Delayed Bronchial Obstruction following Esophageal Stent Implantation: A Case Report
Abstract
:1. Introduction
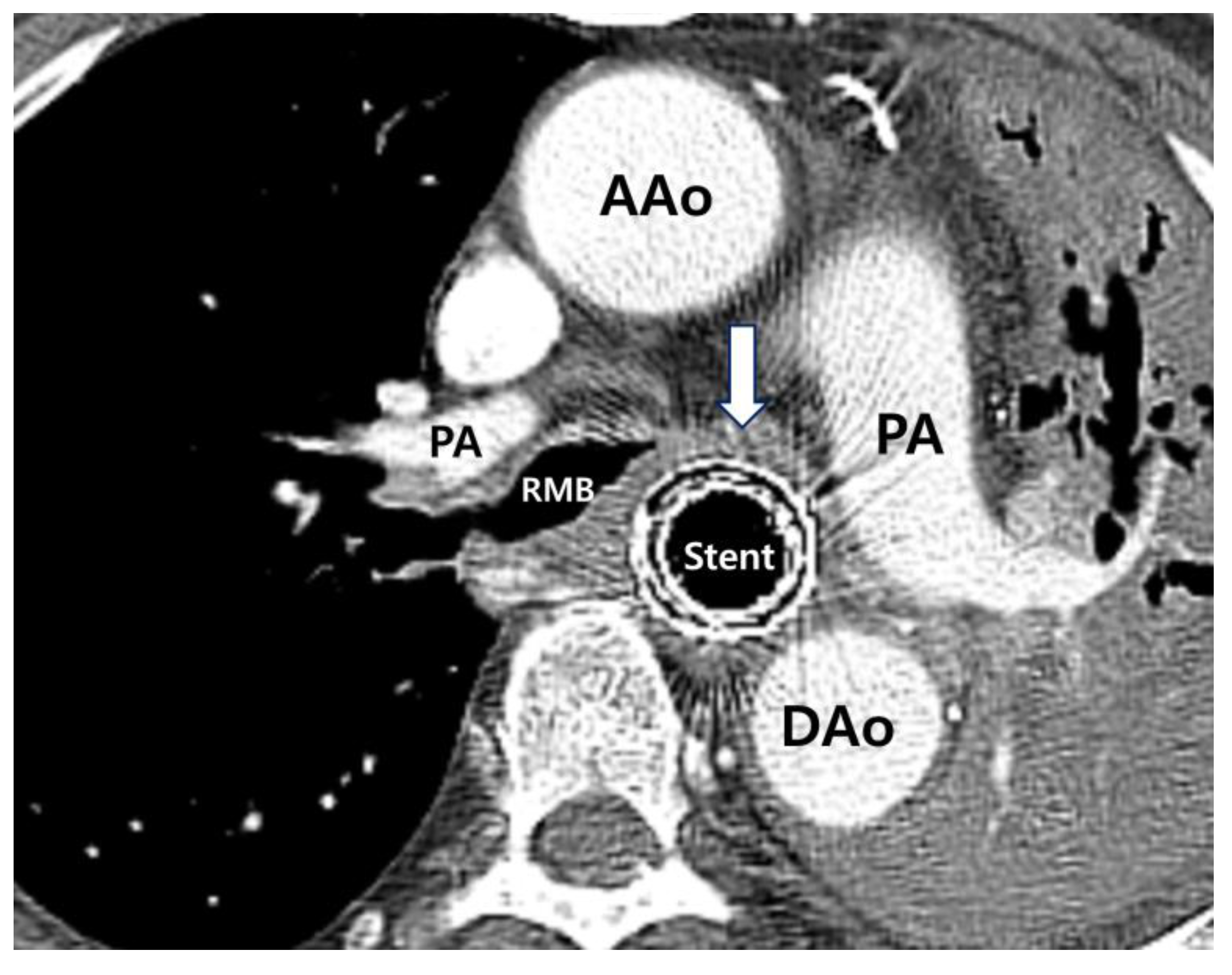
2. Case Report
3. Discussion
4. Conclusions
Author Contributions
Funding
Institutional Review Board Statement
Informed Consent Statement
Data Availability Statement
Conflicts of Interest
References
- Park, J.Y.; Shin, J.H.; Song, H.Y.; Yi, S.Y.; Kim, J.H. Airway complications after covered stent placement for malignant esophageal stricture: Special reference to radiation therapy. AJR Am. J. Roentgenol. 2012, 198, 453–459. [Google Scholar] [CrossRef] [PubMed]
- Yim, H.B. Self-expanding metallic stents and self-expanding plastic stents in the palliation of malignant oesophageal dysphagia. Ann. Palliat. Med. 2014, 3, 41–46. [Google Scholar] [CrossRef] [PubMed]
- Kujawski, K.; Stasiak, M.; Rysz, J. The evaluation of esophageal stenting complications in palliative treatment of dysphagia related to esophageal cancer. Med. Sci. Monit. 2012, 18, CR323–CR329. [Google Scholar] [CrossRef] [PubMed] [Green Version]
- Farivar, A.S.; Vallieres, E.; Kowdley, K.V.; Wood, D.E.; Mulligan, M.S. Airway obstruction complicating esophageal stent placement in two post-pneumonectomy patients. Ann. Thorac. Surg. 2004, 78, e22–e23. [Google Scholar] [CrossRef] [PubMed]
- Dasgupta, A.; Jain, P.; Sandur, S.; Dolmatch, B.L.; Geisinger, M.A.; Mehta, A.C. Airway complications of esophageal self-expandable metallic stent. Gastrointest. Endosc. 1998, 47, 532–535. [Google Scholar] [CrossRef]
- Schaer, J.; Katon, R.M.; Ivancev, K.; Uchida, B.; Rosch, J.; Binmoeller, K. Treatment of malignant esophageal obstruction with silicone-coated metallic self-expanding stents. Gastrointest. Endosc. 1992, 38, 7–11. [Google Scholar] [CrossRef]
- Knyrim, K.; Wagner, H.J.; Bethge, N.; Keymling, M.; Vakil, N. A controlled trial of an expansile metal stent for palliation of esophageal obstruction due to inoperable cancer. N. Engl. J. Med. 1993, 329, 1302–1307. [Google Scholar] [CrossRef] [PubMed]
- Mosca, F.; Consoli, A.; Stracqualursi, A.; Persi, A.; Portale, T.R. Comparative retrospective study on the use of plastic prostheses and self-expanding metal stents in the palliative treatment of malignant strictures of the esophagus and cardia. Dis. Esophagus 2003, 16, 119–125. [Google Scholar] [CrossRef] [PubMed]
- Hindy, P.; Hong, J.; Lam-Tsai, Y.; Gress, F. A comprehensive review of esophageal stents. Gastroenterol. Hepatol. 2012, 8, 526–534. [Google Scholar]
- Kim, K.Y.; Tsauo, J.; Song, H.Y.; Kim, P.H.; Park, J.H. Self-Expandable Metallic Stent Placement for the Palliation of Esophageal Cancer. J. Korean Med. Sci. 2017, 32, 1062–1071. [Google Scholar] [CrossRef] [PubMed]
- Oida, T.; Mimatsu, K.; Kano, H.; Kawasaki, A.; Kuboi, Y.; Fukino, N.; Kida, K.; Amano, S. Double stents: Airway stenting after esophageal-stent implantation for esophageal cancer. Hepatogastroenterology 2011, 58, 1985–1988. [Google Scholar] [CrossRef] [PubMed]
- Paganin, F.; Schouler, L.; Cuissard, L.; Noel, J.B.; Becquart, J.P.; Besnard, M.; Verdier, L.; Rousseau, D.; Arvin-Berod, C.; Bourdin, A. Airway and esophageal stenting in patients with advanced esophageal cancer and pulmonary involvement. PLoS ONE 2008, 3, e3101. [Google Scholar] [CrossRef] [PubMed]
- Libby, E.D.; Fawaz, R.; Leano, A.M.; Hassoun, P.M. Airway complication of expandable stents. Gastrointest. Endosc. 1999, 49, 136–137. [Google Scholar] [CrossRef]
- Sihoe, A.D.; Wan, I.Y.; Yim, A.P. Airway stenting for unresectable esophageal cancer. Surg. Oncol. 2004, 13, 17–25. [Google Scholar] [CrossRef] [PubMed]
- Kato, H.; Tachimori, Y.; Watanabe, H.; Yamaguchi, H.; Ishikawa, T.; Kagami, Y. Thoracic esophageal carcinoma above the carina: A more formidable adversary? J. Surg. Oncol. 1997, 65, 28–33. [Google Scholar] [CrossRef]
- Baron, T.H. Minimizing endoscopic complications: Endoluminal stents. Gastrointest. Endosc. Clin. N. Am. 2007, 17, 83–104. [Google Scholar] [CrossRef] [PubMed]




Publisher’s Note: MDPI stays neutral with regard to jurisdictional claims in published maps and institutional affiliations. |
© 2022 by the authors. Licensee MDPI, Basel, Switzerland. This article is an open access article distributed under the terms and conditions of the Creative Commons Attribution (CC BY) license (https://creativecommons.org/licenses/by/4.0/).
Share and Cite
Kim, S.H.; Choi, H.S.; Keum, B. Delayed Bronchial Obstruction following Esophageal Stent Implantation: A Case Report. Medicina 2022, 58, 231. https://doi.org/10.3390/medicina58020231
Kim SH, Choi HS, Keum B. Delayed Bronchial Obstruction following Esophageal Stent Implantation: A Case Report. Medicina. 2022; 58(2):231. https://doi.org/10.3390/medicina58020231
Chicago/Turabian StyleKim, Sang Hyun, Hyuk Soon Choi, and Bora Keum. 2022. "Delayed Bronchial Obstruction following Esophageal Stent Implantation: A Case Report" Medicina 58, no. 2: 231. https://doi.org/10.3390/medicina58020231
APA StyleKim, S. H., Choi, H. S., & Keum, B. (2022). Delayed Bronchial Obstruction following Esophageal Stent Implantation: A Case Report. Medicina, 58(2), 231. https://doi.org/10.3390/medicina58020231

