Successful Phakic Intraocular Lens Implantation with the Usage of Topical Ascorbic Acid in Patient with Reduced Corneal Endothelial Cell Density
Abstract
1. Introduction
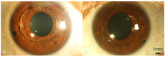
2. Case Presentation
3. Discussion
Author Contributions
Funding
Institutional Review Board Statement
Informed Consent Statement
Data Availability Statement
Conflicts of Interest
References
- Huang, D.; Schallhorn, S.C.; Sugar, A.; Farjo, A.A.; Majmudar, P.A.; Trattler, W.B.; Tanzer, D.J. Phakic intraocular lens implantation for the correction of myopia: A report by the american academy of ophthalmology. Ophthalmology 2009, 116, 2244–2258. [Google Scholar] [CrossRef]
- Alfonso, J.F.; Baamonde, B.; Belda-Salmeron, L.; Montes-Mico, R.; Fernandez-Vega, L. Collagen copolymer posterior chamber phakic intraocular lens for hyperopia correction: Three-year follow-up. J. Cataract Refract. Surg. 2013, 39, 1519–1527. [Google Scholar] [CrossRef]
- de Vries, N.E.; Tahzib, N.G.; Budo, C.J.; Webers, C.A.; de Boer, R.; Hendrikse, F.; Nuijts, R.M. Results of cataract surgery after implantation of an iris-fixated phakic intraocular lens. J. Cataract Refract. Surg. 2009, 35, 121–126. [Google Scholar] [CrossRef]
- Kim, M.; Kim, J.K.; Lee, H.K. Corneal endothelial decompensation after iris-claw phakic intraocular lens implantation. J. Cataract Refract. Surg. 2008, 34, 517–519. [Google Scholar] [CrossRef]
- Hsu, M.; Jorgensen, A.J.; Moshirfar, M.; Mifflin, M.D. Management and outcomes of descemet stripping automated endothelial keratoplasty with intraocular lens exchange, aphakia, and anterior chamber intraocular lens. Cornea 2013, 32, e64–e68. [Google Scholar] [CrossRef]
- Tsui, J.Y.; Goins, K.M.; Sutphin, J.E.; Wagoner, M.D. Phakic descemet stripping automated endothelial keratoplasty: Prevalence and prognostic impact of postoperative cataracts. Cornea 2011, 30, 291–295. [Google Scholar] [CrossRef]
- Brodovsky, S.C.; McCarty, C.A.; Snibson, G.; Loughnan, M.; Sullivan, L.; Daniell, M.; Taylor, H.R. Management of alkali burns: An 11-year retrospective review. Ophthalmology 2000, 107, 1829–1835. [Google Scholar] [CrossRef]
- Davis, A.R.; Ali, Q.K.; Aclimandos, W.A.; Hunter, P.A. Topical steroid use in the treatment of ocular alkali burns. Br. J. Ophthalmol. 1997, 81, 732–734. [Google Scholar] [CrossRef]
- Nemet, A.Y.; Assia, E.I.; Meyerstein, D.; Meyerstein, N.; Gedanken, A.; Topaz, M. Protective effect of free-radical scavengers on corneal endothelial damage in phacoemulsification. J. Cataract Refract. Surg. 2007, 33, 310–315. [Google Scholar] [CrossRef]
- Lee, C.Y.; Chen, H.T.; Hsueh, Y.J.; Chen, H.C.; Huang, C.C.; Meir, Y.J.; Cheng, C.M.; Wu, W.C. Perioperative topical ascorbic acid for the prevention of phacoemulsification-related corneal endothelial damage: Two case reports and review of literature. World J. Clin. Cases 2019, 7, 642–649. [Google Scholar] [CrossRef]
- Shima, N.; Kimoto, M.; Yamaguchi, M.; Yamagami, S. Increased proliferation and replicative lifespan of isolated human corneal endothelial cells with l-ascorbic acid 2-phosphate. Investig. Ophthalmol. Vis. Sci. 2011, 52, 8711–8717. [Google Scholar] [CrossRef]
- Hsiao, F.C.; Chen, H.T.; Chen, K.J.; Hsueh, Y.J.; Meir, Y.J.; Lu, T.T.; Cheng, C.M.; Wu, W.C.; Chen, H.C. Accelerated corneal endothelial cell loss in two patients with granulomatosis with polyangiitis following phacoemulsification. BMC Ophthalmol. 2020, 20, 480. [Google Scholar] [CrossRef]
- Bartlett, H.; Eperjesi, F. An ideal ocular nutritional supplement? Ophthalmic. Physiol. Opt. 2004, 24, 339–349. [Google Scholar] [CrossRef]
- Sorice, A.; Guerriero, E.; Capone, F.; Colonna, G.; Castello, G.; Costantini, S. Ascorbic acid: Its role in immune system and chronic inflammation diseases. Mini Rev. Med. Chem. 2014, 14, 444–452. [Google Scholar] [CrossRef]
- Fowler, A.A., 3rd; Syed, A.A.; Knowlson, S.; Sculthorpe, R.; Farthing, D.; DeWilde, C.; Farthing, C.A.; Larus, T.L.; Martin, E.; Brophy, D.F.; et al. Phase i safety trial of intravenous ascorbic acid in patients with severe sepsis. J. Transl. Med. 2014, 12, 32. [Google Scholar] [CrossRef]
- Bazzan, A.J.; Zabrecky, G.; Wintering, N.; Newberg, A.B.; Monti, D.A. Retrospective evaluation of clinical experience with intravenous ascorbic acid in patients with cancer. Integr. Cancer Ther. 2018, 17, 912–920. [Google Scholar] [CrossRef]
- Jalal, D.; Koorosh, F.; Fereidoun, H. Comparative study of plasma ascorbic acid levels in senile cataract patients and in normal individuals. Curr. Eye Res. 2009, 34, 118–122. [Google Scholar] [CrossRef]
- May, J.M. Ascorbic acid repletion: A possible therapy for diabetic macular edema? Free Radic. Biol. Med. 2016, 94, 47–54. [Google Scholar] [CrossRef]
- Schmidl, D.; Garhofer, G.; Schmetterer, L. Nutritional supplements in age-related macular degeneration. Acta Ophthalmol. 2015, 93, 105–121. [Google Scholar] [CrossRef]
- Rubowitz, A.; Assia, E.I.; Rosner, M.; Topaz, M. Antioxidant protection against corneal damage by free radicals during phacoemulsification. Investig. Ophthalmol. Vis. Sci. 2003, 44, 1866–1870. [Google Scholar] [CrossRef]
- Stojanovic, A.; Ringvold, A.; Nitter, T. Ascorbate prophylaxis for corneal haze after photorefractive keratectomy. J. Refract. Surg. 2003, 19, 338–343. [Google Scholar] [CrossRef]
- Kimoto, M.; Shima, N.; Yamaguchi, M.; Amano, S.; Yamagami, S. Role of hepatocyte growth factor in promoting the growth of human corneal endothelial cells stimulated by l-ascorbic acid 2-phosphate. Investig. Ophthalmol. Vis. Sci. 2012, 53, 7583–7589. [Google Scholar] [CrossRef]
- Hsueh, Y.J.; Meir, Y.J.; Lai, J.Y.; Huang, C.C.; Lu, T.T.; Ma, D.H.; Cheng, C.M.; Wu, W.C.; Chen, H.C. Ascorbic acid ameliorates corneal endothelial dysfunction and enhances cell proliferation via the noncanonical glut1-erk axis. Biomed. Pharmacother. 2021, 144, 112306. [Google Scholar] [CrossRef]
- Yunliang, S.; Yuqiang, H.; Ying-Peng, L.; Ming-Zhi, Z.; Lam, D.S.; Rao, S.K. Corneal endothelial cell density and morphology in healthy chinese eyes. Cornea 2007, 26, 130–132. [Google Scholar] [CrossRef]
- Yesilirmak, N.; Davis, Z.; Yoo, S.H. Refractive surgery (smile vs. Lasik vs. Phakic iol). Int. Ophthalmol. Clin. 2016, 56, 137–147. [Google Scholar] [CrossRef]
- Lee, C.Y.; Chao, S.C.; Sun, C.C.; Lin, H.Y. Femtosecond laser-assisted cataract surgery in patients with phakic intraocular lenses and low endothelial cell counts: A case report. BMC Ophthalmol. 2017, 17, 180. [Google Scholar] [CrossRef]






Publisher’s Note: MDPI stays neutral with regard to jurisdictional claims in published maps and institutional affiliations. |
© 2022 by the authors. Licensee MDPI, Basel, Switzerland. This article is an open access article distributed under the terms and conditions of the Creative Commons Attribution (CC BY) license (https://creativecommons.org/licenses/by/4.0/).
Share and Cite
Chen, H.-C.; Lee, C.-Y.; Cheng, C.-M.; Hsueh, Y.-J.; Chang, C.-K.; Wu, W.-C. Successful Phakic Intraocular Lens Implantation with the Usage of Topical Ascorbic Acid in Patient with Reduced Corneal Endothelial Cell Density. Medicina 2022, 58, 1367. https://doi.org/10.3390/medicina58101367
Chen H-C, Lee C-Y, Cheng C-M, Hsueh Y-J, Chang C-K, Wu W-C. Successful Phakic Intraocular Lens Implantation with the Usage of Topical Ascorbic Acid in Patient with Reduced Corneal Endothelial Cell Density. Medicina. 2022; 58(10):1367. https://doi.org/10.3390/medicina58101367
Chicago/Turabian StyleChen, Hung-Chi, Chia-Yi Lee, Chao-Min Cheng, Yi-Jen Hsueh, Chao-Kai Chang, and Wei-Chi Wu. 2022. "Successful Phakic Intraocular Lens Implantation with the Usage of Topical Ascorbic Acid in Patient with Reduced Corneal Endothelial Cell Density" Medicina 58, no. 10: 1367. https://doi.org/10.3390/medicina58101367
APA StyleChen, H.-C., Lee, C.-Y., Cheng, C.-M., Hsueh, Y.-J., Chang, C.-K., & Wu, W.-C. (2022). Successful Phakic Intraocular Lens Implantation with the Usage of Topical Ascorbic Acid in Patient with Reduced Corneal Endothelial Cell Density. Medicina, 58(10), 1367. https://doi.org/10.3390/medicina58101367

