Spontaneous Hematomas and Deep Vein Thrombosis during the Recovery from a SARS-CoV-2 Infection: Case Report and Literature Review
Abstract
:1. Introduction
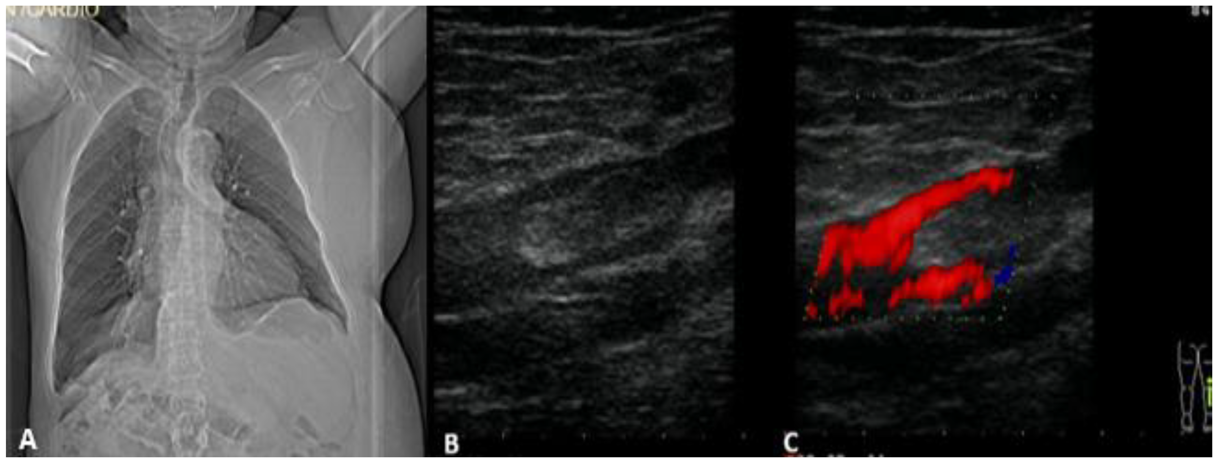
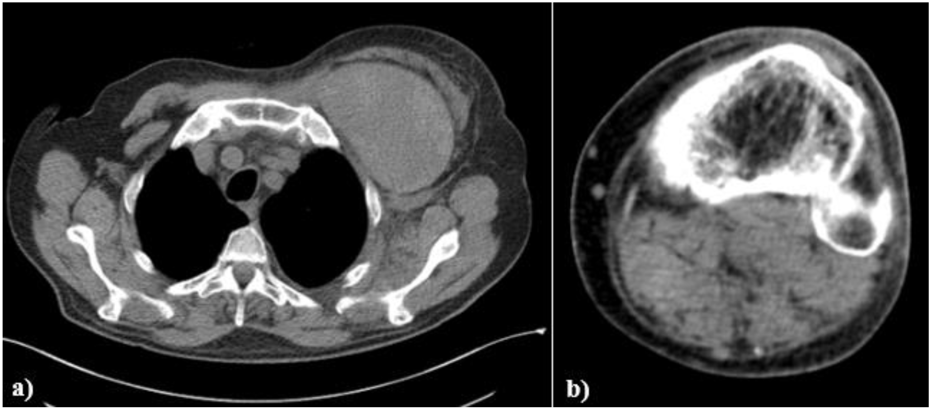
2. Case Presentation
3. Discussion
4. Conclusions
Author Contributions
Funding
Institutional Review Board Statement
Informed Consent Statement
Data Availability Statement
Conflicts of Interest
References
- Bikdeli, B.; Madhavan, M.V.; Jimenez, D.; Chuich, T.; Dreyfus, I.; Driggin, E.; Nigoghossian, C.D.; Ageno, W.; Madjid, M.; Guo, Y.; et al. COVID-19 and Thrombotic or Thromboembolic Disease: Implications for Prevention, Antithrombotic Therapy, and Follow-Up: JACC State-of-the-Art Review. J. Am. Coll. Cardiol. 2020, 75, 2950–2973. [Google Scholar] [CrossRef] [PubMed]
- Klok, F.A.; Kruip, M.J.H.A.; van der Meer, N.J.M.; Arbous, M.S.; Gommers, D.A.M.P.J.; Kant, K.M.; Kaptein, F.H.J.; van Paassen, J.; Stals, M.A.M.; Huisman, M.V.; et al. Incidence of thrombotic complications in critically ill ICU patients with COVID-19. Thromb. Res. 2020, 191, 145–147. [Google Scholar] [CrossRef] [PubMed]
- Al-Samkari, H.; Leaf, R.S.K.; Dzik, W.H.; Carlson, J.C.T.; Fogerty, A.E.; Waheed, A.; Goodarzi, K.; Bendapudi, P.K.; Bornikova, L.; Gupta, S.; et al. COVID-19 and coagulation: Bleeding and thrombotic manifestations of SARS-CoV-2 infection. Blood 2020, 136, 489–500. [Google Scholar] [CrossRef] [PubMed]
- Cui, S.; Chen, S.; Li, X.; Liu, S.; Wang, F. Prevalence of venous thromboembolism in patients with severe novel coronavirus pneumonia. J. Thromb. Haemost. 2020, 18, 1421–1424. [Google Scholar] [CrossRef]
- Miesbach, W.; Makris, M. COVID-19: Coagulopathy, Risk of Thrombosis, and the Rationale for Anticoagulation. Clin. Appl. Thromb. 2020, 26, 1076029620938149. [Google Scholar] [CrossRef] [PubMed]
- Peyvandi, F.; Artoni, A.; Novembrino, C.; Aliberti, S.; Panigada, M.; Boscarino, M.; Gualtierotti, R.; Rossi, F.; Palla, R.; Martinelli, I.; et al. Hemostatic alterations in COVID-19. Haematologica 2020, 106, 1472–1475. [Google Scholar] [CrossRef]
- Patel, I.; Akoluk, A.; Douedi, S.; Upadhyaya, V.; Mazahir, U.; Costanzo, E.; Flynn, D. Life-Threatening Psoas Hematoma due to Retroperitoneal Hemorrhage in a COVID-19 Patient on Enoxaparin Treated with Arterial Embolization: A Case Report. J. Clin. Med. Res. 2020, 12, 458–461. [Google Scholar] [CrossRef]
- Dorgalaleh, A. Bleeding and Bleeding Risk in COVID-19. Semin. Thromb. Hemost. 2020, 46, 815–818. [Google Scholar] [CrossRef]
- Liu, H.; Wang, Z.; Sun, H.; Teng, T.; Li, Y.; Zhou, X.; Yang, Q. Thrombosis and Coagulopathy in COVID-19: Current Understanding and Implications for Antithrombotic Treatment in Patients Treated with Percutaneous Coronary Intervention. Front. Cardiovasc. Med. 2021, 7, 599334. [Google Scholar] [CrossRef]
- Franchini, M.; Marano, G.; Cruciani, M.; Mengoli, C.; Pati, I.; Masiello, F.; Veropalumbo, E.; Pupella, S.; Vaglio, S.; Liumbruno, G.M. COVID-19-associated coagulopathy. Diagnosis 2020, 7, 357–363. [Google Scholar] [CrossRef] [PubMed]
- Marietta, M.; Ageno, W.; Artoni, A.; De Candia, E.; Gresele, P.; Marchetti, M.; Marcucci, R.; Tripodi, A. COVID-19 and haemostasis: A position paper from Italian Society on Thrombosis and Haemostasis, SISET. Blood Transfus. 2020, 18, 167. [Google Scholar] [PubMed]
- Shah, M.; Colombo, J.P.; Chandna, S.; Rana, H. Life-Threatening Retroperitoneal Hematoma in a Patient with COVID-19. Case Rep. Hematol. 2021, 2021, 8774010. [Google Scholar] [CrossRef] [PubMed]
- Boira, I.; Esteban, V.; Vañes, S.; Castelló, C.; Celis, C.; Chiner, E. Major Bleeding Complications in COVID-19 Patients. Cureus 2021, 13, 16816. [Google Scholar] [CrossRef]
- Ohn, M.H.; Ng, J.R.; Ohn, K.M.; Luen, N.P. Double-edged sword effect of anticoagulant in COVID-19 infection. BMJ Case Rep. 2021, 14, e241955. [Google Scholar] [CrossRef] [PubMed]
- Atallah, B.; Sadik, Z.G.; Salem, N.; El Nekidy, W.S.; Almahmeed, W.; Park, W.M.; Cherfan, A.; Hamed, F.; Mallat, J. The impact of protocol-based high-intensity pharmacological thromboprophylaxis on thrombotic events in critically ill COVID-19 patients. Anaesthesia 2021, 76, 327–335. [Google Scholar] [CrossRef] [PubMed]
- Abate, V.; Casoria, A.; Rendina, D.; Muscariello, R.; Nuzzo, V.; Vargas, M.; Servillo, G.; Venetucci, P.; Conca, P.; Tufano, A.; et al. Spontaneous Muscle Hematoma in Patients with COVID-19: A Systematic Literature Review with Description of an Additional Case Series. Semin. Thromb. Hemost. 2022, 48, 100–108. [Google Scholar] [CrossRef]
- Taleja, H.; Nair, V.V.; Yadav, S.; Venkatnarayanan, R.; Roy, N.; Rao, P. Spontaneous Hematomas in COVID-19 Patients on Low-Molecular-Weight Heparin. Dubai Med. J. 2021, 4, 285–290. [Google Scholar] [CrossRef]
- Mazzolai, L.; Aboyans, V.; Ageno, W.; Agnelli, G.; Alatri, A.; Bauersachs, R.; Brekelmans, M.P.; Büller, H.R.; Elias, A.; Farge, D.; et al. Diagnosis and management of acute deep vein thrombosis: A joint consensus document from the European Society of Cardiology working groups of aorta and peripheral vascular diseases and pulmonary circulation and right ventricular function. Eur. Hear. J. 2018, 39, 4208–4218. [Google Scholar] [CrossRef] [Green Version]
- Nopp, S.; Moik, F.; Jilma, B.; Pabinger, I.; Ay, C. Risk of venous thromboembolism in patients with COVID-19: A systematic review and meta-analysis. Res. Pract. Thromb. Haemost. 2020, 4, 1178–1191. [Google Scholar] [CrossRef]
- Ahmed, S.; Zimba, O.; Gasparyan, A.Y. Thrombosis in Coronavirus disease 2019 (COVID-19) through the prism of Virchow’s triad. Clin. Rheumatol. 2020, 39, 2529–2543. [Google Scholar] [CrossRef]
- Chen, J.; Wang, X.; Zhang, S.; Lin, B.; Wu, X.; Wang, Y.; Wang, X.; Yang, M.; Sun, J.; Xie, Y. Characteristics of Acute Pulmonary Embolism in Patients with COVID-19 Associated Pneumonia from the City of Wuhan. Clin. Appl. Thromb. 2020, 26, 1076029620936772. [Google Scholar] [CrossRef] [PubMed]
- Fernandes, D.A.; Yumioka, A.S.; de Menezes Filho, H.R. COVID-19 and venous thromboembolism: Part of a multisystem disease. Rev. Española De Enferm. Dig. 2021, 113, 390. [Google Scholar] [CrossRef]
- Wang, L.; Zhao, L.; Li, F.; Liu, J.; Zhang, L.; Li, Q.; Gu, J.; Liang, S.; Zhao, Q.; Liu, J.; et al. Risk assessment of venous thromboembolism and bleeding in COVID-19 patients. Clin. Respir. J. 2022. [Google Scholar] [CrossRef]
- Zhang, Y.; Xiao, M.; Zhang, S.; Xia, P.; Cao, W.; Jiang, W.; Chen, H.; Ding, X.; Zhao, H.; Zhang, H.; et al. Coagulopathy and Antiphospholipid Antibodies in Patients with Covid-19. N. Engl. J. Med. 2020, 382, e38. [Google Scholar] [CrossRef]
- The Lancet Haematology. COVID-19 coagulopathy: An evolving story. Lancet Haematol. 2020, 7, e425. [Google Scholar] [CrossRef]
- Benfaremo, D.; Fustini, E.; Gennarini, S.; Mattioli, M. Atypical Spontaneous Hematomas in a Patient with Severe Coronavirus Disease 2019 (COVID-19). Semin. Thromb. Hemost. 2020, 46, 856–858. [Google Scholar] [CrossRef]
- Benazzi, D.; Antonicelli, V.; Presciuttini, B.; Foroni, E.; Bellini, M.; Smurra, A.; Bianco, C.; Amato, M. Covid-19 and Hemorrhagic Complications: Pectoral Hematoma. Ital J Emerg Med 2021, 10, 6–10. [Google Scholar] [CrossRef]
- Rogani, S.; Calsolaro, V.; Franchi, R.; Calabrese, A.M.; Okoye, C.; Monzani, F. Spontaneous muscle hematoma in older patients with COVID-19: Two case reports and literature review. BMC Geriatr. 2020, 20, 539. [Google Scholar] [CrossRef]
- Josan, E.; Al-Shathir, M.; McSharry, R. Enoxaparin-Induced Massive Abdominal Wall Hematoma Presenting in Hypovolemic Shock. Am. J. Ther. 2018, 25, e682–e683. [Google Scholar] [CrossRef]
- Pattanshetti, V.M.; Pattanshetti, S.V.; Abhishek, M. Spontaneous retroperitoneal hematoma with deep venous thrombosis of left lower limb managed conservatively. J. Sci. Soc. 2015, 42, 116. [Google Scholar] [CrossRef]
- Chung, K.T. Intra-Abdominal Hematoma Following Enoxaparin Injection. Clin. Med. Insights Case Rep. 2016, 9, 35–38. [Google Scholar] [CrossRef] [PubMed] [Green Version]



Publisher’s Note: MDPI stays neutral with regard to jurisdictional claims in published maps and institutional affiliations. |
© 2022 by the authors. Licensee MDPI, Basel, Switzerland. This article is an open access article distributed under the terms and conditions of the Creative Commons Attribution (CC BY) license (https://creativecommons.org/licenses/by/4.0/).
Share and Cite
Tudoran, C.; Tudoran, M.; Abu-Awwad, A.; Cut, T.G.; Voiță-Mekereș, F. Spontaneous Hematomas and Deep Vein Thrombosis during the Recovery from a SARS-CoV-2 Infection: Case Report and Literature Review. Medicina 2022, 58, 230. https://doi.org/10.3390/medicina58020230
Tudoran C, Tudoran M, Abu-Awwad A, Cut TG, Voiță-Mekereș F. Spontaneous Hematomas and Deep Vein Thrombosis during the Recovery from a SARS-CoV-2 Infection: Case Report and Literature Review. Medicina. 2022; 58(2):230. https://doi.org/10.3390/medicina58020230
Chicago/Turabian StyleTudoran, Cristina, Mariana Tudoran, Ahmed Abu-Awwad, Talida Georgiana Cut, and Florica Voiță-Mekereș. 2022. "Spontaneous Hematomas and Deep Vein Thrombosis during the Recovery from a SARS-CoV-2 Infection: Case Report and Literature Review" Medicina 58, no. 2: 230. https://doi.org/10.3390/medicina58020230
APA StyleTudoran, C., Tudoran, M., Abu-Awwad, A., Cut, T. G., & Voiță-Mekereș, F. (2022). Spontaneous Hematomas and Deep Vein Thrombosis during the Recovery from a SARS-CoV-2 Infection: Case Report and Literature Review. Medicina, 58(2), 230. https://doi.org/10.3390/medicina58020230

