High-Resolution CT Findings of Myositis-Related Interstitial Lung Disease
Abstract
1. Introduction
2. HRCT Features of Myositis Spectrum Disease-Related ILD Based on Clinical Course
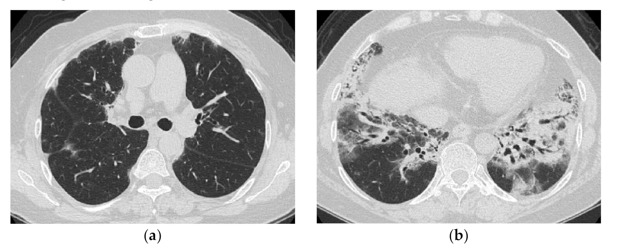
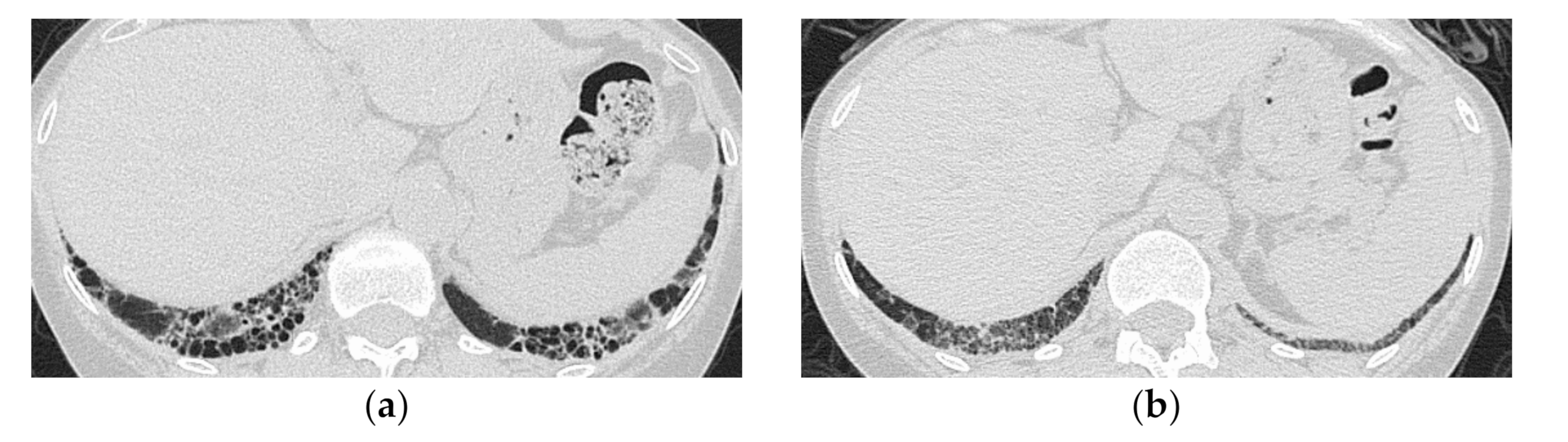
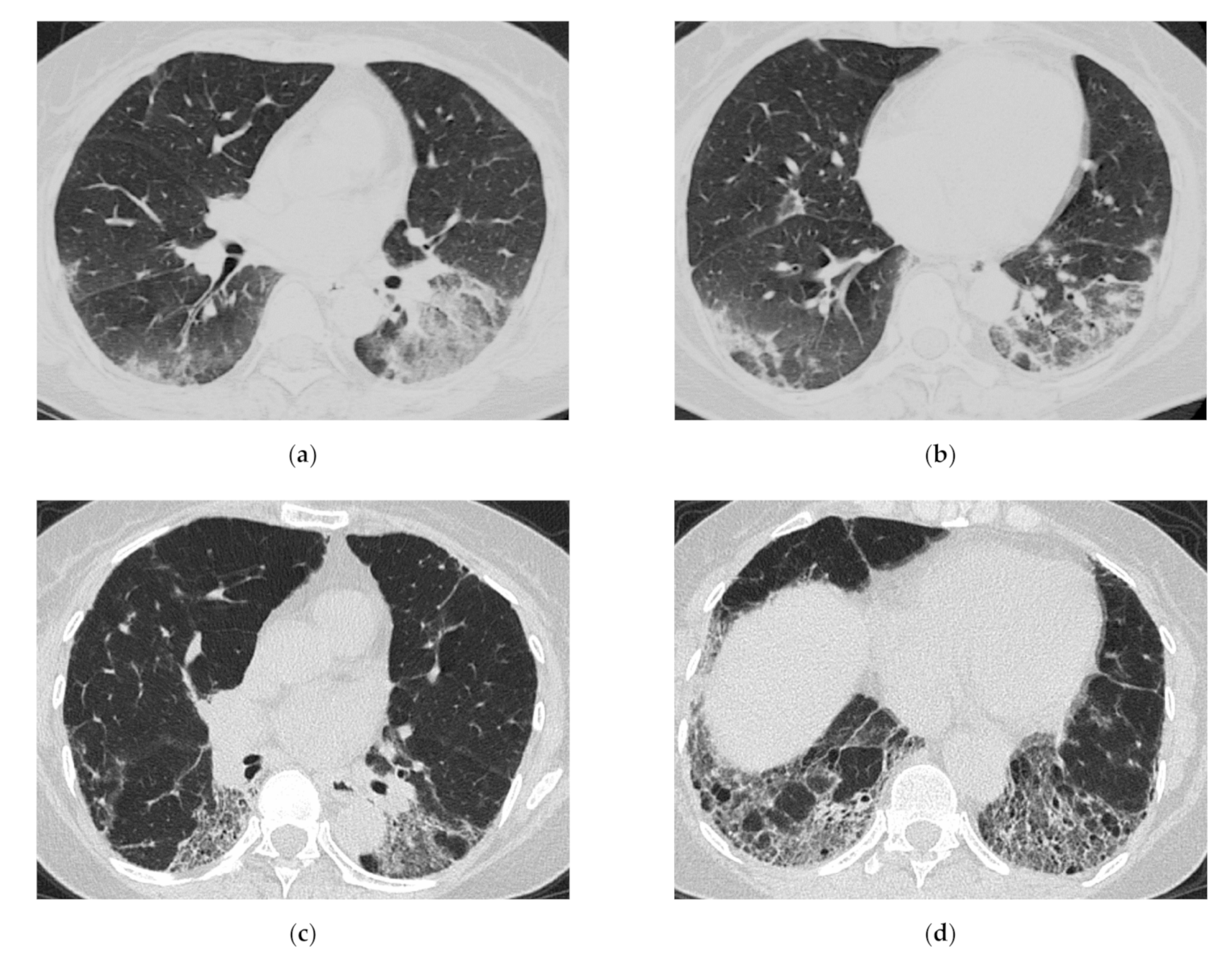
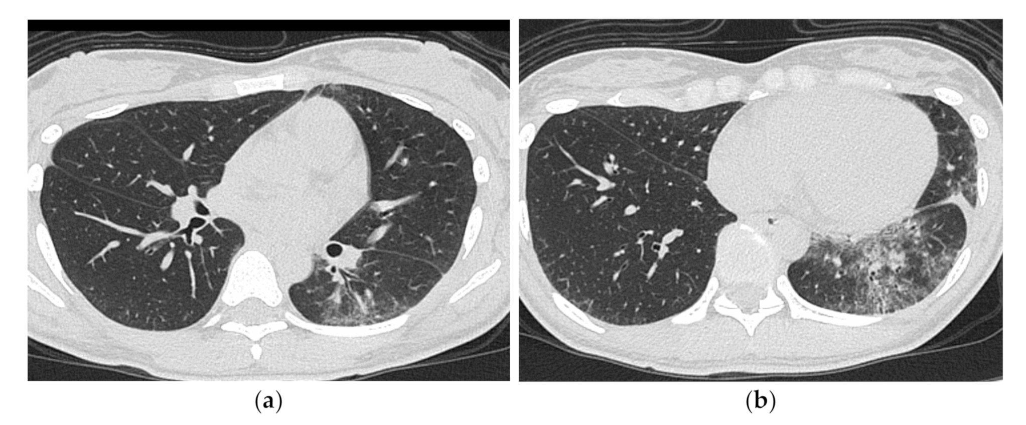
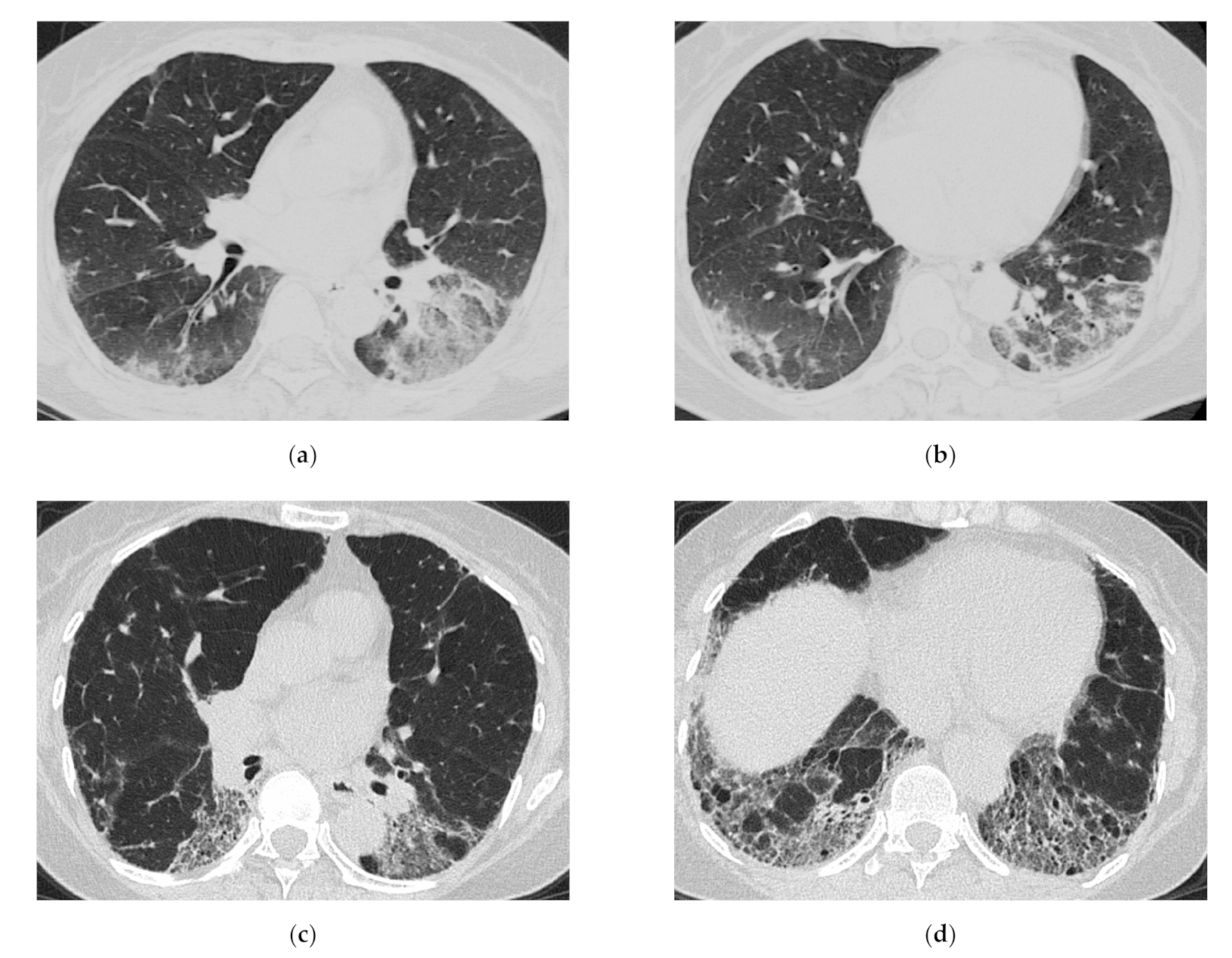
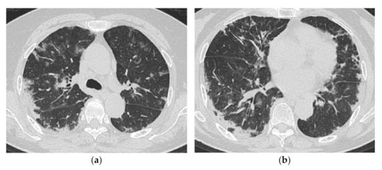
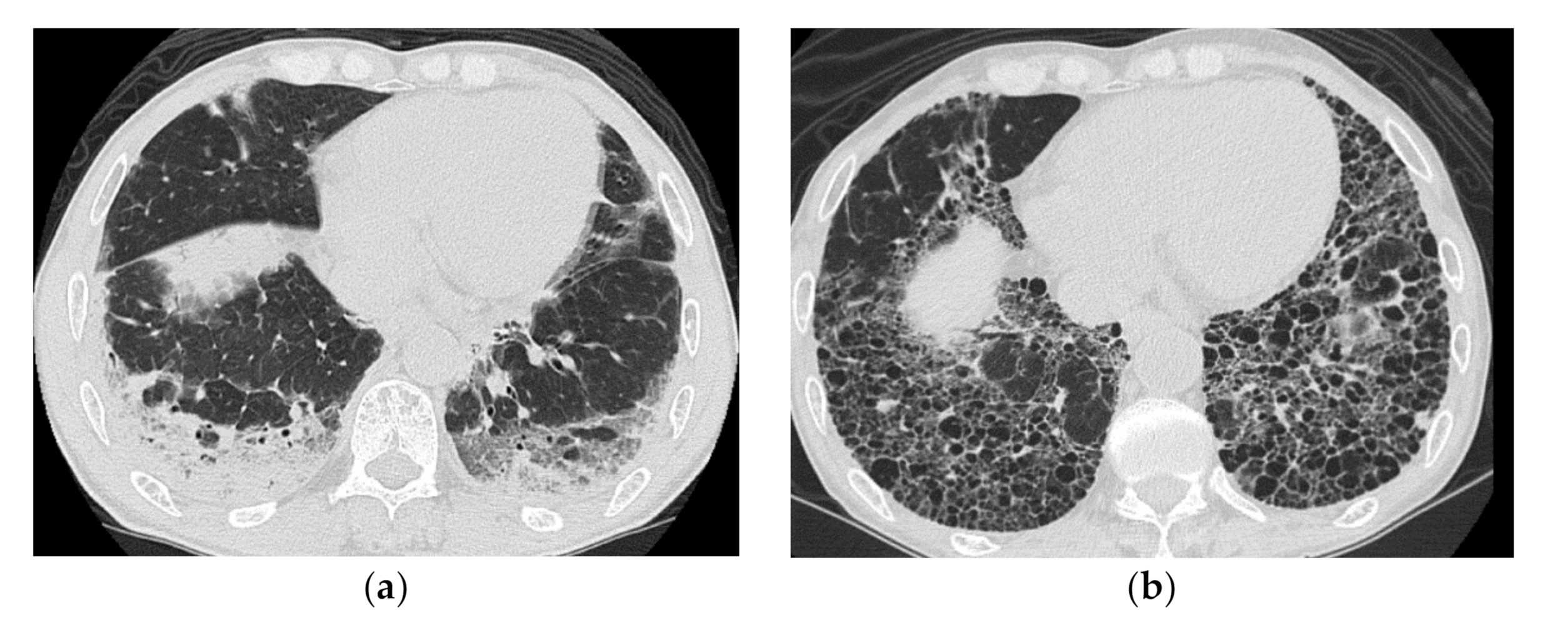
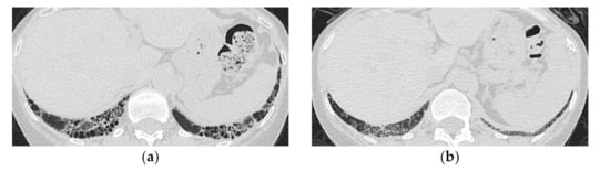
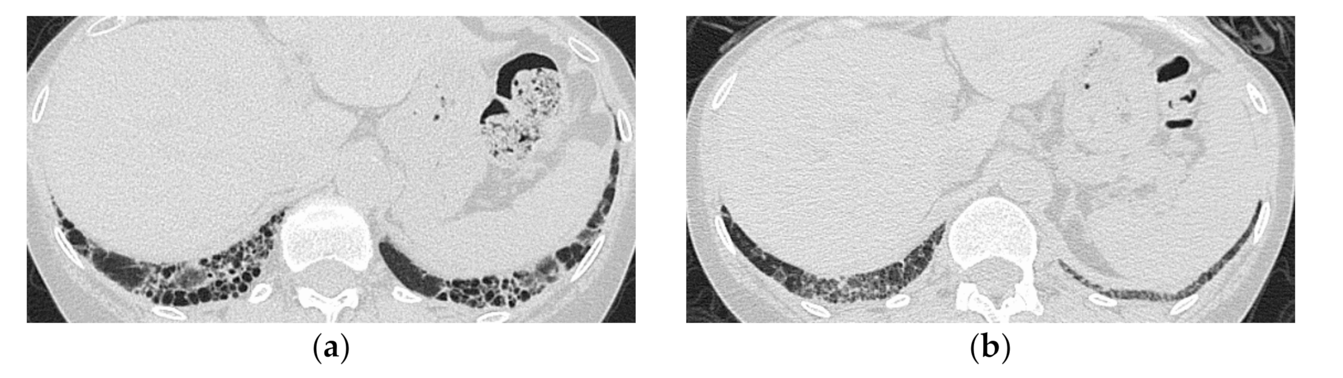
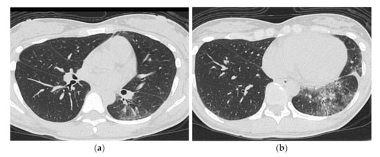
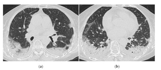
2.1. Subacute to Chronic Type
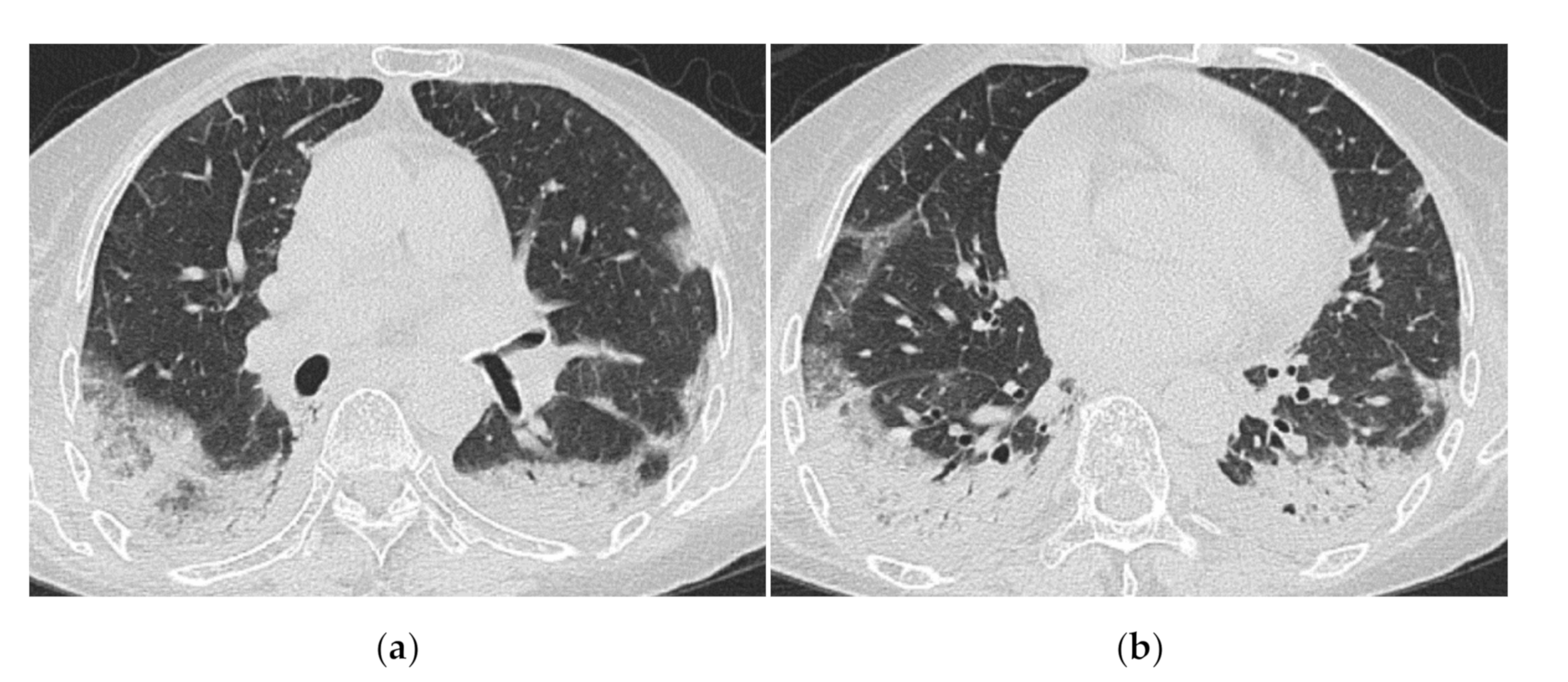
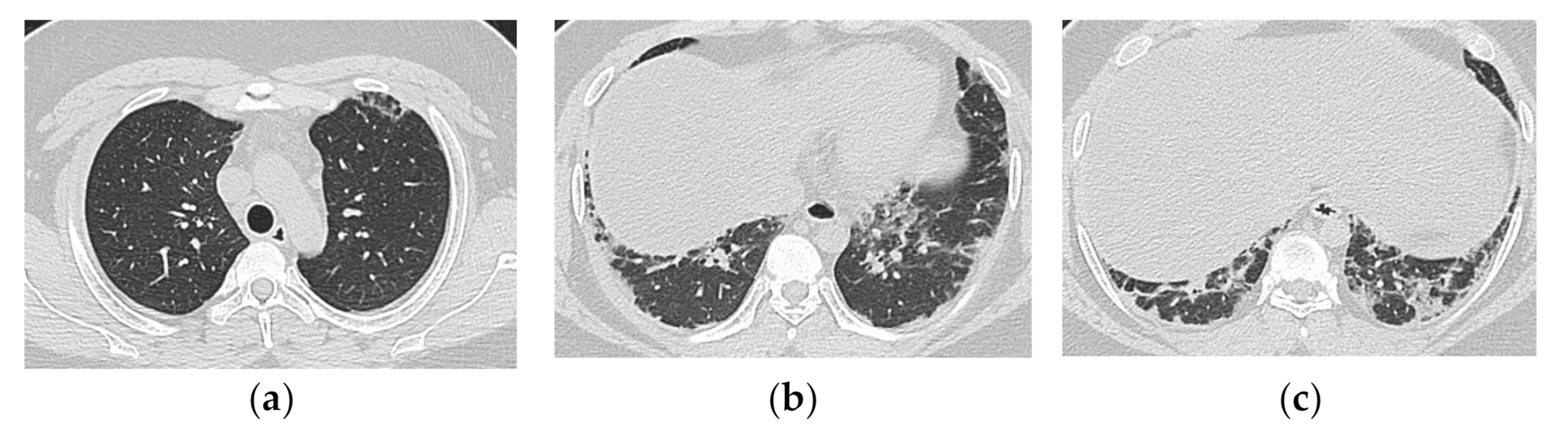
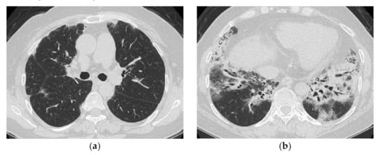
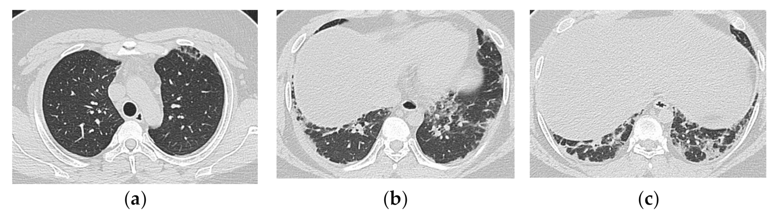
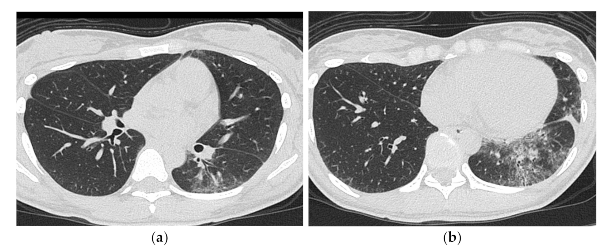
2.2. Acute Type
3. Association between Myositis-Specific Antibodies and ILD
3.1. Anti-Aminoacyl tRNA Synthetase Antibody (Anti-ARS Ab)
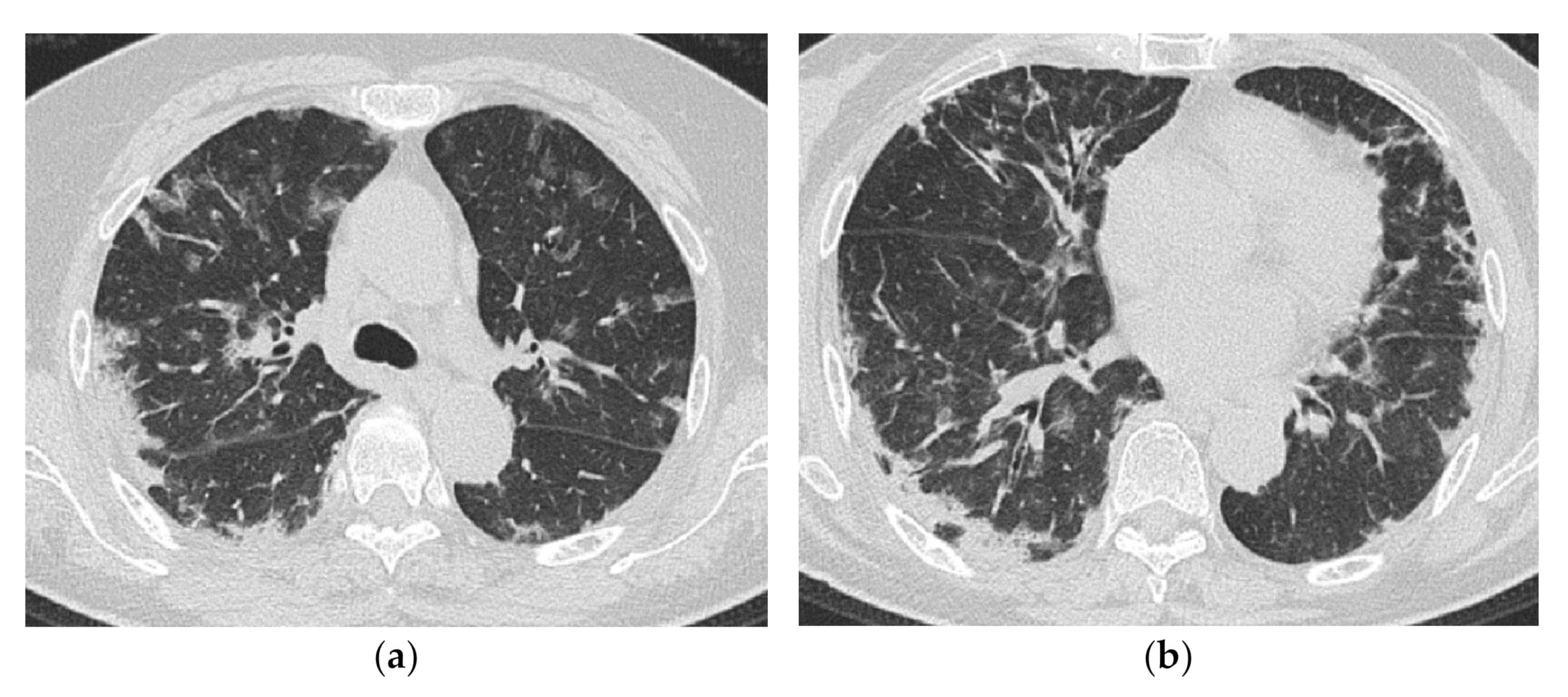
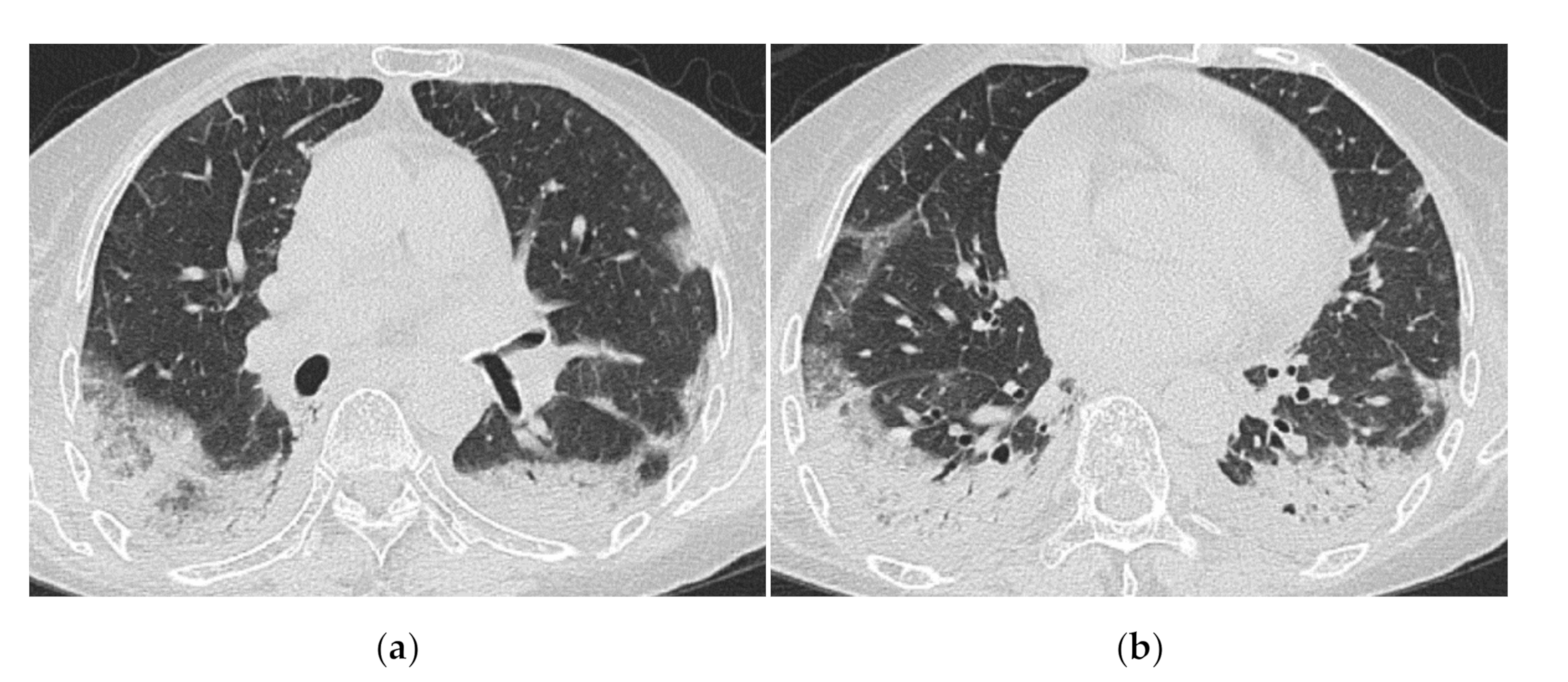
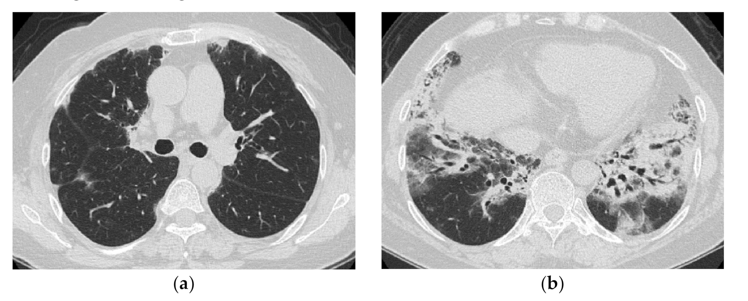
HRCT Findings of Patients with Anti-ARS Ab
3.2. Anti-MDA5 Antibody (Anti-MDA5 Ab)
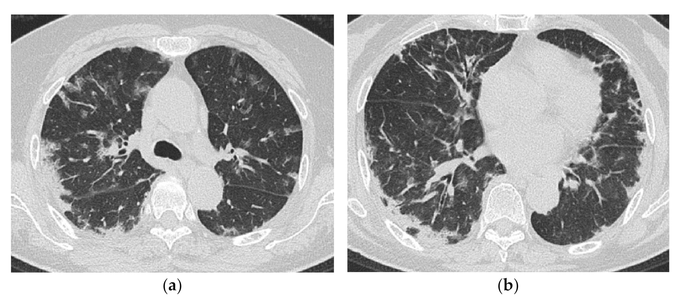
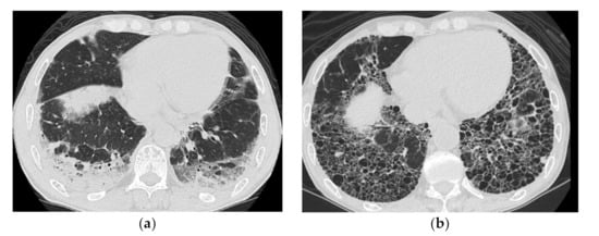
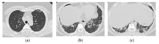
HRCT Findings of Patients with Anti-MDA5 Ab
4. HRCT Findings in Relation to the Poorer Prognosis
5. Clinical Pearls from HRCT Findings
6. Conclusions
Funding
Institutional Review Board Statement
Informed Consent Statement
Data Availability Statement
Conflicts of Interest
References
- Yousem, S.; Gibson, K.; Kaminski, N.; Oddis, C.V.; Ascherman, D.P. The pulmonary histopathologic manifestations of the anti-Jo-1 tRNA synthetase syndrome. Mod. Pathol. 2010, 23, 874–880. [Google Scholar] [CrossRef][Green Version]
- Tazelaar, H.D.; Viggiano, R.W.; Pickersgill, J.; Colby, T.V. Interstitial lung disease in polymyositis and dermatomyositis. Clinical features and prognosis as correlated with histologic findings. Am. Rev. Respir. Dis. 1990, 141, 727–733. [Google Scholar] [CrossRef]
- Travis, W.D.; Costabel, U.; Hansell, D.M.; King, T.E., Jr.; Lynch, D.A.; Nicholson, A.G.; Ryerson, C.J.; Ryu, J.H.; Selman, M.; Wells, A.U.; et al. An official American Thoracic Society/European Respiratory Society statement: Update of the international multidisciplinary classification of the idiopathic interstitial pneumonias. Am. J. Respir. Crit. Care Med. 2013, 188, 733–748. [Google Scholar] [CrossRef]
- Beardsley, B.; Rassl, D. Fibrosing organising pneumonia. J. Clin. Pathol. 2013, 66, 875–881. [Google Scholar] [CrossRef]
- Fujisawa, T.; Suda, T.; Nakamura, Y.; Enomoto, N.; Ide, K.; Toyoshima, M.; Uchiyama, H.; Tamura, R.; Ida, M.; Yagi, T.; et al. Differences in clinical features and prognosis of interstitial lung diseases between polymyositis and dermatomyositis. J. Rheumatol. 2005, 32, 58–64. [Google Scholar]
- Sato, S.; Hirakata, M.; Kuwana, M.; Suwa, A.; Inada, S.; Mimori, T.; Nishikawa, T.; Oddis, C.V.; Ikeda, Y. Autoantibodies to a 140-kd polypeptide, CADM-140, in Japanese patients with clinically amyopathic dermatomyositis. Arthritis Rheum. 2005, 52, 1571–1576. [Google Scholar] [CrossRef]
- Sato, S.; Hoshino, K.; Satoh, T.; Fujita, T.; Kawakami, Y.; Fujita, T.; Kuwana, M. RNA helicase encoded by melanoma differentia-tion-associated gene 5 is a major autoantigen in patients with clinically amyopathic dermatomyositis: Association with rapidly progressive interstitial lung disease. Arthritis Rheum. 2009, 60, 2193–2200. [Google Scholar] [CrossRef]
- Marie, I.; Hatron, P.Y.; Dominique, S.; Cherin, P.; Mouthon, L.; Menard, J.-F. Short-term and long-term outcomes of interstitial lung disease in polymyositis and dermatomyositis: A series of 107 patients. Arthritis Rheum. 2011, 63, 3439–3447. [Google Scholar] [CrossRef]
- Yang, Y.; Fujita, J.; Tokuda, M.; Bandoh, S.; Ishida, T. Chronological Evaluation of the Onset of Histologically Confirmed Interstitial Pneumonia Associated with Polymyositis/dermatomyositis. Intern. Med. 2002, 41, 1135–1140. [Google Scholar] [CrossRef][Green Version]
- Fujisawa, T.; Hozumi, H.; Kono, M.; Enomoto, N.; Hashimoto, D.; Nakamura, Y.; Inui, N.; Yokomura, K.; Koshimizu, N.; Toyoshima, M.; et al. Prognostic factors for myositis-associated interstitial lung disease. PLoS ONE 2014, 9, e98824. [Google Scholar] [CrossRef]
- Ikezoe, J.; Johkoh, T.; Kohno, N.; Takeuchi, N.; Ichikado, K.; Nakamura, H. High-Resolution CT Findings of Lung Disease in Patients with Polymyositis and Dermatomyositis. J. Thorac. Imaging 1996, 11, 250–259. [Google Scholar] [CrossRef]
- Bonnefoy, O.; Ferretti, G.; Calaque, O.; Coulomb, M.; Begueret, H.; Beylot-Barry, M.; Laurent, F. Serial chest CT findings in interstitial lung disease associated with polymyositis-dermatomyositis. Eur. J. Radiol. 2004, 49, 235–244. [Google Scholar] [CrossRef]
- Arakawa, H.; Yamada, H.; Kurihara, Y.; Nakajima, Y.; Takeda, A.; Fukushima, Y.; Fujioka, M. Nonspecific interstitial pneumonia associated with polymyositis and dermatomyositis: Serial high-resolution CT findings and functional correlation. Chest 2003, 123, 1096–1103. [Google Scholar] [CrossRef] [PubMed]
- Akira, M.; Hara, H.; Sakatani, M. Interstitial Lung Disease in Association with Polymyositis-Dermatomyositis: Long-term Follow-up CT Evaluation in Seven Patients. Radiology 1999, 210, 333–338. [Google Scholar] [CrossRef]
- Aggarwal, R.; McBurney, C.; Schneider, F.; Yousem, S.A.; Gibson, K.F.; Lindell, K.; Fuhrman, C.R.; Oddis, C.V. Myositis-associated usual interstitial pneumonia has a better survival than idiopathic pulmonary fibrosis. Rheumatology 2016, 56, 384–389. [Google Scholar] [CrossRef]
- Tanizawa, K.; Handa, T.; Nakashima, R.; Kubo, T.; Hosono, Y.; Watanabe, K.; Aihara, K.; Oga, T.; Chin, K.; Nagai, S.; et al. HRCT features of interstitial lung disease in dermatomyositis with anti-CADM-140 antibody. Respir. Med. 2011, 105, 1380–1387. [Google Scholar] [CrossRef]
- Tillie-Leblond, I.; Wislez, M.; Valeyre, D.; Crestani, B.; Rabbat, A.; Israel-Biet, D.; Humbert, M.; Couderc, L.J.; Wallaert, B.; Cadranel, J. Interstitial lung disease and anti-Jo-1 antibodies: Difference between acute and gradual onset. Thorax 2008, 63, 53–59. [Google Scholar] [CrossRef]
- Waseda, Y.; Johkoh, T.; Egashira, R.; Sumikawa, H.; Saeki, K.; Watanabe, S.; Matsunuma, R.; Takato, H.; Ichikawa, Y.; Hamaguchi, Y.; et al. Antisynthetase syndrome: Pulmonary computed tomography findings of adult patients with antibodies to aminoacyl-tRNA synthetases. Eur. J. Radiol. 2016, 85, 1421–1426. [Google Scholar] [CrossRef] [PubMed]
- Pinal-Fernandez, I.; Casal-Dominguez, M.; Huapaya, J.A.; Albayda, J.; Paik, J.J.; Johnson, C.; Silhan, L.; Christopher-Stine, L.; Mammen, A.L.; Danoff, S.K. A longitudinal cohort study of the anti-synthetase syndrome: Increased severity of interstitial lung disease in black patients and patients with anti-PL7 and anti-PL12 autoantibodies. Rheumatology 2017, 56, 999–1007. [Google Scholar] [CrossRef]
- Yoshifuji, H.; Fujii, T.; Kobayashi, S.; Imura, Y.; Fujita, Y.; Kawabata, D.; Usui, T.; Tanaka, M.; Nagai, S.; Umehara, S.; et al. Anti-aminoacyl-tRNA synthetase antibodies in clinical course prediction of interstitial lung disease complicated with idiopathic inflammatory myopathies. Autoimmunity 2006, 39, 233–241. [Google Scholar] [CrossRef]
- Hozumi, H.; Fujisawa, T.; Nakashima, R.; Johkoh, T.; Sumikawa, H.; Murakami, A.; Enomoto, N.; Inui, N.; Nakamura, Y.; Hosono, Y.; et al. Comprehensive assessment of myositis-specific autoantibodies in polymyositis/dermatomyositis-associated interstitial lung disease. Respir. Med. 2016, 121, 91–99. [Google Scholar] [CrossRef] [PubMed]
- Karadimitrakis, S.; Plastiras, S.C.; Zormpala, A.; Chatzikonstantinou, K.; Boki, K.A.; Tzelepis, G.E.; Moutsopoulos, H.M. Chest CT findings in patients with inflammatory myopathy and Jo1 antibodies. Eur. J. Radiol. 2008, 66, 27–30. [Google Scholar] [CrossRef] [PubMed]
- Tanizawa, K.; Handa, T.; Nakashima, R.; Kubo, T.; Hosono, Y.; Aihara, K.; Ikezoe, K.; Watanabe, K.; Taguchi, Y.; Hatta, K.; et al. The prognostic value of HRCT in myositis-associated interstitial lung disease. Respir. Med. 2013, 107, 745–752. [Google Scholar] [CrossRef] [PubMed]
- Nagata, K.; Tomii, K.; Nanjo, S.; Kubota, M.; Tachikawa, R.; Nishio, M. Four cases of interstitial pneumonia associated with amyopathic dermatomyositis characterized by the anti-CADM-140 antibody. J. Jpn. Respir. Soc. 2011, 49, 30–36. [Google Scholar]
- Mino, M.; Noma, S.; Taguchi, Y.; Tomii, K.; Kohri, Y.; Oida, K. Pulmonary involvement in polymyositis and dermatomyositis: Sequential evaluation with CT. AJR Am. J. Roentgenol. 1997, 169, 83–87. [Google Scholar] [CrossRef]
- Ichikado, K.; Suga, M.; Muller, N.L.; Taniguchi, H.; Kondoh, Y.; Akira, M.; Johkoh, T.; Mihara, N.; Nakamura, H.; Takahashi, M.; et al. Acute interstitial pneumonia: Comparison of high-resolution computed tomography findings between survivors and nonsurvivors. Am. J. Respir. Crit. Care Med. 2002, 165, 1551–1556. [Google Scholar] [CrossRef]
- Zou, J.; Guo, Q.; Chi, J.; Wu, H.; Bao, C. HRCT score and serum ferritin level are factors associated to the 1-year mortality of acute interstitial lung disease in clinically amyopathic dermatomyositis patients. Clin. Rheumatol. 2015, 34, 707–714. [Google Scholar] [CrossRef]
- Murota, M.; Johkoh, T.; Lee, K.S.; Franquet, T.; Kondoh, Y.; Nishiyama, Y.; Tanaka, T.; Sumikawa, H.; Egashira, R.; Yamaguchi, N.; et al. Influenza H1N1 virus-associated pneumonia often resembles rapidly progressive interstitial lung disease seen in collagen vascular diseases and COVID-19 pneumonia; CT-pathologic correlation in 24 patients. Eur. J. Radiol. Open 2020, 7, 100297. [Google Scholar] [CrossRef]
- Han, R.; Huang, L.; Jiang, H.; Dong, J.; Peng, H.; Zhang, D. Early Clinical and CT Manifestations of Coronavirus Disease 2019 (COVID-19) Pneumonia. Am. J. Roentgenol. 2020, 215, 338–343. [Google Scholar] [CrossRef]
- Bernheim, A.; Mei, X.; Huang, M.; Yang, Y.; Fayad, Z.A.; Zhang, N.; Diao, K.; Lin, B.; Zhu, X.; Li, K.; et al. Chest CT Findings in Coronavirus Disease-19 (COVID-19): Relationship to Duration of Infection. Radiology 2020, 295, 200463. [Google Scholar] [CrossRef]












| Chronic to Subacute | Acute |
|---|---|
| Subacute course of disease > chronic | Acute or subacute onset, often with a rapid progressive course |
| Predominantly in the lower lobes of both lungs | Diffuse, or diffuse with a predominance of the lower lung zone |
| Peribronchovascular bundle distribution | Peribronchovascular distribution in the lower lobes, with parallel extension to the pleura |
| Reticular shadows and consolidation are common | GGO and consolidation |
| Reduced volume of the lower lobes | Basal volume loss |
| Traction bronchiectasis |
| Anti-ARS Antibody Positive | Anti-MDA5 Antibody Positive |
|---|---|
| Chronic to subacute onset >> Acute/rapidly progressive | Acute or subacute onset, often rapidly progressive |
| Distribution along the bronchovascular bundles in the bilateral lower lung fields > diffuse | Diffuse, predominantly in the lower lung fields, or both |
| Reduced volume of the lower lobes | Peribronchovascular lesion of the periphery of lower lobes, with parallel spread to the pleura |
| Reticular shadows or consolidation > GGO | Patchy distribution |
| Good response to treatment but relapses | GGO and consolidation |
Publisher’s Note: MDPI stays neutral with regard to jurisdictional claims in published maps and institutional affiliations. |
© 2021 by the author. Licensee MDPI, Basel, Switzerland. This article is an open access article distributed under the terms and conditions of the Creative Commons Attribution (CC BY) license (https://creativecommons.org/licenses/by/4.0/).
Share and Cite
Egashira, R. High-Resolution CT Findings of Myositis-Related Interstitial Lung Disease. Medicina 2021, 57, 692. https://doi.org/10.3390/medicina57070692
Egashira R. High-Resolution CT Findings of Myositis-Related Interstitial Lung Disease. Medicina. 2021; 57(7):692. https://doi.org/10.3390/medicina57070692
Chicago/Turabian StyleEgashira, Ryoko. 2021. "High-Resolution CT Findings of Myositis-Related Interstitial Lung Disease" Medicina 57, no. 7: 692. https://doi.org/10.3390/medicina57070692
APA StyleEgashira, R. (2021). High-Resolution CT Findings of Myositis-Related Interstitial Lung Disease. Medicina, 57(7), 692. https://doi.org/10.3390/medicina57070692
