Chronic Thromboembolic Pulmonary Hypertension: An Observational Study
Abstract
:1. Introduction
2. Materials and Methods
2.1. Patient Population
2.2. Blood Tests
2.3. Transthoracic Echocardiogram
2.4. Right Heart Catheterization
2.5. V/Q Lung Scan
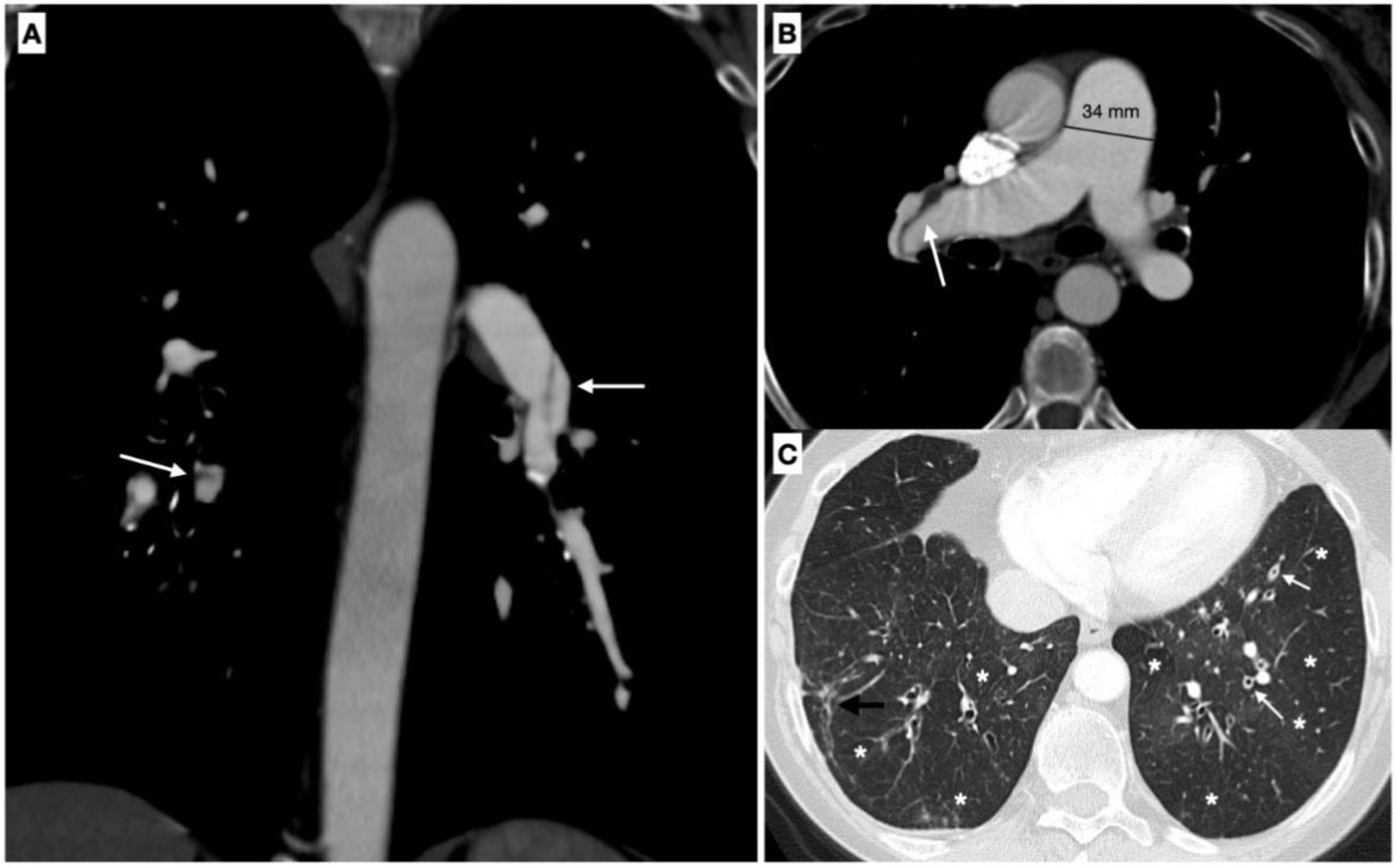
2.6. Pulmonary Angio-CT
2.7. Pulmonary Function Tests
2.8. Six-Minute Walking Test
2.9. Statistical Analysis
3. Results
4. Discussion
5. Conclusions
Author Contributions
Funding
Institutional Review Board Statement
Informed Consent Statement
Data Availability Statement
Conflicts of Interest
References
- Nossent, E.J.; Meijboom, L.J.; Bogaard, H.J.; Klok, F.A. Chronic thromboembolic pulmonary hypertension anno 2021. Curr. Opin. Cardiol. 2021, 36, 711–719. [Google Scholar] [CrossRef] [PubMed]
- Ruaro, B.; Baratella, E.; Caforio, G.; Confalonieri, P.; Wade, B.; Marrocchio, C.; Geri, P.; Pozzan, R.; Andrisano, A.G.; Cova, M.A.; et al. Chronic Thromboembolic Pulmonary Hypertension: An Update. Diagnostics 2022, 12, 235. [Google Scholar] [CrossRef] [PubMed]
- Albani, S.; Biondi, F.; Stolfo, D.; Lo Giudice, F.; Sinagra, G. Chronic thromboembolic pulmonary hypertension (CTEPH): What do we know about it? A comprehensive review of the literature. J. Cardiovasc. Med. 2019, 20, 159–168. [Google Scholar] [CrossRef] [PubMed]
- Logue, R.; Safdar, Z. Chronic Thromboembolic Pulmonary Hypertension Medical Management. Methodist DeBakey Cardiovasc. J. 2021, 17, e29–e33. [Google Scholar] [CrossRef] [PubMed]
- Hoeper, M.M. Chronic thromboembolic pulmonary hypertension after acute pulmonary embolism: To screen or not to screen? Eur. Respir. J. 2018, 51, 1800440. [Google Scholar] [CrossRef]
- Pengo, V.; Lensing, A.W.; Prins, M.H.; Marchiori, A.; Davidson, B.L.; Tiozzo, F.; Albanese, P.; Biasiolo, A.; Pegoraro, C.; Iliceto, S.; et al. Incidence of Chronic thromboembolic pulmonary hypertension after pulmonary embolism. N. Engl. J. Med. 2004, 350, 2257–2264. [Google Scholar] [CrossRef] [PubMed]
- Ende-Verhaar, Y.M.; Cannegieter, S.C.; Vonk Noordegraaf, A.; Delcroix, M.; Pruszczyk, P.; Mairuhu, A.T.A.; Huisman, M.V.; Klok, F.A. Incidence of chronic thromboembolic pulmonary hypertension after acute pulmonary embolism: A contemporary view of the published literature. Eur. Respir. J. 2017, 49, 1601792. [Google Scholar] [CrossRef]
- Guérin, L.; Couturaud, F.; Parent, F.; Revel, M.-P.; Gillaizeau, F.; Planquette, B.; Pontal, D.; Guégan, M.; Simonneau, G.; Meyer, G.; et al. Prevalence of chronic thromboembolic pulmonary hypertension after acute pulmonary embolism. Prevalence of CTEPH after pulmonary embolism. Thromb. Haemost. 2014, 112, 598–605. [Google Scholar] [CrossRef] [PubMed]
- Lang, I.M.; Campean, I.A.; Sadushi-Kolici, R.; Badr-Eslam, R.; Gerges, C.; Skoro-Sajer, N. Chronic Thromboembolic Disease and Chronic Thromboembolic Pulmonary Hypertension. Clin. Chest Med. 2021, 42, 81–90. [Google Scholar] [CrossRef]
- Kim, N.H. Group 4 Pulmonary Hypertension: Chronic Thromboembolic Pulmonary Hypertension: Epidemiology, Pathophysiology, and Treatment. Cardiol. Clin. 2016, 34, 435–441. [Google Scholar] [CrossRef] [PubMed]
- Ruaro, B.; Salton, F.; Braga, L.; Wade, B.; Confalonieri, P.; Volpe, M.C.; Baratella, E.; Maiocchi, S.; Confalonieri, M. The History and Mystery of Alveolar Epithelial Type II Cells: Focus on Their Physiologic and Pathologic Role in Lung. Int. J. Mol. Sci. 2021, 22, 2566. [Google Scholar] [CrossRef]
- Sharma, M.; Levine, D.J. Revisiting a Distinct Entity in Pulmonary Vascular Disease: Chronic Thromboembolic Pulmonary Hypertension (CTEPH). Medicina 2021, 57, 355. [Google Scholar] [CrossRef] [PubMed]
- Quarck, R.; Wynants, M.; Verbeken, E.; Meyns, B.; Delcroix, M. Contribution of inflammation and impaired angiogenesis to the pathobiology of chronic thromboembolic pulmonary hypertension. Eur. Respir. J. 2015, 46, 431–443. [Google Scholar] [CrossRef] [PubMed]
- Ruaro, B.; Casabella, A.; Paolino, S.; Pizzorni, C.; Ghio, M.; Seriolo, C.; Molfetta, L.; Odetti, P.; Smith, V.; Cutolo, M. Dickkopf-1 (Dkk-1) serum levels in systemic sclerosis and rheumatoid arthritis patients: Correlation with the Trabecular Bone Score (TBS). Clin. Rheumatol. 2018, 37, 3057–3062. [Google Scholar] [CrossRef] [PubMed]
- Amelot, A.; Bouazza, S.; George, B.; Bresson, D. Causative role of infection in chronic non-thromboembolic pulmonary hypertension following ventriculo-atrial shunt. Br. J. Neurosurg. 2014, 28, 559–561. [Google Scholar] [CrossRef]
- Hassoun, P.M. Inflammation in chronic thromboembolic pulmonary hypertension: Accomplice or bystander in altered angiogenesis? Eur. Respir. J. 2015, 46, 303–306. [Google Scholar] [CrossRef] [PubMed]
- Toshner, M.; Pepke-Zaba, J. Chronic thromboembolic pulmonary hypertension: Time for research in pathophysiology to catch up with developments in treatment. F1000Prime Rep. 2014, 6, 38. [Google Scholar] [CrossRef] [PubMed]
- Yandrapalli, S.; Tariq, S.; Kumar, J.; Aronow, W.S.; Malekan, R.; Frishman, W.H.; Lanier, G.M. Chronic Thromboembolic Pulmonary Hypertension: Epidemiology, Diagnosis, and Management. Cardiol. Rev. 2018, 26, 62–72. [Google Scholar] [CrossRef]
- Delcroix, M.; Torbicki, A.; Gopalan, D.; Sitbon, O.; Klok, F.A.; Lang, I.; Jenkins, D.; Kim, N.H.; Humbert, M.; Jais, X.; et al. ERS statement on chronic thromboembolic pulmonary hypertension. Eur. Respir. J. 2021, 57, 2002828. [Google Scholar] [CrossRef] [PubMed]
- Simonneau, G.; Montani, D.; Celermajer, D.; Denton, C.P.; Gatzoulis, M.A.; Krowka, M.; Williams, P.G.; Souza, R. Haemodynamic definitions and updated clinical classification of pulmonary hypertension. Eur. Respir. J. 2019, 53, 1801913. [Google Scholar] [CrossRef] [PubMed]
- Konstantinides, S.V.; Meyer, G.; Becattini, C.; Bueno, H.; Geersing, G.J.; Harjola, V.P.; Huisman, M.V.; Humbert, M.; Jennings, C.S.; Jiménez, D.; et al. ESC Scientific Document Group. 2019 ESC Guidelines for the diagnosis and management of acute pulmonary embolism developed in collaboration with the European Respiratory Society (ERS). Eur. Heart J. 2019, 31, ehz405. [Google Scholar]
- Galiè, N.; Humbert, M.; Vachiery, J.L.; Gibbs, S.; Lang, I.; Torbicki, A.; Simonneau, G.; Peacock, A.; Noordegraaf, A.V.; Beghetti, M.; et al. 2015 ESC/ERS Guidelines for the diagnosis and treatment of pulmonary hypertension: The Joint Task Force for the Diagnosis and Treatment of Pulmonary Hypertension of the European Society of Cardiology (ESC) and the European Respiratory Society (ERS): Endorsed by: Association for European Paediatric and Congenital Cardiology (AEPC), International Society for Heart and Lung Transplantation (ISHLT). Eur. Heart J. 2016, 37, 67–119. [Google Scholar]
- Wilkens, H.; Konstantinides, S.; Lang, I.M.; Bunck, A.C.; Gerges, M.; Gerhardt, F.; Grgic, A.; Grohé, C.; Guth, S.; Held, M.; et al. Chronic thromboembolic pulmonary hypertension (CTEPH): Updated Recommendations from the Cologne Consensus Conference 2018. Int. J. Cardiol. 2018, 272S, 69–78. [Google Scholar] [CrossRef] [PubMed]
- Simonneau, G.; Hoeper, M.M. Evaluation of the incidence of rare diseases: Difficulties and uncertainties, the example of chronic thromboembolic pulmonary hypertension. Eur. Respir. J. 2017, 49, 1602522. [Google Scholar] [CrossRef]
- Pepke-Zaba, J.; Delcroix, M.; Lang, I.; Mayer, E.; Jansa, P.; Ambroz, D.; Treacy, C.; D’Armini, A.M.; Morsolini, M.; Snijder, R.; et al. Chronic thromboembolic pulmonary hypertension (CTEPH): Results from an international prospective registry. Circulation 2011, 124, 1973–1981. [Google Scholar] [CrossRef] [PubMed]
- Demerouti, E.; Karyofyllis, P.; Voudris, V.; Boutsikou, M.; Anastasiadis, G.; Anthi, A.; Arvanitaki, A.; Athanassopoulos, G.; Avgeropoulou, A.; Brili, S.; et al. Epidemiology and Management of Chronic Thromboembolic Pulmonary Hypertension in Greece. Real-World Data from the Hellenic Pulmonary Hypertension Registry (HOPE). J. Clin. Med. 2021, 10, 4547. [Google Scholar] [CrossRef] [PubMed]
- Rådegran, G.; Kjellström, B.; Ekmehag, B.; Larsen, F.; Rundqvist, B.; Blomquist, S.B.; Gustafsson, C.; Hesselstrand, R.; Karlsson, M.; Kornhall, B.; et al. Characteristics and survival of adult Swedish PAH and CTEPH patients 2000–2014. Scand. Cardiovasc. J. 2016, 50, 243–250. [Google Scholar] [CrossRef]
- Deng, L.; Quan, R.; Yang, Y.; Yang, Z.; Tian, H.; Li, S.; Shen, J.; Ji, Y.; Zhang, G.; Zhang, C.; et al. Characteristics and long-term survival of patients with chronic thromboembolic pulmonary hypertension in China. Respirology 2020, 26, 196–203. [Google Scholar] [CrossRef]
- Skride, A.; Sablinskis, K.; Lejnieks, A.; Rudzitis, A.; Lang, I. Characteristics and survival data from Latvian pulmonary hypertension registry: Comparison of prospective pulmonary hypertension registries in Europe. Pulm. Circ. 2018, 8, 2045894018780521. [Google Scholar] [CrossRef]
- Barco, S.; Klok, F.A.; Konstantinides, S.V.; Dartevelle, P.; Fadel, E.; Jenkins, D.; Kim, N.H.; Madani, M.; Matsubara, H.; Mayer, E.; et al. Sex-specific differences in chronic thromboembolic pulmonary hypertension. Results from the European CTEPH registry. J. Thromb. Haemost. 2020, 18, 151–161. [Google Scholar] [CrossRef]
- Jais, X.; Ioos, V.; Jardim, C.; Sitbon, O.; Parent, F.; Hamid, A.; Fadel, E.; Dartevelle, P.; Simonneau, G.; Humbert, M. Splenectomy and chronic thromboembolic pulmonary hypertension. Thorax 2005, 60, 1031–1034. [Google Scholar] [CrossRef] [PubMed]
- Li, J.H.; Safford, R.E.; Aduen, J.F.; Heckman, M.G.; Crook, J.E.; Burger, C.D. Pulmonary Hypertension and Thyroid Disease. Chest 2007, 132, 793–797. [Google Scholar] [CrossRef] [PubMed]
- Bonderman, D.; Turecek, P.L.; Jakowitsch, J.; Weltermann, A.; Adlbrecht, C.; Schneider, B.; Kneussl, M.; Rubin, L.J.; Kyrle, P.A.; Klepetko, W.; et al. High prevalence of elevated clotting factor VIII in chronic thromboembolic pulmonary hypertension. Thromb. Haemost. 2003, 90, 372–376. [Google Scholar] [CrossRef] [PubMed]
- Lang, I.M.; Pesavento, R.; Bonderman, D.; Yuan, J.X.-J. Risk factors and basic mechanisms of chronic thromboembolic pulmonary hypertension: A current understanding. Eur. Respir. J. 2013, 41, 462–468. [Google Scholar] [CrossRef]
- Ruaro, B.; Confalonieri, P.; Santagiuliana, M.; Wade, B.; Baratella, E.; Kodric, M.; Berria, M.; Jaber, M.; Torregiani, C.; Bruni, C.; et al. Correlation between Potential Risk Factors and Pulmonary Embolism in Sarcoidosis Patients Timely Treated. J. Clin. Med. 2021, 10, 2462. [Google Scholar] [CrossRef]
- Sulli, A.; Ruaro, B.; Cutolo, M. Evaluation of blood perfusion by laser speckle contrast analysis in different areas of hands and face in patients with systemic sclerosis. Ann Rheum Dis. 2014, 73, 2059–2061. [Google Scholar] [CrossRef]
- Ruaro, B.; Sulli, A.; Pizzorni, C.; Paolino, S.; Smith, V.; Alessandri, E.; Trombetta, A.C.; Alsheyyab, J.; Cutolo, M. Correlations between blood perfusion and dermal thickness in different skin areas of systemic sclerosis patients. Microvasc Res. 2018, 115, 28–33. [Google Scholar] [CrossRef]
- Puebla-Aldama, D.; Cueto-Robledo, G.; Barragan-Martinez, M.D.; Roldan-Valadez, E.; Navarro-Vergara, D.I.; Garcia-Cesar, M.; Heredia-Flores, K.L.; Torres-Rojas, M.B.; Garcia-Treminio, C.F.; Cueto-Romero, H.D. Review of functional status and hemodynamic parameters in patients diagnosed with Chronic Thromboembolic Pulmonary Hypertension (CTEPH) with and without Antiphospholipid Syndrome (APLS). Curr. Probl. Cardiol. 2022, 101154. [Google Scholar] [CrossRef]
- Cueto-Robledo, G.; Roldan-Valadez, E.; Graniel-Palafox, L.E.; Garcia-Cesar, M.; Torres-Rojas, M.B.; Enriquez-Garcia, R.; Cueto-Romero, H.D.; Rivera-Sotelo, N.; Perez-Calatayud, A.A. Chronic thromboembolic pulmonary hypertension (CTEPH): A review of another sequel of severe post-COVID-19 pneumonia. Curr. Probl. Cardiol. 2022, 101187, Advance Online Publication. [Google Scholar] [CrossRef]
- Sandqvist, A.; Kylhammar, D.; Bartfay, S.E.; Hesselstrand, R.; Hjalmarsson, C.; Kavianipour, M.; Nisell, M.; Rådegran, G.; Wikström, G.; Kjellström, B.; et al. Risk stratification in chronic thromboembolic pulmonary hypertension predicts survival. Scand. Cardiovasc. J. SCJ 2021, 55, 43–49. [Google Scholar] [CrossRef]
- Duffett, L.; Castellucci, L.A.; Forgie, M.A. Pulmonary embolism: Update on management and controversies. BMJ (Clin. Res.) 2020, 370, m2177. [Google Scholar] [CrossRef] [PubMed]
- Pugliese, S.C.; Kawut, S.M. The Post-Pulmonary Embolism Syndrome: Real or Ruse? Ann. Am. Thorac. Soc. 2019, 16, 811–814. [Google Scholar] [CrossRef]
- Kim, N.H.; Delcroix, M.; Jais, X.; Madani, M.M.; Matsubara, H.; Mayer, E.; Ogo, T.; Tapson, V.F.; Ghofrani, H.A.; Jenkins, D.P. Chronic thromboembolic pulmonary hypertension. Eur. Respir. J. 2019, 53, 1801915. [Google Scholar] [CrossRef] [PubMed]
- Ghofrani, H.-A.; D’Armini, A.M.; Kim, N.H.; Mayer, E.; Simonneau, G. Interventional and pharmacological management of chronic thromboembolic pulmonary hypertension. Respir. Med. 2021, 177, 106293. [Google Scholar] [CrossRef] [PubMed]
- Al Abri, Q.; Lu, A.J.; Ramchandani, M.K. Chronic Thromboembolic Pulmonary Hypertension: A Comprehensive Review and Multidisciplinary Approach to Surgical Treatment. Methodist DeBakey Cardiovasc. J. 2021, 17, e18–e28.103. [Google Scholar] [CrossRef] [PubMed]
- Kataoka, M.; Inami, T.; Hayashida, K.; Shimura, N.; Ishiguro, H.; Abe, T.; Tamura, Y.; Ando, M.; Fukuda, K.; Yoshino, H.; et al. Percutaneous Transluminal Pulmonary Angioplasty for the Treatment of Chronic Thromboembolic Pulmonary Hypertension. Circ. Cardiovasc. Interv. 2012, 5, 756–762. [Google Scholar] [CrossRef] [PubMed]
- Kawakami, T.; Ogawa, A.; Miyaji, K.; Mizoguchi, H.; Shimokawahara, H.; Naito, T.; Oka, T.; Yunoki, K.; Munemasa, M.; Matsubara, H. Novel Angiographic Classification of Each Vascular Lesion in Chronic Thromboembolic Pulmonary Hypertension Based on Selective Angiogram and Results of Balloon Pulmonary Angioplasty. Circ. Cardiovasc. Interv. 2016, 9, e003318. [Google Scholar] [CrossRef] [PubMed]
- Olgun Yıldızeli, Ş.; Kepez, A.; Taş, S.; Yanartaş, M.; Durusoy, A.F.; Erkılınç, A.; Mutlu, B.; Kaymaz, C.; Sunar, H.; Yıldızeli, B. Pulmonary endarterectomy for patients with chronic thromboembolic disease. Anatol. J. Cardiol. 2018, 19, 273–278. [Google Scholar] [CrossRef] [PubMed]
- Tscholl, D.; Langer, F.; Wendler, O.; Wilkens, H.; Georg, T.; Schäfers, H.-J. Pulmonary thromboendarterectomy–Risk factors for early survival and hemodynamic improvement. Eur. J. Cardio-Thorac. Surg. 2001, 19, 771–777. [Google Scholar] [CrossRef]
- Skoro-Sajer, N.; Marta, G.; Gerges, C.; Hlavin, G.; Nierlich, P.; Taghavi, S.; Sadushi-Kolici, R.; Klepetko, W.; Lang, I.M. Surgical specimens, haemodynamics and long-term outcomes after pulmonary endarterectomy. Thorax 2014, 69, 116–122. [Google Scholar] [CrossRef] [PubMed]
- Ranka, S.; Mohananey, D.; Agarwal, N.; Verma, B.R.; Villablanca, P.; Mewhort, H.E.; Ramakrishna, H. Chronic Thromboembolic Pulmonary Hypertension-Management Strategies and Outcomes. J. Cardiothorac. Vasc. Anesth. 2020, 34, 2513–2523. [Google Scholar] [CrossRef]
- Hoeper, M.M. Pharmacological therapy for patients with chronic thromboembolic pulmonary hypertension. Eur. Respir. Rev. 2015, 24, 272–282. [Google Scholar] [CrossRef] [PubMed]
- Papamatheakis, D.G.; Poch, D.S.; Fernandes, T.M.; Kerr, K.M.; Kim, N.H.; Fedullo, P.F. Chronic Thromboembolic Pulmonary Hypertension: JACC Focus Seminar. J. Am. Coll. Cardiol. 2020, 76, 2155–2169. [Google Scholar] [CrossRef] [PubMed]
- Confalonieri, M.; Kodric, M.; Longo, C.; Vassallo, F.G. Bosentan for chronic thromboembolic pulmonary hypertension. Expert. Rev. Cardiovasc. Ther. 2009, 7, 1503–1512. [Google Scholar] [CrossRef] [PubMed]
- Zhang, Y.; Yu, X.; Jin, Q.; Luo, Q.; Zhao, Z.; Zhao, Q.; Yan, L.; Liu, Z. Advances in targeted therapy for chronic thromboembolic pulmonary hypertension. Heart Fail. Rev. 2019, 24, 949–965. [Google Scholar] [CrossRef] [PubMed]
- Vassallo, F.G.; Kodric, M.; Scarduelli, C.; Harari, S.; Potena, A.; Scarda, A.; Piattella, M.; Cassandro, R.; Confalonieri, M. Bosentan for patients with chronic thromboembolic pulmonary hypertension. Eur. J. Intern. Med. 2009, 20, 24–29. [Google Scholar] [CrossRef] [PubMed]
- Khangoora, V.S.; Shlobin, O.A. Evolving spectrum of treatment for CTEPH. Curr. Opin. Pulm. Med. 2020, 26, 406–413. [Google Scholar] [CrossRef] [PubMed]
- Akay, T.; Kaymaz, C.; Rüçhan Akar, A.; Orhan, G.; Yanartaş, M.; Gültekin, B.; Şırlak, M.; Kervan, Ü.; Gezer Taş, S.; Biçer, M.; et al. Raising the bar to ultradisciplinary collaborations in management of chronic thromboembolic pulmonary hypertension. Turk. J. Thorac. Cardiovasc. Surg. 2021, 29, 417–431. [Google Scholar] [CrossRef]
- Pepke-Zaba, J.; Ghofrani, A.; Hoeper, M. Medical management of chronic thromboembolic pulmonary hypertension. Eur. Respir. Rev. 2017, 26, 160107. [Google Scholar] [CrossRef] [PubMed]
- Jaïs, X.; D’Armini, A.M.; Jansa, P.; Torbicki, A.; Delcroix, M.; Ghofrani, H.A.; Hoeper, M.M.; Lang, I.M.; Mayer, E.; Pepke-Zaba, J.; et al. Bosentan for treatment of inoperable chronic thromboembolic pulmonary hypertension: BENEFiT (Bosentan Effects in iNopErable Forms of chronIc Thromboembolic pulmonary hypertension), a randomized, placebo-controlled trial. J. Am. Coll. Cardiol. 2008, 52, 2127–2134. [Google Scholar] [CrossRef] [PubMed]
- Ghofrani, H.-A.; Simonneau, G.; D’Armini, A.M.; Fedullo, P.; Howard, L.S.; Jais, X.; Jenkins, D.P.; Jing, Z.-C.; Madani, M.M.; Martin, N.; et al. Macitentan for the treatment of inoperable chronic thromboembolic pulmonary hypertension (MERIT-1): Results from the multicentre, phase 2, randomised, double-blind, placebo-controlled study. Lancet Respir. Med. 2017, 5, 785–794. [Google Scholar] [CrossRef]
- Simonneau, G.; D’Armini, A.M.; Ghofrani, H.A.; Grimminger, F.; Hoeper, M.M.; Jansa, P.; Kim, N.H.; Wang, C.; Wilkins, M.R.; Fritsch, A.; et al. Riociguat for the treatment of chronic thromboembolic pulmonary hypertension: A long-term extension study (CHEST-2). Eur. Respir. J. 2015, 45, 1293–1302. [Google Scholar] [CrossRef] [PubMed]
- Mahmud, E.; Patel, M.; Ang, L.; Poch, D. Advances in balloon pulmonary angioplasty for chronic thromboembolic pulmonary hypertension. Pulm. Circ. 2021, 11, 20458940211007385. [Google Scholar] [CrossRef] [PubMed]
- Ruaro, B.; Baratella, E.; Confalonieri, P.; Wade, B.; Marrocchio, C.; Geri, P.; Busca, A.; Pozzan, R.; Andrisano, A.G.; Cova, M.A.; et al. High-Resolution Computed Tomography: Lights and Shadows in Improving Care for SSc-ILD Patients. Diagnostics 2021, 11, 1960. [Google Scholar] [CrossRef] [PubMed]
- Baratella, E.; Ruaro, B.; Giudici, F.; Wade, B.; Santagiuliana, M.; Salton, F.; Confalonieri, P.; Simbolo, M.; Scarpa, A.; Tollot, S.; et al. Evaluation of Correlations between Genetic Variants and High-Resolution Computed Tomography Patterns in Idiopathic Pulmonary Fibrosis. Diagnostics 2021, 11, 762. [Google Scholar] [CrossRef]
- Ruaro, B.; Salton, F.; Baratella, E.; Confalonieri, P.; Geri, P.; Pozzan, R.; Torregiani, C.; Bulla, R.; Confalonieri, M.; Matucci-Cerinic, M.; et al. An Overview of Different Techniques for Improving the Treatment of Pulmonary Hypertension Secondary in Systemic Sclerosis Patients. Diagnostics 2022, 12, 616. [Google Scholar] [CrossRef]
- Rosenkranz, S.; Preston, I.R. Right heart catheterisation: Best practice and pitfalls in pulmonary hypertension. Eur. Respir. Rev. Off. J. Eur. Respir. Soc. 2015, 24, 642–652. [Google Scholar] [CrossRef] [PubMed]
- Tunariu, N.; Gibbs, S.J.R.; Win, Z.; Gin-Sing, W.; Graham, A.; Gishen, P.; AL-Nahhas, A. Ventilation-perfusion scintigraphy Is more sensitive than multidetector CTPA in detecting chronic thromboembolic pulmonary disease as a treatable cause of pulmonary hypertension. J. Nucl. Med. 2007, 48, 680–684. [Google Scholar] [CrossRef] [PubMed]
- He, J.; Fang, W.; Lv, B.; He, J.G.; Xiong, C.M.; Liu, Z.H.; He, Z.X. Diagnosis of chronic thromboembolic pulmonary hypertension: Comparison of ventilation/perfusion scanning and multidetector computed tomography pulmonary angiography with pulmonary angiography. Nucl. Med. Commun. 2012, 33, 459–463. [Google Scholar] [CrossRef]
- Sherrick, A.D.; Swensen, S.J.; E Hartman, T. Mosaic pattern of lung attenuation on CT scans: Frequency among patients with pulmonary artery hypertension of different causes. Am. J. Roentgenol. 1997, 169, 79–82. [Google Scholar] [CrossRef] [PubMed]
- Özgüven, S.; Kesim, S.; Öksüzoğlu, K.; Yanartaş, M.; Taş, S.; Şen, F.; Öneş, T.; İnanır, S.; Turoğlu, H.T.; Mutlu, B.; et al. Correlation Between Perfusion Abnormalities Extent in Ventilation/Perfusion SPECT/CT with Hemodynamic Parameters in Patients with Chronic Thromboembolic Pulmonary Hypertension. Mol. Imaging Radionucl. Ther. 2021, 30, 28–33. [Google Scholar] [CrossRef] [PubMed]
- Osman, B.; Bou Akel, I.; Tulimat, T.; Sfeir, P.; Borgi, J. Initiating a Chronic Thromboembolic Pulmonary Hypertension and Pulmonary Endarterectomy Program Based on a Single Center Experience in Lebanon. Semin. Cardiothorac. Vasc. Anesth. 2022, 10892532211066645, Advance Online Publication. [Google Scholar] [CrossRef] [PubMed]
- Wiedenroth, C.B.; Bandorski, D.; Ariobi, K.; Ghofrani, H.A.; Lankeit, M.; Liebetrau, C.; Pruefer, D.; Mayer, E.; Kriechbaum, S.D.; Guth, S. Does Age Matter? Pulmonary Endarterectomy in the Elderly Patient with CTEPH. Thorac. Cardiovasc. Surg. 2022. Advance Online Publication. [Google Scholar] [CrossRef] [PubMed]



| Variables | MT | PEA | BPA | p-Values |
|---|---|---|---|---|
| Patients (N) | 32 | 26 | 7 | - |
| Gender (N, %) | M: 4 (12%) F 28 (88%) | M: 9 (35%) F: 17 (65%) | M: 2 (29%) F: 5 (71%) | p = 0.02 p = 0.04 |
| Age at diagnosis Median (IQR) | 69 (13) | 66 (17) | 64 (14) | p = 0.04 |
| Age at enrollment Median (IQR) | 71 (13) | 68 (13) | 66 (11) | p = 0.03 |
| Current smoker (N, %) | 15/32 (46%) | 11/26 (42%) | 3/7 (43%) | p = 0.24 |
| Former smoker (N, %) | 17/32 (53%) | 11/26 (42%) | 3/7 (43%) | p = 0.17 |
| Obesity (N, %) | 15/32 (46%) | 1/26 (11%) | 1/7 (14%) | p = 0.03 |
| Treatment regimes (PPI/AI/AC) | (28/29/32) | (14/17/26) | (4/5/7) | p = 0.16 |
| Risk Factors | MT | PEA | BPA | p-Value |
|---|---|---|---|---|
| Pulmonary embolism | ||||
| History of PE or DVT | 20/32 (62%) | 17/26 (65%) | 4/7 (58%) | p = 0.20 |
| Severe perfusion defect | 7/32 (23%) | 5/26 (22%) | 2/7 (28%) | p = 0.18 |
| Chronic pulmonary thromboembolism (angio-CT) | 10/32 (30%) | 9/26 (33%) | 2/7 (28%) | p = 0.34 |
| Thrombophilia | ||||
| LAC/antiphospholipid antibodies | 6/32 (20%) | 5/26 (22%) | 2/7 (28%) | p = 0.24 |
| MTHFR mutation | 4/32 (12%) | 3/26 (11%) | 1/7 (14%) | p = 0.15 |
| Hyperhomocysteinemia | 4/32 (12%) | 3/26 (11%) | 1/7 (14%) | p = 0.64 |
| ATIII, protein C or S defect | 4/32 (12%) | 3/26 (11%) | 1/7 (14%) | p = 0.36 |
| Factor II mutation | 1/32 (3%) | 0/26 (0%) | 0/7 (0%) | p = 0.67 |
| Factor V mutation | 1/32 (3%) | 0/26 (0%) | 0/7 (0%) | p = 0.58 |
| Clinical conditions | ||||
| Splenectomy | 1/32 (3%) | 0/26 (0%) | 0/7 (0%) | p = 0.47 |
| Ventriculoatrial shunting | 0/32 (0%) | 0/26 (0%) | 0/7 (0%) | p = 0.54 |
| Infected devices/Intravenous (IV) catheter | 0/32 (0%) | 0/26 (0%) | 0/7 (0%) | p = 0.55 |
| Hypothyroidism in replacement therapy | 8/32 (25%) | 6/26 (23%) | 2/7 (28%) | p = 0.84 |
| History of cancer | 10/32 (30%) | 9/26 (33%) | 2/7 (28%) | p = 0.55 |
| MT | PEA | BPA | p-Value | |
|---|---|---|---|---|
| Right heart catheterization | ||||
| PAPm (mmHg) (Median; IQR) | 39 (6) | 40 (4) | 42 (5) | p = 0.47 |
| PVR (dynes/sec/cm-5) (Median; IQR) | 539 (94) | 557 (85) | 525 (78) | p = 0.72 |
| PAPs (mmHg) (Median; IQR) | 59 (11) | 55 (9) | 62 (12) | p = 0.55 |
| Spirometry | ||||
| FVC (Median; IQR) | 83 (17) | 85 (13) | 80 (11) | p = 0.3 |
| FEV1 (Median; IQR) | 95 (18) | 92 (12) | 96 (13) | p = 0.58 |
| IT (Median; IQR) | 79 (17) | 81 (14) | 83 (12) | p = 0.67 |
| DLCO (%) (Median; IQR) | 60 (12) | 63 (25) | 59 (14) | p = 0.4 |
| Six-minute walk test (6MWT) | ||||
| Meters (m) (Median; IQR) | 298 (54) | 310 (76) | 305 (82) | p = 0.76 |
| Borg scale (Median; IQR) | 4 (2) | 4 (1) | 3 (1) | p = 0.38 |
| pO2 (mmHg) (Median; IQR) | 64 (23) | 67 (41) | 65 (33) | p = 0.55 |
| Blood tests | ||||
| BNP (pg/mL) (Median; IQR) | 310 (176) | 315 (149) | 308 (153) | p = 0.63 |
Publisher’s Note: MDPI stays neutral with regard to jurisdictional claims in published maps and institutional affiliations. |
© 2022 by the authors. Licensee MDPI, Basel, Switzerland. This article is an open access article distributed under the terms and conditions of the Creative Commons Attribution (CC BY) license (https://creativecommons.org/licenses/by/4.0/).
Share and Cite
Ruaro, B.; Confalonieri, P.; Caforio, G.; Baratella, E.; Pozzan, R.; Tavano, S.; Bozzi, C.; Lerda, S.; Geri, P.; Biolo, M.; et al. Chronic Thromboembolic Pulmonary Hypertension: An Observational Study. Medicina 2022, 58, 1094. https://doi.org/10.3390/medicina58081094
Ruaro B, Confalonieri P, Caforio G, Baratella E, Pozzan R, Tavano S, Bozzi C, Lerda S, Geri P, Biolo M, et al. Chronic Thromboembolic Pulmonary Hypertension: An Observational Study. Medicina. 2022; 58(8):1094. https://doi.org/10.3390/medicina58081094
Chicago/Turabian StyleRuaro, Barbara, Paola Confalonieri, Gaetano Caforio, Elisa Baratella, Riccardo Pozzan, Stefano Tavano, Chiara Bozzi, Selene Lerda, Pietro Geri, Marco Biolo, and et al. 2022. "Chronic Thromboembolic Pulmonary Hypertension: An Observational Study" Medicina 58, no. 8: 1094. https://doi.org/10.3390/medicina58081094
APA StyleRuaro, B., Confalonieri, P., Caforio, G., Baratella, E., Pozzan, R., Tavano, S., Bozzi, C., Lerda, S., Geri, P., Biolo, M., Cortale, M., Confalonieri, M., & Salton, F. (2022). Chronic Thromboembolic Pulmonary Hypertension: An Observational Study. Medicina, 58(8), 1094. https://doi.org/10.3390/medicina58081094

