Pericardial Involvement in Severe COVID-19 Patients
Abstract
:1. Introduction
2. Materials and Methods
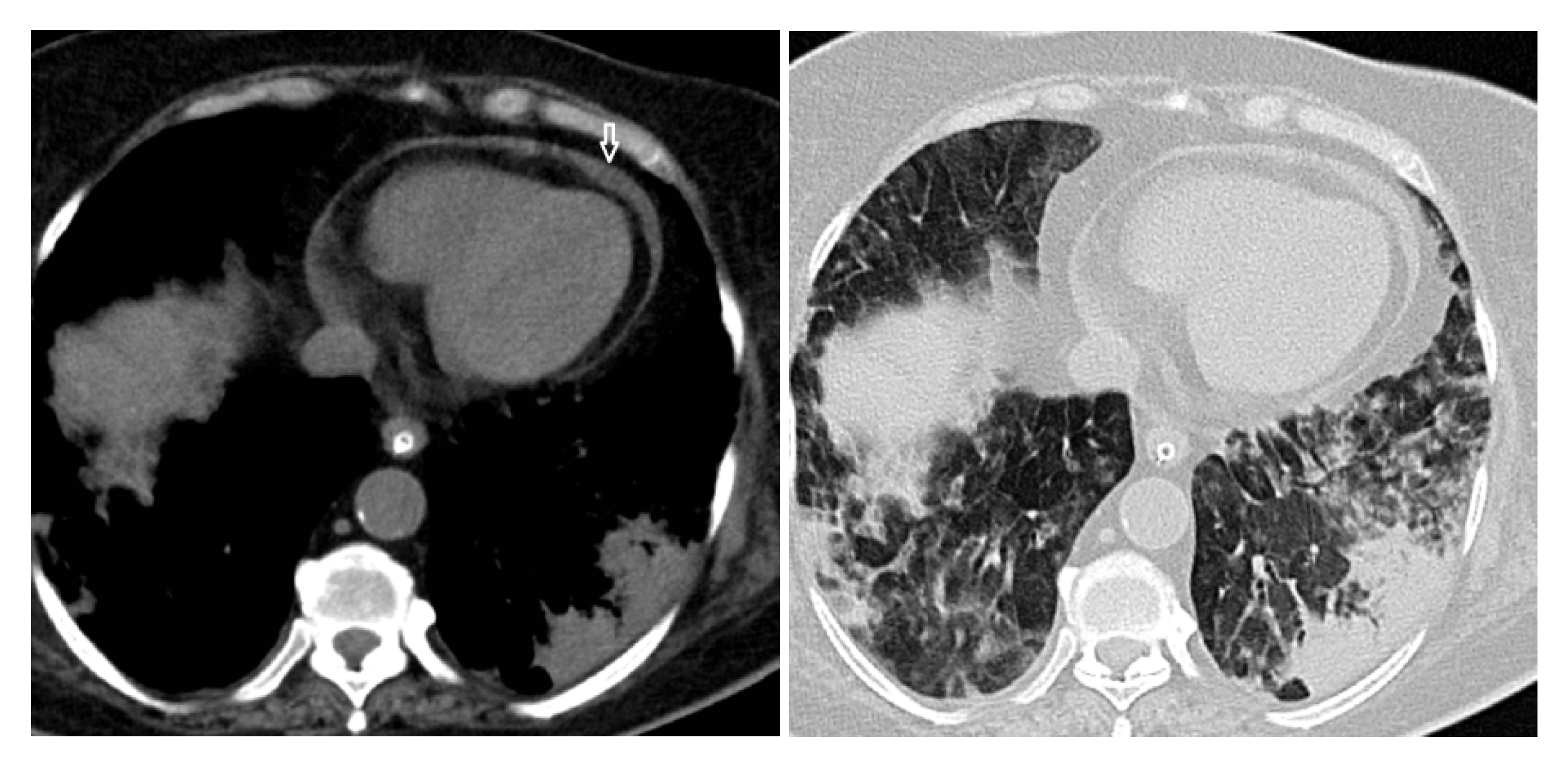
3. Results
4. Discussion
5. Conclusions
Author Contributions
Funding
Institutional Review Board Statement
Informed Consent Statement
Data Availability Statement
Conflicts of Interest
References
- Zhang, Q.; Xiang, R.; Huo, S.; Zhou, Y.; Jiang, S.; Wang, Q.; Yu, F. Molecular mechanism of interaction between SARS-CoV-2 and host cells and interventional therapy. Signal Transduct. Target. Ther. 2021, 6, 233. [Google Scholar] [CrossRef] [PubMed]
- Buckley, B.J.; Harrison, S.L.; Fazio-Eynullayeva, E.; Underhill, P.; Lane, D.A.; Lip, G.Y. Prevalence and clinical outcomes of myocarditis and pericarditis in 718,365 COVID-19 patients. Eur. J. Clin. Investig. 2021, 51, e13679. [Google Scholar] [CrossRef] [PubMed]
- National Institutes of Health (NIH). COVID-19 Treatment Guidelines, Clinical Spectrum of SARS-CoV-2 Infection. 2021. Available online: https://www.covid19treatmentguidelines.nih.gov/overview/clinical-spectrum/ (accessed on 4 June 2022).
- Anghel, A.-M.-J.; Niculae, C.-M.; Manea, E.-D.; Lazar, M.; Popescu, M.; Damalan, A.-C.; Bel, A.-A.; Nedelcu, I.-M.; Patrascu, R.-E.; Hristea, A. The Impact of Tocilizumab on Radiological Changes Assessed by Quantitative Chest CT in Severe COVID-19 Patients. J. Clin. Med. 2022, 11, 1247. [Google Scholar] [CrossRef]
- Lazar, M.; Barbu, E.C.; Chitu, C.E.; Anghel, A.-M.-J.; Niculae, C.-M.; Manea, E.-D.; Damalan, A.-C.; Bel, A.-A.; Patrascu, R.-E.; Hristea, A.; et al. Mortality Predictors in Severe SARS-CoV-2 Infection. Medicina 2022, 58, 945. [Google Scholar] [CrossRef]
- Adler, Y.; Charron, P.; Imazio, M.; Badano, L.; Barón-Esquivias, G.; Bogaert, J.; Brucato, A.; Gueret, P.; Klingel, K.; Lionis, C.; et al. 2015 ESC guidelines for the diagnosis and management of pericardial diseases. Eur. Heart J. 2015, 36, 2921–2964. [Google Scholar] [CrossRef] [PubMed]
- Diaz-Arocutipa, C.; Saucedo-Chinchay, J.; Imazio, M. Pericarditis in patients with COVID-19: A systematic review. J. Cardiovasc. Med. 2021, 22, 693–700. [Google Scholar] [CrossRef]
- Silva-Cardoso, J.; Moura, B.; Martins, L.; Mota-Miranda, A.; Goncalves, F.; Lecour, H. Pericardial involvement in human immunodeficiency virus infection. Chest 1999, 115, 418–422. [Google Scholar] [CrossRef]
- Chitu-Tisu, C.E.; Barbu, E.C.; Lazar, M.; Ionescu, R.Ă.Z.V.A.N.; Bojinca, M.; Ion, D.A.; Badarau, I.A. An overview of bone disease in HIV-infected patients. Acta Med. Mediterr. 2015, 31, 1139–1151. [Google Scholar]
- Munteanu, D.A.; Negru, A.N.; Mihăilescu, R.A.; Tilișcan, C.Ă.; Tudor, A.M.; Lazăr, M.I.; Aramă, Ș.S.; Ion, D.A.; Popescu, C.; Aramă, V.I. Evaluation of bone mineral density and correlations with inflammation markers in romanian hiv-positive patients undergoing combined antiretroviral therapy. Farmacia 2017, 65, 114–119. [Google Scholar]
- Lind, A.; Reinsch, N.; Neuhaus, K.; Esser, S.; Brockmeyer, N.; Potthoff, A.; Pankuweit, S.; Erbel, R.; Maisch, B.; Neumann, T.; et al. Pericardial effusion of HIV-infected patients ? Results of a prospective multicenter cohort study in the era of antiretroviral therapy. Eur. J. Med. Res. 2011, 16, 480–483. [Google Scholar] [CrossRef]
- Radovanovic, M.; Petrovic, M.; Barsoum, M.K.; Nordstrom, C.W.; Calvin, A.D.; Dumic, I.; Jevtic, D.; Hanna, R.D. Influenza Myopericarditis and Pericarditis: A Literature Review. J. Clin. Med. 2022, 11, 4123. [Google Scholar] [CrossRef] [PubMed]
- Spoto, S.; Valeriani, E.; Locorriere, L.; Anguissola, G.B.; Pantano, A.L.; Terracciani, F.; Riva, E.; Ciccozzi, M.; Costantino, S.; Angeletti, S. Influenza B virus infection complicated by life-threatening pericarditis: A unique case-report and literature review. BMC Infect. Dis. 2019, 19, 40. [Google Scholar] [CrossRef] [PubMed]
- Al-Tarbsheh, A.H.; Leamon, A.; Chong, W.H.; Chung, J.K.; Oweis, J.; Vamshek, S.; Dawani, O.; Chopra, A. Pericardial effusion in COVID-19 patients. Am. J. Med Sci. 2022, 364, 129–130. [Google Scholar] [CrossRef] [PubMed]
- Liu, Y.; Xie, J.; Gao, P.; Tian, R.; Qian, H.; Guo, F.; Yan, X.; Song, Y.; Chen, W.; Fang, L.; et al. Swollen heart in COVID-19 patients who progress to critical illness: A perspective from echo-cardiologists. ESC Heart Fail. 2020, 7, 3621–3632. [Google Scholar] [CrossRef] [PubMed]
- Kermani-Alghoraishi, M.; Pouramini, A.; Kafi, F.; Khosravi, A. Coronavirus Disease 2019 (COVID-19) and Severe Pericardial Effusion: From Pathogenesis to Management: A Case Report Based Systematic Review. Curr. Probl. Cardiol. 2021, 47, 100933. [Google Scholar] [CrossRef]
- Kaeuffer, C.; Le Hyaric, C.; Fabacher, T.; Mootien, J.; Dervieux, B.; Ruch, Y.; Hugerot, A.; Zhu, Y.-J.; Pointurier, V.; Clere-Jehl, R.; et al. Clinical characteristics and risk factors associated with severe COVID-19: Prospective analysis of 1045 hospitalised cases in North-Eastern France, March 2020. Eurosurveillance 2020, 25, 2000895. [Google Scholar] [CrossRef]
- Singh, A.; Nguyen, L.; Everest, S.; Shastri, P.; Alemu, R.H. Acute Pericarditis Secondary to COVID-19 Infection. Cureus 2021, 13, e20709. [Google Scholar] [CrossRef]
- Lopalco, G.; Rigante, D.; Cantarini, L.; Imazio, M.; Lopalco, A.; Emmi, G.; Venerito, V.; Fornaro, M.; Frediani, B.; Nivuori, M.; et al. The autoinflammatory side of recurrent pericarditis: Enlightening the pathogenesis for a more rational treatment. Trends Cardiovasc. Med. 2020, 31, 265–274. [Google Scholar] [CrossRef]
- Danilczyk, U.; Penninger, J. Angiotensin-Converting Enzyme II in the Heart and the Kidney. Circ. Res. 2006, 98, 463–471. [Google Scholar] [CrossRef]
- Farina, A.; Uccello, G.; Spreafico, M.; Bassanelli, G.; Savonitto, S. SARS-CoV-2 detection in the pericardial fluid of a patient with cardiac tamponade. Eur. J. Intern. Med. 2020, 76, 100–101. [Google Scholar] [CrossRef]
- Derveni, V.; Kaniaris, E.; Toumpanakis, D.; Potamianou, E.; Ioannidou, I.; Theodoulou, D.; Kyriakoudi, A.; Kyriakopoulou, M.; Pontikis, K.; Daganou, M. Acute life-threatening cardiac tamponade in a mechanically ventilated patient with COVID-19 pneumonia. IDCases 2020, 21, e00898. [Google Scholar] [CrossRef] [PubMed]
- Su, Y.-B.; Kuo, M.-J.; Lin, T.-Y.; Chien, C.-S.; Yang, Y.-P.; Chou, S.-J.; Leu, H.-B. Cardiovascular manifestation and treatment in COVID-19. J. Chin. Med. Assoc. 2020, 83, 704–709. [Google Scholar] [CrossRef]
- Ma, C.; Tu, D.; Gu, J.; Xu, Q.; Hou, P.; Wu, H.; Guo, Z.; Bai, Y.; Zhao, X.; Li, P. The Predictive Value of Myoglobin for COVID-19-Related Adverse Outcomes: A Systematic Review and Meta-Analysis. Front. Cardiovasc. Med. 2021, 8, 757799. [Google Scholar] [CrossRef] [PubMed]
- Ghantous, E.; Szekely, Y.; Lichter, Y.; Levi, E.; Taieb, P.; Banai, A.; Sapir, O.; Granot, Y.; Lupu, L.; Hochstadt, A.; et al. Pericardial Involvement in Patients Hospitalized With COVID-19: Prevalence, Associates, and Clinical Implications. J. Am. Heart Assoc. 2022, 11, e024363. [Google Scholar] [CrossRef] [PubMed]
- Hakmi, H.; Sohail, A.; Brathwaite, C.; Ray, B.; Abrol, S. Cardiac tamponade in COVID-19 patients: Management and outcomes. J. Card Surg. 2020, 35, 3183–3190. [Google Scholar] [CrossRef] [PubMed]
- Andreis, A.; Imazio, M.; Casula, M.; Avondo, S.; Brucato, A. Recurrent pericarditis: An update on diagnosis and management. Intern. Emerg Med. 2021, 16, 551–558. [Google Scholar] [CrossRef]
- Radovanovic, M.; Petrovic, M.; Hanna, R.D.; Nordstrom, C.W.; Calvin, A.D.; Barsoum, M.K.; Milosavljevic, N.; Jevtic, D.; Sokanovic, M.; Dumic, I. Clinical Presentation and Management of Methicillin-Resistant Staphylococcus aureus Pericarditis—Systematic Review. J. Cardiovasc. Dev. Dis. 2022, 9, 103. [Google Scholar] [CrossRef]

| Comorbidity | Group A (n, %) | Group B (n, %) | p-Value |
|---|---|---|---|
| Obesity | 15 (55.5%) | 31 (42.4%) | 0.375 |
| Diabetes mellitus type-2 | 7 (25.9%) | 14 (19.2%) | 0.334 |
| Arterial hypertension | 16 (59.2%) | 29 (39.7%) | 0.094 |
| Congestive heart failure | 4 (14.8%) | 2 (2.7%) | 0.164 |
| Peripheral vascular disease | 1 (3.7%) | 1 (1.3%) | 0.653 |
| Chronic kidney disease | 4 (14.8%) | 4 (5.5%) | 0.105 |
| Chronic obstructive pulmonary disorder | 3 (11.1%) | 9 (12.3%) | 0.851 |
| Chronic viral hepatitis | 1 (3.7%) | 3 (4.1%) | 0.907 |
| History of neoplasia | 2 (7.4%) | 4 (5,5%) | 0.427 |
| History of ischemic stroke | 2 (7.4%) | 5 (6.8%) | 0.733 |
| Dementia | 1 (3.7%) | 1 (1.3%) | 0.653 |
| History of peptic ulcer | 0 (0%) | 1 (1.3%) | 1 |
| Clinical, Laboratory, and Imaging Characteristics | Group A (Median, Q1, Q3) | Group B (Median, Q1, Q3) | p-Value | ExpB [CI] |
|---|---|---|---|---|
| Consolidation (% from total lung volume) | 1.7 [1.1; 4.9] | 2.1 [1.1; 3.4] | 0.878 | |
| Mixt lesions (% from total lung volume) | 5.1 [2.5; 9.1] | 4.9 [2.9; 8.1] | 0.263 | |
| Interstitial lesions (% from total lung volume) | 45.1 [36.1; 50.4] | 40.3 [31.9; 52.6] | 0.159 | |
| Normal pulmonary densities (% from total lung volume) | 48.4 [30.3; 56.8] | 52.7 [34.3; 64] | 0.165 | |
| Total pulmonary lesions (% from total lung volume) | 51.6 [43.2; 69.7] | 47.3 [35.9; 65.6] | 0.165 | |
| Heart rate (beats/min) | 80 [67; 89] | 79 [65; 88] | 0.674 | |
| Systolic blood pressure (mmHg) | 130 [108; 140] | 125 [111; 137.5] | 0.635 | |
| Diastolic blood pressure (mmHg) | 75 [68; 83] | 75 [66.5; 82] | 0.607 | |
| Respiratory rate (breaths/minute) | 27 [16; 34] | 24 [20; 30] | 0.03 | 1.078 [1.006; 1.156] |
| Saturation (O2) | 95 [93; 97] | 95 [94; 97] | 0.764 | |
| Median oxygen flow (L/min) | 14 [10; 16] | 14 [10; 24] | 0.912 | |
| FiO2 (%) | 60 [50; 60] | 60 [50; 60] | 0.819 | |
| Arterial O2 pressure (PaO2) | 86 [69; 99] | 81.5 [69.5; 104] | 0.776 | |
| PaO2/FiO2 ratio | 150 [116.6; 210] | 148 [110.8; 216.7] | 0.692 | |
| PCO2 (mmHg) | 38 [34.9; 39] | 36.5 [34; 40] | 0.858 | |
| pH | 7.43 [7.39; 7.45] | 7.45 [7.42; 7.47] | 0.124 | |
| WBC (×103/µL) | 8.8 [6.8; 13] | 8.3 [6.5; 11.1] | 0.262 | |
| Neutrophils (×103/µL) | 6.5 [4.8; 11.2] | 6.4 [4.8; 8.9] | 0.635 | |
| Lymphocytes (×102/µL) | 8 [4; 11] | 8 [6; 11] | 0.771 | |
| Neu/Ly ratio | 9.6 [5.3; 14.3] | 7.5 [4.5; 14] | 0.572 | |
| Platelets (×103/µL) | 281 [211; 345] | 215 [166.5; 294] | 0.05 | 1.003 [1; 1.007] |
| Hemoglobin (g/dL) | 13.5 [12.3; 14] | 13.8 [12.6; 14.5] | 0.202 | |
| CRP (mg/L) | 97 [40; 162] | 56 [17.7; 93.4] | 0.112 | |
| Serum ferritin (ng/mL) | 1331.7 [370.2; 1650] | 827.8 [325.1; 1635.6] | 0.377 | |
| IL6 (pg/mL) | 13.6 [3.7; 55.4] | 16 [2.7; 102] | 0.394 | |
| PAI-1 (ng/mL) | 500.5 [321; 708.7] | 479 [284.7; 738.1] | 0.993 | |
| BNP (ng/L) | 170 [16.5; 1149.5] | 92.5 [22.7; 372.2] | 0.143 | |
| TnI (ng/mL) | 0.03 [0.03; 0.05] | 0.3 [0.3; 0.3] | 0.275 | |
| Myoglobin (ng/mL) | 266 [135.5; 328.7] | 108.5 [84.7; 168.9] | 0.001 | 1.008 [1.003; 1.013] |
| D-dimers (ng/mL) | 285 [190; 680] | 249 [161; 463] | 0.140 | |
| PT (sec) | 13.1 [12; 14.1] | 12.8 [11.9; 13.5] | 0.786 | |
| CK (U/L) | 210 [48; 456] | 62 [34; 127] | 0.001 | 1.003 [1.001; 1.006] |
| CK-MB (U/L) | 13 [9; 28] | 10 [5; 14] | 0.05 | 1.036 [0.997; 1.076] |
| LDH (U/L) | 460 [346; 670] | 354.5 [284.2; 498.7] | 0.009 | 1.003 [1.001; 1.006] |
| ALT (U/L) | 42 [26; 87] | 52.5 [30; 101.7] | 0.292 | |
| AST (U/L) | 52 [38; 82] | 50 [34; 77.5] | 0.347 | |
| Serum creatinine (mg/dL) | 1.1 [0.7; 1.2] | 0.9 [0.7; 1.1] | 0.197 | |
| Serum albumin (g/L) | 3.6 [3.2; 4] | 3.5 [3.3; 49] | 0.414 |
| Clinical, Laboratory, and Imaging Characteristics | Spearman’s Rho | p-Value |
|---|---|---|
| CRP | 0.201 | 0.05 |
| Platelets | 0.198 | 0.05 |
| Myoglobin | 0.408 | <0.001 |
| CK | 0.325 | 0.001 |
| CK MB | 0.242 | 0.017 |
| LDH | 0.261 | 0.009 |
| Ventilation and Admission Characteristics | Group A (n, %) | Group B (n, %) | p-Value |
|---|---|---|---|
| Nasal cannula or Venturi mask | 5 (18.5%) | 22 (30.1%) | 0.20 |
| Non-rebreathing masks | 20 (74.1) | 49 (67.1%) | |
| Non-invasive ventilation | 1 (3.7%) | 0 | |
| Mechanically ventilation | 1 (3.7%) | 2 (2.8%) | |
| ICU admission | 4 (14.8%) | 3 (4.1%) | 0.06 |
| Non-ICU admission | 23 (85.2%) | 70 (95.9%) |
Publisher’s Note: MDPI stays neutral with regard to jurisdictional claims in published maps and institutional affiliations. |
© 2022 by the authors. Licensee MDPI, Basel, Switzerland. This article is an open access article distributed under the terms and conditions of the Creative Commons Attribution (CC BY) license (https://creativecommons.org/licenses/by/4.0/).
Share and Cite
Lazar, M.; Barbu, E.C.; Chitu, C.E.; Anghel, A.-M.-J.; Niculae, C.-M.; Manea, E.-D.; Damalan, A.-C.; Bel, A.-A.; Patrascu, R.-E.; Hristea, A.; et al. Pericardial Involvement in Severe COVID-19 Patients. Medicina 2022, 58, 1093. https://doi.org/10.3390/medicina58081093
Lazar M, Barbu EC, Chitu CE, Anghel A-M-J, Niculae C-M, Manea E-D, Damalan A-C, Bel A-A, Patrascu R-E, Hristea A, et al. Pericardial Involvement in Severe COVID-19 Patients. Medicina. 2022; 58(8):1093. https://doi.org/10.3390/medicina58081093
Chicago/Turabian StyleLazar, Mihai, Ecaterina Constanta Barbu, Cristina Emilia Chitu, Ana-Maria-Jennifer Anghel, Cristian-Mihail Niculae, Eliza-Daniela Manea, Anca-Cristina Damalan, Adela-Abigaela Bel, Raluca-Elena Patrascu, Adriana Hristea, and et al. 2022. "Pericardial Involvement in Severe COVID-19 Patients" Medicina 58, no. 8: 1093. https://doi.org/10.3390/medicina58081093
APA StyleLazar, M., Barbu, E. C., Chitu, C. E., Anghel, A.-M.-J., Niculae, C.-M., Manea, E.-D., Damalan, A.-C., Bel, A.-A., Patrascu, R.-E., Hristea, A., & Ion, D. A. (2022). Pericardial Involvement in Severe COVID-19 Patients. Medicina, 58(8), 1093. https://doi.org/10.3390/medicina58081093

