Treatment of Unstable Occipital Condylar Fractures in Children—A STROBE-Compliant Investigation
Abstract
1. Introduction
2. Materials and Methods
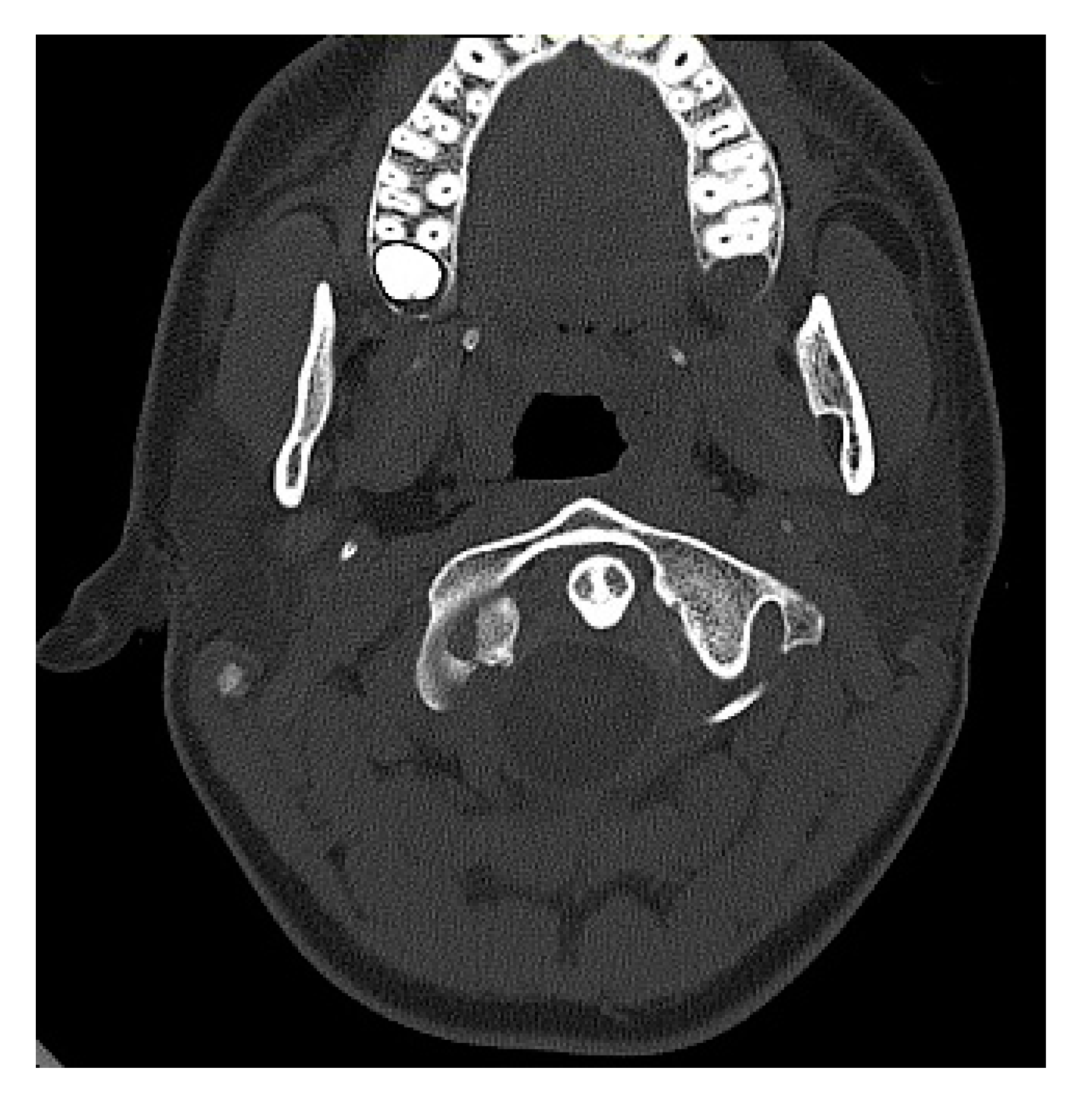
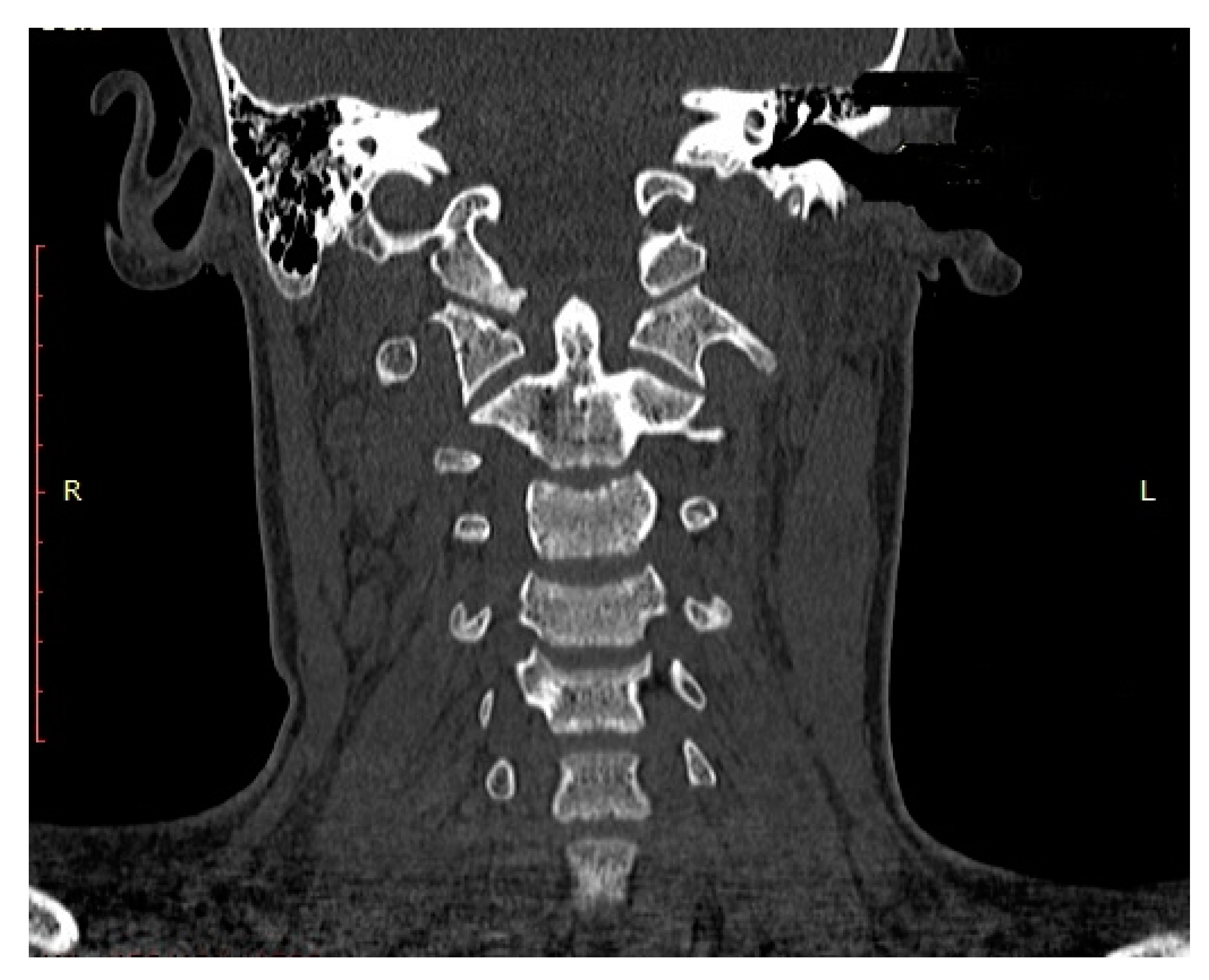
3. Results
3.1. Outcome of Unstable OCF After Halo-Vest Therapy
3.2. Functionality of Craniocervical Junction at Follow-up
3.3. Complications of Halo-Vest Therapy
4. Discussion
4.1. Anderson–Montesano Classification
4.2. Other Classifications
4.3. Patient Management
4.4. Conservative Treatment Options for OCF
4.5. Operative Stabilization of OCF
4.6. Study Limitations and Strengths
5. Conclusions
- We recommend CT and MRI of the CCJ to diagnose OCF and confirm post-therapeutic fracture consolidation in pediatric patients.
- Halo-vest immobilization in pediatric patients suffering from acute, unstable OCF provides good treatment outcomes.
- Prospective, randomized, multicenter studies are required to confirm our findings and to establish guidelines for assessing post-traumatic stability of the CCJ in children and adolescents with OCF.
Author Contributions
Funding
Institutional Review Board Statement
Informed Consent Statement
Data Availability Statement
Acknowledgments
Conflicts of Interest
References
- Caroli, E.; Rocchi, G.; Orlando, E.R.; Delfini, R. Occipital condyle fractures: Report of five cases and literature review. Eur. Spine J. 2005, 14, 487–492. [Google Scholar] [CrossRef]
- Kapapa, T.; Tschan, C.A.; König, K.; Schlesinger, A.; Haubitz, B.; Becker, H.; Zumkeller, M.; Eckhard, R. Fracture of the occipital condyle caused by minor trauma in child. J. Pediatr. Surg. 2006, 41, 1774–1776. [Google Scholar] [CrossRef]
- Lehn, A.C.; Lettieri, J.; Grimley, R. A Case of Bilateral Lower Cranial Nerve Palsies After Base of Skull Trauma With Complex Management Issues. Neurology 2012, 18, 152–154. [Google Scholar] [CrossRef]
- Malham, G.M.; Ackland, H.M.; Jones, R.; Williamson, O.D.; Varma, D.K. Occipital condyle fractures: Incidence and clinical follow-up at a level 1 trauma centre. Emerg. Radiol. 2009, 16, 291–297. [Google Scholar] [CrossRef]
- Burks, J.D.; Conner, A.K.; Briggs, R.G.; Bonney, P.A.; Smitherman, A.D.; Baker, C.M.; Glenn, C.A.; Ghafil, C.A.; Pryor, D.P.; O’Connor, K.P.; et al. Blunt vertebral artery injury in occipital condyle fractures. J. Neurosurg. Spine 2018, 29, 500–505. [Google Scholar] [CrossRef]
- Bloom, A.; Neeman, Z.; Slasky, B.S.; Floman, Y.; Milgrom, M.; Rivkind, A.; Bar-Ziv, J. Fracture of the occipital condyles and associated craniocervical ligament injury: Incidence, CT imaging and implications. Clin. Radiol. 1997, 52, 198–202. [Google Scholar] [CrossRef]
- Raila, F.A.; Aitken, A.T.; Vickers, G.N. Computed tomography and three-dimensional reconstruction in the evaluation of occipital condyle fracture. Skelet. Radiol. 1993, 22, 269–271. [Google Scholar] [CrossRef]
- Anderson, P.A.; Montesano, P.X. Morphology and Treatment of Occipital Condyle Fractures. Spine 1988, 13, 731–736. [Google Scholar] [CrossRef]
- Tuli, S.; Tator, C.H.; Fehlings, M.G.; Mackay, M. Occipital Condyle Fractures. Neurosurgery 1997, 41, 368–377. [Google Scholar] [CrossRef]
- Byström, O.; Jensen, T.S.; Poulsen, F.R. Outcome of conservatively treated occipital condylar fractures—A retrospective study. J. Craniovertebral Junction Spine 2017, 8, 322–327. [Google Scholar] [CrossRef]
- Hadley, M.N.; Walters, B.C.; Grabb, P.A.; Oyesiku, N.M.; Przybylski, G.J.; Resnick, D.K.; Ryken, T.C. Occipital Condyle Fractures. Neurosurgery 2002, 50, S114–S119. [Google Scholar] [CrossRef]
- Maserati, M.B.; Stephens, B.; Zohny, Z.; Lee, J.Y.; Kanter, A.S.; Spiro, R.M.; Okonkwo, D.O. Occipital condyle fractures: Clinical decision rule and surgical management. J. Neurosurg. Spine 2009, 11, 388–395. [Google Scholar] [CrossRef]
- Wessels, L.S. Fracture of the occipital condyle. A report of 3 cases. S. Afr. J. Surg. 1990, 28, 155–156. [Google Scholar]
- Cramer, H.; Lauche, R.; Langhorst, J.; Dobos, G.J.; Michalsen, A. Validation of the German version of the Neck Disability Index (NDI). BMC Musculoskelet. Disord. 2014, 15, 91. [Google Scholar] [CrossRef]
- Yu, B.; Wang, Y.; Qiu, G.; Shen, J.; Zhang, J. Effect of Preoperative Brace Treatment on the Mental Health Scores of SRS-22 and SF-36 Questionnaire in Surgically Treated Adolescent Idiopathic Scoliosis Patients. Clin. Spine Surg. 2016, 29, E233–E239. [Google Scholar] [CrossRef]
- Clavien, P.A.; Barkun, J.; De Oliveira, M.L.; Vauthey, J.N.; Dindo, D.; Schulick, R.D.; De Santibañes, E.; Pekolj, J.; Slankamenac, K.; Bassi, C.; et al. The Clavien-Dindo classification of surgical complications: Five-year experience. Ann. Surg. 2009, 250, 187–196. [Google Scholar] [CrossRef]
- Mueller, F.J.; Fuechtmeier, B.; Kinner, B.; Rosskopf, M.; Neumann, C.; Nerlich, M.; Englert, C. Occipital condyle fractures. Prospective follow-up of 31 cases within 5 years at a level 1 trauma centre. Eur. Spine J. 2011, 21, 289–294. [Google Scholar] [CrossRef]
- Borowska-Solonynko, A.; Prokopowicz, V.; Samojłowicz, D.; Brzozowska, M.; Żyłkowski, J.; Lombarski, L. Isolated condylar fractures diagnosed by postmortem computed tomography. Forensic. Sci. Med. Pathol. 2019, 15, 218–223. [Google Scholar] [CrossRef]
- Bolender, N.; Cromwell, L.; Wendling, L. Fracture of the occipital condyle. Am. J. Roentgenol. 1978, 131, 729–731. [Google Scholar] [CrossRef]
- Strehle, E.M.; Tolinov, V. Occipital condylar fractures in children: Rare or underdiagnosed? Dentomaxillofac Radiol. 2012, 41, 175–176. [Google Scholar] [CrossRef]
- Mowafi, H.O.; Hickey, K.S. Occipital condyle fracture in a victim of a motor vehicle collision. J. Emerg. Med. 2006, 31, 259–262. [Google Scholar] [CrossRef]
- Divi, S.N.; Schroeder, G.D.; Oner, F.C.; Kandziora, F.; Schnake, K.J.; Dvorak, M.F.; Benneker, L.M.; Chapman, J.R.; Vaccaro, A.R. AOSpine-Spine Trauma Classification System: The Value of Modifiers: A Narrative Review with Commentary on Evolving Descriptive Principles. Glob. Spine J. 2019, 9, 77S–88S. [Google Scholar] [CrossRef]
- Hanson, J.A.; Deliganis, A.V.; Baxter, A.B.; Cohen, W.A.; Linnau, K.F.; Wilson, A.J.; Mann, F.A. Radiologic and Clinical Spectrum of Occipital Condyle Fractures. Am. J. Roentgenol. 2002, 178, 1261–1268. [Google Scholar] [CrossRef]
- Leone, A.; Cerase, A.; Colosimo, C.; Lauro, L.; Puca, A.; Marano, P. Occipital Condylar Fractures: A Review. Radiology 2000, 216, 635–644. [Google Scholar] [CrossRef]
- Krüger, A.; Oberkircher, L.; Frangen, T.; Ruchholtz, S.; Kühne, C.; Junge, A. Fractures of the occipital condyle clinical spectrum and course in eight patients. J. Craniovertebral Junction Spine 2013, 4, 49–55. [Google Scholar] [CrossRef]
- Alcelik, I.; Manik, K.S.; Sian, P.S.; Khoshneviszadeh, S.E. Occipital condylar fractures. J. Bone Jt. Surg. Br. Vol. 2006, 88, 665–669. [Google Scholar] [CrossRef] [PubMed]
- Roy, A.K.; Miller, B.A.; Holland, C.M.; Fountain, A.J.; Pradilla, G.; Ahmad, F.U. Magnetic resonance imaging of traumatic injury to the craniovertebral junction: A case-based review. Neurosurg. Focus 2015, 38, E3. [Google Scholar] [CrossRef]
- Offiah, C.E.; Day, E. The craniocervical junction: Embryology, anatomy, biomechanics and imaging in blunt trauma. Insights Imaging 2016, 8, 29–47. [Google Scholar] [CrossRef]
- Kelly, A. Fracture of the occipital condyle: The forgotten part of the neck. Emerg. Med. J. 2000, 17, 220–221. [Google Scholar] [CrossRef]
- Karam, Y.R.; Traynelis, V.C. Occipital Condyle Fractures. Neurosurgery 2010, 66, A56–A59. [Google Scholar] [CrossRef]
- Üçler, N.; Yücetaş, Ş.C. Occipital Condyle Fracture Extending to the Inferior Part of the Clivus. Pediatr. Neurosurg. 2018, 53, 282–285. [Google Scholar] [CrossRef]
- Shin, J.J.; Kim, S.J.; Kim, T.H.; Shin, H.S.; Hwang, Y.S.; Park, S.K. Optimal use of the halo-vest orthosis for upper cervical spine injuries. Yonsei Med. J. 2010, 51, 648–652. [Google Scholar] [CrossRef][Green Version]





| Name (Initials) | Sex (Male/ Female) | Age (Years) | Anderson Montesano Classification | Tuli Classification | Cause of Injury | Accompanying Injuries | Immobilization Method |
|---|---|---|---|---|---|---|---|
| P.P. | M | 15.2 | III (unstable) | IIB | Road traffic accident (car passenger) | Fracture frontal bone, fracture frontal sinus, contusion of frontal lobe | Halo-vest immobilization: 12.5 weeks |
| K.D. | F | 15 | III (unstable) | IIB | Pedestrian hit by car | Lung contusion, brain concussion, multiple abrasions | Halo-vest immobilization: 13 weeks |
| R.M. | F | 18 | I (unstable) | IIB | Road traffic accident (car passenger) | Pneumothorax, neurogenic vocal cord injury, post-traumatic aphasia | Halo-vest immobilization: 14 weeks |
| S.D. | M | 14.7 | III (stable) | IIA | Road traffic accident (car passenger) | Fracture of frontal bone, fracture of nasal bone, subdural hematoma | Minerva-brace immobilization |
| B.W. | F | 16 | I (stable) | IIA | Fall from a height | Fracture of frontal bone, fracture of nasal bone, subarachnoid hemorrhage, fracture of transverse process Th3-5, fracture of radius | Minerva-brace immobilization |
| M.O. | M | 16.1 | I (stable) | IIA | Bicycle incident | Fracture frontal bone, fracture maxillary sinus, fracture orbit, metacarpal fracture | Minerva-brace immobilization |
Publisher’s Note: MDPI stays neutral with regard to jurisdictional claims in published maps and institutional affiliations. |
© 2021 by the authors. Licensee MDPI, Basel, Switzerland. This article is an open access article distributed under the terms and conditions of the Creative Commons Attribution (CC BY) license (https://creativecommons.org/licenses/by/4.0/).
Share and Cite
Tomaszewski, R.; Gap, A.; Lucyga, M.; Rutz, E.; Mayr, J.M. Treatment of Unstable Occipital Condylar Fractures in Children—A STROBE-Compliant Investigation. Medicina 2021, 57, 530. https://doi.org/10.3390/medicina57060530
Tomaszewski R, Gap A, Lucyga M, Rutz E, Mayr JM. Treatment of Unstable Occipital Condylar Fractures in Children—A STROBE-Compliant Investigation. Medicina. 2021; 57(6):530. https://doi.org/10.3390/medicina57060530
Chicago/Turabian StyleTomaszewski, Ryszard, Artur Gap, Magdalena Lucyga, Erich Rutz, and Johannes M. Mayr. 2021. "Treatment of Unstable Occipital Condylar Fractures in Children—A STROBE-Compliant Investigation" Medicina 57, no. 6: 530. https://doi.org/10.3390/medicina57060530
APA StyleTomaszewski, R., Gap, A., Lucyga, M., Rutz, E., & Mayr, J. M. (2021). Treatment of Unstable Occipital Condylar Fractures in Children—A STROBE-Compliant Investigation. Medicina, 57(6), 530. https://doi.org/10.3390/medicina57060530

