Usefulness of Contrast-Enhanced CT in a Patient with Acute Phlegmonous Esophagitis: A Case Report and Literature Review
Abstract
1. Introduction
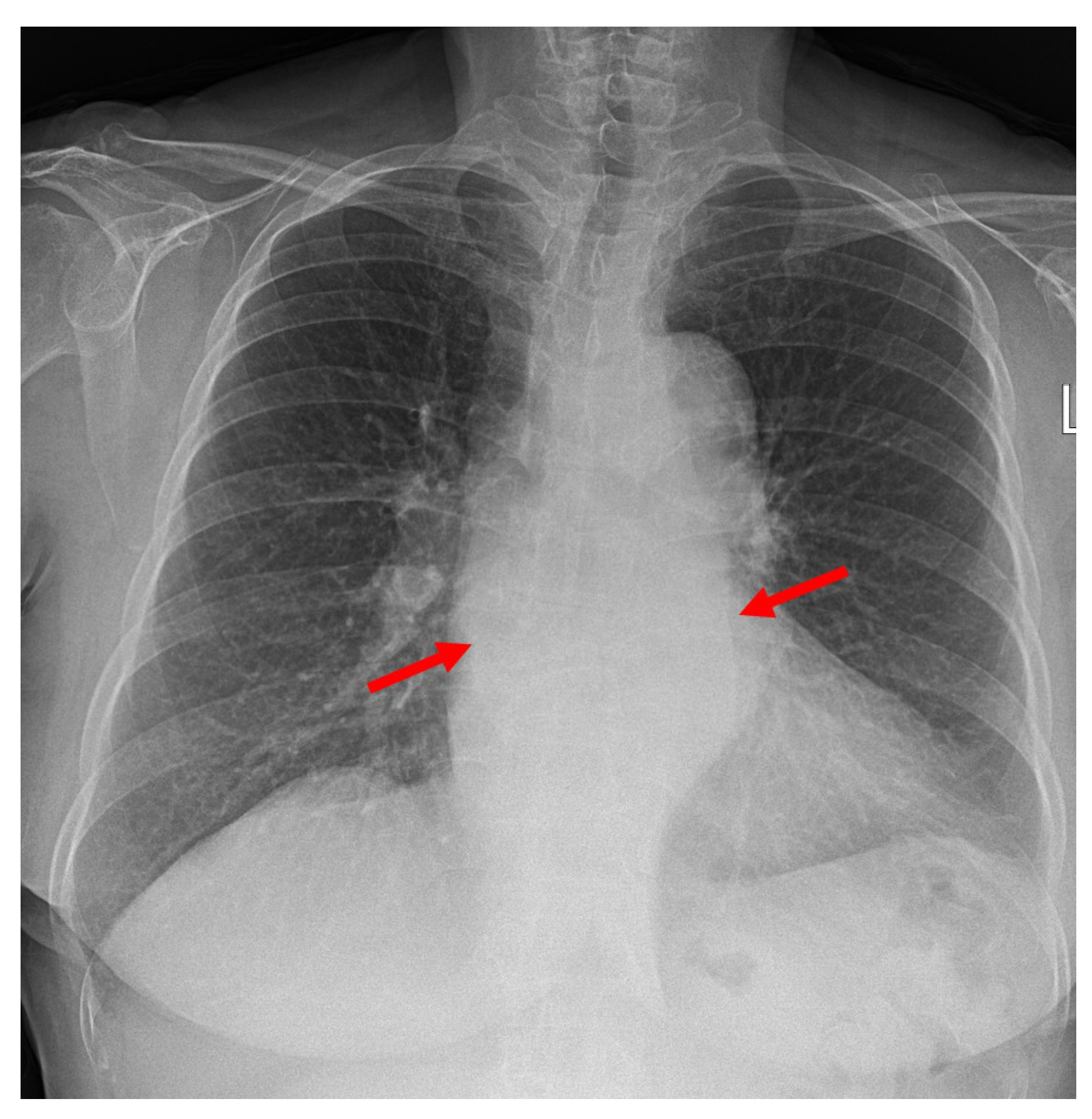
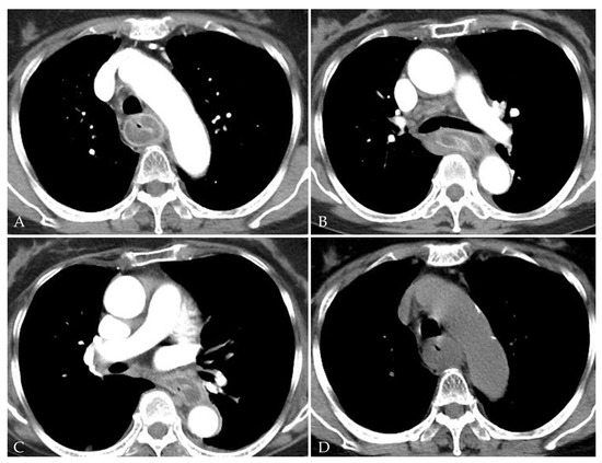
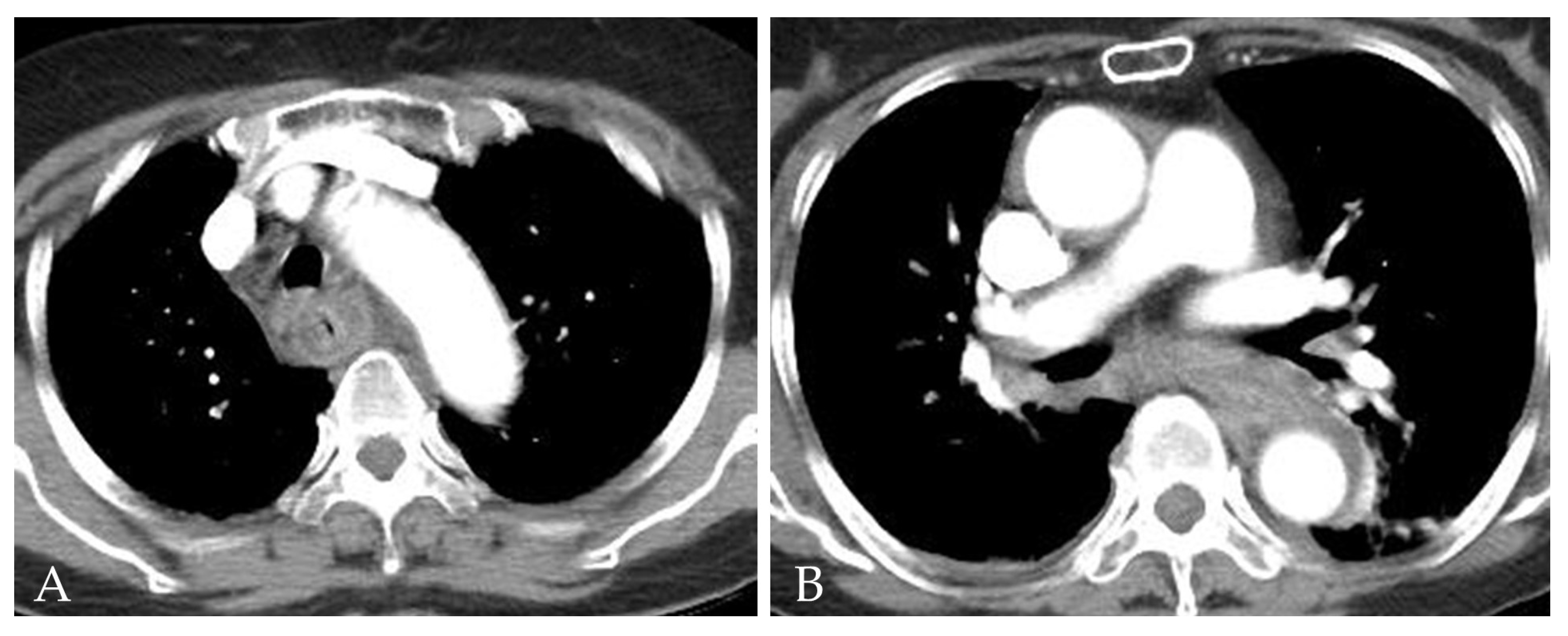
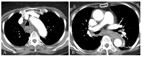
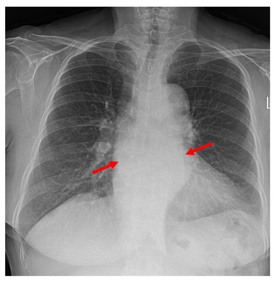
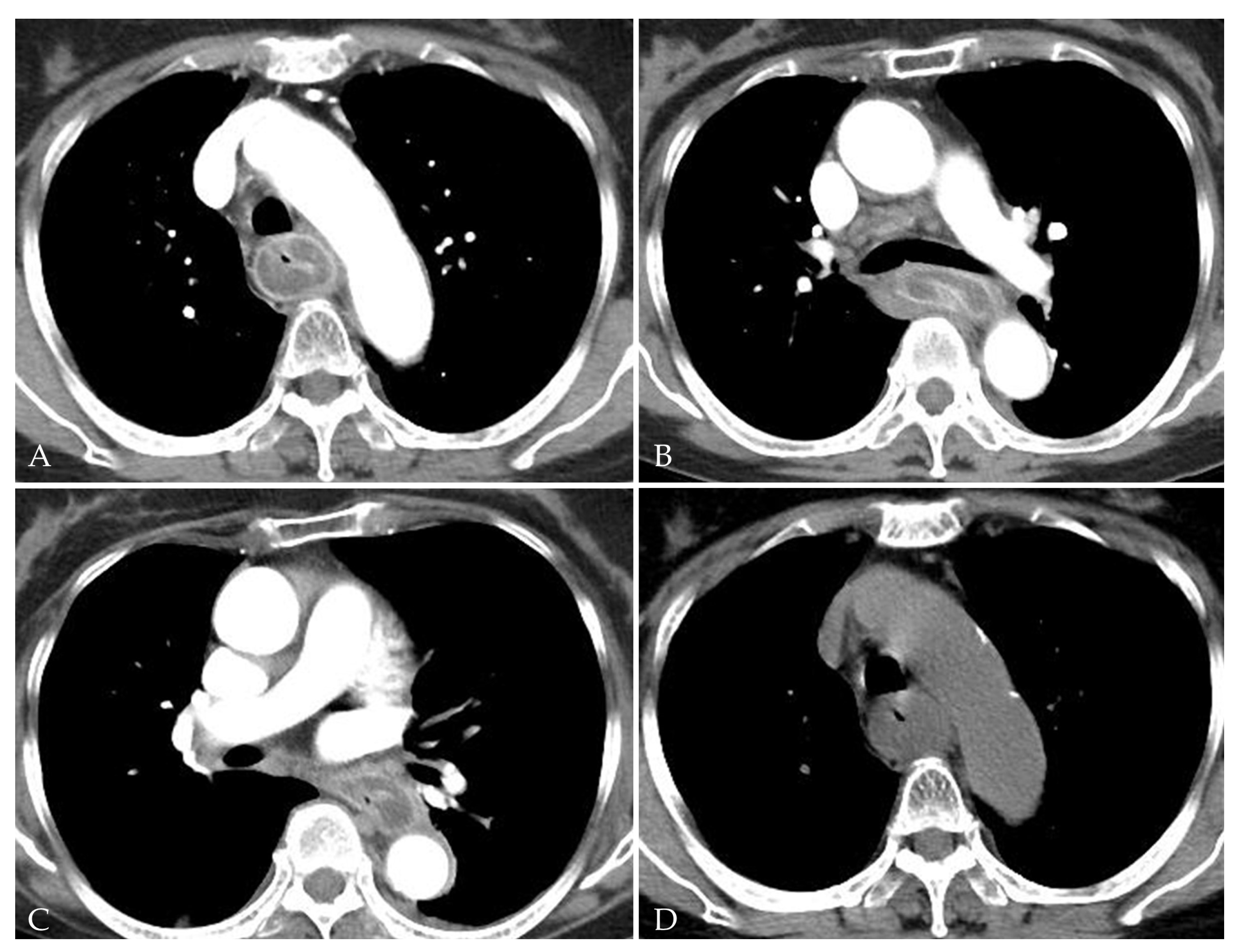
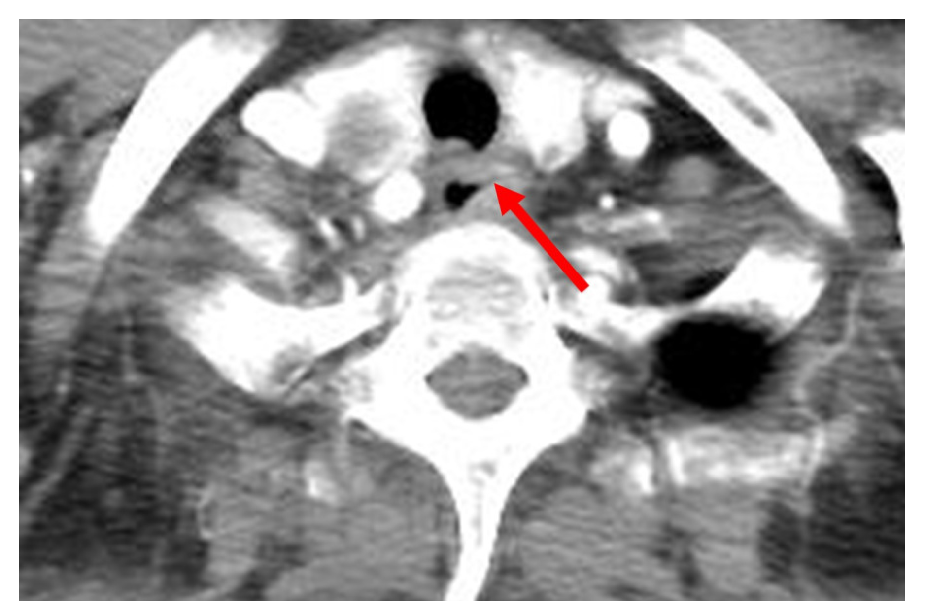
2. Detailed Case Description
3. Discussion
4. Conclusions
Author Contributions
Funding
Institutional Review Board Statement
Informed Consent Statement
Data Availability Statement
Conflicts of Interest
References
- Shin, H.S.; Kim, S.S.; Kim, J.H. Acute Phlegmonous Esophagitis with Mediastinitis Complicated by an Esophageal Perforation: A Case Report. J. Korean Soc. Radiol. 2018, 79, 45–49. [Google Scholar] [CrossRef]
- Kim, H.S.; Hwang, J.H.; Hong, S.S.; Chang, W.H.; Kim, H.J.; Chang, Y.W.; Kwon, K.H.; Choi, D.L. Acute diffuse phlegmonous esophagogastritis: A case report. J. Korean Med. Sci. 2010, 25, 1532–1535. [Google Scholar] [CrossRef] [PubMed]
- Huang, Y.C.; Cheng, C.Y.; Liao, C.Y.; Hsueh, C.; Tyan, Y.S.; Ho, S.Y. A Rare Case of Acute Phlegmonous Esophagogastritis Complicated with Hypopharyngeal Abscess and Esophageal Perforation. Am. J. Case Rep. 2017, 18, 125–130. [Google Scholar] [CrossRef] [PubMed]
- Woo, W.G.; Do, Y.W.; Lee, G.D.; Lee, S.S. Phlegmonous Esophagitis Treated with Internal Drainage and Feeding Jejunostomy. Korean J. Thorac. Cardiovasc. Surg. 2017, 50, 453–455. [Google Scholar] [CrossRef] [PubMed]
- Jung, C.; Choi, Y.W.; Jeon, S.C.; Chung, W.S. Acute Diffuse Phlegmonous Esophagogastritis: Radiologic Diagnosis. Am. J. Roentgenol. 2003, 180, 862–863. [Google Scholar] [CrossRef] [PubMed]
- Yun, C.H.; Cheng, S.M.; Sheu, C.I.; Huang, J.K. Acute phlegmonous esophagitis: An unusual case (2005: 8b). Eur. Radiol. 2005, 15, 2380–2381. [Google Scholar] [PubMed]
- Kim, G.Y.; Ward, J.; Henessey, B.; Peji, J.; Godell, C.; Desta, H.; Arlin, S.; Tzagournis, J.; Thomas, F. Phlegmonous gastritis: Case report and review. Gastrointest. Endosc. 2005, 61, 168–174. [Google Scholar] [CrossRef]
- Karimata, H.; Nishimaki, T.; Oshita, A.; Nagahama, M.; Shimoji, H.; Inamine, M.; Kinjyo, T. Acute phlegmonous esophagitis as a rare but threatening complication of chemoradiotherapy: Report of a case. Surg. Today 2014, 44, 1147–1151. [Google Scholar] [CrossRef] [PubMed][Green Version]
- Macpherson, R.I. Gastrointestinal tract duplications: Clinical, pathologic, etiologic, and radiologic considerations. Radiographics 1993, 13, 1063–1080. [Google Scholar] [CrossRef] [PubMed]
- Saha, A.K.; Kundu, A.K. Tubular duplication of the oesophagus presenting with dysphagia. Singap. Med. J. 2014, 55, e90–e92. [Google Scholar] [CrossRef] [PubMed]
- Young, C.A.; Menias, C.O.; Bhalla, S.; Prasad, S.R. CT Features of Esophageal Emergencies. Radiographics 2008, 28, 1541–1553. [Google Scholar] [CrossRef] [PubMed]
- Muhletaler, C.A.; Gerlock, A.J.; de Soto, L.; Halter, S.A. Acid corrosive esophagitis: Radiographic findings. Am. J. Roentgenol. 1980, 134, 1137–1140. [Google Scholar] [CrossRef] [PubMed]








Publisher’s Note: MDPI stays neutral with regard to jurisdictional claims in published maps and institutional affiliations. |
© 2022 by the authors. Licensee MDPI, Basel, Switzerland. This article is an open access article distributed under the terms and conditions of the Creative Commons Attribution (CC BY) license (https://creativecommons.org/licenses/by/4.0/).
Share and Cite
Yun, S.M.; Jeong, Y.J.; Hwang, M.; Lee, G.; Lee, J.W.; Kim, G.H.; Yeom, J.A. Usefulness of Contrast-Enhanced CT in a Patient with Acute Phlegmonous Esophagitis: A Case Report and Literature Review. Medicina 2022, 58, 864. https://doi.org/10.3390/medicina58070864
Yun SM, Jeong YJ, Hwang M, Lee G, Lee JW, Kim GH, Yeom JA. Usefulness of Contrast-Enhanced CT in a Patient with Acute Phlegmonous Esophagitis: A Case Report and Literature Review. Medicina. 2022; 58(7):864. https://doi.org/10.3390/medicina58070864
Chicago/Turabian StyleYun, Su Min, Yeon Joo Jeong, Minhee Hwang, Geewon Lee, Ji Won Lee, Gwang Ha Kim, and Jeong A Yeom. 2022. "Usefulness of Contrast-Enhanced CT in a Patient with Acute Phlegmonous Esophagitis: A Case Report and Literature Review" Medicina 58, no. 7: 864. https://doi.org/10.3390/medicina58070864
APA StyleYun, S. M., Jeong, Y. J., Hwang, M., Lee, G., Lee, J. W., Kim, G. H., & Yeom, J. A. (2022). Usefulness of Contrast-Enhanced CT in a Patient with Acute Phlegmonous Esophagitis: A Case Report and Literature Review. Medicina, 58(7), 864. https://doi.org/10.3390/medicina58070864

