A Rare Case of Multiple Gastrointestinal Stromal Tumors Coexisting with a Rectal Adenocarcinoma in a Patient with Attenuated Familial Adenomatous Polyposis Syndrome and a Mini Review of the Literature
Abstract
:1. Introduction
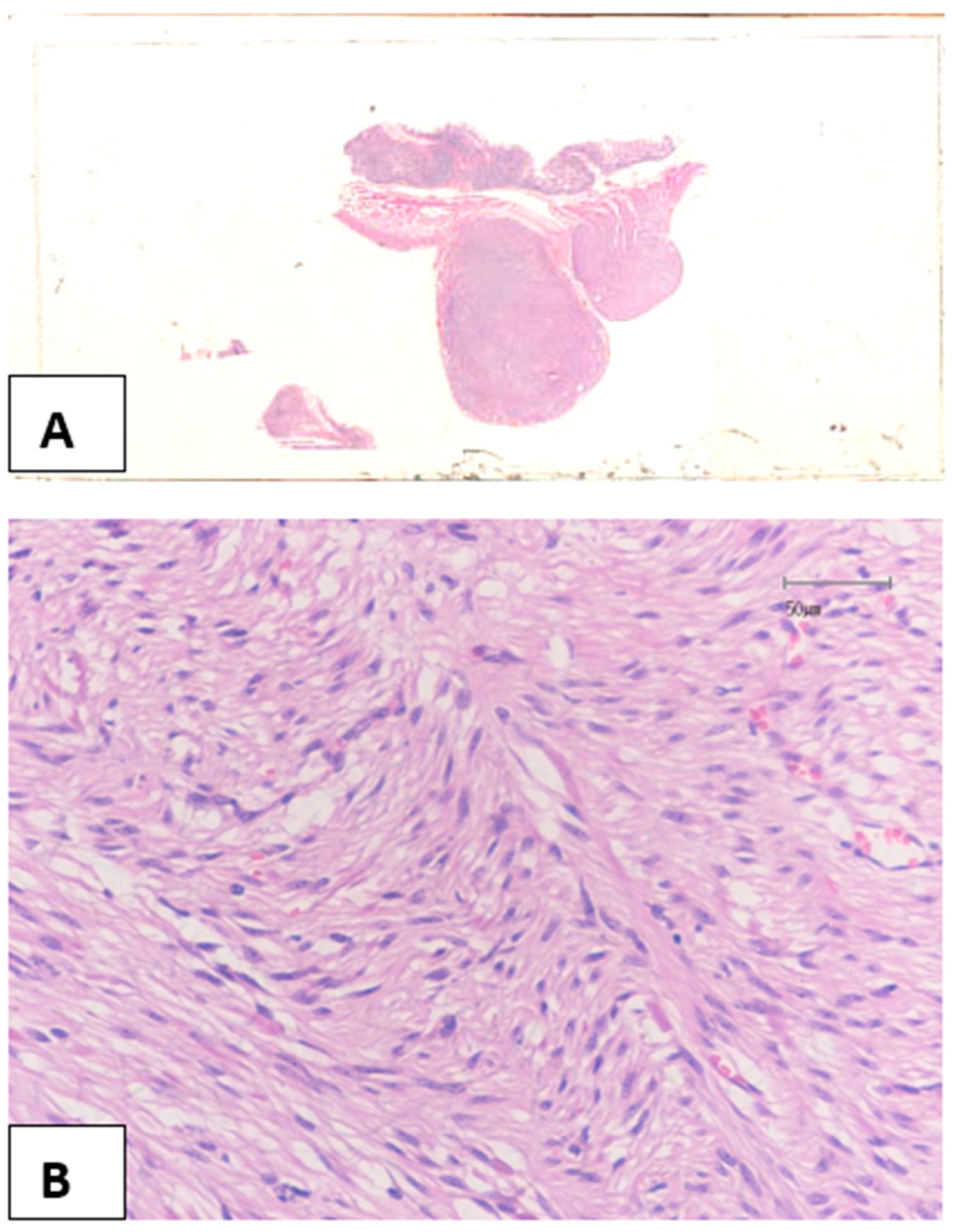
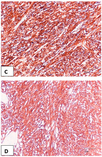
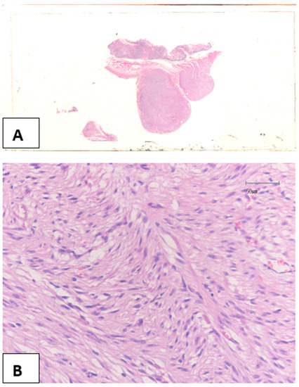
2. Case Presentation
3. Discussion
Staging Based Approach
4. Conclusions
Author Contributions
Funding
Institutional Review Board Statement
Informed Consent Statement
Data Availability Statement
Conflicts of Interest
References
- Schnadig, I.D.; Blanke, C.D. Gastrointestinal stromal tumors: Imatinib and beyond. Curr. Treat. Options Oncol. 2006, 7, 427–437. [Google Scholar] [CrossRef] [PubMed]
- Von Mehren, M.; Kane, J.M., III; Agulnik, M.; Bui, M.M.; Carr-Ascher, J.; Choy, E.; Connelly, M.; Dry, S.; Ganjoo, K.N.; Gonzalez, R.J.; et al. NCCN Guidelines Version 1.2022 Gastrointestinal Stromal Tumors (GISTs) Continue. 2022. Available online: https://documents.cap.org/ (accessed on 25 February 2022).
- Fletcher, C.D.; Berman, J.J.; Corless, C.; Gorstein, F.; Lasota, J.; Longley, B.; Miettinen, M.; O’Leary, T.J.; Remotti, H.; Rubin, B.P.; et al. Diagnosis of gastrointestinal stromal tumors: A consensus approach. Hum. Pathol. 2002, 33, 459–465. [Google Scholar] [CrossRef] [PubMed]
- Miettinen, M.; Lasota, J. Gastrointestinal stromal tumors: Pathology and prognosis at different sites. Semin. Diagn. Pathol. 2006, 23, 70–83. [Google Scholar] [CrossRef] [PubMed]
- Nishida, T.; Blay, J.-Y.; Hirota, S.; Kitagawa, Y.; Kang, Y.-K. The standard diagnosis, treatment, and follow-up of gastrointestinal stromal tumors based on guidelines. In Gastric Cancer; Springer: Tokyo, Japan, 2016; Volume 19, pp. 3–14. [Google Scholar] [CrossRef]
- Miettinen, M.; Jerzy, L. Gastrointestinal Stromal Tumors Review on Morphology, Molecular Pathology, Prognosis, and Differential Diagnosis. Arch. Pathol. Lab. Med. 2006, 130, 1466–1478. [Google Scholar] [CrossRef] [PubMed]
- Joensuu, H.; Vehtari, A.; Riihimäki, J.; Nishida, T.; Steigen, S.E.; Brabec, P.; Plank, L.; Nilsson, B.; Cirilli, C.; Braconi, C.; et al. Risk of recurrence of gastrointestinal stromal tumour after surgery: An analysis of pooled population-based cohorts. Artic. Lancet Oncol. 2012, 13, 265–274. [Google Scholar] [CrossRef]
- Zhang, X.; Ning, L.; Hu, Y.; Zhao, S.; Li, Z.; Li, L.; Dai, Y.; Jiang, L.; Wang, A.; Chu, X.; et al. Prognostic Factors for Primary Localized Gastrointestinal Stromal Tumors After Radical Resection: Shandong Gastrointestinal Surgery Study Group, Study 1201. Ann. Surg. Oncol. 2020, 27, 2812–2821. [Google Scholar] [CrossRef] [PubMed]
- Li, K.; Tjhoi, W.; Shou, C.; Yang, W.; Zhang, Q.; Liu, X.; Yu, J. Multiple gastrointestinal stromal tumors: Analysis of clinicopathologic characteristics and prognosis of 20 patients. Cancer Manag. Res. 2019, 11, 7031–7038. [Google Scholar] [CrossRef]
- Knudsen, A.L.; Bisgaard, M.L.; Bülow, S. Attenuated familial adenomatous polyposis (AFAP): A review of the literature. Fam. Cancer 2003, 2, 43–55. [Google Scholar] [CrossRef]
- van der Luijt, R.B.; Vasen, H.F.A.; Tops, C.M.J.; Breukel, C.; Fodde, R.; Meera Khan, P. APC mutation in the alternatively spliced region of exon 9 associated with late onset familial adenomatous polyposis. In Human Genetics; Springer: Berlin/Heidelberg, Germany, 1995; Volume 96. [Google Scholar]
- Soravia, C.; Berk, T.; Madlensky, L.; Mitri, A.; Cheng, H.; Gallinger, S.; Cohen, Z.; Bapat, B. Genotype-Phenotype Correlations in Attenuated Adenomatous Polyposis Coli. Am. J. Hum. Genet. 1998, 62, 1290–1301. [Google Scholar] [CrossRef]
- Half, E.; Bercovich, D.; Rozen, P. Familial Adenomatous Polyposis. 2009. Available online: http://www.ojrd.com/content/4/1/22 (accessed on 25 February 2022).
- Petrelli, F.; Tomasello, G.; Barni, S.; Varricchio, A.; Costanzo, A.; Rampulla, V.; Cabiddu, M.; Turati, L.; Russo, A.; Seghezzi, S.; et al. Risk of second primary tumors in GIST survivors: A systematic review and meta-analysis. In Surgical Oncology; Elsevier Ltd.: Amsterdam, The Netherlands, 2019; Volume 29, pp. 64–70. [Google Scholar] [CrossRef]
- Wozniak, A.; Rutkowski, P.; Schöffski, P.; Ray-Coquard, I.; Hostein, I.; Schildhaus, H.-U.; Le Cesne, A.; Bylina, E.; Limon, J.; Blay, J.-Y.; et al. Tumor Genotype Is an Independent Prognostic Factor in Primary Gastrointestinal Stromal Tumors of Gastric Origin: A European Multicenter Analysis Based on ConticaGIST. Clin. Cancer Res. 2014, 20, 6105–6116. [Google Scholar] [CrossRef]
- Patrikidou, A.; Domont, J.; Chabaud, S.; Ray-Coquard, I.; Coindre, J.-M.; Bui-Nguyen, B.; Adenis, A.; Rios, M.; Bertucci, F.; Duffaud, F.; et al. Long-term outcome of molecular subgroups of GIST patients treated with standard-dose imatinib in the BFR14 trial of the French Sarcoma Group. Eur. J. Cancer 2016, 52, 173–180. [Google Scholar] [CrossRef] [PubMed]
- Heinrich, M.C.; Maki, R.G.; Corless, C.L.; Antonescu, C.R.; Harlow, A.; Griffith, D.; Town, A.; McKinley, A.; Ou, W.-B.; Fletcher, J.A.; et al. Primary and Secondary Kinase Genotypes Correlate With the Biological and Clinical Activity of Sunitinib in Imatinib-Resistant Gastrointestinal Stromal Tumor. J. Clin. Oncol. 2008, 26, 5352–5359. [Google Scholar] [CrossRef] [PubMed]
- Cassier, P.A.; Fumagalli, E.; Rutkowski, P.; Schöffski, P.; Van Glabbeke, M.; Debiec-Rychter, M.; Emile, J.F.; Duffaud, F.; Martin-Broto, J.; Landi, B.; et al. Outcome of Patients with Platelet-Derived Growth Factor Receptor Alpha-Mutated Gastrointestinal Stromal Tumors in the Tyrosine Kinase Inhibitor Era. Clin. Cancer Res. 2012, 18, 4458–4464. [Google Scholar] [CrossRef] [PubMed]
- Agaimy, A.; Vassos, N.; Croner, R.S. Gastrointestinal manifestations of neurofibromatosis type 1 (Recklinghausen’s disease): Clinicopathological spectrum with pathogenetic considerations. Int. J. Clin. Exp. Pathol. 2012, 5, 852. [Google Scholar] [PubMed]
- Ávila, A.L.V.; Leyva, A.J.; Flores, J.V.; Garcia, V.G.R.; de Alba Cruz, I.; González, H.F.N.; Gómez, T.D.J.G. GIST associated with von recklinghausen disease: Report of two cases and review of literature. Ann. Med. Surg. 2021, 62, 365–368. [Google Scholar] [CrossRef] [PubMed]
- Shang, L.; Fang, Z.; Liu, J.; Du, F.; Jing, H.; Xu, Y.; Dong, K.; Zhang, X.; Wu, H.; Jing, C.; et al. Case report of ascending colon cancer and multiple jejunal GISTs in a patient with neurofibromatosis type 1 (NF1). BMC Cancer 2019, 19, 1196. [Google Scholar] [CrossRef]
- Carney, J.A. Gastric stromal sarcoma, pulmonary chondroma, and extra-adrenal paraganglioma (Carney triad): Natural history, adrenocortical component, and possible familial occurrence. Mayo Clin. Proc. 1999, 74, 543–552. [Google Scholar] [CrossRef]
- Haller, F.; A Moskalev, E.; Faucz, F.R.; Barthelmesz, S.; Wiemann, S.; Bieg, M.; Assie, G.; Bertherat, J.; Schaefer, I.-M.; Otto, C.; et al. Aberrant DNA hypermethylation of SDHC: A novel mechanism of tumor development in Carney triad. Endocr. Abstr. Cancer 2014, 21, 567–577. [Google Scholar] [CrossRef]
- Mulita, F.; Tepetes, K.; Verras, G.-I.; Liolis, E.; Tchabashvili, L.; Kaplanis, C.; Perdikaris, I.; Velissaris, D.; Maroulis, I. Perineal colostomy: Advantages and disadvantages. Gastroenterol. Rev. 2021, 16, 109665. [Google Scholar] [CrossRef]
- Joensuu, H.; Eriksson, M.; Hall, K.S.; Hartmann, J.T.; Pink, D.; Schütte, J.; Ramadori, G.; Hohenberger, P.; Duyster, J.; Al-Batran, S.E.; et al. One vs Three Years of Adjuvant Imatinib for Operable Gastrointestinal Stromal Tumor A Randomized Trial. Available online: www.jama.com (accessed on 25 February 2022).
- DeMatteo, R.P.; Ballman, K.V.; Antonescu, C.R.; Maki, R.G.; Pisters, P.W.; Demetri, G.D.; Blackstein, M.E.; Blanke, C.D.; von Mehren, M.; Brennan, M.F.; et al. Placebo-Controlled Randomized Trial of Adjuvant Imatinib Mesylate Following the Resection of Localized, Primary Gastrointestinal Stromal Tumor (GIST). Lancet 2009, 373, 1097. [Google Scholar] [CrossRef]
- Corless, C.L.; Ballman, K.V.; Antonescu, C.R.; Kolesnikova, V.; Maki, R.G.; Pisters, P.W.; Blackstein, M.E.; Blanke, C.D.; Demetri, G.D.; Heinrich, M.; et al. Pathologic and Molecular Features Correlate With Long-Term Outcome After Adjuvant Therapy of Resected Primary GI Stromal Tumor: The ACOSOG Z9001 Trial. J. Clin. Oncol. 2014, 32, 1563–1570. [Google Scholar] [CrossRef] [PubMed]
- Benson, A.B.; Venook, A.P.; Al-Hawary, M.M.; Azad, N.; Chen, Y.J.; Ciombor, K.K.; Cohen, S.; Cooper, H.S.; Deming, D.; Farkas, L.; et al. NCCN Guidelines Version 1.2022 Rectal Cancer Continue NCCN Guidelines Panel Disclosures. 2022. Available online: https://www.nccn.org/home/member- (accessed on 25 February 2022).
- Hofheinz, R.D.; Wenz, F.; Post, S.; Matzdorff, A.; Laechelt, S.; Hartmann, J.T.; Müller, L.; Link, H.; Moehler, M.; Kettner, E.; et al. Chemoradiotherapy with capecitabine versus fluorouracil for locally advanced rectal cancer: A randomised, multicentre, non-inferiority, phase 3 trial. Lancet Oncol. 2012, 13, 579–588. [Google Scholar] [CrossRef]
- Schmoll, H.-J.; Cartwright, T.; Tabernero, J.; Nowacki, M.P.; Figer, A.; Maroun, J.; Price, T.; Lim, R.; Van Cutsem, E.; Park, Y.-S.; et al. Phase III Trial of Capecitabine Plus Oxaliplatin As Adjuvant Therapy for Stage III Colon Cancer: A Planned Safety Analysis in 1,864 Patients. J. Clin. Oncol. 2007, 25, 102–109. [Google Scholar] [CrossRef] [PubMed]
- André, T.; Boni, C.; Mounedji-Boudiaf, L.; Navarro, M.; Tabernero, J.; Hickish, T.; Topham, C.; Zaninelli, M.; Clingan, P.; Bridgewater, J.; et al. Oxaliplatin, Fluorouracil, and Leucovorin as Adjuvant Treatment for Colon Cancer for the Multicenter International Study of Oxaliplatin/5-Fluorouracil/Leucovorin in the Adjuvant Treatment of Colon Cancer (MOSAIC) Investigators. N. Engl. J. Med. 2004, 23, 2343–2351. [Google Scholar] [CrossRef] [PubMed]



Publisher’s Note: MDPI stays neutral with regard to jurisdictional claims in published maps and institutional affiliations. |
© 2022 by the authors. Licensee MDPI, Basel, Switzerland. This article is an open access article distributed under the terms and conditions of the Creative Commons Attribution (CC BY) license (https://creativecommons.org/licenses/by/4.0/).
Share and Cite
Paramythiotis, D.; Kyriakidis, F.; Karlafti, E.; Koletsa, T.; Tsakona, A.; Papalexis, P.; Ioannidis, A.; Malliou, P.; Netta, S.; Michalopoulos, A. A Rare Case of Multiple Gastrointestinal Stromal Tumors Coexisting with a Rectal Adenocarcinoma in a Patient with Attenuated Familial Adenomatous Polyposis Syndrome and a Mini Review of the Literature. Medicina 2022, 58, 1116. https://doi.org/10.3390/medicina58081116
Paramythiotis D, Kyriakidis F, Karlafti E, Koletsa T, Tsakona A, Papalexis P, Ioannidis A, Malliou P, Netta S, Michalopoulos A. A Rare Case of Multiple Gastrointestinal Stromal Tumors Coexisting with a Rectal Adenocarcinoma in a Patient with Attenuated Familial Adenomatous Polyposis Syndrome and a Mini Review of the Literature. Medicina. 2022; 58(8):1116. https://doi.org/10.3390/medicina58081116
Chicago/Turabian StyleParamythiotis, Daniel, Filippos Kyriakidis, Eleni Karlafti, Triantafyllia Koletsa, Anastasia Tsakona, Petros Papalexis, Aristeidis Ioannidis, Petra Malliou, Smaro Netta, and Antonios Michalopoulos. 2022. "A Rare Case of Multiple Gastrointestinal Stromal Tumors Coexisting with a Rectal Adenocarcinoma in a Patient with Attenuated Familial Adenomatous Polyposis Syndrome and a Mini Review of the Literature" Medicina 58, no. 8: 1116. https://doi.org/10.3390/medicina58081116
APA StyleParamythiotis, D., Kyriakidis, F., Karlafti, E., Koletsa, T., Tsakona, A., Papalexis, P., Ioannidis, A., Malliou, P., Netta, S., & Michalopoulos, A. (2022). A Rare Case of Multiple Gastrointestinal Stromal Tumors Coexisting with a Rectal Adenocarcinoma in a Patient with Attenuated Familial Adenomatous Polyposis Syndrome and a Mini Review of the Literature. Medicina, 58(8), 1116. https://doi.org/10.3390/medicina58081116

