A Rare Case Report of Metastatic Urothelial Carcinoma to Skull with Significant Reossification after Pembrolizumab
Abstract
:1. Introduction
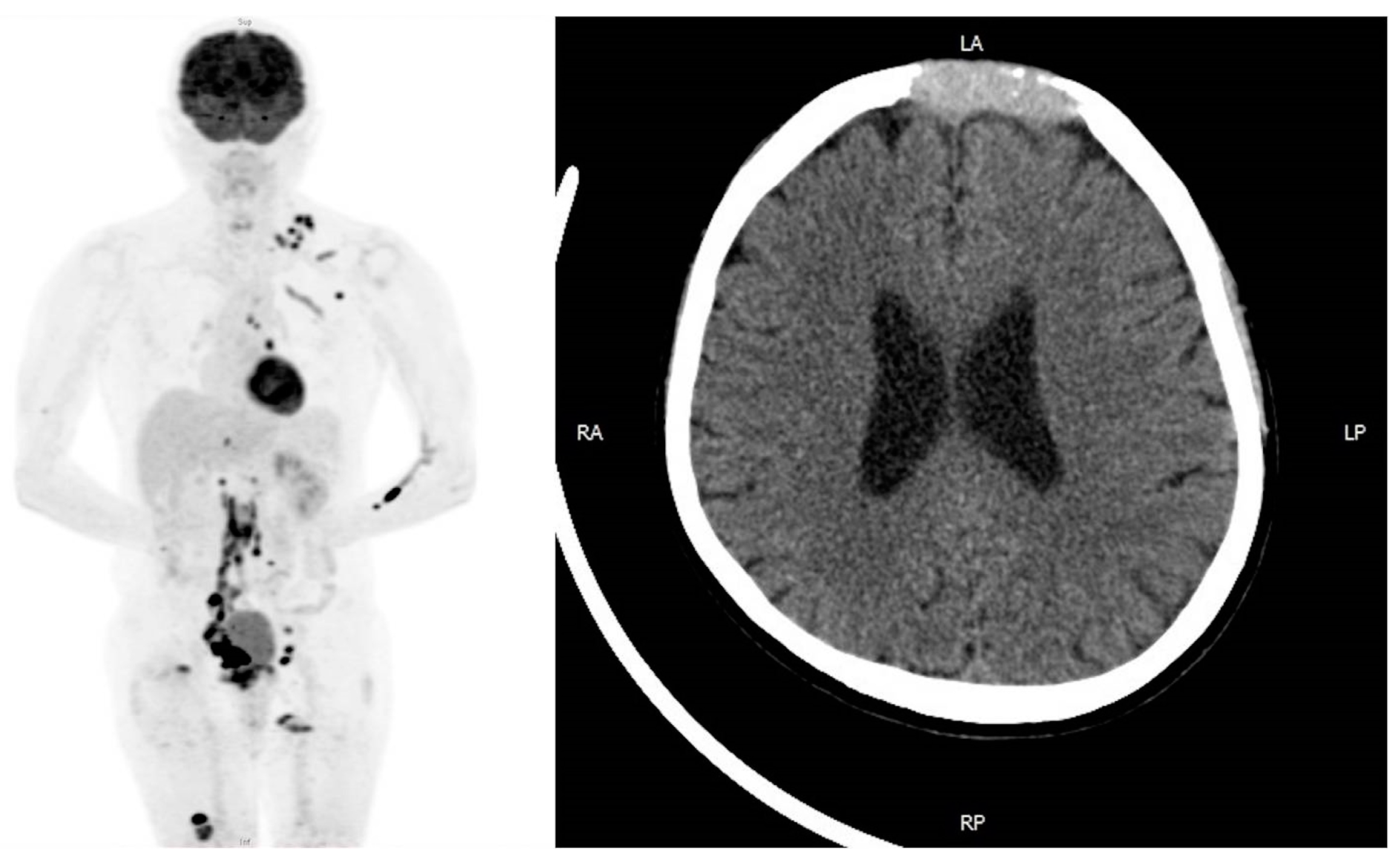
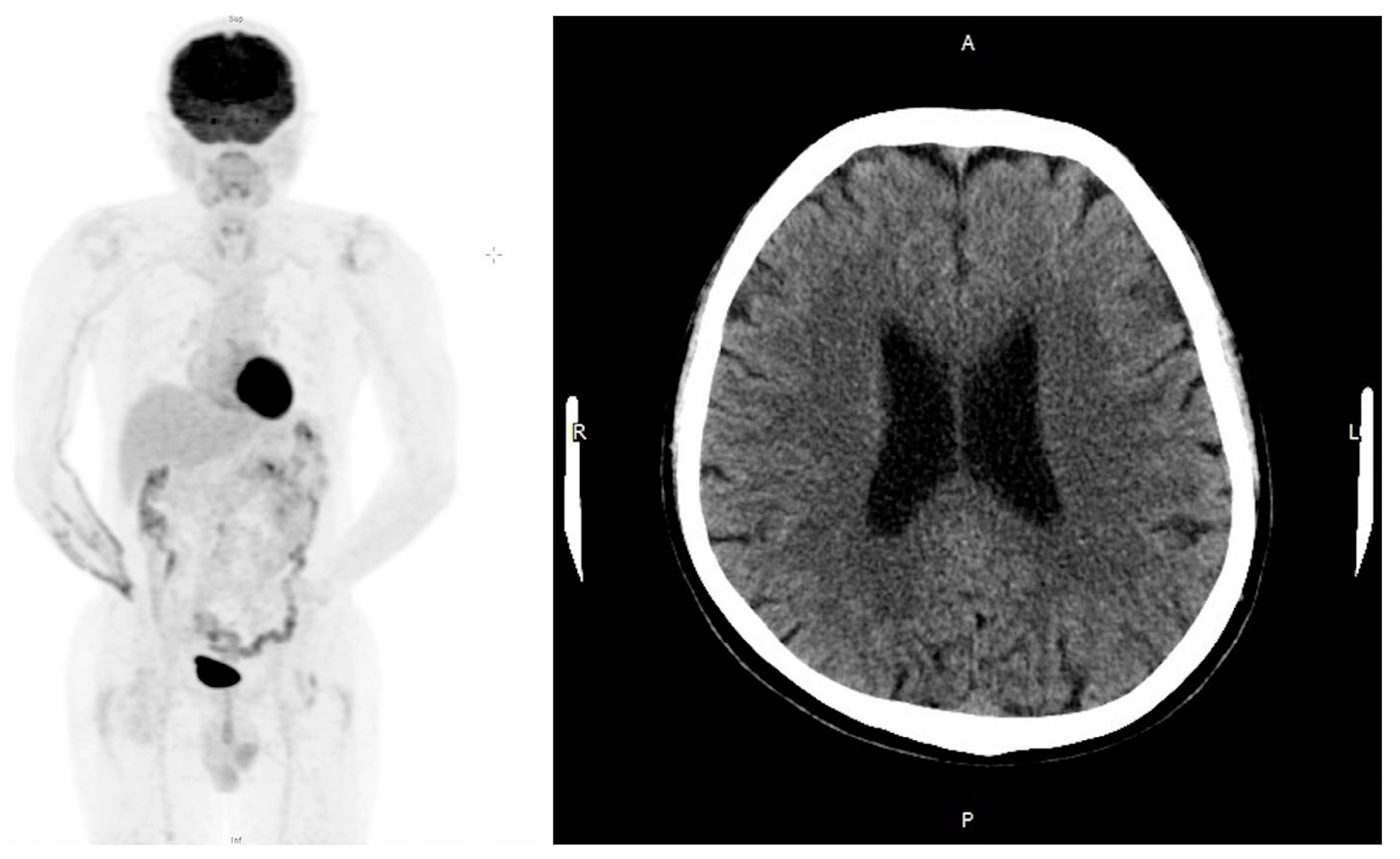
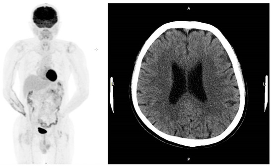
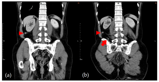
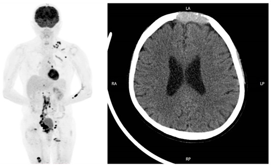
2. Case Presentation
3. Discussion
4. Conclusions
Author Contributions
Funding
Institutional Review Board Statement
Informed Consent Statement
Data Availability Statement
Conflicts of Interest
References
- Kaufman, D.S.; Shipley, W.U.; Feldman, A.S. Bladder Cancer. Lancet 2009, 374, 239–249. [Google Scholar] [CrossRef]
- Chin, J.L.; Siddiqui, K.M.; Tran, K.-C. Metastatic Bladder Cancer. In Introduction to Cancer Metastasis; Ahmad, A., Ed.; Elsevier Inc.: Philadelphia, PA, USA, 2017; pp. 177–198. [Google Scholar]
- Flaig, T.W.; Spiess, P.E.; Agarwal, N.; Bangs, R.; Boorjian, S.A.; Buyyounouski, M.K.; Chan, K.; Chang, S.; Downs, T.M.; Friedlander, T.; et al. Bladder Cancer, Version 4.2021, NCCN Clinical Practice Guidelines in Oncology. 2021. Available online: https://www.nccn.org/professionals/physician_gls/pdf/bladder.pdf (accessed on 17 September 2021).
- Babaian, R.J.; Johnson, D.E.; Llamas, L.; Ayala, A.G. Metastases from Transitional Cell Carcinoma of Urinary Bladder. Urology 1980, 16, 142–144. [Google Scholar] [CrossRef]
- Chan, F.-H.; Chao, W.-R.; Liu, J.-T.; Li, C.-S. Skull Metastasis in Urothelial Cell Carcinoma of the Bladder. Tzu Chi Med. J. 2015, 27, 87–90. [Google Scholar] [CrossRef] [Green Version]
- Nadal, R.; Bellmunt, J. Management of Metastatic Bladder Cancer. Cancer Treat. Rev. 2019, 76, 10–21. [Google Scholar] [CrossRef] [PubMed]
- Bellmunt, J.; de Wit, R.; Vaughn, D.J.; Fradet, Y.; Lee, J.-L.; Fong, L.; Vogelzang, N.J.; Climent, M.A.; Petrylak, D.P.; Choueiri, T.K.; et al. Pembrolizumab as Second-Line Therapy for Advanced Urothelial Carcinoma. N. Engl. J. Med. 2017, 376, 1015–1026. [Google Scholar] [CrossRef] [PubMed] [Green Version]
- Alqaisi, H.; Veitch, Z.W.N.; Stecca, C.; Kaiser, J.; North, S.A.; Samnani, S.; Alimohamed, N.S.; Sridhar, S.S. The Prognostic Impact of Bone Metastasis in Urothelial Carcinoma Treated with First-Line Platinum-Based Chemotherapy. J. Clin. Oncol. 2021, 39 (Suppl. S6), 415. [Google Scholar] [CrossRef]
- Abdelhakam, D.; Young, P.R.; Jain, M.K.; Nassar, A.; Copland, J.A.; Tan, W. Complete Remission with Immunotherapy: Case Report of a Patient with Metastatic Bladder Cancer to the Humerus. Urol. Case Rep. 2020, 30, 101130. [Google Scholar] [CrossRef] [PubMed]




Publisher’s Note: MDPI stays neutral with regard to jurisdictional claims in published maps and institutional affiliations. |
© 2021 by the authors. Licensee MDPI, Basel, Switzerland. This article is an open access article distributed under the terms and conditions of the Creative Commons Attribution (CC BY) license (https://creativecommons.org/licenses/by/4.0/).
Share and Cite
Liu, Y.-H.; Chou, M.-H.; Meng, E.; Kao, C.-C. A Rare Case Report of Metastatic Urothelial Carcinoma to Skull with Significant Reossification after Pembrolizumab. Medicina 2021, 57, 987. https://doi.org/10.3390/medicina57090987
Liu Y-H, Chou M-H, Meng E, Kao C-C. A Rare Case Report of Metastatic Urothelial Carcinoma to Skull with Significant Reossification after Pembrolizumab. Medicina. 2021; 57(9):987. https://doi.org/10.3390/medicina57090987
Chicago/Turabian StyleLiu, Yung-Hao, Meng-Han Chou, En Meng, and Chien-Chang Kao. 2021. "A Rare Case Report of Metastatic Urothelial Carcinoma to Skull with Significant Reossification after Pembrolizumab" Medicina 57, no. 9: 987. https://doi.org/10.3390/medicina57090987
APA StyleLiu, Y.-H., Chou, M.-H., Meng, E., & Kao, C.-C. (2021). A Rare Case Report of Metastatic Urothelial Carcinoma to Skull with Significant Reossification after Pembrolizumab. Medicina, 57(9), 987. https://doi.org/10.3390/medicina57090987

