Anti-Inflammatory and Mineralization Effects of Bromelain on Lipopolysaccharide-Induced Inflammation of Human Dental Pulp Cells
Abstract
1. Introduction
2. Materials and Methods
2.1. Primary Culture of hDPCs
2.2. Cell Treatment
2.3. Cell Viability Test
2.4. Real-Time Polymerase Chain Reaction (PCR)
2.5. Enzyme-Linked Immunosorbent Assay (ELISA)
2.6. Western Blot Analysis
2.7. Immunofluorescence Staining
2.8. Alkaline Phosphatase (ALP) Staining and Alizarin Red Staining
2.9. Statistical Analysis
3. Results
3.1. Effects of Bromelain on hDPC Cell Viability
3.2. Effects of Bromelain on Levels of Proinflammatory Cytokines, mRNA Mediators, and Protein Expression in LPS-Stimulated hDPCs
3.3. Effects of Bromelain on LPS-Stimulated hDPCs Are Dependent on NF-κB Pathway in hDPCs
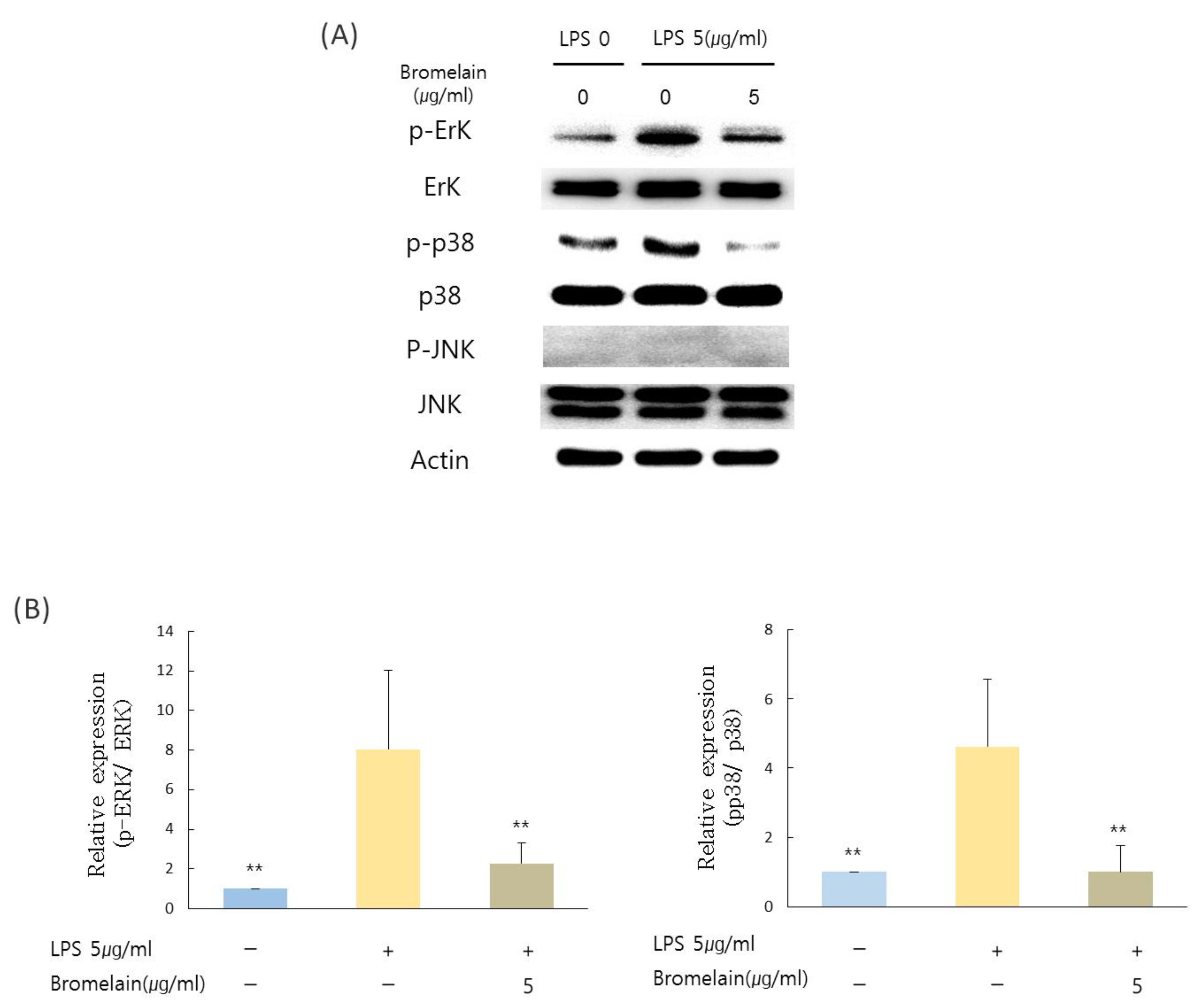
3.4. Effects of Bromelain on LPS-Stimulated hDPCs Are Dependent on ERK and p38 Pathway in hDPCs
3.5. Effects of Bromelain on Mineralization in hDPCs
4. Discussion
5. Conclusions
Author Contributions
Funding
Institutional Review Board Statement
Informed Consent Statement
Data Availability Statement
Conflicts of Interest
References
- Love, R.; Jenkinson, H. Invasion of dentinal tubules by oral bacteria. Crit. Rev. Oral Biol. Med. 2002, 13, 171–183. [Google Scholar] [CrossRef] [PubMed]
- Hahn, C.L.; Liewehr, F.R. Relationships between caries bacteria, host responses, and clinical signs and symptoms of pulpitis. J. Endod. 2007, 33, 213–219. [Google Scholar] [CrossRef] [PubMed]
- Akira, S.; Takeda, K. Toll-like receptor signalling. Nat. Rev. Immunol. 2004, 4, 499. [Google Scholar] [CrossRef] [PubMed]
- Sugiuchi, A.; Sano, Y.; Furusawa, M.; Abe, S.; Muramatsu, T. Human dental pulp cells express cellular markers for inflammation and hard tissue formation in response to bacterial information. J. Endod. 2018, 44, 992–996. [Google Scholar] [CrossRef]
- Pavan, R.; Jain, S.; Kumar, A. Properties and therapeutic application of bromelain: A review. Biotechnol. Res. Int. 2012, 2012, 976203. [Google Scholar] [CrossRef]
- Rathnavelu, V.; Alitheen, N.B.; Sohila, S.; Kanagesan, S.; Ramesh, R. Potential role of bromelain in clinical and therapeutic applications. Biomed. Rep. 2016, 5, 283–288. [Google Scholar] [CrossRef]
- Engwerda, C.R.; Andrew, D.; Murphy, M.; Mynott, T.L. Bromelain activates murine macrophages and natural killer cells in vitro. Cell Immunol. 2001, 210, 5–10. [Google Scholar] [CrossRef]
- Engwerda, C.R.; Andrew, D.; Ladhams, A.; Mynott, T.L. Bromelain modulates T cell and B cell immune responses in vitro and in vivo. Cell Immunol. 2001, 210, 66–75. [Google Scholar] [CrossRef]
- Onken, J.E.; Greer, P.K.; Calingaert, B.; Hale, L.P. Bromelain treatment decreases secretion of pro-inflammatory cytokines and chemokines by colon biopsies in vitro. Clin. Immunol. 2008, 126, 345–352. [Google Scholar] [CrossRef]
- Bhui, K.; Tyagi, S.; Srivastava, A.K.; Singh, M.; Roy, P.; Singh, R.; Shukla, Y. Bromelain inhibits nuclear factor kappa-B translocation, driving human epidermoid carcinoma A431 and melanoma A375 cells through G2/M arrest to apoptosis. Mol. Carcinog. 2012, 51, 231–243. [Google Scholar] [CrossRef]
- Lee, J.H.; Lee, J.B.; Lee, J.T.; Park, H.R.; Kim, J.B. Medicinal effects of bromelain (Ananas comosus) targeting oral environment as an anti-oxidant and anti-inflammatory agent. J. Food Nutri. Res. 2018, 6, 773–784. [Google Scholar] [CrossRef]
- Praveen, N.C.; Rajesh, A.; Madan, M.; Chaurasia, V.R.; Hiremath, N.V.; Sharma, A.M. In vitro Evaluation of Antibacterial Efficacy of Pineapple Extract (Bromelain) on Periodontal Pathogens. J. Int. Oral. Health 2014, 6, 96–98. [Google Scholar] [PubMed]
- Ghensi, P.; Cucchi, A.; Creminelli, L.; Tomasi, C.; Zavan, B.; Maiorana, C.J. Effect of Oral Administration of Bromelain on Postoperative Discomfort After Third Molar Surgery. J. Craniofac. Surg. 2017, 28, e191–e197. [Google Scholar] [CrossRef] [PubMed]
- Livak, K.J.; Schmittgen, T.D. Analysis of relative gene expression data using real-time quantitative PCR and the 2−ΔΔCT method. Methods 2001, 25, 402–408. [Google Scholar] [CrossRef]
- Hilton, T.J. Keys to clinical success with pulp capping: A review of the literature. Oper. Dent. 2009, 34, 615–625. [Google Scholar] [CrossRef]
- Leipner, J.; Iten, F.; Saller, R. Therapy with proteolytic enzymes in rheumatic disorders. BioDrugs 2001, 15, 779–789. [Google Scholar] [CrossRef]
- Heinrich, P.C.; Castell, J.V.; Andus, T. Interleukin-6 and the acute phase response. Biochem. J. 1990, 265, 621. [Google Scholar] [CrossRef]
- Kobayashi, Y. The role of chemokines in neutrophil biology. Front. Biosci. 2008, 13, 2400–2407. [Google Scholar] [CrossRef]
- Fitzhugh, D.J.; Shan, S.; Dewhirst, M.W.; Hale, L.P. Bromelain treatment decreases neutrophil migration to sites of inflammation. Clin. Immunol. 2008, 128, 66–74. [Google Scholar] [CrossRef]
- Tracey, L.; Andrew, L.; Pierre, S.; Christian, R.E. Bromelain, from pineapple stems, proteolytically blocks activation of extracellular regulated kinase-2 in T cells. J. Immunol. 1999, 163, 2568–2575. [Google Scholar]
- Secor, E.R., Jr.; Carson, W.F., IV; Cloutier, M.M.; Guernsey, L.A.; Schramm, C.M.; Wu, C.A.; Thrall, R.S. Bromelain exerts anti-inflammatory effects in an ovalbumin-induced murine model of allergic airway disease. Cell Immunol. 2005, 237, 68–75. [Google Scholar] [CrossRef]
- Henninger, D.D.; Panés, J.; Eppihimer, M.; Russell, J.; Gerritsen, M.; Anderson, D.C.; Granger, D.N. Cytokine-induced VCAM-1 and ICAM-1 expression in different organs of the mouse. J. Immunol. 1997, 158, 1825–1832. [Google Scholar]
- Yusuf-Makagiansar, H.; Anderson, M.E.; Yakovleva, T.V.; Murray, J.S.; Siahaan, T.J. Inhibition of LFA-1/ICAM-1 and VLA-4/VCAM-1 as a therapeutic approach to inflammation and autoimmune diseases. Med. Res. Rev. 2002, 22, 146–167. [Google Scholar] [CrossRef]
- Sawa, Y.; Yoshida, S.; Shibata, K.I.; Suzuki, M.; Mukaida, A. Vascular endothelium of human dental pulp expresses diverse adhesion molecules for leukocyte emigration. Tissue Cell 1998, 30, 281–291. [Google Scholar] [CrossRef]
- Liu, T.; Zhang, L.; Joo, D.; Sun, S.C. NF-κB signaling in inflammation. Signal Transduct. Target Ther. 2017, 2, 17023. [Google Scholar] [CrossRef]
- Yamamoto, Y.; Gaynor, R.B. Therapeutic potential of inhibition of the NF-kappaB pathway in the treatment of inflammation and cancer. J. Clin. Investig. 2001, 107, 135–142. [Google Scholar] [CrossRef]
- Lee, J.C.; Young, P.R. Role of CSBP/p38/RK stress response kinase in LPS and cytokine signaling mechanisms. J. Leukoc. Biol. 1996, 59, 152–157. [Google Scholar] [CrossRef]
- Zhu, W.; Downey, J.S.; Gu, J.; Di Padova, F.; Gram, H.; Han, J. Regulation of TNF expression by multiple mitogen-activated protein kinase pathways. J. Immunol. 2000, 164, 6349–6358. [Google Scholar] [CrossRef]
- Iwaya, S.I.; Ikawa, M.; Kubota, M. Revascularization of an immature permanent tooth with apical periodontitis and sinus tract. Dent. Traumatol. 2001, 17, 185–187. [Google Scholar] [CrossRef]
- Andreasen, J.O.; Bakland, L.K. Pulp regeneration after non-infected and infected necrosis, what type of tissue do we want? A review. Dent. Traumatol. 2012, 28, 13–18. [Google Scholar] [CrossRef]
- Hashimoto, K.; Kawashima, N.; Ichinose, S.; Nara, K.; Noda, S.; Okiji, T. EDTA treatment for sodium hypochlorite–treated dentin recovers disturbed attachment and induces differentiation of mouse dental papilla cells. J. Endod. 2018, 44, 256–262. [Google Scholar] [CrossRef] [PubMed]
- Dayem, R.N.; Tameesh, M.A. A new concept in hybridization: Bromelain enzyme for deproteinizaing dentin before application of adhesive system. Contemp. Clin. Dent. 2013, 4, 421. [Google Scholar] [CrossRef] [PubMed]




| Gene | Sequences (5′-3′) |
|---|---|
| IL-1 β | Forward: TCA ATA TTA GAG TCT CAA CCC CCA |
| Reverse: TTC TCT TTC GTT CCC GGT GG | |
| IL-6 | Forward: CAT CAC CAT CTT CCA GGA G |
| Reverse: AGG CTG TTG TCA TAC TTC TC | |
| IL-8 | Forward: TTT CTG TTA AAT CTG GCA ACC CTA GT |
| Reverse: ATA AAG GAG AAA CCA AGG CAC AGT | |
| β-actin | Forward: CTC CTT AAT GTC ACG CAC GAT |
| Reverse: CCT TGT AGC CAG GCC CAT TG |
Publisher’s Note: MDPI stays neutral with regard to jurisdictional claims in published maps and institutional affiliations. |
© 2021 by the authors. Licensee MDPI, Basel, Switzerland. This article is an open access article distributed under the terms and conditions of the Creative Commons Attribution (CC BY) license (https://creativecommons.org/licenses/by/4.0/).
Share and Cite
Hong, J.-H.; Kim, M.-R.; Lee, B.-N.; Oh, W.-M.; Min, K.-S.; Im, Y.-G.; Hwang, Y.-C. Anti-Inflammatory and Mineralization Effects of Bromelain on Lipopolysaccharide-Induced Inflammation of Human Dental Pulp Cells. Medicina 2021, 57, 591. https://doi.org/10.3390/medicina57060591
Hong J-H, Kim M-R, Lee B-N, Oh W-M, Min K-S, Im Y-G, Hwang Y-C. Anti-Inflammatory and Mineralization Effects of Bromelain on Lipopolysaccharide-Induced Inflammation of Human Dental Pulp Cells. Medicina. 2021; 57(6):591. https://doi.org/10.3390/medicina57060591
Chicago/Turabian StyleHong, Joo-Hyun, Mi-Ra Kim, Bin-Na Lee, Won-Mann Oh, Kyung-San Min, Yeong-Gwan Im, and Yun-Chan Hwang. 2021. "Anti-Inflammatory and Mineralization Effects of Bromelain on Lipopolysaccharide-Induced Inflammation of Human Dental Pulp Cells" Medicina 57, no. 6: 591. https://doi.org/10.3390/medicina57060591
APA StyleHong, J.-H., Kim, M.-R., Lee, B.-N., Oh, W.-M., Min, K.-S., Im, Y.-G., & Hwang, Y.-C. (2021). Anti-Inflammatory and Mineralization Effects of Bromelain on Lipopolysaccharide-Induced Inflammation of Human Dental Pulp Cells. Medicina, 57(6), 591. https://doi.org/10.3390/medicina57060591

