Lumbar Multifidus Muscle Morphology Changes in Patient with Different Degrees of Lumbar Disc Herniation: An Ultrasonographic Study
Abstract
1. Introduction
2. Materials and Methods
2.1. Study Design and Subjects
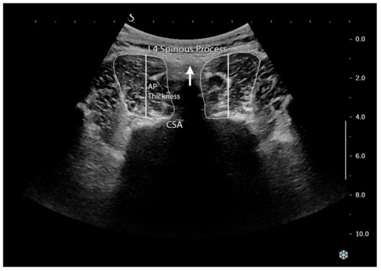
2.2. Procedure
2.3. Data Analysis
3. Results
4. Discussion
5. Conclusions
Author Contributions
Funding
Institutional Review Board Statement
Informed Consent Statement
Data Availability Statement
Acknowledgments
Conflicts of Interest
References
- Mohseni-Bandpei, M.A.; Rahmani, N.; Behtash, H.; Karimloo, M. The effect of pelvic floor muscle exercise on women with chronic non-specific low back pain. J. Bodyw. Mov. Ther. 2011, 15, 75–81. [Google Scholar] [CrossRef] [PubMed]
- Mohseni-Bandpei, M.A.; Watson, M.J.; Richardson, B. Application of surface electromyography in the assessment of low back pain: A literature review. Phys. Ther. Rev. 2000, 5, 93–105. [Google Scholar] [CrossRef]
- Deyo, R.; Weinstein, J. Low back pain. Reply. N. Engl. J. Med. 2001, 344, 1644–1645. [Google Scholar] [CrossRef] [PubMed]
- Wong, A.Y.; Parent, E.C.; Funabashi, M.; Kawchuk, G.N. Do changes in transversus abdominis and lumbar multifidus during con-servative treatment explain changes in clinical outcomes related to nonspecific low back pain? A systematic review. J. Pain 2014, 15, 377.e1–377.e35. [Google Scholar] [CrossRef] [PubMed]
- Pourahmadi, M.R.; Taghipour, M.; Jannati, E.; Mohseni-Bandpei, M.A.; Takamjani, I.E.; Rajabzadeh, F. Reliability and validity of an iPhone® application for the measurement of lumbar spine flexion and extension range of motion. PeerJ 2016, 4, e2355. [Google Scholar] [CrossRef] [PubMed]
- Pourahmadi, M.; Taghipour, M.; Takamjani, I.E.; Sanjari, M.A.; Mohseni-Bandpei, M.A.; Keshtkar, A.A. Motor control exercise for symptomatic lumbar disc herniation: Protocol for a systematic review and meta-analysis. BMJ Open 2016, 6, e012426. [Google Scholar] [CrossRef] [PubMed]
- Hahne, A.J.; Ford, J.J.; McMeeken, J.M. Conservative management of lumbar disc herniation with associated radiculopathy: A systematic review. Spine 2010, 35, E488–E504. [Google Scholar] [CrossRef]
- Koes, B.W.; van Tulder, M.; Peul, W.C. Diagnosis and treatment of sciatica. BMJ 2007, 334, 1313–1317. [Google Scholar] [CrossRef]
- Hertling, D.; Kessler, R.; Shimandle, S.A. Management of Common Musculoskeletal Disorders, Physical Therapy Principles and Methods. Dimens. Crit. Care Nurs. 1990, 9, 279. [Google Scholar] [CrossRef]
- Zhao, W.-P.; Kawaguchi, Y.; Matsui, H.; Kanamori, M.; Kimura, T. Histochemistry and morphology of the multifidus muscle in lumbar disc herniation: Comparative study between diseased and normal sides. Spine 2000, 25, 2191–2199. [Google Scholar] [CrossRef]
- Kader, D.; Wardlaw, D.; Smith, F. Correlation Between the MRI Changes in the Lumbar Multifidus Muscles and Leg Pain. Clin. Radiol. 2000, 55, 145–149. [Google Scholar] [CrossRef]
- Barker, K.L.; Shamley, D.R.; Jackson, D. Changes in the cross-sectional area of multifidus and psoas in patients with unilateral back pain: The relationship to pain and disability. Spine 2004, 29, E515–E519. [Google Scholar] [CrossRef]
- Franke, J.; Hesse, T.; Tournier, C.; Schuberth, W.; Mawrin, C.; Lehuec, J.C.; Grasshoff, H. Morphological changes of the multifidus muscle in patients with symptomatic lumbar disc herniation. J. Neurosurg. Spine 2009, 11, 710–714. [Google Scholar] [CrossRef]
- Altinkaya, N.; Cekinmez, M. Lumbar multifidus muscle changes in unilateral lumbar disc herniation using magnetic resonance imaging. Skelet. Radiol. 2015, 45, 73–77. [Google Scholar] [CrossRef]
- Hyun, J.K.; Lee, J.Y.; Lee, S.J.; Jeon, J.Y. Asymmetric atrophy of multifidus muscle in patients with unilateral lumbosacral radicu-lopathy. Spine 2007, 32, E598–E602. [Google Scholar] [CrossRef]
- Kulig, K.; Scheid, A.R.; Beauregard, R.; Popovich, J.M., Jr.; Beneck, G.J.; Colletti, P.M. Multifidus morphology in persons scheduled for single-level lumbar microdiscectomy: Qualitative and quantitative assessment with anatomical correlates. Am. J. Phys. Med. Rehabil. 2009, 88, 355–361. [Google Scholar] [CrossRef]
- Hodges, P.; Holm, A.K.; Hansson, T.; Holm, S. Rapid Atrophy of the Lumbar Multifidus Follows Experimental Disc or Nerve Root Injury. Spine 2006, 31, 2926–2933. [Google Scholar] [CrossRef]
- Ploumis, A.; Michailidis, N.; Christodoulou, P.; Kalaitzoglou, I.; Gouvas, G.; Beris, A. Ipsilateral atrophy of paraspinal and psoas muscle in unilateral back pain patients with monosegmental degenerative disc disease. Br. J. Radiol. 2011, 84, 709–713. [Google Scholar] [CrossRef]
- Hayashi, N.; Masumoto, T.; Abe, O.; Aoki, S.; Ohtomo, K.; Tajiri, Y. Accuracy of abnormal paraspinal muscle findings on con-trast-enhanced MR images as indirect signs of unilateral cervical root-avulsion injury. Radiology 2002, 223, 397–402. [Google Scholar] [CrossRef]
- Campbell, W.W.; Vasconcelos, O.; Laine, F.J. Focal atrophy of the multifidus muscle in lumbosacral radiculopathy. Muscle Nerve 1998, 21, 1350–1353. [Google Scholar] [CrossRef]
- Hides, J.; Stokes, M.J.; Saide, M.; Jull, G.; Cooper, D.H. Evidence of Lumbar Multifidus Muscle Wasting Ipsilateral to Symptoms in Patients with Acute/Subacute Low Back Pain. Spine 1994, 19, 165–172. [Google Scholar] [CrossRef]
- Hides, J.; Gilmore, C.; Stanton, W.; Bohlscheid, E. Multifidus size and symmetry among chronic LBP and healthy asymptomatic subjects. Man. Ther. 2008, 13, 43–49. [Google Scholar] [CrossRef]
- Fortin, M.; Yuan, Y.; Battié, M.C. Factors Associated With Paraspinal Muscle Asymmetry in Size and Composition in a General Population Sample of Men. Phys. Ther. 2013, 93, 1540–1550. [Google Scholar] [CrossRef]
- Battié, M.C.; Niemeläinen, R.; Gibbons, L.E.; Dhillon, S. Is level- and side-specific multifidus asymmetry a marker for lumbar disc pathology? Spine J. 2012, 12, 932–939. [Google Scholar] [CrossRef]
- Fortin, M.; Lazáry, À.; Varga, P.P.; McCall, I.; Battié, M.C. Paraspinal muscle asymmetry and fat infiltration in patients with symp-tomatic disc herniation. Eur. Spine J. 2016, 25, 1452–1459. [Google Scholar] [CrossRef]
- Rahmani, N.; Mohseni-Bandpei, M.A.; Vameghi, R.; Salavati, M.; Abdollahi, I. Application of ultrasonography in the assessment of skeletal muscles in children with and without neuromuscular disorders: A systematic review. Ultrasound Med. Biol. 2015, 41, 2275–2283. [Google Scholar] [CrossRef]
- Koppenhaver, S.L.; Hebert, J.; Fritz, J.M.; Parent, E.C.; Teyhen, D.S.; Magel, J. Reliability of Rehabilitative Ultrasound Imaging of the Transversus Abdominis and Lumbar Multifidus Muscles. Arch. Phys. Med. Rehabil. 2009, 90, 87–94. [Google Scholar] [CrossRef]
- Huang, Q.; Li, D.; Zhang, Y.; Hu, A.; Huo, M.; Maruyama, H. The Reliability of Rehabilitative Ultrasound Imaging of the Cross-sectional Area of the Lumbar Multifidus Muscles in the PNF Pattern. J. Phys. Ther. Sci. 2014, 26, 1539–1541. [Google Scholar] [CrossRef]
- Whittaker, J.L.; Stokes, M. Ultrasound Imaging and Muscle Function. J. Orthop. Sports Phys. Ther. 2011, 41, 572–580. [Google Scholar] [CrossRef]
- Naghdi, N.; Bandpei, M.A.M.; Taghipour, M.; Rahmani, N. Reliability of Ultrasonography in Measuring Deep Abdominal and Lumbar Multifidus Muscle Dimensions in Patients with Unilateral Lumbar Disc Herniation. J. Clin. Physiother. Res. 2019, 3, 123–127. [Google Scholar]
- Fabrikant, J.M.; Park, T.S. Plantar fasciitis (fasciosis) treatment outcome study: Plantar fascia thickness measured by ultrasound and correlated with patient self-reported improvement. Foot 2011, 21, 79–83. [Google Scholar] [CrossRef] [PubMed]
- Taghipour, M.; Mohseni-Bandpei, M.A.; Behtash, H.; Abdollahi, I.; Rajabzadeh, F.; Pourahmadi, M.R.; Emami, M. Reliability of Real-time Ultrasound Imaging for the Assessment of Trunk Stabilizer Muscles: A Systematic Review of the Literature. J. Ultrasound Med. 2019, 38, 15–26. [Google Scholar] [CrossRef] [PubMed]
- Sloan, S.R.; Wipplinger, C.; Kirnaz., S.; Navarro-Ramirez, R.; Schmidt, F.; McCloskey, D.; Schavinato, A.; Hartl, R.; Bonassar, L. Combined nucleus pulposus augmen-tation and annulus fibrosus repair prevents acute intervertebral disc degeneration after discectomy. Sci. Transl. Med. 2020, 12, 534. [Google Scholar] [CrossRef] [PubMed]
- Chu, P.; Stagias, J.; West, A.B.; Traube, M. Diffuse pagetoid squamous cell carcinoma in situ of the esophagus: A case report. Cancer 1997, 79, 1865–1870. [Google Scholar] [CrossRef]
- Kim, K.Y.; Kim, Y.T.; Lee, C.S.; Shin, M.J. MRI Classification of Lumbar Herniated Intervertebral Disc; SLACK Incorporated Thorofare: New Jersey, NJ, USA, 1992. [Google Scholar]
- Carlsson, A.M. Assessment of chronic pain. I. Aspects of the reliability and validity of the visual analogue scale. Pain 1983, 16, 87–101. [Google Scholar] [CrossRef]
- Fairbank, J.C.; Pynsent, P.B. The Oswestry disability index. Spine 2000, 25, 2940–2953. [Google Scholar] [CrossRef]
- Wilson, A.; Hides, J.A.; Blizzard, L.; Callisaya, M.; Cooper, A.; Srikanth, V.K.; Winzenberg, T. Measuring ultrasound images of abdominal and lumbar multifidus muscles in older adults: A reliability study. Man. Ther. 2016, 23, 114–119. [Google Scholar] [CrossRef]
- Rahmani, N.; Kiani, A.; Mohseni-Bandpei, M.A.; Abdollahi, I. Multifidus muscle size in adolescents with and without back pain using ultrasonography. J. Bodyw. Mov. Ther. 2018, 22, 147–151. [Google Scholar] [CrossRef]
- Shadani, A.; Bandpei, M.A.M.; Rahmani, N.; Bassampour, S.A. A Comparison of the Abdominal and Lumbar Multifidus Muscle Size in Patients With Lumbar Spondylolisthesis and Healthy Patients at Rest and During Contraction Using Ultrasonography. J. Manip. Physiol. Ther. 2018, 41, 691–697. [Google Scholar] [CrossRef]
- Stokes, M.; Hides, J.; Elliott, J.; Kiesel, K.; Hodges, P. Rehabilitative Ultrasound Imaging of the Posterior Paraspinal Muscles. J. Orthop. Sports Phys. Ther. 2007, 37, 581–595. [Google Scholar] [CrossRef]
- Taghipour, M.; Mohseni-Bandpei, M.A.; Abdollahi, I.; Rajabzadeh, F.; Naghdi, N.; Pourahmadi, M.R. Reliability of B-mode ultraso-nography to measure lumbar multifidus muscle dimensions in patients with unilateral lumbar disc herniation. J. Bodyw. Mov. Ther. 2021, 26, 153–157. [Google Scholar] [CrossRef]
- Yoshihara, K.; Shirai, Y.; Nakayama, Y.; Uesaka, S. Histochemical changes in the multifidus muscle in patients with lumbar in-tervertebral disc herniation. Spine 2001, 26, 622–626. [Google Scholar] [CrossRef]
- Dulor, J.-P.; Cambon, B.; Vigneron, P.; Reyne, Y.; Nouguès, J.; Casteilla, L.; Bacou, F. Expression of specific white adipose tissue genes in denervation-induced skeletal muscle fatty degeneration. FEBS Lett. 1998, 439, 89–92. [Google Scholar] [CrossRef]
- Lee, S.J.; Han, T.R.; Hyun, J.K.; Jeon, J.Y.; Myong, N.-H. Electromyographic Findings in Nucleus Pulposus-Induced Radiculopathy in the Rat. Spine 2006, 31, 2053–2058. [Google Scholar] [CrossRef]
- Alston, W.; Carlson, K.E.; Feldman, D.J.; Grimm, Z.; Gerontinos, E. A Quantitative Study Of Muscle Factors In The Chronic Low Back Syndrome. J. Am. Geriatr. Soc. 1966, 14, 1041–1047. [Google Scholar] [CrossRef]
- Danneels, L.A.; Vanderstraeten, G.G.; Cambier, D.C.; Witvrouw, E.E.; De Cuyper, H.J. CT imaging of trunk muscles in chronic low back pain patients and healthy control subjects. Eur. Spine J. 2000, 9, 266–272. [Google Scholar] [CrossRef]
- Lalive, P.; Truffert, A.; Magistris, M. Lombosacral radiculopathy (L3-S1) and specificity of multifidus EMG. Neurophysiol. Clin. Clin. Neurophysiol. 2004, 34, 41–47. [Google Scholar] [CrossRef]
- Kottlors, M.; Glocker, F.X. Polysegmental innervation of the medial paraspinal lumbar muscles. Eur. Spine J. 2007, 17, 300–306. [Google Scholar] [CrossRef]
- Farshad, M.; Gerber, C.; Farshad-Amacker, N.A.; Dietrich, T.J.; Laufer-Molnar, V.; Min, K. Asymmetry of the multifidus muscle in lumbar radicular nerve compression. Skelet. Radiol. 2014, 43, 49–53. [Google Scholar] [CrossRef][Green Version]
- Panjabi, M.M. The Stabilizing System of the Spine. Part II. Neutral Zone and Instability Hypothesis. J. Spinal Disord. 1992, 5, 390–397. [Google Scholar] [CrossRef]
- Panjabi, M.M. The stabilizing system of the spine. Part I. Function, dysfunction, adaptation, and enhancement. J. Spinal Disord. 1992, 5, 383. [Google Scholar] [PubMed]
- Panjabi, M.M. Clinical spinal instability and low back pain. J. Electromyogr. Kinesiol. 2003, 13, 371–379. [Google Scholar] [CrossRef]
- Kim, W.H.; Lee, S.-H.; Lee, D.Y. Changes in the Cross-Sectional Area of Multifidus and Psoas in Unilateral Sciatica Caused by Lumbar Disc Herniation. J. Korean Neurosurg. Soc. 2011, 50, 201–204. [Google Scholar] [CrossRef] [PubMed]
- Choi, G.; Raiturker, P.P.; Kim, M.-J.; Chung, D.J.; Chae, Y.-S.; Lee, S.-H. The effect of early isolated lumbar extension exercise program for patients with herniated disc undergoing lumbar discectomy. Neurosurgery 2005, 57, 764–772. [Google Scholar] [CrossRef] [PubMed]
- Chen, Y.-Y.; Pao, J.-L.; Liaw, C.-K.; Hsu, W.-L.; Yang, R.-S. Image changes of paraspinal muscles and clinical correlations in patients with unilateral lumbar spinal stenosis. Eur. Spine J. 2014, 23, 999–1006. [Google Scholar] [CrossRef] [PubMed]

| Group | Healthy Subject (n = 15) | LDH Group | ||||
|---|---|---|---|---|---|---|
| Variable | Bulging (n = 15) | Protrusion (n = 15) | Extrusion (n = 15) | Sequestration (n = 15) | ||
| Age (years) | 38.13 (14.38) | 39.46 (11.01) | 39.8 (9.39) | 47.26 (7.08) | 44.13 (8.35) | |
| Weight (kg) | 69.53 (8.69) | 73.86 (9.39) | 73.66 (12.79) | 67.53 (10.25) | 72.66 (9.72) | |
| Height (cm) | 169.80 (4.84) | 169.40 (8.28) | 175.33 (6.54) | 169.06 (8.77) | 172.6 (8.35) | |
| BMI (kg/m2) | 24.06 (2.21) | 25.84 (3.88) | 23.88 (3.54) | 23.62 (3.21) | 24.33 (2.64) | |
| VAS (point) | - | 2.60 (1.12) | 4.33 (1.23) | 6.00 (1.06) | 8.33 (1.11) | |
| ODI (point) | - | 24.26 (3.10) | 46.66 (3.51) | 69.60 (3.13) | 93.60 (3.64) | |
| Symptom’s duration (m) | - | 10.53 (1.77) | 18.4 (2.29) | 28.93 (2.93) | 31.86 (2.8) | |
| Muscle | State | Side | Groups | Mean (SD) | 95% CI |
|---|---|---|---|---|---|
| CSA (cm2) | Rest | Right | Healthy | 4.44 (0.73) | 4.03–4.85 |
| Left | 4.09 (0.67) | 3.72–4.46 | |||
| Contraction | Right | 5.16 (0.66) | 4.79–5.53 | ||
| Left | 5.24 (0.71) | 4.84–5.63 | |||
| AP (LM) Thickness (mm) | Rest | Right | Healthy | 18.64 (2.14) | 17.45–19.82 |
| Left | 19.64 (2.21) | 18.42–20.87 | |||
| Contraction | Right | 19.90 (2.29) | 18.63–21.17 | ||
| Left | 21.88 (2.4) | 20.55–23.21 | |||
| CSA (cm2) | Rest | Affected | Bulging | 4.41 (0.8) | 3.96–4.86 |
| Protrusion | 3.73 (0.68) | 3.35–4.12 | |||
| Extrusion | 3.32 (0.86) | 2.84–3.8 | |||
| Sequestration | 2.94 (0.66) | 2.58–3.31 | |||
| Contraction | Affected | Bulging | 4.76 (1.07) | 4.17–5.36 | |
| Protrusion | 4.39 (0.74) | 3.98–4.8 | |||
| Extrusion | 3.93 (0.85) | 3.45–4.4 | |||
| Sequestration | 3.39 (0.66) | 3.03–3.76 | |||
| AP (LM) Thickness (mm) | Rest | Affected | Bulging | 18.51 (1.83) | 17.49–19.53 |
| Protrusion | 16.6 (2.01) | 15.49–17.72 | |||
| Extrusion | 15.45 (1.5) | 14.61–16.28 | |||
| Sequestration | 15.06 (1.33) | 14.31–15.8 | |||
| Contraction | Affected | Bulging | 19.55 (1.63) | 18.64–20.45 | |
| Protrusion | 18.04 (1.77) | 17.06–19.02 | |||
| Extrusion | 16.04 (1.66) | 15.12–16.96 | |||
| Sequestration | 15.64 (1.4) | 14.87–16.42 |
| Muscles | Compared Patient Groups | Muscle’s State | Mean Difference | p-Value | |
|---|---|---|---|---|---|
| CSA (cm2) | Healthy | Bulging | Rest | 0.03 | 1 |
| Contraction | 0.4 | 1 | |||
| Protrusion | Rest | 0.71 | 0.12 | ||
| Contraction | 0.77 | 0.11 | |||
| Extrusion | Rest | 1.12 | 0.001 | ||
| Contraction | 1.23 | 0.001 | |||
| Sequestration | Rest | 1.5 | 0.001 | ||
| Contraction | 1.77 | 0.001 | |||
| AP(LM) (mm) | Healthy | Bulging | Rest | 0.13 | 1 |
| Contraction | 0.35 | 1 | |||
| Protrusion | Rest | 2.04 | 0.02 | ||
| Contraction | 1.86 | 0.05 | |||
| Extrusion | Rest | 3.19 | 0.001 | ||
| Contraction | 3.86 | 0.001 | |||
| Sequestration | Rest | 3.58 | 0.001 | ||
| Contraction | 4.26 | 0.001 | |||
| Muscles | Muscle’s State | Pain | Disability | ||
|---|---|---|---|---|---|
| r | p | r | p | ||
| CSA (cm2) | Rest | −0.49 | 0.001 | −0.59 | 0.001 |
| Contraction | −0.44 | 0.001 | −0.61 | 0.001 | |
| AP (LM) Thickness (mm) | Rest | −0.50 | 0.001 | −0.68 | 0.001 |
| Contraction | −0.57 | 0.001 | −0.68 | 0.001 | |
Publisher’s Note: MDPI stays neutral with regard to jurisdictional claims in published maps and institutional affiliations. |
© 2021 by the authors. Licensee MDPI, Basel, Switzerland. This article is an open access article distributed under the terms and conditions of the Creative Commons Attribution (CC BY) license (https://creativecommons.org/licenses/by/4.0/).
Share and Cite
Naghdi, N.; Mohseni-Bandpei, M.A.; Taghipour, M.; Rahmani, N. Lumbar Multifidus Muscle Morphology Changes in Patient with Different Degrees of Lumbar Disc Herniation: An Ultrasonographic Study. Medicina 2021, 57, 699. https://doi.org/10.3390/medicina57070699
Naghdi N, Mohseni-Bandpei MA, Taghipour M, Rahmani N. Lumbar Multifidus Muscle Morphology Changes in Patient with Different Degrees of Lumbar Disc Herniation: An Ultrasonographic Study. Medicina. 2021; 57(7):699. https://doi.org/10.3390/medicina57070699
Chicago/Turabian StyleNaghdi, Neda, Mohammad Ali Mohseni-Bandpei, Morteza Taghipour, and Nahid Rahmani. 2021. "Lumbar Multifidus Muscle Morphology Changes in Patient with Different Degrees of Lumbar Disc Herniation: An Ultrasonographic Study" Medicina 57, no. 7: 699. https://doi.org/10.3390/medicina57070699
APA StyleNaghdi, N., Mohseni-Bandpei, M. A., Taghipour, M., & Rahmani, N. (2021). Lumbar Multifidus Muscle Morphology Changes in Patient with Different Degrees of Lumbar Disc Herniation: An Ultrasonographic Study. Medicina, 57(7), 699. https://doi.org/10.3390/medicina57070699
