Primary Squamous Cell Carcinoma of the Liver with Good Response to Carboplatin and 5-Flurouracil: A Case Report
Abstract
1. Introduction
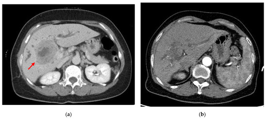
2. Case Presentation
3. Discussion
4. Conclusions
Author Contributions
Funding
Institutional Review Board Statement
Informed Consent Statement
Data Availability Statement
Acknowledgments
Conflicts of Interest
References
- Zhang, X.F.; Du, Z.Q.; Liu, X.M.; Lv, Y. Primary Squamous Cell Carcinoma of Liver: Case Series and Review of Literatures. Medicine 2015, 94, e868. [Google Scholar] [CrossRef]
- Zhu, K.L.; Li, D.Y.; Jiang, C.B. Primary squamous cell carcinoma of the liver associated with hepatolithiasis: A case report. World J. Gastroenterol. 2012, 18, 5830–5832. [Google Scholar] [CrossRef] [PubMed]
- Xiao, J.; Ma, L.; Li, J.; Yin, B.; Liang, J.; Wang, J. Primary Squamous Cell Carcinoma of the Liver is Rare but Hostile: Case Series and Comprehensive Review of the Literature. Cancer Manag. Res. 2021, 13, 829–837. [Google Scholar] [CrossRef] [PubMed]
- Choi, M.K.; Kim, G.H.; Song, G.A.; Nam, H.S.; Yi, Y.S.; Ahn, K.H.; Kim, S.; Kim, J.Y.; Park, D.Y. Primary squamous cell carcinoma of the liver initially presenting with pseudoachalasia. Gut Liver 2012, 6, 275–279. [Google Scholar] [CrossRef] [PubMed]
- Kaji, R.; Sasaki, N.; Tateishi, I.; Nagata, E.; Okabe, Y.; Yoshida, T.; Sata, M.; Ueno, T. A case report of primary hepatic squamous cell carcinoma that remarkably responded to low dose arterial injection of anti-cancer drugs. Kurume Med. J. 2003, 50, 71–75. [Google Scholar] [CrossRef] [PubMed]
- Sun, Y.; Jin, G. Primary squamous cell carcinoma of the liver: A case report. J. Int. Med. Res. 2021, 49, 3000605211021275. [Google Scholar] [CrossRef] [PubMed]
- Tamaoka, K.; Tanemura, M.; Furukawa, K.; Mikamori, M.; Saito, T.; Ohtsuka, M.; Suzuki, Y.; Tei, M.; Kishi, K.; Yasuoka, H.; et al. Primary Intrahepatic Squamous Cell Carcinoma with Histological Collision of Adenocarcinoma and Squamous Cell Carcinoma: A Case Report. Am. J. Case Rep. 2018, 19, 1184–1191. [Google Scholar] [CrossRef] [PubMed]
- Lee, H.L.; Liu, Y.Y.; Yeh, C.N.; Chiang, K.C.; Chen, T.C.; Jan, Y.Y. Primary squamous cell carcinoma of the liver: A successful surgically treated case. World J. Gastroenterol. 2006, 12, 5419–5421. [Google Scholar] [CrossRef] [PubMed]
- Naik, S.; Waris, W.; Carmosino, L.; Mehrishi, A.; Saif, M.W. Primary squamous cell carcinoma of the liver. J. Gastrointestin. Liver Dis. 2009, 18, 487–489. [Google Scholar] [PubMed]
- Yoo, T.K.; Kim, B.I.; Han, E.N.; Kim, D.H.; Yoo, J.H.; Lee, S.J.; Cho, Y.K.; Kim, H.J. Primary squamous cell carcinoma of the liver: A case report. Clin. Mol. Hepatol. 2016, 22, 177–182. [Google Scholar] [CrossRef] [PubMed]
- Boscolo, G.; Jirillo, A.; Da Pian, P. Complete Remission of Poorly Differentiated Squamous Liver Carcinoma after Systemic Chemotherapy and Surgery a Case Report. Tumori J. 2019, 91, 71–72. [Google Scholar] [CrossRef] [PubMed]
- Iimuro, Y.; Asano, Y.; Suzumura, K.; Yada, A.; Hirano, T.; Iijima, H.; Nishiguchi, S.; Hirota, S.; Fujimoto, J. Primary squamous cell carcinoma of the liver: An uncommon finding in contrast-enhanced ultrasonography imaging. Case Rep. Gastroenterol. 2011, 5, 628–635. [Google Scholar] [CrossRef] [PubMed]
- Wang, K.; Lu, C.; Sun, J.N.; Wang, C.N.; Gao, G.; Hu, Y.K.; Zhang, H.Z.; Zhang, D.; Wu, S.D. Primary Hepatic Squamous Cell Carcinoma With High Microsatellite Instability Shows Good Response to Programmed Cell Death 1 Inhibitor as Adjuvant Therapy. Hepatology 2021, 74, 1695–1697. [Google Scholar] [CrossRef] [PubMed]




Publisher’s Note: MDPI stays neutral with regard to jurisdictional claims in published maps and institutional affiliations. |
© 2022 by the authors. Licensee MDPI, Basel, Switzerland. This article is an open access article distributed under the terms and conditions of the Creative Commons Attribution (CC BY) license (https://creativecommons.org/licenses/by/4.0/).
Share and Cite
Lee, H.-L.; Fu, C.-K.; Chien, L.-Y.; Chen, L.-M. Primary Squamous Cell Carcinoma of the Liver with Good Response to Carboplatin and 5-Flurouracil: A Case Report. Medicina 2022, 58, 1864. https://doi.org/10.3390/medicina58121864
Lee H-L, Fu C-K, Chien L-Y, Chen L-M. Primary Squamous Cell Carcinoma of the Liver with Good Response to Carboplatin and 5-Flurouracil: A Case Report. Medicina. 2022; 58(12):1864. https://doi.org/10.3390/medicina58121864
Chicago/Turabian StyleLee, Hsu-Lin, Chun-Kai Fu, Liang-Yu Chien, and Li-Mien Chen. 2022. "Primary Squamous Cell Carcinoma of the Liver with Good Response to Carboplatin and 5-Flurouracil: A Case Report" Medicina 58, no. 12: 1864. https://doi.org/10.3390/medicina58121864
APA StyleLee, H.-L., Fu, C.-K., Chien, L.-Y., & Chen, L.-M. (2022). Primary Squamous Cell Carcinoma of the Liver with Good Response to Carboplatin and 5-Flurouracil: A Case Report. Medicina, 58(12), 1864. https://doi.org/10.3390/medicina58121864

