Mortality Predictors in Patients Diagnosed with COVID-19 in the Emergency Department: ECG, Laboratory and CT
Abstract
1. Introduction
2. Materials and Methods
2.1. Study Design and Setting
2.2. Evaluation of the Electrocardiogram
2.3. Biochemical Analysis
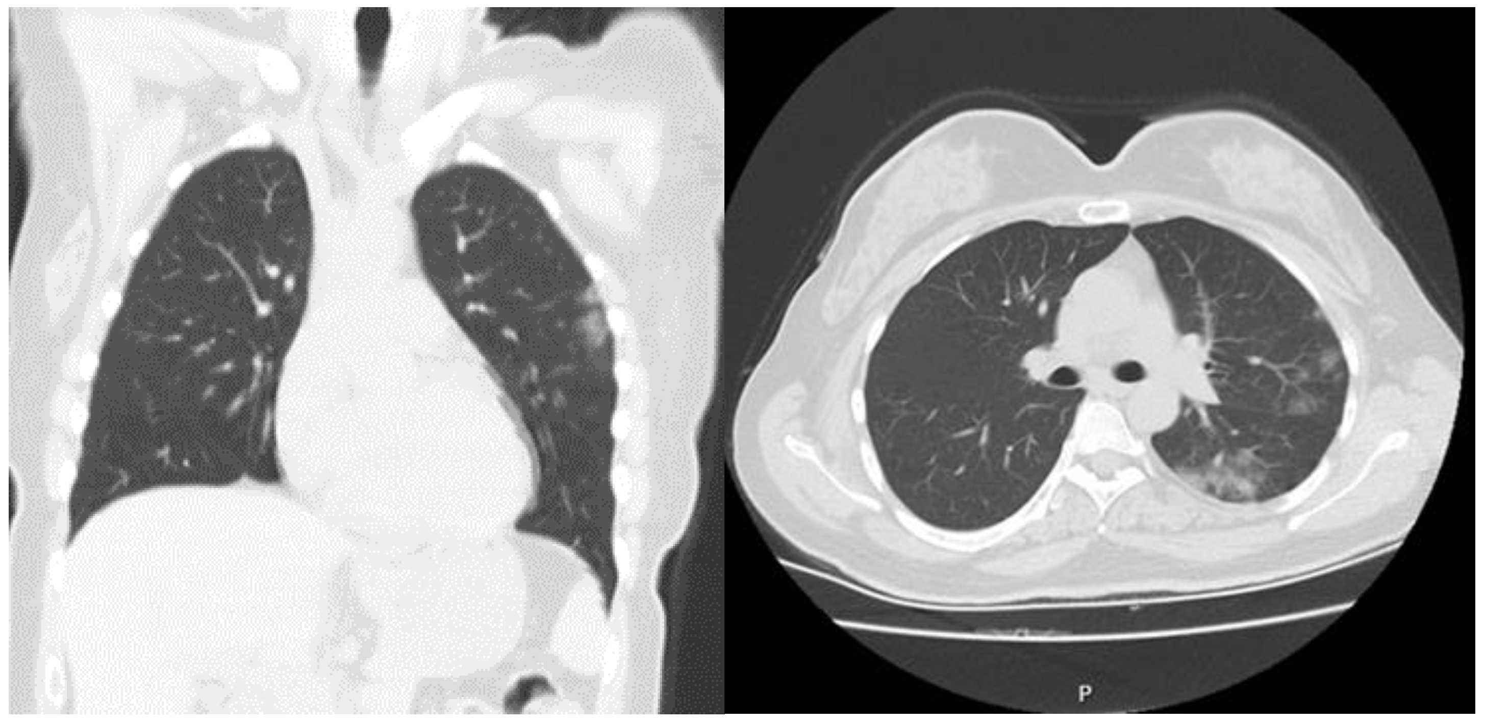
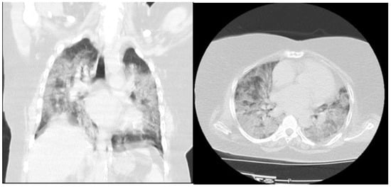
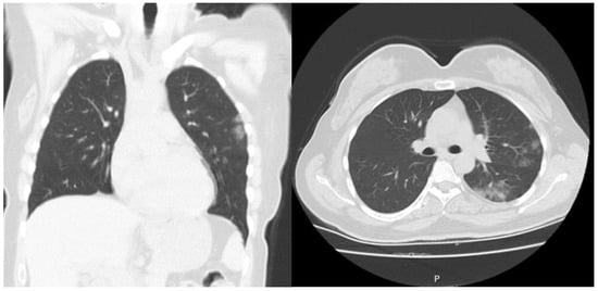
2.4. Chest Computerized Tomography Imaging
2.5. Statistical Analysis
3. Results
4. Discussion
4.1. Limitations
4.2. Recommendations
5. Conclusions
Author Contributions
Funding
Institutional Review Board Statement
Informed Consent Statement
Conflicts of Interest
References
- Du, R.-H.; Liang, L.-R.; Yang, C.-Q.; Wang, W.; Cao, T.-Z.; Li, M.; Guo, G.-Y.; Du, J.; Zheng, C.-L.; Zhu, Q.; et al. Predictors of mortality for patients with COVID-19 pneumonia caused by SARS-CoV-2: A prospective cohort study. Eur. Respir. J. 2020, 55, 2000524. [Google Scholar] [CrossRef]
- Li, J.; Xu, G.; Yu, H.; Peng, X.; Luo, Y.; Cao, C. Clinical Characteristics and Outcomes of 74 Patients With Severe or Critical COVID-19. Am. J. Med. Sci. 2020, 360, 229–235. [Google Scholar] [CrossRef] [PubMed]
- Haseeb, S.; Gul, E.E.; Çinier, G.; Bazoukis, G.; Alvarez-Garcia, J.; Garcia-Zamora, S.; Lee, S.; Yeung, C.; Liu, T.; Tse, G.; et al. Value of electrocardiography in coronavirus disease 2019 (COVID-19). J. Electrocardiol. 2020, 62, 39–45. [Google Scholar] [CrossRef]
- Xu, G.; Yang, Y.; Du, Y.; Peng, F.; Hu, P.; Wang, R.; Yin, M.; Li, T.; Tu, L.; Sun, J.; et al. Clinical Pathway for Early Diagnosis of COVID-19: Updates from Experience to Evidence-Based Practice. Clin. Rev. Allergy Immunol. 2020, 59, 89–100. [Google Scholar] [CrossRef] [PubMed]
- Lyu, P.; Liu, X.; Zhang, R.; Shi, L.; Gao, J. The performance of chest CT in evaluating the clinical severity of COVID-19 pneumonia. Investig. Radiol. 2020. [Google Scholar] [CrossRef] [PubMed]
- Pan, F.; Yang, L.; Li, Y.; Liang, B.; Li, L.; Ye, T.; Li, L.; Liu, D.; Gui, S.; Hu, Y.; et al. Factors associated with death outcome in patients with severe coronavirus disease-19 (COVID-19): A case-control study. Int. J. Med. Sci. 2020, 17, 1281–1292. [Google Scholar] [CrossRef]
- Elias, P.; Poterucha, T.J.; Jain, S.S.; Sayer, G.; Raikhelkar, J.; Fried, J.; Clerkin, K.; Griffin, J.; DeFilippis, E.M.; Gupta, A.; et al. The Prognostic Value of Electrocardiogram at Presentation to Emergency Department in Patients With COVID-19. Mayo Clin. Proc. 2020, 95, 2099–2109. [Google Scholar] [CrossRef]
- Mccullough, S.A.; Goyal, P.; Krishnan, U.; Choi, J.J.; Safford, M.M.; Okin, P.M. Electrocardiographic Findings in Coronavirus Disease-19: Insights on Mortality and Underlying Myocardial Processes. J. Card. Fail. 2020, 26, 626–632. [Google Scholar] [CrossRef]
- Ay, M.O.; Kozaci, N.; Ay, O.O.; Kaya, H.; Bulut, M.; Yuksel, M.; Adali, E.; Kenan, E.; Cetin, E. QTc interval and electrocardiographic findings of COVID-19 patients. Ann. Clin. Anal. Med. 2021. [Google Scholar] [CrossRef]
- Özdemir, Ö. Coronavirus Disease 2019 (COVID-19): Diagnosis and Management. Erciyes Med. J. 2020, 42, 242–247. [Google Scholar] [CrossRef]
- Pamuk, S. Epidemiology, pathogenesis, diagnosis and management of COVID-19. Turk. J. Ear Nose Throat 2020, 30, 1–9. [Google Scholar] [CrossRef]
- Zhou, F.; Yu, T.; Du, R.; Fan, G.; Liu, Y.; Liu, Z.; Xiang, J.; Wang, Y.; Song, B.; Gu, X.; et al. Clinical course and risk factors for mortality of adult inpatients with COVID-19 in Wuhan, China: A retrospective cohort study. Lancet 2020, 395, 1054–1062. [Google Scholar] [CrossRef]
- Chen, T.; Wu, D.; Chen, H.; Yan, W.; Yang, D.; Chen, G.; Ma, K.; Xu, D.; Yu, H.; Wang, H.; et al. Clinical characteristics of 113 deceased patients with coronavirus disease 2019: Retrospective study. BMJ 2020, 368, m1091. [Google Scholar] [CrossRef]
- Zhang, L.; Yan, X.; Fan, Q.; Liu, H.; Liu, X.; Liu, Z.; Zhang, Z. D-dimer levels on admission to predict in-hospital mortality in patients with Covid-19. J. Thromb. Haemost. 2020, 18, 1324–1329. [Google Scholar] [CrossRef] [PubMed]
- Foy, B.H.; Carlson, J.C.T.; Reinertsen, E.; Valls, R.P.I.; Lopez, R.P.; Palanques-Tost, E.; Mow, C.; Westover, M.B.; Aguirre, A.D.; Higgins, J.M. Association of Red Blood Cell Distribution Width With Mortality Risk in Hospitalized Adults With SARS-CoV-2 Infection. JAMA Netw. Open 2020, 3, e2022058. [Google Scholar] [CrossRef] [PubMed]
- Yan, B.; Yang, J.; Xie, Y.; Tang, X. Relationship between blood eosinophil levels and COVID-19 mortality. World Allergy Organ. J. 2021, 14, 100521. [Google Scholar] [CrossRef]
- Guan, W.-J.; Ni, Z.-Y.; Hu, Y.; Liang, W.; Ou, C.-Q.; He, J.-X.; Liu, L.; Shan, H.; Lei, C.-L.; Hui, D.S.; et al. Clinical characteristics of 2019 novel coronavirus infection in China. N. Engl. J. Med. 2020. [Google Scholar] [CrossRef]
- Xu, X.; Yu, C.; Qu, J.; Zhang, L.; Jiang, S.; Huang, D.; Chen, B.; Zhang, Z.; Guan, W.; Ling, Z.; et al. Imaging and clinical features of patients with 2019 novel coronavirus SARS-CoV-2. Eur. J. Nucl. Med. Mol. Imaging 2020, 47, 1275–1280. [Google Scholar] [CrossRef]
- Turcato, G.; Panebianco, L.; Zaboli, A.; Scheurer, C.; Ausserhofer, D.; Wieser, A.; Pfeifer, N. Correlation between arterial blood gas and CT volumetry in patients with SARS-CoV-2 in the emergency department. Int. J. Infect. Dis. 2020, 97, 233–235. [Google Scholar] [CrossRef]
- Barbosa, C.S.; Chaves, G.W.O.G.; De Oliveira, C.V.; Bachion, G.H.; Chi, C.K.; Cerri, G.G.; Lima, T.C.; Lee, H.J. COVID-19 pneumonia in the emergency department: Correlation of initial chest CT findings with short-term outcome. Emerg. Radiol. 2020, 27, 1–9. [Google Scholar] [CrossRef]
- Shang, Y.; Xu, C.; Jiang, F.; Huang, R.; Li, Y.; Zhou, Y.; Xu, F.; Dai, H. Clinical characteristics and changes of chest CT features in 307 patients with common COVID-19 pneumonia infected SARS-CoV-2: A multicenter study in Jiangsu, China. Int. J. Infect. Dis. 2020, 96, 157–162. [Google Scholar] [CrossRef] [PubMed]
- Shenoy, N.; Luchtel, R.; Gulani, P. Considerations for target oxygen saturation in COVID-19 patients: Are we under-shooting? BMC Med. 2020, 18, 1–6. [Google Scholar] [CrossRef] [PubMed]




| Groups | Group 1 (Survivor) n (%) | Group 2 (Non-Survivor) n (%) | p Value |
|---|---|---|---|
| Complaints of Patients in Emergency Service | |||
| No complaint (a history of contact with a COVID-19 patient in the anamnesis) | 57 (16) | 1 (1) | 0.001 |
| Fever | 40 (12) | 2 (3) | |
| Cough | 37 (10) | 7 (10) | |
| Dyspnea | 99 (29) | 50 (69) | |
| Joint Pain | 32 (9) | 2 (3) | |
| Weakness | 64 (18) | 7 (10) | |
| Diarrhea | 7 (2) | 2 (3) | |
| Nausea andVomiting | 9 (3) | 1 (1) | |
| Anosmia | 2 (1) | 0 | |
| Total | 347 | 72 | |
| Cronical Diseases | |||
| Diabetes Mellitus | 25 (7.2) | 11 (15.3) | 0.036 |
| Hypertension | 87 (25) | 16 (22.2) | 0.655 |
| Coronary Artery Disease | 18 (5.2) | 13 (18.1) | 0.001 |
| Chronic Obstructive Pulmonary Disease | 23 (6.6) | 5 (6.9) | 1.000 |
| Renal Failure | 3 (0.9) | 1 (1.4) | 0.531 |
| Cancer | 0 | 2 (2.8) | 0.029 |
| Stroke | 2 (0.6) | 5 (6.9) | 0.002 |
| Groups | Group 1 (Survivor) | Group 2 (Non-Survivor) | p Value | ||
|---|---|---|---|---|---|
| Median | IQR | Median | IQR | ||
| Vital Signs | |||||
| Fever (°C) | 36.7 | 36.2–37.4 | 36.7 | 36.5–38 | 0.084 |
| PR (beat per minute) | 88 | 78–100 | 100 | 88–118 | 0.001 |
| RR (breaths per minute) | 22 | 18–27 | 35 | 30–39 | 0.001 |
| SBP (mmHg) | 130 | 110–140 | 120 | 100–140 | 0.177 |
| DBP (mmHg) | 80 | 70–80 | 70 | 60–80 | 0.009 |
| SpO2 (%) | 95 | 92–97 | 80 | 69–88 | 0.001 |
| Electrocardiogram | |||||
| ECG rate (beat per minute) | 85 | 75–95 | 96 | 81–102 | 0.008 |
| QRS | 90 | 84–96 | 116 | 92–150 | 0.001 |
| QTc (ms) | 404 | 392–416 | 443 | 414–451 | 0.001 |
| Hemogram | |||||
| Wbc (103/µL) | 6.12 | 4.88–7.92 | 8.08 | 5.46–11.18 | 0.001 |
| Hgb (g/dL) | 13.6 | 12.4–14.8 | 12.9 | 11.4–14.2 | 0.002 |
| Hct (%) | 40.2 | 37.5–43.1 | 38.7 | 34.6–42.6 | 0.037 |
| MCV (fL) | 83.5 | 80.7–86.3 | 85.4 | 81.5–90.9 | 0.003 |
| RDW-SD (fL) | 39.7 | 37.2–42.3 | 43.2 | 40.5–47.9 | 0.001 |
| Plt (103/µL) | 207 | 170–252 | 206 | 145–249 | 0.366 |
| Lym (103/µL) | 1.47 | 1.09–2.03 | 1.06 | 0.80–1.38 | 0.001 |
| Neu (103/µL) | 3.88 | 2.71–5.54 | 6.57 | 3.83–9.33 | 0.001 |
| Eos (103/µL) | 0.02 | 0.01–0.07 | 0.00 | 0.00–0.01 | 0.001 |
| Baso (103/µL) | 0.01 | 0.001–0.03 | 0.01 | 0.00–0.02 | 0.106 |
| Mono (103/µL) | 0.51 | 0.39–0.68 | 0.44 | 0.31–0.61 | 0.024 |
| NLR | 2.56 | 1.65–4.34 | 6.45 | 3.96–9.26 | 0.001 |
| Venous Blood Gases | |||||
| pH | 7.40 | 7.37–7.42 | 7.38 | 7.34–7.42 | 0.036 |
| PCO2 (mmHg) | 43.4 | 38.5–48.1 | 38.8 | 34.1–47.2 | 0.004 |
| PO2(mmHg) | 29 | 25–37 | 29.4 | 21.9–36 | 0.517 |
| BE (mmol/L) | 1.9 | 0.2–3.6 | −0.5 | −4.4–1.9 | 0.001 |
| HCO3 (mmol/L) | 25.2 | 23.8–27 | 22.9 | 19.9–25.1 | 0.001 |
| Lactat (mmol/L) | 1.5 | 1.1–1.8 | 2.2 | 1.4–4.3 | 0.001 |
| Laboratory Results | |||||
| D-Dimer µg/L) | 177 | 105–285 | 482 | 215–791 | 0.001 |
| Fibrinogen (mg/dL) | 421 | 314–554 | 587 | 462–693 | 0.001 |
| CRP (mg/dL) | 2.9 | 0.5–8.4 | 13.8 | 9.2–16.5 | 0.001 |
| Urea (mg/dL) | 27 | 21–37 | 53 | 34–76 | 0.001 |
| Creatinin (mg/dL) | 0.85 | 0.75–1.04 | 1.03 | 0.83–1.69 | 0.001 |
| CK (U/L) | 82 | 52–151 | 97 | 44–220 | 0.266 |
| CK-MB (U/L) | 16.5 | 13–22.8 | 21.6 | 15.5–29.6 | 0.001 |
| hs-Troponin I (ng/mL) | 0 | 0–5.08 | 15.15 | 4.74–40.27 | 0.001 |
| Test Result Variable (s) | Area under Curve (AUC) | Asymptotic 95% Confidence Interval | |
|---|---|---|---|
| Lower Bound | Upper Bound | ||
| RR | 0.044 | 0.023 | 0.065 |
| SpO2 | 0.921 | 0.885 | 0.957 |
| DBP | 0.622 | 0.531 | 0.712 |
| PR | 0.375 | 0.248 | 0.503 |
| ECG rate | 0.332 | 0.215 | 0.448 |
| ECG QTC | 0.347 | 0.226 | 0.467 |
| WBC | 0.357 | 0.281 | 0.434 |
| HGB | 0.616 | 0.545 | 0.687 |
| HCT | 0.578 | 0.499 | 0.657 |
| MCV | 0.389 | 0.310 | 0.468 |
| RDW-SD | 0.242 | 0.180 | 0.304 |
| NEU | 0.285 | 0.217 | 0.352 |
| LYM | 0.695 | 0.629 | 0.761 |
| EOS | 0.710 | 0.644 | 0.776 |
| MONO | 0.585 | 0.508 | 0.662 |
| NLR | 0.214 | 0.158 | 0.270 |
| pH | 0.586 | 0.499 | 0.673 |
| PCO2 | 0.617 | 0.532 | 0.703 |
| BE | 0.687 | 0.602 | 0.773 |
| HCO3 | 0.735 | 0.661 | 0.809 |
| Lactat | 0.282 | 0.197 | 0.366 |
| D-Dimer | 0.228 | 0.171 | 0.286 |
| Fibrinogen | 0.264 | 0.201 | 0.328 |
| CRP | 0.154 | 0.112 | 0.196 |
| Urea | 0.194 | 0.138 | 0.251 |
| Creatinin | 0.319 | 0.245 | 0.394 |
| CK-MB | 0.371 | 0.295 | 0.448 |
| hs-Troponin I | 0.182 | 0.126 | 0.239 |
| Groups | Group 1 (Survivor) n = 347 (%) | Group 2 (Non-Survivor) n = 72 (%) |
|---|---|---|
| ECG Findings | ||
| Atrial fibrillation | 5 (1.4) | 3 (4.2) |
| RBBB | 11 (3.2) | 2 (2.8) |
| ST segment depression | 2 (0.6) | 2 (2.8) |
| T dalga inversion | 11 (3.2) | 1 (1.4) |
| LBBB | 3(0.9) | 4 (5.6) |
| LVH | 4 (1.2) | 2 (2.8) |
| S1Q3T3 | 14 (4) | 2 (2.8) |
| Chest Computed Tomography | ||
| Normal | 74 (21.3) | 0 |
| Mild | 95 (27.4) | 0 |
| Moderate | 138 (39.8) | 15 (20.8) |
| Severe | 40 (11.5) | 57 (79.2) |
| Follow-up and Treatments | ||
| Patients followed and treated at home | 139 (40) | 0 |
| Service | 186 (54) | 8 (11) |
| Intensive Care Unit | 22 (6) | 64 (89) |
Publisher’s Note: MDPI stays neutral with regard to jurisdictional claims in published maps and institutional affiliations. |
© 2021 by the authors. Licensee MDPI, Basel, Switzerland. This article is an open access article distributed under the terms and conditions of the Creative Commons Attribution (CC BY) license (https://creativecommons.org/licenses/by/4.0/).
Share and Cite
Türkay Kunt, A.; Kozaci, N.; Torun, E. Mortality Predictors in Patients Diagnosed with COVID-19 in the Emergency Department: ECG, Laboratory and CT. Medicina 2021, 57, 629. https://doi.org/10.3390/medicina57060629
Türkay Kunt A, Kozaci N, Torun E. Mortality Predictors in Patients Diagnosed with COVID-19 in the Emergency Department: ECG, Laboratory and CT. Medicina. 2021; 57(6):629. https://doi.org/10.3390/medicina57060629
Chicago/Turabian StyleTürkay Kunt, Aslı, Nalan Kozaci, and Ebru Torun. 2021. "Mortality Predictors in Patients Diagnosed with COVID-19 in the Emergency Department: ECG, Laboratory and CT" Medicina 57, no. 6: 629. https://doi.org/10.3390/medicina57060629
APA StyleTürkay Kunt, A., Kozaci, N., & Torun, E. (2021). Mortality Predictors in Patients Diagnosed with COVID-19 in the Emergency Department: ECG, Laboratory and CT. Medicina, 57(6), 629. https://doi.org/10.3390/medicina57060629

