H. Anti-nuclear antibody-negative immunoglobulin G4-associated autoimmune hepatitis mimicking lymphoproliferative disorders. Yeungnam Univ. J. Med. 2020, 37, 136–140. [Google Scholar] [CrossRef]
- Komori, A. Recent updates on the management of autoimmune hepatitis. Clin. Mol. Hepatol. 2021, 27, 58–69. [Google Scholar] [CrossRef]
- Matasar, M.J.; Zelenetz, A.D. Overview of lymphoma diagnosis and management. Radiol. Clin. N. Am. 2008, 46, 175–198. [Google Scholar] [CrossRef]
- Mugnaini, E.N.; Ghosh, N. Lymphoma. Prim. Care 2016, 43, 661–675. [Google Scholar] [CrossRef]
- Ansell, S.M. Non-Hodgkin Lymphoma: Diagnosis and Treatment. Mayo Clin. Proc. 2015, 90, 1152–1163. [Google Scholar] [CrossRef]
- Arker, S.H.; Chen, A. Primary hepatic large B-cell lymphoma. Hum. Pathol. Rep. 2022, 28, 300653. [Google Scholar] [CrossRef]
- Li, S.; Young, K.H.; Medeiros, L.J. Diffuse large B-cell lymphoma. Pathology 2018, 50, 74–87. [Google Scholar] [CrossRef]
- Wright, C.M.; Koroulakis, A.I.; Baron, J.A.; Chong, E.A.; Tseng, Y.D.; Kurtz, G.; LaRiviere, M.; Venigalla, S.; Jones, J.A.; Maity, A.; et al. Palliative Radiotherapy for Diffuse Large B-cell Lymphoma. Clin. Lymphoma Myeloma Leuk. 2021, 21, 650–658. [Google Scholar] [CrossRef]
- Ollila, T.A.; Olszewski, A.J. Extranodal Diffuse Large B Cell Lymphoma: Molecular Features, Prognosis, and Risk of Central Nervous System Recurrence. Curr. Treat. Options Oncol. 2018, 19, 38. [Google Scholar] [CrossRef]
- Cheson, B.D.; Fisher, R.I.; Barrington, S.F.; Cavalli, F.; Schwartz, L.H.; Zucca, E.; Lister, T.A. Recommendations for initial evaluation, staging, and response assessment of Hodgkin and non-Hodgkin lymphoma: The Lugano classification. J. Clin. Oncol. 2014, 32, 3059–3068. [Google Scholar] [CrossRef]
- McCarten, K.M.; Nadel, H.R.; Shulkin, B.L.; Cho, S.Y. Imaging for diagnosis, staging and response assessment of Hodgkin lymphoma and non-Hodgkin lymphoma. Pediatr. Radiol. 2019, 49, 1545–1564. [Google Scholar] [CrossRef]
- Ting Soon, G.S.; Wee, A. Liver biopsy in the quantitative assessment of liver fibrosis in nonalcoholic fatty liver disease. Indian J. Pathol. Microbiol. 2021, 64, S104–S111. [Google Scholar] [CrossRef]
- Amarapurkar, D.; Amarapurkar, A. Indications of Liver Biopsy in the Era of Noninvasive Assessment of Liver Fibrosis. J. Clin. Exp. Hepatol. 2015, 5, 314–319. [Google Scholar] [CrossRef]
- Jabłońska, J.; Cielecka-Kuszyk, J.; Mikuła, T.; Kozłowska, J.; Wiercińska-Drapało, A. Hepatopathy of unknown etiology—Is liver biopsy a good tool in differential diagnosis? Arch. Med. Sci. 2019, 15, 1462–1467. [Google Scholar] [CrossRef]
- Dhingra, R.; Winter, M.W.; Yilmaz, O.H.; Jaiswal, S.; Sterling, M. An Unusual Presentation of Primary Hepatic Diffuse Large B-cell Lymphoma of the Liver. Cureus 2018, 10, e2242. [Google Scholar] [CrossRef]
- Khalifa, A.; Rockey, D.C. The utility of liver biopsy in 2020. Curr. Opin. Gastroenterol. 2020, 36, 184–191. [Google Scholar] [CrossRef] [PubMed]




Disclaimer/Publisher’s Note: The statements, opinions and data contained in all publications are solely those of the individual author(s) and contributor(s) and not of MDPI and/or the editor(s). MDPI and/or the editor(s) disclaim responsibility for any injury to people or property resulting from any ideas, methods, instructions or products referred to in the content. |
© 2022 by the authors. Licensee MDPI, Basel, Switzerland. This article is an open access article distributed under the terms and conditions of the Creative Commons Attribution (CC BY) license (https://creativecommons.org/licenses/by/4.0/).
Share and Cite
Lee, E.; Kang, M.-K.; Moon, G.; Gu, M.-J. Hepatic Involvement of Diffuse Large B-Cell Lymphoma Mimicking Antinuclear Antibody-Negative Autoimmune Hepatitis Diagnosed by Liver Biopsy. Medicina 2023, 59, 77. https://doi.org/10.3390/medicina59010077
Lee E, Kang M-K, Moon G, Gu M-J. Hepatic Involvement of Diffuse Large B-Cell Lymphoma Mimicking Antinuclear Antibody-Negative Autoimmune Hepatitis Diagnosed by Liver Biopsy. Medicina. 2023; 59(1):77. https://doi.org/10.3390/medicina59010077
Chicago/Turabian StyleLee, Euna, Min-Kyu Kang, Gabin Moon, and Mi-Jin Gu. 2023. "Hepatic Involvement of Diffuse Large B-Cell Lymphoma Mimicking Antinuclear Antibody-Negative Autoimmune Hepatitis Diagnosed by Liver Biopsy" Medicina 59, no. 1: 77. https://doi.org/10.3390/medicina59010077
APA StyleLee, E., Kang, M.-K., Moon, G., & Gu, M.-J. (2023). Hepatic Involvement of Diffuse Large B-Cell Lymphoma Mimicking Antinuclear Antibody-Negative Autoimmune Hepatitis Diagnosed by Liver Biopsy. Medicina, 59(1), 77. https://doi.org/10.3390/medicina59010077

